Abstract
Granulocyte-macrophage colony-stimulating factor (GM-CSF) is an important cytokine for the generation and propagation of antigen-presenting cells and for priming a cellular immune response. We report here that use of recombinant human GM-CSF (rhGM-CSF), administered as an adjuvant in a peptide-based vaccine trial given monthly by intradermal injection, led to the development of a T-cell and antibody response to rhGM-CSF. An antibody response occurred in the majority of patients (72%). This antibody response was not found to be neutralizing. In addition, by 48-hour delayed type hypersensitivity (DTH) skin testing, 17% of patients were shown to have a cellular immune response to the adjuvant rhGM-CSF alone. Thymidine incorporation assays also showed a peripheral blood T-cell response to rhGM-CSF in at least 17% of the patients. The generation of rhGM-CSF–specific T-cell immune responses, elicited in this fashion, is an important observation because rhGM-CSF is being used as a vaccine adjuvant in various vaccine strategies. rhGM-CSF–specific immune responses may be incorrectly interpreted as antigen-specific immunity, particularly when local DTH responses to vaccination are the primary means of immunologic evaluation. We found no evidence of hematologic or infectious complications as a result of the development of rhGM-CSF–specific immune responses.
GRANULOCYTE-MACROPHAGE colony-stimulating factor (GM-CSF) is a member of a large family of glycoprotein growth factors that regulate the growth and differentiation of hematopoietic progenitor cells. Recombinant human GM-CSF (rhGM-CSF) has been used extensively as a hematopoietic growth factor for patients with few side effects. In several phase I studies, the adverse effects reported most frequently were fever, chills, nausea, vomiting, asthenia, headache, myalgias, arthralgias, and other nonspecific pain in the bones, chest or abdomen.1,2 There has been one report of a localized cutaneous reaction occurring at the site of rhGM-CSF injection in breast cancer patients undergoing chemotherapy and receiving GM-CSF for neutropenia.3 Other groups have reported the induction of a transient antibody response to rhGM-CSF appearing after daily administration, but without obvious adverse clinical sequelae.4-7 These systemic and immunologic effects were observed after repetitive daily doses of rhGM-CSF over extended periods of time.
In addition to its activity as a hematopoietic growth factor, GM-CSF acts at several levels in the generation and propagation of immune responses. It is known to prime neutrophils for enhanced arachidonic acid release and activate antibody-dependent cell-mediated cytotoxicity of neutrophils, as well as act as a chemoattractant for eosinophils and enhance the cytotoxicity of eosinophils.8,9 GM-CSF has also been shown to induce the differentiation and promote the survival of peripheral blood dendritic cells.10 11 These various immunologic effects have led to several groups exploring the use of GM-CSF as a vaccine adjuvant.
We have previously shown in a rodent model that GM-CSF can be used as a vaccine adjuvant when mixed with a soluble antigen to induce both an antibody and T-cell antigen-specific immune response.12Other groups have transfected tumor cells with DNA encoding GM-CSF, or directly injected GM-CSF into established tumors, and have shown induction of antitumor immune responses in several murine systems.13-16 Such results have led to phase I human clinical trials using autologous GM-CSF gene-transduced, irradiated tumors as vaccines in patients with metastatic renal cell carcinoma17,18 and melanoma.19 Yet other groups have used GM-CSF antigen fusion proteins as immunogens and showed enhanced immunity to the antigen by such a method.20-22 The administration of GM-CSF as a vaccine adjuvant is quite different from the use of the cytokine as a hematopoietic growth factor.
We report here the generation of both a humoral and T-cell response to rhGM-CSF in patients treated with soluble rhGM-CSF as a vaccine adjuvant in a phase I peptide-based vaccine human clinical trial. In previous reports of antibody responses to rhGM-CSF, the cytokine was used on a daily basis. In our study, rhGM-CSF was administered monthly, and both T-cell and antibody immune responses specific for rhGM-CSF were generated after only a few vaccinations. This represents the first report of a T-cell immune response to rhGM-CSF and the first report of an immune response being generated to rhGM-CSF when used as a soluble vaccine adjuvant.
MATERIALS AND METHODS
Detection of rhGM-CSF antibodies by enzyme-linked immunosorbent assay (ELISA).
Human antibodies against rhGM-CSF were detected by indirect ELISA in similar fashion to results previously published.5 23 In brief, 1.0 μg/mL rhGM-CSF (Immunex Corp, Seattle, WA) in 50 mmol/L sodium carbonate buffer (pH 9.6) was adsorbed to alternate wells of Immulon-4 polystyrene plates (Dynex Technologies Inc, Chantilly, VA) overnight at 4°C. Control wells contained sodium carbonate buffer alone. Plates were then blocked with phosphate-buffered saline (PBS)/1% bovine serum albumin (BSA) for 1 hour at room temperature, and then washed with PBS/0.1% Tween-20. Patient sera was serially diluted 1:25, 1:50, 1:100, 1:200, 1:400, 1:800, 1:1,600, and 1:3,200 in PBS/1% BSA and added to control (no rhGM-CSF) and experimental wells (containing rhGM-CSF) for 1 hour at room temperature. After incubation, plates were washed and an horseradish peroxidase (HRP)-conjugated sheep antihuman Ig antibody (Amersham, Arlington Heights, IL), diluted 1:5,000 in PBS/1%BSA was added. After an hour incubation at room temperature, the plates were washed and developed with tetramethylbenzidine (TMB) peroxidase substrate (Kierkegard and Perry Laboratories, Gaithersburg, MD). Reactions were stopped with addition of HCl to 0.5 N concentration, and the plates were then read at optical density (OD) 450 nm. Data are reported as the ΔOD = OD450 (experimental well)-OD450 (control well).
Detection of rhGM-CSF antibodies by immunoblot.
A total of 0.1 μg rhGM-CSF produced in either yeast (Immunex Corp) orEscherichia coli (E. coli) (Sigma, St Louis, MO), 0.1 μg ovalbumin, 0.1 μg lysozyme, and 10 lytic-forming units (LFU) tetanus toxoid were resolved on 12% 1:19 bis:acrylamide polyacrylamide gels under nondenaturing conditions and then transferred to Hybond-C nitrocellulose sheets (Amersham) by the method of Towbin et al.24 The nitrocellulose sheets were then blocked for 1 hour with PBS/5% BSA/1% IGEPAL CA-630 at room temperature. Patient sera was diluted 1:250 in PBS solution (PBS/1% BSA/0.1% IGEPAL CA-630) and then used to probe the nitrocellulose sheets overnight at 4°C. The sheets were then washed with PBS solution and incubated for 1 hour at room temperature with an HRP-conjugated sheep antihuman Ig detection antibody (Amersham) diluted 1:5,000 in PBS solution. After incubation with the secondary antibody, the sheets were washed and developed with an ECL detection kit (Amersham) according to the manufacturer’s instructions and exposed to radiographic film.
Detection of neutralizing antibodies to GM-CSF.
As a bioassay for the neutralizing effect of GM-CSF antibodies, the GM-CSF–dependent human erythroleukemia cell line TF-1 (American Type Culture Collection, Manassas, VA) was grown in RPMI 1640 (GIBCO, Grand Island, NY) with 2 mmol/L L-glutamine, 1.5 g/L NaHCO3, 4.5 g/L glucose, 10 mmol/L HEPES, 1 mmol/L sodium pyruvate, 10% human A/B serum (ICN Flow, Costa Mesa, CA), and 5 ng/mL rhGM-CSF (Immunex Corp).25 Cells were then washed extensively and plated in sterile microtiter plates at 104cells/well in 100-μL volumes in media without added rhGM-CSF, cell growth being supportable with human serum. IgG was purified from patients’ sera using protein A chromatography (Avidchrome-Protein A kit, Sigma), and resuspended at 200 μg/mL in media. Eight serial twofold dilutions of purified IgG were then added in 100-μL volumes to triplicate wells of TF-1 cells. Cells were cultured for 48 hours at 37°C in a humidified incubator and then pulsed with 1 μCi3H-thymidine per well for 8 hours. Cells were then harvested onto glass fiber filters, and the incorporated radioactivity was measured with a Microbeta 1450 scintillation counter (Wallac, Turku, Finland). Results are reported as the mean and standard deviation of triplicate wells.
Detection of rhGM-CSF–specific T-cell immunity by3H-thymidine incorporation assay.
Peripheral blood mononuclear cells (PBMC) were prepared by Ficoll-Paque (Pharmacia AB, Uppsala, Sweden) centrifugation and resuspended in media consisting of equal parts of EHAA 120 (Biofluids, Rockville, MD) and RPMI 1640 (GIBCO) with 10 mmol/L L-glutamine, 2% penicillin/streptomycin, 50 μmol/L β-mercaptoethanol, and 10% human AB serum (ICN Flow). Cells were then analyzed for a T-cell proliferative response after exposure to rhGM-CSF or ovalbumin, as a negative control protein, at varying concentrations (0.25 μg to 1.0 μg/mL). A total of 2 × 105 PBMC/well were plated into 96-well round bottom microtiter plates (Costar, Cambridge, MA) in triplicate cultures for each concentration of protein tested and incubated with antigen at 37°C in an atmosphere of 5% CO2 for 5 days. Eight hours before termination of culture, each well was pulsed with 1 μCi3H-thymidine (New England Nuclear, Wilmington, DE). The cultures were then harvested onto glass fiber filters, and the incorporated radioactivity was measured as above. The results are reported as the mean and standard deviation of triplicate assays. Stimulation index (SI) is defined as the mean of experimental wells divided by the mean of the control wells (no antigen).
Determination of delayed type hypersensitivity responses (DTH) to rhGM-CSF.
At the end of the study, patients were skin tested against rhGM-CSF at 100 μg administered intradermally (i.d.) at a separate location from the peptide vaccine site (on the back). A total of 100 μL sterile water i.d. was used as a negative control. Induration was measured in mm at 48 hours. Positive rhGM-CSF DTH sites, those ≥ 5 mm, were biopsied with a 4-mm punch biopsy and submitted for immunohistochemical staining (Phenopath Laboratories, Seattle, WA). Tissues were assayed for expression of CD3, CD4, CD8, CD20, and CD1a.
RESULTS
Patients immunized with rhGM-CSF as an adjuvant may develop DTH responses to rhGM-CSF.
A Phase I clinical trial of HER-2/neu peptide based vaccines is ongoing at the University of Washington.26 Patients with HER-2/neu overexpressing breast, ovarian, and nonsmall cell lung cancer are vaccinated i.d. with peptides derived from the protein structure of the HER-2/neu oncogenic protein and rhGM-CSF (purified from overexpression in yeast, Immunex Corp) as a vaccine adjuvant (Disis et al, submitted). Each vaccine tested is composed of three HER-2/neu peptides 15-18 amino acids in length.27 Patients receive six monthly injections of peptide admixed with 250 μg rhGM-CSF. At the time of this analysis, 18 patients have completed all six vaccinations. During the course of vaccination, the majority of patients develop local DTH responses to the vaccine, and three patients have developed immediate hypersensitivity responses at the site of vaccination. As an example, one of these patients, CR4723, a woman with stage IV breast cancer, received the first two monthly vaccinations without any local erythema. After the third immunization, however, she developed marked erythema and induration at the site of vaccination within minutes of administration. No generalized erythema, urticaria, or pulmonary symptoms were noted. A DTH response at the vaccine site developed within 48 hours after injection. After the fourth and subsequent vaccinations, similar local reactions were noted with induration and erythema lasting up to 14 days after the vaccination.
After the final vaccination, formal DTH testing is performed on all patients with the individual peptides derived from their vaccine, rhGM-CSF alone, and sterile water as a control. The DTH testing is administered i.d. at a site on the back distant from the original vaccine site, and indurated reactions are read at 48 hours. At 48 hours, this particular patient had a DTH response of 5 × 6 mm to rhGM-CSF. Likewise, she responded by DTH testing to one of the peptides in her immunizing mix, with a 4 × 6 mm response to p369-384, but no responses to either of the other two immunizing peptides, p688-703 or p971-984. Three of 18 patients (17%) immunized with rhGM-CSF in this fashion have developed similar rhGM-CSF-specific DTH responses.
Patients immunized with rhGM-CSF as an adjuvant may develop T-cell immunity to rhGM-CSF.
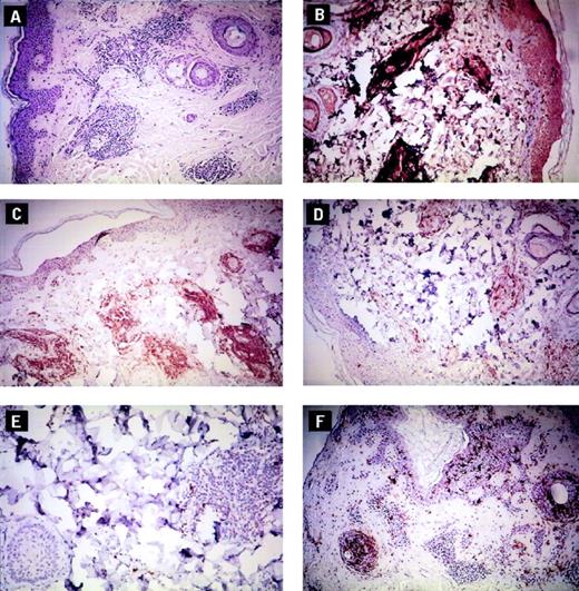
Four millimeter punch skin biopsies were obtained from the DTH sites of the patient described above. Figure 1 shows the immunohistochemical evaluation of the cellular infiltrate at the rhGM-CSF DTH site. Figure 1A shows a marked dermal cellular infiltrate that was not seen in a control skin biopsy from a noninvolved site (not shown). Immunohistochemical staining (Fig 1B through F) shows a predominant T-cell (CD3+) infiltrate with mixed CD4+ and CD8+ lymphocytes. There is a marked infiltration of CD1a+ cells, but relative absence of cells bearing CD20.
The rhGM-CSF–specific DTH response is a predominant T-cell (CD3+) infiltrate with mixed CD4+and CD8+ lymphocytes. (A) Hematoxylin and eosin staining of the rhGM-CSF–induced dermal cellular infiltrate (30x). (B through F) Represents the immunohistochemical staining of the rhGM-CSF DTH site for patient CR4723. (B) CD3 (30x); (C) CD4 (30x); (D) CD8 (30x); (E) CD20 (40x); (F) CD1a (30x).
The rhGM-CSF–specific DTH response is a predominant T-cell (CD3+) infiltrate with mixed CD4+and CD8+ lymphocytes. (A) Hematoxylin and eosin staining of the rhGM-CSF–induced dermal cellular infiltrate (30x). (B through F) Represents the immunohistochemical staining of the rhGM-CSF DTH site for patient CR4723. (B) CD3 (30x); (C) CD4 (30x); (D) CD8 (30x); (E) CD20 (40x); (F) CD1a (30x).
In addition, three patients who have completed all six immunizations have evidence of a peripheral blood T-cell response to rhGM-CSF developing during the course of vaccinations. As an example, Fig 2 shows the results of a 5-day3H-thymidine incorporation assay for a patient, CZ8474, using PBMC collected at baseline before and then after the six vaccinations. An SI ≥ 2.0 is consistent with an immunized response. There was no evidence of a T-cell response to rhGM-CSF before immunization (SI, 1.2). After six vaccinations, however, the T-cell response to rhGM-CSF was significant and specific (SI, 6.3). No response was detected to an irrelevant control antigen, ovalbumin (SI, 1.2). Similar results were found with two other patients, in which SIs in response to rhGM-CSF of 2.6 and 6.8 were also obtained after vaccination, but not before vaccination (data not shown).
Patients immunized with rhGM-CSF as an adjuvant may develop peripheral blood T-cell responses to rhGM-CSF. A total of 2 × 105 PBMC were incubated with increasing concentrations of rhGM-CSF or ovalbumin as a negative control irrelevant antigen. At the end of a 5-day incubation, cultures were pulsed for 8 hours with 1 μCi 3H-thymidine and the incorporated radioactivity counted. The results are reported as the mean cpm and standard deviation of triplicate wells.
Patients immunized with rhGM-CSF as an adjuvant may develop peripheral blood T-cell responses to rhGM-CSF. A total of 2 × 105 PBMC were incubated with increasing concentrations of rhGM-CSF or ovalbumin as a negative control irrelevant antigen. At the end of a 5-day incubation, cultures were pulsed for 8 hours with 1 μCi 3H-thymidine and the incorporated radioactivity counted. The results are reported as the mean cpm and standard deviation of triplicate wells.
Patients immunized with rhGM-CSF as an adjuvant may develop an antibody response to rhGM-CSF.
Sera were obtained from patients before vaccination and after six vaccinations. Sera from the 18 patients who have completed all six immunizations were analyzed by ELISA for development of antibodies to rhGM-CSF. As an example, Fig 3A shows the rhGM-CSF antibody responses for patients CR4723 and MT8463. Similar analysis of the other 16 patients who have completed all six vaccinations showed that 13 of the 18 patients (72%) who completed all six immunizations developed novel or enhanced antibodies to GM-CSF during the course of the six vaccinations (data not shown). The majority of these responses was detectable at dilution titers ranging from 1:25 to 1:1,600 and was of the IgG1 class (data not shown). The development of rhGM-CSF–specific antibodies was confirmed by Western blot analysis (Fig 3B). Moreover, the antibodies recognized not only rhGM-CSF expressed in yeast (lanes 4), but also rhGM-CSF expressed inE. coli (lanes 5).
Patients immunized with rhGM-CSF as an adjuvant may develop an antibody response to rhGM-CSF. (A) Serum antibody response by ELISA for rhGM-CSF for two patients, CR4723 and MT8463, before starting the vaccine study (○) and after completing all six immunizations (•). (B) Western blot analysis of sera analyzed in (A). Polyacrylamide gel lanes include 0.1 μg lysozyme (negative control), 0.1 μg ovalbumin (negative control), 10 LFU tetanus toxoid (positive control), 0.1 μg yeast-expressed rhGM-CSF, 0.1 μg E. coli-expressed rhGM-CSF. Panels show the antibody responses from the prevaccination sera of patients CR4723 and MT8463 and with the sera obtained after six vaccinations.
Patients immunized with rhGM-CSF as an adjuvant may develop an antibody response to rhGM-CSF. (A) Serum antibody response by ELISA for rhGM-CSF for two patients, CR4723 and MT8463, before starting the vaccine study (○) and after completing all six immunizations (•). (B) Western blot analysis of sera analyzed in (A). Polyacrylamide gel lanes include 0.1 μg lysozyme (negative control), 0.1 μg ovalbumin (negative control), 10 LFU tetanus toxoid (positive control), 0.1 μg yeast-expressed rhGM-CSF, 0.1 μg E. coli-expressed rhGM-CSF. Panels show the antibody responses from the prevaccination sera of patients CR4723 and MT8463 and with the sera obtained after six vaccinations.
A growth inhibition assay of the GM-CSF–dependent erythroleukemia cell line, TF-1, was performed with immunoglobulin purified from patients pre- and postimmunization.25 That is, purified IgG was cultured with the TF-1 cell line, and the growth inhibition measured as a decrease in the amount of 3H-thymidine uptake after 48 hours in culture. No neutralizing activity was found in any patient analyzed. As examples, Fig 4 shows the results of neutralization assays using IgG purified from patients CR4723 and MT8463 whose antibody responses were shown in Fig 3.
Antibodies to rhGM-CSF generated in immunized patients are not neutralizing in activity. IgG purified from patients CR4723 and MT8463 preimmunization and after all six immunizations was diluted in media and cultured with 104 TF-1 cells for 48 hours. At the end of 48 hours, cultures were pulsed for 8 hours with 1 μCi3H-thymidine and the incorporated radioactivity counted. The results are reported as the mean cpm of triplicate wells.
Antibodies to rhGM-CSF generated in immunized patients are not neutralizing in activity. IgG purified from patients CR4723 and MT8463 preimmunization and after all six immunizations was diluted in media and cultured with 104 TF-1 cells for 48 hours. At the end of 48 hours, cultures were pulsed for 8 hours with 1 μCi3H-thymidine and the incorporated radioactivity counted. The results are reported as the mean cpm of triplicate wells.
DISCUSSION
GM-CSF and other cytokines that can influence the generation of immune responses are increasingly being explored as vaccine adjuvants.28-30 Immunologic cytokines, themselves, however, may be immunogenic. It has been shown that immunocompetent and immunocompromised patients treated with rhGM-CSF can develop an antibody response to rhGM-CSF.4-6 Indeed, high-titer antibodies to rhGM-CSF have been identified in human IgG preparations from donors who have presumably never received treatment with rhGM-CSF.31 Data presented here is the first report of antibody and T-cell immunity directed against rhGM-CSF developing in patients who have received soluble rhGM-CSF as an adjuvant in the course of a vaccine trial. The generation of rhGM-CSF–specific T-cell immune responses elicited in this fashion is important for several reasons: (1) rhGM-CSF–specific immune responses may incorrectly be interpreted as antigen-specific immunity; (2) the development of rhGM-CSF–specific immunity could potentially limit the use of the cytokine as an adjuvant when multiple immunizations are used; (3) theoretically, the development of significant rhGM-CSF–specific immunity may limit the generation of an immune response to a weak tumor antigen, such as “self” antigens targeted in cancer vaccines, and finally; (4) the long-term effects of the generation of T-cell immunity to rhGM-CSF are currently unknown.
GM-CSF is known to function at several levels in the generation of an immune response, primarily because of its role in the growth and differentiation of antigen-presenting cells. GM-CSF is known to be able to promote the differentiation of progenitor cells to functional dendritic cells32 with reversible increases in major histocompatability complex (MHC) class II expression, CD1a expression, and membrane-bound IL-1 on GM-CSF stimulation.33 Likewise, GM-CSF has been shown to augment the expression of costimulatory molecules, CD80 and CD86, on dendritic cells and to presumably thereby augment the antigen presentation function of these cells.11,34 Furthermore, GM-CSF has been shown to be a chemoattractant for antigen-presenting cells.35 All of these functions have made GM-CSF a potentially interesting cytokine for use as a vaccine adjuvant.28 We have previously shown that GM-CSF, when mixed with a soluble antigen, can act as adjuvant in the induction of both antigen-specific antibodies and an antigen-specific T-cell response in a rodent model.12 Others have shown GM-CSF used as an adjuvant can markedly enhance the immunogenicity of a human hepatitis protein vaccine.36 37 Currently, we have a phase I clinical trial underway using rhGM-CSF as an adjuvant for a HER-2/neu peptide vaccine for patients with advanced stage breast, ovarian, or nonsmall cell lung cancer whose tumors express HER-2/neu. In this trial, patients receive 250 μg rhGM-CSF admixed with each peptide vaccine administered monthly for 6 months.
We report here that in the 18 patients who have completed all six vaccinations in our phase I trial, 17% (3 of 18) developed a DTH response specific for rhGM-CSF; 72% (13 of 18) developed detectable antibody responses to rhGM-CSF. These antibody responses were not found to be neutralizing in TF-1 growth inhibition assays. Immunohistochemical analysis of these DTH sites showed infiltration of a mixed CD4+/CD8+ T-cell population, as well as CD1a+ antigen-presenting cells. Likewise, thymidine incorporation assays for at least three of the patients showed a significant CD4+ T-cell proliferation in the presence of rhGM-CSF.
DTH responses are often used as a measure of the immunity generated to an antigen during the course of immunization.38 Our observations suggest that one should be cautious in interpreting DTH responses at the vaccination site where rhGM-CSF is used as an adjuvant because an immune response to rhGM-CSF can itself result in a positive DTH response. This is particularly important for vaccine trials in which GM-CSF–transduced tumors or GM-CSF fusion proteins are used, as it is difficult to separate the “adjuvant” from the “antigen”, and rhGM-CSF–specific immune responses may incorrectly attributed to antigen-specific immunity.
The observation that rhGM-CSF can induce an immune response suggests that it may limit the use of the cytokine when multiple immunizations are used. Others have shown that the development of an antibody response to rhGM-CSF, in patients treated with rhGM-CSF as a hematopoietic growth factor, correlated with decreased GM-CSF serum levels and decreased effectiveness of rhGM-CSF in augmenting the peripheral white blood cell count.7 It remains a theoretical risk, therefore, that the development of immunity to rhGM-CSF could limit its effectiveness as a vaccine adjuvant, simply by rapid clearing of the adjuvant. This could be important in immunization strategies such as this one in which multiple immunizations are required. We have not, however, observed any correlation between development of immunity to rhGM-CSF and lack of the development of immunity to the antigen HER-2/neu. Likewise, patients on study have been followed monthly with respect to hematologic parameters, and no patients who developed either rhGM-CSF antibody or T-cell immune responses have had any appreciable decrease in peripheral white blood cell counts.
The development of a significant rhGM-CSF immune response could theoretically limit the generation of immunity to “weak” antigens, such as “self” antigens targeted in cancer vaccines. Chen and Levy23 have reported that multiple immunizations with one GM-CSF antigen fusion construct in a murine model did result in an antibody response that abrogated the response to subsequent vaccinations with another GM-CSF-antigen fusion construct. However, this was not the case in our model. In our current study, the development of immunity to rhGM-CSF is not associated with inability to immunize to HER-2/neu–derived peptides.
The observation of an immune response being generated to a “self” cytokine adjuvant is not necessarily surprising. The development of antibodies to different preparations of insulin, which is administered subcutaneously, has long been a problem in the treatment of diabetes. Likewise, others have shown that the development of neutralizing antibodies to interferon-α has limited treatment with this cytokine.39,40 The rhGM-CSF used in these studies is a recombinant protein produced in a yeast system.41 The protein differs from the human protein at a single amino acid and is differentially glycosylated. These differences may be enough to generate a cross-reactive immune response to the native protein.7 We have shown that the antibody response produced also recognizes rhGM-CSF expressed in E. coli, suggesting that the antibody response is directed at the amino acid backbone of GM-CSF, as the E. coli protein is not glycosylated. Other groups have shown that daily treatment with rhGM-CSF as a hematopoietic growth factor can result in the transient production of neutralizing antibodies to human GM-CSF with biologic effects.4,5,7 We do not find neutralizing activity of these antibodies in a TF-1 bioassay and have seen no clinical adverse outcomes such as decreases in peripheral white blood cell counts. Moreover, the presence of high-titer antibodies to rhGM-CSF in normal blood donors31suggests that such an immune response is compatible with normal hematopoeisis. The data presented here, however, is the first report of a T-cell response being generated to rhGM-CSF. The long-term implications of such an immune response are currently unknown. While antibody responses generated against rhGM-CSF have previously been shown to resolve 30 weeks after treatment,4 it is not yet known how durable the antibody or T-cell responses are after administration of rhGM-CSF by a monthly i.d. vaccination route. The durability and hematologic consequences of T-cell and antibody immunity directed against GM-CSF will be evaluated in the long-term follow-up of our patients who have received monthly i.d. rhGM-CSF as a soluble vaccine adjuvant.
ACKNOWLEDGMENT
We thank the Immunex Corp for the gift of rhGM-CSF used as a vaccine adjuvant in this study. We are grateful for the expert nursing care of Fran O’Donnell, BSN. We acknowledge Marilyn Skelly and Dr Allen M. Gown of Phenopath Laboratories, Seattle, WA for the biopsy processing and immunohistochemical staining of the skin biopsies. We also thank Dr Michael Piepkorn for assistance in the pathologic assessment of the DTH response.
Supported by Grant No. P32 CA09515-14 from the National Institutes of Health (NIH) (to D.G.M.) and by Grants No. K08 CA61834 and R01 CA75163 from the NIH, National Cancer Institute (NCI) (to M.L.D.). Patient care was conducted through the Clinical Research Center Facility at the University of Washington, which is supported through Grant No. MO1-RR-00037 from the NIH.
The publication costs of this article were defrayed in part by page charge payment. This article must therefore be hereby marked “advertisement” in accordance with 18 U.S.C. section 1734 solely to indicate this fact.
REFERENCES
Author notes
Address reprint requests to Douglas G. McNeel, MD, PhD, Division of Medical Oncology, 1959 NE Pacific St, Box 356527, University of Washington, Seattle, WA 98195-6527.




This feature is available to Subscribers Only
Sign In or Create an Account Close Modal