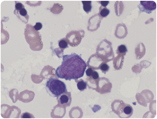
A 64-year-old woman with a 23-year history of JAK2 V617F+ essential thrombocythemia and remote splenectomy experienced progression to myelofibrosis in 2011, which was documented by bone marrow biopsy. Five years later, the peripheral blood is leukoerythroblastic, with 35% myeloblasts and up to 200 nucleated red blood cells (nRBCs) per 100 white blood cells (Wright-Giemsa stain; original magnification ×1000, oil immersion). Dysplastic maturing myeloid forms are also present. Platelets are hypogranular and pleomorphic. The complete blood count has been stable for at least 24 months, with hemoglobin ranging from 8 to 12 g/dL (hematocrit, 26%-35%) and a normal platelet count. The blast count has ranged from 9% to 35%. She has received no transfusions. By conventional criteria (excluding nRBCs in the differential), this qualifies as acute leukemia. However, with limited space for hematopoiesis, the peripheral blood in this unique case is similar to marrow space. When counting nRBCs in the differential, the blast percentage has always been <20%. The protracted clinical course argues against classification of this case as acute leukemia.
In rare cases where hematopoiesis is relegated to the peripheral blood, pathologists should consider including nRBCs in total cell counts when assessing blast percentage.
A 64-year-old woman with a 23-year history of JAK2 V617F+ essential thrombocythemia and remote splenectomy experienced progression to myelofibrosis in 2011, which was documented by bone marrow biopsy. Five years later, the peripheral blood is leukoerythroblastic, with 35% myeloblasts and up to 200 nucleated red blood cells (nRBCs) per 100 white blood cells (Wright-Giemsa stain; original magnification ×1000, oil immersion). Dysplastic maturing myeloid forms are also present. Platelets are hypogranular and pleomorphic. The complete blood count has been stable for at least 24 months, with hemoglobin ranging from 8 to 12 g/dL (hematocrit, 26%-35%) and a normal platelet count. The blast count has ranged from 9% to 35%. She has received no transfusions. By conventional criteria (excluding nRBCs in the differential), this qualifies as acute leukemia. However, with limited space for hematopoiesis, the peripheral blood in this unique case is similar to marrow space. When counting nRBCs in the differential, the blast percentage has always been <20%. The protracted clinical course argues against classification of this case as acute leukemia.
In rare cases where hematopoiesis is relegated to the peripheral blood, pathologists should consider including nRBCs in total cell counts when assessing blast percentage.
For additional images, visit the ASH Image Bank, a reference and teaching tool that is continually updated with new atlas and case study images. For more information, visit http://imagebank.hematology.org.

