A 66-year-old woman with t(8;21)(q22;q22) therapy-related acute myeloid leukemia (AML) with molecular disease persistence after induction and consolidation chemotherapy (respectively, cytarabine/daunorubicin and cytarabine) underwent bone marrow (BM) examination to investigate a recent onset of pancytopenia. BM smears revealed myeloblasts (91%) and atypical mast cells (MCs) often hypogranulated with a bilobed nucleus (panels A-B: May-Grünwald-Giemsa stain, ×100 objective, original magnification ×1000). After reinduction chemotherapy, BM aspiration revealed a massive infiltrate of atypical MCs (70%) with few blasts (<5%) (panel D: May-Grünwald-Giemsa stain, ×20 objective, original magnification ×200). The patient had skin lesions (not biopsied). Flow cytometry analysis showed CD2/CD25-aberrant expression on MCs. Serum tryptase level exceeded 200 ng/mL and molecular analysis by next-generation sequencing highlighted a KIT D816V mutation (variant allele frequency, 14%) that was absent at AML diagnosis. The diagnosis of systemic mastocytosis (SM) with an associated hematological neoplasm was confirmed. Fluorescent in situ hybridization analysis on BM smears showed 2 t(8;21)(q22;q22) with RUNX1-RUNX1T1 rearrangements in 47% of tetraploid nucleated cells (panel C: fluorescent in situ hybridization analysis, ×100 objective, original magnification ×1000; red arrows, RUNX1 gene; light green arrows, RUNX1T1 gene; yellow arrows, RUNX1-RUNX1T1 fusion signals), indicating its presence in the MC compartment. This result favors a common origin for MCs and myeloblasts.
SM associated with t(8;21)(q22;q22) AML is an extremely rare variant of SM with an associated hematological neoplasm with a poor prognosis. The patient relapsed with MC persistence despite treatment including midostaurin.
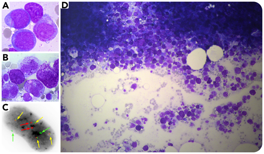
A 66-year-old woman with t(8;21)(q22;q22) therapy-related acute myeloid leukemia (AML) with molecular disease persistence after induction and consolidation chemotherapy (respectively, cytarabine/daunorubicin and cytarabine) underwent bone marrow (BM) examination to investigate a recent onset of pancytopenia. BM smears revealed myeloblasts (91%) and atypical mast cells (MCs) often hypogranulated with a bilobed nucleus (panels A-B: May-Grünwald-Giemsa stain, ×100 objective, original magnification ×1000). After reinduction chemotherapy, BM aspiration revealed a massive infiltrate of atypical MCs (70%) with few blasts (<5%) (panel D: May-Grünwald-Giemsa stain, ×20 objective, original magnification ×200). The patient had skin lesions (not biopsied). Flow cytometry analysis showed CD2/CD25-aberrant expression on MCs. Serum tryptase level exceeded 200 ng/mL and molecular analysis by next-generation sequencing highlighted a KIT D816V mutation (variant allele frequency, 14%) that was absent at AML diagnosis. The diagnosis of systemic mastocytosis (SM) with an associated hematological neoplasm was confirmed. Fluorescent in situ hybridization analysis on BM smears showed 2 t(8;21)(q22;q22) with RUNX1-RUNX1T1 rearrangements in 47% of tetraploid nucleated cells (panel C: fluorescent in situ hybridization analysis, ×100 objective, original magnification ×1000; red arrows, RUNX1 gene; light green arrows, RUNX1T1 gene; yellow arrows, RUNX1-RUNX1T1 fusion signals), indicating its presence in the MC compartment. This result favors a common origin for MCs and myeloblasts.
SM associated with t(8;21)(q22;q22) AML is an extremely rare variant of SM with an associated hematological neoplasm with a poor prognosis. The patient relapsed with MC persistence despite treatment including midostaurin.
For additional images, visit the ASH Image Bank, a reference and teaching tool that is continually updated with new atlas and case study images. For more information, visit http://imagebank.hematology.org.

This feature is available to Subscribers Only
Sign In or Create an Account Close Modal