Abstract
A potential physiological role of stromelysin-1 (MMP-3) in the expression or activation of gelatinase A (MMP-2) or gelatinase B (MMP-9) in the wall of injured arteries was studied with the use of homozygous MMP-3–deficient (MMP-3−/−) mice. One week after perivascular electric injury of the carotid or femoral artery in wild-type (MMP-3+/+) or MMP-3−/− mice, 70 kD and 65 kD proMMP-2 levels were enhanced by twofold to fourfold, with corresponding increases of 20- to 40-fold for active 61 kD and 58 kD MMP-2, and of 10- to 80-fold for 94 kD proMMP-9. Active MMP-2 species represented approximately one third of the total MMP-2 concentration for both MMP-3+/+ and MMP-3−/− mice. Active 83 kD MMP-9 was not detected in noninjured carotid or femoral arteries, whereas one week after injury its contribution to the total MMP-9 level was 11% to 18% for MMP-3+/+ and MMP-3−/− mice. Immunostaining of arterial sections confirmed enhanced expression of both MMP-2 and MMP-9 after vascular injury. Double immunostaining showed colocalization of MMP-9 with macrophages in the adventitia, whereas MMP-2 was also detected mainly in the adventitia but failed to colocalize with smooth muscle cells. Cell culture experiments confirmed comparable ratios of active versus latent MMP-2 in skin fibroblasts and smooth muscle cells derived from MMP-3+/+ and MMP-3−/− mice. Addition of plasmin(ogen) did not significantly affect activation of proMMP-2. In MMP-3+/+ and MMP-3−/− macrophages, comparable levels of 94 kD proMMP-9 were detected, and plasmin(ogen)-mediated conversion to 83 kD MMP-9 was obtained in both genotypes. These data thus indicate that proMMP-2 activation may occur via a plasmin- and MMP-3–independent mechanism, whereas plasmin can directly activate proMMP-9 via a MMP-3–independent mechanism.
MATRIX METALLOPROTEINASES (MMPs) are involved in the accelerated breakdown of extracellular matrix associated with normal tissue remodeling and with pathological conditions, such as arthritis, tumor invasion, and metastasis,1-4 and also play a role in smooth muscle cell migration.5 MMPs are secreted as zymogens that are extracellularly activated by organomercurial compounds, by several proteinases (including plasmin, trypsin, chymotrypsin, kallikrein, cathepsin G, or neutrophil elastase), by oxygen radicals, or by association with the cell surface.1,4,6 In vitro, plasmin activates proMMP-3 (stromelysin-1), proMMP-9 (gelatinase B), proMMP-10 (stromelysin-2), and proMMP-13 (collagenase-3), but its in vivo role in modulating MMP activity is not clearly established.7-9Several positive feedback mechanisms operate in MMP activation. Thus, MMP-3 and MMP-10 can superactivate procollagenase, generating collagenase with a 5- to 12-fold higher specific activity.8,10 Besides proMMP-1 (interstitial collagenase) MMP-3 can also activate proMMP-9 and, thus, appears to play a key role in activation of the MMP family.11,12 ProMMP-3 has been detected in cultures of medial and intimal smooth muscle cells and in fibroblasts, and MMP-3 mRNA expression was reported in human atherosclerotic plaque, mainly associated with macrophages.13,14 Some controversy exists on the activation mechanisms of proMMP-2 (gelatinase A) and proMMP-9. It was reported that trypsin can activate proMMP-915,16 but is ineffective in activating proMMP-2.17,18 Direct activation of proMMP-9 but not proMMP-2 by plasmin was also reported by some authors,9 whereas others found that plasmin is inefficient in activating both progelatinases.12,15,17-19 In addition, plasminogen activator-dependent pathways have been proposed for the activation of both proMMP-2 and proMMP-9 during cancer invasion and metastases.20 21
Because MMP-3 can activate proMMP-9,11,12 it was hypothesized that plasmin may be involved in proMMP-9 activation indirectly through activation of proMMP-3.12 In the present study, we have evaluated a potential physiological role of active MMP-3 in gelatinase activation by monitoring gelatinase A and B expression and activation in mice deficient in MMP-3.
MATERIALS AND METHODS
Proteins and Reagents
MMP-3–deficient (MMP-3−/−) and wild-type (MMP-3+/+) mice of the same genetic background (B10.RIII) were a kind gift of Dr J. Mudget (Merck Research Lab, Rahway, NJ).22 The mice were rederived by back crossing into a BL6 background until 50% BL6. Homozygosity of offspring was confirmed by genotyping of tail tip DNA using Southern blotting (data not shown). Mice were kept in microisolation cages on a 12-hour day-night cycle and fed regular chow. The animals were anesthetized by intraperitoneal injection of 60 mg/kg Nembutal (Abbott Laboratories, North Chicago, IL), and all experiments were performed in accordance with the guiding principles of the American Physiological Society and the International Society on Thrombosis and Haemostasis.23 Mice were 8 to 14 weeks old with body weight (mean ± standard error of the mean [SEM]) of 27 ± 1.0 g (n = 17) or 21 ± 0.4 g (n = 5) for male or female MMP-3+/+ mice and 31 ± 0.9 g (n = 17) or 25 ± 0.4 g (n = 7) for male or female MMP-3−/−mice.
Vascular Injury Model
Perivascular electric injury to the femoral or carotid artery of mice was performed essentially as described elsewhere.26Briefly, the arteries were exposed by blunt-end dissection and injured by electric current (1.4 V during 2 seconds) at distances of 1 mm over a total length of 2 or 3 mm. The vessel segments (control noninjured or injured) were embedded in Tissue-Tek (Laborimpex, Brussels, Belgium), snap-frozen in precooled 2-methyl butane, and stored at −80°C. Seven-micrometer–thick sections were made throughout the whole artery (about 700 sections per artery) and stained with hematoxylin-eosin or with the appropriate antiserum or were used for fibrin overlay as described below.
From separate experiments, control noninjured arteries and injured femoral or carotid arteries were dissected free of tissue and frozen at −80°C. These arteries were pulverized under liquid nitrogen and incubated for 1 hour at 4°C with 60 μL extraction buffer (10 mmol/L sodium phosphate buffer, pH 7.2, containing 150 mmol/L NaCl, 1% Triton X-100, 0.1% sodium dodecyl sulfate [SDS], 0.5% sodium deoxycholate, and 0.2% sodium azide). After extensive vortexing and centrifugation at 13,000 revolutions per minute for 5 minutes, the supernatants were used for determination of the protein concentration (BCA protein assay; Pierce, Rockford, IL) and equivalent amounts of total protein were applied to zymography on gelatin- or casein-containing gels as described below.
Zymographic Analysis
For zymographic analysis of plasminogen activator activity, arterial extracts were electrophoresed on a 12.5% acrylamide gel cast with 1% nonfat dry milk and 5 μg/mL human plasminogen under nonreducing conditions.27 For zymographic analysis of gelatinase activity, arterial extracts were electrophoresed on a 10% Tris-Glycine gel with 0.1% gelatin (Novex, SanverTECH, Bouchout, Belgium).28 The amount of lysis of the substrate gel (area × intensity) was quantitated using the Quantimed 600 image analysis software (Leica, Cambridge, UK), and expressed in arbitrary units of lysis obtained per mg total protein in the extract.
In situ zymography with 7-μm arterial cryosections was performed by fibrin overlay as described.29 Zymography was performed at 37°C for 1 to 2 hours, without or with addition to the gel of antibodies against murine t-PA or u-PA (final concentration 40 μg/mL). To compare activities between different experiments, data were expressed as a ratio of the lysis observed in injured sections versus noninjured control sections measured on the same overlay. Data are reported as mean ± SEM of four to six experiments (different animals) with, in each experiment, two to four sections analyzed in duplicate.
Histology and Immunocytochemistry
Seven-micrometer–thick arterial sections were stained with hematoxylin-eosin or with the appropriate antiserum as described below. Primary polyclonal antisera used were rabbit antimurine MMP-3 (homemade), rabbit antimurine MMP-9 (homemade), and sheep antihuman MMP-2 (Biodesign, Kennebunk, ME). Primary monoclonal antibodies used were rat antimouse macrophage-specific Mac-3 (clone M3/84; Pharmingen, San Diego, CA), biotinylated mouse antihuman smooth muscle α-actin (clone 1A4; Sigma, St Louis, MO), and biotinylated rat antimurine panleukocyte antigen CD45 (clone 30 F11.1; Pharmingen).
Immunostaining for the MMPs was performed using appropriate peroxidase-labeled secondary antibodies (Dakopatts, Copenhagen, Denmark); immunostaining for Mac-3 was done by using biotinylated rabbit antirat immunoglobulins (Dakopatts) and the Tyramide Signal Amplification kit (Dupont NEN, Brussels, Belgium), whereas for α-actin and CD45 biotinylated secondary antibodies were used in combination with the Vectastain system (ABC Elite kit, Vector Laboratories Inc, Burlingame, CA). Peroxidase activity was developed by incubating sections in 0.05 mol/L Tris-HCl buffer, pH 7.0, containing 0.06% 3,3′-diaminobenzidine and 0.01% H2O2 followed by counterstaining with Harris' hematoxylin. Specificity of the staining was confirmed by omission of the primary antibody or by replacing it with equivalent amounts of isotype-matched nonimmune IgG or serum.
Colocalization of MMP-2 or MMP-9 with smooth muscle cells or macrophages was investigated by using a double immunofluorescence approach by which MMP-stained cells appeared red, α-actin or Mac-3 stained cells green, and double-labeled cells stained yellow.30
Cell counts were performed in a blinded manner on transverse arterial sections using a computer-assisted image analysis system (IP Plus 1.0; CN Road, Zellik, Belgium). Medial and intimal cell nuclei were counted at equally spaced positions across the artery.
Cell Culture Experiments
Mice were injected intraperitoneally with 0.5 mL of a 4% thioglycollate solution,31 and 3 days later peritoneal macrophages were harvested through a catheter after injection of 5 mL of a 5% glucose solution. Macrophages were grown in RPMI containing phorbol 12-myristate 13-acetate (final concentration 10−7 mol/L), 2 mmol/L glutamine, 4.5 g/L glucose, 100 U/mL penicillin, and 0.1 mg/mL streptomycin and washed with serum-free medium (RPMI containing 0.02% lactalbumin hydrolysate), and samples were removed at different time points (0-72 hours).
To obtain smooth muscle cells, the aorta was cut into small fragments (<1 mm3), which were incubated in plates coated with collagen (collagen S, type I, at 30 μg/mL in phosphate-buffered saline) in Dulbecco's modified Eagle's medium (DMEM) containing 1 × nonessential amino acids (NEAA), 10 ng/mL basic fibroblast growth factor, 20% fetal calf serum, 2 mmol/L glutamine, 100 U/mL penicillin, and 0.1 mg/mL streptomycin in a humidified CO2-incubator at 37°C.
To obtain fibroblasts, skin dissected from the abdomen was cut in small pieces and incubated in plates coated with collagen. The cells were grown in DMEM without sodium pyruvate, containing 4.5 g/L glucose, 20% fetal calf serum, 2 mmol/L glutamine, 100 U/mL penicillin, 0.1 mg/mL streptomycin, 1 × NEAA and 10 ng/mL basic fibroblast growth factor. At confluency, the cells were washed with serum-free medium, and samples of the conditioned medium were removed at different time intervals (0-72 hours). In some experiments, plasminogen (final concentration 10 μg/mL) or plasmin (final concentration 2 μg/mL) was added to the serum-free conditioned medium, and samples were collected on aprotinin (final concentration 20 KIU/mL).
For immunoadsorption, serum-free conditioned medium (1-mL samples) was mixed with insolubilized antibodies against murine MMP-3 or MMP-9 (100 μL IgG.Sepharose 4B suspension containing approximately 2 μg IgG/μL) and incubated overnight at 4°C. After centrifugation and extensive washing of the gel, bound protein was eluted with 50 μL Tris, pH 6.8, containing 10% glycerol, 30 mg/mL SDS and 70 μg/mL bromophenol blue.
Extracellular Matrix Degradation by Peritoneal Macrophages
Peritoneal macrophages, stimulated as described above, were plated on3H-proline–labeled matrix from human umbilical vein endothelial cells at a density of 106 cells per well, and at timed intervals (0-48 hours) aliquots of the medium were removed to determine released radiolabel.31
RESULTS
Vascular Injury Model
Histology and immunocytochemistry.
Hematoxylin-eosin staining of arterial sections taken 1 week after injury showed the formation of a small neointima both in MMP-3+/+ and MMP-3−/− mice, similar to what was reported previously in this model.26,29 32 This is illustrated in Fig 1 for MMP-3−/− mice, showing no intima in the control artery (panel a) and a small neointima in the injured artery (panel b). Intimal and medial areas determined at the center of the injury (position 3 of the schematic representation of the injured artery in Fig 1) were 0.0045 ± 0.0009 mm2 and 0.0082 ± 0.0009 mm2 (n = 11) in MMP-3+/+ mice, with corresponding values of 0.0034 ± 0.0006 mm2 and 0.0065 ± 0.0003 mm2 (n = 22) in MMP-3−/− mice (mean ± SEM of n determinations in total, using 4 arteries of MMP-3+/+ and 6 arteries of MMP-3−/− mice), yielding intima/media ratios of 0.63 ± 0.13 and 0.51 ± 0.08 for MMP-3+/+ and MMP-3−/− mice, respectively (P = .41). At the borders of the injury (positions 2 and 4), the intimal and medial areas were 0.0037 ± 0.001 mm2 and 0.011 ± 0.001 mm2 (n = 6) in MMP-3+/+ mice compared with 0.0041 ± 0.0009 mm2 and 0.0094 ± 0.001 mm2 (n = 10) in MMP-3−/− mice, yielding intima/media ratios of 0.36 ± 0.11 and 0.43 ± 0.09, respectively (P = .65). Nuclear cell counts showed a comparable cell population in uninjured (normal) sections as well as at the border and at the center of the injury in the neointima of MMP-3+/+ and MMP-3−/− mice. In the media, cell counts were also comparable in uninjured sections of MMP-3+/+ and MMP-3−/− arteries and somewhat lower (P= .22) at the borders of the injury in MMP-3−/−arteries. In contrast, at the center of the injury the media was virtually depleted of cells in both genotypes (data not shown).
Light microscopic analysis (original magnification ×200) of sections of noninjured control arteries and of sections taken from the center of injured arteries (position 3 in the inset) after 1 week in MMP-3−/− mice. Staining is performed with hematoxylin-eosin (panels a and b) or with antiserum against MMP-2 (panels c and d) or against MMP-9 (panels e and f). The inset shows a longitudinal section through the artery, and the arrows indicate the presumed migration of smooth muscle cells. Positions 1 and 5 correspond to normal sections, positions 2 and 4 to the borders of the injury, and position 3 to the center of the injury (modified from Carmeliet et al26). The arrows and arrowheads indicate the internal and external elastical lamina, respectively.
Light microscopic analysis (original magnification ×200) of sections of noninjured control arteries and of sections taken from the center of injured arteries (position 3 in the inset) after 1 week in MMP-3−/− mice. Staining is performed with hematoxylin-eosin (panels a and b) or with antiserum against MMP-2 (panels c and d) or against MMP-9 (panels e and f). The inset shows a longitudinal section through the artery, and the arrows indicate the presumed migration of smooth muscle cells. Positions 1 and 5 correspond to normal sections, positions 2 and 4 to the borders of the injury, and position 3 to the center of the injury (modified from Carmeliet et al26). The arrows and arrowheads indicate the internal and external elastical lamina, respectively.
The cell population 1 week after injury was heterogeneous as shown by immunostaining for α-actin (smooth muscle cells), CD45 (leukocytes), or Mac-3 (macrophages; Fig 2). In both genotypes, the neointima at the center of the injury contained mainly CD45 and Mac-3 positive cells, but no α-actin positive cells. At the borders of the injury, mainly CD45 positive cells and occasionally macrophages were detected in neointima and media of MMP-3+/+ and MMP-3−/− mice. α-Actin positive cells at the borders of the injury were detected in the media but not in the neointima (data not shown). Mac-3 positive cells were mainly detected in the adventitia, which also shows significant background staining for CD45 (Fig 2). It cannot be excluded that adherent leukocytes contribute to the observed CD45 staining.
Identification of different cell types in the center of the injury (position 3) 1 week after injury in MMP-3+/+(upper panel) or MMP-3−/− (lower panel) mice. Immunostaining is performed with antiserum against α-actin (panels a and d), against CD45 (panels b and e), or against Mac-3 (panels c and f). The arrows and arrowheads indicate the internal and external elastical lamina respectively (original magnification ×200).
Identification of different cell types in the center of the injury (position 3) 1 week after injury in MMP-3+/+(upper panel) or MMP-3−/− (lower panel) mice. Immunostaining is performed with antiserum against α-actin (panels a and d), against CD45 (panels b and e), or against Mac-3 (panels c and f). The arrows and arrowheads indicate the internal and external elastical lamina respectively (original magnification ×200).
Immunostaining for MMP-2 (Fig 1, panels c and d) and for MMP-9 (Fig 1, panels e and f) showed enhanced expression of both gelatinases after vascular injury in MMP-3+/+ and in MMP-3−/− mice. Double immunofluorescence analysis by confocal laser microscopy using cocktails of an MMP-2– or MMP-9–specific polyclonal antibody and a cell-type specific monoclonal antibody (α-actin or Mac-3) showed colocalization of MMP-9 with macrophages, mainly in the adventitia (Fig3). MMP-2 positive staining was also observed mainly in the adventitia and did not colocalize with the few smooth muscle cells that were present (Fig 3). Staining against MMP-3 was weakly positive in the adventitia of injured arteries of MMP-3+/+ mice and was negative in uninjured arteries as well as in injured sections of MMP-3−/− mice (not shown).
Immunostaining and cellular localization of MMP-2 and MMP-9 in arterial sections (position 3) 1 week after electric injury in MMP-3+/+ mice. Single immunostaining was performed for MMP-2 or MMP-9 (appearing red) and for α-actin or Mac-3 (appearing green). Cells in which MMPs and α-actin or Mac-3 are colocalized appear yellow. The elastic membranes are visualized by their autofluorescence. The arrows and arrowheads indicate the internal and external elastical lamina respectively (original magnification ×480).
Immunostaining and cellular localization of MMP-2 and MMP-9 in arterial sections (position 3) 1 week after electric injury in MMP-3+/+ mice. Single immunostaining was performed for MMP-2 or MMP-9 (appearing red) and for α-actin or Mac-3 (appearing green). Cells in which MMPs and α-actin or Mac-3 are colocalized appear yellow. The elastic membranes are visualized by their autofluorescence. The arrows and arrowheads indicate the internal and external elastical lamina respectively (original magnification ×480).
Gelatinase expression.
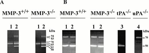
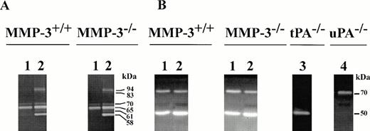
Zymography on gelatin-containing gels showed the presence of two molecular forms of proMMP-2 (Mr 70 or 65 kD) and of active MMP-2 (Mr 61 or 58 kD), as well as proMMP-9 (Mr 94 kD) and active MMP-9 (Mr 83 kD) in extracts of injured arteries from MMP-3+/+ and MMP-3−/− mice (Fig 4A). The identity of both gelatinases was confirmed by Western blotting (not shown).
Zymographic analysis on (A) gelatin- or (B) casein-containing gels of arterial extracts (5 μg total protein) obtained from MMP-3+/+ or MMP-3−/− mice without (lane 1) or 1 week after (lane 2) vascular injury. Lanes 3 and 4 in (B) represent arterial extracts obtained from t-PA−/− or u-PA−/− mice, respectively.
Zymographic analysis on (A) gelatin- or (B) casein-containing gels of arterial extracts (5 μg total protein) obtained from MMP-3+/+ or MMP-3−/− mice without (lane 1) or 1 week after (lane 2) vascular injury. Lanes 3 and 4 in (B) represent arterial extracts obtained from t-PA−/− or u-PA−/− mice, respectively.
Quantitative analysis showed significantly enhanced levels of both latent and active forms of MMP-2 and MMP-9 1 week after injury in MMP-3+/+ and MMP-3−/− mice (Table 1). A 65 kD proMMP-2 was the main MMP-2 species, and 1 week after injury of the carotid or femoral artery in MMP-3+/+ or MMP-3−/− mice its levels were enhanced approximately twofold relative to noninjured control arteries. Similarly, the levels of 70 kD proMMP-2 were twofold enhanced in injured carotid or femoral arteries of MMP-3+/+mice, and threefold to fourfold in MMP-3−/−mice. However, active MMP-2 levels were significantly more enhanced 1 week after injury: 58 kD MMP-2 levels in extracts of carotid or femoral arteries were enhanced by a factor of 29 or 18 in MMP-3+/+mice, with corresponding values of 45 and 29 in MMP-3−/− mice. MMP-2 levels of 61 kD were undetectable in all control arteries and were enhanced 1 week after vascular injury to similar levels in MMP-3+/+ and MMP-3−/− mice.
Gelatinase Levels After Injury of Femoral or Carotid Artery of MMP-3+/+ or MMP-3−/− Mice as Determined With Arterial Extracts on Gelatin Zymography
| . | Carotid Artery . | Femoral Artery . | ||||||
|---|---|---|---|---|---|---|---|---|
| MMP-3+/+ . | MMP-3−/− . | MMP-3+/+ . | MMP-3−/− . | |||||
| Control . | 1 Week . | Control . | 1 Week . | Control . | 1 Week . | Control . | 1 Week . | |
| 70 kD proMMP-2 | 30 ± 4 | 59 ± 4-151 | 21 ± 3 | 80 ± 7-151 | 24 ± 4 | 50 ± 10-150 | 24 ± 2 | 74 ± 12-151 |
| 61 kD MMP-2 | ND | 30 ± 6 | ND | 38 ± 4 | ND | 24 ± 3 | ND | 25 ± 4 |
| 65 kD proMMP-2 | 200 ± 26 | 330 ± 44-150 | 180 ± 14 | 420 ± 48-151 | 180 ± 22 | 320 ± 25-151 | 190 ± 21 | 410 ± 27-151 |
| 58 kD MMP-2 | 5.6 ± 1.6 | 160 ± 23-151 | 5.4 ± 2.1 | 240 ± 13-151 | 8.5 ± 1.2 (3) | 150 ± 31-150 | 5.8 ± 0.82 (3) | 170 ± 13-151 |
| 94 kD proMMP-9 | 8.0 ± 3.3 (1) | 83 ± 13-151 | 1.7 ± 0.96 (1) | 74 ± 12-151 | 1.5 ± 0.17 (3) | 120 ± 52-151 | 3.0 ± 0.80 | 120 ± 42-150 |
| 83 kD MMP-9 | ND | 10 ± 0.8 | ND | 16 ± 5 | ND | 19 ± 10 | ND | 18 ± 9 |
| . | Carotid Artery . | Femoral Artery . | ||||||
|---|---|---|---|---|---|---|---|---|
| MMP-3+/+ . | MMP-3−/− . | MMP-3+/+ . | MMP-3−/− . | |||||
| Control . | 1 Week . | Control . | 1 Week . | Control . | 1 Week . | Control . | 1 Week . | |
| 70 kD proMMP-2 | 30 ± 4 | 59 ± 4-151 | 21 ± 3 | 80 ± 7-151 | 24 ± 4 | 50 ± 10-150 | 24 ± 2 | 74 ± 12-151 |
| 61 kD MMP-2 | ND | 30 ± 6 | ND | 38 ± 4 | ND | 24 ± 3 | ND | 25 ± 4 |
| 65 kD proMMP-2 | 200 ± 26 | 330 ± 44-150 | 180 ± 14 | 420 ± 48-151 | 180 ± 22 | 320 ± 25-151 | 190 ± 21 | 410 ± 27-151 |
| 58 kD MMP-2 | 5.6 ± 1.6 | 160 ± 23-151 | 5.4 ± 2.1 | 240 ± 13-151 | 8.5 ± 1.2 (3) | 150 ± 31-150 | 5.8 ± 0.82 (3) | 170 ± 13-151 |
| 94 kD proMMP-9 | 8.0 ± 3.3 (1) | 83 ± 13-151 | 1.7 ± 0.96 (1) | 74 ± 12-151 | 1.5 ± 0.17 (3) | 120 ± 52-151 | 3.0 ± 0.80 | 120 ± 42-150 |
| 83 kD MMP-9 | ND | 10 ± 0.8 | ND | 16 ± 5 | ND | 19 ± 10 | ND | 18 ± 9 |
Data represent lysis, expressed per mg protein. Numbers in brackets indicate the numbers of arteries with ND levels. Data are mean ± SEM of five experiments.
Abbreviation: ND, not detectable.
P < .05 versus control.
P < .01 versus control.
Total MMP-2 levels (lysis observed with all MMP-2 species) 1 week after injury were comparable in carotid and femoral arteries of both MMP-3+/+ and MMP-3−/− mice. The contribution of active molecular forms of MMP-2 (61 kD plus 58 kD) in the total MMP-2 level was also comparable in carotid and femoral arteries of MMP-3+/+ mice (33% and 32%) and MMP-3−/− mice (36% and 28%).
ProMMP-9 levels 1 week after injury relative to noninjured control arteries were enhanced by more than one order of magnitude in MMP-3+/+ mice (10- or 80-fold in carotid or femoral artery) as well as in MMP-3−/− mice (40-fold in carotid and femoral artery). Active 83 kD MMP-9 was not detectable in any of the control arteries, whereas 1 week after injury comparable levels were detected in MMP-3+/+ and MMP-3−/− mice (Table 1). Again, total MMP-9 levels (latent plus active) 1 week after injury were comparable, and the contribution of active MMP-9 to the total level was relatively constant in carotid and femoral arterial extracts of MMP-3+/+ mice (11% or 13%) and MMP-3−/− mice (18% or 13%).
Plasminogen activator activity.
Zymography on casein-containing gels with extracts of carotid or femoral arteries showed the presence of both t-PA (Mr about 70 kD) and u-PA (Mrabout 50 kD) activity (Fig 4B). Quantitative analysis showed that t-PA activity levels in noninjured carotid or femoral arteries were similar in MMP-3+/+ and MMP-3−/− mice, and did not increase significantly within 1 week after vascular injury (data not shown). u-PA activity levels were also similar in noninjured arteries of MMP-3+/+ and MMP-3−/−mice and increased significantly (P < .01 versus control) in the femoral arteries of MMP-3+/+ and MMP-3−/− mice 1 week after injury. No significant differences were observed between MMP-3+/+ and MMP-3−/− mice (data not shown).
In situ zymography with arterial sections on fibrin overlays showed a comparable fibrinolytic activity in the carotid and femoral arteries of MMP-3+/+ and MMP-3−/− mice. The ratio of the fibrinolytic activity in the injured carotid artery versus control sections taken from corresponding areas of noninjured arteries was (mean ± SEM of n experiments) 1.4 ± 0.26 (n = 8) in MMP-3+/+ mice and 1.6 ± 0.17 (n = 9) in MMP-3−/− mice, with corresponding values for the femoral artery of 2.4 ± 0.46 (n = 8) and 2.7 ± 0.39 (n = 11), respectively. This assay detects primarily t-PA activity as shown by our finding that lysis of the fibrin gel was reduced by ≥90% on addition of anti–t-PA antibodies, but was not affected by addition of anti–u-PA antibodies (data not shown).
Cell Culture Experiments
Skin fibroblasts.
Zymography on gelatin-containing gels of serum-free conditioned medium of fibroblasts derived from MMP-3+/+ or MMP-3−/− mice showed the presence of 94 kD proMMP-9, 70 kD and 65 kD proMMP-2, and 58 kD MMP-2, whereas 61 kD MMP-2 and 83 kD MMP-9 were undetectable (Fig 5A). The contribution of the two differently glycosylated proMMP-2 forms and of active 58 kD MMP-2 to the total MMP-2 level was relatively constant in time and comparable for MMP-3+/+ and MMP-3−/− samples (Table 2). Addition of plasminogen or plasmin to the culture medium did not significantly affect the distribution of active and latent forms of MMP-2 in MMP-3+/+ or MMP-3−/− samples (Fig5A).
(A) Zymographic analysis on gelatin-containing gels of 72-hour samples of serum-free conditioned medium of fibroblasts derived from MMP-3+/+ or MMP-3−/− mice without (lane 1) or with (lane 2) addition of plasmin. (B) Zymography on casein-containing gels in the absence of plasminogen of serum-free conditioned medium of fibroblasts derived from MMP-3+/+(lane 1) or MMP-3−/− (lane 2) mice, and of the eluates of MMP-3+/+ samples without plasminogen (lane 3) or with plasminogen (lane 4) after adsorption with anti–MMP-3 IgG.
(A) Zymographic analysis on gelatin-containing gels of 72-hour samples of serum-free conditioned medium of fibroblasts derived from MMP-3+/+ or MMP-3−/− mice without (lane 1) or with (lane 2) addition of plasmin. (B) Zymography on casein-containing gels in the absence of plasminogen of serum-free conditioned medium of fibroblasts derived from MMP-3+/+(lane 1) or MMP-3−/− (lane 2) mice, and of the eluates of MMP-3+/+ samples without plasminogen (lane 3) or with plasminogen (lane 4) after adsorption with anti–MMP-3 IgG.
Contribution (%) of Different Molecular Forms of MMP-2 to the Total MMP-2 Level in Serum-Free Conditioned Medium of Fibroblasts or Smooth Muscle Cells Derived From MMP-3+/+ or MMP-3−/− Mice
| . | Fibroblasts . | Smooth Muscle Cells . | ||
|---|---|---|---|---|
| MMP-3+/+ . | MMP-3−/− . | MMP-3+/+ . | MMP-3−/− . | |
| 70 kD proMMP-2 | ||||
| 24 h | 17 ± 1 | 25 ± 7 | 16 ± 3 | 28 ± 5 |
| 48 h | 20 ± 3 | 24 ± 7 | 32 ± 1 | 33 ± 5 |
| 72 h | 23 ± 7 | 21 ± 1 | 29 ± 4 | 32 ± 5 |
| 65 kD proMMP-2 | ||||
| 24 h | 45 ± 2 | 60 ± 2* | 83 ± 3 | 67 ± 5 |
| 48 h | 48 ± 5 | 56 ± 4 | 75 ± 10 | 58 ± 6 |
| 72 h | 40 ± 8 | 41 ± 9 | 65 ± 6 | 52 ± 5 |
| 58 kD MMP-2 | ||||
| 24 h | 37 ± 1 | 15 ± 6 | 1 ± 1 | 5 ± 0.1 |
| 48 h | 33 ± 3 | 20 ± 5 | 4 ± 1 | 9 ± 1 |
| 72 h | 37 ± 5 | 38 ± 8 | 6 ± 2 | 16 ± 3 |
| . | Fibroblasts . | Smooth Muscle Cells . | ||
|---|---|---|---|---|
| MMP-3+/+ . | MMP-3−/− . | MMP-3+/+ . | MMP-3−/− . | |
| 70 kD proMMP-2 | ||||
| 24 h | 17 ± 1 | 25 ± 7 | 16 ± 3 | 28 ± 5 |
| 48 h | 20 ± 3 | 24 ± 7 | 32 ± 1 | 33 ± 5 |
| 72 h | 23 ± 7 | 21 ± 1 | 29 ± 4 | 32 ± 5 |
| 65 kD proMMP-2 | ||||
| 24 h | 45 ± 2 | 60 ± 2* | 83 ± 3 | 67 ± 5 |
| 48 h | 48 ± 5 | 56 ± 4 | 75 ± 10 | 58 ± 6 |
| 72 h | 40 ± 8 | 41 ± 9 | 65 ± 6 | 52 ± 5 |
| 58 kD MMP-2 | ||||
| 24 h | 37 ± 1 | 15 ± 6 | 1 ± 1 | 5 ± 0.1 |
| 48 h | 33 ± 3 | 20 ± 5 | 4 ± 1 | 9 ± 1 |
| 72 h | 37 ± 5 | 38 ± 8 | 6 ± 2 | 16 ± 3 |
Data were obtained by zymography on gelatin-containing gels and are mean ± SEM of 3 experiments.
P < .01 versus MMP-3+/+.
The levels of proMMP-9 in MMP-3+/+ samples were comparable with those in the MMP-3−/− samples (not shown). ProMMP-3 levels in MMP-3+/+ samples corresponded to 88 ± 27, 130 ± 26, or 180 ± 52 arbitrary units per 106 cells/mL at 24, 48, or 72 hours. The identity of MMP-3 was confirmed by immunoadsorption (Fig 5B). Zymography on casein-containing gels cast in the absence of plasminogen after immunoadsorption with anti–MMP-3 IgG indeed showed the presence of 56 kD proMMP-3 in MMP-3+/+ samples collected without plasminogen and of both 56 kD proMMP-3 and a slightly lowerMr (active) MMP-3 species in samples with plasminogen (Fig 5B, lane 4).
Vascular smooth muscle cells.
Zymography on gelatin-containing gels of serum-free conditioned medium of smooth muscle cells derived from MMP-3+/+ or MMP-3−/− mice showed the presence of 70 kD and 65 kD proMMP-2 and 58 kD MMP-2. A 61 kD MMP-2 and 83 kD MMP-9 were undetectable in all samples, whereas proMMP-9 was detected only in MMP-3−/− mice and proMMP-3 only in MMP-3+/+ mice (not shown).
The contribution of the 70 kD and 65 kD proMMP-2 forms to the total MMP-2 level at different time points was relatively constant and comparable for MMP-3+/+ and MMP-3−/− samples. Active 58 kD MMP-2 levels were somewhat but not significantly (P > .01) higher in MMP-3−/− compared with MMP-3+/+samples (Table 2). Addition of plasmin(ogen) to the culture medium did not significantly affect the distribution of active and latent forms of MMP-2 (not shown).
ProMMP-9 was detected in low concentration in the MMP-3−/− samples (9 ± 2, 47 ± 6, or 160 ± 37 arbitrary units per 106 cells/mL at 24, 48, or 72 hours) but not in any MMP-3+/+ sample.
ProMMP-3 was detected only in MMP-3+/+ samples (9 ± 2, 37 ± 4, or 130 ± 32 arbitrary units per 106cells/mL at 24, 48, or 72 hours). The identity of MMP-3 was confirmed by immunoadsorption of conditioned medium with a rabbit polyclonal antiserum raised against murine MMP-3 as described above. Furthermore, zymography on casein-containing gels in the absence of plasminogen, after immunoadsorption of MMP-3+/+ samples with anti–MMP-3 IgG showed the presence of both 56 kD proMMP-3 and a slightly lowerMr species similarly as observed with fibroblasts (not shown).
Macrophages.
Zymography on gelatin-containing gels of serum-free conditioned medium of peritoneal macrophages derived from MMP-3+/+ or MMP-3−/− mice showed the presence only of proMMP-9 in comparable amounts in MMP-3+/+ and MMP-3−/− samples. Addition of plasminogen to the culture medium resulted in significant conversion of 94 kD proMMP-9 to 83 kD MMP-9 as well in MMP-3+/+ as in MMP-3−/− samples, as confirmed by gelatin zymography after immunoadsorption with anti–MMP-9 IgG (Fig 6). In addition, an MMP-9 species withMr about 60 kD was generated (Fig 6, lane 3). Immunoadsorption with anti–MMP-3 IgG and casein zymography in the absence of plasminogen confirmed that plasmin-mediated conversion of 56 kD proMMP-3 to a lower Mr (active) MMP-3 had occurred in the MMP-3+/+ samples (not shown).
Zymographic analysis on gelatin-containing gels of 72-hour samples of serum-free conditioned medium of macrophages from MMP-3+/+ or MMP-3−/− mice obtained without (lane 1) or with (lane 2) plasminogen and of the eluates of plasminogen-containing samples after adsorption with anti–MMP-9 IgG (lane 3).
Zymographic analysis on gelatin-containing gels of 72-hour samples of serum-free conditioned medium of macrophages from MMP-3+/+ or MMP-3−/− mice obtained without (lane 1) or with (lane 2) plasminogen and of the eluates of plasminogen-containing samples after adsorption with anti–MMP-9 IgG (lane 3).
Aorta Segments
Zymography of arterial extracts on gelatin-containing gels showed the presence of latent and active forms of MMP-2 and of latent MMP-9. The levels of the different MMP-2 species and of 94 kD proMMP-9 were comparable in MMP-3+/+ and MMP-3−/−samples, whereas 83 kD MMP-9 could not be clearly identified, possibly because of the low levels of total MMP-9 (data not shown). Immunostaining for MMP-2 or MMP-9 confirmed comparable expression of both gelatinases in aortas of MMP-3+/+ and MMP-3−/− mice.
Extracellular Matrix Degradation by Peritoneal Macrophages
Invasion of macrophages into the peritoneal cavity measured 3 days after injection of thioglycollate was lower in MMP-3−/− mice (5.5 ± 0.66, n = 21) than in MMP-3+/+ mice (8.5 ± 0.94, n = 16; P = .011).
Lysis of a 3H-proline–labeled subendothelial matrix by stimulated macrophages from both MMP-3+/+ and MMP-3−/− mice was significantly higher in the presence than in the absence of plasminogen, and the time course of lysis was comparable for MMP-3+/+ and MMP-3−/− macrophages (data not shown).
DISCUSSION
The gelatinase (type IV collagenases) class of human matrix metalloproteinases comprises a 72 kD molecule (gelatinase A or MMP-2) and a 92 kD species (gelatinase B or MMP-9); both MMPs degrade denatured forms of collagen (gelatin) as well as several types of native collagens. Gelatinases have been shown to be associated with many connective tissue cells and with monocytes/macrophages.5,9 Both gelatinases are secreted in a latent form, and activation of proMMP-2 and proMMP-9 appears to occur via different mechanisms. Serine proteinases such as trypsin and plasmin were shown to activate proMMP-9 but not proMMP-2.9,15-18 However, some investigators reported that purified proMMP-9 is not efficiently activated by plasmin.12 Recently, it was shown that membrane type-1 MMP converts 72 kD proMMP-2 to an intermediate 64 kD species, which can be activated by plasmin after conversion to a 62 kD molecule.33
Stromelysin-1 (MMP-3), which can be generated from proMMP-3 by the action of plasmin,9 activates proMMP-99,11,12but not proMMP-2.9 Okada et al12 reported that MMP-3 converts 92 kD proMMP-9 to an active species of 64 kD that lacks both NH2- and COOH-terminal peptides and can cleave native collagens including the α2 chain of type I collagen and collagen types III, IV, and V. Ogata et al,11 on the other hand, found that MMP-3 activates proMMP-9 by sequential cleavage at two sites in the NH2-terminal region yielding an inactive intermediate species of 86 kD and a fully active form of 82 kD. Previously, an intermediate 83 kD species of MMP-9 was described as a fully active form,21,34,35 possibly because the further conversion was inhibited by TIMP-1 copurified with proMMP-9.12,15 Taken together, these findings may indicate that plasmin does not directly activate proMMP-9 but may, nevertheless, be indirectly involved in its activation through activation of proMMP-3.12 Thus, MMP-3 may play a key role in the activation of proMMP-9. In the present study, we have evaluated a potential physiological role of active MMP-3 (plasmin dependent or independent) in gelatinase activation with the use of mice that are genetically deficient in MMP-3.22
Enhanced expression of latent and active forms of MMP-2 and MMP-9 was previously reported in vascular wall cells of balloon-injured rat carotid arteries36 and in femoral and carotid arteries of mice after perivascular electric injury.37 Therefore, we have applied a vascular injury model to MMP-3+/+ and MMP-3−/− mice to monitor the ratios of active to latent gelatinases. In this model, 1 week after injury the media in the center of the injury is virtually depleted of smooth muscle cells, and a small neointima is formed at the borders of the injury associated with migration of smooth muscle cells from the borders into the center of the injury.26 One week after vascular injury, neointima formation and cell accumulation in the media and intima was very similar in MMP-3+/+ and MMP-3−/−mice. Immunostaining of arterial sections showed significantly enhanced expression of MMP-2 and MMP-9 in MMP-3+/+ as well as in MMP-3−/− mice. Double immunostaining showed colocalization of MMP-9 with macrophages mainly in the adventitia, whereas MMP-2 was also detected mainly in the adventitia but failed to colocalize with smooth muscle cells. Possibly MMP-2 is secreted by fibroblasts or infiltrating inflammatory cells. However, it should be kept in mind that at 1 week after injury proliferating/migrating smooth muscle cells do not stain very well for α-actin.26
Quantitative analysis of the different gelatinase species in arterial extracts showed that the contribution of active MMP-2 to the total MMP-2 levels was very similar before and after injury for MMP-3+/+ and MMP-3−/− mice, indicating that MMP-2 expression and activation occurs independently of MMP-3. Active 83 kD MMP-9 was not detectable in control uninjured femoral or carotid arteries but was present at 1 week after injury in comparable amounts in MMP-3+/+ and MMP-3−/− arteries, indicating that activation of 94 kD proMMP-9 can occur in the absence of MMP-3. Analysis of plasminogen activator activity (t-PA and u-PA mediated) in arterial extracts did not show differences in plasminogen activating potential between both genotypes.
These studies in the vascular injury model were complemented with cell culture experiments. The contribution of active MMP-2 to the total MMP-2 level in conditioned medium of fibroblasts or smooth muscle cells was comparable for MMP-3+/+ and MMP-3−/− mice and was not significantly affected by addition of plasmin(ogen). Addition of plasmin(ogen) to the culture medium of macrophages resulted in comparable conversion of 94 kD proMMP-9 to 83 kD MMP-9 in MMP-3+/+ and MMP-3−/− samples. It was shown previously that u-PA–mediated plasmin activates proMMP-9 (and also proMMP-3, proMMP-12, and proMMP-13), contributing to media destruction and aneurysm formation during atherosclerosis.38
Taken together, these data, obtained in an in vivo model as well as in cell culture experiments, do not show impaired proMMP-9 activation in the absence of MMP-3. Generation of active MMP-9 in contrast was most evident in the presence of plasmin(ogen). ProMMP-9 activation, thus, appears to be possible via plasmin-dependent and MMP-3–independent mechanisms. The hypothesis that active MMP-3 is required for activation of proMMP-9, and that the effect of plasmin on activation of proMMP-9 is mediated via activation of proMMP-3 to active MMP-3, thus, is contradicted by our finding that plasmin can activate proMMP-9 also in the absence of MMP-3 as schematically illustrated below.
However, we have previously shown that active MMP-9 can be detected in plasminogen-deficient fibroblasts,39 possibly as a result of activation of proMMP-9 by MMP-3 or other active MMPs.
The data obtained in this study with the use of MMP-3−/− mice thus do not exclude direct activation of proMMP-9 by MMP-3 but indicate that MMP-3 or other MMPs that critically depend on MMP-3 for their activation do not play a physiological role in activation of proMMP-9.
ACKNOWLEDGMENT
We are grateful to Dr J. Mudget (Merck Research Laboratories, Rahway, NJ) for kindly supplying us with breeding pairs of wild-type and MMP-3–deficient mice and to Dr G. Murphy (Strangeways Research Laboratory, Cambridge, UK) for murine MMP-3 and MMP-9. Double immunostainings were kindly performed by Dr F. Lupu (Thrombosis Research Institute, London, UK). We are grateful to Dr P. Carmeliet and Dr L. Moons (Center for Transgene Technology and Gene Therapy, Leuven, Belgium) for helpful discussions. Skilful technical assistance by A. Dewulf, L. Frederix, G. Lemmens, I. Vanlinthout, and M. Verstreken is gratefully acknowledged.
Supported by grants from the Flemish Fund for Scientific Research (FWO, contract G.0293.98) and from the IUAP (contract P4/34).
Address reprint requests to H.R. Lijnen, PhD, Center for Molecular and Vascular Biology, KU Leuven, Campus Gasthuisberg, O & N, Herestraat 49, B-3000 Leuven, Belgium.
The publication costs of this article were defrayed in part by page charge payment. This article must therefore be hereby marked “advertisement” in accordance with 18 U.S.C. section 1734 solely to indicate this fact.







This feature is available to Subscribers Only
Sign In or Create an Account Close Modal