Heparin-induced thrombocytopenia (HIT), a severe complication of heparin treatment, can be associated with new thrombotic complications. HIT antibodies activate platelets via the platelet Fcγ-receptor (FcγRIIa), which carries a functionally relevant polymorphism (FcγRIIa-R-H131). The effect of this polymorphism on the clinical manifestations of HIT is controversial. We determined prospectively the FcγRIIa-R-H131 genotypes in 389 HIT patients, in 351 patients with thrombocytopenia or thrombosis due to causes other than HIT and without detectable HIT antibodies, and in 256 healthy blood donors. For this purpose, a novel nested sequence-specific primer-polymerase chain reaction (SSP-PCR) was developed. FcγRIIa-R/R131 was found to be overrepresented in the HIT patients (27%) compared with the control groups (non-HIT patients [21%] and blood donors [20%]). In a subgroup of 122 well-characterized HIT patients, the genotype distribution in patients presenting with thrombocytopenia only was compared with that of patients who developed thromboembolic complications. The frequency of FcγRIIa-R/R131 among patients with thrombotic events was significantly elevated (37% v 17%;P = .036). Our results indicate that genotype distribution can be correlated to the clinical outcome of patients with HIT. We speculate that the reduced clearance of immune complexes in patients with the FcγRIIa-R/R131 allotype causes prolonged activation of endothelial cells and platelets, thus increasing the risk for thrombotic complications.

© 1998 by The American Society of Hematology.

HEPARIN-INDUCED thrombocytopenia (HIT) is the most common drug-induced immune thrombocytopenia. Heparin treatment can induce antibodies that recognize a complex of heparin and platelet proteins, in most cases platelet factor 4 (PF4).1-5 These immune complexes activate platelets and possibly also endothelial cells.2,4,6 Paradoxically, HIT patients are at high risk of developing new venous or arterial thromboembolic vessel occlusions in response to the anticoagulant, heparin. It is now widely accepted that there is a discrepancy between the number of patients who develop HIT antibodies and the number of patients who develop clinical symptoms of HIT (ie, a decrease in platelet counts of >50% on or after day 5 of heparin treatment and/or new thromboembolic complications [TECs]).5,7-9 However, why some HIT patients develop thrombocytopenia only and others develop concomitant TECs remains controversial. In clinically symptomatic patients, platelet activation10 and generation of platelet microparticles11 seem to be important triggers for the development of TECs. Both are mediated by the platelet FcγRIIa,12-14 which, after cross-linking by the heparin/PF4-HIT antibody immune complexes, initiates platelet activation.

The FcγRIIa is the only IgG Fc-receptor present on platelets and the gene encoding the receptor is polymorphic. A point mutation (G507A) causes an amino acid exchange, Arg (R)-His (H) at position 131.15,16 FcγRIIa-R/R131 interacts well with mouse IgG1, and was originally named high responder (HR), whereas FcγRIIa-H/H131 binds mouse IgG1 poorly and was called low responder (LR).16-18 The opposite affinities are noted for human IgG; FcγRIIa-H/H131 is the only Fcγ receptor effectively interacting with IgG2, as shown with leukocytes.19 20 

Currently, there is a debate about whether the allotype of FcγRIIa is correlated with the development of HIT and the clinical outcome of affected patients. Several studies addressing the distribution of the FcγRIIa-R-H131 polymorphism have been published recently.21-24 However, these studies have been performed with relatively low numbers of patients and their results have been discrepant. In this study, we prospectively determined the FcγRIIa-R-H131 polymorphism of 389 HIT patients and compared their genotype distribution with that of patients with thrombocytopenia or thrombosis who did not have HIT antibodies and with healthy blood donors. Additionally, we performed a subanalysis to assess the occurrence of the FcγRIIa-R-H131 polymorphism in HIT patients with isolated thrombocytopenia and in HIT patients presenting with TECs during heparin administration.

Patients and controls.

Patients (n = 389) with clinical symptoms of HIT and heparin-dependent antibodies as determined by the heparin-induced platelet activation (HIPA) test25 26 were investigated. In the HIPA test, heparin-dependent antibodies activate platelets via the FcγRIIa; thus, only patients with FcγRIIa-reactive HIT antibodies were included in the study. Patients without detectable HIT antibodies whom had either thrombocytopenia due to causes other than HIT (eg, leukemia, autoimmune thrombocytopenia, or sepsis) or a thrombotic event that was unrelated to heparin treatment (n = 351) and unrelated healthy blood donors (n = 256) served as control groups. All patients and controls were of Caucasian ethnicity. The patient groups originate from the whole of Germany, with 50% of the blood donors originating from the Northern part of Germany and 50% from the central part of Germany. Data for 122 of the 389 patients with acute HIT were obtained in a prospective treatment trial (unpublished data). Clinical data regarding these patients had been evaluated by an independent investigator and cross-checked with the patient file in an audit program. A subanalysis of these well-characterized patients was performed to determine the correlation between the FcγRIIa-R-H131 genotypes and the manifestation of TECs in HIT.

HIPA test.

Platelet-rich plasma (PRP) was prepared from citrated blood (1.6 vol adenine-citrate-dextrose [ACD] and 8.4 vol blood) from normal blood donors (with 10 medication-free days). PRP was acidified by the addition of 111 μL/mL ACD, and 5 U/mL apyrase (grade III; Sigma, Munich, Germany) were added. After centrifugation (7 minutes at 650g), the supernatant was discarded and platelets were carefully resuspended in 5 mL washing buffer (tyrode buffer containing 2.5 U/mL apyrase and 1.0 U/mL hirudin [Pentapharm, Basel, Switzerland], adjusted to pH 6.3 with HCl). The platelets were incubated in sealed tubes (15 minutes at 37°C), centrifuged (7 minutes at 650g), and resuspended in 1 mL suspension buffer (tyrode buffer containing 0.002 mol/L MgCl2 and 0.002 mol/L CaCl2, adjusted to pH 7.2 with HCl). The suspension was adjusted to 300,000 to 400,000 platelets/μL and incubated in a sealed tube (45 minutes at 37°C) before use. Heat-inactivated (56°C for 30 minutes) patient serum (20 μL) was dispensed in a microtiter plate (Greiner, Nürtingen, Germany). For intra-assay negative control, parallel samples are mixed with a high concentration of heparin (final concentration, 100 U/mL). This procedure disrupts heparin-PF4 complexes and detects antibodies that bind independently of the heparin concentration. Platelet suspension (75 μL) is added to all samples and, finally, the low concentration heparin (final concentration, 0.2 U/mL) is added to allow PF4/heparin complex formation. The microtiter plate was incubated (45 minutes at room temperature) on a magnetic stirrer (1,000 rpm) with two steel spheres (2 mm diameter; SKF, Schweinfurth, Germany). The transparency of the suspension was assessed using an indirect light source every 5 minutes. The patient sera was considered positive for HIT antibodies if the suspension became transparent due to platelet aggregation with 0.2 U/mL heparin but not with 100 U/mL heparin.

Primer design.

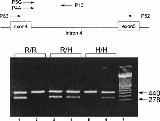
To genotype the FcγRIIa-R-H131 polymorphism, a new nested sequence-specific primer-polymerase chain reaction (SSP-PCR) method was developed. After the first PCR amplification, using primer pair P52 and P63,27 the product obtained was reamplified using sequence-specific primers. The sequence-specific sense primers P5G (specific for G507) and P4A (specific for A507) are located at the polymorphic site on exon 4, and a common antisense primer, P13, is located on intron 4 (Fig 1). Both exonic primers were constructed based on the published FcγRIIa cDNA sequence.28 To increase the specificity, two mismatch bases (T instead of C) were introduced at positions 502 and 504 in both primers. Because no data on the intronic sequences of FcγRIIa were available, we determined the nucleotide sequence of intron 4 by PCR using genomic DNA. After 30 amplification cycles with primers P63 and P52, a 1,000-bp product was isolated. Sequence analysis of this product identified an 800-bp intron with conserved donor and acceptor splice junctions. Based on this nucleotide sequence, we designed the antisense intronic primer, P13, located 118 bp downstream from exon 4, for the second-round PCR (Fig 1). A 440-bp fragment from the C-reactive protein (CRP) gene was used as an internal positive control.29 30All primers were purchased from Eurogentec (Seraing, Belgium).

Fig. 1.

Schematic illustration of the localization of the primers for the nested SSP-PCR and representative results of FcγRIIa genotype of three individuals: homozygous FcγRIIa-R/R131 (R/R), heterozygous FcγRIIa-R/H131 (R/H), and homozygous FcγRIIa-H/H131 (H/H). For the FcγRIIa-specific amplification, primers P63 and P52 were used.27 For the allele-specific amplification, primers P5G (for the FcγRIIa-R131 allele) and P4A (for the FcγRIIa-H131 allele) were combined with a common antisense primer, P13. The 440-bp amplification product of CRP was used as an internal control. The 278-bp fragment represents the allele-specific amplification product from the SSP-PCR of FcγRIIa. Amplification with P13 and P5G (lane 1) and with P13 and P4A (lane 2) shows a homozygous FcγRIIa-R/R131 individual. Amplification with P13 and P5G (lane 3) and with P13 and P4A (lane 4) shows a heterozygous FcγRIIa-R/H131 individual. Amplification with P13 and P5G (lane 5) and with P13 and P4A (lane 6) shows a homozygous FcγRIIa-H/H131 individual. Lane 7 contains a molecular weight standard (100 bp).

Fig. 1.

Schematic illustration of the localization of the primers for the nested SSP-PCR and representative results of FcγRIIa genotype of three individuals: homozygous FcγRIIa-R/R131 (R/R), heterozygous FcγRIIa-R/H131 (R/H), and homozygous FcγRIIa-H/H131 (H/H). For the FcγRIIa-specific amplification, primers P63 and P52 were used.27 For the allele-specific amplification, primers P5G (for the FcγRIIa-R131 allele) and P4A (for the FcγRIIa-H131 allele) were combined with a common antisense primer, P13. The 440-bp amplification product of CRP was used as an internal control. The 278-bp fragment represents the allele-specific amplification product from the SSP-PCR of FcγRIIa. Amplification with P13 and P5G (lane 1) and with P13 and P4A (lane 2) shows a homozygous FcγRIIa-R/R131 individual. Amplification with P13 and P5G (lane 3) and with P13 and P4A (lane 4) shows a heterozygous FcγRIIa-R/H131 individual. Amplification with P13 and P5G (lane 5) and with P13 and P4A (lane 6) shows a homozygous FcγRIIa-H/H131 individual. Lane 7 contains a molecular weight standard (100 bp).

Close modal
Nested SSP-PCR.

DNA was isolated from EDTA-anticoagulated peripheral blood using QIAAmp blood kits (Qiagen, Hilden, Germany). One hundred nanograms of genomic DNA was added to 100 μL reaction mixes containing 10 mmol/L Tris (pH 8.0), 50 mmol/L KCl, 2.75 mmol/L MgCl2, 0.25 mmol/L of each dNTP, 100 μg/mL bovine serum albumin (BSA), 0.1 μmol/L each of P63 (5′-CAA GCC TCT GGT CAA GGT C) and P52 (5′-GAA GAG CTG CCC ATG CTG) primers, 20 nmol/L each of CRP I and CRP II primers, and 1 U of AmpliTaq (Perkin Elmer, Vaterstetten, Germany). PCR conditions were as follows: 1 cycle at 95°C for 5 minutes, 55°C for 5 minutes, and 72°C for 5 minutes. This was followed by 35 cycles of 95°C for 1 minute, 55°C for 1 minute, and 72°C for 2 minutes, ending with an extension step at 72°C for 10 minutes. From this reaction, 1 μL was reamplified in the SSP-PCR using primers P13 (5′-CTA GCA GCT CAC CAC TCC TC) and P5G (5′-GAA AAT CCC AGA AAT TTTTCC G) or P4A (5′-GAA AAT CCC AGA AAT TTTTCC A). The allele-specific bases are in bold type and the inserted mismatch bases in the SSPs are underlined. The PCR conditions were as follows: 95°C for 5 minutes followed by 30 cycles of 95°C for 15 seconds, 58°C for 30 seconds, and 72°C for 30 seconds, with an extension step at 72°C for 10 minutes. The PCR products were analyzed by electrophoresis on 1.5% agarose gels stained with ethidium bromide.

Nucleotide sequencing.

To analyze the polymorphic region, PCR products amplified by primers P63 and P52 were purified by Gene Clean (Dianova, Hamburg, Germany) and sequenced directly with primer P63 using Sequenase 2.0, as recommended by the manufacturer (Amersham, Braunschweig, Germany).

Method validation.

To assess intra-assay reproducibility, EDTA-anticoagulated blood was obtained from 80 patients at two different time points. In a blinded manner, these 160 samples were typed for FcγRIIa polymorphism. To validate the inter-assay reproducibility, leukocytes from genotyped donors were phenotyped for the FcγRIIa polymorphism using monoclonal antibodies (MoAbs) in flow cytometric analysis (fluorescence-activated cell sorting [FACS]; n = 340) and3H-thymidine incorporation in a T-cell proliferation assay (n = 272).

Phenotypic analysis of FcγRIIa allotypes.

FACS scan analysis was performed according to standard methodology, using MoAb IV.3 (mIgG2b; Medarex, Annandale, NJ) that recognizes monomorphic epitopes on FcγRIIa and MoAb 41H16 (mIgG2a; kindly provided by Dr B.M. Longenecker, University of Alberta, Edmonton, Alberta, Canada) that reacts preferentially with FcγRIIa-R131.20 The anti-CD3–induced T-cell mitogenesis assays were performed as described by Tax et al,17including an extra reaction with human IgG2 anti-CD3 to allow discrimination between FcγRIIa-R/H131 and FcγRIIa-R/R131.20 

Statistics.

Relative frequencies of the FcγRIIa genotypes were compared using χ2 statistics for contingency tables with 2 × 3 fields.31P values were calculated with the SPSS PC+ statistical package (SPSS Inc, Chicago, IL).

Nested SSP-PCR.

Results of the SSP analyses for three representative individuals are shown in Fig 1. Amplification of genomic DNA from donor 1 resulted in a 278-bp specific product with primer P5G, but not with primer P4A. In contrast, with DNA from donor 3, this product could be amplified only with primer P4A. Both primers, P5G and P4A, amplified the 278-bp product from donor 2. In all reactions, the 440-bp internal control fragment of the CRP gene was present. These results indicate that donors 1, 2, and 3 represent homozygous FcγRIIa-R/R131, heterozygous FcγRIIa-R/H131, and homozygous FcγRIIa-H/H131, respectively.

Method validation.

Results of the nested SSP-PCR were validated by direct sequencing of the polymorphic region; no discrepancies were found (data not shown). Double sample processing (n = 80), FACS analysis using MoAbs recognizing FcγRIIa-R/H131 and FcγRIIa-R/R131 (n = 340), and anti-CD3–induced T-cell mitogenesis (n = 272) demonstrated the intra-assay and inter-assay reproducibility to be 100%.

Genotype distribution.

The genotype distributions and allele frequencies of the FcγRIIa-R-H131 polymorphism are presented in Table 1. There were no significant differences in the genotype distribution between the two control groups (ie, non-HIT patients with thrombocytopenia or thrombosis and healthy blood donors; P = .45). However, in HIT patients, the FcγRIIa-R/R131 genotype was overrepresented and the FcγRIIa-H/H131 genotype was underrepresented when compared with non-HIT control patients (P < .001) and with healthy blood donors (P= .024). Approximately 50% of subjects in all three groups were FcγRIIa-R/H131 heterozygous.

Table 1.

Distribution of FcγRIIa Genotypes and Allele Frequencies in HIT Patients and Controls

n FcγRIIa Allele Frequency FcγRIIa Genotype*
R131H131 R/R131 R/H131 H/H131
HIT patients  389 0.54  0.46  105 (27.0)  207 (53.2) 77 (19.8) P < .001-151  
Non-HIT patients  351  0.45  0.55   74 (21.1) 166 (47.3) 111 (31.6) P = .45-151 P = .024-151 
Healthy blood donors  256  0.46  0.54   51 (19.9) 134 (52.4)   71 (27.7)   
n FcγRIIa Allele Frequency FcγRIIa Genotype*
R131H131 R/R131 R/H131 H/H131
HIT patients  389 0.54  0.46  105 (27.0)  207 (53.2) 77 (19.8) P < .001-151  
Non-HIT patients  351  0.45  0.55   74 (21.1) 166 (47.3) 111 (31.6) P = .45-151 P = .024-151 
Healthy blood donors  256  0.46  0.54   51 (19.9) 134 (52.4)   71 (27.7)   

*Values are the number of patients with the percentage in parentheses.

F0-151

P values are calculated for FcγRIIa-R/R131, −R/H131, and −H/H131 genotype differences by χ2 test for contingency tables with 2 × 3 fields.

Correlation between FcγRIIa-R-H131 genotypes and manifestation of TECs.

In the subanalysis of 122 well-characterized patients, 68 patients (56%) developed TECs during heparin administration and 54 patients (44%) presented with isolated thrombocytopenia. In HIT patients who developed a TEC during heparin treatment, the FcγRIIa-R/R131 genotype was overrepresented and the FcγRIIa-R/H131 and FcγRIIa-H/H genotypes were underrepresented compared with HIT patients presenting with thrombocytopenia only; (P = .036; Table 2).

Table 2.

Distribution of FcγRIIa Genotypes and Allele Frequencies in a Subanalysis of 122 HIT Patients With Thrombocytopenia Only or With Thromboembolic Events During Heparin Administration

n FcγRIIa Allele Frequency FcγRIIa Genotype*
R131H131 R/R131 R/H131 H/H131
HIT + TECs 68 0.59  0.41  25 (36.8)  30 (44.1)  13 (19.1) P = .036 
HIT + thrombocytopenia 54  0.43  0.57   9 (16.7)  28 (51.8)  17 (31.5)  
n FcγRIIa Allele Frequency FcγRIIa Genotype*
R131H131 R/R131 R/H131 H/H131
HIT + TECs 68 0.59  0.41  25 (36.8)  30 (44.1)  13 (19.1) P = .036 
HIT + thrombocytopenia 54  0.43  0.57   9 (16.7)  28 (51.8)  17 (31.5)  

*Values are the number of patients with the percentage in parentheses.

HIT + TECs are HIT patients developing thromboembolic events during heparin administration. HIT + thrombocytopenia are HIT patients presenting with thrombocytopenia only.

P values are calculated for FcγRIIa-R/R131, −R/H131, and −H/H131 genotype differences by χ2 test for contingency tables with 2 × 3 fields.

HIT antibodies are known to interact with platelets via the FcγRIIa. The FcγRIIa carries a polymorphic site at position 131 (R-H) that affects its capacity to interact with immune complexes. In our investigation, the FcγRIIa-R/R131 genotype was overrepresented and FcγRIIa-H/H131 was underrepresented in HIT patients compared with non-HIT patients and healthy blood donors. Furthermore, a subanalysis with well-characterized HIT patients indicated a correlation between genotype and clinical manifestations of HIT. We found a significantly higher frequency of FcγRIIa-R/R131 in HIT patients who developed TECs than in patients presenting with isolated thrombocytopenia (P = .036; Table 2).

Four previous studies of the relationship between the FcγRIIa-R-H131 polymorphism and the development of HIT have been reported (Table 3).21-24 In three of these studies, FcγRIIa-H/H131 was found to be overrepresented in HIT patients.21,22,24 In the remaining study, no differences in the distribution of FcγRIIa-R-H131 genotypes were detected.23 It may be that the discrepancy between FcγRIIa genotype distribution in the present study and that of earlier studies is due to the inclusion of a different proportion of HIT patients with TECs. In three of the earlier studies, no data are given regarding the percentage of patients who developed HIT-related thrombocytopenia or HIT-related TECs.21,22,24 However, in the remaining study,23 23 of 36 patients had TECs and no significant differences in the FcγRIIa genotype distribution were found. The disparity in patient sample sizes between our study and earlier studies might also contribute to differences in results; ie, our study includes many HIT patients relative to the small number of HIT patients included in previous trials.

Table 3.

Summary of Previously Published Studies on the Impact of FcγRIIa-R-H131 Polymorphism in HIT Patients

Study Patient Inclusion Criterian FcγRIIa Genotype*Control Groupn FcγRIIa Genotype*P
R/R131 R/H131 H/H131 R/R131 R/H131 H/H131
Burgess et al21  Clinical criteria of HIT 19 0   15   4   Normal healthy individuals  22  7   13   2  <.05  
Brandt et al22  Thrombocytopenia or thrombosis 96  22 (23)  41 (43)  33 (34) Hospital controls  100  32 (32)  49 (49)  19 (19) <.05  
Arepally et al23  Clinical criteria of HIT2-153 36  9 (25)  19 (53)  8 (22)  Outpatient controls  102  26 (25)  56 (55)  20 (20)  .95 
Denomme et al24  Clinical criteria of HIT2-155 84 (23)¶  (41)¶  (36)¶  Inpatient controls  95 (27)¶  (52)¶  (21)¶  <.001 
Study Patient Inclusion Criterian FcγRIIa Genotype*Control Groupn FcγRIIa Genotype*P
R/R131 R/H131 H/H131 R/R131 R/H131 H/H131
Burgess et al21  Clinical criteria of HIT 19 0   15   4   Normal healthy individuals  22  7   13   2  <.05  
Brandt et al22  Thrombocytopenia or thrombosis 96  22 (23)  41 (43)  33 (34) Hospital controls  100  32 (32)  49 (49)  19 (19) <.05  
Arepally et al23  Clinical criteria of HIT2-153 36  9 (25)  19 (53)  8 (22)  Outpatient controls  102  26 (25)  56 (55)  20 (20)  .95 
Denomme et al24  Clinical criteria of HIT2-155 84 (23)¶  (41)¶  (36)¶  Inpatient controls  95 (27)¶  (52)¶  (21)¶  <.001 

*Values are the number of patients with the percentage in parentheses.

Thrombocytopenia occurring during heparin administration (resolving after heparin withdrawal), heparin-dependent antibodies detected in patient sera/plasma (platelet aggregometry or 14C-serotonin release assay), and exclusion of other recognized causes of thrombocytopenia.

Occurrence of thrombocytopenia or thrombosis during heparin administration and a positive platelet aggregation assay.

F2-153

Published clinical criteria32a and diagnosis confirmed by detection of heparin-dependent antibodies (14C-serotonin release assay).

F2-155

Thrombocytopenia occurring 5 or more days after start of heparin (resolving after discontinuation of heparin) and presence of HIT IgG (14C-serotonin release assay).

¶Only percentages are given in the publication.

It is possible that the differing distributions of FcγRIIa allotypes in HIT patients reflect normal variations in the FcγRIIa gene frequency, which are found not only among populations of different ethnic origins,27,32 but also within the Caucasian population, where the gene distribution ranges from 18% to 32% for FcγRIIa-R/R131 and from 19% to 36% for FcγRIIa-H/H131.22 33 However, this variability is not likely to affect our findings, because all of our patients and controls originate from the same population.

Our results lead us to speculate that, in HIT patients with the FcγRIIa-H/H131 allotype, uptake of antibody-coated platelets and PF4/heparin antibody complexes is enhanced. Thus, these patients are more likely to present with thrombocytopenia; whereas, in patients with the FcγRIIa-R/R131 allotype, the immune complexes are less efficiently removed from the circulation and might, therefore, cause prolonged immune-complex–dependent activation of platelets and endothelial cells, leading to TECs. Indeed, there is increasing evidence that the FcγRIIa-R131 allele is a risk factor for the manifestation of immune-complex–mediated diseases.34 The impaired phagocytosis of immune complexes seen in patients with systemic lupus erythematosus (SLE) can be correlated to the presence of the R131 allele.35 SLE patients with the FcγRIIa-R/R131 allotype who remove the circulating immune complexes less efficiently develop lupus nephritis at a higher rate than do patients with the FcγRIIa-H/H131 allotype.36,37 Furthermore, the FcγRIIa polymorphism has an impact on the susceptibility to bacterial infections. Phagocytosis of IgG2-opsonized bacteria is less effective in individuals with the FcγRIIa-R/R131 allotype,38 and these patients exhibit a higher susceptibility to infections by encapsulated bacteria than patients with the FcγRIIa-H/H131 allotype.39,40 Accordingly, a low incidence of infections with encapsulated bacteria has been noted in the Japanese population,41 where the FcγRIIa-H/H131 allotype predominates.27 32 It is interesting to note that reports of HIT in Japanese patients are also very rare.

Because individuals with FcγRIIa-H/H131 effectively clear immune complexes, this allotype might be regarded as a protective factor against HIT-related thrombosis. Although there is evidence that platelets expressing the FcγRIIa-R/R131 phenotype interact more strongly with HIT antibodies in vitro than platelets with the FcγRIIa-H/H131 phenotype do,22 this need not contradict our hypothesis. Functional in vitro assays with isolated platelets cannot show interactions among cells of the reticulo-endothelial system, cells from the immune system, and platelets and cannot demonstrate the capacity to remove platelets and immune complexes from the circulation.

In two of the previous studies, the IgG subclass of the HIT antibodies was assessed.23,24 Both studies reported that the majority of HIT antibodies belonged to the IgG1 subclass. The FcγRIIa polymorphism is primarily responsible for binding differences in antibodies of the IgG2 and IgG3subclasses20; however, this polymorphism also seems to influence the interaction with immune complexes of the IgG1subclass.24 

Like the present study, all four of the earlier studies used functional assays to determine the presence or absence of HIT antibodies. We chose this diagnostic technique because functional tests are based on the activation of platelets via the FcγRIIa receptor, and because we were studying FcγRIIa polymorphism, only patients with antibodies that reacted with FcγRIIa were of interest. Because the HIPA test is a functional assay that has been shown to have similar sensitivity and specificity as compared with the 14C-serotonin release assay,26 we do not see a major discrepancy to the laboratory methods reported in previous studies on FcγRIIa-R-H131 polymorphism in HIT patients. However, it is possible that HIT patients not identified in this study might have been identified using a PF4/heparin enzyme-linked immunosorbent assay (ELISA).

Together, our findings and those of other published studies suggest that, although the polymorphism may not be the major risk factor for clinical manifestation of HIT, once HIT develops, patients with the FcγRIIa-R/R131 genotype might be at a higher risk of developing new TECs.

The technical assistance of C. Blumentritt and A. Raether is highly appreciated, and the pre-PCR work by Dr K. Olbrich is gratefully acknowledged. We thank S. Owens for editorial help with the language.

Supported by the Deutsche Forschungsgemeinschaft Gr 1096/2-2.

Address reprint requests to Andreas Greinacher, MD, Department of Immunology and Transfusion Medicine, Ernst-Moritz-Arndt-University, Sauerbruchstr., D-17487 Greifswald, Germany; e-mail:greinach@rz.uni-greifswald.de.

The publication costs of this article were defrayed in part by page charge payment. This article must therefore be hereby marked “advertisement” in accordance with 18 U.S.C. section 1734 solely to indicate this fact.

1
Amiral
J
Bridey
F
Dreyfus
M
Vissac
AM
Fressinaud
E
Wolf
M
Meyer
D
Platelet factor 4 complexed to heparin is the target for antibodies generated in heparin-induced thrombocytopenia (letter).
Thromb Haemost
68
1992
95
2
Greinacher A, Pötzsch B, Amiral J, Dummel V, Eichner A, Mueller-Eckhardt C: Heparin-associated thrombocytopenia: Isolation of the antibody and characterization of a multimolecular PF4-heparin complex as the major antigen Thromb Haemost 71:247, 1994
3
Kelton
JG
Smith
JW
Warkentin
TE
Hayward
CPM
Denomme
GA
Horsewood
P
Immunoglobulin G from patients with heparin-induced thrombocytopenia binds to a complex of heparin and platelet factor 4.
Blood
83
1994
3232
4
Visentin
GP
Ford
SE
Scott
JP
Aster
RH
Antibodies from patients with heparin-induced thrombocytopenia/thrombosis are specific for platelet factor 4 complexed with heparin or bound to endothelial cells.
J Clin Invest
93
1994
81
5
Amiral
J
Bridey
F
Wolf
M
Boyer-Neumann
C
Fressinaud
E
Vissac
AM
Peynaud-Debayle
E
Dreyfus
M
Meyer
D
Antibodies to macromolecular platelet factor 4-heparin complexes in heparin-induced thrombocytopenia: A study of 44 cases.
Thromb Haemost
73
1995
21
6
Cines
DB
Tomaski
A
Tannenbaum
S
Immune endothelial-cell injury in heparin-associated thrombocytopenia.
N Engl J Med
316
1987
581
7
Arepally
G
Reynolds
C
Tomaski
A
Amiral
J
Jawad
A
Poncz
M
Cines
DB
Comparison of PF4/heparin ELISA assay with the 14C-serotonin release assay in the diagnosis of heparin-induced thrombocytopenia.
Am J Clin Pathol
104
1995
648
8
Warkentin
TE
Levine
MN
Hirsh
J
Horsewood
P
Roberts
RS
Tech
M
Gent
M
Kelton
JG
Heparin-induced thrombocytopenia in patients treated with low-molecular-weight heparin or unfractionated heparin.
N Engl J Med
332
1995
1330
9
Visentin
GP
Malik
M
Cyganiak
KA
Aster
RH
Patients treated with unfractionated heparin during open heart surgery are at high risk to form antibodies reactive with heparin:platelet factor 4 complexes.
J Lab Clin Med
128
1996
376
10
Chong
BH
Pitney
WR
Castaldi
PA
Heparin-induced thrombocytopenia: Association of thrombotic complications with heparin-dependent IgG antibody that induces thromboxane synthesis and platelet aggregation.
Lancet
2
1982
1246
11
Warkentin
TE
HaywardCP
Boshkov
LK
Santos
AV
Sheppard
J-AI
Bode
AP
Kelton
JG
Sera from patients with heparin-induced thrombocytopenia generate platelet-derived microparticles with procoagulant activity: An explanation for the thrombotic complications of heparin-induced thrombocytopenia.
Blood
84
1994
3691
12
Kelton
JG
Sheridan
D
Santos
A
Smith
J
Steeves
K
Smith
C
Brown
C
Murphy
WG
Heparin-induced thrombocytopenia: Laboratory studies.
Blood
72
1988
925
13
Chong
BH
Fawaz
I
Chesterman
CN
Berndt
MC
Heparin-induced thrombocytopenia: Mechanism of interaction of the heparin-dependent antibody with platelets.
Br J Haematol
73
1989
235
14
Anderson
GP
Insights into heparin-induced thrombocytopenia.
Br J Haematol
80
1992
504
15
Clark
MR
Clarkson
SB
Ory
PA
Stollman
N
Goldstein
IM
Molecular basis for a polymorphism involving Fc receptor II on human monocytes.
J Immunol
143
1989
1731
16
Warmerdam
PAM
van de Winkel
JGJ
Gosselin
EJ
Capel
PJA
Molecular basis for a polymorphism of human Fc γ receptor II (CD32).
J Exp Med
172
1990
19
17
Tax
WJM
Hermes
FFM
Willems
RW
Capel
PJA
Koene
RAP
Fc receptors for mouse IgG1 on human monocytes: Polymorphism and role in antibody-induced Tcell proliferation.
J Immunol
133
1984
1185
18
Clark
MR
Stuart
SG
Kimberly
RP
Ory
PA
Goldstein
IM
A single amino acid distinguishes the high-responder from the low-responder form of Fc receptor II on human monocytes.
Eur J Immunol
21
1991
1911
19
Warmerdam
PAM
van de Winkel
JGJ
Vlug
A
Westerdaal
NAC
Capel
PJA
A single amino acid in the second Ig-like domain of the human Fcγ receptor II is critical for human IgG2 binding.
J Immunol
147
1991
1338
20
Parren
PWHI
Warmerdam
PAM
Boeije
LCM
Arts
J
Westerdaal
NAC
Vlug
A
Capel
PJA
Aarden
LA
van de Winkel
JGJ
On the interaction of IgG subclasses with the low affinity Fc γ RIIa (CD32) on human monocytes, neutrophils and platelets. Analysis of a functional polymorphism to human IgG2.
J Clin Invest
90
1992
1537
21
Burgess
JK
Lindeman
R
Chesterman
CN
Chong
BH
Single amino acid mutation of Fcγ receptor is associated with the development of heparin-induced thrombocytopenia.
Br J Haematol
91
1995
761
22
Brandt
JT
Isenhart
CE
Osborne
JM
Ahmed
A
Anderson
CL
On the role of platelet FcγRIIa phenotype in heparin-induced thrombocytopenia.
Thromb Haemost
74
1995
1564
23
Arepally
G
McKenzie
SE
Jiang
X-M
Poncz
M
Cines
DB
FcγRIIA H/R131 polymorphism, subclass-specific IgG anti-heparin/platelet factor 4 antibodies and clinical course in patients with heparin-induced thrombocytopenia and thrombosis.
Blood
89
1997
370
24
Denomme
GA
Warkentin
TE
Horsewood
P
Sheppard
J-AI
Warner
MN
Kelton
JG
Activation of platelets by sera containing IgG1 heparin-dependent antibodies: An explanation for the predominance of the FcγRIIa “low responder” (his131) gene in patients with heparin-induced thrombocytopenia.
J Lab Clin Med
130
1997
278
25
Greinacher
A
Michels
I
Kiefel
V
Mueller-Eckhardt
C
A rapid and sensitive test for diagnosing heparin-associated thrombocytopenia.
Thromb Haemost
66
1991
734
26
Greinacher
A
Amiral
J
Dummel
V
Vissac
A
Kiefel
V
Mueller-Eckhardt
C
Laboratory diagnosis of heparin-associated thrombocytopenia and comparison of platelet aggregation test, heparin-induced platelet activation test, and platelet factor 4/heparin enzyme-linked immunosorbent assay.
Transfusion
34
1994
381
27
Osborne
JM
Chacko
GW
Brandt
JT
Anderson
CL
Ethnic variation in frequency of an allelic polymorphism of human Fcγ RIIA determined with allele specific oligonucleotide probes.
J Immunol Methods
173
1994
207
28
Brooks
DG
Qiu
WQ
Luster
AD
Ravetch
JV
Structure and expression of human IgG FcRII (CD32). Functional heterogeneity is encoded by the alternatively spliced products of multiple genes.
J Exp Med
170
1989
1369
29
Lei
K-J
Liu
T
Zon
G
Soravia
E
Liu
T-Y
Goldman
ND
Genomic DNA sequence for human C-reactive protein.
J Biol Chem
260
1985
13377
30
Klüter
H
Fehlau
K
Panzer
S
Kirchner
H
Bein
G
Rapid typing for human platelet antigen systems -1, -2, -3 and -5 by PCR amplification with sequence-specific primers.
Vox Sang
71
1996
121
31
Sachs L: Angewandte Statistik (ed 6). Berlin, Germany, Springer-Verlag, 1984
32
Abo
T
Tilden
AB
Balch
CM
Kumagai
K
Troup
GM
Cooper
MD
Ethnic differences in the lymphocyte proliferative response induced by a murine IgG1 antibody, Leu-4, to the T3 molecule.
J Exp Med
160
1984
303
32a
Sheridan
D
Carter
C
Kelton
JG
A diagnostic test for heparin-induced thrombocytopenia.
Blood
67
1986
27
33
Bachelot
C
Saffroy
R
Gandrille
S
Aiach
M
Rendu
F
Role of FcγRIIA gene polymorphism in human platelet activation by monoclonal antibodies.
Thromb Haemost
74
1995
1557
34
Rascu
A
Repp
R
Westerdaal
NAC
Kalden
JR
van de Winkel
JGJ
Clinical relevance of Fc γ receptor polymorphisms.
Ann NY Acad Sci
815
1997
282
35
Blasini
AM
Stekman
IL
Leon-Ponte
M
Caldera
D
Rodriguez
MA
Increased proportion of responders to a murine anti-CD3 monoclonal antibody of the IgG1 class in patients with systemic lupus erythematosus (SLE).
Clin Exp Immunol
94
1993
423
36
Duits
AJ
Bootsma
H
Derksen
RHWM
Spronk
PE
Kater
L
Kallernberg
CGM
Capel
PJA
Westerdaal
NAC
Spierenburg
GTH
Gmelig-Meyling
FHJ
van de Winkel
JGJ
Skewed distribution of IgG Fc receptor IIa (CD32) polymorphism is associated with renal disease in systemic lupus erythematosus patients.
Arthritis Rheum
39
1995
1832
37
Salmon
JE
Millard
S
Schachter
LA
Arnett
FC
Ginzler
EM
Gournley
MF
Ramsey-Goldman
R
Peterson
MGE
Kimberly
RP
Fc γ RIIA alleles are heritable risk factors for lupus nephritis in African Americans.
J Clin Invest
97
1996
1348
38
Sanders LAM, Feldman RG, Voorhorst-Ogink MM, de Haas M, Rijkers GT, Capel PJA, Zegers BJM, van de Winkel JGJ: Human immunoglobulin G (IgG) Fc receptor IIA (CD32) polymorphism and IgG2-mediated bacterial phagocytosis by neutrophils. Infect Immunity63:73, 1995
39
Sanders
LAM
van de Winkel
JGJ
Rijkers
GT
Voorhorst-Oginl
MM
de Haas
M
Capel
PJA
Zegers
BJM
Fcγ receptor IIa (CD32) heterogenicity in patients with recurrent bacterial respiratory tract infections.
J Infect Dis
170
1994
854
40
Yee
AMF
Ng
SC
Sobel
RE
Salmon
JE
FcγRIIA polymorphism as a risk factor for invasive pneumococcal infections in systemic lupus erythematosus.
Arthritis Rheum
40
1997
1180
41
Musser
JM
Kroll
JS
Granoff
DM
Moxon
ER
Brodeur
BR
Campos
J
Dabernat
H
Frederiksen
W
Hamel
J
Hammond
G
Hoiby
EA
Jonsdottir
KE
Kabeer
M
Kallings
I
Khan
WN
Kilian
M
Knowles
K
Koornhof
HJ
Law
B
Li
K
Montgomery
J
Pattison
PE
Piffaretti
JC
Takala
AK
Thong
ML
Wall
RA
Ward
JI
Selander
RK
Global genetic structure and molecular epidemiology of encapsulated Haemophilus influenzae.
Rev Infect Dis
12
1990
75
Sign in via your Institution