Abstract
A common β-thalassemia mutation in Asian populations is the C → T substitution at position 654 of intron 2, which leads to the activation of two cryptic splicing sites and the incorporation of 73 extra nucleotides into the mutant mRNA. Like most β-thalassemia mutations, it normally exhibits recessive inheritance. We investigated the unusually severe phenotype in two heterozygotes for this mutation, father and son, who had thalassemia intermedia and an apparent dominant mode of inheritance. An increased level of aberrantly spliced transcript in the reticulocytes of the probands compared with asymptomatic β654heterozygotes led us to investigate the production and processing of β654 RNA. We showed that large amounts of the aberrant β654 transcript were detectable in erythroblasts from one of the asymptomatic cases. The translation product of this mRNA was not detectable in vivo, and we were unable to demonstrate the translation of the mutant mRNA in a cell-free translation system. Although the reticulocyte :β mRNA ratios in the two probands were within the range observed in the asymptomatic heterozygotes, globin chain biosynthesis studies showed that the probands had considerably greater :β chain imbalance. These results imply that the more severe phenotype may be due to a second defect, possibly unlinked to the β-globin cluster, that acts at the translational or posttranslational level.
© 1998 by The American Society of Hematology.
β-THALASSEMIA, ONE OF the most common single gene disorders, results from the decreased production of β-globin chains. More than 180 mutations affecting almost every known stage of β-globin gene expression result in a reduction (β+) or complete absence (βo) of β-globin chain synthesis from the affected allele.1 The excess α globin chains that ensue precipitate in the red blood cell precursors, leading to their premature destruction and ineffective erythropoiesis.2 β-Thalassemia usually exhibits Mendelian recessive inheritance—individuals with one allele are clinically asymptomatic, while the inheritance of two mutant genes produces disease.
Rarely, β-thalassemia can be dominantly inherited—a single mutant allele results in thalassemia intermedia (TI), with anemia, gross morphological abnormalities of the erythroid cells, and splenomegaly.3 Unlike the recessive forms characterized by a deficit of normal β chains, the pathophysiology of dominantly inherited thalassemias has been attributed to the synthesis of highly unstable β-globin variants, which fail to form functional tetramers and precipitate intracellularly with the excessive α chains, thus exacerbating ineffective erythropoiesis.4-6 Due to their instability, demonstration of these β-chain variants is often difficult7,8 or not possible,9,10 but their synthesis is inferred from the presence of mutant β mRNA in the peripheral reticulocytes.11
Mutations that cause anomalies of RNA processing represent about one third of the known β-thalassemia alleles, leading to a reduction or complete inactivation of normal splicing. The C → T mutation in intervening sequence (IVS) 2 position 654 is commonly found in the Asian population as a cause of recessive β-thalassemia.12,13 Analysis of transfected mutant genes by S1 nuclease mapping and primer extension14 demonstrated that the mutation creates a cryptic 5′ donor splice site, which is spliced to the normal 3′ acceptor site, while a cryptic 3′ acceptor site is activated upstream at IVS 2-579 and spliced to the normal 5′ donor site at the exon 2/intron 2 junction. This results in the incorporation of 73 extra nucleotides of intron 2 into the aberrantly spliced mRNA transcript (Fig 1).
While most heterozygotes for the IVS 2-654 mutation have a typical thalassemia trait phenotype, two cases, one Chinese and one Japanese, have been previously reported to have TI,15 16 but the cause of their unusually severe phenotype was not elucidated. We have studied two Chinese individuals, father and son, who manifest the phenotype of TI despite having inherited only a single copy of the mutant allele. To understand this phenotypic difference, we have compared these two cases with typical asymptomatic IVS 2-654 heterozygotes. Differences were observed in mRNA processing and in the severity of globin chain imbalance, implying a second defect interacting with the thalassemia allele to produce the thalassemia intermedia condition.
MATERIALS AND METHODS
Blood Samples and Hematological Studies
Blood samples were collected in EDTA and full blood profiles obtained using an automated cell counter. Hemoglobin A2(HbA2) and HbF levels were measured using standard techniques. Fresh blood was collected in heparin and kept on ice for globin chain biosynthesis studies, performed by3H-leucine labeling and carboxymethyl-cellulose column chromatography at pH 6.4, as previously described.17Chromatography was also performed at pH 6.0 to detect a more negatively-charged β-globin variant. In time-course experiments, samples were removed at 5, 10, 15, and 60 minutes from the start of incubation and a pulse-chase was performed by incubating the cells for 5 minutes with 3H leucine followed by 60 minutes incubation in excess unlabeled leucine. Informed consent was obtained in all cases before the collection of blood samples.
Culture of CD34+ Erythroid Progenitors From Peripheral Blood
Fresh blood was collected in acid citrate dextrose (ACD), diluted 1:2 with phosphate-buffered saline (PBS; calcium- and magnesium-free) containing 0.6% ACD and fractionated on Ficoll-Hypaque (1.077 g/mL; Sigma, St Louis, MO) at 1,600 rpm for 40 minutes at room temperature. The light density cells were washed in PBS-ACD by centrifugation at 900 rpm for 15 minutes to remove contaminating platelets. The resulting nucleated cells were washed three times in 2 mmol/L sodium phosphate buffer and 0.145 mol/L NaCl containing 0.5% bovine serum albumin and 2 mmol/L EDTA or 0.6% ACD. CD34+cells were isolated using the Mini-MACS CD34 stem cells isolation kit from Miltenyi Biotech (Bergisch Gladbach, Germany) according to the manufacturer’s instructions. The CD34+ cells were selected twice by passage through magnetic bead separation columns, allowing recoveries of 0.01% to 0.05% of the original leukocytes. When stained with phycoerythrin-conjugated CD34 or isotype matched IgG1monoclonal antibodies and analyzed by fluorescence-activated cell sorting (FACS), 80% to 85% CD34+ cells within the nucleated fraction was obtained. These cells were cultured in Falcon 3047 tissue culture plates in erythroid-specific serum-free medium containing optimal concentrations of interleukin-3 (IL-3), IL-6, Steel Factor, and erythropoietin, at 37°C in 4.5% CO2 and 5% O2 gas mixture. The cells were harvested at days 9 to 10. The number of nucleated cells was determined, and their phenotypes were assessed with antiglycophorin A and antiglycophorin C (IgG1 isotypes) using FACS and single color immunofluorescence of cytospins.18 19 Anti-CD3 was used as a negative control. All antibodies were purchased from Dakopatts (Copenhagen, Denmark).
DNA Analysis
DNA was extracted from peripheral blood leukocytes using standard techniques. β haplotypes were derived from seven restriction fragment length polymorphisms (RFLPs) in the β-globin gene cluster;HindII-ε, HindIII-Gγ,HindIII-Aγ, HindII-ϕβ,HindII-3′ϕβ, AvaII-β, andBamHI-β.20 The RFLPs were analyzed by restriction enzyme digestion and Southern blot hybridization.21 BamHI- and BglII-digested DNA was hybridized with α and ζ globin gene probes, respectively, to determine the number of α globin genes.21
RNA Analysis
Total RNA was extracted from fresh blood and cultured erythroid progenitors by standard methods.23
Reverse transcription (RT)-PCR.
A total of 1 μg total RNA was reverse transcribed into cDNA using an oligo(dT)15 primer and avian myeloblastosis virus (AMV) reverse transcriptase in a buffer containing ribonuclease inhibitor 20 U, 1 mmol/L each of deoxyguanosine triphosphate (dGTP), deoxyadenosine triphosphate (dATP), deoxythymidine triphosphate (dTTP), and deoxycytidine triphosphate (dCTP), 5 mmol/L MgCl2, 10 mmol/L Tris-HCl pH 8.8, 50 mmol/L KCl, and 0.1% Triton X-180 in a 20-μL volume, by incubation at 42°C for 15 minutes followed by inactivation of the reverse transcriptase at 99°C for 5 minutes. All reagents were supplied by Promega, Southampton, UK.
β-Globin cDNA comprising exons 3 and 2, was amplified by PCR in a 100-μL volume containing 0.2 mmol/L each of deoxynucleoside triphosphates (dNTPs), 50 mmol/L KCl, 10 mmol/L Tris-HCl pH 8.3, 2.0 mmol/L MgCl2, 2.5 U Taq polymerase, and 10 pmol of primers AP1 and AP2 (see Fig 1). After initial denaturation at 94°C for 4 minutes, 25 cycles of 94°C for 1 minute, 52°C for 1 minute, and 72°C for 30 seconds were applied. As shown in Fig1, the normal and aberrantly spliced transcripts would yield cDNA fragments of 240 bp and 313 bp, respectively. The RT-PCR products were electrophoresed in 2% ethidium bromide-stained agarose gels, transfered to positively-charged nylon membranes (Biodyne B; Pall Biodyne, Portsmouth, UK), and hybridized with an oligonucleotide probe (OP, Fig 1) complementary to a sequence common to the normal and aberrantly spliced transcripts. The oligoprobe was 3′ end-labeled with 32P-dCTP using calf thymus deoxynucletide terminal transferase (Boehringer, Mannheim, Germany).
To quantitate the relative amounts of normal and aberrantly-spliced β-globin cDNA, AP2 was 5′ end-labeled with γ32P-dCTP using T4 polynucleotide kinase (Amersham International, Amersham, UK). Using 10 pmol of radio-labelled AP2 (diluted 1:9 with unlabelled AP2), 10 pmol of AP3 and the conditions as described for AP1/AP2 PCR (see above), a variable number (18, 20, 22, 25, and 28) of PCR cycles was applied. The normal and aberrantly-spliced transcripts yield cDNA fragments of 430 and 503 bp, respectively (see Fig 1). The RT-PCR products were resolved on a denaturing 6% polyacrylamide gel. Radioactivity was measured by phosphorimager analysis (Molecular Dynamics, Sunnyvale, CA).
Ribonuclease (RNase) protection assays.
RNase protection assays were performed as described by Zinn et al.24 A total of 0.5 to 1 μg total RNA from peripheral reticulocytes and erythroid progenitors was hybridized with 106 cpm of each riboprobe in probe excess. The protected fragments were electrophoresed on 8% polyacrylamide 8M Urea gels. Radioactivity in protected fragments was measured by phosphorimager analysis (Molecular Dynamics) and corrected to account for the number of labeled G residues in the protected fragments.
A probe specific for the detection of the aberrantly spliced β654 transcript was generated by RT-PCR of RNA from AH, a hemizygote, using primers AP4 and AP2 (see Fig 1). The fragment was cloned into PCR2 TA vector (Invitrogen BV, Leek, The Netherlands). The protected fragment of 189 bp includes 60 of the 73-bp IVS 2 insert as well as exon 3.
In Vitro Cell-Free Translation of RNA
Total RNA extracted from peripheral reticulocytes and nucleated erythroid cells derived from cultured CD34+ progenitors were subjected to in vitro cell-free translation in rabbit reticulocyte lysate. The “rabbit reticulolysate translation kit” (Amersham International) was used, containing reticulolysate prepared from New Zealand white rabbits and treated with micrococcal nuclease to destroy endogenous mRNA. Total RNA (2.5 to 10 μg) was combined with 10 U RNase inhibitor, 2 μL [35S]Methionine (translational grade), 10 μL reticulocyte lysate in a translation mixture containing 100 mmol/L potassium acetate (KOAc), 0.5 mmol/L magnesium acetate (Mg[OAc]2), 2 mmol/L dithiothreitol (DTT), 20 mmol/L HEPES pH 7.6, 8 mmol/L creatine phosphate, and 25 mmol/L each of 19 amino acids (except methionine), in a reaction volume of 25 μL. A total of 1 μg “RNA B” transcript was translated in parallel as a control. The reactions were incubated at 30°C for 60 minutes and placed on ice. The products were resolved in 15% sodium dodecyl sulfate (SDS)-polyacrylamide25 and acid triton urea26 gels, treated with a fluorographic agent and autoradiographed.
RESULTS
Hematological Data
The probands studied were father and son from a Chinese family. The father (I-1) was a 58-year-old man who suffered from chronic ill health and jaundice since childhood, requiring intermittent transfusions for 20 years. He had gross hepatosplenomegaly with hypochromic microcytic anemia (Hb 6.7 g/dL, mean corpuscular volume [MCV] 63.6 fL, mean corpuscular hemoglobin [MCH] 19.0 pg) and reticulocytosis of 9%. Blood film examination showed nucleated red blood cells, target cells, tear drop poikilocytes, and gross basophilic stippling. Both HbA2 (5.5%) and HbF (4.5%) were raised. The 51Chromium red blood cell half-life was reduced at 12 days. Hereditary enzyme deficiencies including glucose-6-phosphate dehydrogenase (G6PD), 6PGD, pyruvate kinase, hexokinase, and glucose phosphate isomerase were excluded. Serum ferritin was markedly raised at 4,900 μg/L. At the age of 58, he suffered an episode of cardiovascular collapse with atrial fibrillation and hypoglycemia, from which he did not recover. As I-1 was adopted, little was known of his family history, but his father and brother were said to have died of thalassemia at the age of 35 and infancy, respectively. I-1 married an Irish woman (I-2) who was hematologically normal. They had three sons, of whom one (II-3) had the same blood profile as his father (Hb 8.6 g/dL, MCV 68.8 fL, MCH 20.8 pg), with increased HbA2 (4.2%) and HbF (9.5%) levels, and reticulocytosis of 8%. He had mild splenomegaly and evidence of iron overload (serum ferritin 250 μg/L) despite the absence of blood transfusions. His two siblings were clinically and hematologically normal with serum ferritin levels within the normal range (26.1 and 39.3 μg/L, normal range, 14 to 150 μg/L). The relevant hematologic results of the family are shown in Table 1. In view of the markedly elevated serum ferritin in I-1, the family was screened for the Cys282Tyr and His63Asp mutations in the HFE gene for a possible interaction with hereditary hemochromatosis.27 The mutations were detected by restriction enzyme analysis of specifically amplified DNA,28 but neither of the probands carried the Cys282Tyr or the His63Asp mutation.
Hematologic and Clinical Data of Subjects
| Subject . | Sex/ Age . | Ethnic Group . | β Genotype . | Hb (g/dL) . | MCV (fL) . | MCH (pg) . | HbA2 (%) . | HbF (%) . | α:Non-α Globin Chain Ratios-150 . | Clinical Phenotype . |
|---|---|---|---|---|---|---|---|---|---|---|
| Probands | ||||||||||
| Family L | ||||||||||
| I-1 (Proband) | M/50 | Chinese | β IVS 2-654/βN | 6.7 | 63.6 | 19.0 | 5.5 | 4.5 | 3.6 | TI |
| I-2 | F/45 | Irish | βN/βN | 11.6 | 92.2 | 30.4 | 3.0 | 0.6 | 1.2 | Normal |
| II-1 | M/23 | Chinese/Irish | βN/βN | 14.0 | 96.1 | 30.9 | 2.3 | 1.0 | 1.1 | Normal |
| II-2 | M/20 | Chinese/Irish | βN/βN | 15.0 | 88.6 | 28.6 | 2.6 | 0.8 | 1.1 | Normal |
| II-3 (Proband) | M/19 | Chinese/Irish | β IVS 2-654/βN | 8.6 | 68.8 | 20.8 | 4.2 | 9.5 | 3.8 | TI |
| Controls | ||||||||||
| Family C | ||||||||||
| I-1 | M/35 | English | β IVS 2-654/βN | 13.1 | 64.2 | 20.4 | 5.2 | 1.2 | 1.7 | TT |
| I-2 | F/34 | English | β IVS 2-654/βN | 11.6 | 68.0 | 21.0 | 5.6 | 1.9 | 1.8 | TT |
| II-1-151 | F/5 | English | β IVS 2-654/β IVS 2-654 | 7.9 | 87.0 | 29.0 | 2.2 | 98 | 3.5 | TM |
| MG | M/12 | English | β IVS 2-654/βN | 10.9 | 59.0 | 18.4 | 5.1 | 3.0 | ND | TT |
| ST | F/34 | Chinese | β IVS 2-654/βN | 11.3 | 61.9 | 19.1 | 4.4 | 1.5 | ND | TT |
| MY | F/24 | Chinese | β IVS 2-654/βN | 10.8 | 65.0 | 20.9 | 5.0 | 0.6 | ND | TT |
| RH | M/31 | Chinese | β IVS 2-654/βN | 13.2 | 66.0 | 21.2 | 5.0 | 1.5 | ND | TT |
| AH-151 | F/25 | Chinese | β IVS 2-654/I (Aγδβ)0 deletion | 9.0 | 85.7 | 30.8 | 1.8 | 3.3 | ND | TM |
| Subject . | Sex/ Age . | Ethnic Group . | β Genotype . | Hb (g/dL) . | MCV (fL) . | MCH (pg) . | HbA2 (%) . | HbF (%) . | α:Non-α Globin Chain Ratios-150 . | Clinical Phenotype . |
|---|---|---|---|---|---|---|---|---|---|---|
| Probands | ||||||||||
| Family L | ||||||||||
| I-1 (Proband) | M/50 | Chinese | β IVS 2-654/βN | 6.7 | 63.6 | 19.0 | 5.5 | 4.5 | 3.6 | TI |
| I-2 | F/45 | Irish | βN/βN | 11.6 | 92.2 | 30.4 | 3.0 | 0.6 | 1.2 | Normal |
| II-1 | M/23 | Chinese/Irish | βN/βN | 14.0 | 96.1 | 30.9 | 2.3 | 1.0 | 1.1 | Normal |
| II-2 | M/20 | Chinese/Irish | βN/βN | 15.0 | 88.6 | 28.6 | 2.6 | 0.8 | 1.1 | Normal |
| II-3 (Proband) | M/19 | Chinese/Irish | β IVS 2-654/βN | 8.6 | 68.8 | 20.8 | 4.2 | 9.5 | 3.8 | TI |
| Controls | ||||||||||
| Family C | ||||||||||
| I-1 | M/35 | English | β IVS 2-654/βN | 13.1 | 64.2 | 20.4 | 5.2 | 1.2 | 1.7 | TT |
| I-2 | F/34 | English | β IVS 2-654/βN | 11.6 | 68.0 | 21.0 | 5.6 | 1.9 | 1.8 | TT |
| II-1-151 | F/5 | English | β IVS 2-654/β IVS 2-654 | 7.9 | 87.0 | 29.0 | 2.2 | 98 | 3.5 | TM |
| MG | M/12 | English | β IVS 2-654/βN | 10.9 | 59.0 | 18.4 | 5.1 | 3.0 | ND | TT |
| ST | F/34 | Chinese | β IVS 2-654/βN | 11.3 | 61.9 | 19.1 | 4.4 | 1.5 | ND | TT |
| MY | F/24 | Chinese | β IVS 2-654/βN | 10.8 | 65.0 | 20.9 | 5.0 | 0.6 | ND | TT |
| RH | M/31 | Chinese | β IVS 2-654/βN | 13.2 | 66.0 | 21.2 | 5.0 | 1.5 | ND | TT |
| AH-151 | F/25 | Chinese | β IVS 2-654/I (Aγδβ)0 deletion | 9.0 | 85.7 | 30.8 | 1.8 | 3.3 | ND | TM |
Abbreviations: TI, thalassemia intermedia; TT, thalassemia trait; TM, thalassemia major; ND, not done.
Globin chain synthesis ratios in controls were: normal adults 0.8 to 1.2 (n = 100), β-thalassemia trait 1.8 to 2.3 (n = 100), thalassemia intermedia 3.0 to 5.5 (n = 50).
Hematologic profile in CII-1 was obtained before transfusion and splenectomy, while AH was transfused when blood was taken.
Six control subjects heterozygous for β IVS 2-654 C → T mutation with asymptomatic thalassemia trait were examined, together with one homozygote and one compound heterozygote for β IVS 2-654/Chinese (Aγδβ)0 thalassemia. Relevant hematologic data are shown in Table 1.
DNA Analysis
The β-globin genes from both probands were sequenced from position −710 5′ to the cap site to 240 bp downstream of the termination site. The β IVS 2-654 C → T mutation was found in both individuals (associated with haplotype I, +----++), together with a normal βA allele. No other mutational or deletional defects were found. Gene mapping showed a normal number of α globin genes.
The β IVS 2-654 mutation in the other patients was determined by a combination of allele-specific priming and direct sequence analysis of specifically amplified β-globin genes.
Globin Chain Biosynthesis
Globin chain biosynthesis studies (Table 1) in the two probands showed considerably greater globin chain imbalance (α/non-α ratios of 3.6 and 3.8) than in the asymptomatic β IVS 2-654 cases studied (1.7 and 1.8) or in other β-thalassemia traits (1.8 to 2.3). No abnormal globin chains were observed on chromatography at pH 6.4 or 6.0. A time course experiment on the blood of L II-3 did not show any evidence of globin chain instability, nor did the α/non-α ratio change with a pulse-chase experiment (data not shown).
The severe clinical course and unusually severe chain imbalance in these two heterozygotes for the β IVS 2-654 allele suggest that an additional defect is present in these cases. An interacting erythrocyte membrane abnormality would not explain the unusually imbalanced globin chain biosynthesis ratios. The limited size of the pedigree precludes the determination as to whether this is a cis ortrans-effect. Therefore, we undertook RNA analysis to try to identify that part of the globin gene regulatory pathway, which was likely to be affected.
RNA Analysis In Vivo
β cDNA encompassing exons 3 and 2 obtained by RT-PCR (primers AP1 and AP2) from peripheral blood RNA in normal subjects produces a band of 240 bp (Fig 1). In proband LI-1, a larger 313-bp fragment, representing the abnormally spliced β cDNA, is also seen (Fig 2A, lane 2). This band is only just visible in the control heterozygotes (lanes 4 and 5) and absent in the normal individuals (lanes 1 and 3). Only the aberrantly spliced cDNA is seen in the β IVS 2-654 homozygote (Fig 2A, lane 6). The abnormal fragments were confirmed by Southern blot hybridization using an internal oligoprobe, OP (Figs 1 and 2A, right).
Representation of the genomic and cDNA structure of the normal β allele (A) and the mutant β allele (B) showing the products obtained by RT-PCR using the primers AP1/AP2 and AP3/AP2. OP (5′-GTCTGTGTGTGCTGGCCCATCA-3′) is an oligonucleotide probe used to hybridize Southern-blotted cDNA fragments. Sequences of the primers are AP1: 5′-CTGAGGAGAAGTCTGCCGTT-3′, AP2: 5′-GCTTAGTGATACTTG TGGGCC-3′, and AP3: 5′-TGAGGAGAAGTCTCGCGTTAC-3′. A β654 riboprobe for detecting the normal and aberrantly spliced transcripts was generated by RT-PCR from a hemizygote for the β IVS 2-654 mutation, using primers AP4 (5′-CAATGTATCATGCCTCTTTGCAC-3′) and AP2.
Representation of the genomic and cDNA structure of the normal β allele (A) and the mutant β allele (B) showing the products obtained by RT-PCR using the primers AP1/AP2 and AP3/AP2. OP (5′-GTCTGTGTGTGCTGGCCCATCA-3′) is an oligonucleotide probe used to hybridize Southern-blotted cDNA fragments. Sequences of the primers are AP1: 5′-CTGAGGAGAAGTCTGCCGTT-3′, AP2: 5′-GCTTAGTGATACTTG TGGGCC-3′, and AP3: 5′-TGAGGAGAAGTCTCGCGTTAC-3′. A β654 riboprobe for detecting the normal and aberrantly spliced transcripts was generated by RT-PCR from a hemizygote for the β IVS 2-654 mutation, using primers AP4 (5′-CAATGTATCATGCCTCTTTGCAC-3′) and AP2.
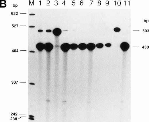
(A) RT-PCR products of proband LI-1 and controls using primers AP1 and AP2 (see Fig 1). Ethidium bromide-stained 2% agarose gel is on the left and autoradiograph of Southern blot of the gel, hybridized with oligoprobe OP, is shown on the right. The lanes are represented by M: ◊X174 RF DNA-HaeIII; 1 and 3: normal controls; 2: LI-1 (proband); 4 and 5: CI-1 and CI-2 (asymptomatic heterozygotes); and 6: CII-1 (homozygote for the IVS 2-654 mutation). (B) Radioactive RT-PCR of β mRNA of probands and controls using primers AP3 and radiolabelled AP2 after 20 cycles of amplification. The mutant (β654) and normal (βN) cDNAs are 503 and 430 bp, respectively. The lanes are represented by M: pBR322 DNA-Msp I marker; 1: Proband LI-1; 2: Proband LII-3; 3: CII-1 (homozygote for β IVS 2-654); lanes 4 to 9: asymptomatic heterozygote controls; 10: AH (β IVS 2-654/(Aγδβ)0 thalassemia); 11: normal control.
(A) RT-PCR products of proband LI-1 and controls using primers AP1 and AP2 (see Fig 1). Ethidium bromide-stained 2% agarose gel is on the left and autoradiograph of Southern blot of the gel, hybridized with oligoprobe OP, is shown on the right. The lanes are represented by M: ◊X174 RF DNA-HaeIII; 1 and 3: normal controls; 2: LI-1 (proband); 4 and 5: CI-1 and CI-2 (asymptomatic heterozygotes); and 6: CII-1 (homozygote for the IVS 2-654 mutation). (B) Radioactive RT-PCR of β mRNA of probands and controls using primers AP3 and radiolabelled AP2 after 20 cycles of amplification. The mutant (β654) and normal (βN) cDNAs are 503 and 430 bp, respectively. The lanes are represented by M: pBR322 DNA-Msp I marker; 1: Proband LI-1; 2: Proband LII-3; 3: CII-1 (homozygote for β IVS 2-654); lanes 4 to 9: asymptomatic heterozygote controls; 10: AH (β IVS 2-654/(Aγδβ)0 thalassemia); 11: normal control.
Quantitative RT-PCR was performed using radiolabeled AP2 and AP3 probes, as shown in Fig 2B. A variable number of PCR cycles (18, 20, 22, 25, and 28) were applied to ensure that the samples analyzed were in the linear phase of the PCR. Ratios of radioactivity of the aberrant (503 bp) to normal (430 bp) β cDNA were highly reproducible and substantially greater in the probands (Fig 2B, lanes 1 and 2), ranging from 4% to 11%, than in the asymptomatic heterozygotes (Fig 2B, lanes 4 to 9), 0.2% to 1%. The mean values were 6.7% and 0.6% in the probands and control heterozygotes, respectively, representing an approximately 10-fold increase in the proportion of the abnormally spliced mRNA. In the homozygote (C II-1, Fig 2B, lane 3) and the hemizygote (AH, Fig 2B, lane 10), the vast majority of β cDNA was abnormally spliced, as expected. These results were confirmed by RNase protection assay, using the β654 riboprobe. The abnormally spliced transcript was estimated to be 3.1% to 3.2% of normal in the probands, substantially greater than the 0% to 0.5% in the asymptomatic carriers (Fig 3A).
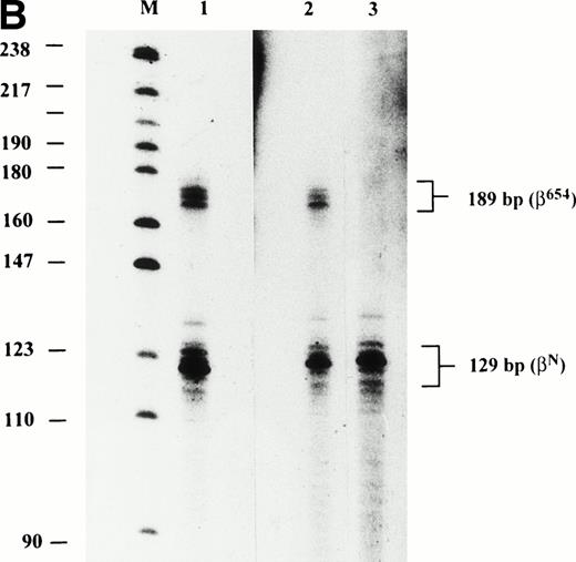
(A) RNase protection assay of reticulocyte RNA, using the β654 riboprobe. Protected fragments of normal and aberrant transcripts are 129 bp and 189 bp, respectively. The lanes are represented by M: Marker (pBR322 DNA-Msp I); 1: Proband LI-1; 2: Proband LII-3; lanes 3 to 8 are the asymptomatic heterozygotes; N: normal; 9: CII-1 (β IVS 2-654 homozygote) and 10: AH (β IVS 2-654/(Aγδβ)0 thalassemia). (B) RNase protection assay of RNA extracted from erythroblasts, cultured from CD34+ peripheral progenitors, using the β654 probe. Protected fragments of the normal (βN) and aberrantly spliced (β654) transcripts, at 129 and 189 bp, are indicated. The lanes are represented by M, pBR322 DNA-Msp I; 1, RH (5 μg RNA); 2, RH (1 μg RNA); 3, normal control.
(A) RNase protection assay of reticulocyte RNA, using the β654 riboprobe. Protected fragments of normal and aberrant transcripts are 129 bp and 189 bp, respectively. The lanes are represented by M: Marker (pBR322 DNA-Msp I); 1: Proband LI-1; 2: Proband LII-3; lanes 3 to 8 are the asymptomatic heterozygotes; N: normal; 9: CII-1 (β IVS 2-654 homozygote) and 10: AH (β IVS 2-654/(Aγδβ)0 thalassemia). (B) RNase protection assay of RNA extracted from erythroblasts, cultured from CD34+ peripheral progenitors, using the β654 probe. Protected fragments of the normal (βN) and aberrantly spliced (β654) transcripts, at 129 and 189 bp, are indicated. The lanes are represented by M, pBR322 DNA-Msp I; 1, RH (5 μg RNA); 2, RH (1 μg RNA); 3, normal control.
This 10-fold increase in the proportion of abnormally spliced mRNA in the probands suggested that the difference between them and the typical heterozygotes might lie in the RNA processing pathway. Most of this process takes place in nucleated erythroblasts, but bone marrow samples were unavailable and further blood samples from either of the probands were not accessible. It was hoped that analysis of erythroblasts from an asymptomatic heterozygote may shed some light on any abnormality in the RNA processing pathway. Therefore, CD34+ progenitor cells from the peripheral blood of RH (an asymptomatic heterozygote) were cultured under conditions for erythroid differentiation. Analysis of the RNA from the these erythroblasts showed high levels of the aberrantly spliced transcript, ≈30% of the normal (Fig 3B). This is significantly higher than the 1% detected in peripheral reticulocytes, suggesting that even in the asymptomatic patients there is substantial transcription and processing of this message in erythroblasts, but that it is less stable than the normal β mRNA during erythroid cell maturation.
Ratios of α:β reticulocyte mRNA were measured in the two probands and two asymptomatic heterozygotes (RH and ST) using a βHriboprobe that protects both the normal and aberrant mRNAs (Fig 4). The α:β mRNA ratios were also assessed in erythroid progenitor RNA from RH and a normal control. No clear cut difference in the ratio was seen in reticulocyte mRNA from the probands and the asymptomatic patients. We have observed a similar unexplained broad range of ratios in normal individuals and other thalassemic patients (see legend to Fig 4). The α:β ratio of 1.9 in the erythroblast RNA of RH is substantially lower than the ratio of 5.5 in reticulocyte RNA, confirming the greater amount of total β mRNA in the former.
RNase protection assays to assess the :β mRNA ratio in CD34+ nucleated erythroblasts and reticulocytes of heterozygotes of the β IVS 2-654 C-T mutation. RNA was extracted from the nucleated erythroblasts of one asymptomatic heterozygote (RH, lane 1) and one normal subject (lane 2). This was compared with reticulocyte RNA of RH (lane 3), the probands LI-1 (lane 4) and LII-3 (lane 5), and another asymptomatic heterozygote control (ST, lane 6). Protected fragments of and β mRNA, at 97 and 135 bp, are indicated. M represents size marker pBR322 DNA-Msp I. The :β mRNA ratios in lanes 1 to 6 were 1.9, 2.1, 5.5, 5.4, 4.1, and 3.5, respectively. For comparison, :β mRNA ratios in controls were: 1.8 to 2.7 (normals, n = 11); 3.3 to 5.8 (β-thalassemia traits, n = 15), and 4.9, 5.1, and 6.4 (thalassemia intermedias).
RNase protection assays to assess the :β mRNA ratio in CD34+ nucleated erythroblasts and reticulocytes of heterozygotes of the β IVS 2-654 C-T mutation. RNA was extracted from the nucleated erythroblasts of one asymptomatic heterozygote (RH, lane 1) and one normal subject (lane 2). This was compared with reticulocyte RNA of RH (lane 3), the probands LI-1 (lane 4) and LII-3 (lane 5), and another asymptomatic heterozygote control (ST, lane 6). Protected fragments of and β mRNA, at 97 and 135 bp, are indicated. M represents size marker pBR322 DNA-Msp I. The :β mRNA ratios in lanes 1 to 6 were 1.9, 2.1, 5.5, 5.4, 4.1, and 3.5, respectively. For comparison, :β mRNA ratios in controls were: 1.8 to 2.7 (normals, n = 11); 3.3 to 5.8 (β-thalassemia traits, n = 15), and 4.9, 5.1, and 6.4 (thalassemia intermedias).
In Vitro Cell-Free Translation of mRNA Transcript
As aberrant splicing of the β IVS 2-654 pre-mRNA results in frameshift and premature termination at codon 121, the predicted β-globin chain would be truncated by 26 residues. Taking the average molecular weight of an amino acid to be approximately 110 kD, the globin variant would be reduced from 16.5 kD to approximately 13.6 kD. The predicted chain is also likely to be highly unstable—the carboxy terminus is abnormal, with the net loss of 20 hydrophobic amino acids and the associated stabilizing interactions, while the α1β1 contact would be greatly affected, as all but one of the contact points in helix G are disrupted and all those in Helix H are lost. As no abnormal protein was detectable in the patient’s red blood cells, in vitro cell-free translation was performed.
Total reticulocyte RNA from proband I-1, a normal control, and an asymptomatic heterozygote (ST) were subjected to in vitro translation in rabbit reticulocyte lysate. In the SDS-PAGE gel, a 16-kD band was identified in LI-1, the normal control, and the asymptomatic heterozygote. An identical pattern was obtained in all cases with no trace of a 13.6-kD band in the samples from the proband or the asymptomatic heterozygote. Total RNA from cultured erythroblasts of RH were also subjected to in vitro translation, as the proportion of aberrant mRNA was much higher in these samples. Again, no lower molecular weight (MW) band was detectable. On acid triton urea electrophoresis, the translated α, β, Gγ, andAγ globin chains were identifiable, but again no extraneous band could be seen (results not shown). In both the proband LI-1 and the asymptomatic heterozygotes (ST), a reduction of β compared with α chains was demonstrated, the reduction being more severe in LI-1, confirming the results of the globin chain biosynthesis studies.
DISCUSSION
The clinical course and the hematological findings in the two probands in this study clearly demonstrated that both father and son have thalassemia intermedia. Analysis of the β-globin genes showed a single β IVS 2-654 C → T mutation, together with a normal β-globin gene. This apparent dominant pattern of inheritance in heterozygous β-thalassemia has been well documented in cases with premature stop codons in the third exon or point mutations leading to highly unstable, abnormal globin chains.3 The necessity to remove both the truncated or abnormal β chains, as well as the excess α chains that ensue, is believed to overload the proteolytic mechanism of the erythroid precursors resulting in sufficient red blood cell damage to produce the ineffective erythropoiesis characteristic of thalassemia intermedia.
The β IVS 2-654 C → T mutation results in an abnormally spliced mRNA that, if translated, would lead to a β-globin chain truncated at codon 121 that would be predicted to be highly unstable. However, the majority of cases that have been described have the phenotype of asymptomatic β-thalassemia trait and not the pattern of dominant β-thalassemia. In addition to our two cases, two other Oriental β IVS 2-654 heterozygotes have been described with thalassemia intermedia.15 16 No other β-globin gene abnormality was detectable in these patients and family studies were uninformative. It was not clear, therefore, whether these and our cases represented a “dominant” β IVS 2-654 allele or the interaction of a second defect. Hence, we examined globin gene transcription, RNA processing, and globin chain synthesis of the β IVS 2-654 allele in the probands and in the asymptomatic carriers.
Large amounts of aberrantly spliced mRNA from the β IVS 2-654 allele were detectable in early erythroblasts in one asymptomatic case. If large amounts of the aberrant mRNA were to accumulate and be translated, the abnormal globin chains produced should be highly unstable and should result in most β IVS 2-654 heterozygotes having thalassemia intermedia, yet this is not the case. The answer to this paradox may lie in the fact that no abnormal protein was detectable in vivo, and we were unable to demonstrate the translation of the aberrantly spliced β654 mRNA in a cell-free translation system. It may be, therefore, that little, if any, of this abnormal mRNA is translated and further investigation of this aspect seems warranted.
A large decrease in the amount of the abnormally spliced β654 mRNA was observed during the maturation of erythroblasts to reticulocytes suggesting instability of this mRNA, which was also demonstrated in a functional expression system we have devised using murine erythroleukemia (MEL) cells (manuscript in preparation). Interestingly, the proportion of the aberrant mRNA was 10-fold higher in the peripheral blood of the probands than in their asymptomatic counterparts, one of the few detectable differences between the two. This difference could indicate that proteins involved in maintaining RNA stability or responsible for its destruction differ in the affected and unaffected carriers. However, the higher levels of β654 mRNA in the thalassemia intermedia cases could simply reflect the generally younger population of red blood cells in the circulation in these cases, as shown by the presence of nucleated red blood cells and the higher reticulocyte counts. As the proportion of this mRNA decreases with erythroid maturation, younger cells should contain higher amounts.
The major difference observed between the two groups of patients was in the α/non-α globin chain synthesis ratios. The ratios in the thalassemia intermedia cases were not only higher than in the asymptomatic cases, but were much higher than usually found in β-thalassemia heterozygotes and similar to that observed in the β IVS 2-654 homozygote (C II-1) with thalassemia major. This result implies that either there is reduced product from the apparently normal β-globin gene or that there is increased production of α globin. The difference in α/non-α ratios was not observed at the mRNA level, where the range in the two probands was 4.1 to 5.4, within the range for the asymptomatic patients, 3.5 to 5.5. This leads to the conclusion, therefore, that the difference between the two groups lies at or below the level of translation.
Little is known about the differential translation of α and β mRNAs; the level of α mRNA is higher than β mRNA in normal red blood cells, but equal amounts of the respective globin chains are produced. Whether the reduced rate of translation of the α mRNA is solely due to a difference in the structure of the RNA itself or whether it involves alterations in the binding of proteins other than the ribosomes has not been established. Certainly there are differences in the proteins that bind to the 3′ untranslated regions of the α and β mRNAs.29-31 A mutation in a protein that differentially affects the translation of α and β mRNAs could result in either increased α chain production or decreased β-chain production. Such an effect could be quite small and would not produce a readily detectable effect in normal individuals, but when the cell is already compromised by the presence of a β-thalassemia gene, the effect of the mutation may convert a phenotype of thalassemia trait into thalassemia intermedia.
Alternatively, we cannot exclude the possibility that there may be differences in the proteolytic capacities of the erythroid cells from the probands and the asymptomatic cases. In asymptomatic β-thalassemia heterozygotes, most of the excess α chains do not accumulate within the cells and are presumably degraded by proteolytic mechanisms, particularly in the marrow erythroblasts.32Degradation of newly synthesized α chains is seen in the bone marrow erythroblasts, but not in peripheral blood reticulocytes. Therefore, any putative difference between the probands and the asymptomatic cases might not be detectable in a peripheral blood incubation. If there is a second defect in proteolysis, it would not be expected to affect globin production in normal individuals and would be “silent.”
If either of the interpretations offered above is correct, one would predict that such a gene(s) affecting globin production would be found in other situations. Moreover, the putative gene(s) need not be linked to the β-globin locus. We have previously documented a family with a β-thalassemia phenotype that was unlinked to the β-globin cluster,21 and other such cases have been reported.33,34 Furthermore, heterozygotes for the β codon 39 thalassemia allele with the phenotype of thalassemia intermedia have recently been reported in two large families from Sardinia.35 Family studies in these cases demonstrated unequivocally that the postulated second defect was not linked to the β-globin cluster. Identification of such defects may be important for a fuller understanding of globin chain production, as well as in understanding genotype-phenotype relationships in the thalassemias.
ACKNOWLEDGMENT
We thank Liz Rose and Milly Graver for preparation of the manuscript, Prof Sir D.J. Weatherall for his continuing encouragement and support, the L family for their cooperation, Dr F Morlé for advice on the reticulocyte lysate translation, and Jackie Sloane-Stanley for her technical expertise.
Supported by the MRC, UK. P.J.H. was a Nuffield Dominions Fellow and G.W.H. an MRC Training Fellow.
Address reprint requests to Swee Lay Thein, MD, MRC Molecular Haematology Unit, Institute of Molecular Medicine, John Radcliffe Hospital, Headington, Oxford, OX3 9DS, UK; e-mail:swee.thein@imm.ox.ac.uk.
The publication costs of this article were defrayed in part by page charge payment. This article must therefore be hereby marked "advertisement" is accordance with 18 U.S.C. section 1734 solely to indicate this fact.






This feature is available to Subscribers Only
Sign In or Create an Account Close Modal