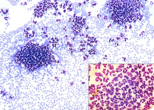
A 78-year-old man with history of heart failure was admitted for coronary angiography in the Cardiologic Unit. Complete blood count showed a mild leukopenia (3.8 × 109/L) and normal platelets and hemoglobin. The peripheral blood smear, seen above, showed agglutination of polymorphonuclear neutrophils (PMNs). The patient went home without further investigations.
Agglutination of white blood cells is a rare in vitro phenomenon with usually little clinical correlation. When PMN aggregates appear, they are usually visible at the edges of the blood smear. Careful morphologic examinations show that a few monocytes are sometimes entrapped within the aggregates. Rarely, aggregates of lymphocytes may be seen.
This laboratory abnormality is usually seen with ethylenediaminetetraacetic acid (EDTA) anticoagulants. Confirmation of a relationship of agglutination with EDTA can be accomplished by viewing a smear from capillary blood or with other anticoagulants.
Unrecognized leukoagglutination may prompt a variety of clinical concerns, diagnostic testing, and unnecessary treatment (antibiotics, growth stimulants, etc).
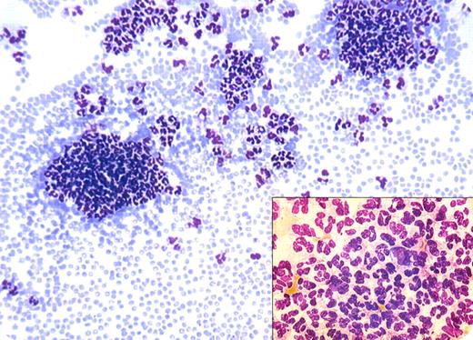
A 78-year-old man with history of heart failure was admitted for coronary angiography in the Cardiologic Unit. Complete blood count showed a mild leukopenia (3.8 × 109/L) and normal platelets and hemoglobin. The peripheral blood smear, seen above, showed agglutination of polymorphonuclear neutrophils (PMNs). The patient went home without further investigations.
Agglutination of white blood cells is a rare in vitro phenomenon with usually little clinical correlation. When PMN aggregates appear, they are usually visible at the edges of the blood smear. Careful morphologic examinations show that a few monocytes are sometimes entrapped within the aggregates. Rarely, aggregates of lymphocytes may be seen.
This laboratory abnormality is usually seen with ethylenediaminetetraacetic acid (EDTA) anticoagulants. Confirmation of a relationship of agglutination with EDTA can be accomplished by viewing a smear from capillary blood or with other anticoagulants.
Unrecognized leukoagglutination may prompt a variety of clinical concerns, diagnostic testing, and unnecessary treatment (antibiotics, growth stimulants, etc).
Many Blood Work images are provided by the ASH IMAGE BANK, a reference and teaching tool that is continually updated with new atlas images and images of case studies. For more information or to contribute to the Image Bank, visit www.ashimagebank.org.
