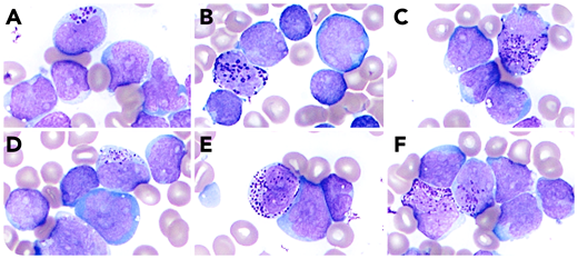
A 14-year-old boy had marked leukocytosis (white blood cell count, 98 000/µL) with circulating blasts, anemia (hemoglobin, 7.1 g/dL) and thrombocytopenia (platelet, 32 000/µL). He has type 1 diabetes mellitus without history of malignancy or hematological diseases. Flow cytometry detected 86% B lymphoblasts. B lymphoblastic leukemia (B-ALL) was considered. On marrow aspirate, basophilic coarse granules were seen in 2% blasts (panels A-F; Jenner-Giemsa stain, 100× objective, original magnification ×1000). When BCR-ABL1 fusion was detected in 94.6% nuclei by fluorescence in situ hybridization, the differential diagnosis expanded to Ph+ B-ALL or chronic myeloid leukemia (CML) blast phase. A blood sample was submitted for cell sorting followed by fluorescence in situ hybridization 6 days after B-ALL induction therapy started. BCR-ABL1 fusion was detected in 75% neutrophils and 90% B-lymphoblasts but not in CD3+ T cells, confirming the diagnosis of CML blast phase. Reverse transcriptase-polymerase chain reaction detected the p190 transcript.
Basophilia is common for CML. Mature basophils were rarely found on blood and marrow smear in this patient. Instead, basophilic myeloblasts were seen. They expressed HLA-DR with CD123 (dimmer than that of mature basophils), initially preventing definitive identification by flow cytometry. Correct identification them as basophilic precursors may serve as the first clue for CML blast phase, a diagnosis managed differently from Ph+ B-ALL, especially in children.
A 14-year-old boy had marked leukocytosis (white blood cell count, 98 000/µL) with circulating blasts, anemia (hemoglobin, 7.1 g/dL) and thrombocytopenia (platelet, 32 000/µL). He has type 1 diabetes mellitus without history of malignancy or hematological diseases. Flow cytometry detected 86% B lymphoblasts. B lymphoblastic leukemia (B-ALL) was considered. On marrow aspirate, basophilic coarse granules were seen in 2% blasts (panels A-F; Jenner-Giemsa stain, 100× objective, original magnification ×1000). When BCR-ABL1 fusion was detected in 94.6% nuclei by fluorescence in situ hybridization, the differential diagnosis expanded to Ph+ B-ALL or chronic myeloid leukemia (CML) blast phase. A blood sample was submitted for cell sorting followed by fluorescence in situ hybridization 6 days after B-ALL induction therapy started. BCR-ABL1 fusion was detected in 75% neutrophils and 90% B-lymphoblasts but not in CD3+ T cells, confirming the diagnosis of CML blast phase. Reverse transcriptase-polymerase chain reaction detected the p190 transcript.
Basophilia is common for CML. Mature basophils were rarely found on blood and marrow smear in this patient. Instead, basophilic myeloblasts were seen. They expressed HLA-DR with CD123 (dimmer than that of mature basophils), initially preventing definitive identification by flow cytometry. Correct identification them as basophilic precursors may serve as the first clue for CML blast phase, a diagnosis managed differently from Ph+ B-ALL, especially in children.
For additional images, visit the ASH Image Bank, a reference and teaching tool that is continually updated with new atlas and case study images. For more information, visit http://imagebank.hematology.org.

