Chronic granulomatous disease (CGD) is an inherited deficiency of the superoxide-generating phagocyte nicotinamide adenine dinucleotide phosphate (NADPH) oxidase, resulting in recurrent, severe bacterial and fungal infections. The X-linked form of this disorder (X-CGD) results from mutations in the X-linked gene for gp91phox, the larger subunit of the oxidase flavocytochrome b558. In this study, we used a murine model of X-CGD to examine the long-term function of retroviral vectors for expression of gp91phox based on the murine stem cell virus (MSCV) backbone. NADPH oxidase activity was reconstituted in neutrophils and macrophages for up to 18 to 24 months posttransplantation of transduced X-CGD bone marrow into lethally irradiated syngeneic X-CGD mice. Southern blot analysis and secondary transplant data showed proviral integration in multilineage repopulating cells. Although relatively small amounts of recombinant gp91phox (approximately 5% to 10% of wild-type levels) were detected in neutrophils after retroviral-mediated gene transfer, superoxide-generating activity was approximately 20% to 25% of wild-type mouse neutrophils. Expression of gp91phox is normally restricted to mature phagocytes. No obvious toxicity was observed in other hematopoietic lineages in transplant recipients, and provirus-marked cells were capable of reconstituting secondary transplant recipients, who also exhibited NADPH oxidase–positive neutrophils. MSCV-based vectors for long-term expression of gp91phox may be useful for gene therapy of human CGD targeted at hematopoietic stem cells.
CHRONIC GRANULOMATOUS disease (CGD) is an inherited disorder of host defense in which the generation of superoxide by the respiratory burst oxidase of phagocytic leukocytes (neutrophils, monocyte/macrophages, and eosinophils) is absent or markedly deficient.1 Beginning in infancy and early childhood, affected patients suffer from recurrent and often difficult to treat pyogenic infections caused by bacterial and fungal species.2-4 CGD, which has an incidence of approximately 1 in 250,000 individuals, results from mutations in any one of four essential subunits of the respiratory burst oxidase complex.5 6 Approximately two thirds of cases are a result of defects in the X-linked gene encoding gp91phox, the larger subunit of flavocytochrome b558, a plasma membrane heterodimer that is the redox center of the oxidase. A rare autosomal recessive form of CGD is caused by mutations in the gene encoding p22phox, the small subunit of flavocytochrome b558. The remaining cases of autosomal recessive CGD involve genetic defects in either p47phox or p67phox, two soluble proteins that interact with flavocytochrome b558 to form the enzymatically active respiratory burst oxidase complex.
Because the genetic defect in CGD affects cells of the hematopoietic system, this disorder has been considered as a candidate disease for gene therapy targeted at hematopoietic stem cells (HSC).7-9Female carriers of X-linked CGD (X-CGD) often have few or no symptoms, even with as little as 5% to 10% oxidase-positive neutrophils,10-13 which suggests that long-term correction of only a minority of phagocytes could provide substantial clinical benefit. A variety of studies have reported the use of retroviral vectors for transfer of a functional copy of the affected gene in CGD cell lines and primary hematopoietic cells in vitro.14-19Recently, mouse models have been developed for both the X-linked (gp91phox−/) and p47phox-deficient (p47phox−/−) forms of CGD developed using gene targeting technology.20,21 Studies in murine CGD have shown that retroviral-mediated gene transfer into bone marrow cells can correct neutrophil respiratory burst oxidase activity in vivo and improve the defect in host defense against bacterial and fungal pathogens.10,16 A Phase 1 clinical trial for gene therapy of p47phox-deficient CGD has also been conducted, in which autologous peripheral blood CD34+ cells collected by apheresis were transduced with a p47phox-containing retroviral vector and then reinfused.22 Peripheral blood neutrophils with respiratory burst oxidase activity were seen for up to 3 to 6 months in all five patients studied, although the frequency of oxidase-positive neutrophils was 0.02% to 0.005%, as might be expected because no bone marrow conditioning was administered.
Providing a long-term cure of CGD and other genetic blood disorders using retroviral-mediated gene transfer requires not only that long-lived HSC are efficiently transduced, but also that integrated provirus remain transcriptionally active and give rise to relevant levels of functional protein in the affected hematopoietic lineage. The murine stem cell virus (MSCV) retroviral vectors23incorporate a number of modifications initially shown to prevent transcriptional inactivation in embryonic stem cells,24including a variant myeloproliferative sarcoma virus long terminal repeat (LTR) and modified 5′ untranslated region containing an altered transfer RNA (tRNA) primer binding site. MSCV-based vectors have been successfully used to achieve expression of a variety of genes after transduction of mouse HSC25-30 and of human hematopoietic precursors capable of repopulating nonobese diabetic (NOD)/severe combined immunodeficiency (SCID) mice.31 32
In this study, we have used the murine model of X-CGD to examine long-term function of MSCV-based vectors for expression of murine or human gp91phox and to evaluate the potential toxicity of its ectopic expression on nonphagocytic hematopoietic cells. This work extends and expands on our findings in an initial report on the use of retroviral-mediated gene transfer in murine X-CGD.16 We now report persistent expression of functional gp91phox in neutrophils and macrophages for up to 18 to 24 months posttransplantation with transduced HSC, with partial reconstitution of nicotinamide adenine dinucleotide phosphate (NADPH) oxidase activity in neutrophils expressing vector-derived gp91phox. Although expression of gp91phox is normally restricted to mature phagocytes, no obvious toxicity was observed in other hematopoietic lineages in transplant recipients. In addition, marrow from long-term primary recipients was successfully used for secondary transplants in X-CGD recipient mice, with persistent expression of a functional NADPH oxidase in a high percentage of peripheral blood neutrophils.
MATERIALS AND METHODS
Retroviral vectors and virus-producing cells.
Recombinant retroviruses derived from the MSCV vector backbone23 were constructed for the murine and human gp91phox, such that the gp91phox complementary DNA (cDNA) is downstream of the retroviral LTR followed by a phosphoglycerokinase (PGK) promoter-neomycin phosphotransferase cassette.19,33 These vectors are referred to as MSCV-m91Neo and MSCV-h91Neo, respectively. Ecotropic retroviral packaging lines had been previously generated16,19 in GP + E86 cells.34 The titer of the MSCV-m91Neo packaging line was approximately 1 × 106 infectious particles/mL, as assessed using G418-resistance of supernatant-infected NIH 3T3 fibroblasts. The titer of the MSCV-h91Neo packaging line was only 2 × 105infectious particles/mL; a higher titer ecotropic packaging line was not developed for this vector, as it was used in only a limited number of murine studies. Packaging lines were maintained in 50% Hams F12 and 50% Dulbecco’s modified Eagle’s medium (DMEM; GIBCO, Grand Island, NY) supplemented with 10% fetal bovine serum (Sigma, St Louis, MO), 100 U/mL penicillin (GIBCO), 100 mg/mL streptomycin (GIBCO), 2 mmol/L glutamine (GIBCO), and 15 mmol/L HEPES buffer solution (GIBCO).
Mice.
X-CGD mice with a null allele for gp91phox had been generated by targeted disruption of the gp91phoxlocus in 129-SV murine embryonic stem cells.20 Male X-CGD mice were used in this study and obtained from litters generated after 7 to 11 generations of backcrossing female carriers with wild-type C57B1/6J males. Genotyping of mice was performed using polymerase chain reaction of tail blood and confirmed by nitroblue tetrazolium (NBT) testing of peripheral blood (PB) neutrophils.20 Mice were maintained under specific pathogen-free conditions and fed autoclaved food and acidified water. As a source of control samples, untransplanted X-CGD mice from our colony and wild-type C57B1/6J mice from either an on-site breeding colony or purchased from Jackson Laboratories (Bar Harbor, ME) were used.
Retroviral infection and bone marrow transplantation.
Isolation, transduction, and transplantation of murine X-CGD bone marrow (BM) cells were essentially as previously described.16 Briefly, femur and tibia BM cells were isolated from 6- to 8-week-old male X-CGD mice 3 days after intraperitoneal injection of 5-FU (Fluorouracil; SoloPak Laboratories Inc, Elk Grove Village, IL), 150 mg/kg body weight. After a 48-hour prestimulation in the presence of 100 U/mL recombinant human interleukin-6 (Pepro Tech Inc, Rocky Hill, NY) and 100 ng/mL recombinant rat stem cell factor (Amgen, Thousand Oaks, CA), cells were overlaid for 48 hours onto mitomycin-C–treated packaging cells in the presence of the same cytokines and 4 μg/mL Polybrene (Aldrich Chemical Co, Milwaukee, WI). After transduction, marrow cells were recovered using 1× phosphate buffered saline and Cell Dissociation Buffer (GIBCO) and 2 to 3 × 106 cells/mouse injected intravenously into lethally irradiated 8- to 10-week-old male X-CGD recipients (cesium 137, 11 Gy given as a split dose approximately 3 hours apart). For secondary transplants, bone marrow was harvested from hind limbs from mice 32 to 50 weeks after transplantation, and 3 × 106 cells from an individual donor were injected intravenously into each of 2 to 4 lethally irradiated male X-CGD recipient mice. PB counts and NBT testing were performed as described below on tail blood samples at regular intervals posttransplant (see below). Mice were sacrificed by cervical dislocation at various times posttransplantation for analysis of retroviral-mediated gene transfer and vector function in BM, spleen, and thymus. The S+L− plaque assay was performed on BM samples isolated from long-term transplant recipients, and no ecotropic replication competent retrovirus was detected.
Isolation of neutrophil-enriched BM cells and peritoneal exudate macrophages.
BM cells were flushed from hind limbs and neutrophil-enriched fractions obtained essentially as described previously by either isolating the nonadherent cell population (approximately 50% to 60% mature neutrophils as determined by examination of Wright’s-stained cytospin preparations) or by discontinuous Percoll density gradient centrifugation (70% to 90% mature neutrophils).16 The Percoll neutrophil isolation procedure was modified slightly from what was previously described by using centrifugation on Ficoll 1119 to separate leukocytes from red blood cells instead of ammonium chloride lysis. Neutrophil-enriched preparations were maintained on ice in 1× Hanks’ balanced salt solution (HBSS) without Ca2+ or Mg2+ with 1% glucose and 0.1% bovine serum albumin until further processing for NADPH oxidase assay and/or extraction of protein, RNA, or DNA.
For isolation of peritoneal exudate macrophages, mice were injected with aged thioglycollate broth by intraperitoneal injection, and 72 hours later, exudate cells (approximately 90% macrophages) were isolated by peritoneal lavage as previously described.20Cells were incubated on ice as described above for neutrophil-enriched preparations before assay for NADPH oxidase activity and for RNA extraction.
Isolation of T and B cells.
Spleens were disaggregated to obtain a single cell suspension, and low-density mononuclear cells were isolated by centrifugation on Ficoll 1119. Cells were labeled with biotin-conjugated antimouse CD3 or CD45R/B220 monoclonal antibodies (PharMingen, San Diego, CA) for purification of T- and B-cell fractions, respectively, using the MiniMACS (Miltenyi Biotec, Auburn, CA) magnetic cell separation system according to the manufacturer’s instructions. Extracts for protein, RNA, and/or DNA were then prepared as described below. Analysis of immunoselected cells by staining and flow cytometry showed greater than 98% purity. In some cases, total thymus was also extracted for protein and/or nucleic acids analysis.
PB counts and measurement of respiratory burst NADPH oxidase activity.
PB counts (hematocrit, white blood cell, differential, and reticulocyte counts) were determined at various times posttransplant using blood obtained from the tail.35 In some cases, blood was obtained either from the retro-orbital plexus or from the inferior vena cava postmortem for platelet counts. The NBT assay was performed on tail blood PB neutrophils allowed to adhere to a glass slide for 15 to 20 minutes or on BM-derived neutrophils allowed to adhere to a chamber slide (Nunc, Inc, Naperville, IL) for 1 hour before activation of the respiratory burst oxidase with phorbol myristate acetate (PMA), as described.20 After incubation for 20 to 30 minutes at 37°C, slides were fixed and counterstained with safranin and the percentage of NBT-positive cells (containing blue-purple formazan deposits from reduction of NBT) determined by evaluating 100 to 200 cells using light microscopy. A similar protocol was used to examine respiratory burst oxidase activity in peritoneal exudate macrophages. A continuous cytochrome c assay was used to quantitate superoxide-dismutase-inhibitable superoxide formation by PMA-stimulated BM-derived neutrophils, as described previously.20 36
DNA, RNA, and immunoblot analysis.
Previously described protocols18,20,37 were used to analyze DNA, RNA, and protein extracted from BM cells or tissues, as summarized below. Genomic DNA was isolated using Isoquick (ORCA Research Inc, Bothell, WA), according to the manufacturer’s instructions, and digested with either Kpn I (which cleaves in each of the LTRs) or EcoRI (which cleaves at a single site within the provirus) before electrophoresis in a 1% agarose gel. In some cases, serial dilutions of digested plasmid bearing the provirus were also loaded on the same gel for estimation of provirus copy number. Total cellular RNA was extracted using RNAzol B (TEL-TEST, Inc, Friendswood, TX) following the manufacturer’s instructions and fractionated on a formaldehyde agarose gel. Magnacharge nylon membranes (Micron Separations, Inc, Westborough, MA) were used for Southern and Northern transfers, which were then probed with random prime-labeled cDNAs for neomycin phosphotransferase (Southern blots), murine gp91phox, or actin (Northern blots). Scanning densitometry was performed on autoradiographs using the Eagle Eye system (Stratagene, La Jolla, CA). For Southern blots, a band derived from a Neo gene in the X-CGD mice (present in the endogenous gp91phox gene as a result of homologous recombination with a gene targeting vector20) was used to normalize for any differences in loading. Triton X-100 extracts were prepared from neutrophil-enriched BM, thymocytes, and spleen T and B cells. For extracts of red blood cell membranes, ghosts were prepared38 and solubilized in extraction buffers containing either 1% Triton X-100 or 10% sodium dodecyl sulfate (SDS). Protein extracts were electrophoresed on polyacrylamide gels, transferred to nitrocellulose (Micron Separations, Inc), and probed with polyclonal antibodies to gp91phox or p22phox.20 Blots were developed using the ECL system (Amersham, Arlington Heights, IL). Scanning densitometry was performed as previously described,18except that films were scanned and analyzed using the Stratagene Eagle Eye system. In some cases, extracts of control wild-type and X-CGD murine neutrophil-enriched BM samples were immunoblotted using a 1:500 dilution of serum obtained from four different X-CGD mice 15 months after transplantation with MSCV-m91Neo–transduced BM.
RESULTS
Long-term expression of recombinant gp91phoxand functional reconstitution of phagocyte NADPH oxidase activity by MSCV-91Neo.
Murine X-CGD bone marrow cells were transduced with retroviral vectors expressing either the murine (MSCV-m91Neo) or human (MSCV-h91Neo) cDNA by cocultivation with ecotropic producer cells and transplanted into lethally irradiated syngeneic X-CGD recipient mice. The murine and human gp91phox sequences are highly homologous and show cross-species complementation of respiratory burst oxidase activity in human and murine X-CGD phagocytes.16,19 33Reconstitution of respiratory burst activity in PB neutrophils was monitored posttransplant by serial NBT tests on tail blood samples. Neutrophils from untreated X-CGD mice do not express gp91phox and are hence NBT-negative, so that the presence of NBT-positive neutrophils serves as a marker for the functional expression of recombinant gp91phox.
Neutrophil respiratory burst oxidase activity was detected for up to 18 to 24 months posttransplantation with MSCV-91Neo–transduced BM (Table1). The percentage of NBT-positive neutrophils seen in transplant recipients correlated with the titer of the retroviral producer line used for BM transduction. In eleven X-CGD recipients of BM transduced with MSCV-m91Neo producer cells, which had a titer of approximately 1 × 106 colony-forming units (CFU) mL, 48% to 67% of neutrophils were NBT-positive in the first few months of transplant (Table 1). The relative numbers of NBT-positive cells remained in this range for up to 18 months posttransplant with the exception of one mouse. In this recipient, the NBT decreased to 28% at 6 months and then continued to decline, reaching 9% at 15 months posttransplant; this decline seemed likely to be associated with a low rate of gene transfer into long-term repopulating cells (see below). Five X-CGD mice receiving BM transduced with MSCV-h91Neo, in which the titer was fivefold lower at approximately 2 × 105 CFU/mL, showed only 1% to 11% NBT-positive neutrophils in the first several months posttransplant. Nevertheless, small numbers of NBT-positive neutrophils were observed for up to 18 to 24 months posttransplant in either PB or BM. In four of these five mice transplanted with MSCV-h91Neo–transduced BM, NBT-positive cells disappeared from the PB at a given timepoint, but were again detected in either blood or BM at subsequent timepoints, consistent with a fluctuating contribution of transduced hematopoietic precursor cell(s) to the active pool of differentiating granulocytes. As noted above, the discrepency in the relative numbers of NBT-positive cells seen using the two different vectors is consistent with a titer-related difference in the efficiency of gene transfer into reconstituting HSC. This is supported by analysis of provirus copy number in Southern blots of BM DNA obtained from cohort mice 2 to 3 months posttransplant.16 Because of low rates of gene transfer, analyses of gp91phox mRNA and protein expression were not performed on long-term MSCV-h91Neo transplant mice.
Whether NADPH oxidase activity was reconstituted in X-CGD macrophages after transplantation with MSCV-m91Neo–transduced BM was also investigated by NBT testing. Peritoneal exudate macrophages isolated from wild-type (WT) mice 72 hours after thioglycollate injection were 51% ± 35% (n = 4) NBT-positive, whereas all X-CGD exudate macrophages were NBT-negative (see also Pollock et al20). In two X-CGD mice studied 8 months after transplantation with MSCV-transduced BM, 28% of exudate macrophages were positive in one mouse, and 10% were positive in the second mouse, at a time when both had approximately 40% NBT-positive PB neutrophils. This result shows the ability of MSCV-91Neo to direct long-term expression of gp91phox in the macrophage lineage.
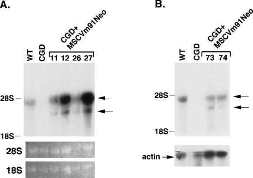
The expression of vector-derived gp91phox mRNA was examined in BM neutrophils and exudate macrophages isolated from X-CGD mice 11 to 18 months after transplantation with MSCV-m91Neo–transduced BM (Fig 1). Provirus-derived transcripts of approximately 5 kilobase (kb) and 4 kb were detected, which correspond to the unspliced and spliced transcripts driven by the MSCV 5′ LTR. As previously observed in total spleen RNA isolated from mice shortly after transplant,16 the unspliced MSCV transcript was the predominant LTR-driven species in both neutrophils (Fig 1a) and exudate macrophages (Fig 1b). This transcript was detected at levels that were at least as high as endogenous gp91phox mRNA present in WT neutrophils and macrophages (Fig 1). In two of the four mice for which BM neutrophil RNA was analyzed, proviral-derived gp91phox mRNA was even more abundant than the endogenous gp91phox message, a finding which could not be accounted for entirely by an increased provirus copy number (see below).
Northern blot analysis of gp91phoxexpression in murine neutrophils and macrophages. Total cellular RNAs (5 μg per lane) were electrophoresed on a denaturing gel, transferred to a nylon membrane, and probed with a radiolabeled murine gp91phox cDNA. The position of the 28S and 18S ribosomal RNAs are indicated. The arrows indicate the position of the unspliced and spliced LTR-driven transcripts. (A) RNA was extracted from BM neutrophils from wild-type mice (WT), X-CGD mice (CGD), and X-CGD mice 11 months (mice 26, 27) and 18 months (mice 11, 12) posttransplantation with MSCV-m91Neo–transduced BM. The lower panels show the ethidium bromide staining of the 28S and 18S ribosomal RNAs (rRNAs). (B) RNA was extracted from peritoneal exudate macrophages from wild-type mice, X-CGD mice, and X-CGD mice 8 months posttransplantation with MSCV-m91–transduced BM. The lower panel shows hybridization of the same blot reprobed with radiolabeled actin cDNA.
Northern blot analysis of gp91phoxexpression in murine neutrophils and macrophages. Total cellular RNAs (5 μg per lane) were electrophoresed on a denaturing gel, transferred to a nylon membrane, and probed with a radiolabeled murine gp91phox cDNA. The position of the 28S and 18S ribosomal RNAs are indicated. The arrows indicate the position of the unspliced and spliced LTR-driven transcripts. (A) RNA was extracted from BM neutrophils from wild-type mice (WT), X-CGD mice (CGD), and X-CGD mice 11 months (mice 26, 27) and 18 months (mice 11, 12) posttransplantation with MSCV-m91Neo–transduced BM. The lower panels show the ethidium bromide staining of the 28S and 18S ribosomal RNAs (rRNAs). (B) RNA was extracted from peritoneal exudate macrophages from wild-type mice, X-CGD mice, and X-CGD mice 8 months posttransplantation with MSCV-m91–transduced BM. The lower panel shows hybridization of the same blot reprobed with radiolabeled actin cDNA.
We also examined provirus-derived gp91phox protein levels in neutrophils isolated from long-term MSCV-m91Neo BM transplant recipients. Despite vector-derived gp91phox mRNA levels that seemed at least as high as the endogenous gp91phox message, expression of recombinant murine gp91phox was relatively low (Fig2). As estimated by scanning densitometry, expression of recombinant gp91phox in three long-term recipients (11, 13, 26) was less than 5% of that detected in WT murine BM neutrophils, whereas expression was approximately 10% to 15% of endogenous WT levels in two other mice (12, 27). Recombinant gp91phox expression correlated with the relative abundance of proviral transcripts (see Fig 1). Levels of the p22phox flavocytochrome b558subunit were also low in BM neutrophils isolated from MSCV-m91Neo transplant recipients (not shown). These data are similar to results obtained 13 to 15 weeks after gene transfer.16
Immunoblot analysis of murine BM neutrophils. Murine BM neutrophils were obtained from wild-type mice (WT), X-CGD mice (CGD), and X-CGD mice at various times posttransplantation with MSCV-m91–transduced BM (11, 12—18 months; 13—16 months; 26, 27—11 months). Extracts from WT neutrophils were loaded at 5, 2.5, and 1.25 μg; 5 μg of X-CGD neutrophil extracts were loaded. Expression of murine gp91phox (indicated by the arrow) was analyzed by immunoblotting with a rabbit polyclonal antiserum raised against the carboxy terminus of gp91phox. Additional immunoreactive bands are presumed to represent proteins that bind nonspecifically to the antiserum as they are also present in control X-CGD samples, are localized in the cytosol rather than membrane fraction (not shown), and are not detected with other gp91phox-specific antibodies (not shown).
Immunoblot analysis of murine BM neutrophils. Murine BM neutrophils were obtained from wild-type mice (WT), X-CGD mice (CGD), and X-CGD mice at various times posttransplantation with MSCV-m91–transduced BM (11, 12—18 months; 13—16 months; 26, 27—11 months). Extracts from WT neutrophils were loaded at 5, 2.5, and 1.25 μg; 5 μg of X-CGD neutrophil extracts were loaded. Expression of murine gp91phox (indicated by the arrow) was analyzed by immunoblotting with a rabbit polyclonal antiserum raised against the carboxy terminus of gp91phox. Additional immunoreactive bands are presumed to represent proteins that bind nonspecifically to the antiserum as they are also present in control X-CGD samples, are localized in the cytosol rather than membrane fraction (not shown), and are not detected with other gp91phox-specific antibodies (not shown).
NADPH oxidase activity was quantitated in BM neutrophils isolated from wild-type, control X-CGD mice, and long-term murine X-CGD transplant recipients of MSCV-m91-Neo–transduced BM using the cytochrome c reduction assay to measure superoxide production (Table2). NADPH oxidase activity was absent in X-CGD mouse neutrophils and was partially restored in MSCV-m91Neo BM transplant recipients. Neutrophils isolated from the two mice (12, 27) with relatively greater levels of gp91phox expression (see Fig 2) exhibited twofold to threefold greater NADPH oxidase activity relative to two mice (11, 26) with lower expression of gp91phox. NADPH oxidase activity was approximately 20% to 25% of wild-type, after taking into account the fact that only 54% to 70% of the neutrophils were NBT-positive post–gene transfer (v ≥95% of WT neutrophils). This degree of enzyme reconstitution was similar to that previously observed in X-CGD mice studied 6 to 10 weeks after transplantation with MSCV-m91Neo–transduced BM.16
DNA analysis of primary and secondary transplant recipient mice receiving MSCV-91Neo–transduced BM.
Southern blot analyses of genomic DNA isolated from various hematopoietic tissues were performed to examine MSCV-m91Neo provirus structure, as well as the clonal composition of provirus-marked hematopoietic cells in long-term transplant recipients. Representative data is shown in Fig 3. In KpnI-digested DNA samples (Kpn I cleaves once in each LTR), a single band corresponding to the provirus was seen in all tissues examined (Fig 3A). The copy number was estimated to be approximately 1.6 to 3 in these and other recipients so analyzed. An exception was the transplant recipient, mentioned above, in whom the percentage of NBT-positive neutrophils began to decline 6 months posttransplant, reaching 9% at 15 months. In BM DNA obtained at 15 months posttransplant, provirus copy number was estimated to be less than 0.1, consistent with reduced transduction of long-term repopulating cells in this recipient. Cleavage of DNA with EcoRI, which cuts at a single site within the provirus to yield a junctional fragment corresponding to a unique integration site, showed several predominant bands unique to each mouse (Fig 3B). At least one of these bands was present in BM, spleen, and thymus, consistent with repopulation of multiple hematopoietic tissues with the same provirus-marked stem cell (or the progeny of a single stem cell clone containing multiple proviral integrants). In addition to a small number of prominent bands seen after EcoRI cleavage, a background smear likely corresponding to a large number of proviral flanking sites was consistently seen in recipients of transduced BM (see Fig 3B). Hence, although hematopoiesis in long-term transplant recipients was predominantly derived only a few clones, a population of heterogenously marked cells also persisted in hematopoietic tissues.
Southern blot analysis of MSCV-m91Neo integration in long-term reconstituted transplant recipients. Genomic DNA from wild-type (WT) and X-CGD control mice was obtained from bone marrow (BM), spleen (S), and thymus (T) for X-CGD mice 11 months posttransplantation with MSCV-m91–transduced BM. Ten micrograms of DNA was digested with either Kpn I (A) or EcoRI (B), and after agarose gel electrophoresis, Southern blots were prepared and probed with radiolabeled neomycin phosphotransferase cDNA. The band derived from a Neo gene in the X-CGD mice (present in the endogenous gp91phox gene as a result of homologous recombination20) is marked by an arrow on the left. Sizes of molecular weight markers are as indicated. Data is representative of seven mice analyzed at ≥10 months posttransplantation with MSCV-m91Neo–transduced BM. (A) DNA was digested with Kpn I, which cleaves within the 5′ and 3′ LTR of the approximately 4.5-kb MSCV-m91Neo provirus. (B) DNA was digested with EcoRI, which cleaves at a single site in MSCV-m91Neo just 5′ to the murine gp91phox cDNA. Asterisks and dots indicate junctional fragments detected in bone marrow DNA samples, at least one of which was also detected in multiple hematopoietic tissues.
Southern blot analysis of MSCV-m91Neo integration in long-term reconstituted transplant recipients. Genomic DNA from wild-type (WT) and X-CGD control mice was obtained from bone marrow (BM), spleen (S), and thymus (T) for X-CGD mice 11 months posttransplantation with MSCV-m91–transduced BM. Ten micrograms of DNA was digested with either Kpn I (A) or EcoRI (B), and after agarose gel electrophoresis, Southern blots were prepared and probed with radiolabeled neomycin phosphotransferase cDNA. The band derived from a Neo gene in the X-CGD mice (present in the endogenous gp91phox gene as a result of homologous recombination20) is marked by an arrow on the left. Sizes of molecular weight markers are as indicated. Data is representative of seven mice analyzed at ≥10 months posttransplantation with MSCV-m91Neo–transduced BM. (A) DNA was digested with Kpn I, which cleaves within the 5′ and 3′ LTR of the approximately 4.5-kb MSCV-m91Neo provirus. (B) DNA was digested with EcoRI, which cleaves at a single site in MSCV-m91Neo just 5′ to the murine gp91phox cDNA. Asterisks and dots indicate junctional fragments detected in bone marrow DNA samples, at least one of which was also detected in multiple hematopoietic tissues.
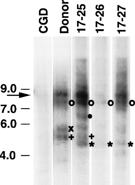
To confirm that integration of functional MSCV-m91 provirus had occurred in reconstituting stem cells, BM from four different primary recipients was harvested 8 to 11 months posttransplant and used for secondary transplants (two to four recipients for each). Successful hematopoietic reconstitution in secondary recipients was evidenced by normal hematocrits and white blood cell counts posttransplant (not shown). A representative Southern blot analysis of three secondary transplant recipients transplanted from a single donor is shown in Fig4, where BM DNA was digested withEcoRI to analyze for proviral integration sites. As seen for primary recipients (Fig 3B), several dominant bands were seen for each mouse, superimposed on a fainter background smear. One of the dominant bands was the same size as an integrant detected in the donor mouse (Fig 4, Lane 2), whereas other junctional fragments were seen only in secondary recipients. These data are consistent with the transplantation of provirus-marked reconstituting stem cells to secondary recipients. The appearance of new junctional fragments in secondary recipients is likely to reflect the proliferation of clones that were activated by the transplantation process, a phenomenon previously described by others.39-41
Southern blot analysis of proviral integration in secondary transplant recipients after MSCV-m91Neo transduction of X-CGD bone marrow. Genomic DNA was extracted from bone marrow obtained from an X-CGD control mouse, an X-CGD mouse used as a donor for secondary transplants 11 months posttransplantation with MSCV-m91–transduced BM, and three secondary transplant recipients (17-25, 17-26, and 17-27). Ten micrograms of genomic DNA was digested with EcoRI to generate junctional fragments containing provirus and adjacent genomic DNA. After agarose gel electrophoresis, Southern blots were prepared and probed with radiolabeled neomycin phosphotransferase cDNA. The band derived from an endogenous Neo gene in the X-CGD mice is marked by an arrow on the left. Open circles indicate a junctional fragment present in the donor that was also seen in all three recipient mice. Other junctional fragments were seen only in some or all of recipient mice (indicated by the other symbols).
Southern blot analysis of proviral integration in secondary transplant recipients after MSCV-m91Neo transduction of X-CGD bone marrow. Genomic DNA was extracted from bone marrow obtained from an X-CGD control mouse, an X-CGD mouse used as a donor for secondary transplants 11 months posttransplantation with MSCV-m91–transduced BM, and three secondary transplant recipients (17-25, 17-26, and 17-27). Ten micrograms of genomic DNA was digested with EcoRI to generate junctional fragments containing provirus and adjacent genomic DNA. After agarose gel electrophoresis, Southern blots were prepared and probed with radiolabeled neomycin phosphotransferase cDNA. The band derived from an endogenous Neo gene in the X-CGD mice is marked by an arrow on the left. Open circles indicate a junctional fragment present in the donor that was also seen in all three recipient mice. Other junctional fragments were seen only in some or all of recipient mice (indicated by the other symbols).
To obtain evidence that the MSCV-m91Neo provirus remained functional in the progeny of cells repopulating secondary transplant recipients, analysis of PB neutrophil NADPH oxidase activity was performed using NBT testing. As shown in Table 3, a high percentage of NBT-positive neutrophils, which correlated with the percentage of donor NBT-positive neutrophils at time of transplant, were detected in secondary recipients for more than 20 weeks posttransplant. These results confirm that proviral expression persisted in neutrophils derived from transduced, transplantable long-term repopulating cells.
Peripheral blood counts and nonphagocytic cell expression of gp91phoxin mice transplanted with MSCV-91Neo–transduced BM.
We examined whether recombinant gp91phox was present in nonphagocytic hematopoietic cells after transplantation with MSCV-m91Neo–transduced BM cells. The expression of gp91phox is normally limited almost exclusively to mature phagocytes and B cells.42 Assembly of a functional NADPH oxidase complex could not occur in other BM-derived cells because the p47phox and p67phox NADPH oxidase subunits are expressed only in phagocytes. However, nonphagocytic cells constitutively express p22phoxmRNA,43 and thus in principle, could form a stable gp91phox/p22phox heterodimer. We have also recently found that gp91phox, the heme-binding subunit of flavocytochrome b558, is stable even in the absence of p22phox when expressed in several nonphagocytic cells lines (murine 3T3 fibroblasts and monkey kidney COS7 cells). In these cells, transgenic gp91phox was present as both an intracellular high mannose precursor of gp91phox and a plasma membrane–associated, heme-containing polypeptide.44 45However, after MSCV-m91Neo gene transfer to X-CGD BM cells, we were unable to detect recombinant gp91phox protein by immunoblotting cell extracts prepared from either T or B lymphocytes or from red blood cell membranes (not shown). Given that levels of MSCV-m91Neo–derived protein in neutrophils are relatively low (see Fig2), we cannot rule out that small amounts of vector-derived gp91phox are present, but below the level of detection by the antibodies available for immunoblotting. Northern blot analysis of thymus showed abundant proviral transcripts (not shown), suggesting that poor expression of vector-derived mRNA did not account for the absence of recombinant gp91phox, at least in T cells.
We monitored blood counts posttransplant to examine whether the potential constitutive expression of small amounts of gp91phox from the MSCV-91Neo provirus had adverse effects in other hematopoietic lineages. The results are summarized in Table 4. The hematocrit, reticulocyte count, white blood cell count and percentage of granulocytes, and platelet count in X-CGD mice transplanted with MSCV-91Neo–transduced BM were comparable with published values for WT C57Bl/6J mice (Table4), as well as values obtained for cohorts of WT C57Bl/6J and X-CGD mice aged in our own colony (unpublished data). The hematocrit for recipients of MSCV-h91Neo–transduced BM 8 to 12 months posttransplant was increased slightly relative to recipients of MSCV-m91Neo–transduced BM (Table 4), a difference that was statistically (P < 0.5), but not physiologically significant.
We also screened serum of transplant recipient X-CGD mice for the presence of antiflavocytochrome b558 antibodies. Both gp91phox and p22phox have cell surface epitopes.46 Serum obtained from four mice 14 to 15 months posttransplant was tested by immunoblotting against extracts prepared from WT and X-CGD neutrophils from humans and from mice. No evidence for specific reactivity to either cytochrome subunit was found in serum from X-CGD mice after retroviral-mediated gene transfer of gp91phox (data not shown).
DISCUSSION
Retroviral-mediated gene transfer into hematopoietic stem cells continues to hold promise as an approach to correcting genetic disorders affecting bone marrow–derived cells, including CGD. Using new combinations of cytokines for stem cell mobilization and fibronectin fragments to enhance retroviral transduction, recent studies have reported retroviral-mediated gene transfer in up to 10% to 20% of primate and human HSC target cells.31,32,47Reconstitution of NADPH oxidase activity in similar numbers of CGD phagocytes would likely provide substantial correction of the host defense defect, based on studies of carrier females of CGD and in murine models of CGD.10 16
Optimal use of retroviral-mediated gene transfer also requires that the integrated provirus remain transcriptionally active in the progeny of long-term repopulating HSC and that expression of transgenic protein does not have adverse effects. To address these questions in the preclinical setting, we have used a murine model of X-CGD developed by gene targeting.20 We found that transduction of reconstituting HSC using vectors based on the murine stem cell virus conferred long-term expression in vivo of neutrophil and macrophage gp91phox and reconstitution of NADPH oxidase activity. Relative numbers of circulating NBT-positive neutrophils were stable for more than 1 year posttransplant with transduced BM. Southern blot analysis and secondary transplant data also showed that proviral integration had occurred in multilineage repopulating cells. These data provide additional support for the ability of the MSCV LTR to escape transcriptional inactivation after integration into HSC. The first reported long-term, in vivo study in mice using an MSCV vector involved a construct for expression of interleukin-11,27,48 the expression of which itself could have potentially provided a selective advantage for transduced cells. More recent studies have used constructs that either encoded a marker protein selected for by immunoaffinity techniques25 or by drug resistance.29 In the current study, we observed persistent expression of the provirus-encoded gp91phox in the absence on any known selective advantage. Long-term expression of MSCV LTR–driven enhanced green fluorescent protein in murine hematopoietic cells has also been recently reported.30
Expression of neutrophil gp91phox protein and NADPH oxidase activity at 12 to 15 months postgene transfer remained at levels seen at short times (6 to 12 weeks) after gene transfer. Although LTR-driven transcripts were abundant, small amounts of recombinant protein were detected (on average, 5% to 10% of wild-type levels). It is uncertain why MSCV-m91Neo–directed expression of gp91phox protein is poor. In this regard, it may be relevant that the majority of the provirus transcript is unspliced and contains viral leader region sequences with a strong tertiary structure that may adversely affect translation.49 Despite relatively low levels of gp91phox, neutrophil superoxide–generating activity was reconstituted to approximately 20% to 25% of wild-type mouse neutrophils. This partial correction has previously been shown to provide protection in murine X-CGD against respiratory challenge with Aspergillus fumigatus.16
We also observed that the relative level of provirus-derived transcripts and recombinant gp91phox in neutrophils could vary substantially between different recipients of MSCV-m91Neo–transduced marrow. This variability did not always correlate with provirus copy number. A similar mouse-to-mouse variation in the relative abundance of MSCV-m91Neo–derived transcripts was previously seen in spleen RNA samples obtained 2 to 3 months posttransplant.16 We have also observed clone-to-clone variation in MSCV LTR–derived RNA and protein after transduction of a human myeloid X-CGD cell line.19 Overall, these data are consistent with an integration site (position-dependent) effect on transcription driven by the MSCV LTR, at least for the MSCV-91Neo vector. This implies, if hematopoiesis from vector-marked cells is largely oligoclonal, that reconstitution of NADPH oxidase activity after MSCV-91Neo–mediated gene transfer has the potential to vary between recipients of transduced cells or over time in a given recipient.
There were no obvious adverse consequences to the introduction of MSCV-m91Neo into HSC. PB counts in recipients of transduced BM were similar to wild-type mice. Provirus-marked cells were capable of reconstituting secondary transplant recipients, suggesting that HSC function was not compromised by any constitutive expression of gp91phox. One caveat to these observations is that MSCV-m91Neo gives rise to relatively small amounts of protein even in neutrophils, and possible toxicities to other hematopoietic cells could occur using vectors that confer higher gp91phoxexpression. There was no evidence suggestive of a host immune response to recombinant gp91phox in X-CGD recipient mice, who otherwise have a null allele for gp91phox.20 The percentage of gp91phox-expressing neutrophils was stable over long periods of time, and the development of antibodies to reactive to either cytochrome subunit in immunoblots of neutrophil extracts was not observed. However, X-CGD mice receive high dose irradiation before transplantation with transduced cells, which may alter their response to a neo-antigen.
In mice expressing human gp91phox, the mean percentage of NBT-positive cells declined from 3% to 4% at months 9 to 12 posttransplant to approximately 1% at month 18 posttransplant. The significance of this decline is unclear, given the low titer of the MSCV-h91Neo vector and the relatively small numbers of long-lived repopulating cells likely to have been transduced. Although possible, it seems doubtful that the observed decrease in the percentage of NBT-positive cells resulted from an immune-mediated elimination of cells expressing human gp91phox. Numerous studies have shown stable, long-term expression of foreign genes, such as neomycin phosphotransferase (including this study), enhanced green fluorescent protein,30 and the human leukocyte CD24 cell surface antigen24 in mice infused with transduced cells after high-dose radiation. In addition, our recent studies using a “simplified” MSCV retroviral vector (lacking neomycin phosphotransferase; titer approximately 1 × 106 CFU/mL) to express human gp91phox show a stable percentage of 20% to 40% NBT-positive neutrophils for at least 7 months posttransplantation with transduced marrow (Dinauer, unpublished observations).
In conclusion, we have shown that the MSCV-91Neo vectors can be used to achieve long-term expression of recombinant gp91phox in phagocytes of X-CGD mice, with reconstitution of significant amounts of NADPH oxidase activity. Hence, this vector may be useful for future clinical applications in human X-CGD.
ACKNOWLEDGMENT
The authors thank Mary Gifford for management of the X-CGD mouse colony, Lilith Reeves and the Indiana University National Gene Vector Laboratory for helper virus testing, D. Wade Clapp for helpful discussions, and Jeanne Wallen for assistance with manuscript preparation.
Supported by National Heart, Lung and Blood Institute PO1 HL53586 and a Clinical Research Award from the March of Dimes (#1FY97). The Wells Center for Pediatric Research is a Center for Excellence in Molecular Hematology funded by National Institute of Diabetes and Digestive and Kidney Diseases (P50 DK 49218).
The publication costs of this article were defrayed in part by page charge payment. This article must therefore be hereby marked “advertisement” in accordance with 18 U.S.C. section 1734 solely to indicate this fact.
REFERENCES
Author notes
Address reprint requests to Mary C. Dinauer, MD, Herman B Wells Center for Pediatric Research, Cancer Research Institute, Indiana University School of Medicine, 1044 W Walnut St, Room 466, Indianapolis, IN 46202; e-mail: mdinauer@iupui.edu.



