A 72-year-old man with a history of high-grade urothelial carcinoma presented for evaluation of suspected multiple myeloma. He had a remote history of schistosomal infection 20 years earlier while in Vietnam. Significant labs at presentation demonstrated a hemoglobin of 12.2 g/dL, calcium of 11.8 mg/dL, and acute renal failure with a creatinine of 3.9 mg/dL. A computed tomography scan demonstrated a lytic lesion at T9. Serum protein electropheresis found no monoclonal protein.
Subsequent bone marrow biopsy was fragmented and hypocellular at <5% for age with no evidence of a plasma cell dyscrasia, with only 1% plasma cells and an incidental finding of Schistosoma eggs. Two magnifications show eggs in the context of the bone marrow (panel A, circle) and isolated (panel B, circle). After further evaluation, the cause of the patient’s condition could not be confirmed, and he died shortly thereafter. Additional testing of the specimen was not possible because tissue processing destroyed egg DNA. Based on the patient’s history and morphology of the embryonated eggs (nearly spherical) and size (48-51 μm), they are presumed to be Schistosoma mekongi. Other organ system involvement by Schistosoma has been reported, including gastrointestinal, pulmonary, central nervous system, skin, and genitourinary involvement, but, to our knowledge, this is the first reported case identified on bone marrow biopsy.
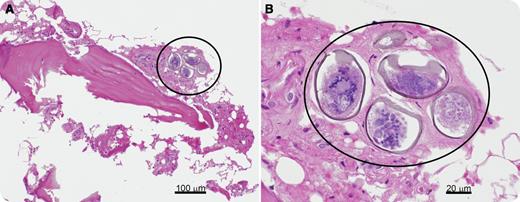
A 72-year-old man with a history of high-grade urothelial carcinoma presented for evaluation of suspected multiple myeloma. He had a remote history of schistosomal infection 20 years earlier while in Vietnam. Significant labs at presentation demonstrated a hemoglobin of 12.2 g/dL, calcium of 11.8 mg/dL, and acute renal failure with a creatinine of 3.9 mg/dL. A computed tomography scan demonstrated a lytic lesion at T9. Serum protein electropheresis found no monoclonal protein.
Subsequent bone marrow biopsy was fragmented and hypocellular at <5% for age with no evidence of a plasma cell dyscrasia, with only 1% plasma cells and an incidental finding of Schistosoma eggs. Two magnifications show eggs in the context of the bone marrow (panel A, circle) and isolated (panel B, circle). After further evaluation, the cause of the patient’s condition could not be confirmed, and he died shortly thereafter. Additional testing of the specimen was not possible because tissue processing destroyed egg DNA. Based on the patient’s history and morphology of the embryonated eggs (nearly spherical) and size (48-51 μm), they are presumed to be Schistosoma mekongi. Other organ system involvement by Schistosoma has been reported, including gastrointestinal, pulmonary, central nervous system, skin, and genitourinary involvement, but, to our knowledge, this is the first reported case identified on bone marrow biopsy.
For additional images, visit the ASH IMAGE BANK, a reference and teaching tool that is continually updated with new atlas and case study images. For more information visit http://imagebank.hematology.org.
