Abstract
A residual mass after treatment of lymphoma is a clinical challenge, because it may represent vital tumor as well as tissue fibrosis. Metabolic imaging by 18F-fluorodeoxyglucose (18F-FDG) positron emission tomography (PET) offers the advantage of functional tissue characterization that is largely independent of morphologic criteria. We compared18F-FDG PET to computed tomography (CT) in the posttreatment evaluation of 54 patients with Hodgkin’s disease (HD) or intermediate/high-grade non-Hodgkin’s lymphoma (NHL). Residual masses on CT were observed in 13 of 19 patients with HD and 11 of 35 patients with NHL. Five of 24 patients with residual masses on CT versus 1 of 30 patients without residual masses presented a positive18F-FDG PET study. Relapse occurred in all 6 patients (100%) with a positive 18F-FDG PET, 5 of 19 patients (26%) with residual masses on CT but negative 18F-FDG PET, and 3 of 29 patients (10%) with negative CT scan and18F-FDG PET studies (P ≤ .0001). We observed a higher relapse and death rate in patients with residual masses at CT compared with patients without residual masses at CT (progression-free survival at 1 year: 62 ± 10 v88 ± 7%, P = .0045; overall survival at 1 year: 77 ± 5 v 95 ± 5%, P = .0038). A positive18F-FDG PET study was even more consistently associated with poorer survival: compared with patients with a negative18F-FDG PET study, the 1-year progression-free survival was 0% versus 86% ± 5% (P < .0001) and the 1-year overall survival was 50% ± 20% versus 92% ± 4% (P < .0001). The detection of vital tumor by 18F-FDG PET after the end of treatment has a higher predictive value for relapse than classical CT scan imaging (positive predictive value: 100% v42%). This could help identify patients requiring intensification immediately after completion of chemotherapy. However,18F-FDG PET mainly predicts for early progression but cannot exclude the presence of minimal residual disease, possibly leading to a later relapse.
ONE OF THE MOST challenging aspects in the imaging of lymphomas is the assessment of response to treatment. Differentiation of tumor from fibrosis within residual radiographic masses represents a problem of interpretation for both Hodgkin’s disease (HD) and non-Hodgkin’s lymphoma (NHL). Although up to 64% of lymphoma patients may present a residual mass after completion of therapy, only 18% of these patients will eventually relapse.1,2 In patients with demonstration of persisting viable tumor, it could be reasonable to use salvage therapy and possibly hematopoietic stem cell transplantation at the time of minimal disease rather than at the time of clinically overt relapse. There are no reliable radiographic characteristics that permit differentiation between malignant and fibrotic or necrotic tissue. Positron emission tomography (PET) scan with the glucose analogue 2-(F-18)-fluoro-2-deoxy-D-glucose (18F-FDG) has emerged as a clinical method for staging and monitoring responses to treatment in a variety of cancers.3 Increased glycolysis is one of the most distinctive biochemical features of malignant cells, resulting from amplification of the glucose transporter protein at the tumor cell surface as well as from increased activity of hexokinase.4Like glucose, 18F-FDG is transported into cells by a glucose transporter protein and rapidly converted into18F-FDG-6-phosphate. Because the latter is not a substrate for glucose-6-phosphate isomerase, it is biochemically trapped in metabolising tissues.5 In the present study, we evaluated the role of 18F-FDG PET compared with computed tomography (CT) in the posttreatment evaluation of patients with HD and aggressive NHL.
PATIENTS AND METHODS
Patients.
Fifty-four patients were included in our study. They were recruited prospectively between June 1994 and February 1998. Patients with clinically progressive disease under chemotherapy were excluded. Nineteen had HD and 35 had intermediate-grade or high-grade NHL (Working Formulation groups D through J). Patient characteristics are listed in Table 1. All patients gave fully informed oral consent for the study.
Patient Characteristics
| No. of cases | 54 |
| Histology | |
| HD | 19 |
| NHL | 35 |
| Age (yrs) | 47 |
| (range, 15-80 yrs) | |
| Sex | |
| Male | 27 |
| Female | 27 |
| Ann-Arbor clinical stage | |
| I | 10 |
| II | 17 |
| III | 9 |
| IV | 18 |
| Treatment | |
| Chemotherapy alone | 41 |
| Chemotherapy + radiotherapy | 13 |
| No. of cases | 54 |
| Histology | |
| HD | 19 |
| NHL | 35 |
| Age (yrs) | 47 |
| (range, 15-80 yrs) | |
| Sex | |
| Male | 27 |
| Female | 27 |
| Ann-Arbor clinical stage | |
| I | 10 |
| II | 17 |
| III | 9 |
| IV | 18 |
| Treatment | |
| Chemotherapy alone | 41 |
| Chemotherapy + radiotherapy | 13 |
Baseline evaluation.
Routine staging methods at diagnosis included at least clinical examination, laboratory screening, chest x-ray, CT of chest and abdomen, and bone marrow biopsy. Most patients (40/54) were also evaluated by 18F-FDG PET at diagnosis.
End of treatment evaluation.
One to 3 months after completion of therapy, all patients were re-evaluated by whole body 18F-FDG PET and by CT. Intravenous contrast enhancement was used in every CT examination and all sites previously involved by lymphoma were reanalyzed.
Posttreatment 18F-FDG PET scans were first interpreted without knowledge about clinical, CT, or previous PET data. In the case of abnormal 18F-FDG uptake, we then correlated our findings with clinical information and CT studies. Indeed, strong18F-FDG uptake is not only observed in malignant neoplastic tissue, but also can be seen in inflammatory lesions (sarcoidosis, tuberculosis, fungal infections, abdominal abscesses, etc). We thus considered that the abnormal 18F-FDG uptake was related to residual tumor, except when the clinical data clearly indicated uptake in nonmalignant lesions. We finally compared posttreatment PET data with pretreatment studies in the 40 patients in whom such studies were available.
18F-FDG PET studies.
Whole-body PET using 18F-FDG was performed with a Penn Pet 240-H Scanner (UGM, Philadelphia, PA). Six to eight millicuries of18F-FDG was administered intravenously, and emission scans were recorded 45 to 90 minutes later. All patients were asked to fast for at least 6 hours before the study. A whole-body acquisition was performed from the cervical to the inguinal regions. It consisted of 10 to 12 separate overlapping acquisitions each covering 12.8 cm and performed during 4 minutes. Each subsequent acquisition was performed after a 6.4-cm displacement of the table. The total time of image acquisition was approximately 50 minutes. Images were reconstructed using filtered back projection with a Hanning filter and were reoriented in transverse, coronal, and sagittal planes. A 4-mm voxel size was used. Isotropic 3D resolution was better than 8 mm. PET interpretation was performed in a qualitative manner without attenuation correction. All PET images were reviewed by one investigator (G.J.). Any focus of increased 18F-FDG uptake over background not located in areas of normal 18F-FDG uptake (central nervous system, heart, digestive tract, thyroid, and muscles) and/or excretion (urinary tract) was considered positive for tumor. Furosemide (20 mg in slow intravenous [IV] injection) was administered in patients with suspected pelvic abnormalities to enhance18F-FDG urinary elimination. These patients were studied later (60 to 90 minutes) and after voiding. Diazepam (5 mg) was administered orally before 18F-FDG administration in some tense patients to prevent muscular uptake.
Statistical methods.
Comparison of groups for the probability of relapse was performed with Fisher’s exact tests or chi-square tests with Yates’ correction as appropriate. Overall survival (OS) and progression-free survival (PFS) were calculated by Kaplan-Meier survival analysis, and comparison between groups was performed by the log-rank test.
RESULTS
Posttreatment evaluation: Residual masses at CT.
According to routine CT staging and clinical examination, 30 patients achieved a complete remission (CR), whereas residual masses were found in 24 patients (Table 2). Thoracic masses were observed in 12 patients, abdominal masses in 6 patients, peripheral masses in 4 patients, and thoracic plus abdominal masses in 2 patients. The greatest diameter of residual masses was greater than 1 to 3 cm in 16 patients, 3.5 to 5 cm in 3 patients, 5.5 to 10 cm in 3 patients, and greater than 10 cm in 2 patients. The incidence of residual masses was higher in patients with HD compared with those with NHL (13/19 [68%] v 11/35 [31%], P = .0116).18F-FDG PET was positive in 5 patients with residual masses: 1 of 13 patients with HD and 4 of 11 patients with NHL (not significant [NS]). Therefore, although more patients with HD presented residual masses at the end of therapy, increased metabolic activity in residual masses was more frequent in NHL patients. The greatest diameter of residual masses at CT was greater than 1 to 3 cm in all 5 patients with positive 18F-FDG PET.
Outcome According to the Results of Posttreatment CT Scan and 18F-FDG PET Studies in 54 Patients With HD or NHL
| CT Scan . | FDG-PET . | Progression . | |
|---|---|---|---|
| Yes . | No . | ||
| Positive (N = 24) | Positive (N = 5) | 5 | 0 |
| Negative (N = 19) | 5 | 14 | |
| Negative (N = 30) | Positive (N = 1) | 1 | 0 |
| Negative (N = 29) | 3 | 26 | |
| CT Scan . | FDG-PET . | Progression . | |
|---|---|---|---|
| Yes . | No . | ||
| Positive (N = 24) | Positive (N = 5) | 5 | 0 |
| Negative (N = 19) | 5 | 14 | |
| Negative (N = 30) | Positive (N = 1) | 1 | 0 |
| Negative (N = 29) | 3 | 26 | |
Posttreatment evaluation: CT scan versus 18F-FDG PET.
Results of posttreatment 18F-FDG PET and CT scan evaluations are presented in Table 2, and examples of positive and negative 18F-FDG PET studies are shown in Figs 1 and 2. Seven of 54 patients, 5 with and 2 without residual masses, presented a positive 18F-FDG PET study. In 1 patient, clinical data clearly indicated that 18F-FDG uptake had nothing to do with tumor. It was localized exclusively at the cutaneous site of a recent excision of a benign lesion. The other 6 showed18F-FDG uptake in areas previously involved by lymphoma. Correlation with pretreatment PET never changed the interpretation of residual abnormal 18F-FDG uptake in posttreatment studies.
18F-FDG PET before and after treatment in a patient with high-grade NHL relapsing 1 month after the18F-FDG PET study. On the left, 18F-FDG PET before treatment: multiple lymph node (cervical, axillary, mediastinal, hilar, iliac, and retroperitoneal) and splenic infiltration. On the right, 18F-FDG PET after treatment: residual18F-FDG uptake in hilar, retroperitoneal lymph nodes, and spleen. The CT scan indicated residual masses in the same areas as18F-FDG PET.
18F-FDG PET before and after treatment in a patient with high-grade NHL relapsing 1 month after the18F-FDG PET study. On the left, 18F-FDG PET before treatment: multiple lymph node (cervical, axillary, mediastinal, hilar, iliac, and retroperitoneal) and splenic infiltration. On the right, 18F-FDG PET after treatment: residual18F-FDG uptake in hilar, retroperitoneal lymph nodes, and spleen. The CT scan indicated residual masses in the same areas as18F-FDG PET.
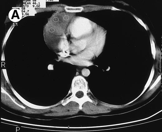
CT and 18F-FDG PET studies at the end of treatment in a case of relapsed HD remaining in clinical CR after a follow-up of 42 months. (A) The CT study at the end of treatment showed a large residual mediastinal mass. (B) The 18F-FDG PET study of this patient was negative.
CT and 18F-FDG PET studies at the end of treatment in a case of relapsed HD remaining in clinical CR after a follow-up of 42 months. (A) The CT study at the end of treatment showed a large residual mediastinal mass. (B) The 18F-FDG PET study of this patient was negative.
The 5 patients with residual masses on CT progressed rapidly after evaluation at sites with abnormal 18F-FDG uptake. The only patient with a positive 18F-FDG PET study but no residual mass relapsed 9 months after completion of therapy. Among the 19 patients with residual masses but negative 18F-FDG PET studies, 14 remained in clinical remission after a median of 21 months, whereas 5 patients progressed rapidly. Four of them relapsed outside the residual masses. Among the 29 patients with no residual mass and negative 18F-FDG PET study, 26 remained in CR after a median of 23 months, whereas 3 patients relapsed at a median of 12 months. Thus, the detection of vital tumor by 18F-FDG PET after the end of treatment had a higher predictive value for relapse than classical CT scan imaging. Whereas only 5 of 19 patients with residual masses but negative 18F-FDG PET relapsed, all 5 patients with 18F-FDG uptake in residual masses progressed (P = .0137). Positivity of 18F-FDG PET was associated with poorer outcome (6/6 relapses) compared with negative18F-FDG PET (8/48 relapses; P < .0001). Kaplan-Meier analysis of PFS (0% v 86% ± 5% at 1 year,P < .0001; Fig 3) and OS (50% ± 20% v 92% ± 4% at 1 year, P < .0001) were thus significantly different among these two groups. On the other hand, the presence of residual masses was less consistently associated with poorer outcome than the positivity of 18F-FDG PET: 10 of 24 relapses in the presence of a mass compared with 4 of 30 relapses in the absence of a residual mass (P = .0284). Kaplan-Meier analysis of PFS (62% ± 10% v 88% ± 7% at 1 year, P = .0045; Fig 4) and OS (77% ± 5% v 95% ± 5% at 1 year, P = .0038) were also significantly different among these two groups. Combining the results of CT and PET permitted to define three prognostic groups (Fig 5; P < .0001). The good-risk patients (n = 29) had negative CT and PET, with a PFS of 87% and an OS of 95% at 2 years. The intermediate-risk group (n = 19) had residual masses but a negative PET. Their PFS (60% at 2 years, P = .0551) and OS (70% at 2 years, P = .0470) were lower. The high-risk patients (n = 6) had a positive PET with strikingly reduced PFS (P < .0001) and OS (P < .0001). The positive predictive value (defined as true positive for relapse and/or positive biopsy) was 100% (6/6 patients) for 18F-FDG PET but only 42% (10/24 patients) for residual masses (P = .0354). The negative predictive value (defined as true negative by persistent clinical CR) was 83% (40/48 patients) for 18F-FDG PET and 87% (26/30 patients) for residual masses (NS).
Kaplan-Meier estimate of PFS in 6 patients with positive18F-FDG PET compared with 48 patients with negative18F-FDG PET (P < .0001).
Kaplan-Meier estimate of PFS in 6 patients with positive18F-FDG PET compared with 48 patients with negative18F-FDG PET (P < .0001).
Kaplan-Meier estimate of PFS in 24 patients with residual masses on CT compared with 30 patients without residual masses on CT (P = .0045).
Kaplan-Meier estimate of PFS in 24 patients with residual masses on CT compared with 30 patients without residual masses on CT (P = .0045).
Kaplan-Meier estimate of PFS in 29 patients with negative PET and CT scans compared with 19 patients with positive CT but negative PET and 6 patients with positive PET (P < .0001).
Kaplan-Meier estimate of PFS in 29 patients with negative PET and CT scans compared with 19 patients with positive CT but negative PET and 6 patients with positive PET (P < .0001).
DISCUSSION
The introduction of high-resolution CT and magnetic resonance imaging (MRI) has improved the ability to identify morphological alterations by radiological methods. However, there are no reliable radiographic characteristics for CT that permit differentiation between malignant and fibrotic or necrotic tissue. MRI can potentially discriminate fibrosis from lymphoma, because different signal characteristics have been reported for malignant tissue, normal tissue, and fibrosis. On T2-weighted images, active tumor is associated with high signal intensity, whereas fibrosis is characterized by low signal intensity.6-8 Hill et al9 reported that MRI provided clinically useful prognostic information. Thirty-four patients treated for HD or intermediate/high-grade NHL were included in their prospective study. The good specificity (90%) but low sensitivity (45%) demonstrated that MRI was not an ideal investigation. Devizzi et al10 used MRI to study 47 patients with mediastinal HD at the end of treatment. They reported 2 true-positive, 4 false-positive, 1 false-negative, and 40 true-negative MRI studies. Restaging by chest-abdominal CT and 67Ga scintigraphy was also performed. Results of all three tests were correlated with disease outcome during follow-up, and a cost/benefit ratio for each test was determined. The investigators concluded that 67Ga scintigraphy proved as accurate as MRI in confirming mediastinal CR, whereas the specificity of CT was much lower. Considering the higher cost of MRI, this study should only be performed in patients with an initial negative 67Ga scan at diagnosis presenting a residual mediastinal mass by CT.
Other studies comparing 67Ga scintigraphy and MRI indicate similar sensitivity and specificity for assessing tumor activity in residual masses.11-1367Ga scintigraphy has thus become a standard procedure for the posttreatment evaluation of patients with lymphoma.1,14 Iosilevsky et al15have shown in an animal model that tumor uptake of 67Ga after radiation and chemotherapy closely paralleled the number of residual neoplastic cells. However, 67Ga scintigraphy should always be performed before treatment to determine if the individual patient has a gallium-avid lymphoma.16 The sensitivity for staging of lymphoma varies with the localization of the lesion: 96% for a chest lesion, 60% for an abdominal lesion, and 83% for a peripheral lesion.1,17 Attention to technical details and correlation with the results of CT scans is mandatory, because even low abnormal 67Ga uptake should be considered as an indicator of residual tumor.18 In patients younger than 25 years of age, an enlarged mass in the anterior mediastinum during the 6 months after completion of treatment can indicate a regenerating thymus19 and the thymus can take up gallium.20Unfortunately, false-positive thymus uptake was also reported for18F-FDG PET in this patient population within this time frame.21
Despite the important role of 67Ga scintigraphy in lymphoma imaging, it appears that 18F-FDG PET may be a more effective method. 18F-FDG PET scanning is likely to be favored by clinicians and patients alike because of same day imaging and the inherent superiority of PET imaging methods over standard gamma camera imaging in terms of sensitivity and resolution. Residual as well as recurrent malignant lymphoma could be accurately diagnosed by18F-FDG PET.22 De Wit et al23reported a high predictive value of 18F-FDG PET performed for evaluation of residual masses after treatment of lymphoma. Residual masses were found in 32 of 34 patients using routine methods.18F-FDG PET was negative in 17 patients and none of them relapsed (median follow-up, 14 months). 18F-FDG PET was positive in 17 patients and 8 patients relapsed. Unfortunately, 4 patients received radiotherapy after PET and did not get another PET after radiotherapy. So, the final 18F-FDG PET uptake after completed therapy is not known (no relapse after an average follow-up of 13 months). There were at least 3 false-positive results inside and 2 false-positive results outside residual masses. There was a trend for18F-FDG PET to be more sensitive as well as more specific than CT. However, the main disadvantage of this study was the short follow-up. The investigators concluded that 18F-FDG PET is the most helpful noninvasive modality in differentiating recurrence or residual disease from fibrosis.
Our data indicate that whole-body 18F-FDG PET has higher diagnostic and prognostic value than classical CT scan imaging for posttreatment evaluation in HD as well as in NHL. We report an excellent positive predictive value (100%) for 18F-FDG PET-positive studies. In fact, the false-positive result outside residual masses (as reported by De Wit23) could be promptly interpreted with available clinical information. The positive predictive value is largely in favor of 18F-FDG PET compared with computed tomography (6 of 6 patients [100%]v 10 of 24 patients [42%]). These relapses occurred rapidly after posttreatment evaluation. The negative predictive value was 83% for 18F-FDG PET (40/48 patients remained in clinical CR) and 87% for residual masses (26/30 patients remained in clinical CR). A negative 18F-FDG PET thus cannot exclude the presence of minimal residual disease possibly leading to a later relapse. Clinical relapse in 18F-FDG PET negative patients was observed more frequently in those with (5 of 19 patients) than those without (3 of 29 patients) residual masses. Interestingly, 4 of the 5 relapses in patients with residual masses occurred outside of these masses. Residual masses in 18F-FDG PET-negative patients thus indicate a higher risk of relapse but rarely predict the site of relapse.
Our study definitively indicates the value of adding PET to CT for the noninvasive evaluation of residual masses. Pretreatment18F-FDG PET is useful only if complete clinical and CT data are not available. Posttreatment PET studies are useful to localize abnormal 18F-FDG uptake inside or outside of known residual masses at CT. If 18F-FDG uptake is outside of residual masses, inflammatory lesions have first to be excluded. If18F-FDG uptake is inside residual masses, strong consideration should be given to additional therapy. In routine clinical circumstances one would combine the results of PET with CT and clinical information.
Further studies are warranted that compare 18F-FDG PET to67Ga scintigraphy and MRI studies to determine the best cost-benefit approach of patients with residual masses at the end of treatment. Other studies will determine if posttreatment evaluation based only on 18F-FDG PET studies is a valid alternative to conventional radiological examination.
Y.B. is senior research associate of the National Fund for Scientific Research, Belgium.
The publication costs of this article were defrayed in part by page charge payment. This article must therefore be hereby marked “advertisement” in accordance with 18 U.S.C. section 1734 solely to indicate this fact.
REFERENCES
Author notes
Address reprint requests to G. Jerusalem, MD, Oncology-Hematology, CHU Sart Tilman, B35, B-4000-Liege 1, Belgium.






This feature is available to Subscribers Only
Sign In or Create an Account Close Modal