Abstract
The transcription factor NF kappa B (NF-κB) mediates the expression of numerous genes involved in diverse functions such as inflammation, immune response, apoptosis, and cell proliferation. We recently identified constitutive activation of NF-κB (p50/p65) as a common feature of Hodgkin/Reed-Sternberg (HRS) cells preventing these cells from undergoing apoptosis and triggering proliferation. To examine possible alterations in the NF-κB/IκB system, which might be responsible for constitutive NF-κB activity, we have analyzed the inhibitor I kappa B alpha (IκB) in primary and cultured HRS cells on protein, mRNA, and genomic levels. In lymph node biopsy samples from Hodgkin’s disease patients, IκB mRNA proved to be strongly overexpressed in the HRS cells. In 2 cell lines (L428 and KM-H2), we detected mutations in the IκB gene, resulting in C-terminally truncated proteins, which are presumably not able to inhibit NF-κB–DNA binding activity. Furthermore, an analysis of the IκB gene in single HRS cells micromanipulated from frozen tissue sections showed a monoallelic mutation in 1 of 10 patients coding for a comparable C-terminally truncated IκB protein. We suggest that the observed IκB mutations contribute to constitutive NF-κB activity in cultured and primary HRS cells and are therefore involved in the pathogenesis of these Hodgkin’s disease (HD) patients. The demonstrated constitutive overexpression of IκB in HRS cells evidences a deregulation of the NF-κB/IκB system also in the remaining cases, probably due to defects in other members of the IκB family.
THE TRANSCRIPTION FACTOR NF kappa B (NF-κB) is a mediator of inducible gene expression in response to inflammatory stimuli.1,2 The NF-κB family comprises 5 members (p50, p52, p65, c-rel, and RelB), which form homo- and heterodimers.3 NF-κB is associated with inhibitors of the I kappa B family (IκBα, IκBβ, IκBγ, and IκBε), which are characterized by their ability to retain the transcription factor in an inactive complex in the cytoplasm. In response to external stimuli, IκBα is phosphorylated at serine residues 32 and 36 by the IκB kinase complex and subsequently degraded by the ubiquitin-proteasome pathway.2,4-9 As a consequence of IκBα degradation, NF-κB translocates into the nucleus, where it activates transcription.10 Activated NF-κB induces the transcription of its own inhibitor.11The IκBα protein is subsequently resynthesized and accumulates in the nucleus, where it dissociates NF-κB from DNA binding and contributes to its export into the cytoplasm.12 13
Hodgkin’s disease (HD) is a malignant lymphoma characterized by the presence of mononucleated Hodgkin (H) and multinucleated Reed-Sternberg (RS) cells in a background of reactive cells comprising lymphocytes, eosinophils, plasma cells, histiocytic cells, and fibroblasts.14 Recently, we identified constitutively activated NF-κB (p50/p65) as a unique and common characteristic of HRS cells.15 Blocking of constitutive NF-κB activity by overexpression of a dominant-negative form of IκBα renders HRS cells susceptible towards apoptotic stimuli and suppressed proliferation and tumor growth of HRS cells after xenotransplantation into severe combined immunodeficiency (SCID) mice.16 These data show that constitutive NF-κB is required for apoptosis resistance and proliferation of HRS cells.
The molecular basis for constitutive nuclear NF-κB in HRS cells still needs to be investigated. The aim of this work was to identify possible molecular defects in the NF-κB regulatory system of HRS cells. In hematopoietic cells, NF-κB is mainly regulated by IκBα.17 In primary HRS cells, we found high levels of IκBα mRNA, indicating a persistently strong NF-κB–dependent transcriptional activity. To elucidate possible molecular defects in this system, we have analyzed IκBα in 7 different HD-derived cell lines. In addition, the genomic sequence of IκBα in HRS cells from 10 HD patients was analyzed using a technique involving micromanipulation of single HRS cells and analysis by polymerase chain reaction (PCR).
The analysis of 7 HD-derived cell lines showed mutations in the IκBα gene in 2 cell lines (L428 and KM-H2), which lead to C-terminally truncated proteins. These inhibitor variants may be responsible for constitutive NF-κB activity in these cell lines. Moreover, we were able to identify a mutation in the IκBα gene in HRS cells from 1 patient with HD, which encodes for a comparably defective IκBα form. Our data provide first indications that constitutive nuclear NF-κB activity in HRS cells might be a consequence of mutations in the inhibitor genes.
MATERIALS AND METHODS
Tissue samples and cell lines.
All cases of classic Hodgkin’s disease were selected from the files of the Institute of Pathology, Free University Berlin, and classified according to the REAL classification. The HD-derived cell lines L428, L540, L591, L1236, HDLM-2, KM-H2, and HD-MyZ were maintained in RPMI 1640 (Seromed Biochrom, Berlin, Germany), 10% heat-inactivated fetal calf serum (FCS), 2 mmol/L glutamine (GIBCO, Karlsruhe, Germany), and penicillin/streptomycin (Seromed-Biochrom, Berlin, Germany); HeLa cells were grown in Dulbecco’s modified Eagle’s medium (DMEM) (GIBCO, Karlsruhe, Germany) supplemented with 10% FCS, 1 mmol/L sodium pyruvate, and penicillin/streptomycin.
Preparation of protein and RNA extracts; Western blotting.
For protein extraction 5 × 106 cells were incubated in a lysis buffer containing proteinase inhibitors (complete, Mini, Boehringer-Mannheim, Germany). After 10 minutes of incubation at 4°C, the lysate was centrifuged for 5 minutes at 14,000 rpm in a microcentrifuge. Thirty micrograms protein extract were separated in 12% polyacrylamide gel containing sodium dodecyl sulfate (SDS) and blotted onto a nitrocellulose membrane (Schleicher & Schüll, Dassel, Germany) by electroblotting. Western blots were analyzed with chemiluminescence following the manufacturer’s recommendations (ECL system, Amersham, Braunschweig, Germany). Antibodies directed against the N-terminus (C-15) and the C-terminus (C-21) of IκBα were obtained from SantaCruz Biotechnology Inc (Heidelberg, Germany). The RNA was prepared using the RNeasy Kit (Quiagen, Hilden, Germany) according to the manufacturer’s recommendations.
Amplification of IκBα transcripts (reverse transcriptase [RT]-PCR).
The cDNA was synthesized under the following conditions: 1 μg total RNA was incubated with 2 μL 10 × incubation buffer, 1 mmol/L each deoxyribonucleoside-triphosphate (dNTP), 5 mmol/L MgCl2, 50 U of RNAse inhibitor, and 500 ng Oligo-(dT)15 primer. After a denaturation step (65°C for 15 minutes), 20 U of avian myeloblastosis virus (AMV) RT (Boehringer-Mannheim, Germany) were added. The reaction was incubated for 1 hour at 42°C.
To amplify full-length IκBα cDNAs, 4 different pairs of primers were designed (Table 1). The conditions for the PCR consisted of an initial denaturation step of 90 seconds at 95°C, 30 cycles of 40 seconds at 95°C, 40 seconds at 60°C, and 60 seconds at 72°C. Buffer conditions were as follows: 1.25 μmol/L MgCl2, 200 μmol/L each dNTP, 10 pmol/L of each primer, and 1 U of Taq polymerase (InViTek, Berlin, Germany).
Primers Used for RT-PCR of the IκB mRNA
| . | . | Sequence . |
|---|---|---|
| I | Sense (5′ → 3′): | AGC GCA CCC GCA GCA GCG CCC G (pos 58-79) |
| Antisense (5′ → 3′): | TCA CCT GGC GGA TCA CTT CC (pos 386-367) | |
| II | Sense (5′ → 3′): | ACT CGT TCC TGC ACT TGG CC (pos 318-337) |
| Antisense (5′ → 3′): | TGC TCA CAG GCA AGG TGT AG (pos 555-536) | |
| III | Sense (5′ → 3′): | TCC GAG ACT TTC GAG GAA ATA CC (pos 510-532) |
| Antisense (5′ → 3′): | TTT TGC AGG TCC ACT GCG AG (pos 780-761) | |
| IV | Sense (5′ → 3′): | CCT TGG GTG CTG ATG TCA ATG (pos 725-752) |
| Antisense (5′ → 3′): | AAG TCC ATG TTC TTT CAG CCC C (pos 1077-1056) |
| . | . | Sequence . |
|---|---|---|
| I | Sense (5′ → 3′): | AGC GCA CCC GCA GCA GCG CCC G (pos 58-79) |
| Antisense (5′ → 3′): | TCA CCT GGC GGA TCA CTT CC (pos 386-367) | |
| II | Sense (5′ → 3′): | ACT CGT TCC TGC ACT TGG CC (pos 318-337) |
| Antisense (5′ → 3′): | TGC TCA CAG GCA AGG TGT AG (pos 555-536) | |
| III | Sense (5′ → 3′): | TCC GAG ACT TTC GAG GAA ATA CC (pos 510-532) |
| Antisense (5′ → 3′): | TTT TGC AGG TCC ACT GCG AG (pos 780-761) | |
| IV | Sense (5′ → 3′): | CCT TGG GTG CTG ATG TCA ATG (pos 725-752) |
| Antisense (5′ → 3′): | AAG TCC ATG TTC TTT CAG CCC C (pos 1077-1056) |
Twenty microliters of each PCR was analyzed on ethidium bromide–stained agarose gels (1%) and the amplificates were isolated from the gel by the glass milk technique for DNA sequencing.
Micromanipulation of single cells.
Single HRS cells were isolated from CD30 immunostained frozen sections as previously described.18 In brief, single cells were extracted by hydraulic micromanipulators from the surrounding tissue and transferred into PCR tubes with a minimal volume of buffer (0.05 to 0.1 μL) covering the tissue sections. For control, an aliquot of at least 1 μL was drawn from the buffer covering the tissue sections during the cell isolation procedure and subjected to single-copy PCR.
Single-copy PCR.
To amplify the C-terminal portion of the IκBα gene, we designed different sets of PCR primers capable of generating 3 overlapping amplificates in a 2-step nested primer PCR (Table 2). The first PCR contained all 6 primers in 1 assay, whereas for reamplification, the 3 primer pairs were separately applied. The conditions for the first round of PCR consisted of a denaturation step of 2 minutes at 95°C, 5 cycles of 40 seconds at 95°C, 60 seconds at 58°C, and 120 seconds at 72°C, followed by 38 cycles of 40 seconds at 95°C, 60 seconds at 58°C, and 60 seconds at 72°C. The final extension lasted 10 minutes at 72°C. For reamplification, an aliquot (1.5%) of the first PCR was subjected to each of the 3 PCRs and amplified under the following conditions: an initial step of 2 minutes at 95°C and 40 cycles of 20 seconds at 95°C, 40 seconds at 58°C, and 60 seconds at 72°C followed by the final step of 10 minutes at 72°C.
Primers Used for Single Copy PCR of the IκB Gene
| . | . | Sequence . |
|---|---|---|
| I | Sense (5′ → 3′): | AGA AAA GGC ACT GAC CAT GG |
| (pos 2283-2303) | ||
| Antisense (5′ → 3′): | GGC ATC CAA TAG GCA CTT TG (pos 3058-3039) | |
| Antisense (reamplification) (5′ → 3′): | GGA GTT TAA GCT CTT GCC TGG (pos 3007-2987) | |
| II | Sense (5′ → 3′): | ATG GTA TGT CTG CCT CCC TG (pos 2902-2921) |
| Antisense (5′ → 3′): | CCT CAT TAG TTA GAG CGC CG (pos 3699-3680) | |
| Antisense (reamplification) (5′ → 3′): | AGG TGG GCC AAC TTA AGG AGT C (pos 2966-2945) | |
| III | Sense (5′ → 3′): | CCA TTC CCT TCA CCC TCC (pos 3702-3719) |
| Antisense (5′ → 3′): | ACC ACT GGG GTC AGT CAC TC (pos 4391-4372) | |
| Antisense (reamplification) (5′ → 3′): | AGG CCC CTA GAG CTG CTC (pos 3712-3695) |
| . | . | Sequence . |
|---|---|---|
| I | Sense (5′ → 3′): | AGA AAA GGC ACT GAC CAT GG |
| (pos 2283-2303) | ||
| Antisense (5′ → 3′): | GGC ATC CAA TAG GCA CTT TG (pos 3058-3039) | |
| Antisense (reamplification) (5′ → 3′): | GGA GTT TAA GCT CTT GCC TGG (pos 3007-2987) | |
| II | Sense (5′ → 3′): | ATG GTA TGT CTG CCT CCC TG (pos 2902-2921) |
| Antisense (5′ → 3′): | CCT CAT TAG TTA GAG CGC CG (pos 3699-3680) | |
| Antisense (reamplification) (5′ → 3′): | AGG TGG GCC AAC TTA AGG AGT C (pos 2966-2945) | |
| III | Sense (5′ → 3′): | CCA TTC CCT TCA CCC TCC (pos 3702-3719) |
| Antisense (5′ → 3′): | ACC ACT GGG GTC AGT CAC TC (pos 4391-4372) | |
| Antisense (reamplification) (5′ → 3′): | AGG CCC CTA GAG CTG CTC (pos 3712-3695) |
The same buffer conditions were used for both the first and the second amplification round: 1.5 mmol/L MgCl2, 200 μmol/L each dNTP, 8 pmol/L of each primer and 2 U of AmpliTaq (Perkin-Elmer, Weiterstadt, Germany). A total of 6 μL of each PCR was analyzed on ethidium bromide-stained agarose gels (1%), and the amplificates were isolated from the gel by the glass milk technique for DNA sequencing.
DNA sequencing.
PCR products obtained from the HD-derived cell lines or from individual HRS cells were sequenced by the chain termination technique using fluorescence-labeled ddNTPs (BigDye; PE Applied Biosystems, Weiterstadt, Germany). The sequencing reactions were analyzed on an automated DNA sequencer (377A; Applied Biosystems) and the resulting sequences were compared with the sequence of the IκBα gene.19 20
In situ hybridization.
Radioactive in situ hybridization for the detection of IκBα mRNA was performed on paraffin sections. For this purpose, we generated a hybridization probe by cloning a portion of the IκBα cDNA (from base 540 to base 1379; M69043)19 into pKS. Radioactive-labeled run-off transcripts were prepared after linearization of the plasmid and applied to the pretreated tissue sections as previously described. In brief, dewaxed and rehydrated paraffin sections were exposed to 0.2 N HCl, 0.6 mg/mL pronase, followed by postfixation with 4% paraformaldehyde. After acetylation with 0.1 mol/L triethanolamine pH 8.0/0.25% (vol/vol) acetic anhydride and dehydration in graded ethanols, the slides were separately hybridized to 2 to 4 × 105 cpm of the labeled sense and antisense probes and left overnight at 50°C. Washing and autoradiography were performed as previously described.21
RESULTS
Overexpression of IκBα transcripts in primary HRS cells.
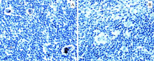
To examine IκBα mRNA expression in primary HRS cells, we performed an in situ hybridization with an IκBα-specific cDNA probe spanning nucleotide from base 540 to base 137919 in 20 HD cases. Most cases harbored abundant amounts of mRNA in the HRS cells (Fig 1, Table 3). In contrast to the HRS cells, only some reactive lymphocytes expressed low to moderate amounts of IκBα-specific transcripts (Table 3). A labeling of reactive lymphocytes with varying signal intensity was also observed in 3 cases of infectious mononucleosis. Less than 1% of the tumor cells of 5 cases of B-cell chronic lymphocytic leukemia (B-CLL) and less than 10% of the neoplastic cells of 5 cases of T-cell non-Hodgkin lymphoma (T-NHL) showed low to moderate amounts of IκBα mRNA.
mRNA expression of IκB in primary HRS cells of a patient with HD. (A) Hybridization with IκB antisense probe. Accumulation of silver grains over HRS cells (exposure time, 6 weeks). (B) Hybridization with IκB sense probe. No labeling of HRS cells.
mRNA expression of IκB in primary HRS cells of a patient with HD. (A) Hybridization with IκB antisense probe. Accumulation of silver grains over HRS cells (exposure time, 6 weeks). (B) Hybridization with IκB sense probe. No labeling of HRS cells.
Detection of IκB mRNA in HRS Cells and Reactive Lymphoid Cells in 20 Cases of Classical HD by Radioactive In-Situ Hybridization
| Case . | Type . | Tumor Cells . | Bystander Cells . | ||
|---|---|---|---|---|---|
| No. of Positive Cells (%) . | Intensity . | Proportion of Positive Cells (%) . | Intensity . | ||
| 1 | NS | 80-90 | ++ | <20 | + |
| 2 | NS | 60-70 | ++ | <10 | + |
| 3 | MC | 60 | +++ | <3 | + |
| 4 | MC | 70-80 | ++ | <20 | ++ |
| 5 | MC | 30 | ++ | <3 | + |
| 6 | MC | 40 | ++ | <10 | + |
| 7 | MC | 50 | ++ | <3 | + |
| 8 | MC | <10 | + | <20 | + |
| 9 | MC | 10 | + | <3 | + |
| 10 | MC | 80 | +++ | <10 | + |
| 11 | MC | 90 | +++ | <20 | ++ |
| 12 | NS | 95 | ++ | <20 | + |
| 13 | NS | 90 | +++ | <20 | + |
| 14 | MC | 80-90 | ++ | <10 | ++ |
| 15 | NS | 90 | +++ | <20 | ++ |
| 16 | NS | 60 | +++ | <10 | + |
| 17 | NS | 90 | +++ | <3 | + |
| 18 | NS | 60 | ++ | <20 | + |
| 19 | NS | 10 | + | <3 | + |
| 20 | NS | 30 | ++ | <10 | ++ |
| Case . | Type . | Tumor Cells . | Bystander Cells . | ||
|---|---|---|---|---|---|
| No. of Positive Cells (%) . | Intensity . | Proportion of Positive Cells (%) . | Intensity . | ||
| 1 | NS | 80-90 | ++ | <20 | + |
| 2 | NS | 60-70 | ++ | <10 | + |
| 3 | MC | 60 | +++ | <3 | + |
| 4 | MC | 70-80 | ++ | <20 | ++ |
| 5 | MC | 30 | ++ | <3 | + |
| 6 | MC | 40 | ++ | <10 | + |
| 7 | MC | 50 | ++ | <3 | + |
| 8 | MC | <10 | + | <20 | + |
| 9 | MC | 10 | + | <3 | + |
| 10 | MC | 80 | +++ | <10 | + |
| 11 | MC | 90 | +++ | <20 | ++ |
| 12 | NS | 95 | ++ | <20 | + |
| 13 | NS | 90 | +++ | <20 | + |
| 14 | MC | 80-90 | ++ | <10 | ++ |
| 15 | NS | 90 | +++ | <20 | ++ |
| 16 | NS | 60 | +++ | <10 | + |
| 17 | NS | 90 | +++ | <3 | + |
| 18 | NS | 60 | ++ | <20 | + |
| 19 | NS | 10 | + | <3 | + |
| 20 | NS | 30 | ++ | <10 | ++ |
Abbreviations: NS, nodular sclerosing; MC, mixed cellularity; +, weak; ++, moderate; +++, strong.
L428 and KM-H2 cells express defective IκBα proteins due to mutations in the IκBα gene.
We examined IκBα proteins in 7 different HD-derived cell lines (L428, L540, L591, L1236, HDLM-2, KM-H2, and HD-MyZ). Western blot analysis was performed using antibodies directed against the N- and the C-terminal epitope of IκBα.
The analysis of L428 cells with the antibody against the N-terminus showed the expression of a faster migrating IκBα form of about 30 kD (Fig 2A). When using the antibody directed against the C-terminus of IκBα, no protein was detectable in these cells (Fig 2B). Therefore, L428 cells appear to contain a C-terminally truncated form of the IκBα protein. In KM-H2 cells, no IκBα protein could be detected with both antibodies. The 5 remaining HD-derived cell lines (L540, L591, L1236, HD-LM2, and HD-MyZ) showed expression of full-length IκBα proteins of 38 kD (Fig 2).
Western blot analysis of IκB proteins in HD-derived cell lines. Whole-cell extracts were analyzed using specific antibodies against the N-terminus (A) and the C-terminus (B) of IκB. Specific protein bands are indicated by an arrow and the truncated form in L428 cells (IκB▵C) is marked with a dot.
Western blot analysis of IκB proteins in HD-derived cell lines. Whole-cell extracts were analyzed using specific antibodies against the N-terminus (A) and the C-terminus (B) of IκB. Specific protein bands are indicated by an arrow and the truncated form in L428 cells (IκB▵C) is marked with a dot.
Next, we analyzed the IκBα mRNA and the IκBα gene in HD-derived cell lines. Transcripts for IκBα were amplified by RT-PCR and sequenced. In L428 and KM-H2 cells, we detected mutated IκBα transcripts. L428 cells showed a point mutation at nucleotide position (pos) 893 of the human cDNA19 generating a preterminal stop codon (Fig 3A). When we examined KM-H2 cells, we detected 2 deletions, 1 between pos 509 and pos 613 and another between pos 618 and pos 640 (Fig 3B). These deletions result in a frame shift and are followed by a preterminal stop at pos 715. Genomic sequencing showed that the observed alterations are due to mutations in the IκBα gene. The genomic PCR detected only mutant and no wild-type IκBα sequences. These data show that the occurrence of defects of IκBα proteins in HRS cells is a consequence of mutations in the IκBα gene. In accordance with the Western blot data in both cell lines, the mutant forms of IκBα were expressed exclusively and no transcripts of wild-type IκBα were detectable.
Structure of mutant cDNA transcripts for IκB in L428 (A) cells and KM-H2 (B) cells and scheme of the predicted truncated IκB proteins. The ankyrin repeats required for the interaction with NF-κB are indicated by filled boxes. (A) A point mutation at pos 893 of the IκB cDNA sequence in L428 cells generates a preterminal stop as indicated. (B) Top panel: 2 deletions between pos 509 and 613 and pos 618 and 640 of the IκB cDNA in KM-H2 cells result in a frame shift followed by a preterminal stop codon at pos 715. Bottom panel: Alignment of the wild-type (w.t.) cDNA sequence of IκB and the mutant IκB sequence in KM-H2 cells. Deletions and the resulting frame shift are indicated.
Structure of mutant cDNA transcripts for IκB in L428 (A) cells and KM-H2 (B) cells and scheme of the predicted truncated IκB proteins. The ankyrin repeats required for the interaction with NF-κB are indicated by filled boxes. (A) A point mutation at pos 893 of the IκB cDNA sequence in L428 cells generates a preterminal stop as indicated. (B) Top panel: 2 deletions between pos 509 and 613 and pos 618 and 640 of the IκB cDNA in KM-H2 cells result in a frame shift followed by a preterminal stop codon at pos 715. Bottom panel: Alignment of the wild-type (w.t.) cDNA sequence of IκB and the mutant IκB sequence in KM-H2 cells. Deletions and the resulting frame shift are indicated.
Analysis of the IκBα gene in single HRS cells.
To investigate whether IκBα mutations could also be detected in primary HRS cells, we analyzed single HRS cells from lymph node biopsy samples from patients with HD. A total of 420 individual HRS cells were isolated from frozen sections of 10 patients, and the part of the IκBα gene comprising the mutations in the cell lines (2283 nt to 4391 nt)20 was divided into 3 parts and amplified by PCR. Between 5 and 11 PCR products were obtained from each amplified region, sequenced, and compared with the IκBα gene sequence.
In 1 case, we detected a point mutation in exon V (pos 3398; TGT → TGA) causing a stop codon, with the consequence of a preterminal breakage of the protein synthesis at amino acid 214 (Table 4; Fig 4). From 72 HRS cells of this case, 22 PCR products were obtained, 11 of which comprised the affected 3′-region of the IκBα gene. In 4 of 11 cells, we detected the stop codon exclusively, whereas an additional 4 cells contained both the mutant and the wild-type IκBα gene. This alteration did not occur in the remaining 3 HRS cells. This finding indicated that only 1 allele harbored the stop codon, whereas the other allele was wild-type. The IκBα gene of reactive bystander lymphocytes isolated from the same biopsy tissue showed no alteration, indicating that this stop codon was restricted to the HRS cells.
Detection of Mutations in the Intron and Exon Regions of the IκB Gene in Single HRS Cells
| Case . | No. of Isolated Cells . | Type . | No. of Ampli- ficates . | No. of Mutations . | |
|---|---|---|---|---|---|
| Intron . | Exon . | ||||
| 1 | 72 | NS | 22 | 3; del 19bp4-150 | 1 (⇒ Stop) |
| 1 (control cells) | 27 | NS | 21 | 3; del 19bp4-150 | — |
| 2 | 38 | NS | 22 | 3 | — |
| 3 | 24 | NS | 20 | 3; del 2bp | 14-151 |
| 4 | 43 | NS | 23 | 6 | — |
| 5 | 53 | NS | 24 | 6 | — |
| 6 | 38 | NS | 24 | 3 | — |
| 7 | 45 | NS | 13 | 3 | 14-151 |
| 8 | 42 | NS | 17 | 1 | — |
| 9 | 24 | MC | 21 | 4; del 19bp4-150 | 14-151 |
| 10 | 21 | MC | 19 | 6 | 14-151 |
| Case . | No. of Isolated Cells . | Type . | No. of Ampli- ficates . | No. of Mutations . | |
|---|---|---|---|---|---|
| Intron . | Exon . | ||||
| 1 | 72 | NS | 22 | 3; del 19bp4-150 | 1 (⇒ Stop) |
| 1 (control cells) | 27 | NS | 21 | 3; del 19bp4-150 | — |
| 2 | 38 | NS | 22 | 3 | — |
| 3 | 24 | NS | 20 | 3; del 2bp | 14-151 |
| 4 | 43 | NS | 23 | 6 | — |
| 5 | 53 | NS | 24 | 6 | — |
| 6 | 38 | NS | 24 | 3 | — |
| 7 | 45 | NS | 13 | 3 | 14-151 |
| 8 | 42 | NS | 17 | 1 | — |
| 9 | 24 | MC | 21 | 4; del 19bp4-150 | 14-151 |
| 10 | 21 | MC | 19 | 6 | 14-151 |
This 19 bp deletion was identical.
C to T transition at 2333 nt; as compared with the sequence published by Ito et al.20
Structure of the expected mutant IκB cDNA sequence in a patient with HD. Top panel: Alignment of the expected w.t. cDNA sequence of IκB and the predicted mutant IκB sequence in primary HRS cells. A point mutation at pos 739 generates a preterminal stop. Bottom panel: Presumable structure of the resulting truncated IκB protein in primary HRS cells. The ankyrin repeats required for the interaction with NF-κB are indicated by filled boxes.
Structure of the expected mutant IκB cDNA sequence in a patient with HD. Top panel: Alignment of the expected w.t. cDNA sequence of IκB and the predicted mutant IκB sequence in primary HRS cells. A point mutation at pos 739 generates a preterminal stop. Bottom panel: Presumable structure of the resulting truncated IκB protein in primary HRS cells. The ankyrin repeats required for the interaction with NF-κB are indicated by filled boxes.
Base substitutions in the introns were detectable in all cases, as well as in reactive lymphocytes (Table 4). However, because these modifications do not affect the coding sequence, they most likely represent irrelevant interindividual variations. In addition, the same silent base substitution was found in exon II of 4 cases (Table 4), indicative of an interindividual polymorphism.
DISCUSSION
The aim of this work was to identify molecular defects in the NF-κB regulatory system leading to constitutive NF-κB activation in HRS cells. In IκBα−/− mice, constitutive NF-κB activation could be observed in lymphoid cells.17Hence, this inhibitor appears to play a major role in regulating NF-κB activity in the lymphoid system.
In cultured HRS cells, mRNAs for IκBα are strongly overexpressed.15 To test if this is also valid for primary HRS cells, we examined 20 cases of classic HD by a highly sensitive radioactive in situ hybridization with an IκBα-specific cDNA probe. In all cases, we detected overexpression of IκBα mRNA in the HRS cells, whereas in normal lymphoid tissues and in cases of B-CLL and T-cell NHL, no or very little amounts of IκBα mRNA were found. Therefore, high levels of IκBα are a highly characteristic feature of cultured and primary HRS cells.
Because NF-κB activates transcription of its own inhibitor, this finding reflects the high transcriptional activity of NF-κB in this lymphoid malignancy.11 It has been demonstrated that enforced expression of IκBα leads to accumulation of the protein in the nucleus.12 Nuclear IκBα is involved in the export of NF-κB into the cytoplasm, thus contributing to the termination of NF-κB activity.13 The paradoxical finding of high NF-κB activity despite the strong expression of its inhibitor indicates that the NF-κB/IκB system is severely deregulated in HRS cells. A mechanism leading to this loss of control could be a defect of the IκBα molecule. To investigate this possibility, we analyzed IκBα transcripts in 7 HD-derived cell lines and found a disruption of the coding sequence by a stop codon in the cell line L428, and by 2 deletions followed by a stop codon in the cell line KM-H2. These mutations found in the RNA were confirmed by genomic sequencing, disclosing the existence of only mutated IκBα genes in the absence of wild-type alleles. In accordance with these sequence data, we detected expression of exclusively C-terminally truncated proteins in both cell lines consistent with previous reports.22 23
To analyze whether comparable IκBα mutations also occur in primary HRS cells, we isolated single HRS cells from CD30 immunostained tissue sections of 10 HD patients and analyzed the IκBα gene by single cell PCR. The IκBα gene of 1 case (case 1; Table 4) contained a mutation generating a preterminal stop of the translational machinery. The expected mRNA codes for a C-terminally truncated protein of about 214 amino acids comparable to that found in L428 cells. This stop codon was not found in nonmalignant lymphoid bystander cells of the same case, indicating that this mutation was specific for the HRS cells. No disruptive alterations were detectable in the IκBα genes of the HRS cells in the remaining 9 HD cases.
In contrast to cell lines with only mutant genomic sequences (L428 and KM-H2), the mutated HRS cells of case 1 contained both mutant and wild-type sequences, suggesting a monoallelic mutation of IκBα and presumably leading to coexpression of mutant and wild-type IκBα proteins. This raises the question as to the functional significance of this monoallelic mutation. It is well conceivable that the C-terminally truncated protein can block the wild-type protein. Aside from its function of retaining NF-κB in the cytoplasm, IκBα can localize in the nucleus and dissociate NF-κB-DNA complexes.13 A prerequisite for effective inhibition of NF-κB-DNA binding are the ankyrin repeats and an intact C-terminus, in which IκBα is constitutively phosphorylated at serine and threonine residues by casein kinase II.24-27 A role of the C-terminal end for the inhibition of NF-κB-DNA binding has recently been suggested by an x-ray structure analysis of the NF-κB/IκBα complex.28,29 Furthermore, IκBα contains a nuclear export signal (NES) at amino acids 264-281, which confers active shuttling of the NF-κB/IκBα complex to the cytosol.13 20 Therefore, the functionally defective truncated IκBα may protect DNA-bound NF-κB from dissociation by wild-type IκBα and interfere with the nuclear export pathway. As a consequence of this process NF-κB-DNA binding activity would be maintained in HRS cells.
Although the observed mutation is found only in 1 of 10 cases, our data provide the first indication that permanently activated NF-κB in primary HRS cells might be a consequence of gene mutations of one of its inhibitors. Studies on constitutive NF-κB activity have shown that a hypophosphorylated form IκBβ shields NF-κB from IκBα-mediated inhibition and plays an important role in permanent NF-κB activation. It is therefore tempting to speculate that defects of additional members of the IκB family contribute to the functional blockage of IκBα in the remaining cases. Further expression and molecular studies are required to investigate this possibility.
Supported by a grant of the Deutsche Forschungsgemeinschft (DFG; Ste 318/5-2).
The publication costs of this article were defrayed in part by page charge payment. This article must therefore be hereby marked “advertisement” in accordance with 18 U.S.C. section 1734 solely to indicate this fact.
REFERENCES
NOTE ADDED IN PROOF
During the review process, a report that was submitted after ours has appeared dealing with the analysis of IκBα mutations in enriched RS cells. The investigators described IκBα mutations in 2 of 8 HD cases, which cause a preterminal truncation of the IκBα protein.30
Author notes
Address reprint requests to Harald Stein, MD, Institute of Pathology, Benjamin Franklin University Hospital, Free University Berlin, Hindenburgdamm 30, 12200 Berlin, Germany; e-mail:stein@ukbf.fu-berlin.de.





This feature is available to Subscribers Only
Sign In or Create an Account Close Modal