Abstract
Transcriptional profiles of cultured primary human erythroid cells were examined to identify those genes involved in the control of erythroid growth during the terminal phase of maturation. Our in silico screening strategy indicated that a hypoxia-inducible proapoptotic member of the Bcl-2 gene family called Nix is expressed during erythropoiesis. We next performed Northern blot analyses and determined that the 1.4-kb Nix transcript is expressed at lower levels in erythroleukemia cells than reticulocytes. Polymerase chain reaction (PCR)–based transcriptional patterning confirmed the increased expression of Nix during human erythropoiesis with a pattern similar to that of Bcl-xL and glycophorin A and opposite that of Bcl-2. Western blot analyses revealed Nix protein levels that were lower than expected due to increased proteosomal degradation. The expression of Nix and Bcl-xL proteins decreased relative to glyceraldehyde-3-phosphate dehydrogenase (GAPDH) control on the removal of erythropoietin (EPO) from the culture medium. Immunocytochemical analyses demonstrated a similar perinuclear mitochondrial expression pattern for both proteins in hemoglobinized precursors. On the basis of these data, we propose that the proapoptotic factor Nix is a highly regulated effector of growth during terminal erythroid maturation.
Introduction
Human erythropoiesis encompasses the differentiation of hematopoietic stem cells into recognizable erythroid blasts, culminating with enucleation to form the reticulocytes. Effective terminal maturation depends on intracellular signaling networks that regulate cell growth and apoptosis. In particular, regulated expression of the antiapoptotic gene Bcl-xL is thought to mediate erythroblast viability during terminal maturation.1,2 Significantly increased expression of Bcl-xL is also associated with polycythemia.3,4
To identify additional growth-related genes with regulated expression during terminal erythroid differentiation, we compared the transcriptional profiles of primary human erythroid cells sorted at defined stages of differentiation. We identified several expressed sequence tags (ESTs) with homology to a gene called Nix (GenBank GI, 4138825). Expression of this gene has not been reported previously among erythroid cells. Nix, also known as BNIP3L and BNIP3α, is a proapoptotic member of the Bcl-2 gene family located on chromosome 8p21.5 Nix binds to antiapoptotic members of the gene family, including Bcl-xL, and has been shown to directly target mitochondrial membranes to induce apoptosis-associated changes.6,7 Because Nix-encoded ESTs were identified more frequently among transcriptional profiles from mature erythroid cells than from immature cells, we experimentally tested the informatics-based hypothesis that expression of this proapoptotic gene is regulated during terminal erythroid differentiation. For this purpose, we compared expression patterns for Nix and Bcl-xL during adult erythropoiesis. Interestingly, both genes demonstrated a highly regulated, erythropoietin-dependent expression pattern during terminal erythroid maturation.
Materials and methods
Erythroid primary cell culture
Peripheral blood CD34+ cells were isolated from healthy donors and cultured in the presence of erythropoietin (EPO) for differentiation of the erythroid lineage, as discussed elsewhere.8 A National Institutes of Health institutional review board approved the collection of cells for study. Informed consent was provided according to the Declaration of Helsinki.
Northern blot analysis
A membrane was prepared with 25 μg total RNA isolated from human reticulocytes, white blood cells, K562 erythroleukemia cells, HEL erythroleukemia cells, and Jurkat cells using Trizol (Life Technologies, Gaithersburg, MD) along with 2.5 μg bone marrow mRNA purchased from BD Biosciences Clontech (Palo Alto, CA). An 850-bp probe corresponding to position 169 to position 1019 of Nix mRNA was generated by polymerase chain reaction using NorthernMax Kit (Ambion, Austin, TX) with the forward primer 5′-GCCGGCCTCAACAGTTC-3′ and the reverse primer 5′-TGGCATTTGCGGAAAAGA-3′.
Expression data using RT-PCR
Total RNA was prepared from 5 to 10 × 105 cells using Trizol reagent (Life Technologies), and cDNA was synthesized from 1 μg total RNA per sample using SuperScript II Kit (Gibco/BRL, Carlsbad, CA) with oligo dT primers according to the manufacturer's instructions. Expression was then assessed using primers for Nix (forward, 5′-CGCCCCTGCACAACAAC-3′; reverse, 5′-TCATTGCCATTGCTGCTG-3′), glyceraldehyde-3-phosphate dehydrogenase (GAPDH) (forward, 5′-GGGCGCCTGGTCA-3′; reverse, 5′-CAAGCTTCCCGTTCTCAG-3′), glycophorin A (GPA) (forward, 5′-CGCACAAACGGGACACATA-3′; reverse, 5′-CAGAGAAATGATGGGCAAGTT-3′), and Bcl-2 (forward, 5′-GTGTGGAGAGCGTCAACC-3′; reverse, 5′-GCTGGGGCCGTACAGTT-3′). Bcl-xL was amplified with primers specific for the longer spliced form (forward, 5′-GGATGGCCACTTACCTGA-3′; reverse, 5′-CGGTTGAAGCGTTCCTG-3′). All PCR primers were designed to span an intron, and all products were amplified using 2-step 94°C and 68°C conditions.
Quantitative real-time RT-PCR was performed using an ABI Prism 7700 sequence detection system (PE Applied Biosystems, Foster City, CA). Amplification of specific PCR products was performed in a total reaction volume of 50 μL containing 10 μL (10 ng) cDNA template, forward and reverse primers, dual-labeled florigenic internal probe, and 1× TaqMan Universal PCR Master Mix reagents. Dual-fluorescence nonextendable probes labeled with 6-carboxyfluorescein (FAM) at the 5′ end and with 6-carboxytetramethylrhodamine (TAMRA) at the 3′ end were used for detection. Primers and probes for Nix (forward, 5′-AAAATGAGCAGTCTCTGCCCC-3′; reverse, 5′-TGCTGCTGTTCATGGGTAGCT-3′; probe, 5′-6FAM-CCGGCCTCAACAGTTCCTGGGTG-TAMRA-3′) and Bcl-xL (forward, 5′-GAATGACCACCTAGAGCCTTGG-3′; reverse, 5′-TGTTCCCATAGAGTTCCACAAAAG-3′; probe, 5′-6FAM-TCCAGGAGAACGGCGGCTGG-TAMRA-3′) were designed using the software (Perkin-Elmer Life Sciences, Boston, MA). Amplifications were performed at 95°C for 10 minutes and for 40 cycles of 15 seconds at 95°C and 60 seconds at 60°C. Serial dilutions of cDNA were amplified in each experiment for calculation of the relative mRNA expression levels of the target genes according to the manufacturer's protocol.
Western blot analysis
Harvested cells were lysed in a buffer containing 0.15 M NaCl, 1% sodium deoxycholate, 0.1% sodium dodecyl sulfate (SDS), 1% Triton (vol/vol) X-100, 0.05 M Tris-HCl, and protease inhibitors, and the protein extracts (30 μg/well) were separated on 10% SDS-polyacrylamide gels and transferred to nitrocellulose membranes. Nix was detected with rabbit antihuman Bnip3L (Nix) polyclonal antibody (1:500; Exalpha Biologicals, Boston, MA) followed by an antirabbit immunoglobulin G (IgG)–horseradish peroxidase (HRP)–conjugated secondary antibody (sc-2004; Santa Cruz Biotechnology, Santa Cruz, CA). Mouse monoclonal anti–Bcl-xL and anti–Bcl-2 antibodies (sc-8392 and sc-7382; Santa Cruz Biotechnology) were used at a 1:200 dilution and were detected with antimouse IgG–HRP-conjugated secondary antibody (sc-2005; Santa Cruz Biotechnology). Membranes were developed with an enhanced chemiluminescence reagent according to the manufacturer's instructions (Amersham Life Science, Little Chalfont, United Kingdom). For protein stability analyses, the translation inhibitor cycloheximide (CHX) (final concentration, 200 μM; Sigma, St Louis, MO) versus the protease inhibitor lactacystin (LAC) (final concentration, 5 μM; Calbiochem, La Jolla, CA) were added for 48 hours beginning on culture day 12.
Immunocytochemical staining
Cytospin preparations were made with primary human erythroid precursor cells obtained after 2 weeks in culture. Cell slides were fixed in chilled acetone for 10 minutes, air dried, and subsequently incubated for 5 minutes in 1% hydrogen peroxide to quench any endogenous peroxidase activity. After blocking in 2% bovine serum albumin–phosphate-buffered saline (BSA-PBS) for 1 hour at room temperature, the slides were incubated with rabbit antihuman Nix (Bnip3L) antibody (Exalpha Biologicals) at a 1:100 dilution versus mouse antihuman Bcl-xL antibody (Santa Cruz Biotechnology) at a 1:50 dilution overnight at room temperature. After washing, they were immunostained using an automated avidin-biotin HRP detection system (Ventana Medical Systems, Tucson, AZ).
Measurement of apoptosis by flow cytometry
After two washes with PBS, 1 × 106 cells were resuspended in 0.5 mL binding buffer (10 mM HEPES/NaOH, pH 7.4, 140 mM NaCl, 2.5 mM CaCl2). Fluorescence-labeled fluorescein isothiocyanate–Annexin V (FITC-AnV) was added at a final concentration of 0.5 μg/mL, and the cells were incubated for 10 minutes at room temperature according to the manufacturer's protocol (Immunotech, Marseilles, France). Flow cytometric analyses were performed using an Epics Elite ESP flow cytometer (Beckman Coulter, Hialeah, FL). In each experiment, at least 10 000 cells were analyzed using argon laser excitation and bandpass emission filters (525 nm for FITC).
Results
Erythroid expression of Nix mRNA
We initially sequenced several Nix-encoded cDNA clones from erythroid cells and identified a 1366-bp transcript (GenBank ID, AF452712) with an additional 15 bp at the 5′ terminus that resulted in a longer first exon (197 bp) than found in Nix (GenBank ID, AF067396). The additional 15 bp in the 5′ untranslated region (UTR) indicates transcription slightly upstream of that reported previously, but the predicted coding regions and exon splicing patterns are not changed. Of note, a transcript containing a much longer 3′UTR has also been reported (GenBank ID, AL132665; 3481 bp). Northern blot analysis revealed 2 bands with variable intensities at approximately 4.0 kb and 1.4 kb (Figure 1). This dual-banding pattern is present in most tissues, and slight variations in the molecular weights of these bands have been identified elsewhere.7,9 The larger transcript is usually expressed at equivalent or higher levels,10 and this pattern was demonstrated in leukemia cell lines and peripheral blood leukocytes (Figure 1). The lower molecular weight band was significantly more intense in bone marrow and reticulocytes. Reversal of the intensities of the 2 bands, especially among reticulocytes, suggests increased expression of the 1.4-kb Nix transcript during erythroid maturation. The significance of the preferential expression of the 1.4-kb Nix transcript in reticulocytes is unknown.
Northern blot analysis of Nix expression. Membranes were prepared using RNA from bone marrow (lane 1), leukocytes (lane 2), reticulocytes (lane 3), K562 cells (lane 4), HeLa cells (lane 5), and Jurkat cells (lane 6). RNA was hybridized with an 850-bp segment of Nix mRNA. Arrows indicate the molecular sizes of 2 bands.
Northern blot analysis of Nix expression. Membranes were prepared using RNA from bone marrow (lane 1), leukocytes (lane 2), reticulocytes (lane 3), K562 cells (lane 4), HeLa cells (lane 5), and Jurkat cells (lane 6). RNA was hybridized with an 850-bp segment of Nix mRNA. Arrows indicate the molecular sizes of 2 bands.
Nix transcription during terminal erythroid differentiation
As stated above, ESTs encoding the Nix gene were more abundant among erythroid precursor cell than progenitor cell populations (1.0% precursor ESTs vs 0.02% progenitor ESTs). Hence, we next sought to compare the pattern of Nix expression with that of other genes having regulated expression during terminal erythroid differentiation. For this purpose, primary human CD34+ cells were cultured in the presence of EPO over a 2-week period.8 We have previously demonstrated that this culture model results in the rapid growth of erythroid progenitors during the first week, followed by reduced proliferation and terminal differentiation during the second week.8 RT-PCR was performed every other culture day to examine gene activity during differentiation. This experimental approach provides a pattern of transcriptional activity for individual genes during the differentiation process and a qualitative comparison of separate genes amplified from the same templates. Those patterns reflect relative gene activity within cellular populations rather than within individual cells. As shown in Figure 2A, transcription of the GAPDH housekeeping gene remained relatively stable throughout the differentiation process. The other genes demonstrated graded patterns in signal intensity, suggesting erythroid-regulated expression. The expression of Nix was relatively low during the early stages of differentiation, with a subsequent increase in expression as the cells matured. This pattern is consistent with the Northern blot analysis in Figure 1 demonstrating a relatively higher level of Nix transcription among more mature cells. Expression patterns for the EPO-dependent Bcl-xL and GPA genes were also tested and demonstrated similar differentiation-related increases. In contrast, the expression of Bcl-2 sharply declined as the cells matured. Erythroid expression of Bcl-2 has also been shown elsewhere to decrease in response to EPO.11 Quantitative PCR was performed to confirm the transcriptional expression patterns of Nix and Bcl-xL (Figure 2B). The overall expression patterns of Nix and Bcl-xL similarly increased, with peak expression on day 12 relative to GAPDH. After day 0, Nix mRNA levels were slightly greater than those of Bcl-xL throughout the culture period.
Expression of Nix RNA during terminal erythroid differentiation. CD34+ cells harvested from the peripheral blood of healthy donors were cultured in the presence of EPO to induce terminal erythroid differentiation (“Materials and methods”) and were harvested on days 0, 2, 4, 6, 8, 10, 12, and 14 before RNA isolation and RT-PCR. (A) Equivalent amounts of cDNA were amplified with primers specific for the genes shown on the left. All PCR assays consisted of 30 cycles except GAPDH, which was amplified for 27 cycles, and Bcl-2, which was amplified for 33 cycles, because of low signals. (B) Expression patterns of Nix (black bars) and Bcl-xL (white bars) were confirmed using real-time quantitative RT-PCR (“Materials and methods”). Relative expression levels (±SD) shown are normalized to the levels of GAPDH mRNA detected on the same day.
Expression of Nix RNA during terminal erythroid differentiation. CD34+ cells harvested from the peripheral blood of healthy donors were cultured in the presence of EPO to induce terminal erythroid differentiation (“Materials and methods”) and were harvested on days 0, 2, 4, 6, 8, 10, 12, and 14 before RNA isolation and RT-PCR. (A) Equivalent amounts of cDNA were amplified with primers specific for the genes shown on the left. All PCR assays consisted of 30 cycles except GAPDH, which was amplified for 27 cycles, and Bcl-2, which was amplified for 33 cycles, because of low signals. (B) Expression patterns of Nix (black bars) and Bcl-xL (white bars) were confirmed using real-time quantitative RT-PCR (“Materials and methods”). Relative expression levels (±SD) shown are normalized to the levels of GAPDH mRNA detected on the same day.
Nix and Bcl-xL protein expression, stability, and localization
Based on the transcriptional patterns of Nix and Bcl-xL during erythroid maturation, we next compared their protein expression patterns (Figure 3). Two bands, with molecular weights of approximately 38 and 40 kDa, were hybridized by the Nix polyclonal antibody. The lower molecular weight Nix signal demonstrated a higher intensity in all samples. Both bands increased rapidly from days 2 to 6; this was followed by a gradual decrease in signal intensity during the second week in culture. This pattern corresponded to peak Nix protein expression among proerythroblasts at the transition to lower growth rates and terminal differentiation.8 This Nix expression pattern was different from the transcriptional pattern demonstrated above (Figure 2) and from the protein expression pattern of Bcl-xL (Figure 3; middle panel). Unlike Nix, the expression of Bcl-xL protein correlated closely with its transcriptional pattern. With Bcl-xL, the signal gradually increased until late in the culture period. The Bcl-2 protein expression pattern was consistent with the mRNA expression pattern, with barely detectable levels during the second week at the terminal phase of maturation. On day 14, the signal intensities for Nix, Bcl-xL, and GAPDH control were all decreased compared with those on day 12.
Nix, Bcl-xL, and Bcl-2 protein expression pattern during terminal erythroid differentiation. Total cell lysates from erythroid primary CD34+ cells on the indicated culture days were subjected to Western analysis. Blots were hybridized with antibodies to Nix, Bcl-xL, Bcl-2, and GAPDH control, respectively.
Nix, Bcl-xL, and Bcl-2 protein expression pattern during terminal erythroid differentiation. Total cell lysates from erythroid primary CD34+ cells on the indicated culture days were subjected to Western analysis. Blots were hybridized with antibodies to Nix, Bcl-xL, Bcl-2, and GAPDH control, respectively.
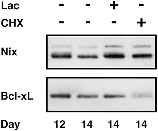
To further study the decreased Nix protein expression late in the culture period compared with increased mRNA levels during the same period, we inhibited protein translation and proteosomal degradation on days 12 to 14. As shown in Figure 4, the levels of Nix and Bcl-xL proteins were decreased on day 14 compared with day 12 in control samples. Bcl-xL levels were unchanged in the presence of the proteosomal inhibitor lactacystin, but the protein translation inhibitor cycloheximide caused a significant reduction in Bcl-xL. This pattern suggests Bcl-xL protein levels are regulated primarily at the level of translation rather than at proteosomal degradation. In contrast to Bcl-xL, Nix levels increased in lactacystin and in cycloheximide. The rise in Nix levels in the setting of inhibited proteosomal degradation and the seemingly paradoxical rise in Nix associated with translational inhibition has been described elsewhere in proteins, with expression levels regulated primarily through proteolysis.12,13 Cycloheximide is thought to increase the stability and cellular levels of some proteins by inhibiting their degradation. These data suggest that the differences in Nix mRNA and protein levels during terminal erythroid differentiation arise primarily from increased proteosomal degradation in those cells.
Comparison of Nix and Bcl-xL protein catabolism. After 12 days in culture, 50 μM lactacystin (Lac) or 200 μM cycloheximide (CHX) was added to inhibit proteosomal degradation or protein translation, respectively. Whole cell extracts were prepared from cells on culture day 14 and were compared with control samples collected on days 12 and 14. Western blot analyses for Nix and Bcl-xL are shown for comparison.
Comparison of Nix and Bcl-xL protein catabolism. After 12 days in culture, 50 μM lactacystin (Lac) or 200 μM cycloheximide (CHX) was added to inhibit proteosomal degradation or protein translation, respectively. Whole cell extracts were prepared from cells on culture day 14 and were compared with control samples collected on days 12 and 14. Western blot analyses for Nix and Bcl-xL are shown for comparison.
Immunocytochemistry analyses were also used to demonstrate the localization of Nix and Bcl-xL during terminal erythroid differentiation. Mitochondrial localization of these 2 proteins has been reported in other cells.14 Cytospin preparations of erythroid precursor cells were stained and compared for this purpose (Figure 5). Giemsa staining confirmed erythroid maturation with hemoglobinization, and no peroxidase staining (rust color) was detected in the absence of a primary antibody (Figure 5A-B). Hybridization with either Bcl-xL (Figure 5C) or Nix (Figure 5D) primary antibodies resulted in a nearly identical “ringed” perinuclear pattern in each cell. Examination of more than 100 cells revealed a pancellular distribution (detected in 90% or more of the cells) of Nix and Bcl-xL. Mitochondrial-specific dyes demonstrated a similar perinuclear pattern in these cells (not shown). This perinuclear pattern is highly reminiscent of abnormal iron accumulation in the mitochondria of ringed sideroblasts.
Expression of Nix and Bcl-xL protein in the erythroid precursor cells. Immunostaining was performed on cytospin preparations of primary human erythroid precursor cells (“Materials and methods”). (A) May-Grünwald-Giemsa staining of air-dried (unfixed) cytospin preparations to demonstrate erythroid maturity. (B) Cells were fixed and stained in the absence of a primary antibody (negative control). (C) Cells were immunostained with anti–Bcl-xL antibody. (D) Cells were immunostained with anti-Nix antibody. Peroxidase (rust)–tagged secondary antibodies were used for detection in panels B to D. Bar indicates 10 μm.
Expression of Nix and Bcl-xL protein in the erythroid precursor cells. Immunostaining was performed on cytospin preparations of primary human erythroid precursor cells (“Materials and methods”). (A) May-Grünwald-Giemsa staining of air-dried (unfixed) cytospin preparations to demonstrate erythroid maturity. (B) Cells were fixed and stained in the absence of a primary antibody (negative control). (C) Cells were immunostained with anti–Bcl-xL antibody. (D) Cells were immunostained with anti-Nix antibody. Peroxidase (rust)–tagged secondary antibodies were used for detection in panels B to D. Bar indicates 10 μm.
EPO-dependent expression of Nix and Bcl-xL
It has been demonstrated elsewhere that expression of Bcl-xL is dependent on EPO signaling during erythroid differentiation.15,16 We therefore addressed in our model system whether EPO signaling also affected the regulation of Nix expression during terminal erythroid differentiation (Figure 6). CD34+ cell populations grown in EPO during the first week were transferred to culture medium lacking supplemental EPO during the second culture week (days 7-14). After 48 hours in the absence of EPO (Figure 6, day 9), Nix expression was detected at nearly the same level as in the EPO-containing control. However, the Nix signal decreased to lower levels in the absence of EPO by day 14. Compared with Nix, the response in Bcl-xL expression to EPO withdrawal was profound. The signal was clearly decreased on day 9 and was undetectable by day 14. Although the levels of both proteins were reduced in response to EPO withdrawal, these data suggest that the balance of Nix/Bcl-xL proteins increased to Nix-dominant levels in association with EPO withdrawal. Annexin-V–based flow cytometry was used to correlate the changes in Nix and Bcl-xL levels with levels of apoptosis. On day 9, apoptosis was detected with 8.2% of the EPO (negative) cultures compared with 6.1% of the cells maintained in EPO. Differentiation of the cells resulted in a small increase in Annexin V staining by day 14, even in EPO-containing medium, but the proportion of cells exhibiting high levels of Annexin V signal remained low at 10.2%. By comparison, EPO withdrawal on day 7 resulted in apoptosis of more than 80% of the cells by day 14, as evidenced by high levels of Annexin V staining.
EPO-dependent expression of Nix and Bcl-xL. Cells were cultured in EPO on days 0 to 7 and then were grown in the presence (+) or absence (-)of EPO from days 7 to 14. (A) On days 9 and 14, Western blot analyses were performed on total cell lysates probed for Nix (top), Bcl-xL (middle), or GAPDH (lower) expression. K562 cell lysates (far right) are included for comparison. (B) Matching flow cytometric analyses of Annexin V staining of the cells. The percentage of apoptotic cells (brightly stained with Annexin V) is provided in the upper right corner of each panel.
EPO-dependent expression of Nix and Bcl-xL. Cells were cultured in EPO on days 0 to 7 and then were grown in the presence (+) or absence (-)of EPO from days 7 to 14. (A) On days 9 and 14, Western blot analyses were performed on total cell lysates probed for Nix (top), Bcl-xL (middle), or GAPDH (lower) expression. K562 cell lysates (far right) are included for comparison. (B) Matching flow cytometric analyses of Annexin V staining of the cells. The percentage of apoptotic cells (brightly stained with Annexin V) is provided in the upper right corner of each panel.
Discussion
This study was initiated from our recognition of the increased representation of Nix mRNA within transcriptional profiles of maturing erythroblasts. Although constitutive Nix gene expression is well recognized,5,7 developmental or differentiation-related expression of this gene has not been reported previously. In addition, Nix expression within primary hematopoietic cells, including the erythroid lineage, has not been reported. The Nix gene is well conserved among multicellular organisms, and a Nix orthologue is reportedly involved in apoptosis in Caenorhabditis elegans through interaction with CED-9 and CED-3.17 In mammals, Nix belongs to a subset of proapoptotic mitochondrial proteins, within the Bcl-2 protein family, that interact with the prosurvival members Bcl-2 and Bcl-xL.6,9,18 Interestingly, Nix overexpression reportedly induces apoptosis in a delayed fashion compared with most other proapoptotic members of the Bcl-2 family.7 Structurally, Nix contains a PEST domain, a putative BH3 domain, and a C-terminal transmembrane (TM) domain. In vivo, Nix homodimerizes or associates with other Bcl-2 members to form heterodimers.6 Consistent with the data presented here, Nix is usually localized to the mitochondrial membrane, but cytoplasmic localization has been reported elsewhere in association with a splicing variant or with loss of the TM domain.19
Nix gene and protein expression in adult human erythroid cells appeared to be highly regulated. Nix mRNA was identified as 1.4-kb and 4.0-kb transcripts here and elsewhere.7 The 1.4-kb transcript was increased relative to the 4.0-kb band only in bone marrow and reticulocyte samples, suggesting possible erythroid up-regulation. In addition to the strong signal in reticulocytes, the relative increase in Nix signals during erythroid maturation (Figure 2) suggests developmental up-regulation of Nix transcription during terminal erythroid maturation. The increase in Nix with maturation mirrored that of Bcl-xL, suggesting transcriptional coregulation of the 2 genes. In addition to transcriptional control of the gene, Western blot analyses (Figures 3, 4) suggest posttranscriptional regulation of the Nix protein because of higher levels of proteosomal degradation than with Bcl-xL. This apparent posttranscriptional regulation of Nix protein expression may be mediated through its PEST domain.9,20 The period with maximum Nix protein in the cells correlates well with the growth transition from rapid proliferation toward terminal differentiation from culture days 6 to 9.8 As demonstrated here experimentally, this period also correlates with the transition from Bcl-2 to Bcl-xL expression. This transition may reflect regulated gene transcription among the surviving erythroid precursors and the loss of nonerythroid, Bcl-2–expressing cells during the first week under these culture conditions.
Although not studied here, Nix has additionally been shown to be induced by hypoxia in cell lines.10,21 Our informatics examination of the Nix gene promoter region revealed 3 putative hypoxia response elements (HREs) within the 5′ promoter region at -53 bp, -311 bp, and -398 bp upstream of the 1.4-kb erythroid transcript (data not shown). HREs bind hypoxia-inducible factor (HIF-1), a transcription factor that functions as a global regulator of oxygen homeostasis and that has been shown to play a role in hypoxic control of growth and apoptosis.22 Other erythroid genes, including transferrin receptor23 and 5-aminolevulinate synthase,24 are also up-regulated by HIF-1 in response to hypoxia. Fas-mediated signals may also affect Nix expression because this proapoptotic pathway is involved in terminal erythroid differentiation.25 Hence, Nix expression patterns likely reflect the convergence of several pathways involved in the transcription, translation, and stability of gene products in erythroid cells as they undergo terminal maturation.
Bcl-xL expression during erythropoiesis clearly increases and depends on GATA-1 and EPO signaling during red blood cell maturation.1,2,15,16 Our data suggest that the transcription of Nix increases with a pattern similar to that of Bcl-xL and another EPO-dependent gene, GPA. In contrast to the similarities of their transcriptional patterns, the levels of Nix and Bcl-xL proteins were less synchronous during terminal erythroid maturation. Nix protein levels increased earlier than Bcl-xL, then decreased despite relatively increased levels of mRNA. With the withdrawal of EPO and subsequent apoptosis, the levels of both proteins were reduced. However, the reduction in Bcl-xL was greater, suggesting an increase in the Nix/Bcl-xL ratio in this proapoptotic setting. A similarly increased ratio of Nix expression relative to Bcl-xL has been previously shown to correlate with a loss of cell survival in cell lines.7 Whether additional proapoptotic mechanisms are induced upon EPO withdrawal is unknown. We propose that the coordinated expression of proapoptotic and antiapoptotic factors is important for the precise regulation of proliferation in steady states of terminal differentiation to prevent uncontrolled growth or apoptosis. Normal and disease-related imbalances of these factors must then be considered in ineffective erythropoiesis, stress erythropoiesis, polycythemia, and leukemia.
Prepublished online as Blood First Edition Paper, March 27, 2003; DOI 10.1182/blood-2002-11-3324.
The publication costs of this article were defrayed in part by page charge payment. Therefore, and solely to indicate this fact, this article is hereby marked “advertisement” in accordance with 18 U.S.C. section 1734.
We thank Tiffany Trice and Dr Urszula Wojda for the cell culture preparations used in this study and Joyce Muthoni Njoroge and Joseph Schwartz for all flow cytometry analyses. M.G. contributed to this research at the National Institutes of Health as part of her Independent Scholars Project while a medical student at the Albert Einstein College of Medicine.





