Depletion of guanine nucleotide pools after inhibition of inosine monophosphate dehydrogenase (IMPDH) potently inhibits DNA synthesis by arresting cells in G1 and has been shown to induce the differentiation of cultured myeloid and erythroid cell lines, as well as chronic granulocytic leukemic cells after blast transformation. Inhibitors of IMPDH are also highly effective as immunosuppressive agents. The mechanism underlying these pleiotropic effects of depletion of guanine nucleotides is unknown. We have examined the effects of mycophenolic acid (MPA), a potent IMPDH inhibitor, on the cell cycle progression of activated normal human T lymphocytes. MPA treatment resulted in the inhibition of pRb phosphorylation and cell entry into S phase. The expression of cyclin D3, a major component of the cyclin-dependent kinase (CDK) activity required for pRb phosphorylation, was completely abrogated by MPA treatment of T cells activated by interleukin-2 (IL-2) and leucoagglutinin (PHA-L), whereas the expression of cyclin D2, CDK6, and CDK4 was more mildly attenuated. The direct kinase activity of a complex immunoprecipitated with anti-CDK6 antibody was also inhibited. In addition, MPA prevented the IL-2–induced elimination of p27Kip1, a CDK inhibitor, and resulted in the retention of high levels of p27Kip1 in IL-2/PHA-L–treated T cells bound to CDK2. These results indicate that inhibition of the de novo synthesis of guanine nucleotides blocks the transition of normal peripheral blood T lymphocytes from G0 to S phase in early- to mid-G1 and that this cell cycle arrest results from inhibition of the induction of cyclin D/CDK6 kinase and the elimination of p27Kip1 inhibitory activity.
INOSINE-5'-MONOPHOSPHATE dehydrogenase (IMPDH; EC 1.1.1.205) is a rate-limiting enzyme required for the de novo synthesis of guanine ribo- and 2'-deoxyribonucleotides. This enzyme has been shown to have higher activity in proliferating than in quiescent cells1,2 and inhibitors of IMPDH are used as chemotherapeutic and, more recently, as highly effective immunosuppressive agents.3-6 Inhibition of IMPDH activity has also been shown to induce the differentiation of cultured myeloid and erythroid cell lines,7-9 and preliminary studies have indicated that inhibition of IMPDH activity can lead to the differentiation of blast cells in patients with chronic myelocytic leukemia (CML) in blast crisis.10,11 However, the mechanism whereby depletion of guanine nucleotides by IMPDH inhibitors limits cell proliferation and/or induces differentiation is unknown. Studies with mizoribine, an IMPDH inhibitor and clinically effective immunosuppressive agent,12 have shown that depletion of guanine nucleotides in T lymphocytes inhibits the entry of these cells on activation into the S phase of the cell cycle without inhibiting early G1 events such as expression of c-Myc, c-Myb, interleukin-2 (IL-2), or the IL-2 receptor.13 These results imply that guanine nucleotide depletion may have direct consequences on cell cycle progression in G1 that affect the ability of cells to commit to cell division.
The objective of the present study is to elucidate the mechanism(s) by which guanine nucleotide pool depletion triggers cell-cycle arrest at or before the point of initiation of DNA synthesis. The control of cell-cycle progression is finely ordered and regulated through a series of events that function in part to prevent cells with inadequate metabolites for replication from entering S phase.14-16 A major component of this control is the phosphorylation status of the Rb protein, which in turn is dependent on the activities of a series of cyclin-dependent kinases (CDKs). Phosphorylation of pRb by CDK4/6 in association with the D cyclins and by CDK2 in association with cyclin E results in release of the E2F-family of transcription factors and the increased expression of genes encoding enzymes required for DNA synthesis.15,17-21 The cell cycle is also negatively regulated by a series of cyclin-dependent kinase inhibitors (CKIs), which fall into two classes: the INK4 family (p15, p16, p18, and p19) and the p21 family (p21Waf1, p27Kip1, p57Kip2).22-24 One of the roles of these inhibitors is the tight regulation of the cyclin D/CDK complex in G1 and it is only when the level of cyclin D/CDK exceeds the inhibitory threshold that the kinase activity is measurable and cells progress through the restriction point.20 23
To elucidate the mechanisms underlying cell-cycle arrest in response to depletion of guanine nucleotides in nontransformed cells, we have examined the effect of the IMPDH inhibitor mycophenolic acid (MPA) on cell-cycle progression in activated normal human T lymphocytes. It was our goal to determine whether depletion of this important metabolic pool leads to a specific effect on pRb phosphorylation and whether such an effect might be mediated by alterations in CDK activities and/or CKI expression.
MATERIALS AND METHODS
Reagents.
RPMI 1640 tissue culture medium, penicillin, streptomycin, fetal bovine serum (FBS), and interleukin-2 (IL-2) were purchased from Gibco BRL (Grand Island, NY). Leucoagglutinin (PHA-L), MPA, 1-β-D-arabinofuranosylcytidine (ara-C), hydroxyurea, aphidicolin, 5-fluorouracil (5-FU), and propidium iodide were purchased from Sigma (St Louis, MO) and 8-aminoguanosine from Calbiochem (La Jolla, CA).
Isolation of peripheral blood T lymphocytes.
Buffy coats from normal donors were obtained from the American Red Cross (Charlotte, NC) and the mononuclear cells were isolated by density-gradient centrifugation using Histopaque 1077 (Sigma). Cells at the interface were removed, washed with phosphate-buffered saline (PBS), and resuspended in RPMI 1640 medium containing 10% heat-inactivated FBS, 100 U/mL of penicillin, and 100 μg/mL of streptomycin. Monocytes were depleted by culture dish adherence. For metabolic labeling with [35 S]methionine, cells were washed once with prewarmed PBS, and resuspended in labeling medium (methionine-cysteine-free Dulbecco's modified Eagles medium [ICN, Costa Mesa, CA]) supplemented with 10% dialyzed FBS (Gibco). After 30 minutes of incubation with the labeling medium, [35S]methionine (ICN) was added to the medium (100 to 125 μCi/mL) and the incubation continued for 4 hours before lysis.
Cell culture.
Cells were cultured at a density of 2.5 × 106/mL and were stimulated by adding 10 U/mL of IL-2 and 5 μg/mL of PHA-L. Incorporation of [3H]thymidine (Amersham, Arlington Heights, IL) into DNA in resting and activated cells was determined as a measure of proliferation. Cells were collected by centrifugation at various times after treatment with 1 μmol/L MPA, 50 μmol/L guanosine and 100 μmol/L 8-aminoguanosine, 250 μmol/L hydroxyurea, 10 μmol/L ara-C or 1 μg/mL aphidicolin.
Cell-cycle analysis.
For flow-cytometric analysis (FACS) of DNA content, 5 × 106 cells were suspended in 5 mL of cold 70% ethanol and stored at −20°C until FACS analysis. Cells were spun down, rinsed once with 2% bovine serum albumin (BSA) in PBS, and resuspended in 0.5 mL of PBS. The day before analysis, 50 μg of propidium iodide and 100 μg of RNase were added to each sample. DNA fluorescence was measured by FACS using a FACScan flow (Becton-Dickinson Immunocytometry, Mountain View, CA) and percentages of cells within the G1, S, and G2/M phases of the cell cycle were determined by the ModFit Cell-Cycle Analysis program (Verity Software, Topsham, ME).
Immunoblots.
T lymphocytes were washed with ice-cold PBS and collected in microcentrifuge tubes for lysis. The lysis buffer contained 50 mmol/L Tris-HCl pH 7.5, 150 mmol/L NaCl, 0.5% NP-40, 1 mmol/L Na3VO3, 1 mmol/L dithiolthreitol (DTT), 50 mmol/L NaF, 1 mmol/L phenylmethylsulfonyl fluoride (PMSF), 25 μg/mL leupeptin, 1 mmol/L benzamidine, 10 μg/mL trypsin inhibitor, and, for the pRb immunoblot, 10 nmol/L okadaic acid. After centrifugation at 15,000g for 10 minutes, the protein content in the supernatant was assayed by the Bradford method using Coomassie dye (Biorad) and BSA as standard. Equal amounts of protein were separated on a sodium dodecyl sulfate-polyacrylamide gel electrophoresis (SDS-PAGE) [7.5% for pRb, 15% for p27Kip1, and 12.5% for all other separations] and transferred to polyvinylidene difluoride (PVDF) membranes (Immobilon, Bedford, MA). The membrane was blocked with 5% nonfat milk in 0.1% Tween 20 in TBS (TBST) and incubated overnight with primary antibody. Primary mouse monoclonal antibodies against human pRb and p53 (Pharmagen, San Diego, CA) were used at 1 μg/mL in blocking solution. All other antibodies were rabbit polyclonal antisera as previously described.25 26Membranes were then washed five times with TBST (0.05% to 0.2% Tween) and the appropriate secondary antibody (1:2,000 to 1:10,000 dilution of either horseradish peroxidase-linked sheep antimouse immunoglobulin or horseradish peroxidase-linked donkey antirabbit immunoglobulin [Amersham]). Detections were performed using the ECL chemiluminescence system (Amersham).
Immnunoprecipitation.
Cells were collected, washed, and lysed as in the immunoblot method. After protein determination, identical amounts of protein from the lysates were immunoprecipitated with the corresponding antibody. For peptide competition, 1 μg of synthetic peptide was preincubated with 1 μL of specific antibody (2 μg of peptide were used with affinity purified antibody) before immunoprecipitation. Protein A agarose (Pierce, Rockford, IL or Gibco) was then added and immunoprecipitates were washed three to four times with lysis buffer, resuspended in sodium dodecyl sulfate (SDS) sample buffer, and separated on SDS-polyacrylamide gels. For [35S]methionine-labeled extracts, total cell lysates from identical numbers of cells were immunoprecipitated and polyacrylamide gels were enhanced with Enhancer (Dupont, Newtown, CT) before exposure to radiograph films at −70°C.
Cyclin-dependent kinase assay.
The procedure for the CDK kinase assay was performed as described.26 Samples were immunoprecipitated for 2 hours as described above. For CDK6 kinase activity, affinity-purified antibodies were used. After addition of protein A agarose, beads were washed twice with cold (4°C) lysis buffer and twice with cold kinase buffer (50 mmol/L HEPES, pH 7, 10 mmol/L MgCl2 , 5 mmol/L MnCl2, and 1 mmol/L DTT). For the last wash, 5 μmol/L adenosine triphosphate (ATP) was added. Reactions were initiated by adding substrate protein (histone H1 or GST-Rb) and 5 μCi of [γ-32P]ATP (Amersham, 3000 Ci/mmol) in a final volume of 30 μL. Samples were incubated for 30 minutes at 30°C. The phosphorylated proteins were then electrophoresed on SDS-polyacrylamide gels and the gels stained with Coomassie blue, dried, and exposed to radiograph films at −70°C.
RESULTS
Mycophenolic acid (MPA) induces a G1 arrest in activated T lymphocytes.
To determine the effect of the highly specific IMPDH inhibitor MPA on cell-cycle progression, flow-cytometry analysis of stimulated T lymphocytes was performed in the absence or presence of 1 μmol/L drug. Stimulation of human T lymphocytes with IL-2 and PHA-L for 48 hours results in the cell-cycle distribution shown in Fig 1B with 64% of the cells in G1 and 29% in S phase. [H3]Thymidine incorporation data are consistent with these results, showing DNA synthesis after 30 hours of stimulation with IL-2 and PHA-L (data not shown). Treatment with 1 μmol/L MPA arrested cell-cycle progression and resulted in the accumulation of 99% of the cells in G1 (Fig 1C). The addition of guanosine and 8-aminoguanosine to the cells treated with MPA, at concentrations previously shown to replete guanine nucleotide pools via the salvage pathway,27 prevented the G0/G1 block and allowed the induction of DNA synthesis as judged both by FACS analysis (Fig 1D) and by [H3]thymidine incorporation studies (data not shown). Of interest, however, is the observation that these cells remained in S phase without entry into G2/M for up to 72 hours.
FACS analysis of the effects of MPA on cell cycle progression in stimulated human T lymphocytes: (A) Resting T lymphocytes; (B) T lymphocytes stimulated with IL-2/PHA-L for 48 hours; (C) T lymphocytes stimulated with IL-2/PHA-L and cocultured with 1 μmol/L of MPA; and (D) T lymphocytes stimulated with IL-2/PHA-L and cocultured with 1 μmol/L of MPA, 50 μmol/L of guanosine and 100 μmol/L of 8-aminoguanosine under conditions previously shown to increase guanine nucleotide pools.13 Cells were analyzed by FACS for DNA content and cell-cycle distribution, as outlined in the Materials and Methods section.
FACS analysis of the effects of MPA on cell cycle progression in stimulated human T lymphocytes: (A) Resting T lymphocytes; (B) T lymphocytes stimulated with IL-2/PHA-L for 48 hours; (C) T lymphocytes stimulated with IL-2/PHA-L and cocultured with 1 μmol/L of MPA; and (D) T lymphocytes stimulated with IL-2/PHA-L and cocultured with 1 μmol/L of MPA, 50 μmol/L of guanosine and 100 μmol/L of 8-aminoguanosine under conditions previously shown to increase guanine nucleotide pools.13 Cells were analyzed by FACS for DNA content and cell-cycle distribution, as outlined in the Materials and Methods section.
Inhibition of pRb phosphorylation by MPA.
Figure 2 shows the effects of stimulation of peripheral blood T lymphocytes with IL-2 and PHA-L on the phosphorylation status of pRb. Stimulation for 24 hours led to several hyperphosphorylated forms of pRb, as evidenced by multiple bands on the immunoblot (Fig 2, lane 2). The presence of 1 μmol/L MPA (Fig 2, lane 3) prevented the phosphorylation of pRb, showing that MPA arrests the cell cycle by inhibiting the activity of the kinases responsible for the pRb phosphorylation before the onset of DNA synthesis. The addition of guanosine and 8-aminoguanosine prevented the effect of MPA on pRb phosphorylation (Fig 2, lane 4). Ara-C slightly inhibited the phosphorylation of pRb, whereas hydroxyurea and aphidicolin, known inhibitors of DNA synthesis, did not inhibit Rb phosphorylation ( Fig2, lanes 5 to 7).
Effect of MPA on pRb phosphorylation. Immunoblot analysis of pRb in resting peripheral blood T lymphocytes (lane 1), T lymphocytes stimulated with IL-2/PHA-L alone (lane 2) or in combination with 1 μmol/L MPA (lane 3), 1 μmol/L MPA plus 50 μmol/L guanosine and 100 μmol/L 8-aminoguanosine (lane 4), 250 μmol/L hydroxyurea (lane 5), 10 μmol/L ara-C (lane 6), and 1 μg/mL aphidicolin (lane 7). Cells were harvested after 24 hours of treatment and drugs were added at time 0.
Effect of MPA on pRb phosphorylation. Immunoblot analysis of pRb in resting peripheral blood T lymphocytes (lane 1), T lymphocytes stimulated with IL-2/PHA-L alone (lane 2) or in combination with 1 μmol/L MPA (lane 3), 1 μmol/L MPA plus 50 μmol/L guanosine and 100 μmol/L 8-aminoguanosine (lane 4), 250 μmol/L hydroxyurea (lane 5), 10 μmol/L ara-C (lane 6), and 1 μg/mL aphidicolin (lane 7). Cells were harvested after 24 hours of treatment and drugs were added at time 0.
Inhibition of CDK2- and CDC2-associated kinase activities by MPA.
Because the activation of CDK2 by cyclin E, and eventually by cyclin A, is essential for the G1/S transition,28 we performed in vitro enzymatic assays of immunoprecipitated CDK2 and CDC2 using histone H1 as a substrate. As shown in Fig3, CDK2 activity was detected at a low level in resting cells, most likely due to some degree of intrinsic activation. CDK2 and CDC2 kinases were both highly active after 48 hours of stimulation with IL-2 and PHA-L in control cells (lanes 3 and 10). Treatment with MPA resulted in complete inhibition of CDK2 and CDC2 activities at these time points (lanes 6 and 13).
Inhibition of CDK2- and CDC2-associated kinase activities by MPA. Immunoprecipitations were performed using lysates from human T lymphocytes before and after IL-2/PHA-L stimulation and anti-CDK2 (lanes 1 to 7) or anti-CDC2 (lanes 8 to 14) antibodies. Competitive peptides were added to the 48-hour samples to control for the specificity of the assay. The immune complexes were incubated in kinase buffer containing [γ-32P]ATP and histone H1 for 30 minutes, separated on a SDS-PAGE and exposed to radiograph film, as outlined in the Materials and Methods section.
Inhibition of CDK2- and CDC2-associated kinase activities by MPA. Immunoprecipitations were performed using lysates from human T lymphocytes before and after IL-2/PHA-L stimulation and anti-CDK2 (lanes 1 to 7) or anti-CDC2 (lanes 8 to 14) antibodies. Competitive peptides were added to the 48-hour samples to control for the specificity of the assay. The immune complexes were incubated in kinase buffer containing [γ-32P]ATP and histone H1 for 30 minutes, separated on a SDS-PAGE and exposed to radiograph film, as outlined in the Materials and Methods section.
Effects of MPA on p21Waf1, p27Kip1, and p53 expression.
p21Waf1 is a CKI that can bind to and inhibit multiple cyclin/CDK complexes, including CDK2.29 30 To determine whether p21Waf1 mediated the loss of CDK2 activity, protein levels were determined by immunoprecipitation of35S-labeled cell lysates using an antibody against p21Waf1 and analysis by SDS-PAGE. As shown in Fig 4A, 24 hours of treatment with 1 μmol/L MPA does not induce p21Waf1 (lanes 3 to 4), in contrast to the strong induction with 5-FU (lane 7) and ara-C (lane 9). Both 5-FU and ara-C also result in coimmunoprecipitation of CDK6, as determined by its migration on direct Western blot analysis, with p21Waf1 that is not seen in the control lanes (lanes 8 and 10). After 42 hours of stimulation (Fig 4B), the presence of MPA did result in p21Waf1 expression (Fig 4B, lane 3) and low levels of CDK6. Because pRb phosphorylation was completely inhibited at 24 hours, however, we interpret these results to be a consequence rather than a cause of inhibition of cell cycle progression.
Immunoprecipitation analysis of [35S]methionine-labeled lysates using anti-p21Waf1 antibody. [35S]methionine-labeled lysates of T lymphocytes stimulated for 24 hours (A) and 42 hours (B) were immunoprecipitated with anti-p21Waf1 antibody (lanes 1, 3, 5, 7, and 9) or with preimmune serum (lanes 2, 4, 6, 8, and 10). Cells were treated with the drugs indicated from time 0 (1 μmol/L MPA, 50 μmol/L guanosine, 100 μmol/L 8-aminoguanosine, 25 μg/mL 5-FU, 10 μmol/L ara-C). The mobility of protein molecular weight standards p21Waf1 and CDK6 are indicated.
Immunoprecipitation analysis of [35S]methionine-labeled lysates using anti-p21Waf1 antibody. [35S]methionine-labeled lysates of T lymphocytes stimulated for 24 hours (A) and 42 hours (B) were immunoprecipitated with anti-p21Waf1 antibody (lanes 1, 3, 5, 7, and 9) or with preimmune serum (lanes 2, 4, 6, 8, and 10). Cells were treated with the drugs indicated from time 0 (1 μmol/L MPA, 50 μmol/L guanosine, 100 μmol/L 8-aminoguanosine, 25 μg/mL 5-FU, 10 μmol/L ara-C). The mobility of protein molecular weight standards p21Waf1 and CDK6 are indicated.
Because the induction of p53 has been shown to induce p21Waf1 expression,30-32 Western blot analysis of p53 was performed under similar conditions (Fig 5). MPA treatment resulted in a very low level of p53 expression at 24 hours (lane 3) whereas ara-C treatment (lane 6) resulted in strongly increased p53 expression. Ara-C treatment has previously been shown to increase p53 levels33,34 which increased p21Waf1transcription.31 In contrast, direct inhibitors of DNA synthesis such as hydroxyurea (lane 5) and aphidicolin (lane 7) did not alter p53 expression.
Effect of MPA on p53 expression. p53 immunoblot analysis of isolated peripheral blood T lymphocytes in the resting state (lane 1), or after stimulation with IL-2/PHA-L alone (lane 2) or in combination with 1 μmol/L MPA (lane 3), 1 μmol/L MPA, 50 μmol/L guanosine and 100 μmol/L 8-aminoguanosine (lane 4), 250 μmol/L hydroxyurea (lane 5), 10 μmol/L ara-C (lane 6), and 1 μg/mL aphidicolin (lane 7). Cells were harvested after 24 hours of treatment.
Effect of MPA on p53 expression. p53 immunoblot analysis of isolated peripheral blood T lymphocytes in the resting state (lane 1), or after stimulation with IL-2/PHA-L alone (lane 2) or in combination with 1 μmol/L MPA (lane 3), 1 μmol/L MPA, 50 μmol/L guanosine and 100 μmol/L 8-aminoguanosine (lane 4), 250 μmol/L hydroxyurea (lane 5), 10 μmol/L ara-C (lane 6), and 1 μg/mL aphidicolin (lane 7). Cells were harvested after 24 hours of treatment.
The CKI p27Kip1 has also been implicated in the control of the cell-cycle progression in T lymphocytes and appears to be important in the pharmacological effects of rapamycin, a potent immunosuppressive drug.35 Activation of peripheral blood T lymphocytes with IL-2 and PHA-L resulted in a gradual decrease in the expression of p27Kip1 (Fig 6A, lanes 1 to 6); in the presence of MPA, however, p27Kip1 expression was maintained at substantially higher levels over the entire 24-hour period (Fig 6A, lanes 7 to 11). These results suggest that MPA treatment prevents or retards the degradation of p27Kip1that is normally seen with the cell-cycle progression from G1 to S. In addition, lysates immunoprecipitated with anti-p27Kip1showed a significant amount of CDK2 associated with p27Kip1in MPA-treated as compared with control cells at 48 hours (Fig 6B, lanes 5 and 9). These data strongly suggest that the inhibition of CDK2 activity is due to a p27Kip1 inhibitory effect (Fig 3, lanes 6 to 7), as well as to the lack of CDK2 induction, because the level of CDK2 by Western blot analysis is less at both 24 and 48 hours in treated as compared with control cells (Fig 6B, lanes 6 and 10). These results indicate an inhibitory effect of MPA on CDK2 induction as well as on kinase activity.
Effect of MPA on p27Kip1 expression. (A) Western blot analysis of lysates immunoprecipitated with p27Kip1 antibody and detected with the same p27Kip1 antibody. Resting T lymphocytes (lane 1) were stimulated by the addition of IL-2/PHA-L in absence (lanes 2 to 6) or presence (lanes 7 to 11) of 1 μmol/L MPA for 4, 8, 12, 20, and 24 hours. (B) Western blot analysis of lysates immunoprecipitated with p27Kip1 antibody and probed with CDK2 antibody. T lymphocytes were stimulated with IL-2/PHA for 24 and 48 hours in absence (lanes 1 to 6) or presence of 1 μmol/L MPA (lanes 7 to 10).
Effect of MPA on p27Kip1 expression. (A) Western blot analysis of lysates immunoprecipitated with p27Kip1 antibody and detected with the same p27Kip1 antibody. Resting T lymphocytes (lane 1) were stimulated by the addition of IL-2/PHA-L in absence (lanes 2 to 6) or presence (lanes 7 to 11) of 1 μmol/L MPA for 4, 8, 12, 20, and 24 hours. (B) Western blot analysis of lysates immunoprecipitated with p27Kip1 antibody and probed with CDK2 antibody. T lymphocytes were stimulated with IL-2/PHA for 24 and 48 hours in absence (lanes 1 to 6) or presence of 1 μmol/L MPA (lanes 7 to 10).
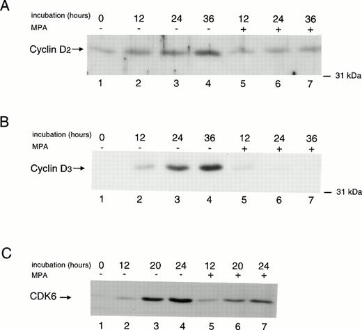
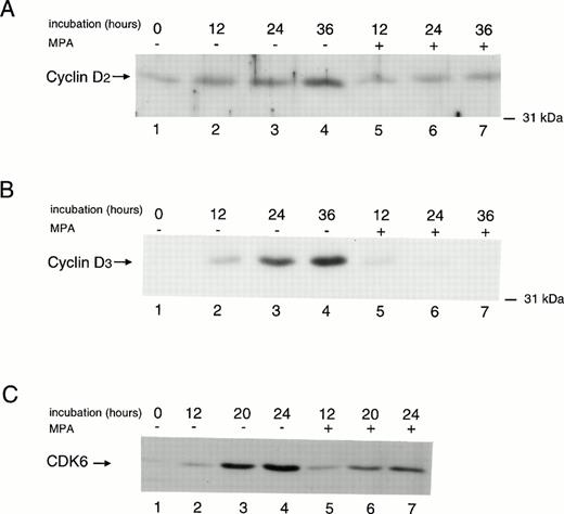
Effect of MPA on the formation of the cyclin D/CDK6 complex.
The D-type cyclins are synthesized as part of an early response to growth factor stimulation and act as regulatory subunits for CDK4 and CDK6.20,36,37 In Fig 7, we analyzed the expression of cyclin D2, cyclin D3, and CDK6, the major-D cyclins and associated kinase in human peripheral blood T lymphocytes,37,38 after T-cell activation. These immunoblots show that cyclin D2 is induced by 12 hours after T-lymphocyte stimulation (Fig 7A, lanes 1 to 4) followed by cyclin D3 (Fig 7B, lanes 1 to 4), as has been shown in previous studies.36,37 The level of CDK6 also increased markedly by 20 hours after stimulation (Fig 7C, lanes 1 to 4), consistent with published data.37 38 MPA treatment somewhat diminished the induction of cyclin D2 and CDK6 (Fig 7AC, lanes 5 to 7), as well as that of the much less abundant CDK4 (data not shown), but totally abrogated the induction of cyclin D3 in T cells (Fig 7B, lanes 5 to 7).
Effect of MPA on cyclin D2, cyclin D3, and CDK6 levels. Western blot analysis of cyclin D2 (A), cyclin D3 (B), and CDK6 (C) proteins were performed on extracts of isolated peripheral blood T lymphocytes in the resting state (lane 1), or after stimulation with IL-2/PHA-L for 12, 20, 24, and 36 hours in absence (lanes 2 to 4) or presence (lanes 5 to 7) of 1 μmol/L MPA.
Effect of MPA on cyclin D2, cyclin D3, and CDK6 levels. Western blot analysis of cyclin D2 (A), cyclin D3 (B), and CDK6 (C) proteins were performed on extracts of isolated peripheral blood T lymphocytes in the resting state (lane 1), or after stimulation with IL-2/PHA-L for 12, 20, 24, and 36 hours in absence (lanes 2 to 4) or presence (lanes 5 to 7) of 1 μmol/L MPA.
We then asked whether MPA affected the association of CDK6 with the D-cyclins and/or other potentially complexed proteins. Immunoprecipitations of 35S-labeled cell lysates performed using antibodies against CDK6 showed that CDK6 is highly associated with the D cyclins after 42 hours of stimulation with IL-2 and PHA-L (Fig 8A, lane 1). The addition of MPA before incubation markedly reduced the amount of CDK6 and the associated amount of D cyclin (lane 3), but did not alter the pattern of their association; whereas, the addition of guanosine and 8-aminoguanosine resulted in levels equivalent to those in control cells (lane 5). No additional proteins were found associated with the cyclin D/CDK6 complex in cells treated with MPA. These results were extended to steady-state levels of cyclin D3 in association with CDK6 (Fig 8B). Immunoprecipitation with anti-CDK6 antibody showed a virtual absence of cyclin D3 at 24 hours (lane 4) and complete restoration with guanine and 8-aminoguanosine (lane 6).
Effect of MPA on CDK6 complex formation. (A) [35S]methionine-labeled lysates of stimulated T lymphocytes were immunoprecipitated with anti-CDK6 antibody (stimulation for 42 hours) with or without preincubation with the competing peptide. Cells were stimulated with IL-2/PHA-L in absence (lanes 1 to 2) or presence of 1 μmol/L MPA (lanes 3 to 4) and 50 μmol/L guanosine and 100 μmol/L 8-aminoguanosine (lanes 5 to 6). (B) Western blot analysis of lysates immunoprecipitated with CDK6 antibody and detected with cyclin D3 antibody. Resting T lymphocytes (lane 1) were stimulated with IL-2/PHA-L for 24 and 48 hours in absence (lanes 2 to 3) or presence of 1 μmol/L MPA (lanes 4 to 5) and 50 μmol/L guanosine and 100 μmol/L 8-aminoguanosine (lanes 6 to 7). The mobility of protein molecular weight standards and relevant proteins are indicated.
Effect of MPA on CDK6 complex formation. (A) [35S]methionine-labeled lysates of stimulated T lymphocytes were immunoprecipitated with anti-CDK6 antibody (stimulation for 42 hours) with or without preincubation with the competing peptide. Cells were stimulated with IL-2/PHA-L in absence (lanes 1 to 2) or presence of 1 μmol/L MPA (lanes 3 to 4) and 50 μmol/L guanosine and 100 μmol/L 8-aminoguanosine (lanes 5 to 6). (B) Western blot analysis of lysates immunoprecipitated with CDK6 antibody and detected with cyclin D3 antibody. Resting T lymphocytes (lane 1) were stimulated with IL-2/PHA-L for 24 and 48 hours in absence (lanes 2 to 3) or presence of 1 μmol/L MPA (lanes 4 to 5) and 50 μmol/L guanosine and 100 μmol/L 8-aminoguanosine (lanes 6 to 7). The mobility of protein molecular weight standards and relevant proteins are indicated.
In order to ascertain whether inhibition of the induction of cyclin D3 and CDK6 affected the kinase activity for pRb phosphorylation, we directly measured the phosphorylation of a GST-Rb fusion protein by immunoprecipitates obtained with anti-CDK6 antibody. The pRb kinase activity of the immunoprecipitates increased in T cells after 24 hours and to a greater extent after 48 hours of activation in control cultures (Fig 9, lanes 1 to 6). Treatment of cells with MPA greatly decreased the activity of the complex at 24 hours, wherease low-level activity was observed at 48 hours (Fig 9, lanes 7 and 9). These data confirm that MPA treatment results in marked inhibition of pRb phosphorylating activity by the cyclin D/CDK6 complex in vitro. The small amount of residual activity at 48 hours may be due to complex formation with cyclin D2. We were unable to identify p27Kip1 in association with the anti-CDK6 immunoprecipitate by Western blot analysis, leading us to believe that the reduction in cyclin D3 levels is the primary event leading to loss of CDK activity.
Effect of MPA on CDK6 kinase activity. CDK6-associated kinase activity using affinity-purified antisera against CDK6 and a GST-Rb fusion protein as substrate. Cells were stimulated with IL-2/PHA-L for 24 and 48 hours in absence (lanes 1 to 6) or in presence of 1μmol/L MPA (lanes 7 to 10). Immunoprecipitations were performed with or without incubation with the competing peptide for CDK6. The immune complexes were incubated in kinase buffer containing [γ-32P]ATP and separated by SDS-PAGE and exposed to radiograph film, as outlined in the Materials and Methods section.
Effect of MPA on CDK6 kinase activity. CDK6-associated kinase activity using affinity-purified antisera against CDK6 and a GST-Rb fusion protein as substrate. Cells were stimulated with IL-2/PHA-L for 24 and 48 hours in absence (lanes 1 to 6) or in presence of 1μmol/L MPA (lanes 7 to 10). Immunoprecipitations were performed with or without incubation with the competing peptide for CDK6. The immune complexes were incubated in kinase buffer containing [γ-32P]ATP and separated by SDS-PAGE and exposed to radiograph film, as outlined in the Materials and Methods section.
DISCUSSION
The provision of an adequate supply of guanine nucleotides is clearly of generalized importance to many aspects of cellular metabolism and depletion of this nucleotide pool by inhibition of the de novo purine biosynthetic pathway has been shown to result in cell-cycle arrest in G1 in T lymphocytes.13 In addition, pharmacologic depletion of GTP induced by inhibitors of IMPDH has been shown to inhibit the initiation of DNA replication by preventing RNA-primed DNA synthesis both in vitro and in T-lymphoblast cell lines.39 Although each of these observations is of potential relevance to the well-documented immunosuppressive effects of IMPDH inhibitors, the underlying mechanisms by which depletion of this essential nucleotide pool results in these changes are unclear. To understand the relationship between the depletion of guanine nucleotides and cell-cycle arrest leading to the inhibition of DNA synthesis, we have investigated the effects of MPA, a highly selective IMPDH inhibitor, on the expression and activity of cell-cycle–regulating proteins during T-lymphocyte activation.
We have shown that the depletion of guanine nucleotides directly induces a block in cell-cycle progression in G1 and that the addition of guanosine in conjunction with 8-aminoguanosine to replete GTP levels completely abrogates this arrest. Of further interest is the observation that the resulting increase in guanine nucleotide levels resulting from the addition of these nucleosides leads to a marked increase in the percentage of activated T cells remaining in S phase at time points up to 48 hours. These results are similar to data obtained in cultured Epstein-Barr virus transformed B lymphoblasts, mature T-cell leukemic cell lines40 and murine melanoma cells,41 and correlate with the induction by guanosine of increased incorporation of 3H-thymidine into DNA.13 The corresponding decrease in the number of cells remaining in G0/G1 and in G2/M validates the reversal of the G1 block induced by MPA and suggests that the elevation of guanine nucleotide pools caused by the salvage of guanine to GMP results in a block in the exodus of cells from S phase. This observation has yet to be explained.
In contrast, we are able to correlate the G1 arrest induced by MPA during T-cell activation with the inhibition of pRb phosphorylation resulting in inhibition of the release of the E2F family of transcription factors that are required for entry into S phase. Numerous studies have examined the pharmacologic effects of agents that both arrest proliferating cells at or before the G1/S transition and inhibit pRb phosphorylation.42-46 These agents include drugs such as prostaglandin A2, staurosporine, 1,25-dihydroxyvitamin D3, and rapamycin and the experiments have generally been performed on rapidly proliferating cell lines in culture. Only one study has investigated the effects of depletion of normal nucleotide pools on the transition of noncycling, nontransformed cells from G0 to S phase. Linke et al42 used serum-deprived normal fibroblasts to show that an inhibitor of pyrimidine nucleotide biosynthesis, n-phosphonacetyl-L-aspartate or PALA, inhibited the phosphorylation of pRb that normally occurs after serum repletion. This effect was shown to be p53-dependent in that p53-deficient fibroblasts were resistant to cell-cycle arrest; in addition, the inhibition of pRb phosphorylation correlated directly with the expression of both p53 and its downstream CDK inhibitor, p21Waf1. The authors concluded that the nucleotide deprivation induced by PALA and similar agents caused a reversible quiescent state that is induced by a lack of pRb phosphorylation and is mediated through p53.
Our data strongly suggest that there are other mechanisms resulting in cell-cycle arrest that are caused by nucleotide depletion during the activation of peripheral blood T lymphocytes. Although we observed an increase in p53 protein levels in MPA-treated T cells, it was at very low levels and no measurable increase in p21Waf1/Cip1occurred at 24 hours, despite strong induction by both 5-FU and ara-C. In contrast, there was a striking and complete inhibition of CDK2 histone phosphorylating activity induced by MPA, indicating an inhibitory effect of guanine nucleotide depletion at this level. However, the extent to which the inhibition of CDK2 was a primary, as opposed to a secondary, effect of MPA treatment was unclear and we elected to examine CDK activity expressed earlier in the cell cycle. It is known that the expression of specific cyclins and CDKs vary according to cell type. In primary human peripheral blood T lymphocytes, cyclin D2 and cyclin D3 complex with CDK4 and CDK6 with initiation of kinase activity in mid-G1 after 12 to 16 hours of mitogen stimulation.38 In our study, the addition of IL-2 plus mitogen rapidly induced the predominant expression of cyclins D2, D3, and CDK6 corresponding with the induction of CDK6 kinase activity, observed in control cultures at 24 and 48 hours. MPA decreased the induction of both cyclin D2 and CDK6, but completely abrogated the induction of cyclin D3, markedly reducing the ability of the complex to phosphorylate an Rb substrate in an in vitro assay. In mammalian cells, the phosphorylation of Rb is initiated by the cyclin D-dependent kinases and is accelerated by the cyclin E-CDK2 complex.21The inhibitory effect of MPA on both of these complexes can thus explain the lack of Rb phosphorylation in T cells. Although one possible explanation for these effects is an overall reduction in protein synthesis, the effect of MPA appears to be selective in that the level of incorporation of 35S-methionine into newly synthesized protein in T-cell lysates was not diminished under identical conditions.
To investigate other potentially selective mechanisms for the induction of cell cycle arrest in T cells, we analyzed the effects of MPA on the expression of p27Kip1. Stimulation of T lymphocytes with IL-2 alone leads to the rapid elimination of this inhibitor, which binds to both CDK6 and CDK235,47 The level of p27Kip1 protein in human cells is tightly regulated by two ubiquitin-conjugating enzymes and by cyclin E/CDK2-dependent phosphorylation.48, 49 Rapamycin, a potent immunosuppressive agent, has been shown both to prevent the activation of cyclin E/CDK2 kinase activity and to prevent the degradation of p27Kip1 found with normal T-cell activation.35These observations raise the distinct possibility that inhibition of p27Kip1 degradation might underlie the activity of other immunosuppressive agents. Our immunoblot data indeed show that guanine nucleotide depletion significantly retards the degradation of p27Kip1 after T-cell activation. In addition, in experiments not shown, the addition of MPA for 24 hours after 24 hours of IL-2/PHA-L treatment significantly increased the level of p27Kip1 over that found in control cells, indicating that guanine nucleotide depletion can also increase p27Kip1levels in preactivated T cells. A plausible explanation for these results is that the diminished degradation of p27Kip1induced by MPA during T-cell activation, in conjunction with the lack of induction of cyclins D2, D3, and CDK6, leads to an increase in the amount of p27Kip1 available for inhibiting cyclin E/CDK2 activity. Thus, the relative ratio of p27Kip1 to other cell cycle intermediates may be a major determinant of cell-cycle progression in these cells, particularly when the amount of CDK2 is also reduced. Whether guanine nucleotide depletion plays any direct role in the ubiquitin-dependent proteolysis of p27Kip1 in the inhibition of cyclin E/CDK2 kinase activity that relates to the proteolysis of this protein, or in another as yet undefined GTP-dependent pathway regulating p27Kip1 levels, is not known at present.50-52
In summary, guanine nucleotide depletion induced by inhibitors of the enzyme IMPDH has a number of biologic effects including the induction of cell differentiation in many cultured cell models and the induction of cell cycle arrest in others. The striking selectivity of IMPDH inhibitors as immunosuppressive agents in vivo supports the concept that T lymphocytes may have specific mechanisms for inducing cell-cycle arrest in response to depletion of these metabolites that differentiate them from other cell types. The effector mechanisms for inhibiting T-cell activation include inhibition of the induction of cyclin D3, and to a lesser extent cyclin D2 and CDK6 levels, and decreased degradation of p27Kip1, with concomitant inhibition of CDK2 activity and inhibition of pRb phosphorylation. A point for speculation is whether a single sensing mechanism might exist in early- to mid-G1 that monitors guanine nucleotide levels and results in a downstream dual effect on the levels of cyclin D3/CDK6 as well as p27Kip1. Whether such a mechanism might involve highly specific phosphorylation reactions using GTP as a phosphate donor or an as yet undefined signal transduction pathway remains to be investigated.
A.Y. is supported by a National Institutes of Health Postdoctoral Grant to the Lineberger Comprehensive Cancer Center. Y.X. is a recipient of American Cancer Society Junior Faculty Award and is a Pew Scholar in Biomedical Science. This study was supported by National Institutes of Health Grants No. 1-R01-CA64192 (B.S.M.) and No. CA-65572 (Y.X).
Address reprint requests to Beverly S. Mitchell, MD, Departments of Pharmacology and Medicine, Lineberger Comprehensive Cancer Center, University of North Carolina, Chapel Hill, NC 27599-7295.
The publication costs of this article were defrayed in part by page charge payment. This article must therefore be hereby marked “advertisement” in accordance with 18 U.S.C. section 1734 solely to indicate this fact.


![Fig. 3. Inhibition of CDK2- and CDC2-associated kinase activities by MPA. Immunoprecipitations were performed using lysates from human T lymphocytes before and after IL-2/PHA-L stimulation and anti-CDK2 (lanes 1 to 7) or anti-CDC2 (lanes 8 to 14) antibodies. Competitive peptides were added to the 48-hour samples to control for the specificity of the assay. The immune complexes were incubated in kinase buffer containing [γ-32P]ATP and histone H1 for 30 minutes, separated on a SDS-PAGE and exposed to radiograph film, as outlined in the Materials and Methods section.](https://ash.silverchair-cdn.com/ash/content_public/journal/blood/91/8/10.1182_blood.v91.8.2896.2896_2896_2904/5/m_blod4082103.jpeg?Expires=1767799946&Signature=vOpI0~nBkNqAjw~Zu6Uaisa7euiT4cri3-ckBuJUH1~BGvviZDyBY-YFTCGH9MtetjhP7jLgAPAmoDe~s0k2mCwoiIHd74QMeNNV5jULyJM5I6sMOzd39rmPkFxfEFQTXshrbDa~auR4Qs0Y7Pvu1sLbehOwLRnI~PFr7Uz6SbLQ6wkJpL9GKKaHiV2jDZ6H90y9Zko8WvNPZfiPYGxVJ2mWH8gBe0iHDk0kCNj1YcQttO5RXyvgicFWvxQ3RYaFxWiQpahE24cdoVr1p5AIf-84U3To~pMVfIB~tUh9i6cZhB6BRRprct-hgb6uzy9yoeP8m~FtORVFVdUcdtcqHA__&Key-Pair-Id=APKAIE5G5CRDK6RD3PGA)
![Fig. 4. Immunoprecipitation analysis of [35S]methionine-labeled lysates using anti-p21Waf1 antibody. [35S]methionine-labeled lysates of T lymphocytes stimulated for 24 hours (A) and 42 hours (B) were immunoprecipitated with anti-p21Waf1 antibody (lanes 1, 3, 5, 7, and 9) or with preimmune serum (lanes 2, 4, 6, 8, and 10). Cells were treated with the drugs indicated from time 0 (1 μmol/L MPA, 50 μmol/L guanosine, 100 μmol/L 8-aminoguanosine, 25 μg/mL 5-FU, 10 μmol/L ara-C). The mobility of protein molecular weight standards p21Waf1 and CDK6 are indicated.](https://ash.silverchair-cdn.com/ash/content_public/journal/blood/91/8/10.1182_blood.v91.8.2896.2896_2896_2904/5/m_blod4082104a.jpeg?Expires=1767799946&Signature=KNaSAi943MRova4r3vGnNq3Uzdet8xPh9~uugEip7vjPfIBwOlN-m39esw1x6oSmTPbWrSb8u7sfDb-yq25oeD3jUBhggLDbSY6OmRMM9gEIki-lD0jyNgPKRY2zuVJpOQyYunBDManHIyy9f75VwKqs5zo2h3oTecY-8QYZRHzjjz56-0IDtrgpU5y6k0mLXMBcRL8iQWCynxt~Zb3XQoGzaBWVsHjh0CYVZcFzwCbmfn5hZ5ZlrcPsZh9y7UpFHErNXCA1Fm7pY8GK8uIrs1krRf8Vy1qgoEfirPg-0dq5S88W5pQ3bkek3H2uirNxk6UfsaJjJEZemCsKimkmNQ__&Key-Pair-Id=APKAIE5G5CRDK6RD3PGA)
![Fig. 4. Immunoprecipitation analysis of [35S]methionine-labeled lysates using anti-p21Waf1 antibody. [35S]methionine-labeled lysates of T lymphocytes stimulated for 24 hours (A) and 42 hours (B) were immunoprecipitated with anti-p21Waf1 antibody (lanes 1, 3, 5, 7, and 9) or with preimmune serum (lanes 2, 4, 6, 8, and 10). Cells were treated with the drugs indicated from time 0 (1 μmol/L MPA, 50 μmol/L guanosine, 100 μmol/L 8-aminoguanosine, 25 μg/mL 5-FU, 10 μmol/L ara-C). The mobility of protein molecular weight standards p21Waf1 and CDK6 are indicated.](https://ash.silverchair-cdn.com/ash/content_public/journal/blood/91/8/10.1182_blood.v91.8.2896.2896_2896_2904/5/m_blod4082104b.jpeg?Expires=1767799946&Signature=odZ3pa9GqdNlTV7Ad2ef5ADmBZho8ru5kXnxcFErT-QUQjOGeFP6IK-Izzj6E4k4SYMkVOlbkOCD2~9OGhhuohGsi3fbKQdYHWcBoolkuaK~cDpZ6nBe~oXUXG4ajRL75UXMePwaO~cIVsUV0teFypFXsYaT1rApNLF0ibw9g4UaQ8nEOsgu1f0QLzT5HOyxfuBx0XnDfaUyClr7fNTU-U77JrgXOyR3ceQN40iC5xc4VSN3Lh33034qETNvcm14-XlWAJ6fGSAKQ60qXJYe6HwR3vuyF0fbadP7dLsMwgMfNnStaAjQxmZ3zzibonsIL1NmXuSE~PKsI6OUfkEteA__&Key-Pair-Id=APKAIE5G5CRDK6RD3PGA)




![Fig. 8. Effect of MPA on CDK6 complex formation. (A) [35S]methionine-labeled lysates of stimulated T lymphocytes were immunoprecipitated with anti-CDK6 antibody (stimulation for 42 hours) with or without preincubation with the competing peptide. Cells were stimulated with IL-2/PHA-L in absence (lanes 1 to 2) or presence of 1 μmol/L MPA (lanes 3 to 4) and 50 μmol/L guanosine and 100 μmol/L 8-aminoguanosine (lanes 5 to 6). (B) Western blot analysis of lysates immunoprecipitated with CDK6 antibody and detected with cyclin D3 antibody. Resting T lymphocytes (lane 1) were stimulated with IL-2/PHA-L for 24 and 48 hours in absence (lanes 2 to 3) or presence of 1 μmol/L MPA (lanes 4 to 5) and 50 μmol/L guanosine and 100 μmol/L 8-aminoguanosine (lanes 6 to 7). The mobility of protein molecular weight standards and relevant proteins are indicated.](https://ash.silverchair-cdn.com/ash/content_public/journal/blood/91/8/10.1182_blood.v91.8.2896.2896_2896_2904/5/m_blod4082108a.jpeg?Expires=1767799946&Signature=qvgdUzJuYER6ryDxtvUvf3pzy2oGGk8~IsK2V1S6FDWxz3e-QsWIVBbgHFeDolYNGl7fo5l~3YlRpt2y6yswt2Lbj3OleZpk7fulDDlxcX8moNc3L3xPQUcRndNgsALkXonJr9t2m2-~UPRO8-OBJqJZ6QGlrpLFWnKHyguLae~H-FDcjrt~wBif~gvtbmvb-S9tw-yBZrXB4m2~ZlqthexbL1AYbVMmLJTxGsvWtx7INg0SKutyW-SuhPKymF8jh3nsLhguSM6rxCaBjEiGC9D7Ija1Z7650tAHMxxqPbOQq43cgpjkrxKcvO6mwBQf5ft57FiN~tHOnM7fs9QxMw__&Key-Pair-Id=APKAIE5G5CRDK6RD3PGA)
![Fig. 8. Effect of MPA on CDK6 complex formation. (A) [35S]methionine-labeled lysates of stimulated T lymphocytes were immunoprecipitated with anti-CDK6 antibody (stimulation for 42 hours) with or without preincubation with the competing peptide. Cells were stimulated with IL-2/PHA-L in absence (lanes 1 to 2) or presence of 1 μmol/L MPA (lanes 3 to 4) and 50 μmol/L guanosine and 100 μmol/L 8-aminoguanosine (lanes 5 to 6). (B) Western blot analysis of lysates immunoprecipitated with CDK6 antibody and detected with cyclin D3 antibody. Resting T lymphocytes (lane 1) were stimulated with IL-2/PHA-L for 24 and 48 hours in absence (lanes 2 to 3) or presence of 1 μmol/L MPA (lanes 4 to 5) and 50 μmol/L guanosine and 100 μmol/L 8-aminoguanosine (lanes 6 to 7). The mobility of protein molecular weight standards and relevant proteins are indicated.](https://ash.silverchair-cdn.com/ash/content_public/journal/blood/91/8/10.1182_blood.v91.8.2896.2896_2896_2904/5/m_blod4082108b.jpeg?Expires=1767799946&Signature=1lWwriN7qk6BA15UBUsfKEebMlpSZCvFAuoXGKelTX9QC-UikqukEcQKb3Y8dsTS2qqvUHUiFYONkxja3EEKcZUenAFZwyQvRcxK-A46cTmtFqMZov-ree-7B36CQRHFHTcNhAoTJz96Q8ZzSsHEjzMBRJ9o8RYtgDUj7dOjlY4hoSeLxmwfSmnt0MtuX7HrR5EQ7KINApUq~zcc-AadRezhpuCCdijyxzOd6DDIUGqm21qcNpx4NavOKj0MzQ6VMTO4EqtPe1zJQIhgs~49NxKN3P5yngAvDgEXQKbrFklD4iq3BTYCkvh8aTpUoWl3XiQQdW0hfpFOXDq7LwzOiQ__&Key-Pair-Id=APKAIE5G5CRDK6RD3PGA)
![Fig. 9. Effect of MPA on CDK6 kinase activity. CDK6-associated kinase activity using affinity-purified antisera against CDK6 and a GST-Rb fusion protein as substrate. Cells were stimulated with IL-2/PHA-L for 24 and 48 hours in absence (lanes 1 to 6) or in presence of 1μmol/L MPA (lanes 7 to 10). Immunoprecipitations were performed with or without incubation with the competing peptide for CDK6. The immune complexes were incubated in kinase buffer containing [γ-32P]ATP and separated by SDS-PAGE and exposed to radiograph film, as outlined in the Materials and Methods section.](https://ash.silverchair-cdn.com/ash/content_public/journal/blood/91/8/10.1182_blood.v91.8.2896.2896_2896_2904/5/m_blod4082109.jpeg?Expires=1767799946&Signature=hT~gppZUeQ0K0-onUqMZK0TrlDCITU4fZmqzrljnmqAPmi0RsqfyqqhQ2AxAkOpFTx5~JgjSdjgGUYxRWaXwbKsqDVD8n-Vmoj5zDZbO5d2xVfNPFXlEU6pfifSpBEu-vn0XTXeBOcePIUZYf4sVwOfgkoTO4Q5wTRqOheqc6EhB2ZjJoSbDQwkhPDg3D1dFQuxGKybREGQLqUIP6V~ay7R2fxiQfspHvYwjJoq97IgVr8C6KB-iX2z8PifRRN5R8VRxmoTof3v1ksHI5zeO5CwxtfGBftO5uMXF~QEc0oM6-Ax1dnQ5ZwC6wFsqSIBP5gkvTBGWznG5UIJIILfLWA__&Key-Pair-Id=APKAIE5G5CRDK6RD3PGA)
This feature is available to Subscribers Only
Sign In or Create an Account Close Modal