Abstract
Bronchiolitis obliterans organizing pneumonia (BOOP) has been reported following hematopoietic stem cell (HSC) transplantation, but the clinical features and risk factors for this disorder have not been well characterized. This case-control study of 49 patients with histologic BOOP and 161 control subjects matched by age and year of transplantation describes the clinical features and analyzes the risk factors for BOOP following HSC transplantation. Data on clinical features and outcome were collected by chart review. Odds ratios, estimating the relative risk of BOOP in allogeneic HSC recipients, were calculated by conditional logistic regression with adjustment for potential confounding factors. Clinical features of BOOP in this population were similar to idiopathic BOOP and BOOP occurring in other disease settings. There was an association between acute and chronic graft-versus-host disease (GVHD) and the subsequent development of BOOP (odds ratios, 3.8 [95% CI, 1.2 to 12.3] and 3.1 [95% CI, 1.1 to 9.2], respectively). Patients with BOOP were more likely to have acute GVHD involving the skin (odds ratio, 4.6; P = .005) and chronic GVHD involving the gut (odds ratio, 6.6; P = .018) and oral cavity (odds ratio, 5.9; P = .026). This study shows that histologic BOOP following HSC transplantation has clinical features that resemble idiopathic BOOP and is strongly associated with prior acute and chronic GVHD. These results have important implications for the care of patients who develop respiratory symptoms after HSC transplantation and may help elucidate the pathogenesis of idiopathic BOOP. (Blood. 2003;102:3822-3828)
Introduction
Idiopathic bronchiolitis obliterans organizing pneumonia (BOOP) is a clinicopathologic syndrome first described as a distinct entity by Epler et al in 1985.1 Histologically, it is defined by the patchy distribution of plugs of granulation tissue that fill the lumens of the distal airways, extending into the alveolar ducts and alveolar sacs in association with chronic interstitial inflammation. Clinically, patients present with fever, cough, dyspnea, and crackles on physical examination. The clinical spectrum of BOOP ranges from a mild illness to respiratory failure and death.1-3 Histologic BOOP may be idiopathic or it may be associated with bacterial and viral infections,4-7 drugs,8,9 collagen vascular diseases,10-14 aspiration,15 irradiation,16 inflammatory bowel disease,17 myelodysplastic syndrome,18 common variable immunodeficiency syndrome,19 and lung transplantation.20 A handful of case reports and small case series have described BOOP in the setting of hematopoietic stem cell (HSC) transplantation.21-26 In these reports, BOOP was attributed to cytomegalovirus (CMV) and parainfluenza III virus infection and to graft-versus-host disease (GVHD). However, there remains little information about the clinical presentation of BOOP in this population, and the risk factors for the development of this condition have not been defined and quantified in an analytic study.
We conducted a case-control study to evaluate and quantify risk factors for BOOP in the HSC transplant population. The clinical and radiographic manifestations of BOOP are also described based on analysis of the largest case series to date of BOOP in the HSC transplant setting.
Patients and methods
Identification of cases and controls
We reviewed pathology reports from all surgical lung biopsies performed between August 1976 to December 1998 on patients who received an HSC transplant at the Fred Hutchinson Cancer Research Center (FHCRC) in Seattle, Washington to identify cases displaying fibrous organization or granulation tissue. The relevant histologic sections were then re-examined by a pathologist (R.C.H.) to identify all cases of histologic BOOP that occurred during the study period. Cases of histologic BOOP exhibited the following features: (1) patchy filling of respiratory bronchioles, alveolar ducts, and peribronchiolar alveolar sacs with polypoid masses of granulation tissue; (2) widening of alveolar septa and infiltration by mononuclear cells; and (3) accumulation of foamy macrophages within alveoli1,6 (also known as organizing pneumonia or cryptogenic organizing pneumonia27 ). Slides from surgical lung biopsies of FHCRC patients occurring at outside institutions were available for inclusion in the study.
Control subjects were selected from a computerized database of all patients who received an allogeneic transplant. Controls were matched to each case on age (within 1 year) and year of transplantation. For each case, 4 controls were randomly selected without replacement from among all potential controls who met the matching criteria. We matched on year of transplantation, as this would control for trends over time in transplantation and posttransplantation practices. This resulted in 196 controls matched to 49 cases. To ensure that control subjects had the same “at-risk” period as cases, selected controls were retained only if their survival in days after HSC transplantation was at least as long as the time to BOOP diagnosis following HSC transplantation for their corresponding case patient; this eliminated 35 controls, leaving 161 for analysis.
Data collection
Clinical features. To describe the characteristic clinical, physiologic, and radiographic features of BOOP, medical records of case patients were reviewed by 2 of the investigators (T.D.F, D.K.M.) using a standardized case report form. The results of blood, sputum, and bronchoalveolar lavage fluid cultures obtained prior to the diagnosis of BOOP were recorded. The initiation of specific treatment(s) for BOOP; the outcome of BOOP coded “resolved,” “stable,” or “progressed”; and the cause of death were also noted.
Risk factors. To determine the risk factors associated with the development of BOOP, the age, sex, underlying malignancy, stage of malignancy at the time of transplantation, type of HSC transplant, stem cell source, conditioning chemotherapeutic regimen, and prevalence of donor and recipient cytomegalovirus antibodies were extracted from the computerized research database. The presence and severity of acute and chronic graft-versus-host disease, as well as the organs affected, were also obtained from the database. The date of onset was available for acute but not chronic GVHD. All risk factor data were obtained in an identical fashion for case and control subjects.
Definitions of variables
Histologic BOOP was defined according to the criteria listed above for identification of cases. The day of surgical lung biopsy served as the day of condition onset. HSC transplant referred to either bone marrow transplant or peripheral blood stem cell infusion.
BOOP lesions were described as alveolar, nodular, or interstitial, based on review of the chest radiograph report. Pulmonary function tests at the time of BOOP diagnosis were compared with baseline values. Any change in pulmonary function test results occurring within a 2-month window surrounding the day of surgical lung biopsy was attributed to BOOP. A decrease in the total lung capacity (TLC) to less than 80% of predicted was defined as a new restrictive physiologic defect. A new obstructive defect was defined by a 15% or more reduction in forced expiratory volume in one second (FEV1) with a concomitant decrease in the FEV1 to forced vital capacity (FVC) ratio. A decrease in diffusion capacity for carbon monoxide (DLCO) of 15% or more was considered significant. A certified technician performed all pulmonary function tests. Results were interpreted according to the widely accepted guidelines published by the American Thoracic Society.28 Corticosteroid treatment of BOOP was defined as either the initiation of corticosteroid therapy or an increase in corticosteroid dosage for the diagnosis of BOOP. Survival was recorded in days or years since HSC transplantation.
Overall grade of acute GVHD and severity of organ involvement was assessed on a 0 to 4 scale according to the original Seattle criteria.29 Acute GVHD was considered present if a grade of at least 2 was assigned. Histologic documentation of chronic GVHD by biopsy of skin or other tissues was required for diagnosis, and specific organ involvement was recorded as present or absent. Standard criteria for classifying and grading chronic GVHD have been described elsewhere.30,31 All grading was performed by GVHD-attending physicians using clinical and histologic information.
Statistical analysis
Differences in means were tested using a t test or Wilcoxon rank-sum test, as appropriate. Differences in proportions were assessed using the chi-square statistic or Fisher exact test. Using Kaplan-Meier estimates and a log-rank test, 1-year and 5-year survival in case and control populations were compared.
The independent associations of variables with BOOP in the case-control data were assessed using conditional logistic regression, a method that accounted for the matching used in control selection. The predictor variables of interest and the covariates considered a priori to be potential confounders were placed in the model and retained in the model if significantly associated with the outcome variable (P < .05). Acute GVHD was considered present for logistic modeling if it occurred prior to or at the same time (within 14 days) as histologic BOOP. Chronic GVHD was coded as present for logistic modeling only in those cases and their corresponding controls where the diagnosis of BOOP occurred more than 65 days following HSC transplantation.
Other variables were included in the multiple regression models if they were significantly associated with case-control status in unadjusted (matched) analyses and if their inclusion had a substantial effect (> 15% change) on coefficients for variables already present in the model. Adjusted odds ratios and their 95% confidence intervals were calculated. For all tests, a 2-sided P value of .05 or less was considered statistically significant.
This study received institutional review board approval at the FHCRC.
Results
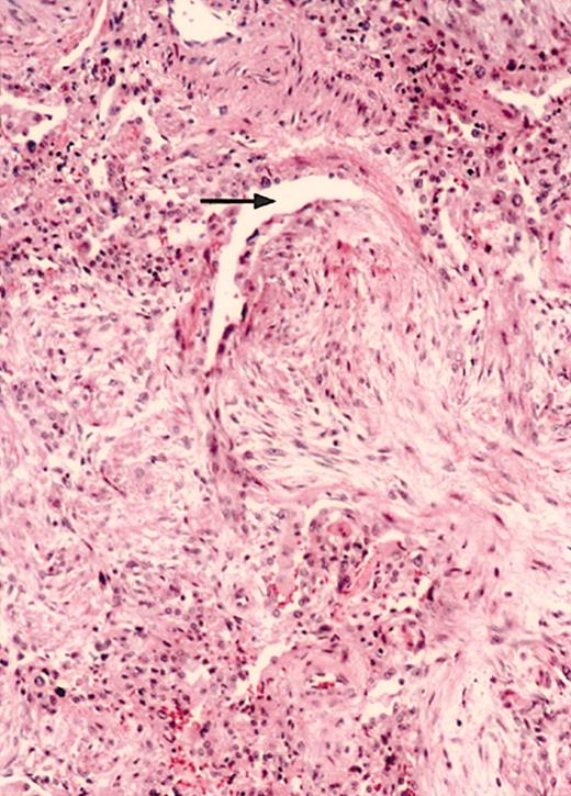
During the 22-year study period, 5340 allogeneic and 1183 autologous HSC transplantations were performed at FHCRC. Review of all surgical lung biopsy specimens (n = 817) resulted in the identification of 51 cases with histologic features consistent with BOOP. Figure 1 demonstrates these characteristic features. Because they occurred following autologous HSC transplantation, 2 cases were excluded, leaving 49 cases of histologic BOOP available for inclusion in the study.
A polypoid tongue of fibrous tissue has reduced the lumen of the bronchiole to a slitlike space (arrow). Fibrosis extends into some alveolar sacs, and there is a mononuclear interstitial inflammatory infiltrate (hematoxylin and eosin stain; original magnification, × 80).
A polypoid tongue of fibrous tissue has reduced the lumen of the bronchiole to a slitlike space (arrow). Fibrosis extends into some alveolar sacs, and there is a mononuclear interstitial inflammatory infiltrate (hematoxylin and eosin stain; original magnification, × 80).
Clinical features of BOOP following HSC transplantation
Clinical features associated with BOOP are presented in Table 1. The median number of days to diagnosis following HSC transplantation was 108. The median symptom duration was 13 days and the most common symptoms were fever, dyspnea, and nonproductive cough. Chest radiographs of patients with BOOP typically exhibited an alveolar or nodular pattern. Radiographic abnormalities were just as likely to have a focal distribution as a multifocal one but were less frequently diffuse.
Most patients with histologic BOOP (77%) were treated with corticosteroids. Of the patients, 66% received initial doses of at least 1 mg/kg per day. There were no significant differences in outcome of BOOP or survival by corticosteroid dosing strategy or when corticosteroid-treated patients were compared with those who received no specific therapy (data not shown).
BOOP resolved or remained stable in 78% of cases. BOOP progressed in 11 (22%) patients despite corticosteroids with initial doses that ranged from 1 mg/kg per day to 2 g/d. Of the 11 patients, 8 (73%) died of respiratory failure attributed to BOOP. Of the other 3 patients, 1 died of respiratory failure attributed to an aspiration event and the other 2 from sepsis and multiorgan failure. Of patients with histologic BOOP, 55% survived to one year following HSC transplantation. By the Kaplan-Meier product-limit estimate, 5-year survival was 33%.
Tables 2 and 3 demonstrate the changes in pulmonary function tests associated with a diagnosis of BOOP. FEV1, FVC, TLC, and DLCO were all substantially reduced.
All surgical lung biopsy specimens that demonstrated histologic BOOP were submitted for viral, bacterial, and fungal culture. Culture results are available for all but 2 histologic cases of BOOP. Biopsy material obtained from 4 of these patients was culture-positive for cytomegalovirus (CMV); one of these biopsy specimens was also culture-positive for parainfluenza III virus. Biopsy materials from 2 other patients were culture-positive for either respiratory syncytial virus (RSV) or Candida parapsilosis. Of the 6 patients with concomitant opportunistic infection, 1 patient subsequently died of infection (respiratory failure secondary to CMV). We did not identify Pneumocystis carinii pneumonia (PCP) or isolate bacteria from any of the biopsy specimens.
Predictors of the development of BOOP
The clinical characteristics of the cases and controls are shown in Table 4. A number of important variables were not significantly different when comparing case with control subjects, including age, sex, disease activity of the underlying malignancy, stem cell human lymphocyte antigen (HLA) matching, stem cell source, type of GVHD prophylaxis, and recipient or donor CMV antibody prevalence at the time of transplantation. Most subjects received transplants from matched-related donors, and most received GVHD prophylaxis with a combination of cyclosporin and methotrexate. There were differences between case and control subjects in the type of malignancy for which the patients were undergoing transplantation (P = .08) and the preparative chemotherapeutic regimen used (P = .02). In subjects with histologic BOOP, 5-year survival was reduced (P = .05).
Both acute and chronic GVHD were significantly more common in patients with histologic BOOP than in control subjects. Table 5 compares the prevalence and severity of GVHD in the 2 populations. Of subjects with histologic BOOP, 81% developed acute GVHD, while only 56% of control patients were diagnosed with this condition. Furthermore, case patients had a significantly higher mean overall grade of acute GVHD (P = .02) and a higher mean organ grade for acute GVHD of the skin (P < .001). Chronic GVHD was also significantly more prevalent in BOOP patients than in control subjects. Case subjects were more likely to have clinically extensive chronic GVHD at disease onset (P = .02) and were more likely to have involvement of the gut (P = .04). Patients with histologic BOOP were also more likely to have a “progressive” chronic GVHD classification than their control counterparts (P = .001).
We used multivariate analysis to examine the independence of the association between GVHD and BOOP. As shown in Table 6, the presence of either acute or chronic GVHD was significantly associated with histologic BOOP even after adjustment for other variables associated with BOOP. The odds ratios for acute and chronic GVHD were 3.8 (95% CI, 2.1-12.3) and 3.1 (95% CI, 1.1-9.2), respectively. The presence of skin involvement with acute GVHD was also independently associated with BOOP. Organ-specific involvement of the gut and oral cavity was also independently associated with histologic BOOP. After adjustment for the presence of both acute and chronic GVHD, no variable other than acute and chronic GVHD was significantly associated with histologic BOOP in conditional logistic regression models.
Discussion
We have described the clinical features of histologic BOOP following HSC transplantation in the largest case series to date of BOOP in this setting. We have demonstrated an association between BOOP and GVHD, a finding previously suggested only by a handful of case reports and small case series.21-26,32 In addition, we found that BOOP was associated with a primary diagnosis of leukemia as well as with the use of radiation-containing preparative regimens; however, neither of these variables was a significant risk factor in the multivariate analysis.
Of 5340 patients who received allogeneic HSC transplants during the 22-year study period, 49 cases of histologic BOOP were identified. It is likely that the true incidence of this disorder is higher as we report only cases that proceeded to surgical lung biopsy. It is noteworthy that most cases (66%) occurred within the last 10 years of the study period. During this same time period, FHCRC physicians performed only 53% of the total number of allogeneic HSC transplantations. This observation suggests that the frequency of BOOP in this population may be increasing. However, it is possible that this apparent increase in incidence may be explained by more heightened clinical suspicion or by advances in imaging technology.
Most patients presented with a 2-week history of fever, dyspnea, and a nonproductive cough. These clinical manifestations do not differ substantially from those in patients with idiopathic BOOP (cryptogenic-organizing pneumonia) or histologic BOOP in other clinical settings.32-34 Some investigators have reported that pulmonary symptoms attributable to BOOP occasionally arise when corticosteroid therapy administered for other disorders is stopped or tapered.35 We noted that the diagnosis of histologic BOOP was preceded by a corticosteroid taper in 22% of patients. In all cases of BOOP that arose in the setting of a corticosteroid taper, patients were receiving this medication for treatment of chronic GVHD. Further research is needed to ascertain whether corticosteroid taper may be associated with the development of BOOP in these patients.
Chest radiograph findings in this HSC transplant sample were consistent with radiographic abnormalities reported for subjects with idiopathic BOOP. In idiopathic BOOP, 3 radiographic patterns are classically reported: multiple alveolar patchy opacities, diffuse bilateral asymmetric infiltrates, and solitary focal pneumonia.36-38 As was noted with our patients, the most common chest radiograph finding is multifocal alveolar opacities. Radiographic abnormalities were rarely migratory, a finding that appears to contradict reports by other investigators.39 However, in accordance with other observers, we did note that abnormalities attributed to BOOP in the transplantation setting were frequently present in a peripheral distribution by computed tomography.40
It was not possible with this study design to determine if corticosteroid therapy was beneficial for patients with BOOP. Of the patients, 36 (77%) were treated with a corticosteroid-containing regimen for BOOP, 6 (12%) of 11 who were not treated with corticosteroids received other immunosuppressive medications, and 5 (11%) received no specific therapy. There were no significant differences in survival between groups of patients based on the amount of corticosteroid received. However, any true differences in efficacy may have been obscured by variable therapy prescribing practices that were based on the severity of BOOP in each patient.
The precise relationship between acute GVHD and pulmonary complications following HSC transplantation remains unclear.41-43 To date, acute GVHD has been associated with lymphocytic bronchitis/bronchiolitis,26,44 lymphocytic interstitial pneumonitis,26,45,46 acute respiratory distress syndrome (ARDS),26,47 and idiopathic pneumonia.48-50 Although data in animal models of GVHD support a role for alloreactive donor T cells in the evolution of lung damage following HSC transplantation, the precise mechanisms by which these cells traffic to the lung, interact with host antigens, and cause injury in animals or humans remain unresolved.46,48,51,52
Although the association between chronic GVHD and respiratory disease, specifically BO, is better accepted, a causal link between these 2 entities has also yet to be firmly established.53-56 Investigators first described the association between obstructive airway disease after allogeneic HSC transplantation and the presence of chronic GVHD in 1982.57 Clark et al further clarified this relationship in 1987, when they analyzed pulmonary function tests on 281 adult patients one year following bone marrow transplantation.53 In linear multivariate regression analysis, only chronic GVHD and the administration of methotrexate were independently associated with the presence of airflow obstruction. Further evidence for a causal relationship between chronic GVHD and BO is derived from the striking similarities between the histopathologic features of BO after HSC transplantation and the BO associated with lung transplant rejection.58-61
We have noted an association between GVHD and BOOP for both acute and chronic GVHD. Patients with BOOP were more likely to have skin involvement with acute GVHD and were more likely to have gut and oral cavity involvement with chronic GVHD than controls. The severity of acute and chronic GVHD was significantly greater in case subjects than in control subjects, and case subjects were more often classified with “progressive” chronic GVHD. It is unclear why “progressive” chronic GVHD is associated with BOOP, but not “de novo” or “quiescent” GVHD. However, this observation is consistent with the fact that morbidity and mortality are highest in patients with a progressive onset of chronic GVHD compared with quiescent or de novo onset.30,31 One explanation for this finding may be that “progressive” GVHD represents a more severe form of chronic GVHD and that it would take greater numbers of subjects to show an association between milder forms of chronic GVHD and BOOP.
It is important to emphasize that we restricted the analysis such that only GVHD that preceded the diagnosis of BOOP was considered in our logistic models. While this does not demonstrate a causal relationship, it does establish GVHD as a risk factor for the development of BOOP.
BOOP and BO are distinct clinicopathologic entities. However, both have now been associated with chronic GVHD, and both occur during a similar time frame following HSC transplantation. While patients with BOOP generally present with fever, cough, dyspnea, crackles by physical examination, chest radiograph abnormalities, and restriction by pulmonary function testing, patients with BO typically present without fever and have wheezing by physical examination, normal chest radiograph findings, and obstruction by pulmonary function testing. It is estimated that 11% of long-term survivors of HSC transplantation with chronic GVHD develop airflow obstruction;53 BO is the predominant pathologic finding. The case-fatality rate associated with BO in this setting is 50% despite aggressive therapy with corticosteroids and other immunosupressant agents.62
Respiratory infections with bacteria, viruses, P carinii, and fungi are identified in half of the patients with obstructive airway disease following marrow transplantation.62 It is believed that these infections are more likely the result of a compromised immune system in the setting of GVHD than they are the cause of the underlying bronchiolitis. By contrast, very few of our patients with BOOP exhibited evidence of infection by culture of blood, sputum, bronchoalveolar lavage fluid, and surgical lung biopsy specimens. Further research is needed to understand why patients with BO are more likely to have associated infections than patients with BOOP.
Because a major objective of this study was to identify risk factors for the development of BOOP, we limited the matching criteria for control selection in order to evaluate the greatest number of variables. We chose to use multivariate analyses to control for confounding variables. An alternative approach would have been to select controls matched for diagnosis and preparative regimen in addition to age and year of transplantation, but we elected to control for these variables in the analysis.
This study has a number of important limitations. First, much of the data used for this study were collected as a part of routine clinical care rather than by a specific research protocol. However, for the variables of most importance, acute and chronic GVHD, prior research from our institution has shown good inter-rater reliability on both the presence and severity of these diagnoses.29,63 Second, this study was conducted at a single institution and hence it is possible that there could be geographic variability in the prevalence, presentation, or diagnosis of BOOP in the HSC transplant population in different locations or at different transplantation centers. Third, it is possible that mild cases of BOOP may have been missed or that the diagnostic efficiency for BOOP changed during the long study period. While this could affect the clinical presentation of BOOP in this population, it is less likely to affect the risk factors for BOOP. Finally, due to the retrospective nature of this study design, it is not possible to be certain a chronic graft-versus-host reaction preceded the development of BOOP in all cases.
We have shown that patients with BOOP in the transplantation setting have presenting symptoms, physical examination findings, radiographic features, and pulmonary function test results that resemble findings seen in patients with BOOP in other clinical settings, including idiopathic BOOP. Although there is no direct evidence of a donor T-cell-mediated immune response directed against recipient lung tissue in humans, several previous investigators have demonstrated a strong association between acute GVHD and idiopathic pneumonia syndrome and the presence of chronic GVHD and BO in animal studies and clinical investigations. We have now established a strong association between acute and chronic GVHD and BOOP. In fact, no other variables were associated with BOOP after adjusting for GVHD in logistic regression models. These findings provide important information for the management of HSC transplant recipients who develop a respiratory syndrome consistent with BOOP and may provide insight into the pathogenesis of idiopathic BOOP.
Prepublished online as Blood First Edition Paper, July 17, 2003; DOI 10.1182/blood-2002-06-1813.
Supported in part by grant no. 18029 from the National Cancer Institute, National Institutes of Health.
The publication costs of this article were defrayed in part by page charge payment. Therefore, and solely to indicate this fact, this article is hereby marked “advertisement” in accordance with 18 U.S.C. section 1734.
