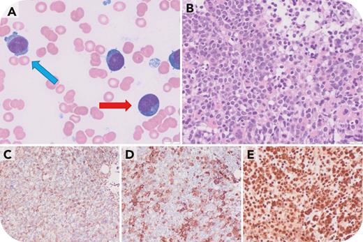
A 74-year-old man presented with refractory NPM1-mutated acute myeloid leukemia (AML) after cycle 1 of azacitidine/venetoclax induction. Bone marrow aspirate smears showed 67% blasts. A subset had erythroid differentiation with a deeply basophilic cytoplasm, round nuclei, and prominent nucleoli (red arrow), whereas another suggested a megakaryocytic lineage with pale basophilic cytoplasm with blebs and ovoid nuclei (blue arrow) (panel A, Giemsa stain, original magnification ×1000, scale bar 20 μm). The biopsy showed extensive blast infiltration and dysplastic megakaryocytes (panel B, hematoxylin and eosin stain, original magnification ×400, scale bar 20 μm). The blasts were positive for CD71 and CD61 (subset) (panels C and D, respectively, original magnification ×200, scale bar 50 μm) on immunohistochemistry staining. NPM1 immunohistochemistry showed nuclear and cytoplasmic reactivity (mutant pattern) (panel E, original magnification ×400, scale bar 50 μm). Flow cytometry revealed erythroid blasts (60% subset) with expression of CD71, CD105, and CD235a (small subset) and megakaryocytic blasts (40%) with expression of CD41, CD42b, and CD61. The karyotype was normal. The pretreatment immunophenotype was unknown. Next-generation sequencing detected NPM1 (c.860_863dupTCTG,p.W288fs∗12, type A; variant allelic frequency [VAF] of 40%), FLT3-ITD (VAF, 29%), DNMT3A (p.P709R; VAF, 36%), NRAS (p.G12V; VAF, 3%), PTPN11 (p.D61N; VAF, 12%), WT1 (p.E148∗; VAF, 37%), and RAD21 (p.E428∗; VAF, 33%) mutations.
Erythroid and megakaryocytic differentiation is exceedingly rare in NPM1-mutated AML, which is typically extremely sensitive to BCL2 inhibition with venetoclax. AML with erythroid/megakaryocytic differentiation, however, may be resistant to venetoclax because of the upregulation of BCL2-related antiapoptotic proteins, such as BCL-XL. Notably, RAS-MAPK pathway–activating mutations have also been associated with venetoclax resistance. The presence of NRAS and PTPN11 mutations here also may have contributed to the resistance to venetoclax therapy.
For additional images, visit the ASH Image Bank, a reference and teaching tool that is continually updated with new atlas and case study images. For more information, visit https://imagebank.hematology.org.
