Abstract
Carbonic anhydrase II (CAII), found in renal tubules, brain, and osteoclasts, is critical in acid-base homeostasis and bone remodeling. Deficiency of CAII gives rise to a syndrome of osteopetrosis, renal tubular acidosis (RTA), and cerebral calcification with associated developmental delay. It is inherited in an autosomal recessive fashion and found most frequently in the Mediterranean region and the Middle East. We report 2 related Irish families with clinically severe CAII deficiency in whom the gene mutation has been fully elucidated. Two children, one from each family, have undergone allogeneic bone marrow transplantation because of severe progressive visual and hearing loss. The older 2 children had already developed cerebral calcification and marked visual loss at the time of diagnosis and were treated symptomatically. Post-transplantation evaluation at 2 and 3 years demonstrates histologic and radiologic resolution of their osteopetrosis with stabilization of hearing and vision. Both children remain developmentally delayed and continue to have RTA, and the older child has now developed cerebral calcification. Allogeneic bone marrow stem cell replacement cures the osteoclast component of CAII deficiency and retards the development of cerebral calcification, but it appears to have little or no effect on the renal lesions.
Introduction
The carbonic anhydrases (CA) have important physiologic functions in the body to accelerate the association of CO2 and H2O to form H2CO3, which dissociates to H+ and HCO3−. Carbonic anhydrase II (CAII) is the most catalytically active of the group, with the widest tissue distribution being found in bone, kidney, brain, and erythrocytes, with osteoclasts being particularly rich in CAII. Deficiency of CAII impairs the production of H+ by the osteoclast and, thus, bone resorption is blocked, leading to the development of osteopetrosis.1 The CA gene has been defined and located on chromosome 8.2
CAII deficiency is an autosomal recessive inherited condition that gives rise to osteopetrosis, renal tubular acidosis (RTA), and cerebral calcification.3 Short stature, fractures, cranial nerve compression, and developmental delay are variable findings.1 Severe mental retardation occurs in the Arabic4 and Japanese5 populations, but normal or only mildly abnormal development has been reported in some American kindreds.6 There are 12 described mutations of the CAII gene. However, 3 mutations (His107Tyr, 2971G→a, and 744delA) account for more than 90% of the reported patients with CAII deficiency.7
Autosomal recessive “malignant” osteopetrosis is a more aggressive form of osteopetrosis. The failure of osteoclasts to reabsorb immature bone results in more severe impairment of bone remodeling, causing bony narrowing of the cranial nerve foramina with cranial nerve, especially optic nerve, compression; abnormal bone marrow cavity formation, resulting in bone marrow failure; and abnormal remodeling of primary, woven bone to lamellar bone, giving rise to “brittle” bone that is prone to fracture.8,9 Thus, fracture, visual impairment, and bone marrow failure are the clinical features of this type of osteopetrosis. Most of these children have massive extramedullary hemopoietic hepatosplenomegaly, and those who become transfusion-dependent before the age of 3 months frequently die in infancy from bone marrow failure and overwhelming infection.8,9 Bone marrow transplantation (BMT) can be curative, with almost an 80% 5-year disease-free survival when the donor is HLA-identical but less than 40% when an alternative donor is used.8
The role of BMT in CAII deficiency is less clear, mainly because some kindreds have a mild phenotype or the diagnosis may be delayed and the patient may have irreparable neurologic damage. CAII deficiency may also be mistaken for osteopetrosis with primary neurodegeneration, which has a very poor prognosis even with transplantation.10 It has been postulated that BMT is unlikely to correct RTA,11 but its effects on other features of the syndrome such as developmental delay and cerebral calcification are unknown. The long-term sequelae of symptomatically treated CAII deficiency are also unclear, because only 2 patients with CAII deficiency have had complications documented in later life and these complications may have been related to uncorrected osteopetrosis. One individual developed restrictive lung disease and another sleep apnea at 34 years of age.1
The Irish Traveller population is a nomadic/seminomadic cultural grouping within the Irish population, and there is a high incidence of consanguinity. Within one such kindred there are 4 individuals with homozygous CAII deficiency, 7 with heterozygous deficiency, and 1 unaffected member. We report 4 individuals with severe homozygous CAII deficiency in whom a novel mutation in exon 6 has been characterized. Two children were diagnosed shortly after birth and subsequently underwent allogeneic BMT within the first 14 months of life. The other 2 homozygous children were diagnosed later in life and were not considered suitable candidates for BMT.
Patients, materials, and methods
Case histories
Two children aged 9 and 4 months (children A and C) with osteopetrosis from 2 related Traveller families (family 1 and 2) were referred as possible BMT candidates. Subsequently, their older siblings, aged 2 years, 11 months and 7 years, 8 months (children B and D), were also referred for evaluation. There was a history of consanguinity within both families. Children A and B were from family 1 and C and D from family 2.
Initial assessment of the children included full blood count; renal, liver, and bone electrolyte profile; and acid-base estimation. Growth was assessed using Tanner charts and development measured by formal developmental scores. Audiology and ophthalmic reviews were undertaken and included measurement of electroretinogram (ERG), visual evoked potentials (VER), and brain stem evoked responses (BSER). Computed tomography (CT) scan of brain was performed. The association of osteopetrosis and RTA was noted, and CAII levels were measured. Subsequently, A and C were referred for allogeneic BMT in an attempt to prevent long-term neurologic damage. The older children, having already sustained irreparable neurologic damage, were managed symptomatically. All 4 children have had repeated evaluation to monitor disease status.
Family 1 has 6 children; the oldest, child B, was born in 1990. She has osteopetrosis, cerebral calcification, hearing and visual loss, and mild RTA. She developed multiple fractures in the first 2 years of life. She is developmentally delayed by 18 to 24 months and has short stature, height below the third percentile, and weight at the 10th percentile. Her CAII level is 0.4 U/mg hemoglobin (Hb) (normal female range 5.4-15.1 U/mg Hb).12 Her youngest brother, child A, was born in 1995. He was assessed at 9 months of age and had osteopetrosis and RTA but no evidence of cerebral calcification. He was developmentally delayed by 2 months and was rapidly developing visual loss in his left eye. His height was at the 25th percentile. CAII level was 0.3 U/mg Hb (normal male range 5.5-11.7 U/mg Hb).12Three other children, including the HLA-compatible donor, had half-normal levels, and only one child had normal levels.
Family 2 has 2 children. Child D was born in 1994 but did not have a bone marrow donor available at that time. At initial assessment she was found to have osteopetrosis, RTA, cerebral calcification, and developmental delay of 2 years. She also had short stature, with height at the third percentile and weight at the eighth percentile. She had developed serious optic nerve damage by 5 months of age, which required urgent neurosurgical intervention, but this was only partially successful and she had only residual tunnel vision and poor visual acuity. She also had hearing difficulty. Her CAII level was 0.3 U/mg Hb. Her brother, child C, born in 1996 with osteopetrosis and RTA, was assessed at 4 months of age. He had evidence of developmental delay but no cerebral calcification. His height was at the 20th percentile. He developed very rapid hearing and visual loss during the period of assessment. His CAII level was also 0.3 U/mg Hb. All 4 children (A-D) had normal blood counts, and there was no evidence of hepatosplenomegaly.
CAII gene mutation analysis
CAII gene analysis was performed using single-strand polymorphism and direct sequencing of polymerase chain reaction products as previously described.7 Both patients were found to be homozygous for a novel mutation in exon 6 of the CAII gene. Twelve base pairs (GCTCAAGGAACC), including nucleotides 696 to 707, are deleted and are replaced by 4 nucleotides (CACA). This del12/ins4 causes a frameshift in codon 211 leading to a stop after 13 missense amino acids. The resulting protein lacks, at the C-terminal, 36 amino acids. The mutation eliminates an SduI restriction site present in the normal sequence.
BMT: donor selection and conditioning
Child A underwent BMT from his histocompatible heterozygous CAII-deficient (3.2 U/mg Hb) sister. Child C received a BMT from his class I and class II HLA-identical paternal aunt who had normal CAII levels. The children were conditioned with busulfan (5 mg/kg/d) over 4 days, followed by cyclophosphamide (50 mg/kg/d) again given over 4 days. Low molecular weight heparin (100 IU/kg once a day subcutaneously), acyclovir (10 mg/kg 3 times a day intravenously), and cotrimoxazole (240 mg twice a day by mouth after neutrophil engraftment of more than 0.5 × 109/L) were given as prophylaxis against hepatic veno-occlusive disease, herpesvirus infections, andPneumocystis carinii infections, respectively. Cyclosporin A was given intravenously and then orally at a dose producing a 12-hour trough plasma level of between 100 and 200 ng/L for 1 year post-BMT as graft-versus-host disease (GVHD) prophylaxis. Child A received 6 × 108 nucleated marrow cells per kilogram of body weight, and child C received 4.2 × 108 cells/kg. Child A engrafted on day 12 and child C on day 18 (neutrophils > 0.5 × 109/L).
Post-transplant complications
Hypercalcemia and hyperphosphatemia.
Child A developed hypercalcemia and hyperphosphatemia at day 15 post-BMT, which required treatment with diuretics, dietary manipulation, and steroids. The hypercalcemia subsided by day 30, but the hyperphosphatemia continued to be problematic: Child A required total parenteral nutrition, and it only normalized after day 82. Child C developed hypercalcemia and hyperphosphatemia on day 25 post-BMT but required treatment only with dietary manipulation, fluids, and diuretics.
Delayed GVHD of skin, liver, and gut.
Both children had early evidence of acute skin GVHD, which resolved using intravenous steroids (2 mg/kg for 10 days). Both children developed delayed GVHD of liver and gut 6 months after transplantation. Child A has grade 3 disease, which failed to respond to intravenous steroids and required horse antilymphocyte globulin (15 mg/kg for 5 days) to achieve resolution of signs and symptoms. Child C had milder GVHD (grade 2), which responded to methylprednisolone (1 g/m2 for 2 days) with tapering of the dose over a 1-month period.
Poor feeding.
Neither child had a well-developed suck and oropharyngeal coordination. They consistently refused to feed, requiring total parenteral nutrition, nasogastric feeding and, finally, percutaneous gastroenterostomy tube feeding, which continued in children C and D for 1 and 3 years after transplantation, respectively.
Long-term follow-up post-BMT
Child A is now 42 months post-BMT, and his CAII level is 3.8 U/mg Hb. He has normal bone marrow function, chimerism studies confirm full donor hematopoiesis, and his osteopetrosis has fully resolved. (Figures 1 and2). His hearing measured by conventional audiology testing is normal, although BSER measurement demonstrates minor nerve conduction abnormalities on the right side. Visual acuity is poor, and he still demonstrates abnormal VERs, but overall vision has stabilized. Interestingly, his RTA transiently improved after transplantation, as evidenced by no bicarbonate requirement for the first month. However, his acidosis subsequently recurred, and he now receives regular oral bicarbonate supplementation. He remains developmentally delayed by 18 months, which may in part be due to prolonged hospitalization post-BMT; he is now showing an encouraging response to recently introduced intensive educational support. His growth has been maintained, and height is at the 25th percentile. Brain CT at 3 years demonstrated evidence of calcification in the frontal lobes close to the junction of the white and gray matter for the first time, but repeat scanning 9 months later does not demonstrate progression of this calcification.
X-rays before and after BMT.
X-ray prior to BMT (left panel) shows diffuse sclerosis of the femora and ileum along with Erlenmeyer flask deformity (metaphyseal widening) of the distal femora. One year following BMT (right panel), x-ray shows complete resolution of sclerosis and metaphyseal widening.
X-rays before and after BMT.
X-ray prior to BMT (left panel) shows diffuse sclerosis of the femora and ileum along with Erlenmeyer flask deformity (metaphyseal widening) of the distal femora. One year following BMT (right panel), x-ray shows complete resolution of sclerosis and metaphyseal widening.
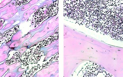
Bony trabeculae before and after BMT.
Bone biopsy prior to BMT (left panel) shows bony trabeculae to be irregular and increased in number and to contain residual strips of unremodeled cartilage (blue-gray within the pink trabecular bone). Osteoclasts are not increased. The marrow cavity contains trilineage hematopoiesis but is markedly reduced. Post-BMT (right panel), the bony trabeculae are normal with no residual cartilage. The marrow space is expanded by cellular trilineage hematopoiesis. Both illustrations show hematoxylin-eosin–stained sections at 140 ×.
Bony trabeculae before and after BMT.
Bone biopsy prior to BMT (left panel) shows bony trabeculae to be irregular and increased in number and to contain residual strips of unremodeled cartilage (blue-gray within the pink trabecular bone). Osteoclasts are not increased. The marrow cavity contains trilineage hematopoiesis but is markedly reduced. Post-BMT (right panel), the bony trabeculae are normal with no residual cartilage. The marrow space is expanded by cellular trilineage hematopoiesis. Both illustrations show hematoxylin-eosin–stained sections at 140 ×.
Child C is now 30 months post-BMT and is now a full donor chimera, demonstrated both by CAII levels in his erythrocytes and studies of DNA from leukocytes. His osteopetrosis has resolved, and he has no evidence by CT scan of cerebral calcification. Audiology is normal, and vision, measured by confrontation and VERs, has stabilized. His RTA persists and requires oral bicarbonate supplementation. He has evidence of marked developmental delay and, when assessed at 39 months, was functioning at the 1-year level. His growth has also decelerated, and his height is now at the 10th percentile.
Long-term follow-up of the nontransplanted group
Child B and D have osteopetrosis, RTA, and extensive nonprogressive cerebral calcification. Growth is restricted and height is at the third percentile. Child B has optic and auditory nerve conduction defects demonstrated by abnormalities of VER and BSER, but audiologic testing is within normal limits. Child D has continued visual deterioration with increasing prolongation of P2 measured by VER despite optic foramen decompression. Both children are developmentally delayed, but this also appears nonprogressive. Child C attends normal junior school although she requires additional educational intervention. Child D is more significantly delayed and does not attend school.
Discussion
Abnormalities of the osteoclast have been shown in animal models of osteopetrosis,13-15 but there are few human models of osteopetrosis. CAII deficiency causes a defect in acidification of the bone resorbing compartment by the osteoclast, preventing bone resorption and leading to cranial nerve abnormalities. Retinal dysfunction has also been reported, and it is suggested that VER and ERG evaluation are particularly important in assessment of young children.16 Child B has recently been reassessed because of deteriorating vision. Magnetic resonance imaging has not demonstrated bony encrochment, but VER and ERG are abnormal, suggesting that in this group primary retinal abnormalities may play a significant role in visual loss.
BMT, which reverses osteopetrosis and restores hematopoiesis, is the treatment of choice for children with autosomal recessive “malignant” osteopetrosis because of the poor long-term life expectancy.17 18 The role of BMT for osteopetrosis secondary to CAII deficiency, a condition that may have very significant morbidity but an ill-defined mortality risk, has not been previously described. We have demonstrated that BMT does benefit these patients because it reversed osteopetrosis and, in doing so, stabilized vision and hearing and improved their growth potential. The onset of cerebral calcification may have been delayed but was not prevented in one child. Interestingly, calcification has occurred in the child transplanted from a heterozygote donor, while child C, who was transplanted from a donor with normal CAII levels, has no evidence of cerebral calcification at an age when his nontransplanted sibling demonstrated extensive calcification. Thus, in the CAII deficiency syndrome, marrow stem cell transplantation restores normal osteoclast function and bone remodeling, fails to provide a self-replenishing source of enzyme to renal tubular cells, and may prevent cerebral calcification if the donor is homozygote wild type for CAII.
All children have some evidence of developmental delay. The children of family 2 are more severely affected even though all 4 children have the same genetic mutation. This type of phenotypic variability has also been described in the Hispanic group.19 The influence of BMT on developmental delay is difficult to assess yet because of the prolonged hospitalization of both transplanted children and their suboptimal social circumstances. The causes of the developmental delay associated with CAII deficiency are unclear but are not simply associated with cerebral calcification. It has been shown experimentally that CAII-deficient oligodendrocytes show delayed maturation,20 and it is possible that abnormalities at a cellular level, which are not corrected by transplantation, also contribute to the developmental delay. The failure to arrest the developmental defect parallels failure to restore normal renal tubular acidification.
While allogeneic BMT is not without risk, children with osteopetrosis undergoing transplantation have added specific complications. Both children developed transient hypercalcemia as a result of osteoclast engraftment,8,21 which, particularly in the case of child A, required prolonged aggressive treatment albeit without the use of bisphosphonates and calcitonin, which have been used successfully in severe recalcitrant hypercalcaemia after transplantation for “malignant” osteopetrosis.21
The phenotype of CAII deficiency may vary considerably. Some patients lead relatively normal lives. The treatment for such patients should be symptomatic because the risks of BMT are unjustified. Others with CAII deficiency have a much more damaging phenotype. In those patients, we believe BMT should be considered and undertaken as early as possible in life to prevent long-term damage. In pedigrees where severe skeletal abnormalities are the most disabling feature, BMT offers significant hope for improvement. We are unsure yet if developmental delay can be reversed but, if this could be demonstrated, the case for BMT would become even stronger.
We thank Dr Deirdre Devaney and Dr Sean O Brien for their help with the trephine histology presentations.
The publication costs of this article were defrayed in part by page charge payment. Therefore, and solely to indicate this fact, this article is hereby marked “advertisement” in accordance with 18 U.S.C. section 1734.
References
Author notes
Owen P. Smith, Dept of Paediatric Haematology, National Children's Hospital, Tallaght Hospital, Dublin 24, Ireland; e-mail: osmith@stjames.ie.


This feature is available to Subscribers Only
Sign In or Create an Account Close Modal