Key Points
The association of both Langerhans cell histiocytosis and Erdheim-Chester disease is not exceptional.
This association is linked to BRAFV600E mutation.
Abstract
Histiocytoses are a group of heterogeneous diseases that mostly comprise Langerhans cell histiocytosis (LCH) and non-LCH. The association of LCH with non-LCH is exceptional. We report 23 patients with biopsy-proven LCH associated with Erdheim-Chester disease (ECD) (mixed histiocytosis) and discuss the significance of this association. We compare the clinical phenotypes of these patients with those of 56 patients with isolated LCH and 53 patients with isolated ECD. The average age at diagnosis was 43 years. ECD followed (n = 12) or was diagnosed simultaneously with (n = 11) but never preceded LCH. Although heterogeneous, the phenotype of patients with mixed histiocytosis was closer to that of isolated ECD than to that of isolated LCH (principal component analysis). LCH and ECD improved in response to interferon alpha-2a treatment in only 50% of patients (8 of 16). We found the BRAFV600E mutation in 11 (69%) of 16 LCH lesions and in 9 (82%) of 11 ECD lesions. Eight patients had mutations in both ECD and LCH biopsies. Our findings indicate that the association of LCH and ECD is not fortuitous and suggest a link between these diseases involving the BRAFV600E mutation.
Introduction
Histiocytoses are a group of heterogeneous and rare diseases of unknown cause.1-4 They can be classified as either Langerhans cell histiocytosis (LCH) or non-LCHs, depending on the type of cells infiltrating the tissues.3-7 The cells involved are either dendritic cells or macrophages, and they can be characterized by immunohistochemical methods with CD1a and PS100 antibodies.3,7 In LCH, tissues are infiltrated by CD1a+CD68low histiocytes. Non-LCHs form a distinct group of rare diseases, including Rosai-Dorfman disease6 and Erdheim-Chester disease (ECD).7 ECD mainly affects adults older than age 40 years. The distribution and the extent of the disease vary, although some specific characteristics have been identified, including skeletal,8 cardiac,9 retroperitoneal, and vascular involvement.10,11 Recently, a somatic mutation in the BRAF gene (BRAFV600E) was identified in LCH and ECD tissue infiltrates, suggesting a common origin of both histiocytoses.2,12
The concomitant occurrence of two distinct histiocytoses in the same patient is exceptional. The association of LCH with ECD (hereafter referred to “mixed histiocytosis”) seems to be the most frequent, with 17 cases reported in the English language literature.13-27 We report a multicenter series of 23 patients affected by both LCH and ECD.
Materials and methods
Patients
This retrospective study was conducted in 17 university hospitals between September 2009 and December 2013. Twenty-five patients, observed from January 1970 to December 2013, were included. Two patients were excluded because of a lack of histologic and morphologic information. The remaining 23 patients were included and were diagnosed with mixed histiocytosis. The reporting system ensured the anonymity of patients and, in accordance with the French law, patients and/or their families gave informed consent. This study was approved by the ethics committee Ile de France III (#2011-A00447-34) and conducted in accordance with the Declaration of Helsinki.
Data collection
The following data were collected: demographic information, comorbidities, clinical history of mixed histiocytosis (including symptoms at diagnosis and during the course of the disease), findings of imaging procedures (body scan, cerebral magnetic resonance imaging [MRI], echocardiography or cardiac MRI, abdominal MRI, technetium 99 bone scintigraphy, and/or 18F-fluorodeoxyglucose-positron emission tomography [[18F]FDG-PET] scan), biological and histologic data, and details of medical treatments.
This series of patients with mixed histiocytosis was compared with 56 consecutive isolated-LCH and 53 consecutive isolated-ECD patients, observed in two different centers (Nantes, France, and Pitié-Salpêtrière Hospital, Paris, France) during the same period.
Definitions of the diseases and their progression
LCH diagnosis was based on clinical and histologic findings.3,4 A biopsy was performed in all patients, and the diagnosis of LCH was made following the observation of granulomatous lesions containing histiocytes with indented nuclei and both eosinophilic and lymphocytic infiltration. In all patients, immunohistochemistry was performed and showed positive staining for CD1a and PS100. LCH skin lesions included skin rash, nodules, and ulcerative lesions; these lesions were biopsy-proven in each patient.
The diagnosis of ECD was based on data from Haroche et al,10 Arnaud et al,28 Arnaud et al,29 and Haroche et al:30 (1) typical histologic findings (n = 18) of infiltration with foamy histiocytes nested around polymorphic granuloma, fibrosis or xanthogranulomatosis, and immunochemical identification of CD68+ or CD1a– cells; or (2) typical x-ray, technetium 99 bone scintigraphy, or [18F]FDG-PET scan showing bilateral and symmetrical skeletal lesions (n = 5) associated with involvement of at least one other organ, including skin, large vessels,10,11 lung,29,31 heart,9 or retroperitoneum. ECD differential diagnoses, including metabolic diseases, were excluded.
For the patients who underwent a biopsy of both types of lesion, at least two specimens were reviewed by two independent pathologists, both experienced in the field of histiocytoses (F.C. and J.-F.E.).
Improvement of the disease in response to specific treatment was evaluated both clinically and radiologically.32 Improvement was defined clinically as a decrease of pain and/or tissue infiltration (skin, adenomegaly, splenomegaly, and hepatomegaly). Similarly, radiologic improvement was defined as a decrease of tissue infiltration assessed by computed tomography scans, MRI, or an [18F]FDG-PET scan,28 according to the standardized criteria.32 When improvement was absent or judged insufficient by the clinician in charge of the patient, we considered the disease as stable or refractory. Relapsing disease was defined as a disease requiring a new treatment after a remission period of >3 months.
BRAFV600E mutation
Tumor DNA was extracted from formalin-fixed and paraffin-embedded tissues. Four serial sections were performed for each sample. The first section (4 µm thick) was stained with hematoxylin and eosin as a control and to select the areas with the highest density of histiocytic infiltration, and the other three (20 µm thick) were used for dissection at ×10 magnification. Each sample analyzed contained 10% to 80% tumor cells. Tumor DNA was extracted by proteinase K digestion (6 ng/µL at 55°C for 18 to 72 hours with continuous stirring) and a QIAamp DNA Mini Kit (QIAGEN, Les Ulis, France). DNA concentration was evaluated by spectrophotometry (Nanodrop; Thermo Scientific, Courtaboeuf, France) and adjusted to 10 to 30 ng/µL for further analysis. Detection of hot-spot mutations in exon 15 of BRAFV600E2,33 was performed by pyrosequencing on a PyroMark Q24 Instrument (QIAGEN), as described previously.12 Samples for which the highest density of histiocytic infiltration did not reach 30% were also analyzed with PNAClamp BRAF Mutation Detection Kit (Eurogentec, Seraing, Belgium), according to the manufacturer’s instructions.
Multiplex picodroplet digital polymerase chain reaction testing was performed by using previously described protocols34 with the RainDrop Instrument (RainDance Technologies, Billerica, MA). Shortly thereafter, in a pre–polymerase chain reaction environment, 12.5 µL TaqMan Universal Master Mix (Life Technologies) was mixed with the assay solution. The assay solution contained 0.75 µL of 40 mM deoxynucleotide triphosphates Mix (New England BioLabs), 0.5 µL of 25 mM MgCl2, 2.5 µL of 10× Droplet Stabilizer (RainDance Technologies), 1.25 µL of 20× TaqMan Assay Mix containing 8 µM of forward and reverse primers, 200 nM of 6-carboxy-fluorescein and 200 nM of 4,7,2′-trichloro-7′-phenyl-6-carboxyfluorescein TaqMan-labeled probes, and target DNA template to a final reaction volume of 25 µL. Forty-five to 550 ng of DNA were used in each assay. Five million highly monodisperse droplets were generated using the RainDrop Source Instrument following the manufacturer’s instructions. The emulsion was submitted to thermocycling (PCT200, Biorad), starting with 2 minutes at 50°C, 10 minutes at 95°C, followed by 45 cycles at 95°C for 15 seconds, and 60°C for 1 minute (using a 0.6°C/min ramp rate). After completion, the end point fluorescence signals from each droplet were measure by using the RainDrop Sense Instrument. Analyses of the data were performed by using the RainDrop Analyst software. The reference sequence was BRAF complementary DNA sequence (GenBank NM_00433.4).
Literature review
We performed a MEDLINE search for original articles published in English between January 1984 and March 2013. Search criteria combined free text search and explored MeSH/EMTREE terms and all synonyms of LCH and ECD. We also searched for additional articles from the reference list of relevant papers obtained from the search. We identified 17 cases of LCH associated with ECD. One of these case reports was excluded from this literature review because the patient was referred to our center and was included in this series (patient 435 ).
Statistical methods
Quantitative data were expressed as median (minimum-maximum) values and qualitative data as numbers and percentages. The nonparametric T test was used to compare continuous variables, and Fisher’s exact test was used to compare categorical variables. A P value < .05 was considered as significant. We built multivariate logistic regression models to identify clinical variables independently associated with a diagnosis of mixed histiocytosis when confronted with signs of LCH or ECD. In these models, the type of histiocytosis was used as the dependent variable, and all clinical variables with P values < .20 in univariate analyses were included as explanatory variables. Principal component analysis was used to graphically describe the relationships among patients with LCH, ECD, and mixed histiocytosis. Briefly, each patient was represented by a point in a two-dimensional graph based on the clinical variables studied (presence or absence of digestive, cutaneous, skeletal, pulmonary, central nervous system (CNS), pituitary, ocular, retroperitoneal, vascular, and cardiac involvement). The distance between any two points is proportional to the similarity among these patients.
Results
Epidemiological data
We identified 23 patients with mixed histiocytosis (11 males and 12 females; Table 1). The median age at symptom onset was 43 years (range, 2 to 75 years). Both diseases (LCH and ECD) were diagnosed simultaneously in 11 patients (48%). Diagnosis of LCH preceded ECD in all the remaining patients (n = 12; 52%; Table 2) with a median time between the two diagnoses of 13.5 years (range, 2 to 22 years). No patient was diagnosed with ECD prior to LCH.
Characteristics of patients with MH and comparison with isolated-LCH and isolated-ECD patients
| Characteristic . | . | . | . | . | . | . | Univariate P . | Multivariate P . | ||
|---|---|---|---|---|---|---|---|---|---|---|
| LCH . | MH . | ECD . | MH vs LCH . | MH vs ECD . | MH vs LCH . | MH vs ECD . | ||||
| No. . | % . | No. . | % . | No. . | % . | |||||
| Total No. of patients | 56 | 100 | 23 | 100 | 53 | 100 | ||||
| Epidemiological data | ||||||||||
| No. of males (% of total) | 30 | 54 | 11 | 48 | 39 | 74 | .81 | .038 | — | |
| Age at diagnosis, y | .002 | .02 | .028 | NS | ||||||
| Median | 30 | 43 | 57 | |||||||
| Range | 2-79 | 2-75 | 16-80 | |||||||
| Follow-up from diagnosis, mo | ||||||||||
| Median | 55 | 60 | 38 | |||||||
| Range | 2-429 | 2-408 | 1-189 | |||||||
| Clinical presentation | ||||||||||
| LCH | ||||||||||
| Lytic bone lesions | 37 | 66 | 16 | 70 | — | 1.00 | — | NS | ||
| Cutaneous and mucosal involvement | 13 | 23 | 14 | 61 | — | .0034 | — | .024 | ||
| Pulmonary involvement | 26 | 46 | 3 | 13 | — | .0052 | — | NS | ||
| Digestive organ involvement | 4 | 7 | 4 | 17 | — | .21 | — | — | ||
| Secondary lymphoid organ involvement | nd | 5 | 22 | — | — | — | — | |||
| Unspecific lesions | ||||||||||
| CNS involvement | 10 | 18 | 11 | 48 | 27 | 51 | .011 | 1.00 | NS | — |
| Hypophyseal involvement | 16 | 29 | 13 | 57 | 12 | 23 | .024 | .0034 | NS | NS |
| Orbital involvement | 4 | 7 | 8 | 35 | 13 | 25 | .004 | .41 | NS | — |
| ECD | ||||||||||
| Condensing bone lesions | — | 21 | 91 | 51 | 96 | — | .58 | — | — | |
| Cardiac involvement | — | 8 | 35 | 34 | 64 | — | .024 | — | NS | |
| Large vessel involvement | — | 15 | 65 | 35 | 66 | — | 1.00 | — | — | |
| Cutaneous and mucosal involvement | — | 8 | 35 | 15 | 28 | — | .60 | — | — | |
| Pulmonary involvement | — | 6 | 26 | 23 | 43 | — | .20 | — | NS | |
| Retroperitoneal infiltration | — | 13 | 56 | 36 | 68 | — | .44 | — | — | |
| Other (epiploon) | — | 1 | 4 | nd | nd | — | — | — | — | |
| Characteristic . | . | . | . | . | . | . | Univariate P . | Multivariate P . | ||
|---|---|---|---|---|---|---|---|---|---|---|
| LCH . | MH . | ECD . | MH vs LCH . | MH vs ECD . | MH vs LCH . | MH vs ECD . | ||||
| No. . | % . | No. . | % . | No. . | % . | |||||
| Total No. of patients | 56 | 100 | 23 | 100 | 53 | 100 | ||||
| Epidemiological data | ||||||||||
| No. of males (% of total) | 30 | 54 | 11 | 48 | 39 | 74 | .81 | .038 | — | |
| Age at diagnosis, y | .002 | .02 | .028 | NS | ||||||
| Median | 30 | 43 | 57 | |||||||
| Range | 2-79 | 2-75 | 16-80 | |||||||
| Follow-up from diagnosis, mo | ||||||||||
| Median | 55 | 60 | 38 | |||||||
| Range | 2-429 | 2-408 | 1-189 | |||||||
| Clinical presentation | ||||||||||
| LCH | ||||||||||
| Lytic bone lesions | 37 | 66 | 16 | 70 | — | 1.00 | — | NS | ||
| Cutaneous and mucosal involvement | 13 | 23 | 14 | 61 | — | .0034 | — | .024 | ||
| Pulmonary involvement | 26 | 46 | 3 | 13 | — | .0052 | — | NS | ||
| Digestive organ involvement | 4 | 7 | 4 | 17 | — | .21 | — | — | ||
| Secondary lymphoid organ involvement | nd | 5 | 22 | — | — | — | — | |||
| Unspecific lesions | ||||||||||
| CNS involvement | 10 | 18 | 11 | 48 | 27 | 51 | .011 | 1.00 | NS | — |
| Hypophyseal involvement | 16 | 29 | 13 | 57 | 12 | 23 | .024 | .0034 | NS | NS |
| Orbital involvement | 4 | 7 | 8 | 35 | 13 | 25 | .004 | .41 | NS | — |
| ECD | ||||||||||
| Condensing bone lesions | — | 21 | 91 | 51 | 96 | — | .58 | — | — | |
| Cardiac involvement | — | 8 | 35 | 34 | 64 | — | .024 | — | NS | |
| Large vessel involvement | — | 15 | 65 | 35 | 66 | — | 1.00 | — | — | |
| Cutaneous and mucosal involvement | — | 8 | 35 | 15 | 28 | — | .60 | — | — | |
| Pulmonary involvement | — | 6 | 26 | 23 | 43 | — | .20 | — | NS | |
| Retroperitoneal infiltration | — | 13 | 56 | 36 | 68 | — | .44 | — | — | |
| Other (epiploon) | — | 1 | 4 | nd | nd | — | — | — | — | |
Personal data from two centers: Pitié-Salpêtrière Hospital, Paris, France, and Hôtel Dieu, Nantes, France. Bold values are statistically significant.
MH, mixed histiocytosis; ND, not determined; NS, not significant.
Histological findings
| Patient . | Time between LCH and ECD diagnosis (y) . | LCH histology . | BRAFV600E mutation . | ECD histology . | BRAFV600E mutation . |
|---|---|---|---|---|---|
| 1 | <1 | Skin | Negative | Retroperitoneal fibrosis | Negative |
| 2 | <1 | Skin, bone | Negative | None | — |
| 3 | <1 | Lymph node | Positive | Skin, bone (2), hypodermis | Positive |
| 4 | <1 | Skin (2) | Negative | Retroperitoneal fibrosis | ND |
| 5 | <1 | Bone | Negative* | None | — |
| 6 | <1 | Bone, skin | Negative | Skin | ND |
| 7 | <1 | Skin† | Positive | Skin,† mesentery | Positive (mesentery) |
| 8 | <1 | Bone† | Positive | Bone† | Positive |
| 9 | <1 | Skin | Positive | Retroperitoneal fibrosis | Positive |
| 10 | ND | CNS† | Positive | CNS,† bone | Positive‡ |
| 11 | ND | Skin (2) | Positive | None | — |
| 12 | 14 | Skin (3†) | Positive | Pleura, skin (3†), heart | Positive (pleura) |
| 13 | 22 | Bone | ND | Retroperitoneal fibrosis | ND |
| 14 | 11 | Bone | ND | Retroperitoneal fibrosis | ND |
| 15 | 2 | Skin (2), bone (2†), liver (2), lymph node | Positive (lymph node) | Bone† | ND |
| 16 | 18 | Bone (2† + 1), skin (2†) | Positive (bone) | Skin (1† + 1), bone (3†), retroperotineal fibrosis | Positive (skin) |
| 17 | 20 | Lung, mesentery | ND | Retroperotineal fibrosis | Negative |
| 18 | 2 | CNS | ND | Heart, lung | Positive |
| 19 | 20 | Skin (3), liver, bone | ND | None | — |
| 20 | 22 | Bone (3), skin (4) | Positive (skin) | None | — |
| 21 | 13 | Bone† | ND | Bone (1† + 1) | ND |
| 22 | 4 | Skin (3) | ND | Retroperitoneal fibrosis | ND |
| 23 | 3 | Skin (4) | Positive‡ | Bone | Positive |
| Patient . | Time between LCH and ECD diagnosis (y) . | LCH histology . | BRAFV600E mutation . | ECD histology . | BRAFV600E mutation . |
|---|---|---|---|---|---|
| 1 | <1 | Skin | Negative | Retroperitoneal fibrosis | Negative |
| 2 | <1 | Skin, bone | Negative | None | — |
| 3 | <1 | Lymph node | Positive | Skin, bone (2), hypodermis | Positive |
| 4 | <1 | Skin (2) | Negative | Retroperitoneal fibrosis | ND |
| 5 | <1 | Bone | Negative* | None | — |
| 6 | <1 | Bone, skin | Negative | Skin | ND |
| 7 | <1 | Skin† | Positive | Skin,† mesentery | Positive (mesentery) |
| 8 | <1 | Bone† | Positive | Bone† | Positive |
| 9 | <1 | Skin | Positive | Retroperitoneal fibrosis | Positive |
| 10 | ND | CNS† | Positive | CNS,† bone | Positive‡ |
| 11 | ND | Skin (2) | Positive | None | — |
| 12 | 14 | Skin (3†) | Positive | Pleura, skin (3†), heart | Positive (pleura) |
| 13 | 22 | Bone | ND | Retroperitoneal fibrosis | ND |
| 14 | 11 | Bone | ND | Retroperitoneal fibrosis | ND |
| 15 | 2 | Skin (2), bone (2†), liver (2), lymph node | Positive (lymph node) | Bone† | ND |
| 16 | 18 | Bone (2† + 1), skin (2†) | Positive (bone) | Skin (1† + 1), bone (3†), retroperotineal fibrosis | Positive (skin) |
| 17 | 20 | Lung, mesentery | ND | Retroperotineal fibrosis | Negative |
| 18 | 2 | CNS | ND | Heart, lung | Positive |
| 19 | 20 | Skin (3), liver, bone | ND | None | — |
| 20 | 22 | Bone (3), skin (4) | Positive (skin) | None | — |
| 21 | 13 | Bone† | ND | Bone (1† + 1) | ND |
| 22 | 4 | Skin (3) | ND | Retroperitoneal fibrosis | ND |
| 23 | 3 | Skin (4) | Positive‡ | Bone | Positive |
Numbers in parentheses are number of biopsy samples.
The sample contained 20% histiocytes, and DNA obtained was analyzed only with pyrosequencing because it could not be amplified for other methods.
Presence of both LCH and ECD lesions in the same biopsy.
Determined by a high sensitivity test (PNAClamp BRAF Mutation Detection Kit, Eurogentec, Seraing, Belgium) or by multiplex picodroplet digital polymerase chain reaction.34
Clinical data
LCH involved at least two organ sites in all but one patient who presented with only skin nodules (Table 1). Lytic bone lesions and mucocutaneous involvement (both of which are specific to LCH) were found in 16 and 14 patients, respectively. Cerebral involvement, pituitary gland involvement, and exophthalmos occurred in 11, 13, and 8 patients, respectively. These were features of nonspecific LCH involvement because they can also be attributed to another type of histiocytosis.
Specific ECD lesions in patients with mixed histiocytosis most frequently involved the bone (n = 21) and large vessels (n = 15). Other tissue involvements are also reported in Table 1.
Pathological study
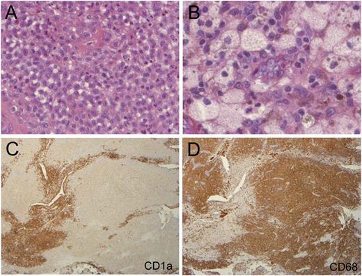
Histologic data are given in Table 2. Bone and skin biopsies, which were easily performed, were the most informative samples; bone biopsies were obtained from 11 LCH and 7 ECD patients, with skin biopsies from 14 LCH and 5 ECD patients. For patients 7, 8, 10, 12, 15, 16, and 21, LCH and ECD lesions were present and distinguished within the same biopsy sample (Figure 1).
Histology of a patient with mixed histiocytosis. LCH and ECD lesions were present but distinguishable in the same biopsy from a patient with mixed histiocytosis. This sample (patient 8) contained (A) typical LCH as well as (B) ECD infiltration (HandE stain, original magnification ×200). On serial sections, immunohistochemistry showed (C) strong CD1a staining contrasting with (D) strong CD68 staining in distinct areas (original magnification ×40).
Histology of a patient with mixed histiocytosis. LCH and ECD lesions were present but distinguishable in the same biopsy from a patient with mixed histiocytosis. This sample (patient 8) contained (A) typical LCH as well as (B) ECD infiltration (HandE stain, original magnification ×200). On serial sections, immunohistochemistry showed (C) strong CD1a staining contrasting with (D) strong CD68 staining in distinct areas (original magnification ×40).
One patient (patient 1) had mixed histiocytosis concomitant with Rosai-Dorfman disease (diagnosed by pleural biopsy showing sinus histiocytosis with emperipolesis, and by immunochemistry showing strong staining for CD68 and PS1006 ).
B-RAFV600E mutation
We searched for the BRAFV600E mutation in 27 samples: 16 LCH and 11 ECD biopsies (Table 2). BRAF was mutated in 11 (69%) of 16 of the LCH tissue infiltrates and in 9 (82%) of 11 of the ECD tissue infiltrates. Overall, we tested 18 patients for the BRAFV600E mutation; 12 (67%) had at least 1 mutated sample.
Biopsies of both ECD and LCH were available for molecular analysis in 9 patients. BRAF status was concordant in both biopsies for all patients, 8 of whom were BRAFV600E positive and 1 of whom did not have a mutation.
Treatments
Five patients did not receive treatment for LCH, and the other 18 patients received different treatments including steroids, vinblastine, cladribine, tretinoin, etoposide, and methotrexate. Eleven (61%) of these 18 patients required 2 to 4 lines of treatment because of refractory or relapsing disease (Table 3). These treatments were at least partially effective against LCH lesions in 8 (47%) of 17 patients and against ECD lesions in 1 (20%) of 5 patients.
Treatment outcome
| Patient . | Treatment of LCH lesions . | Treatment of ECD lesions . | |||||
|---|---|---|---|---|---|---|---|
| No. of lines . | Follow-up during treatment (mo) . | Efficacy: LCH/ECD . | Type of IFN-α . | Dose of IFN-α . | Follow-up during treatment (mo) . | Efficacy: LCH/ECD . | |
| 1 | 0 | — | −/– | PEG | 135 µg/w | <1 | –/– |
| 2 | 1 | 13 | Partial/partial | Standard | 27 MIU/w | 12 | Partial/partial |
| 3 | 0 | — | –/– | PEG | 135 µg/w | 24 | Yes/partial |
| 4 | 1 | 15 | No/no | Standard | 13.5 MIU/w | 13 | Yes/partial |
| 5 | 0 | — | –/– | PEG | 135 µg/w | 18 | Partial/partial |
| 6 | 1 | 3 | No/no | — | — | — | –/– |
| 7 | 1 | 4 | –/– | PEG | 135 µg/w | 16 | No/no |
| 8 | 0 | — | –/– | PEG | 180 µg/w | 7 | –/No |
| 9 | 0 | — | –/– | — | — | — | –/– |
| 10 | 1 | 1 | No/no | Standard | 18 MIU/w | 34 | No/no |
| 11 | 3 | 43 | Partial/– | Standard | 9 MIU/w | 19 | No/no |
| 12 | 3 | 153 | Partial/no | Standard | 27 MIU/w | 39 | –/Partial |
| 13 | ND | 144 | Yes/– | — | — | — | –/– |
| 14 | 3 | 54 | No/– | Standard | 27 MIU/w | 18 | –/No |
| 15 | 4 | 138 | Partial/– | — | — | — | –/– |
| 16 | 3 | 270 | Yes/– | Standard | 27 MIU/w | 51 | –/Partial |
| 17 | 1 | 370 | Yes/– | PEG | 180 µg/w | 30 | –/No |
| 18 | 4 | 18 | No/– | Standard | 18 MIU/w | 10 | No/no |
| 19 | 2 | 300 | No/– | Standard | 13.5 MIU/w | <1 | –/– |
| 20 | 3 | 72 | Yes/– | Standard | 13.5 MIU/w | 6 | –/Yes |
| 21 | 3 | 177 | No/– | PEG | 135 µg/w | 29 | –/Yes |
| 22 | 1 | 40 | No/– | PEG | 135 µg/w | <1 | –/– |
| 23 | 2 | 36 | No/– | PEG | 135 µg/w | 28 | No/no |
| Patient . | Treatment of LCH lesions . | Treatment of ECD lesions . | |||||
|---|---|---|---|---|---|---|---|
| No. of lines . | Follow-up during treatment (mo) . | Efficacy: LCH/ECD . | Type of IFN-α . | Dose of IFN-α . | Follow-up during treatment (mo) . | Efficacy: LCH/ECD . | |
| 1 | 0 | — | −/– | PEG | 135 µg/w | <1 | –/– |
| 2 | 1 | 13 | Partial/partial | Standard | 27 MIU/w | 12 | Partial/partial |
| 3 | 0 | — | –/– | PEG | 135 µg/w | 24 | Yes/partial |
| 4 | 1 | 15 | No/no | Standard | 13.5 MIU/w | 13 | Yes/partial |
| 5 | 0 | — | –/– | PEG | 135 µg/w | 18 | Partial/partial |
| 6 | 1 | 3 | No/no | — | — | — | –/– |
| 7 | 1 | 4 | –/– | PEG | 135 µg/w | 16 | No/no |
| 8 | 0 | — | –/– | PEG | 180 µg/w | 7 | –/No |
| 9 | 0 | — | –/– | — | — | — | –/– |
| 10 | 1 | 1 | No/no | Standard | 18 MIU/w | 34 | No/no |
| 11 | 3 | 43 | Partial/– | Standard | 9 MIU/w | 19 | No/no |
| 12 | 3 | 153 | Partial/no | Standard | 27 MIU/w | 39 | –/Partial |
| 13 | ND | 144 | Yes/– | — | — | — | –/– |
| 14 | 3 | 54 | No/– | Standard | 27 MIU/w | 18 | –/No |
| 15 | 4 | 138 | Partial/– | — | — | — | –/– |
| 16 | 3 | 270 | Yes/– | Standard | 27 MIU/w | 51 | –/Partial |
| 17 | 1 | 370 | Yes/– | PEG | 180 µg/w | 30 | –/No |
| 18 | 4 | 18 | No/– | Standard | 18 MIU/w | 10 | No/no |
| 19 | 2 | 300 | No/– | Standard | 13.5 MIU/w | <1 | –/– |
| 20 | 3 | 72 | Yes/– | Standard | 13.5 MIU/w | 6 | –/Yes |
| 21 | 3 | 177 | No/– | PEG | 135 µg/w | 29 | –/Yes |
| 22 | 1 | 40 | No/– | PEG | 135 µg/w | <1 | –/– |
| 23 | 2 | 36 | No/– | PEG | 135 µg/w | 28 | No/no |
(–), not assessable; PEG, pegylated interferon-α2a.
After the diagnosis of ECD, treatment with interferon alpha 2a (IFN-α2a) was started in 19 patients. Different types and regimens of IFN-α were given (Table 3). Follow-up of IFN-α treatment was insufficient to assess its efficacy in 3 patients. For the remaining 16 patients (median follow-up, 18.5 months; range, 6 to 51 months), IFN-α improved the clinical manifestations of ECD in 8 (50%) of 16 patients and those of LCH in 4 (44%) of 9 patients. In 3 of these patients, IFN-α was finally withdrawn because of major side effects.
Outcome
The overall mortality was 8 (35%) of 23 patients, occurring after a median follow-up of 27 months (range, 14 to 408 months) from diagnosis. Six died during or soon after IFN-α therapy. Progression of mixed histiocytosis was the direct cause of death in 4 patients (50%); two had CNS and two had lung involvement. Other causes of death were septic shock (n = 1), cardiac arrest of unknown origin (n = 1), and intracranial hemorrhage (n = 2), including 1 with IFN-–induced thrombocytopenia.
Overall, the 5-year survival was 65%, which was not different from that in the ECD cohort (data not shown). Importantly, the survival of patients with mixed histiocytosis for whom both LCH and ECD were diagnosed simultaneously was lower than that of patients diagnosed first with LCH and then diagnosed with ECD (P = .034; Figure 2).
Kaplan-Meyer survival curves of patient with mixed histiocytosis. Kaplan-Meyer curves showing that patients diagnosed simultaneously with LCH and ECD have a lower survival rate than patients diagnosed first with LCH and subsequently with ECD.
Kaplan-Meyer survival curves of patient with mixed histiocytosis. Kaplan-Meyer curves showing that patients diagnosed simultaneously with LCH and ECD have a lower survival rate than patients diagnosed first with LCH and subsequently with ECD.
Comparative study with mixed histiocytosis patients from the literature
The patients from literature (Table 4) and the patients from this series were similar in terms of the male:female sex ratio (0.5 and 0.9, respectively; P = .53) and the median age at diagnosis (median, 39 years [range, 20 to 66 years] vs 43 years [range, 2 to 75 years], respectively, P = .53). The timeline of LCH and ECD occurrence was documented in 15 cases among the patients from the literature: LCH and ECD were simultaneously diagnosed in 8 patients (53%) and LCH preceded ECD in 6 patients (40%) (median, 7 years; range, 1 to 26 years). Only 1 case (7%) of ECD occurring prior to LCH was recorded.17
Clinical and histological findings of mixed histiocytosis patients from the literature
| . | Reference . | Sex . | Age at onset (y) . | Time between LCH and ECD diagnosis (y) . | LCH organ involvement . | Unspecific lesions . | ECD organ involvement . | LCH histology . | ECD histology . |
|---|---|---|---|---|---|---|---|---|---|
| 1 | 19 | F | 63 | ND | Bone, skin | Hypophysis | Bone | Bone* | Bone* |
| 2 | 14 (case 2) | F | 20 | ND | Skin | E | RPF, lung, bone, skin | Skin | Skin |
| 3 | 20 | M | 65 | 0 | CNS | RPF, lung, heart | CNS | Heart | |
| 4 | 26 | F | 45 | 0 | Bone, skin | Hypophysis | Bone, skin | Skin | Skin |
| 5 | 21 | M | 58 | 0 | Bone | Hypophysis | Lung, bone, peritoneum | Bone | Lung, peritoneum |
| 6 | 15 | F | 40 | 0 | Bone, skin | E | Bone, skin | Bone | Breast |
| 7 | 13 (Case 9) | F | 41 | 0 | Bone | Bone, RPF | Bone* | Bone* | |
| 8 | 23 | F | 31 | 0 | Bone | Hypophysis | Bone | Bone* | Bone* |
| 9 | 24 (case 2) | F | 32 | 0 | Bone | E | Hypophysis | Bone | Sellar mass |
| 10 | 18 | M | 66 | 0 | Bone | Bone, skin | Bone* | Bone* | |
| 11 | 22 | F | 39 | 9 | Bone | Hypophysis | Bone, skin | Bone | Bone, * skin |
| 12 | 16 | M | 27 | 4 | Bone, lymph node | Hypophysis | Bone, joint | Lymph node | Joint |
| 13 | 25 | F | 34 | 26 | Skin | Hypophysis | RPF, bone, skin | Skin* | Skin* |
| 14 | 17 (case 1) | M | 44 | 10 | Bone | Hypophysis, E | CNS, bone | ND | CNS |
| 15 | 24 (case 1) | F | 26 | 1 | Bone, skin | Hypophysis, E | Heart, skin | Skin | Orbit, skin |
| 16 | 27 | F | 27 | 5 | Bone | Hypophysis, E | Lung, bone, skin | Skin | Orbit |
| 17 | 17 (case 2) | M | 35 | −3 | Skin | Hypophysis | Lung, bone | Skin | Bone |
| . | Reference . | Sex . | Age at onset (y) . | Time between LCH and ECD diagnosis (y) . | LCH organ involvement . | Unspecific lesions . | ECD organ involvement . | LCH histology . | ECD histology . |
|---|---|---|---|---|---|---|---|---|---|
| 1 | 19 | F | 63 | ND | Bone, skin | Hypophysis | Bone | Bone* | Bone* |
| 2 | 14 (case 2) | F | 20 | ND | Skin | E | RPF, lung, bone, skin | Skin | Skin |
| 3 | 20 | M | 65 | 0 | CNS | RPF, lung, heart | CNS | Heart | |
| 4 | 26 | F | 45 | 0 | Bone, skin | Hypophysis | Bone, skin | Skin | Skin |
| 5 | 21 | M | 58 | 0 | Bone | Hypophysis | Lung, bone, peritoneum | Bone | Lung, peritoneum |
| 6 | 15 | F | 40 | 0 | Bone, skin | E | Bone, skin | Bone | Breast |
| 7 | 13 (Case 9) | F | 41 | 0 | Bone | Bone, RPF | Bone* | Bone* | |
| 8 | 23 | F | 31 | 0 | Bone | Hypophysis | Bone | Bone* | Bone* |
| 9 | 24 (case 2) | F | 32 | 0 | Bone | E | Hypophysis | Bone | Sellar mass |
| 10 | 18 | M | 66 | 0 | Bone | Bone, skin | Bone* | Bone* | |
| 11 | 22 | F | 39 | 9 | Bone | Hypophysis | Bone, skin | Bone | Bone, * skin |
| 12 | 16 | M | 27 | 4 | Bone, lymph node | Hypophysis | Bone, joint | Lymph node | Joint |
| 13 | 25 | F | 34 | 26 | Skin | Hypophysis | RPF, bone, skin | Skin* | Skin* |
| 14 | 17 (case 1) | M | 44 | 10 | Bone | Hypophysis, E | CNS, bone | ND | CNS |
| 15 | 24 (case 1) | F | 26 | 1 | Bone, skin | Hypophysis, E | Heart, skin | Skin | Orbit, skin |
| 16 | 27 | F | 27 | 5 | Bone | Hypophysis, E | Lung, bone, skin | Skin | Orbit |
| 17 | 17 (case 2) | M | 35 | −3 | Skin | Hypophysis | Lung, bone | Skin | Bone |
E, exophtalmos; F, female; M, male; RPF, retroperitoneal fibrosis.
Presence of both LCH and ECD lesion in the same biopsy.
Among these 17 cases from the literature, bone and skin lesions were predominant (Table 4). Pituitary gland involvement was also common (n = 12; 71%). As a result, patients from the literature cases and from this series were very similar, with the possible exception of ECD large-vessel involvement, which was never mentioned in the literature cases.
To the best of our knowledge, there is no record of the patients from the literature being tested for the BRAFV600E mutation.
Comparative study with isolated-LCH and isolated-ECD patients
We compared the 23 patients with mixed histiocytoses to 56 isolated-LCH and 53 isolated-ECD patients (Table 1). In univariate analysis, most of the differences between the cohorts involved features of LCH. The proportion of patients with isolated LCH showing cutaneous involvement was significantly lower than patients with mixed histiocytosis (23% vs 61%, respectively; P = .0034). In contrast, patients with isolated LCH presented more frequently with pulmonary involvement than patients with mixed histiocytosis (46% vs 13%; P = .0052). This univariate analysis also suggested that there were few clinical differences between patients with ECD and those with mixed histiocytosis (Table 1), with the exception of heart involvement, which was significantly more common in patients with isolated ECD (64% vs 35%; P = .024). In the absence of histologic confirmation in most cases of CNS, hypophyseal, and/or orbital involvements, differences in the prevalence of these involvements among the patient groups were difficult to interpret.
In the multivariate model, patients with mixed histiocytosis were older than isolated-LCH patients. There was no specific ECD tissue involvement that could distinguish patients with mixed histiocytosis from isolated-ECD patients. Skin lesions were more common in patients with isolated LCH (P = .024). Principal component analysis confirmed the wide spectrum and multiorgan characteristics of mixed histiocytosis (Figure 3). Patients with mixed histiocytosis seemed to resemble ECD patients more closely than they resembled LCH patients.
Relationship among patients with LCH, ECD, and mixed histiocytosis. Principal component analysis was used to graphically describe the relationships between patients with LCH, ECD, and mixed histiocytosis. Each patient is represented by a point in a two-dimensional graph such that the distance between any two points is proportional to the strength of the association between the variables recorded in these patients (presence or absence of digestive, cutaneous, skeletal, pulmonary, CNS, pituitary, ocular, retroperitoneal, vascular, and cardiac involvements). The axes are selected as best explaining the variability of the observed data, and their scale is arbitrary. This analysis shows that LCH, ECD, and mixed histiocytosis share heterogeneous clinical patterns (because patients are widely spread within each disease) and that patients with mixed histiocytosis appear closer to patients with ECD than to patients with LCH.
Relationship among patients with LCH, ECD, and mixed histiocytosis. Principal component analysis was used to graphically describe the relationships between patients with LCH, ECD, and mixed histiocytosis. Each patient is represented by a point in a two-dimensional graph such that the distance between any two points is proportional to the strength of the association between the variables recorded in these patients (presence or absence of digestive, cutaneous, skeletal, pulmonary, CNS, pituitary, ocular, retroperitoneal, vascular, and cardiac involvements). The axes are selected as best explaining the variability of the observed data, and their scale is arbitrary. This analysis shows that LCH, ECD, and mixed histiocytosis share heterogeneous clinical patterns (because patients are widely spread within each disease) and that patients with mixed histiocytosis appear closer to patients with ECD than to patients with LCH.
Discussion
We report the co-occurrence of LCH and ECD in the largest series of patients to date. This series, as well as the 17 case reports in the English language literature, suggest that the occurrence of both diseases in the same patient is not rare. Indeed, patients with mixed histiocytosis regularly observed at our national referral center make up 19% of our ECD cohort. Physicians should be aware of this association and search for ECD when diagnosing LCH and vice versa, because therapeutic regimens are different for these two diseases.
Patients with mixed histiocytosis, either from our series or from previously published series,11,36-38 displayed characteristics very similar to those of patients with isolated LCH (who were mostly adults in this series) and patients with isolated ECD. The exception was age at diagnosis. Indeed, median age at diagnosis of mixed histiocytosis was 43 years in our adult series, which is similar to that in the literature cases (39 years; P = .53), but this is significantly younger than patients with isolated ECD (57 years; P = .02) and older than patients with isolated LCH (30 years; P = .002). Among the 40 cases of mixed histiocytosis reported in the literature (including the 23 cases reported here), ECD preceded LCH in only one case22 (ie, 2.5%) (Table 2). In our series, patients with mixed histiocytosis were always diagnosed with LCH prior to (52%) or simultaneously with (48%) ECD. There was no clinical difference between patients who developed ECD and LCH simultaneously or successively (data not shown), except for survival, which was significantly lower in patients with concomitant LCH and ECD.
In our series of mixed histiocytosis, we searched for the presence of the BRAFV600E mutation. In patient-matched LCH and ECD lesions, BRAFV600E-positive LCH lesions always occurred concomitant with BRAFV600E-positive ECD lesions. The same BRAFV600E mutation has been reported in 57% of patients with isolated LCH2 and in 54% of patients with isolated ECD.12 This finding suggests a role for this mutation in the emergence of LCH and ECD. It is not known whether this mutation occurs in different cell types or in a progenitor cell in patients with mixed histiocytosis. In favor of a progenitor cell origin, a progenitor was identified recently in the bone marrow39-41 that gives rise to dendritic cells and monocytes and/or macrophages, which are the cell types involved in LCH and ECD, respectively. Furthermore, a rare single genetic event (occurring in a progenitor cell) has a much higher probability of occurring than two successive rare events emerging separately (in two different cell types).
The treatment of mixed histiocytosis is still a challenge. In our series, there were more clinical signs of ECD than of LCH and, in most cases, the clinical signs of ECD occurred in patients who had already been treated for LCH by various approaches. IFN-α was consequently the most frequently used therapy because it has also been proposed to treat LCH.42-45 However, the efficacy of IFN-α was lower than what has been reported previously for isolated-ECD patients.46-48 These differences cannot be explained by the clinical spectrum of mixed histiocytosis, the dose of IFN-α, or the duration of the follow-up, which were equivalent in our series and in the previous series of patients with isolated ECD.46-48 Thus, for patients who tested positive for the BRAFV600E mutation in ECD and LCH lesions, BRAF inhibitors such as vemurafenib may be a valuable therapeutic option.49,50
In conclusion, we report for the first time a large series of patients with both ECD and LCH. Our findings should encourage clinicians to carefully search for both LCH and ECD at the time of diagnosis and later during the follow-up of each patient. Our data suggest that the association of LCH with ECD is not fortuitous. However, this hypothesis requires further investigation in molecular studies involving human progenitor cells and animal models.
The publication costs of this article were defrayed in part by page charge payment. Therefore, and solely to indicate this fact, this article is hereby marked “advertisement” in accordance with 18 USC section 1734.
There is an Inside Blood Commentary on this article in this issue.
Authorship
Contribution: B.H., J.H., and Z.A. proposed and designed the study; B.H., J.H., J.D., A.N., F.L., C.V., B.G., O.H., A.R., C.R., E.H., T.C., S.B., M.B., M.C., L.M., E.K., J.-M.M., K.C., and Z.A. observed the patients and managed the treatments; B.H., J.H., and Z.A. planned the evaluations; B.H., J.H., and L.A. were involved in collecting data; B.H. and J.H. evaluated patient outcome and analyzed the results; B.H. and L.A. performed the statistical analysis; V.M. and V.T. studied biopsy specimens; F.C. and J.-F.E. reviewed all the biopsy specimens; J.-F.E. and V.T. performed the B-RAFV600E analysis; B.H., J.H., L.A., F.C., J.-F.E., and Z.A. wrote the manuscript; and all authors approved the final manuscript.
A list of members of the French Histiocytoses Study Group appears in “Appendix.” Contribution of the French Histiocytoses Study Group members: S. Bulifon, A. Tazi, X. Girerd, C. de Gennes, J. P. Ory, O. Lambotte, F. Cohen-Aubart, D. Vital-Durand, M. A. Hamidou, P. Rieu, B. De Wazière, and P. Meekel observed the patients and managed the treatments; N. Brousse, M. C. Rousselet-Chapeau, E. Martin de Lassale & F. Leclair studied biopsy specimens; Z. Hélias-Rodzewicz performed B-RAFV600E analysis.
Conflict-of-interest disclosure: J.H. received honoraria from GlaxoSmithKline for advising patients with histiocytosis about treatments with targeted therapies. V.T. received honoraria from RainDance Technologies. J.-F.E. received honoraria from Roche and GlaxoSmithKline for advising patients with melanomas about BRAF mutations and/or treatment with BRAF inhibitors. Z.A. received honoraria for consulting (GlaxoSmithKline, Amgen) and scientific research (GlaxoSmithKline, Roche, Actelion, Amgen, Lilly, Union Chimique Belge, and AstraZeneca). The remaining authors declare no competing financial interests.
Correspondence: Julien Haroche, Department of Internal Medicine, Assistance Publique-Hôpitaux de Paris, French Reference Center for Autoimmune Diseases, Hôpital Pitié-Salpêtrière, 47-83 Boulevard de l’Hôpital, 75013 Paris, France; e-mail: julien.haroche@psl.aphp.fr.
Appendix
Members of the French Histiocytoses Study Group include S. Bulifon, N. Brousse, A. Tazi, X. Girerd, C. de Gennes, E. Martin de Lassale, F. Leclair, P. Rieu, B. De Wazière, J.P. Ory, O. Lambotte, P. Meekel, F. Cohen-Aubart, Z. Hélias-Rodzewicz, M.C. Rousselet-Chapeau, D. Vital-Durand, and M.A. Hamidou.
References
Author notes
J.H. and L.A. contributed equally to this study.



This feature is available to Subscribers Only
Sign In or Create an Account Close Modal