Key Points
α-Actinin-1 deficiency in MKs is associated with low platelet count and leads to impaired platelet function and thrombosis.
α-Actinin-1 is critical for mitochondrial function, and α-actinin-1 deficiency results in impaired mitochondrial bioenergetics.
Visual Abstract
Cytoskeletal remodeling and mitochondrial bioenergetics play important roles in thrombocytopoiesis and platelet function. Recently, α-actinin-1 mutations have been reported in patients with congenital macrothrombocytopenia. However, the role and underlying mechanism of α-actinin-1 in thrombocytopoiesis and platelet function remain elusive. Using megakaryocyte (MK)–specific α-actinin-1 knockout (KO; PF4-Actn1−/−) mice, we demonstrated that PF4-Actn1−/− mice exhibited reduced platelet counts. The decreased platelet number in PF4-Actn1−/− mice was due to defects in thrombocytopoiesis. Hematoxylin and eosin staining and flow cytometry revealed a decrease in the number of MKs in the bone marrow of PF4-Actn1−/− mice. The absence of α-actinin-1 increased the proportion of 2 N-4 N MKs and decreased the proportion of 8 N-32 N MKs. Colony-forming unit–MK colony formation, the ratio of proplatelet formation–bearing MKs, and MK migration in response to stromal cell–derived factor-1 signaling were inhibited in PF4-Actn1−/− mice. Platelet spreading, clot retraction, aggregation, integrin αIIbβ3 activation, and CD62P exposure in response to various agonists were decreased in PF4-Actn1−/− platelets. Notably, PF4-Actn1−/− platelets inhibited calcium mobilization, reactive oxygen species (ROS) generation, and actin polymerization in response to collagen and thrombin. Furthermore, the PF4-Actn1−/− mice exhibited impaired hemostasis and thrombosis. Mechanistically, proteomic analysis of low-ploidy (2-4 N) and high-ploidy (≥8 N) PF4-Actn1−/− MKs revealed that α-actinin-1 deletion reduced platelet activation and mitochondrial function. PF4-Actn1−/− platelets and Actn1 KO 293T cells exhibited reduced mitochondrial membrane potential, mitochondrial ROS generation, mitochondrial calcium mobilization, and mitochondrial bioenergetics. Overall, in this study, we report that mice with α-actinin-1 deficiency in MKs exhibit low platelet count and impaired platelet function, thrombosis, and mitochondrial bioenergetics.
Introduction
Platelets are small, anucleated blood cells that play critical roles in hemostasis, thrombosis, inflammatory responses, and tumor metastasis.1-4 Mature megakaryocytes (MKs) are responsible for the production of platelets.5 Differentiated from hematopoietic stem cells (HSCs), MK maturation follows a complex and continuous developmental process called megakaryopoiesis.6 According to the classical model of megakaryopoiesis, HSCs successively transition through multipotent progenitors, common myeloid progenitors, bipotential MK-erythroid progenitors, and MK progenitors.7-9 MK lineage commitment is primarily regulated by thrombopoietin (TPO) signaling.8 Recent evidence also suggests an alternative model in which MK/platelet-biased HSCs exist in the HSC population.10-12 During MK development, promegakaryoblasts undergo multiple rounds of endomitosis, leading to an increase in their size and polyploidization, biosynthesis of platelet-specific granules, and maturation of the demarcation membrane system for platelet production.13 Once MKs mature, they migrate to adjacent bone marrow (BM) sinusoids under regulation by stromal cell–derived factor-1α (SDF-1α) signaling.14 The cytoplasm of MKs undergoes massive cytoskeletal reorganization to extend long-branching cytoplasmic protrusions (proplatelets) at vascular sinusoid sites,14 in which they release platelets into the bloodstream under shear forces.15,16 Recent studies have reported that lung MKs contribute to platelet production in mice.5 Some studies suggest that lung MKs play immune regulatory roles.17,18
Numerous studies have demonstrated that alterations in the quantity, conformation, and modification of proteins probably regulate thrombocytopoiesis and affect platelet counts and functions in mammals.19,20 Accumulating evidence suggests that the actin cytoskeleton,21 certain actin-binding proteins,22-27 cytoskeletal dynamic proteins,28,29 and mitochondria-related proteins30-33 play critical pathophysiologic roles in megakaryopoiesis, platelet biogenesis, and function.
α-Actinin-1, a member of the α-actinin family, is an actin cross-linking protein that is widely expressed in many tissues, including in MKs and platelets.34 An α-actinin monomer consists of an N-terminal actin-binding domain, a connecting segment (neck), a central rod domain composed of 4 spectrin-like repeats, and a C-terminal calmodulin-like domain.34 α-Actinin-1 is an antiparallel dimer that functions mainly by cross-linking actin filaments into bundles35,36 and providing a scaffold between actin filaments and integrins.34 In addition, α-actinin-1 has been proposed to maintain integrin αIIbβ3 in an inactivated state in resting platelets.37 Recently, emerging evidence has demonstrated that inherited mutations in α-actinin-1 are implicated in macrothrombocytopenia in human patients.34,38,39 Using cultured cells and patient specimens, several putative gain-of-function mechanisms were identified to explain the mechanisms by which α-actinin-1 mutations cause macrothrombocytopenia.34,37-41 However, the role and underlying mechanism of α-actinin-1 in thrombocytopoiesis and platelet function have not been fully elucidated. To date, almost nothing is known about the MK and platelet phenotypes of mice bearing a deletion of α-actinin-1.
In this study, we generated an MK-specific α-actinin-1–knockout (KO) mouse model (Actn1f/fPF4-Cre+; referred to herein as PF4-Actn1−/−) to investigate the contribution of α-actinin-1 to thrombocytopoiesis and platelet functions in vivo. Mk-specific α-actinin-1–KO mice exhibit low platelet count, which is accompanied by impaired platelet function, thrombosis, and mitochondrial bioenergetics in vitro.
Materials and methods
All animal experiments were reviewed and approved by the animal ethics committee of the First Affiliated Hospital, Zhejiang University School of Medicine.
Mice
B6/JGpt-Pf4em1Cin (P2A-iCre)/Gpt (PF4-Cre+) mice (strain no. T005328) and B6/JGpt-Actn1em1Cflox/Gpt (Actn1f/wt) mice (strain no. T019325) were obtained from GemPharmatech Co, Ltd.
Data analysis
Each experiment was repeated at least 3 independent times. Categorical variables were compared using the Fisher exact test, and continuous variables were analyzed using a t test. Multiple-comparison correction was performed with Bonferroni correction when several dependent or independent statistical tests were performed simultaneously. Survival in animal experiments was investigated by the Kaplan-Meier survival model (GraphPad Prism software, version 8.0.1). The data are presented as the mean ± standard deviation, unless otherwise specified. A P value of < .05 was considered to indicate statistical significance (∗P < .05, ∗∗P< .01, and ∗∗∗P < .005).
Detailed descriptions of the reagents, antibodies, mice, and additional methods are provided in the supplemental Data.
Results
PF4-Actn1−/− mice display low platelet count without changes in platelet turnover
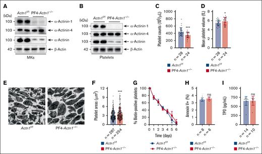
To specifically investigate the function of MKs and platelets that lack α-actinin-1, MK-specific α-actinin-1–KO mice (PF4-Actn1−/− mice) were generated by using a PF4-Cre/Flox strategy42,43 (supplemental Figures 1 and 2). The expression level of α-actinin-1 messenger RNA in PF4-Actn1−/− MKs and platelets was markedly lower than that in littermate control Actn1f/f mice (supplemental Figure 3). Western blotting analysis revealed that the α-actinin-1, but not α-actinin-4, was nearly completely absent in PF4-Actn1−/− MKs and platelets, whereas the total α-actinin protein was significantly reduced in these cells (Figure 1A-B). α-Actinin-1 expression in the liver, spleen, lungs, and leukocytes was unaffected in PF4-Actn1−/− mice (supplemental Figure 4A-D). In addition, α-actinin-1 deficiency did not affect actin protein expression in MKs or platelets (supplemental Figure 4E-F). Taken together, these results suggest that α-actinin-1 was specifically deleted in the PF4-Actn1−/− MKs and platelets, and that α-actinin-4 and actin do not compensate for the absence of α-actinin-1 in MKs and platelets in this mouse model. The PF4-Actn1−/− mice were viable and fertile, gained normal weight (supplemental Figure 5), had almost no changes in blood biochemical indices (supplemental Table 1), and had no obvious morphological defects.
PF4-Actn1−/− mice recapitulate the main features of thrombocytopenia without changes in platelet turnover. (A) Mouse MKs were isolated from the BM of Actn1f/f and PF4-Actn1−/− mice by flow sorting, and the protein expression of α-actinin-1, α-actinin-4, and total α-actinin was analyzed via western blotting. β-Actin was used as a loading control. (B) Washed platelets from Actn1f/f and PF4-Actn1−/− mice were lysed, and the protein levels of α-actinin-1, α-actinin-4, and total α-actinin were analyzed via western blotting. β-Actin was used as a loading control. (C) Platelet counts in the peripheral blood of Actn1f/f (n = 28 mice) and PF4-Actn1−/− (n = 24 mice) mice. (D) Mean platelet volume in Actn1f/f (n = 28 mice) and PF4-Actn1−/− (n = 24 mice) mice. (E) TEM images of platelets from Actn1f/f and PF4-Actn1−/− mice. Representative images from 1 of 3 experiments with similar results are displayed. The scale bar is 2 μm. Male mice aged 6 to 10 weeks were used for these animal experiments. (F) The area of each platelet in cross-sections of the TEM was measured (n = 287, Actn1f/f platelets; n = 254, PF4-Actn1−/− platelets). (G) The platelet life span was measured by determining the percentage of biotin-positive platelets in vivo at the indicated time points after tail vein injection of NHS (N-hydroxysuccinimide ester)–biotin in Actn1f/f and PF4-Actn1−/− mice (n = 10 mice per group). (H) Platelet apoptosis in Actn1f/f (n = 8 mice) and PF4-Actn1−/− (n = 6 mice) mice was measured by flow cytometry. (I) The concentration of TPO in the serum of Actn1f/f (n = 14 mice) and PF4-Actn1−/− (n = 10 mice) mice. ∗P < .05; ∗∗∗P < .005. ns, not significant.
PF4-Actn1−/− mice recapitulate the main features of thrombocytopenia without changes in platelet turnover. (A) Mouse MKs were isolated from the BM of Actn1f/f and PF4-Actn1−/− mice by flow sorting, and the protein expression of α-actinin-1, α-actinin-4, and total α-actinin was analyzed via western blotting. β-Actin was used as a loading control. (B) Washed platelets from Actn1f/f and PF4-Actn1−/− mice were lysed, and the protein levels of α-actinin-1, α-actinin-4, and total α-actinin were analyzed via western blotting. β-Actin was used as a loading control. (C) Platelet counts in the peripheral blood of Actn1f/f (n = 28 mice) and PF4-Actn1−/− (n = 24 mice) mice. (D) Mean platelet volume in Actn1f/f (n = 28 mice) and PF4-Actn1−/− (n = 24 mice) mice. (E) TEM images of platelets from Actn1f/f and PF4-Actn1−/− mice. Representative images from 1 of 3 experiments with similar results are displayed. The scale bar is 2 μm. Male mice aged 6 to 10 weeks were used for these animal experiments. (F) The area of each platelet in cross-sections of the TEM was measured (n = 287, Actn1f/f platelets; n = 254, PF4-Actn1−/− platelets). (G) The platelet life span was measured by determining the percentage of biotin-positive platelets in vivo at the indicated time points after tail vein injection of NHS (N-hydroxysuccinimide ester)–biotin in Actn1f/f and PF4-Actn1−/− mice (n = 10 mice per group). (H) Platelet apoptosis in Actn1f/f (n = 8 mice) and PF4-Actn1−/− (n = 6 mice) mice was measured by flow cytometry. (I) The concentration of TPO in the serum of Actn1f/f (n = 14 mice) and PF4-Actn1−/− (n = 10 mice) mice. ∗P < .05; ∗∗∗P < .005. ns, not significant.
Blood analysis revealed that PF4-Actn1−/− mice had reduced platelet counts and increased mean platelet volumes (Figure 1C-D). Other parameters were normal in the blood of the PF4-Actn1−/− mice (supplemental Table 2). The increase in the platelet size of PF4-Actn1−/− platelets was further confirmed by transmission electron microscopy (TEM; Figure 1E-F). In addition, we found no obvious difference in the number of α-granules or dense granules in platelets between Actn1f/f and PF4-Actn1−/− platelets (supplemental Figure 6A-C).
Increased platelet clearance often results in low platelet count. To address whether low platelet count in PF4-Actn1−/− mice was caused by enhanced platelet turnover, the life span of circulating platelets was measured in PF4-Actn1−/− mice. The platelet life span was not obviously altered in PF4-Actn1−/− mice (Figure 1G). In addition, the percentage of apoptotic PF4-Actn1−/− platelets was similar to that of Actn1f/f platelets in vitro (Figure 1H). TPO concentrations in the serum and the expression level of TPO messenger RNA in the liver were unaltered in PF4-Actn1−/− mice (Figure 1I; supplemental figure 7). Taken together, these findings suggest that the decreased platelet number in PF4-Actn1−/− mice was not caused by accelerated platelet turnover or impaired TPO generation in vivo.
α-Actinin-1 depletion in MKs impairs MK polyploidization, proplatelet formation, and MK migration
A decrease in platelet production also contributes to a decrease in platelet count. We assessed platelet production in PF4-Actn1−/− mice. The proportion of thiazole orange–labeled reticulated platelets was identical between the PF4-Actn1−/− mice and Actn1f/f mice (supplemental Figure 8). However, the number of reticulated platelets was lower in the PF4-Actn1−/− mice than in the Actn1f/f mice (Figure 2A). We monitored platelet recovery using an anti–glycoprotein-Ibα (GPIbα; CD42b) antibody-induced thrombocytopenia model. The platelet counts were restored to their predepletion values after 7 days; however, the platelet counts of the PF4-Actn1−/− mice were lower than those of the Actn1f/f mice (Figure 2B). The spleen can function as the site of platelet sequestration and contributes to platelet clearance.44,45 Splenectomy resulted in a mildly increased platelet count in PF4-Actn1−/− mice (Figure 2C). The present observations are in line with previous reports,45,46 which showed that the platelet counts increased after splenectomy and then gradually decreased. Splenectomy had no long-term effect on platelet counts. Based on the results described above, we speculated that the reduced platelet counts in PF4-Actn1−/− mice might be because of defects in platelet biogenesis.
α-Actinin-1 depletion in MKs suppresses megakaryopoiesis, as evidenced by the inhibition of MK polyploidization, PPF, and MK migration. (A) The counts of reticulated platelets in the peripheral blood of Actn1f/f and PF4-Actn1−/− mice (n = 20 mice per group). (B) Platelet depletion in Actn1f/f and PF4-Actn1−/− mice was induced by tail vein injection of an anti-CD42b antibody, after which platelet counts were monitored at different time points (n = 9 mice per group). (C) Splenectomies were performed on Actn1f/f and PF4-Actn1−/− mice, and platelet numbers in the peripheral blood were counted at the indicated time points (n = 9 mice per group). (D) The percentage of progenitors among the BM nucleated cells (n = 7 mice per group). (E) Representative cross-sectional images from 4 experiments. Femurs (BM, left panels) and whole murine spleens (right panels) from Actn1f/f and PF4-Actn1−/− mice were H&E stained. The MKs are indicated by yellow arrows. The scale bar is 50 μm. (F) The area of MKs in the BM and spleen cross-sections was measured for Actn1f/f and PF4-Actn1−/− mice (n = 80 platelets per group). (G) Quantification of the number of MKs in BM and spleen cross-sections from Actn1f/f and PF4-Actn1−/− mice (n = 20 fields per group). (H) The percentage of MKs among all nucleated cells in the BM (upper panel) and spleen (lower panel) (n = 14 mice per group). (I) Representative TEM images of MKs in the BM of Actn1f/f and PF4-Actn1−/− mice. Immature MKs (stage 1) have a single large nucleus and no granules; intermediate MKs (stage 2) have a lobulated nucleus and contain immature, platelet-specific granules; and fully mature MKs (stage 3) have a mature demarcation membrane system (DMS) and contain mature α-granules and dense granules. The scale bar is 5 μm. (J) The percentage of each type of MK in the BM of Actn1f/f and PF4-Actn1−/− mice (n = 10 mice per group). (K) Colony-forming unit (CFU)–MK colonies formed from BM Lin− progenitor cells. The number of small (3-20 MKs), intermediate (21-50 MKs), and large (>50 MKs) colonies and the total number of colonies per slide were calculated for 5 independent experiments (n = 5 slides per group). (L) Detection of polyploidy in MKs from Actn1f/f and PF4-Actn1−/− mice by flow cytometry. (M) Bar graph showing the level of nuclear ploidy in Actn1f/f and PF4-Actn1−/− mice examined by flow cytometry (n = 22 mice per group). (N) Representative images from 5 independent experiments of proplatelet formation. MKs were cultured in vitro from the fetal livers of Actn1f/f and PF4-Actn1−/− mice. Scale bar, 40 μm. (O) The number of PPF-bearing MKs was quantified under a light microscope (n = 10 fields per group). (P) Representative images from 5 independent Transwell experiments of the fetal liver–derived MKs from Actn1f/f and PF4-Actn1−/− mice. The scale bar is 3 mm. (Q) The histogram shows the number of migrated MKs in each field (n = 10 fields per group). ∗P < .05; ∗∗P < .01; ∗∗∗P < .005. CMP, common myeloid progenitor; GMP, granulocyte-macrophage progenitor; LSK, Lin−Scal-1+cKit+; MEP, bipotential MK-erythroid progenitor; MKP, MK progenitor; MPP, multipotent progenitor; ns, not significant; PreMegE, erythroid/MK progenitor; PI, propidium iodide; PPF, proplatelet formation; RP, reticulated platelet.
α-Actinin-1 depletion in MKs suppresses megakaryopoiesis, as evidenced by the inhibition of MK polyploidization, PPF, and MK migration. (A) The counts of reticulated platelets in the peripheral blood of Actn1f/f and PF4-Actn1−/− mice (n = 20 mice per group). (B) Platelet depletion in Actn1f/f and PF4-Actn1−/− mice was induced by tail vein injection of an anti-CD42b antibody, after which platelet counts were monitored at different time points (n = 9 mice per group). (C) Splenectomies were performed on Actn1f/f and PF4-Actn1−/− mice, and platelet numbers in the peripheral blood were counted at the indicated time points (n = 9 mice per group). (D) The percentage of progenitors among the BM nucleated cells (n = 7 mice per group). (E) Representative cross-sectional images from 4 experiments. Femurs (BM, left panels) and whole murine spleens (right panels) from Actn1f/f and PF4-Actn1−/− mice were H&E stained. The MKs are indicated by yellow arrows. The scale bar is 50 μm. (F) The area of MKs in the BM and spleen cross-sections was measured for Actn1f/f and PF4-Actn1−/− mice (n = 80 platelets per group). (G) Quantification of the number of MKs in BM and spleen cross-sections from Actn1f/f and PF4-Actn1−/− mice (n = 20 fields per group). (H) The percentage of MKs among all nucleated cells in the BM (upper panel) and spleen (lower panel) (n = 14 mice per group). (I) Representative TEM images of MKs in the BM of Actn1f/f and PF4-Actn1−/− mice. Immature MKs (stage 1) have a single large nucleus and no granules; intermediate MKs (stage 2) have a lobulated nucleus and contain immature, platelet-specific granules; and fully mature MKs (stage 3) have a mature demarcation membrane system (DMS) and contain mature α-granules and dense granules. The scale bar is 5 μm. (J) The percentage of each type of MK in the BM of Actn1f/f and PF4-Actn1−/− mice (n = 10 mice per group). (K) Colony-forming unit (CFU)–MK colonies formed from BM Lin− progenitor cells. The number of small (3-20 MKs), intermediate (21-50 MKs), and large (>50 MKs) colonies and the total number of colonies per slide were calculated for 5 independent experiments (n = 5 slides per group). (L) Detection of polyploidy in MKs from Actn1f/f and PF4-Actn1−/− mice by flow cytometry. (M) Bar graph showing the level of nuclear ploidy in Actn1f/f and PF4-Actn1−/− mice examined by flow cytometry (n = 22 mice per group). (N) Representative images from 5 independent experiments of proplatelet formation. MKs were cultured in vitro from the fetal livers of Actn1f/f and PF4-Actn1−/− mice. Scale bar, 40 μm. (O) The number of PPF-bearing MKs was quantified under a light microscope (n = 10 fields per group). (P) Representative images from 5 independent Transwell experiments of the fetal liver–derived MKs from Actn1f/f and PF4-Actn1−/− mice. The scale bar is 3 mm. (Q) The histogram shows the number of migrated MKs in each field (n = 10 fields per group). ∗P < .05; ∗∗P < .01; ∗∗∗P < .005. CMP, common myeloid progenitor; GMP, granulocyte-macrophage progenitor; LSK, Lin−Scal-1+cKit+; MEP, bipotential MK-erythroid progenitor; MKP, MK progenitor; MPP, multipotent progenitor; ns, not significant; PreMegE, erythroid/MK progenitor; PI, propidium iodide; PPF, proplatelet formation; RP, reticulated platelet.
To confirm this, we first examined the progenitors of MKs in the BM. MKs are derived from HSCs, which sequentially transition through several lineage-restricted progenitors.7,8 Here, we evaluated the progenitors of MKs in PF4-Actn1−/− mice. Compared with control mice, PF4-Actn1−/− mice had normal numbers of MK progenitors, including the Lin−Scal-1+cKit+, multipotent progenitor, common myeloid progenitor, granulocyte-macrophage progenitor, bipotential MK-erythroid progenitor, and erythroid/MK progenitor populations (Figure 2D; supplemental Figure 9).
Hematoxylin and eosin (H&E) staining of BM and spleen sections revealed a reduction in the area of MK cross-sections in PF4-Actn1−/− mice compared with Actn1f/f mice (Figure 2E-F). H&E staining also revealed a decrease in the number of MKs in the BM (Figure 2G; supplemental Figure 10) but an increase in the number of MKs in the spleen (Figure 2G). Consistent with the H&E staining results, changes in the number of MKs in the PF4-Actn1−/− BM and spleen were observed via flow cytometry (Figure 2H). To further investigate megakaryopoiesis in PF4-Actn1−/− mice, we examined the ultrastructure of MKs in in situ BM sections by TEM. MKs can be divided into 3 distinct stages based on their morphological features according to the published literature.7,47,48 The TEM results of the BM showed that, contrary to the increase in the percentage of stage 1 and 2 MKs, the percentage of stage 3 MKs was lower in the PF4-Actn1−/− mice than in the Actn1f/f mice (Figure 2I-J). In addition, stage 3 MKs had larger territories of the demarcation membrane system in the PF4-Actn1−/− MKs than in the Actn1f/f MKs (Figure 2I).
A colony-forming unit–MK assay was performed to examine the effects of α-actinin-1 on megakaryopoiesis. BM Lin− progenitor cells from PF4-Actn1−/− mice and Actn1f/f mice were grown in vitro in semisolid media supplemented with interleukin-3 and TPO. Compared with those in Actn1f/f mice, the number of intermediate (21-50 MKs) and large (>50 MKs) colony-forming unit–MK colonies was reduced in PF4-Actn1−/− mice (Figure 2K). MK ploidy is an important parameter of MK maturation.49 Therefore, we further examined the endomitosis (polyploidization) of MKs from PF4-Actn1−/− BM. The absence of α-actinin-1 increased the proportion of 2 N-4 N MKs and decreased the proportion of 8 N-32 N MKs (Figure 2L-M).
Previous studies have demonstrated that the murine fetal liver is a suitable choice for achieving high MK yields and has a better ability to generate proplatelets.50 To examine the impact of α-actinin-1 deficiency on proplatelet formation from terminal differential MKs, we used PF4-Actn1−/− fetal liver–derived MKs. We found that, compared with that in fetal liver–derived Actn1f/f MKs, the ratio of proplatelet formation-bearing MKs in fetal liver–derived PF4-Actn1−/− MKs was lower (Figure 2N-O).
Several studies have demonstrated that the migration of MKs to the capillary-rich vascular niche in response to SDF-1 signaling is an important event for platelet production in vivo.51 However, other studies indicate that SDF-1–induced migration of MKs is not necessarily crucial for platelet production.52,53 We found that the migration of cultured fetal liver–derived PF4-Actn1−/− MKs was inhibited compared with that of cultured fetal liver–derived Actn1f/f MKs (Figure 2P-Q). Taken together, these data suggest that α-actinin-1 deficiency in mouse MKs can impair MK polyploidization, proplatelet formation, and MK migration, which results in low platelet count in PF4-Actn1−/− mice.
PF4-Actn1−/− mice exhibit reduced primary hemostasis and thrombosis
The effect of α-actinin-1 deficiency in platelets on hemostasis and thrombosis was evaluated in vivo. According to the tail, liver, and brain bleeding test results, PF4-Actn1−/− mice had significantly longer tail bleeding times and greater blood loss volumes (Figure 3A-D). After PF4-Actn1−/− platelets were transferred into PF4-Actn1−/− mice to match the platelet count of the control mice, the tail bleeding time of the PF4-Actn1−/− mice remained prolonged (supplemental Figure 11). Furthermore, a kaolin-activated whole-thromboelastography mapping assay showed no differences in the reaction time, kinetics time, or α-angle values, but the maximum amplitude was decreased in the PF4-Actn1−/− mice (Figure 3E). The platelet function analyzer (PFA)-200 assay showed a longer closure time in the PF4-Actn1−/− mice than in the Actn1f/f mice for the collagen/adenosine 5’-diphosphate (ADP) cartridges (Figure 3F). In addition, microfluidic assays using whole blood showed decreased thrombus formation in immobilized collagen matrixes at different wall shear rates (500 S-1 or 1500 S-1) in PF4-Actn1−/− mice (Figure 3G). We then investigated the role of α-actinin-1 deficiency in platelets in FeCl3-induced thrombosis in vivo. Occlusion time was prolonged in the PF4-Actn1−/− mice (Figure 3H-J). Similar results were obtained for laser-induced carotid artery thrombosis (Figure 3K). Next, we evaluated the effect of α-actinin-1 deficiency in platelets on collagen/epinephrine-induced pulmonary thromboembolism, carrageenan-induced thrombus formation, and a mouse deep venous thrombosis model. PF4-Actn1−/− mice were significantly protected from death due to pulmonary thromboembolism (Figure 3L). Carrageenan-induced thrombus formation was inhibited in PF4-Actn1−/− mice. The lengths of thrombosis at 48 and 72 hours are shown in Figure 3M. However, compared with Actn1f/f mice, PF4-Actn1−/− mice exhibited no significant decrease in deep venous thrombosis formation as assessed by clot weight and the incidence of thrombus formation (Figure 3N). Additionally, we did not observe any difference in prothrombin time, activated partial thromboplastin time, thrombin time, or fibrinogen concentrations between PF4-Actn1−/− mice and Actn1f/f mice (supplemental Table 3).
PF4-Actn1−/− mice exhibit reduced primary hemostasis and thrombosis. (A) The tail tips of the mice were amputated, and the mice were then immersed in saline. The tail transection bleeding time and bleeding volume were monitored in Actn1f/f and PF4-Actn1−/− mice (n = 20 mice per group). (B) Tail bleeding time (via the filter paper method) in Actn1f/f and PF4-Actn1−/− mice and the results of the statistical analysis are shown (n = 20 mice per group). (C) Bleeding volumes after a calibrated injury to the liver in Actn1f/f and PF4-Actn1−/− mice (n = 10 mice per group). (D) Relative quantification of the areas of bleeding in the brains of Actn1f/f and PF4-Actn1−/− mice (n = 9 mice per group). (E) Representative thromboelastography (TEG) tracings of whole blood from Actn1f/f and PF4-Actn1−/− mice. Analysis of the maximal amplitude (MA), reaction time, kinetics time, and α-angle in Actn1f/f and PF4-Actn1−/− blood via TEG (n = 6 mice per group). (F) Citrate-anticoagulated blood samples were obtained from Actn1f/f and PF4-Actn1−/− mice and subsequently transferred to collagen/ADP cartridges. The in vitro closure time (CT) was measured with a PFA-200 (n = 12 mice per group). (G) Thrombus formation of Actn1f/f and PF4-Actn1−/− platelets at shear rates of 500 or 1500 s-1. Citrate anticoagulant and recalcified whole blood were perfused at 500 or 1500 s-1 for 5 minutes. An Alexa Fluor 488–conjugated anti-CD41 antibody was used to label the platelets. Thrombus formation was observed and imaged under an inverted fluorescence microscope. The left panel shows representative images from 3 independent experiments of platelet thrombi. Arrows indicate the direction of blood flow. The scale bar is 100 μm. The right panel shows the quantitative data reflecting the percentage of surface coverage (n = 10 fields per group). The data are presented as the mean ± standard deviation (SD) from 10 randomly selected visual fields of at least 3 independent experiments. (H) Representative images of carotid artery blood flow in FeCl3-treated Actn1f/f and PF4-Actn1−/− mice obtained via laser speckle perfusion imaging (n = 12 mice per group). Blood flow was monitored for 20 minutes. (I) Representative traces of blood flow in mice with FeCl3-induced occlusive carotid artery thrombosis. (J) Quantitative analysis of the duration of complete vessel occlusion (n = 12 mice per group). The data are presented as the means ± SDs. (K) Laser injury–induced thrombus formation in the cremasteric arterioles of Actn1f/f and PF4-Actn1−/− mice (n = 5 mice per group). Platelet accumulation was visualized via intravital microscopy after laser injury using a DyLight 649–conjugated anti-GPIbβ (CD42c) antibody derivative. Representative images depicting platelet counts at the indicated time points after injury in Actn1f/f and PF4-Actn1−/− mice. The medium fluorescence intensities of the platelets over time were analyzed for all the images from the Actn1f/f and PF4-Actn1−/− mice. The area under the curve (AUC) for the platelets from each capture was plotted for the Actn1f/f and PF4-Actn1−/− mice (n = 30 captures per group). (L) Survival of Actn1f/f and PF4-Actn1−/− mice after induction of pulmonary thromboembolism via the injection of a collagen/epinephrine mixture through the tail vein (n = 14 mice per group). (M) Actn1f/f and PF4-Actn1−/− mice were intraperitoneally injected with carrageenan solution (1%, 110 μL per mouse). On days 2 and 3, thrombus length was measured in the carrageenan-induced thrombosis mice. The thrombosis rate (the ratio of tail length with thrombus to whole tail length) was calculated for the tails of carrageenan-induced thrombosis mice (n = 10 mice per group). (N) Venous thrombus formation in the deep venous thrombosis model. Thrombus formation in the inferior vena cava (IVC) was induced by partial vein ligation. Twenty-four hours after ligation of the IVC, thrombosis samples were collected to measure the weight and calculate the incidence of thrombus formation in Actn1f/f and PF4-Actn1−/− mice (n = 10 mice per group). ∗P < .05; ∗∗P < .01; ∗∗∗P < .005. ns, not significant.
PF4-Actn1−/− mice exhibit reduced primary hemostasis and thrombosis. (A) The tail tips of the mice were amputated, and the mice were then immersed in saline. The tail transection bleeding time and bleeding volume were monitored in Actn1f/f and PF4-Actn1−/− mice (n = 20 mice per group). (B) Tail bleeding time (via the filter paper method) in Actn1f/f and PF4-Actn1−/− mice and the results of the statistical analysis are shown (n = 20 mice per group). (C) Bleeding volumes after a calibrated injury to the liver in Actn1f/f and PF4-Actn1−/− mice (n = 10 mice per group). (D) Relative quantification of the areas of bleeding in the brains of Actn1f/f and PF4-Actn1−/− mice (n = 9 mice per group). (E) Representative thromboelastography (TEG) tracings of whole blood from Actn1f/f and PF4-Actn1−/− mice. Analysis of the maximal amplitude (MA), reaction time, kinetics time, and α-angle in Actn1f/f and PF4-Actn1−/− blood via TEG (n = 6 mice per group). (F) Citrate-anticoagulated blood samples were obtained from Actn1f/f and PF4-Actn1−/− mice and subsequently transferred to collagen/ADP cartridges. The in vitro closure time (CT) was measured with a PFA-200 (n = 12 mice per group). (G) Thrombus formation of Actn1f/f and PF4-Actn1−/− platelets at shear rates of 500 or 1500 s-1. Citrate anticoagulant and recalcified whole blood were perfused at 500 or 1500 s-1 for 5 minutes. An Alexa Fluor 488–conjugated anti-CD41 antibody was used to label the platelets. Thrombus formation was observed and imaged under an inverted fluorescence microscope. The left panel shows representative images from 3 independent experiments of platelet thrombi. Arrows indicate the direction of blood flow. The scale bar is 100 μm. The right panel shows the quantitative data reflecting the percentage of surface coverage (n = 10 fields per group). The data are presented as the mean ± standard deviation (SD) from 10 randomly selected visual fields of at least 3 independent experiments. (H) Representative images of carotid artery blood flow in FeCl3-treated Actn1f/f and PF4-Actn1−/− mice obtained via laser speckle perfusion imaging (n = 12 mice per group). Blood flow was monitored for 20 minutes. (I) Representative traces of blood flow in mice with FeCl3-induced occlusive carotid artery thrombosis. (J) Quantitative analysis of the duration of complete vessel occlusion (n = 12 mice per group). The data are presented as the means ± SDs. (K) Laser injury–induced thrombus formation in the cremasteric arterioles of Actn1f/f and PF4-Actn1−/− mice (n = 5 mice per group). Platelet accumulation was visualized via intravital microscopy after laser injury using a DyLight 649–conjugated anti-GPIbβ (CD42c) antibody derivative. Representative images depicting platelet counts at the indicated time points after injury in Actn1f/f and PF4-Actn1−/− mice. The medium fluorescence intensities of the platelets over time were analyzed for all the images from the Actn1f/f and PF4-Actn1−/− mice. The area under the curve (AUC) for the platelets from each capture was plotted for the Actn1f/f and PF4-Actn1−/− mice (n = 30 captures per group). (L) Survival of Actn1f/f and PF4-Actn1−/− mice after induction of pulmonary thromboembolism via the injection of a collagen/epinephrine mixture through the tail vein (n = 14 mice per group). (M) Actn1f/f and PF4-Actn1−/− mice were intraperitoneally injected with carrageenan solution (1%, 110 μL per mouse). On days 2 and 3, thrombus length was measured in the carrageenan-induced thrombosis mice. The thrombosis rate (the ratio of tail length with thrombus to whole tail length) was calculated for the tails of carrageenan-induced thrombosis mice (n = 10 mice per group). (N) Venous thrombus formation in the deep venous thrombosis model. Thrombus formation in the inferior vena cava (IVC) was induced by partial vein ligation. Twenty-four hours after ligation of the IVC, thrombosis samples were collected to measure the weight and calculate the incidence of thrombus formation in Actn1f/f and PF4-Actn1−/− mice (n = 10 mice per group). ∗P < .05; ∗∗P < .01; ∗∗∗P < .005. ns, not significant.
PF4-Actn1−/− mice exhibit impaired platelet function
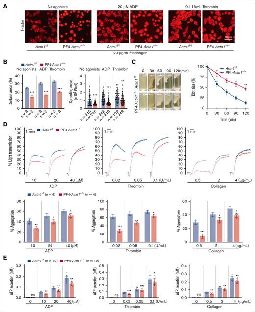
Next, we asked whether platelet function was affected in PF4-Actn1−/− mice. The counts of PF4-Actn1−/− platelets were adjusted to the same values as those of the control platelets. PF4-Actn1−/− platelets exhibited significantly inhibited platelet adhesion and spreading on immobilized fibrinogen without or with ADP or thrombin (Figure 4A-B; supplemental Figure 12). Similar results were obtained for PF4-Actn1−/− platelet adhesion and spreading on collagen (supplemental Figure 13). Thrombin-stimulated clot retraction was also significantly decreased in PF4-Actn1−/− platelets compared with Actn1f/f platelets, as indicated by a marked decrease in the rate of clot retraction in PF4-Actn1−/− platelets (Figure 4C). Given that platelet aggregation is critical for thrombus formation, we performed light transmission aggregometry and adenosine triphosphate (ATP) release assays. Mouse platelets were stimulated with a range of platelet agonists that target different receptors. We found that PF4-Actn1−/− platelets exhibited reduced aggregation and ATP release in response to various concentrations of ADP, thrombin, and collagen (Figure 4D-E). PF4-Actn1−/− platelets also presented decreased integrin αIIbβ3 activation and CD62P exposure in response to various concentrations of ADP, ADP + epinephrine, thrombin, collagen, convulxin (Figure 5A-J), and a thromboxane A2 receptor agonist (U46619; supplemental Figure 14A-B). However, there were no differences in integrin αIIbβ3 activation or CD62P exposure induced by Mn2+ stimulation in PF4-Actn1−/− platelets or Actn1f/f platelets (supplemental Figure 14C-D). Notably, integrin αIIbβ3 activation was enhanced in resting PF4-Actn1−/− platelets compared with resting Actn1f/f platelets (Figure 5A-E), which is consistent with previous reports that α-actinin-1 inactivates integrin αIIbβ337. The total expression of CD62P, a marker of α-granule secretion, was unaltered in the PF4-Actn1−/− platelets (supplemental Figure 15). These results suggest that degranulation, not CD62P synthesis, is defective in PF4-Actn1−/− mice. It is well known that actin polymerization drives platelet spreading and aggregation.54 Therefore, we tested the effect of α-actinin-1 deficiency on platelet actin reorganization. We found that α-actinin-1 deficiency prevented actin polymerization in thrombin- and collagen-stimulated platelets (Figure 5K).
α-Actinin-1 deficiency reduces platelet function, including platelet spreading, clot retraction, aggregation, and ATP secretion. (A) Platelets from Actn1f/f and PF4-Actn1−/− mice were allowed to adhere to, and spread on, fibrinogen-coated coverslips for 90 minutes without or with ADP (20 μmol/L) or thrombin (0.1 U/mL) and then stained with tetramethyl rhodamine isothiocyanate-labeled phalloidin. The data shown are representative pictures from 1 of 3 experiments with similar results. The scale bar is 10 μm. (B) The left panel shows the percentage of the surface area covered by spreading platelets. The right panel displays the surface coverage area of each platelet (n = 3 independent experiments). (C) The clots were photographed at different time points. The percentage of the clot size was generated by calculating the ratio of the surface area of the retracted clots to that of the initial clots (n = 3 independent experiments). The data are presented as the mean and SD of 3 independent experiments. (D) Platelet-rich plasma or washed platelets from Actn1f/f and PF4-Actn1−/− mice were stimulated with ADP (10, 20, and 40 μmol/L), thrombin (0.02, 0.05, and 0.1 U/mL), and collagen (0.5, 2, and 4 μg/mL). The results are expressed as the percent change in light transmission relative to the blank (platelet poor plasma/buffer without platelets), set at 100% (n = 4 independent experiments). (E) ATP secretion from dense granules in platelets stimulated with agonists, including ADP (0, 10, 20, and 40 μmol/L), thrombin (0, 0.02, 0.05, and 0.1 U/mL), and collagen (0, 0.5, 2, and 4 μg/mL). The data are shown as the mean ± SD (n = 12 mice per group). ∗P < .05; ∗∗P < .01; ∗∗∗P < .005. ns, not significant.
α-Actinin-1 deficiency reduces platelet function, including platelet spreading, clot retraction, aggregation, and ATP secretion. (A) Platelets from Actn1f/f and PF4-Actn1−/− mice were allowed to adhere to, and spread on, fibrinogen-coated coverslips for 90 minutes without or with ADP (20 μmol/L) or thrombin (0.1 U/mL) and then stained with tetramethyl rhodamine isothiocyanate-labeled phalloidin. The data shown are representative pictures from 1 of 3 experiments with similar results. The scale bar is 10 μm. (B) The left panel shows the percentage of the surface area covered by spreading platelets. The right panel displays the surface coverage area of each platelet (n = 3 independent experiments). (C) The clots were photographed at different time points. The percentage of the clot size was generated by calculating the ratio of the surface area of the retracted clots to that of the initial clots (n = 3 independent experiments). The data are presented as the mean and SD of 3 independent experiments. (D) Platelet-rich plasma or washed platelets from Actn1f/f and PF4-Actn1−/− mice were stimulated with ADP (10, 20, and 40 μmol/L), thrombin (0.02, 0.05, and 0.1 U/mL), and collagen (0.5, 2, and 4 μg/mL). The results are expressed as the percent change in light transmission relative to the blank (platelet poor plasma/buffer without platelets), set at 100% (n = 4 independent experiments). (E) ATP secretion from dense granules in platelets stimulated with agonists, including ADP (0, 10, 20, and 40 μmol/L), thrombin (0, 0.02, 0.05, and 0.1 U/mL), and collagen (0, 0.5, 2, and 4 μg/mL). The data are shown as the mean ± SD (n = 12 mice per group). ∗P < .05; ∗∗P < .01; ∗∗∗P < .005. ns, not significant.
α-Actinin-1 deficiency inhibits platelet activation, actin polymerization, calcium mobilization, and ROS generation. Flow cytometric analyses of JON/A binding (for activated integrin αIIbβ3) on washed platelets from Actn1f/f and PF4-Actn1−/− mice after stimulation with different agonists, including (A) ADP (0, 10, 20, and 40 μmol/L; n = 6 mice per group), (B) ADP + epinephrine (Epi; 0, 10, 20, and 40 μmol/L; n = 4-10 mice per group), (C) thrombin (0, 0.025, 0.05, and 0.1 U/mL; n = 6-8 mice per group), (D) collagen (0, 2, 4, and 8 μg/mL; n = 10 mice per group), and (E) convulxin (0, 100, 200, and 400 ng/mL; n = 4-6 mice per group). Flow cytometric analyses of CD62P (for exposure) on washed platelets from Actn1f/f and PF4-Actn1−/− mice after stimulation with (F) ADP (0, 10, 20, and 40 μmol/L; n = 6 mice per group), (G) ADP + Epi (0, 10, 20, and 40 μmol/L; n = 4-10 mice per group), (H) thrombin (0, 0.025, 0.05, and 0.1 U/mL; n = 6-10 mice per group), (I) collagen (0, 2, 4, and 8 μg/mL; n = 10 mice per group), or (J) convulxin (0, 100, 200, and 400 ng/mL; n = 4-6 mice per group). Actn1f/f and PF4-Actn1−/− platelets were stimulated with thrombin (n = 4-7 mice per group) and collagen (n = 7 mice per group) at the indicated concentrations, and the relative F-actin content (K) was determined by flow cytometry. (L) Representative traces of changes in global calcium content (n = 6 mice per group). (M) The levels of intracellular ROS in Actn1f/f and PF4-Actn1−/− platelets stimulated with thrombin (n = 4-8 mice per group) and collagen (n = 4-7 mice per group) at the indicated concentrations were determined by flow cytometry. The data are presented as the mean ± SD. ∗P < .05; ∗∗P < .01; ∗∗∗P < .005. Fluo-4 AM, Fluo-4 acetoxymethyl ester; MFI, mean fluorescence intensity; ns, not significant.
α-Actinin-1 deficiency inhibits platelet activation, actin polymerization, calcium mobilization, and ROS generation. Flow cytometric analyses of JON/A binding (for activated integrin αIIbβ3) on washed platelets from Actn1f/f and PF4-Actn1−/− mice after stimulation with different agonists, including (A) ADP (0, 10, 20, and 40 μmol/L; n = 6 mice per group), (B) ADP + epinephrine (Epi; 0, 10, 20, and 40 μmol/L; n = 4-10 mice per group), (C) thrombin (0, 0.025, 0.05, and 0.1 U/mL; n = 6-8 mice per group), (D) collagen (0, 2, 4, and 8 μg/mL; n = 10 mice per group), and (E) convulxin (0, 100, 200, and 400 ng/mL; n = 4-6 mice per group). Flow cytometric analyses of CD62P (for exposure) on washed platelets from Actn1f/f and PF4-Actn1−/− mice after stimulation with (F) ADP (0, 10, 20, and 40 μmol/L; n = 6 mice per group), (G) ADP + Epi (0, 10, 20, and 40 μmol/L; n = 4-10 mice per group), (H) thrombin (0, 0.025, 0.05, and 0.1 U/mL; n = 6-10 mice per group), (I) collagen (0, 2, 4, and 8 μg/mL; n = 10 mice per group), or (J) convulxin (0, 100, 200, and 400 ng/mL; n = 4-6 mice per group). Actn1f/f and PF4-Actn1−/− platelets were stimulated with thrombin (n = 4-7 mice per group) and collagen (n = 7 mice per group) at the indicated concentrations, and the relative F-actin content (K) was determined by flow cytometry. (L) Representative traces of changes in global calcium content (n = 6 mice per group). (M) The levels of intracellular ROS in Actn1f/f and PF4-Actn1−/− platelets stimulated with thrombin (n = 4-8 mice per group) and collagen (n = 4-7 mice per group) at the indicated concentrations were determined by flow cytometry. The data are presented as the mean ± SD. ∗P < .05; ∗∗P < .01; ∗∗∗P < .005. Fluo-4 AM, Fluo-4 acetoxymethyl ester; MFI, mean fluorescence intensity; ns, not significant.
Calcium mobilization plays a critical role in cytoskeletal remodeling events and efficient platelet activation.55 Compared with Actn1f/f platelets, PF4-Actn1−/− platelets exhibited significantly inhibited intracellular Ca2+ influx induced by collagen and thrombin stimulation in a concentration-dependent manner (Figure 5L). Reactive oxygen species (ROS) are important regulators of the actin cytoskeleton; thus, ROS generation is a critical step for platelet activation.56 We found that ROS generation in PF4-Actn1−/− platelets was inhibited in response to thrombin and collagen stimulation in a dose-dependent manner (Figure 5M).
α-Actinin-1 is critical for mitochondrial function during the process of MK maturation and platelet function
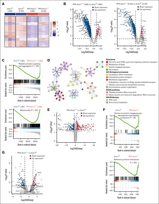
Given that α-actinin-1 plays a critical role in platelet production and function, we next explored whether α-actinin-1 depletion affects MK protein expression during maturation. Low-ploidy (2 N and 4 N) and high-ploidy (≥8 N) MKs from Actn1f/f and PF4-Actn1−/− mice were sorted for quantitative proteomics. We found that the MKs sorted by flow cytometry might have been contaminated with other cell types (supplemental Figure 16). Supervised clustering revealed that the main differences were related to α-actinin-1 depletion (Figure 6A). Among both low- and high-ploidy MKs, PF4-Actn1−/− mice exhibited a significant proteomic shift resulting from the downregulation of MK- and platelet-specific proteins (Figure 6B; supplemental Tables 4 and 5). To further explore the potential mechanisms of MK changes, we carried out differential protein expression analysis and subsequent gene set enrichment analysis (GSEA). In particular, GSEA revealed that Actn1 depletion in high-ploidy MKs was correlated with platelet function and mitochondrial function. As shown in Figure 6C, platelet activation signaling and aggregation, as well as mitochondria-related proteins, were significantly downregulated in the PF4-Actn1−/− MKs. A similar result was observed for low-ploidy MKs (Figure 6B, right panel; supplemental Table 5). Moreover, pathway and process enrichment analyses were carried out with the following sources: Kyoto Encyclopedia of Genes and Genomes pathway, gene ontology biological processes, reactome gene sets, and WikiPathways. Terms with a P value of <.01, a minimum count of 3, and an enrichment factor of >1.5 were collected and grouped into clusters based on their membership similarities. To further capture the relationships between the terms, a subset of enriched terms was selected and rendered as a network (Figure 6D). Afterward, we performed quantitative proteomics and GSEA on PF4-Actn1−/− platelets. A volcano plot was constructed to show the changes in protein expression in the PF4-Actn1−/− platelets and Actn1f/f platelets (Figure 6E; supplemental Table 6). Similarly, factors involved in MK development and platelet production were downregulated in PF4-Actn1−/− platelets. Moreover, the expression of proteins associated with adherens junction interactions was similarly downregulated in the PF4-Actn1−/− platelets according to GSEA (Figure 6F).
Bioinformatics analysis showing that α-actinin-1 deficiency alters platelet production and function through mitochondrial protein expression. (A) Heat map of the MK proteomics of low (ploidy 2 N and 4 N) or high (ploidy ≥8 N) ploidy after differential protein expression analysis. (B) Volcano plots showing differential protein expression in low- or high-ploidy MKs between Actn1f/f and PF4-Actn1−/− mice. (C) GSEA of differentially expressed proteins in high-ploidy MKs between Actn1f/f and PF4-Actn1−/− mice. The altered proteins in high-ploidy MKs revealed a signature related to platelet activation signaling and aggregation and mitochondria. (D) Network of enriched terms, which are colored according to cluster identity (ID), with nodes that share the same cluster ID typically close to each other. (E) Volcano plot of differential protein expression in platelets between Actn1f/f and PF4-Actn1−/− mice. (F) GSEA of differentially expressed proteins in platelets from Actn1f/f and PF4-Actn1−/− mice. The altered proteins in platelets revealed a signature related to factors involved in MK development and platelet production and adherens junction interactions. (G) Volcano plot of differentially expressed genes in MKs between Actn1f/f and PF4-Actn1−/− mice. GO, gene ontology; KEGG, Kyoto Encyclopedia of Genes and Genomes.
Bioinformatics analysis showing that α-actinin-1 deficiency alters platelet production and function through mitochondrial protein expression. (A) Heat map of the MK proteomics of low (ploidy 2 N and 4 N) or high (ploidy ≥8 N) ploidy after differential protein expression analysis. (B) Volcano plots showing differential protein expression in low- or high-ploidy MKs between Actn1f/f and PF4-Actn1−/− mice. (C) GSEA of differentially expressed proteins in high-ploidy MKs between Actn1f/f and PF4-Actn1−/− mice. The altered proteins in high-ploidy MKs revealed a signature related to platelet activation signaling and aggregation and mitochondria. (D) Network of enriched terms, which are colored according to cluster identity (ID), with nodes that share the same cluster ID typically close to each other. (E) Volcano plot of differential protein expression in platelets between Actn1f/f and PF4-Actn1−/− mice. (F) GSEA of differentially expressed proteins in platelets from Actn1f/f and PF4-Actn1−/− mice. The altered proteins in platelets revealed a signature related to factors involved in MK development and platelet production and adherens junction interactions. (G) Volcano plot of differentially expressed genes in MKs between Actn1f/f and PF4-Actn1−/− mice. GO, gene ontology; KEGG, Kyoto Encyclopedia of Genes and Genomes.
RNA sequencing was conducted to evaluate RNA expression levels on sorted MKs from Actn1f/f and PF4-Actn1−/− mice. A small number of genes were differentially expressed between the PF4-Actn1−/− mice and the Actn1f/f mice, with 47 upregulated and 114 downregulated genes (P < .05; log2 fold change of >1). Supplemental Table 7 shows the top 15 upregulated or downregulated genes in MKs between PF4-Actn1−/− and Actn1f/f mice. No significant difference in the expression of MK- or platelet-specific proteins was detected between the 2 groups (Figure 6G). Gene ontology analysis of the altered genes revealed a signature related to the regulation of T-cell activation and leukocyte cell‒cell adhesion in PF4-Actn1−/− MKs (supplemental Figure 17). Single-cell RNA-sequencing data from the study by Sun et al revealed that low-ploidy MKs have a more immune differentiated phenotype.57 Unfortunately, our proteomic results do not reflect the literature. However, our RNA-sequencing results, as shown in supplemental Figure 17, also suggest that more immune-related pathways were associated with PF4-Actn1−/− mice. Overall, MK conditional KO of α-actinin-1 primarily leads to protein changes that are correlated with platelet function and mitochondrial activity in both MKs and platelets. We hypothesized that α-actinin-1 deficiency in MKs impairs mitochondrial function during platelet production and function.
α-Actinin-1 deficiency results in impaired mitochondrial bioenergetics
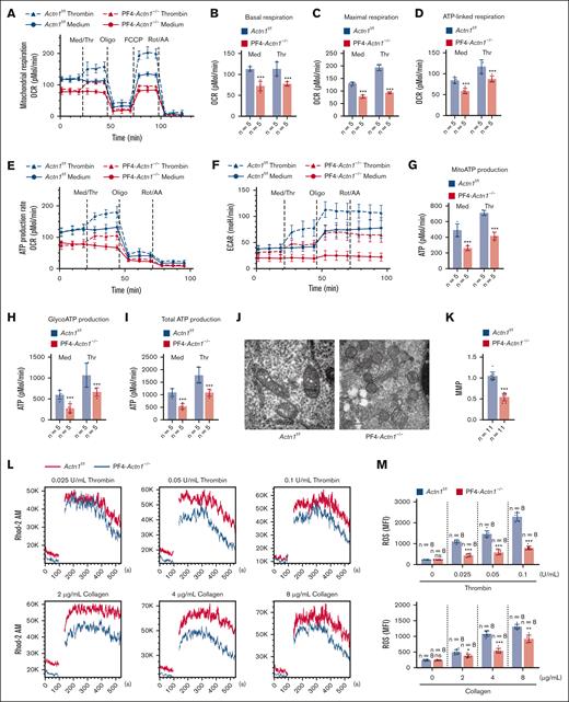
Mitochondria are vital organelles that generate a large amount of ATP via oxidative phosphorylation in the mitochondrial respiratory chain.58 Immunofluorescence staining revealed that α-actinin-1 was not distributed in the mitochondria (supplemental Figure 18). To investigate whether α-actinin-1 deficiency is associated with mitochondrial dysfunction, we assessed mitochondrial bioenergetics using a Seahorse analyzer. There were numerically more mitochondria in PF4-Actn1−/− platelets than in Actn1f/f platelets (supplemental Figure 19). However, under nonstimulated conditions, compared with Actn1f/f platelets, the absence of α-actinin-1 in platelets caused a decrease in basal respiration, maximal respiration, and ATP-linked respiration capacity (Figure 7A-D). Thrombin stimulation increased the maximal respiration and ATP-linked respiration capacity of both Actn1f/f and PF4-Actn1−/− platelets (Figure 7C-D). However, there was a trend toward lower mitochondrial respiration in PF4-Actn1−/− platelets than in control platelets, regardless of platelet activation (Figure 7A-D). Additionally, the absence of α-actinin-1 in platelets caused a decrease in mitochondrial ATP production, glycolytic ATP production, and total ATP production (Figure 7E-I). Additionally, our TEM results clearly showed conspicuous alterations in mitochondrial morphology in PF4-Actn1−/− MKs compared with Actn1f/f MKs (Figure 7J). Furthermore, flow cytometry showed that the mitochondrial membrane potential (Figure 7K), mitochondrial calcium mobilization (Figure 7L), and mitochondrial ROS generation (Figure 7M) were impaired in PF4-Actn1−/− platelets. Similar results were also observed in Actn1-KO 293T cells (supplemental Figures 20 and 21). Taken together, these data suggest that α-actinin-1 deficiency resulted in impaired mitochondrial bioenergetics.
α-Actinin-1 deficiency results in impaired mitochondrial bioenergetics. (A) Mitochondrial respiration in platelets from Actn1f/f or PF4-Actn1−/− mice stimulated with medium (Med) or thrombin (Thr; 0.1 U/mL) was evaluated via Seahorse tracings (n = 5 independent experiments per group). The oxygen consumption rate (OCR) was measured with sequential injections of Med or thrombin (0.1 U/mL), oligomycin (Oligo), trifluoromethoxy carbonyl cyanide phenylhydrazone, or rotenone/antimycin A (Rot/AA). The following critical parameters of mitochondrial function were calculated: (B) basal respiration, (C) maximal respiration, and (D) ATP-linked respiration. Representative OCR (E) and extracellular acidification rate (ECAR) (F) data for Actn1f/f or PF4-Actn1−/− platelets treated with Med or Thr (0.1 U/mL) according to the real-time ATP rate assay protocol (n = 5 independent experiments per group). Metabolic flux analysis showing the quantification of (G) mitochondrial ATP (mitoATP) production, (H) GP ATP (glycoATP) production, and (I) total ATP production. The results are presented as the means ± SDs. (J) Representative TEM images from 3 independent experiments of mitochondria in Actn1f/f or PF4-Actn1−/− MKs. (K) The mitochondrial membrane potential (MMP) in platelets was analyzed via flow cytometry. The data are presented as bar graphs (n = 11 mice per group). (L) Representative traces of changes in mitochondrial calcium content. Mitochondrial calcium mobilization in thrombin-stimulated (0.025, 0.5, and 0.1 U/mL) and collagen-stimulated (2, 4, and 8 μg/mL) platelets was examined by flow cytometry (n = 8 mice per group). (M) The levels of mitochondrial ROS in the presence or absence of thrombin (0.025, 0.5, and 0.1 U/mL) or collagen (2, 4, and 8 μg/mL) were evaluated (n = 8 mice per group). The data are presented as the mean ± SD. ∗P < .05; ∗∗P < .01; ∗∗∗P < .005. MFI, mean fluorescence intensity; ns, not significant.
α-Actinin-1 deficiency results in impaired mitochondrial bioenergetics. (A) Mitochondrial respiration in platelets from Actn1f/f or PF4-Actn1−/− mice stimulated with medium (Med) or thrombin (Thr; 0.1 U/mL) was evaluated via Seahorse tracings (n = 5 independent experiments per group). The oxygen consumption rate (OCR) was measured with sequential injections of Med or thrombin (0.1 U/mL), oligomycin (Oligo), trifluoromethoxy carbonyl cyanide phenylhydrazone, or rotenone/antimycin A (Rot/AA). The following critical parameters of mitochondrial function were calculated: (B) basal respiration, (C) maximal respiration, and (D) ATP-linked respiration. Representative OCR (E) and extracellular acidification rate (ECAR) (F) data for Actn1f/f or PF4-Actn1−/− platelets treated with Med or Thr (0.1 U/mL) according to the real-time ATP rate assay protocol (n = 5 independent experiments per group). Metabolic flux analysis showing the quantification of (G) mitochondrial ATP (mitoATP) production, (H) GP ATP (glycoATP) production, and (I) total ATP production. The results are presented as the means ± SDs. (J) Representative TEM images from 3 independent experiments of mitochondria in Actn1f/f or PF4-Actn1−/− MKs. (K) The mitochondrial membrane potential (MMP) in platelets was analyzed via flow cytometry. The data are presented as bar graphs (n = 11 mice per group). (L) Representative traces of changes in mitochondrial calcium content. Mitochondrial calcium mobilization in thrombin-stimulated (0.025, 0.5, and 0.1 U/mL) and collagen-stimulated (2, 4, and 8 μg/mL) platelets was examined by flow cytometry (n = 8 mice per group). (M) The levels of mitochondrial ROS in the presence or absence of thrombin (0.025, 0.5, and 0.1 U/mL) or collagen (2, 4, and 8 μg/mL) were evaluated (n = 8 mice per group). The data are presented as the mean ± SD. ∗P < .05; ∗∗P < .01; ∗∗∗P < .005. MFI, mean fluorescence intensity; ns, not significant.
Discussion
Recently, ∼50 mutations in the Actn1 gene that cause inherited Actn1-related thrombocytopenia have been identified.34,59 However, to date, to our knowledge, there have been no reported cases of α-actinin-1–related thrombocytopenia in humans associated with loss-of-function mutations in α-actinin-1. Homozygous mice bearing a genetic deletion of Actn1 were not viable.60 In this study, we report that mice bearing a deletion of α-actinin-1 in MKs and platelets exhibit low platelet count, impaired platelet function, decreased thrombus formation, and inhibited mitochondrial function.
In this study, we revealed that the α-actinin-4 protein and actin do not compensate for the absence of α-actinin-1 in PF4-Actn1−/− MKs and platelets (Figure 1A-B; supplemental Figure 4E-F). Previous studies have shown that the expression of α-actinin-1 is upregulated during MK polyploidization.61 Using primary human progenitors transduced with short hairpin RNA targeting α-actinin-1, Elagib et al revealed that α-actinin-1 knockdown reduced megakaryocytic polyploidization.61 This study showed that the number of MKs was reduced in the BM of PF4-Actn1−/− mice, particularly the proportion of ≥8 N MKs. The decrease in the platelet count in PF4-Actn1−/− mice is likely because of the combined effects of several factors during megakaryopoiesis. The failure to progress to larger MKs (MK polyploidization) and the inability of the MK progenitor stage to differentiate into MKs both contribute to the decrease in the platelet count in PF4-Actn1−/− mice. Additionally, impaired proplatelet formation also lead to a decrease in platelet count. Previous literature has reported differing views on whether SDF-1-induced migration of MKs can affect platelet production.51-53 Our study indicates that the absence of α-actinin-1 in MKs inhibits SDF-1–induced migration of MKs. The fact that TPO levels remain unchanged despite the low numbers of MKs and platelets in α-actinin-1-deficient mice may be because of the similarity in liver structure and function between PF4-Actn1−/− mice and the control group. The deficiency of α-actinin-1 in MKs affect their maturation and functionality, leading to a lower production of platelets without a significant change in TPO levels, because the liver may not detect the need for compensatory increases in TPO.
Recent emerging evidence has shown that patients with Actn1 gene abnormalities exhibit slight impairment of some platelet functions.62 Humans with Actn1 variants do not have significant bleeding diathesis. However, it has long been known that normal platelet function depends on the actin cytoskeleton. Using different in vivo bleeding models (Figure 3A-D), whole-blood experiments (Figure 3E-G), such as thromboelastography mapping, PFA-200, and microfluidic assays, and different in vivo thrombus formation models (Figure 3H-N), we cannot exclude the possibility that the reduced platelet count in PF4-Actn1−/− mice contributes to the observed phenotype. Therefore, after adjusting the platelet counts, we conducted tail bleeding experiments (supplemental Figure 11) and a series of platelet function assays (Figures 4 and 5; supplemental Figures 12-14). The tail bleeding time in PF4-Actn1−/− mice remains prolonged. Platelet adhesion, spreading, clot retraction, agonist-induced aggregation, and ATP release were attenuated in PF4-Actn1−/− mice. PF4-Actn1−/− platelets also exhibited decreased integrin αIIbβ3 activation and diminished CD62P expression in response to various agonists (Figure 5A-J; supplemental Figure 14). Calcium mobilization (Figure 5L) and ROS generation assays (Figure 5M) revealed that impaired calcium mobilization and ROS generation are involved in downregulating platelet functions in PF4-Actn1−/− mice.
Many proteomic and transcriptomic studies have been performed on MKs and platelets to explore the mechanism of platelet biogenesis and function.63,64 Here, we also used proteomic (Figure 6A-F) and transcriptomic analyses (Figure 6G; supplemental Figure 17) to investigate the mechanism of action of α-actinin-1 in thrombocytopoiesis and platelet function. There are several experimental challenges in obtaining 100% purity of MKs from the BM of mice.65 We acknowledge that the MKs used in the proteomics and RNA-sequencing experiments may have been contaminated with other cell types. The RNA-sequencing data do not adequately recapitulate the proteomic data. Our data and experimental results highlight the role of α-actinin-1 in thrombocytopoiesis. Proteomic and RNA-sequencing data demonstrated that the changes occurred mainly at the protein level, rather than the transcript level. According to the GSEA of high-ploidy MKs (Figure 6A-D), the downregulation of protein expression was related primarily to platelet activation and mitochondrial function (Figure 6C). We also conducted protein function analysis via different databases (Figure 6D), which highlighted pathways related to platelet function and energy metabolism, such as hemostasis and the trichloroacetic acid cycle. It has been reported that low-ploidy MKs have a more immune differentiated phenotype.57 Our RNA-sequencing results, as shown in supplemental Figure 17, and functional enrichment analysis of genes differentially expressed between the 2 groups of mice also suggested that more immune-related pathways were associated with PF4-Actn1−/− mice, in which the BM has decreased high-ploidy MKs. Some upregulated proteins are highly expressed in neutrophils and, therefore, might not accurately represent differential regulation in MKs. α-Actinin becomes tyrosine phosphorylated in response to pathological shear stress, and phosphorylated α-actinin associates with GPIb-IX.66 However, the potential mechanisms by which GPIb and other platelet-specific glycoproteins are downregulated in PF4-Actn1−/− mice need further study. Proteomic data from MKs also suggested that α-actinin-1 deficiency may affect mitochondrial function. α-Actinin is involved in the formation of dendritic networks and cross-linked networks of actin and has the ability to regulate mitochondrial motility and fission.67 E15.5 embryonic hearts from homozygous Actn2 p.Met228Thr mice exhibit energetic defects through mitochondrial dysfunction.68 Research in α-actinin-3–KO mice suggested that α-actinin-3 is associated with mitochondrial function on human skeletal muscle.69 In this study, we provide novel insight into the role of α-actinin-1 in the energy metabolism of MKs and platelets. Considering that both MKs and platelets contain mitochondria that play important roles in cell progression,30 we further analyzed mitochondrial bioenergetics, the mitochondrial membrane potential, mitochondrial calcium mobilization, and mitochondrial ROS generation in PF4-Actn1−/− platelets (Figure 7) and Actn1-KO 293T cells (supplemental Figure 20). Our results verified that α-actinin-1 deficiency affects mitochondrial function. We used TEM to observe the morphology of the mitochondria (Figure 7J) and fluorescence microscopy to observe and quantify the number of mitochondria (supplemental Figure 19). However, the mechanistic connection between the absence of α-actinin-1 and its effects on mitochondrial function remains inadequately understood. Immunofluorescence staining revealed that α-actinin-1 was not distributed in the mitochondria (supplemental Figure 18). Actin filaments play crucial roles in modulating mitochondrial dynamics, trafficking, and autophagy, as well as in mitochondrial biogenesis and metabolism.70 Considering that α-actinin-1 is a crucial actin-regulatory protein, we propose that the altered quantity and morphology of mitochondria may be attributable to impaired actin dynamics during MK maturation. Nevertheless, we cannot rule out the possibility that α-actinin-1 serves a specific purpose in mitochondria.
There are several important shortcomings of this study that should be highlighted. First, the mean platelet counts in Actn1f/f mice were notably low. Second, we did not use genetic or pharmacological approaches to rescue platelet counts or ameliorate platelet function in PF4-Actn1−/− mice. Third, we did not observe an effect of α-actinin-1 deficiency on megakaryopoiesis in CD34+ HSCs or megakaryoblastic cell lines, such as SET-2, Meg-01, or Dami cells. Fourth, we did not create a general Actn1-KO animal model. The PF4-Actn1−/− mice did not completely recapitulate the genetic alterations in patients. The BM environment and neutrophils reportedly contribute to platelet biogenesis.8,71 In this study, we did not investigate the role of the BM environment or neutrophils in platelet biogenesis. Because of technical, time, and PF4-Cre mouse model constraints, we were not able to determine at which stage in hematopoiesis the Actn1 gene is lost. Fifth, the mechanistic connection between the absence of α-actinin-1 and its effects on mitochondrial function remains inadequately understood.
Acknowledgments
The authors thank all the laboratory members for their helpful discussion. The authors thank Shu Sun for assisting with the flow cytometric sorting of megakaryocytes. The authors also acknowledge GemPharmatech Co, Ltd, for constructing the animal model and providing technical assistance in mouse breeding; OE Biotech Co, Ltd, (Shanghai, China), for providing technological assistance in bulk RNA sequencing; Wuhan Metware Biotechnology Co, Ltd, for their contributions and assistance in LC-MS/MS analysis; and Ubigene Biosciences Inc, (Guangzhou, China) for generating Actn1 KO 293T cells. The authors are thankful for the excellent technical support (microscopy platform: Xingguang Liang and Chen Liu; and flow cytometry platform: Yahong Wu, Yuanyuan Lv, Ximin Jin, and Liang Xu) provided by the core facility, Central Laboratory, the First Affiliated Hospital, Zhejiang University School of Medicine, for the use of microscopy and flow cytometry. The authors thank Beibei Wang, Yinping Lv, and Dandan Song at the Center of Cryo-Electron Microscopy, Zhejiang University, for their technical assistance with transmission electron microscopy; and Hui Li, Hui Chen, Mengqiao Zhou, and Li Jiang at the NHFPC Key Laboratory of Combined Multi-Organ Transplantation, the First Affiliated Hospital, Zhejiang University School of Medicine for help with mouse breeding and mouse experiments. The authors are grateful to research assistant Li Liu from the Core Facilities of Zhejiang University School of Medicine for help with FeCl3-induced carotid artery thrombosis. The authors thank Junyu Qiu in the Zhejiang Provincial Key Laboratory of Pancreatic Disease, the First Affiliated Hospital, Zhejiang University School of Medicine, for help with the Seahorse experiments; Jinyan Huang and his team at the Biomedical Big Data Center, Zhejiang Provincial Key Laboratory of Pancreatic Disease, the First Affiliated Hospital, Zhejiang University School of Medicine, for help with processing the bulk RNA-sequencing data; and Xiaodong Xi and his team at the Shanghai Institute of Hematology, Ruijin Hospital, Shanghai Jiao Tong University School of Medicine for help with the Bioflux-200 microfluidic system experiments. The authors also thank Junling Liu from Shanghai Jiao Tong University School of Medicine for comments about data presentation and interpretation of the findings of the article.
This work was supported by National Natural Science Foundation of China grants 82070118 (Jiansong Huang), 81820108004, 82170144, and 82370163 (J.J.), 82270128 and 81970127 (J.D.), 82200161 (X .Li), 82260028 (Yulan Zhou), and 82400163 (X.Lin), the Research Project of Jinan Microecological Biomedicine Shandong Laboratory grant JNL-2022034C, the Key Research and Development Program of Zhejiang grants 2021C03123 (J.J.) and 2022C03137 (Jian Huang), Natural Science Foundation of Zhejiang Province grant LY20H080008 (Jiansong Huang), and Science Program of Health Commission of Jiangxi Province grant 202210433 (Yulan Zhou).
Authorship
Contribution: X .Li, H.G., M.X., J.H., and X. Lin designed and performed the experiments, analyzed the results, and prepared the manuscript; Y.Z. analyzed the data and contributed to writing the manuscript; K.L., D.C., C.F., L.W., and X.S. performed the experiments and analyzed the data; X.H., J.W., Y.Z., Z.M., and Y.Q. analyzed the results; H.T., J.D., and J.J. designed the experiments, interpreted the data, and revised the manuscript; J.H. designed the study, performed the experiments, analyzed the data, and wrote the manuscript; and all the authors reviewed and approved the final manuscript.
Conflict-of-interest disclosure: The authors declare no competing financial interests.
Correspondence: Jiansong Huang, Department of Hematology, The First Affiliated Hospital, Zhejiang University School of Medicine, 79 Qingchun Rd, Hangzhou 310003, China; email: hjiansong1234@zju.edu.cn; Jie Jin, Department of Hematology, The First Affiliated Hospital, Zhejiang University School of Medicine, 79 Qingchun Rd, Hangzhou 310003, China; email: jiej0503@zju.edu.cn; Jing Dai, Department of Laboratory Medicine, Ruijin Hospital, Shanghai Jiao Tong University School of Medicine, No. 197 Ruijin Er Rd, Shanghai 200025, China; email: dj40572@rjh.com.cn; and Hongyan Tong, Department of Hematology, The First Affiliated Hospital, Zhejiang University School of Medicine, 79 Qingchun Rd, Hangzhou 310003, China; email: tonghongyan@zju.edu.cn.
References
Author notes
X. Lin, H.G., M.X., and Jian Huang contributed equally to this study.
Raw transcriptome sequencing data were deposited in the Sequence Read Archive of the National Center for Biotechnology Information (accession number PRJNA1055949).
Data are available on request from the corresponding author, Jiansong Huang (hjiansong1234@zju.edu.cn).
The full-text version of this article contains a data supplement.







