TO THE EDITOR:
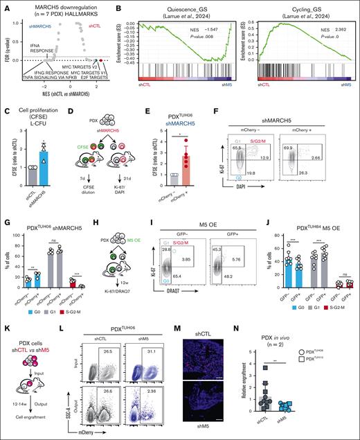
Acute myeloid leukemia (AML) is a rapidly progressing blood cancer characterized by excessive growth of transformed immature progenitor cells in the bone marrow and bloodstream.1,2 Although chemotherapy is the primary treatment modality for AML, its efficacy is often compromised by the emergence of drug-resistant cells, leading to disease relapse and poor patient outcomes. This highlights the urgent need for innovative therapeutic approaches.2 Recently, the B-cell lymphoma 2 inhibitor venetoclax has shown great promise in AML therapy. By targeting mitochondrial antiapoptotic pathways, venetoclax has improved survival in combination with cytarabine or 5-azacytidine, establishing these combinations as the new standard of care for patients ineligible for intensive chemotherapy.3,4 The potent antileukemic activity of venetoclax underscores the importance of mitochondria as a central target in the development of novel AML therapies. In particular, mitochondrial metabolism is a critical vulnerability of leukemic stem cells (LSCs), a rare cell subset responsible for driving drug resistance and relapse in AML.5-9 LSCs also rely heavily on mitophagy, a specialized form of autophagy that facilitates the removal of damaged mitochondria to maintain cell survival.10,11 Our recent investigations into mitochondrial vulnerability in AML have shown that disruption of mitochondrial fusion by silencing mitofusin 2 (MFN2) or optic atrophy 1 (OPA1) leads to cell-cycle arrest and significant antileukemic effects both in vitro and in vivo.12 However, the detailed mechanisms by which mitochondrial dynamics influence cell-cycle transitions remain largely unexplored. To address this gap, we performed a comprehensive analysis of mitochondrial morphology and dynamics in quiescent and cycling cells using patient-derived xenograft (PDX) models of AML in immunodeficient NOD/SCID/IL-2R-γchain null (NSG) mice (Figure 1A; supplemental Table 1). In PDX-AML samples containing 89% to 98% human AML cells, confocal imaging revealed significantly larger mitochondria in cycling (Ki-67+) cells than quiescent (Ki-67–) cells (Figure 1B; supplemental Figure1A; supplemental Table 1). To investigate the differential requirements of key mitochondrial membrane dynamics factors during cell-cycle progression, we sorted quiescent and cycling leukemic cells and performed targeted gene and protein expression analyses in these populations (Figure 1C). The factors analyzed included profusion (MFN1, MFN2, and OPA1) and profission (mitochondrial fission factor and dynamin-like 1) proteins, as well as the mitochondrial E3 ubiquitin ligase membrane-associated ring-CH-type finger 5 (MARCH5), which posttranslationally regulates several of these mitochondrial dynamics factors.13-17 Notably, MARCH5 was the most differentially overexpressed in cycling compared with quiescent PDX-AML cells (Figure 1D-E; supplemental Table 2). To identify MARCH5 targets in AML cells, we performed interactome profiling by immunoprecipitation. We expressed wild-type MARCH5 and an E3-ligase–deficient mutant form of MARCH5 (MARCH5-H43W) in the OCI-AML2 AML cell line (supplemental Figure 1B).16 Quantitative proteomics on the immunoprecipitation products identified several binding partners of MARCH5, including MFN2, whose interaction was dependent on the E3-ligase activity of MARCH5 (Figure 1F-G). However, MARCH5 knockdown did not alter MFN1 or MFN2 protein expression in the MOLM-14 and OCI-AML2 cell lines, suggesting that MARCH5 posttranslationally affects the function but not the expression of mitochondrial dynamics effectors in AML (supplemental Figure 1C). These results suggest that MARCH5 may facilitate mitochondrial fusion through its interaction with MFN2.12 To investigate the role of MARCH5 in mitochondrial morphology, we used conditional knockdown of MARCH5 in the MOLM-14 and OCI-AML2 cell lines (supplemental Figure 1D). Electron microscopy revealed that MARCH5 depletion resulted in significantly shorter mitochondria, reduced mitochondrial area, and increased mitochondria numbers per cell (Figure 1H-K). In addition, we transduced PDX-AML cells with mCherry-tagged short hairpin RNAs (shRNAs) targeting MARCH5 (Figure 1L). As shown by confocal imaging, MARCH5 knockdown resulted in shorter mitochondria (Figure 1M). Conversely, MARCH5 overexpression using a green fluorescent protein (GFP)–tagged lentiviral vector–induced mitochondrial elongation in PDX-AML cells (Figure 1N-O). Taken together, these results demonstrate that MARCH5 interacts with the profusion protein MFN2 to promote mitochondrial elongation in AML cells. Subsequent differential gene expression analysis in PDX samples and AML cell lines after MARCH5 knockdown revealed a strong association between MARCH5 inhibition and depletion of cell-cycle–related signatures (Figure 2A-B; supplemental Figure 2A).18 Analysis of the Cancer Genome Atlas data set corroborated these findings, showing enrichment for cell-cycle progression signatures in patients with high MARCH5 expression, whereas low MARCH5 expression was associated with quiescence signatures (supplemental Figure 2B-C). To further characterize the role of MARCH5 in cell cycle and proliferation, we used carboxyfluorescein succinimidyl ester (CFSE) labeling of PDX-AML cells.19 Leukemia colony-forming unit assays showed that MARCH5 knockdown significantly reduced colony formation and increased CFSE retention, indicating that cell proliferation was inhibited compared with the control condition (Figure 2C; supplemental Figure 2D). In subsequent in vivo assays, we used CFSE and Ki-67 staining, taking advantage of the mCherry tag of MARCH5-targeting shRNA vectors, to distinguish leukemic cell populations based on MARCH5 expression (Figure 2D). After labeling PDX-AML cells ex vivo with CFSE and expanding them into recipient mice, we observed a significant CFSE retention in the mCherry-positive MARCH5-low cell population, demonstrating that MARCH5 silencing inhibited cell proliferation in vivo (Figure 2E; supplemental Figure 2E). Additional PDX assays using Ki-67 staining after 3 weeks in vivo revealed a significant accumulation of cells in the G0 phase (Ki-67-) in the mCherry-positive MARCH5-low cell population, with a corresponding depletion of the S-G2-M (Ki-67+DAPI+ [4′,6-diamidino-2-phenylindole positive]) subset (Figure 2G). Propidium iodide experiments in AML cell lines after MARCH5 knockdown also showed accumulation in G1 phase and decreased S and G2/M phases, confirming that MARCH5 also controls proliferation in AML cells (supplemental Figure 2F).
Targeting MARCH5 inhibits cell proliferation and prevents cell-cycle entry in PDX-AML cells in vivo. (A-C) PDX-AML cells were transduced with CTL or anti-MARCH5 shRNAs. (A-B) Gene expression was assessed by microarrays, and differential gene expression was analyzed by gene set enrichment analysis (n = 7 different PDX models). (A) Results are plotted as normalized enrichment score (NES) for hallmark signatures vs false discovery rate (FDR) q value. (B) Enrichment plots for quiescence or cycling signatures in AML.18 (C) PDX-AML cells were incubated with CFSE and then seeded in methylcellulose. Cells were cultured for 10 days, and CFSE was quantified by flow cytometry. Results are presented as CFSE mean fluorescence intensity (n = 3 different PDX models). (D-G) Leukemic cells from the PDXTUH06 model were transduced with mCherry-positive anti-MARCH5 shRNA. In the first experiment, cells were labeled ex vivo with CFSE and expanded in NSG mice for 7 days (n = 5). In the second experiment, PDX-AML cells transduced with anti-MARCH5 shRNA were expanded in vivo for 21 days and Ki-67/DAPI staining was performed (n = 5). (D) Schematic representation. (E) CSFE retention was measured in mCherry-positive (efficiently transduced) vs mCherry-negative (untransduced CLTs) cells. (F) Representative flow cytometry contour plots of Ki-67 vs DAPI in mCherry-positive and mCherry-negative cells. (G) Analysis of cell-cycle phases using Ki-67 and DRAQ7 staining in mCherry-positive and mCherry-negative cells. (H-J) Leukemic cells from the PDXTUH84 model were transduced with a GFP-tagged M5 OE vector and transplanted into NSG mice for 12 to 14 weeks (n = 8). (H) Schematic representation. (I) Representative flow cytometry contour plots of Ki-67 vs DRAQ7 in GFP+ and GFP– leukemic cells. (J) Analysis of cell-cycle phases using Ki-67 and DRAQ7 staining in GFP+ and GFP– cells. (K-N) PDX-AML cells were transduced with mCherry-tagged CTL or anti-MARCH5 shRNAs and transplanted into NSG mice for 12 to 14 weeks. (K) Summary diagram of the experiments. (L) Representative contour plots for mCherry vs side scatter-A (SSC-A) before transplantation (input) and after 12 to 14 weeks in vivo (output). (M) Representative confocal microscopy images at 20× original magnification of mouse bone marrow sections (scale bars, 50 μm). (N) Relative engraftment (output to input ratio) in shRNA shCTL vs shRNA targeting MARCH5 (shMARCH5) groups. Each dot represents the results observed in a single mouse (n = 2 different PDX models; n = 5-6 mice per experimental arm). IFNA, interferon alfa; IFNG, interferon gamma; L-CFU, leukemia colony-forming unit; ns, not significant; shCTL, sh control; shM5, shMARCH5; TNFA, tumor necrosis factor-α. ∗P < 0.05, ∗∗P < 0.01, ∗∗∗P < 0.001.
Targeting MARCH5 inhibits cell proliferation and prevents cell-cycle entry in PDX-AML cells in vivo. (A-C) PDX-AML cells were transduced with CTL or anti-MARCH5 shRNAs. (A-B) Gene expression was assessed by microarrays, and differential gene expression was analyzed by gene set enrichment analysis (n = 7 different PDX models). (A) Results are plotted as normalized enrichment score (NES) for hallmark signatures vs false discovery rate (FDR) q value. (B) Enrichment plots for quiescence or cycling signatures in AML.18 (C) PDX-AML cells were incubated with CFSE and then seeded in methylcellulose. Cells were cultured for 10 days, and CFSE was quantified by flow cytometry. Results are presented as CFSE mean fluorescence intensity (n = 3 different PDX models). (D-G) Leukemic cells from the PDXTUH06 model were transduced with mCherry-positive anti-MARCH5 shRNA. In the first experiment, cells were labeled ex vivo with CFSE and expanded in NSG mice for 7 days (n = 5). In the second experiment, PDX-AML cells transduced with anti-MARCH5 shRNA were expanded in vivo for 21 days and Ki-67/DAPI staining was performed (n = 5). (D) Schematic representation. (E) CSFE retention was measured in mCherry-positive (efficiently transduced) vs mCherry-negative (untransduced CLTs) cells. (F) Representative flow cytometry contour plots of Ki-67 vs DAPI in mCherry-positive and mCherry-negative cells. (G) Analysis of cell-cycle phases using Ki-67 and DRAQ7 staining in mCherry-positive and mCherry-negative cells. (H-J) Leukemic cells from the PDXTUH84 model were transduced with a GFP-tagged M5 OE vector and transplanted into NSG mice for 12 to 14 weeks (n = 8). (H) Schematic representation. (I) Representative flow cytometry contour plots of Ki-67 vs DRAQ7 in GFP+ and GFP– leukemic cells. (J) Analysis of cell-cycle phases using Ki-67 and DRAQ7 staining in GFP+ and GFP– cells. (K-N) PDX-AML cells were transduced with mCherry-tagged CTL or anti-MARCH5 shRNAs and transplanted into NSG mice for 12 to 14 weeks. (K) Summary diagram of the experiments. (L) Representative contour plots for mCherry vs side scatter-A (SSC-A) before transplantation (input) and after 12 to 14 weeks in vivo (output). (M) Representative confocal microscopy images at 20× original magnification of mouse bone marrow sections (scale bars, 50 μm). (N) Relative engraftment (output to input ratio) in shRNA shCTL vs shRNA targeting MARCH5 (shMARCH5) groups. Each dot represents the results observed in a single mouse (n = 2 different PDX models; n = 5-6 mice per experimental arm). IFNA, interferon alfa; IFNG, interferon gamma; L-CFU, leukemia colony-forming unit; ns, not significant; shCTL, sh control; shM5, shMARCH5; TNFA, tumor necrosis factor-α. ∗P < 0.05, ∗∗P < 0.01, ∗∗∗P < 0.001.
In addition, we overexpressed MARCH5 in PDXTUH84 using a GFP-tagged expression vector and observed a decrease in G0 phase and an enrichment in G1 phase in the GFP+ population overexpressing MARCH5 compared with the nontransduced GFP– cells (Figure 2H-J). These results demonstrate that MARCH5 induces progression through the G0 to G1 phases of the cell cycle and contributes to proliferation in AML cells. Finally, we observed that MARCH5 downregulation significantly impaired leukemia-initiating cell capacities as evidenced by the reduced expansion of mCherry-positive cells in vivo in MARCH5 shRNA but not in control conditions (Figure 2K-N). Taken together, these results underscore the critical role of MARCH5 in cell-cycle progression, proliferation, and leukemia expansion in PDX-AML models. MARCH5 is involved in several aspects of cellular homeostasis, including apoptosis, mitochondrial morphology, mitochondria-endoplasmic reticulum contacts, and antiviral response.13,17,20,21 Furthermore, CRISPR associated protein 9–mediated knockout of MARCH5 sensitizes AML cells to venetoclax-induced apoptosis, highlighting its potential as a target for novel AML therapies.22 In this study, we demonstrate that MARCH5 activity, facilitated by a critical interaction with the profusion factor MFN2, promotes mitochondrial elongation, which is closely associated with cell-cycle entry in AML cells. These findings refine our understanding of MARCH5 as a potential therapeutic target in AML by demonstrating its net effect on mitochondrial membrane dynamics in favor of fusion. This is important given that MARCH5 can regulate both profusion and profission proteins, including MFN1, MFN2, and dynamin-like 1, in a context-dependent manner.17 In addition, mitochondrial fission plays an important role in cancer biology, including the maintenance of LSCs.10 The potential compensatory increase in fission after the inhibition of mitochondrial fusion factors presents a challenge but also an opportunity to optimize mitochondrial-targeted strategies in AML therapy. In conclusion, this study elucidates the pro-oncogenic role of MARCH5 in cell-cycle entry, dependent on mitochondrial fusion, and establishes MARCH5 as a promising target for the development of innovative therapeutic strategies in AML.
All experiments were performed in accordance with the guidelines of the Association for Assessment and Accreditation of Laboratory Animal Care International, with protocols approved by the Geneva Department of Health (GE/123/19 and GE/166). Primary cells from anonymized patients with AML were obtained from the Inserm Hematological Malignancies in the Midi-Pyrénées region collection (BB-0033-00060). This collection is registered with the Ministry of Higher Education and Research (DC 2008-307, Collection 1). A transfer agreement (AC 2008-129) was obtained after ethics committee approval before sample acquisition. All patients provided written informed consent for the use of their samples in research, in accordance with ethical guidelines and the tenets of the Declaration of Helsinki.
Acknowledgments: The authors thank the Electron Microscopy (Pôle Facultaire de Microscopie Ultrastructurale), Flow Cytometry, Bioimaging, Genomics (Institute of Genetics and Genomics of Geneva), Proteomics, Reader Assay Development and Screening, and Zootechnie Core Facilities of the Geneva University Medical School for their technical support. The authors thank Jean-Emmanuel Sarry (Cancer Research Center of Toulouse, France) for providing us primary cells from patients with acute myeloid leukemia, which we then amplified in vivo in NSG mice to generate the patient-derived xenograft used in this article.
This work was supported by grants from the Dr. Henri Dubois-Ferrière Dinu Lipatti Foundation, the Geneva University Hospitals Private Foundation, the Ligue Genevoise contre le Cancer and the Fondation Pour l'Innovation Sur Le Cancer, and the Promex Foundation for Research. This work was also supported by grants from the Translational Research Center for Hemato-Oncology (University of Geneva, Faculty of Medicine, Geneva, Switzerland) funded by the Copley May Foundation, the Medic Foundation, and the Pastré Foundation.
Contribution: C.L. and S.M. investigated the study; J.T. contributed to project administration; C.L. and J.T. contributed to conceptualization, supervision, validation, funding acquisition, and writing, including preparation of the original draft of the manuscript; and all authors contributed to methodology and visualization.
Conflict-of-interest disclosure: The authors declare no competing financial interests.
Correspondence: Clément Larrue, Centre de Recherches en Cancérologie de Toulouse, 2 Av. Hubert Curien, 31100 Toulouse, France; email: clement.larrue@inserm.fr; and Jerome Tamburini, Faculty of Medicine, University of Geneva, rue Michel-Servet 1, 1206 Geneva, Switzerland; email: jerome.tamburinibonnefoy@unige.ch.
References
Author notes
The transcriptomic data will soon be deposited on a public repository (Gene Expression Omnibus).
The full-text version of this article contains a data supplement.


