Abstract
From 2002 to 2007, 103 patients with primary myelofibrosis or postessential thrombocythemia and polycythemia vera myelofibrosis and a median age of 55 years (range, 32-68 years) were included in a prospective multicenter phase 2 trial to determine efficacy of a busulfan (10 mg/kg)/fludarabine (180 mg/m2)–based reduced-intensity conditioning regimen followed by allogeneic stem cell transplantation from related (n = 33) or unrelated donors (n = 70). All but 2 patients (2%) showed leukocyte and platelet engraftment after a median of 18 and 22 days, respectively. Acute graft-versus-host disease grade 2 to 4 occurred in 27% and chronic graft-versus-host disease in 43% of the patients. Cumulative incidence of nonrelapse mortality at 1 year was 16% (95% confidence interval, 9%-23%) and significantly lower for patients with a completely matched donor (12% vs 38%; P = .003). The cumulative incidence of relapse at 3 years was 22% (95% confidence interval, 13%-31%) and was influenced by Lille risk profile (low, 14%; intermediate, 22%; and high, 34%; P = .02). The estimated 5-year event-free and overall survival was 51% and 67%, respectively. In a multivariate analysis, age older than 55 years (hazard ratio = 2.70; P = .02) and human leukocyte antigen–mismatched donor (hazard ratio = 3.04; P = .006) remained significant factors for survival. The study was registered at www.clinicaltrials.gov as #NCT 00599547.
Introduction
The BCR-ABL–negative myeloproliferative disorder of primary myelofibrosis (PMF)1 and the advanced forms of essential thrombocythemia and polycythemia vera (ie, post-ET/PV myelofibrosis) are chronic hematologic malignancies characterized by splenomegaly, leuko-erythroblastosis, extramedullary hematopoiesis, and circulating CD34+ progenitor cells. Patients with symptomatic forms of PMF have a median survival of less than 5 years.2 The median age at diagnosis is in the seventh decade of life (median, 67 years).3 Curative therapy in PMF is currently possible only with allogeneic hematopoietic stem cell transplantation (AHSCT). Studies on conventional AHSCT included mainly younger patients with a median age between 38 and 54 years. The 5-year survival rate in 2 large studies was 47% and 61%, respectively.4,5 However, the nonrelapse mortality (NRM) at 1 year ranged from 20% to 48%, and one of the most significant prognostic factors for impaired survival was the increasing age of the patients.6 The introduction of reduced-intensity conditioning regimens is based on the concept of eradicating tumor cells to the immunologically mediated graft-versus-tumor effect rather than by high-dose chemotherapy. The potential advantages are less treatment-related morbidity and mortality and a broader applicability in elderly patients. Smaller studies showed a NRM rate of less than 20% and overall survival rates between 84% and 100% at 3 years.7-9 Evidence for an immunologically mediated graft-versus-myelofibrosis effect comes from reports in relapsed patients after AHSCT that show a remarkable reduction of bone marrow fibrosis after donor lymphocyte infusion.10-13
We here report the outcome of a prospective multicenter phase 2 study in patients with advanced PMF evaluating a dose-reduced conditioning regimen followed by stem cell transplantation from related or unrelated donors.
Aim of the study
The primary endpoint was NRM by 1 year after transplantation, and secondary endpoints were incidence of acute and chronic graft-versus-host disease (GVHD), overall and disease-free survival, and incidence of relapse after transplantation.
Major inclusion criteria were histologically proven myelofibrosis with either an intermediate-risk or high-risk score according to the Lille scoring system14 or a low-risk Lille score but with constitutional symptoms, or a high-risk Cervantes score,15 and age between 18 and 70 years. Patients should have a human leukocyte antigen (HLA)–compatible related or unrelated donor. One HLA allele or antigen mismatch was allowed.
Methods
Between 2002 and 2007, 103 patients with PMF or post-ET/PV myelofibrosis and a median age of 55 years (range, 32-68 years) were enrolled. Seventeen transplantation centers from 3 nations included 62 male and 41 female patients with primary (n = 63) or post-PV/ET myelofibrosis (n = 40). Risk profile according the Lille score was low risk with constitutional symptoms (17%), intermediate risk (n = 53%), and high risk (n = 30%). All but 4 patients received peripheral blood stem cells as graft source, from either related (n = 33) or unrelated donors (n = 70). The median number of transplanted CD34+ cells per kilogram of body weight (kg BW) was 6.8 × 106 (range, 0.7-21.7 × 106). JAK2 V617 mutation status was available in 82 patients (Table 1). All patients gave written informed consent in accordance with the Declaration of Helsinki, and the study was approved by the ethic committees of all participating institutions and the national health authorities.
Treatment plan
The reduced-intensity conditioning regimen consisted of busulfan, 10 mg/kg BW orally (or busulfan, intravenously, in equivalent doses) given in 10 doses (1 mg/kg BW) over 3 days; fludarabine, 180 mg/m2, given as 30 mg/m2 over 6 days; and antilymphocyte-globulin (Fresenius), 3 × 10 mg/kg BW (for related transplantation) or 3 × 20 mg (for unrelated transplantation), followed by allogeneic stem cell transplantation.
HLA typing
HLA typing for inclusion required serologically testing for class I (HLA-A and HLA-B) and with sequence-specific oligonucleotide probes for class II (HLA-DRB1 and DQB1). For the analysis results, sequence-specific oligonucleotide probes for HLA-A, -B, -C, -DRB1, and -DQB1 alleles were used. Overall, according to high-resolution HLA typing, 82 patients had a completely HLA-matched donor; whereas in 21 patients, donors had at least one allele or antigen mismatch: A locus, n = 3; B locus, n = 1; C locus, n = 6; DRB1 locus, n = 2; DQB1 locus, n = 6; locus A plus C, n = 2; and locus A plus DQB1, n = 1.
GVHD prophylaxis and scoring
The GVHD prophylaxis consisted of cyclosporine A at a dose of 3 mg/kg BW as continuous infusion starting at day 1. The cyclosporine A dose should be adjusted according to the serum level of 200 ng/mL. If no GVHD occurs, cyclosporine A should be tapered and discontinued after day 180. Further GVHD prophylaxis consisted of methotrexate (10 mg/m2) at days 1, 3, and 6. The scoring of acute GVHD was performed according to Glucksberg et al16 and chronic GVHD according to the criteria of Shulman et al.17
Response criteria
The following criteria were used for evaluating response to treatment. Complete hematologic remission (CHR) was defined as disappearance of all clinical signs of myelofibrosis, and peripheral blood and cytogenetic abnormalities attributable to the disease. Complete histo-hematologic remission was defined as a combination of a CHR with disappearance of myelofibrosis. Partial histo-hematologic remission was defined as CHR with partial regression of myelofibrosis. Treatment failure and relapse was defined as disease recurrence or an observed persistence of disease in patients who survived more than 30 days after transplantation.
Statistical analysis
Comparisons of subgroups with respect to nominal variables were made using the χ2 test and Fisher exact test. Survival curves were estimated using the Kaplan-Meier method (if no competing risk were involved) and then the significance of the log-rank test was used, or they were computed in a competing risk framework (to estimate the cumulative incidence of a specific event in case of competing risks). For multivariate analyses, the Cox model was used to estimate hazard ratios (HRs) and cause-specific hazards; but in case of competing risks, the curve estimates of the Cox model were not used because they are inappropriate in that case. For survival, the event was “death from any cause,” and the corresponding time interval was taken from transplantation to the date of this event (uncensored) or the last follow-up date (censored), whichever came first. For disease-free survival, the event was defined as “relapse or progression or death from any cause” and the corresponding time interval again from transplantation onward. For NRM, the event was defined as “death related to transplantation”; the corresponding time interval was again calculated from transplantation until this event (uncensored) or the last follow-up of the patient (censored), which implies that patients who died from other causes were censored at the time of death. The cumulative incidence method was used to estimate the incidence of both NRM and relapse to account for competing events. Calculations were performed in SPSS, Version 12/15 (SPSS). The competing risk analyses were done with the ACCorD (V. Gebski, National Health and Medical Research Council, Clinical Trial Center, University of Sydney). The following factors were included in the univariate analysis: age, HLA match, Lille score, Cervantes score, number of monocytes, cytogenetics, related versus unrelated donor, splenectomy, spleen size, bone marrow fibrosis grade, JAK2 V617F mutation, primary versus post-ET/PV MF, and time from diagnosis to transplantation. Factors that had P value of less than .1 univariately were included in multivariate analysis using the HRs estimated in Cox models.
Results
Engraftment
All but 2 patients experienced engraftment of leukocytes. Two patients (2%) transplanted from a fully matched unrelated donor experienced primary graft failure. One patient received additional bone marrow cells from the same donor but did not show engraftment and died of aspergillus infection. The other patient recovered with autologous cells but died of sepsis 5 months after transplantation. The median time to leukocyte engraftment (absolute neutrophil count > 1.0 × 109/L) was 18 days (range, 10-84 days), and the median time to platelet engraftment (> 20 × 109/L) was 22 days (range, 8-145 days). Patients with splenectomy had a trend for faster leukocyte engraftment (16 vs 18 days). Eleven patients (11%) received an additional stem cell boost after transplantation resulting from poor graft function with persistent cytopenia (n = 8) or decreasing donor chimerism (n = 3).
GVHD
Overall, 73% of the study population did not experience any or more than grade 1 acute GVHD The incidence of acute GVHD grades 2 to 4 was 27%, and of severe GVHD grades 3 to 4, 11%. There was no difference in acute GVHD between transplantation from sibling or unrelated donor. The overall rate of chronic GVHD was 49%, which was limited disease in 24% and extensive disease in 24%. In a landmark analysis, including only patients who survived 1 year after transplantation, the estimated 3-year probability of posttransplantation survival was higher in patients with than without chronic GVHD (97% vs 89%; P = .04) supporting a graft-versus-myelofibrosis effect.
Mortality
During follow-up, 27 patients died. The main reasons for death were relapse or progression (n = 8), followed by GVHD (n = 7), infectious complications (n = 5), multiorgan failure (n = 2), liver toxicity (n = 1), posttransplantation lymphoma (n = 1), suicide (n = 1), accidental bleeding after central venous access (n = 1), and amyotrophic lateral sclerosis (n = 1). The cumulative incidence of NRM at 1 year was 16% (95% confidence interval [CI], 9%-23%). NRM at 1 year did not differ significantly between the HLA-identical sibling and the 10/10-matched unrelated group (10% vs 13%, P = .50) but was significantly higher after mismatched than after completely matched stem cell transplantation (38% vs 12%, P = .003; Table 2), which was the only significant factor in the univariate analysis.
Response
Best hematologic and histopathologic response 1 year after transplantation was available in 58 patients. The percentage for complete histo-hematologic response was 74%, and for partial histo-hematologic response 5%, whereas 19% had treatment failure.
Relapse
The cumulative incidence of relapse and treatment failure at 3 and 5 years was 22% (95% CI, 13%-31%) and 29% (95% CI, 16%-42%), respectively. There was no significant difference in the incidence of relapse between sibling and unrelated donor transplantation (32% vs 20%; P = .6) and between the HLA-matched and mismatched stem cell donors (23% vs 30%; P = .35). In univariate analysis, significant factors for higher relapse rate at 3 years were risk profile according to Lille scores: low risk of 14% versus intermediate of 22% versus high risk of 34% (P = .02); and splenectomy of 51% versus no splenectomy of 20% (P = .005; Table 2). In the multivariate analysis, significant factors for a higher incidence of relapse at 3 years were splenectomy (HR = 3.58; 95% CI, 1.44-8.86; P = .006) and Lille high-risk score (HR = 5.23; 95% CI, 1.14-24.01; P = .003; Table 3).
Survival
After a median follow-up of 33 months (range, 12-76 months), 5-year estimated disease-free and overall survival was 51% (95% CI, 38%-64%) and 67% (95% CI, 55%-79%) (Figure 1). In the univariate analysis, significant factors for improved disease-free survival at 3 years were HLA-matched versus mismatched donor (59% vs 40% at 3 years, P = .01) and Lille score low versus intermediate versus high (80% vs 61% vs 41%; P = .01). For overall survival, younger age (< 55 years, 82% vs 48%, P = .003), HLA-matched versus mismatched donor (74% vs 38%, P = .003) had an improved survival rate (Table 2). Furthermore, JAK2+ patients had a better disease-free and overall survival rate than JAK2− patients (56% vs 34%, P = .04; and 76% vs 42%, P = .01) but were not included in the multivariate analysis because of incomplete dataset. In multivariate analysis, HLA-mismatched donor (HR = 2.39; 95% CI, 1.22-4.69; P = .01) and advanced Lille score (intermediate, HR = 3.10; P = .07; and high, HR = 5.37; P = .007) remained independent risk factors for disease-free and age older than 55 years (HR = 2.70; 95% CI, 1.20-6.03; P = .02) and HLA-mismatched transplantation (HR = 3.04; 95% CI, 1.38-6.65; P = .006) for overall survival (Table 3). If in multivariate analysis JAK2 mutation status is included, JAK2 positivity remained an independent factor for disease-free survival and for overall survival (HR = 2.00; 95% CI, 1.02-3.93; P = .04; and HR = 2.72; 95% CI, 1.18-6.28; P = .02, respectively).
Survival of patients with myelofibrosis after reduced-intensity allogeneic stem cell transplantation. According to age (A), donor (B), and Lille risk profile (C).
Survival of patients with myelofibrosis after reduced-intensity allogeneic stem cell transplantation. According to age (A), donor (B), and Lille risk profile (C).
Fibrosis regression and JAK2 clearance
In a subset of patients (n = 16) treated in one center (Hamburg), a sequential analysis of bone marrow fibrosis regression was performed after engraftment (between day 30 and day 50), on day 100 and day 365 after transplantation by 2 hemato-pathologists (J.T., H.M.K.). Before transplantation, all patients had advanced grade 2 (n = 5) or grade 3 (n = 11) bone marrow fibrosis. Shortly after engraftment, 21% had a regression from grade 3 to 2 and 36% had near or complete resolution (grade 1 or 0) of bone marrow fibrosis. A near or complete resolution (grade 1 and 0) at day 100 and day 365 was observed in 69% and 93%, respectively (Figure 2).
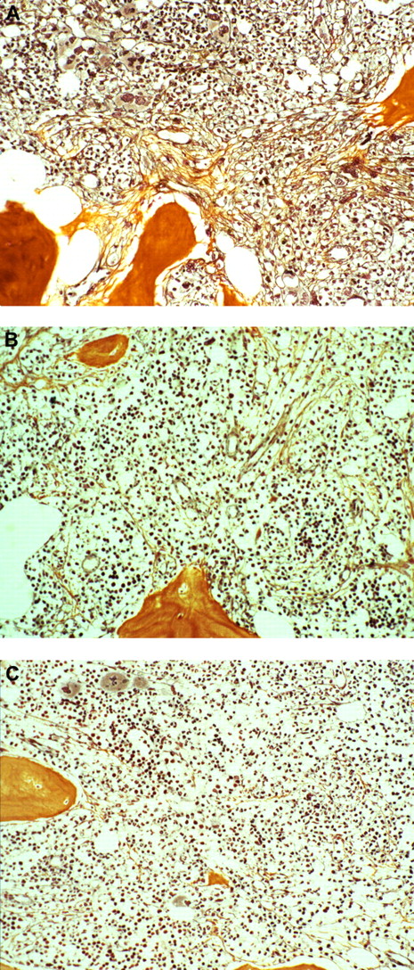
Representative fibrosis regression after dose-reduced allograft. Bone marrow fibrosis grade 3 before transplantation (A), grade 1 after engraftment on day 30 (B), and grade 0 on day 100 after allogeneic stem cell transplantation (C). Image acquisition specifications: Zeiss Axioplan microscope; magnification ×180, oil; Plan Apochromat 20×/0.60 imaging medium/solution; Axiocam HRC camera; Adobe Photoshop software.
Representative fibrosis regression after dose-reduced allograft. Bone marrow fibrosis grade 3 before transplantation (A), grade 1 after engraftment on day 30 (B), and grade 0 on day 100 after allogeneic stem cell transplantation (C). Image acquisition specifications: Zeiss Axioplan microscope; magnification ×180, oil; Plan Apochromat 20×/0.60 imaging medium/solution; Axiocam HRC camera; Adobe Photoshop software.
In 29 patients with JAK2V617F positivity, mutation could be followed after allogeneic stem cell transplantation with highly sensitive quantitative polymerase chain reaction technique.18 Twenty-one patients (72%) achieved JAK2 negativity after a median of 106 days (range, 20-437 days) after transplantation. Of the remaining 8 JAK2V617F+ patients, 1 died of therapy-related complications and 7 developed clinical relapse. Six of 7 patients achieved remission with JAK2 negativity after donor lymphocyte infusion (n = 2) or second allogeneic stem cell transplantation (n = 4).
Discussion
Current medical therapeutic options for patients with PMF or myelofibrosis after PV or ET have not demonstrated an impact on the disease course, which exceeds the palliation of disease-related extramedullary hematopoiesis and alleviation of cytopenias. As in other hematologic malignancies, allogeneic stem cell transplantation can lead to “cure” but is limited because of the patient's age or comorbidities. Conventional myeloablative allogeneic stem cell transplantation was performed in younger patients, which does not reflect the median age of approximately 67 years for patients with myelofibrosis at time of diagnosis. However, this large prospective multicenter trial shows that a reduced-intensity conditioning regimen followed by allogeneic stem cell transplantation from related or unrelated histo-compatible donors is a reasonable and potential curative treatment option, even for elderly patients with PM or post-PV/ET myelofibrosis. The NRM was 16% and considerably lower than reported after standard myeloablative conditioning regimens. HLA-mismatched transplantation remains a major risk factor for therapy-related mortality and demonstrated the need for a careful donor selection. If patients without a fully matched HLA-compatible donor (n = 21) are excluded, the cumulative incidence of NRM at 1 year is only 12% and does not differ between HLA-identical siblings and fully matched unrelated donors (10% vs 13%). HLA-mismatched transplantation was also an independent risk factor for overall survival. If those patients are excluded, the 5-year estimated disease-free and overall survival rates increased from 51% to 59% and from 67% to 74%, respectively. Another important risk factor for outcome was age. Patients younger than 55 years had an estimated 5-year overall survival of 82%, whereas transplantation of patients older than 55 years of age resulted in an estimated 5-year survival of 48%. This is the result of a nonsignificant higher relapse and higher NRM for elderly patients. A third important risk factor is the stage of the disease determined by the Lille score. Independently, the stage of the disease influenced mostly the incidence of relapse, which was lowest for low-risk (14%) and highest for high-risk disease (34%), resulting in lower disease-free survival for patients with intermediate- and high-risk disease. Therefore, the timing of stem cell transplantation seems to be crucial and should be performed before the disease has developed to a very advanced stage. Whether a more intensified conditioning regimen might lower the risk of relapse in Lille high-risk patients should be investigated in a further trial. Results of standard myeloablative conditioning are similar, but the included patient population after myeloablative conditioning were younger with a median age of 42 years4 or 49 years,5 respectively. More recently, the Gruppo Italiano Trapianto di Midollo Osseo did not find a difference between reduced-intensity and standard myeloablative conditioning for patients with myelofibrosis, but the treatment-related mortality at 3 years with 43% was rather high.19 However, in the same study, a clear improvement in TRM in the more recent years could be observed. An unexpected finding of this study was a more than 3-fold increase of relapse for splenectomized patients who underwent allogeneic stem cell transplantation. The number of splenectomized patients in this trial was rather low (n = 14) to draw definite conclusions; but given the high surgery-related morbidity and mortality of splenectomy in myelofibrosis patients, splenectomy before stem cell transplantation should not be recommended, even if leukocyte engraftment tended to be faster in those patients as shown in our and other trials.4,5,20 It is also of note that those patients with nonenlarged or only modestly enlarged spleens (n = 8) also had an increased risk of relapse; but because of the low number, this factor was not included in the multivariate analysis. Other factors, such as cytogenetics, time between diagnosis and transplantation, primary MF versus MF post-PV/ET, and related versus unrelated donors, did not influence outcome. Interestingly, patients with the JAK2 V617 mutation had improved disease-free and overall survival rates; but because of an incomplete dataset, this factor was not included in the multivariate analysis. The place of allogeneic stem cell transplantation for patients with myelofibrosis has to be defined,21 especially in the era of molecular target therapy with the new JAK2 inhibitors. Recent data suggest that JAK2 inhibitors will not cure myelofibrosis patients but can relieve constitutional symptoms and splenomegaly.22 Therefore, the new JAK2-tyrosine-kinase inhibitors22 will not replace stem cell transplantation but could be used as remission-inducing drugs to make nontransplantation candidates fit to an allogeneic stem cell transplantation, which should be the subject of further clinical trials. The JAK2 V617 mutation level can be used as a marker for residual disease after transplantation and might be used to guide adoptive immunotherapy with donor lymphocyte infusion.12,21,23
The publication costs of this article were defrayed in part by page charge payment. Therefore, and solely to indicate this fact, this article is hereby marked “advertisement” in accordance with 18 USC section 1734.
Acknowledgments
The authors thank the staff of the clinics for providing excellent care to our patients, the medical technicians for their excellent work in the laboratories, and Karen Klemt for proof editing.
Authorship
Contribution: N.K. designed the study, analyzed data, and wrote the manuscript; E.H., G.K., M.B., R.S., H.B., A.N., W.B., M.S., L.U., H.W., A.B., P.C., J.S., M.K., P.D., G.G.W., H.E., A.R.Z., and D.N. analyzed the data and approved the manuscript; T.Z. and R.B. performed statistical analysis; T.M.d.W. designed the study and analyzed the data; and H.M.K. and J.T. performed histology examinations.
Conflict-of-interest disclosure: The authors declare no competing financial interests.
Correspondence: Nicolaus Kröger, Center for Stem Cell Transplantation, University Hospital Hamburg-Eppendorf, Martinistrasse 52, D-20246 Hamburg, Germany; e-mail: nkroeger@uke.uni-hamburg.de.



