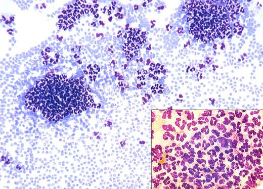
A 78-year-old man with history of heart failure was admitted for coronary angiography in the Cardiologic Unit. Complete blood count showed a mild leukopenia (3.8 × 109/L) and normal platelets and hemoglobin. The peripheral blood smear, seen above, showed agglutination of polymorphonuclear neutrophils (PMNs). The patient went home without further investigations.
Agglutination of white blood cells is a rare in vitro phenomenon with usually little clinical correlation. When PMN aggregates appear, they are usually visible at the edges of the blood smear. Careful morphologic examinations show that a few monocytes are sometimes entrapped within the aggregates. Rarely, aggregates of lymphocytes may be seen.
This laboratory abnormality is usually seen with ethylenediaminetetraacetic acid (EDTA) anticoagulants. Confirmation of a relationship of agglutination with EDTA can be accomplished by viewing a smear from capillary blood or with other anticoagulants.
Unrecognized leukoagglutination may prompt a variety of clinical concerns, diagnostic testing, and unnecessary treatment (antibiotics, growth stimulants, etc).
A 78-year-old man with history of heart failure was admitted for coronary angiography in the Cardiologic Unit. Complete blood count showed a mild leukopenia (3.8 × 109/L) and normal platelets and hemoglobin. The peripheral blood smear, seen above, showed agglutination of polymorphonuclear neutrophils (PMNs). The patient went home without further investigations.
Agglutination of white blood cells is a rare in vitro phenomenon with usually little clinical correlation. When PMN aggregates appear, they are usually visible at the edges of the blood smear. Careful morphologic examinations show that a few monocytes are sometimes entrapped within the aggregates. Rarely, aggregates of lymphocytes may be seen.
This laboratory abnormality is usually seen with ethylenediaminetetraacetic acid (EDTA) anticoagulants. Confirmation of a relationship of agglutination with EDTA can be accomplished by viewing a smear from capillary blood or with other anticoagulants.
Unrecognized leukoagglutination may prompt a variety of clinical concerns, diagnostic testing, and unnecessary treatment (antibiotics, growth stimulants, etc).
Many Blood Work images are provided by the ASH IMAGE BANK, a reference and teaching tool that is continually updated with new atlas images and images of case studies. For more information or to contribute to the Image Bank, visit www.ashimagebank.org.

This feature is available to Subscribers Only
Sign In or Create an Account Close Modal