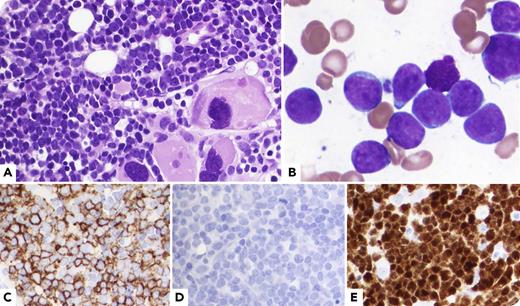
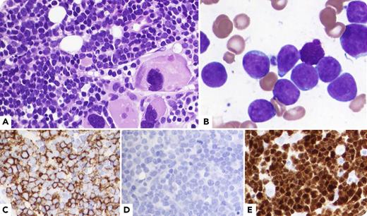
An 83-year-old man was diagnosed with JAK2 V617F–positive polycythemia vera (PV) 7 years ago. He was treated with intermittent phlebotomy. Six years later, he developed post-PV myelofibrosis and was treated with ruxolitinib. Current bone marrow biopsy showed B-cell acute lymphoblastic leukemia (B-ALL). Blasts had round nuclei with dispersed chromatin and small amounts of agranular cytoplasm (panel A, hematoxylin and eosin stain, original magnification ×400; panel B, Wright-Giemsa stain, original magnification ×1000). Immunophenotypically, blasts were positive for CD20 (panel C), CD22, CD79a, and terminal deoxynucleotidyl transferase (panel E) and negative for CD10, CD19 (panel D), CD34, and PAX5 as well as T and myeloid markers. Molecular study showed JAK2 V617F mutation with a low variant allele frequency (VAF) of 2%. In addition to B-ALL, there were loose clusters of hyperplastic megakaryocytes (panel A) in the background, consistent with residual myeloproliferative neoplasm.
BCR-ABL1–negative myeloproliferative neoplasms can undergo blastic transformation, and blasts are almost always myeloid. Blasts in this case, however, were of the B-cell lineage. Another unusual feature of this case is the immunophenotype of B-cell lymphoblasts with negative CD19 and PAX5. The discrepancy between the high percentage of blasts involving bone marrow and the low VAF of the JAK2 V617F mutation indicates that leukemic blasts were JAK2 V617F negative. These 2 clones were likely independent, but the possibility that B-ALL and PV shared and derived from a common JAK2 V617F–negative ancestor cannot be excluded.
An 83-year-old man was diagnosed with JAK2 V617F–positive polycythemia vera (PV) 7 years ago. He was treated with intermittent phlebotomy. Six years later, he developed post-PV myelofibrosis and was treated with ruxolitinib. Current bone marrow biopsy showed B-cell acute lymphoblastic leukemia (B-ALL). Blasts had round nuclei with dispersed chromatin and small amounts of agranular cytoplasm (panel A, hematoxylin and eosin stain, original magnification ×400; panel B, Wright-Giemsa stain, original magnification ×1000). Immunophenotypically, blasts were positive for CD20 (panel C), CD22, CD79a, and terminal deoxynucleotidyl transferase (panel E) and negative for CD10, CD19 (panel D), CD34, and PAX5 as well as T and myeloid markers. Molecular study showed JAK2 V617F mutation with a low variant allele frequency (VAF) of 2%. In addition to B-ALL, there were loose clusters of hyperplastic megakaryocytes (panel A) in the background, consistent with residual myeloproliferative neoplasm.
BCR-ABL1–negative myeloproliferative neoplasms can undergo blastic transformation, and blasts are almost always myeloid. Blasts in this case, however, were of the B-cell lineage. Another unusual feature of this case is the immunophenotype of B-cell lymphoblasts with negative CD19 and PAX5. The discrepancy between the high percentage of blasts involving bone marrow and the low VAF of the JAK2 V617F mutation indicates that leukemic blasts were JAK2 V617F negative. These 2 clones were likely independent, but the possibility that B-ALL and PV shared and derived from a common JAK2 V617F–negative ancestor cannot be excluded.
For additional images, visit the ASH Image Bank, a reference and teaching tool that is continually updated with new atlas and case study images. For more information, visit http://imagebank.hematology.org.

