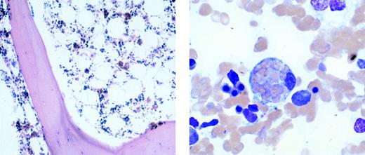
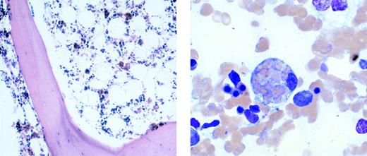
Virus-associated hemophagocytic syndrome. A healthy 18-year-old senior high school student presented with several weeks of myalgias, fevers, and sore throat. She subsequently developed pancytopenia and hepatic dysfunction. A thorough evaluation was unrevealing except for a positive monospot and Epstein-Barr virus (EBV) VCA-IgG with a negative EBV VCA-IgG and EBNA (both became positive several weeks later). A diagnosis of acute EBV infection was made. Over the next 3 weeks she had a waxing and waning course but finally required hospital admission due to worsening pancytopenia (WBC, 300/μL; hematocrit, 16.2%; and platelet count, 44,000/μL) and hepatic dysfunction (ALT, 636 U/L; AST, 608 U/L; LDH, 2,788 U/L; direct bilirubin, 32.2 mg/dL; and prothrombin time, 16 seconds). Her physical exam was notable for a fever (39.5°C), a diffuse fine scaly rash, severe icterus, no adenopathy, a liver span of 14 cm in the midclavicular line, and a spleen tip palpable 2 cm below the costal margin. Biopsy of her bone marrow showed overall hypocellularity with multiple nests of RBCs (arrows in figure on left; original magnification ×100). These nests of RBCs, as seen in the bone marrow aspirate (figure on right; original magnification ×2,500), represent histiocytes with engulfed erythrocytes characteristic of hemophagocytosis. Despite intense immunosuppressive therapy (including steroids, cyclosporin A, IVIG, and ATG), she developed respiratory failure, gastrointestinal bleeding, renal failure (requiring dialysis), cardiac dysfunction (with global hypokinesis), and pancreatitis. She finally succumbed to an intracranial hemorrhage. Virus-associated hemophagocytic syndrome is typically associated with acute EBV infection. It is characterized by constitutional symptoms, including fever, rash, lymphadenopathy, and hepatosplenomegaly. Therapy is directed at the immune dysregulation and is often ineffective, as in this unfortunate case. (Courtesy of Lindsey Baden, MD, and Frank Evangelista, MD, Beth Israel Deaconess Medical Center, Departments of Medicine and Pathology, 330 Brookline Ave, SL-435, Boston, MA 02215.)
Virus-associated hemophagocytic syndrome. A healthy 18-year-old senior high school student presented with several weeks of myalgias, fevers, and sore throat. She subsequently developed pancytopenia and hepatic dysfunction. A thorough evaluation was unrevealing except for a positive monospot and Epstein-Barr virus (EBV) VCA-IgG with a negative EBV VCA-IgG and EBNA (both became positive several weeks later). A diagnosis of acute EBV infection was made. Over the next 3 weeks she had a waxing and waning course but finally required hospital admission due to worsening pancytopenia (WBC, 300/μL; hematocrit, 16.2%; and platelet count, 44,000/μL) and hepatic dysfunction (ALT, 636 U/L; AST, 608 U/L; LDH, 2,788 U/L; direct bilirubin, 32.2 mg/dL; and prothrombin time, 16 seconds). Her physical exam was notable for a fever (39.5°C), a diffuse fine scaly rash, severe icterus, no adenopathy, a liver span of 14 cm in the midclavicular line, and a spleen tip palpable 2 cm below the costal margin. Biopsy of her bone marrow showed overall hypocellularity with multiple nests of RBCs (arrows in figure on left; original magnification ×100). These nests of RBCs, as seen in the bone marrow aspirate (figure on right; original magnification ×2,500), represent histiocytes with engulfed erythrocytes characteristic of hemophagocytosis. Despite intense immunosuppressive therapy (including steroids, cyclosporin A, IVIG, and ATG), she developed respiratory failure, gastrointestinal bleeding, renal failure (requiring dialysis), cardiac dysfunction (with global hypokinesis), and pancreatitis. She finally succumbed to an intracranial hemorrhage. Virus-associated hemophagocytic syndrome is typically associated with acute EBV infection. It is characterized by constitutional symptoms, including fever, rash, lymphadenopathy, and hepatosplenomegaly. Therapy is directed at the immune dysregulation and is often ineffective, as in this unfortunate case. (Courtesy of Lindsey Baden, MD, and Frank Evangelista, MD, Beth Israel Deaconess Medical Center, Departments of Medicine and Pathology, 330 Brookline Ave, SL-435, Boston, MA 02215.)

This feature is available to Subscribers Only
Sign In or Create an Account Close Modal