Abstract
Mucosa-associated lymphoid tissue (MALT) B-cell lymphomas develop in the context of autoimmune or chronic inflammations like Helicobacter pylori–induced gastritis. Remission of most gastric MALT lymphomas after eradication of H pylori links tumor cell proliferation to antigen-induced inflammation and the need for antigenic contact. Furthermore, the tumor cells correspond to antigen-activated memory B cells. To investigate the reactivity of the tumor immunoglobulins we employed in vitro–generated antibodies identical to those produced by MALT lymphoma cells. The immunoglobulin rearrangements of 7 MALT lymphomas were amplified, cloned, and expressed as single-chain fragment variable (scFv) antibodies. Antigen specificity of these 7 scFvs was analyzed by immunohistochemical staining of various normal, reactive, and malignant human tissues. Also, an expression library comprising approximately 30 000 proteins from human fetal brains (protein filter) and a peptide library were screened. One scFv stained a subpopulation of tonsillar plasma cells in immunohistochemical studies. On protein filters this scFv recognized the plasma cell–related protein Ufc1. Peptide library screening identified 9 peptides as binding partners of an additional scFv. The majority of MALT lymphoma immunoglobulins studied, however, showed no reactivity against antigens, indicating that the tumor immunoglobulins do not play a significant role in stimulation and proliferation of the MALT lymphoma tumor cells.
Introduction
Mucosal surfaces and skin are primary entry sites of potential pathogens (antigens) into the human body. To provide a first line of defense, secondary lymphoid tissues called mucosa-associated lymphoid tissues (MALTs) develop in these organs if antigenic challenge occurs. Apart from infections with external pathogens, the generation of MALT can also be induced by autoimmune disorders.1-3 Ongoing exposure of the lymphoid cells of the MALT to a foreign or self-antigen (chronic inflammation) triggers their perpetual proliferation in order to eliminate the antigen, which is accompanied by an increased risk of acquisition of genetic defects. Such genetic defects often induce the deregulation of apoptosis and, at the end of a multistage process, might lead to malignant cells, unable to control cell growth. A well-documented example of tumor development on the basis of chronic inflammation is gastric MALT B-cell lymphoma. These tumors have been found to arise in the context of Helicobacter pylori–induced gastritis.4,5 Eradication of H pylori by antibiotic treatment led to a complete remission of the associated gastric MALT lymphomas in most cases.6,7 Based on this observation the concept evolved that MALT lymphoma development is associated with an antigen-induced inflammation, and that the tumor B cells require, at least in an initial phase, antigen contact for their proliferation. In later stages the lymphomas cease to respond to antibiotic therapy, having apparently lost their dependence on antigenic stimulation. This change is attributed to a further acquisition of genetic aberrations and associated oncogenic activations.8-11
This theory was supported by the identification of the MALT lymphoma tumor cells as B cells that express functional immunoglobulin molecules and carry rearranged and somatically mutated immunoglobulin genes.12,13 These features point toward their derivation from antigen-activated memory B cells. In addition, intraclonal variations of the immunoglobulin genes, caused by ongoing somatic mutations14,15 and/or replacement of a part of the variable heavy (VH) segment (receptor revision),16 have been reported. These findings further substantiated the idea that antigen activation plays a role in MALT lymphoma development.
However, the question remains whether this activation occurs directly via the immunoglobulins of the tumor B cells or through interaction with antigen-activated T cells. In vitro, gastric MALT lymphoma cells cocultured with H pylori require H pylori–activated T cells for survival and proliferation.17,18 On the other hand, the immunoglobulins of some MALT lymphomas were found to have a rheumatoid factor reactivity,19 and binding of tumor cell immunoglobulins to various structures of normal human tissues (follicular dendritic cells, venules, epithelial cells, and connective tissue) has been described.20,21 In these latter studies the immunoglobulins of the tumor cells were produced as monoclonal antibodies by heterohybridoma technology and used in immunohistochemical stainings. A shortcoming of these experiments was that the concordance of the specificity determining immunoglobulin gene rearrangements of the hybridoma antibodies with that of the original tumor immunoglobulins was not demonstrated.
To overcome this drawback we used a different approach to elucidate the role of an interaction of the immunoglobulins of the tumor cells with (auto)antigens for lymphomagenesis. For this purpose, the clonal immunoglobulin gene rearrangements of 7 MALT lymphomas were identified, amplified, cloned, and expressed in insect cells as single-chain fragment variable (scFv) antibodies. The antigen specificity of the 7 tumor scFv's was analyzed by immunohistochemical stainings of a wide range of normal human tissues, of the MALT lymphomas they originated from, and of H pylori–positive gastric biopsies. The reactivity against H pylori proteins and potential superantigenic structures represented by the bacterium was further examined by Western blot analysis. In parallel, an expression library of approximately 30 000 human fetal brain proteins and an extensive peptide library were screened. Our results demonstrate that the MALT tumor cell immunoglobulins, despite their functional expression, are not directed against specific antigens in most instances.
Patients, materials, and methods
Patient material
All tumors were diagnosed as low-grade MALT lymphomas (World Health Organization [WHO] classification22 ). Four cases (patients 1-4) were of gastric origin, and the lymphomas of patients 5, 6, and 7 were localized in the thyroid, lung, and salivary gland, respectively. Patients 1, 2, 5, 6, and 7 received no treatment before biopsy; patient 4 had a subtotal colectomy (colon diverticulosis) 8 years before the gastric biopsy. For patient 3, no data about previous treatments were available.
Cell lines
Karpas 299 cells and DG 75 cells were cultured in RPMI 1640 with GlutaMAX (Invitrogen, Carlsbad, CA) without phenol red and 10% fetal calf serum (FCS). Ber-H2 hybridoma cells23 were cultured in 45% RPMI 1640/45% Dulbecco modified Eagle medium (DMEM) with GlutaMAX, 1 g/L glucose, and 10% FCS (all Invitrogen).
Preparation of nucleic acids for polymerase chain reaction
Genomic DNA and total RNA were isolated from frozen tissue sections and hybridoma cells according to the manufacturer's protocols (QIAamp DNA Mini Kit and RNeasy Mini Kit; Qiagen, Hilden, Germany). For reverse transcription–polymerase chain reaction (RT-PCR), 1 μg total RNA was transcribed into cDNA (GeneAmp RNA PCR Core Kit; Perkin Elmer, Shelton, CT).
Identification of the tumor immunoglobulin gene segments
To identify the rearranged segments of the MALT lymphoma immunoglobulin genes, a nested PCR was performed for the heavy-chain genes (IGH) as described previously.24 The variable kappa and lambda light-chain genes (IGL) were amplified according to the BIOMED-2 protocol.25 The resulting predominant PCR products, representing the clonal Ig gene rearrangements, were directly sequenced (Big Dye Terminator Cycle Sequencing Kit and DNA Sequencing Automat 377; Applied Biosystems, Weiterstadt, Germany). The sequences obtained were compared with each other and with our own and published databases (International ImMunoGeneTics database26 ) to determine the corresponding germ-line segments and the number and location of somatic mutations. Furthermore, the dominant IgH and IgL amplificates of each case were cloned (TOPO TA Cloning Kit; Invitrogen) and several clones (Quantum Prep Plasmid Miniprep Kit; Bio-Rad, Hercules, CA) were also sequenced and analyzed by database comparison. The IgH and IgL sequences that were identical in the majority of clones and to the rearrangement obtained from direct sequencing were used to produce the scFv of the respective case.
The IGH and IGL genes were also amplified by RT-PCR, and the resulting PCR products were sequenced and compared with the sequences obtained from the whole-tissue sections.
Calculation of antigen selection
Antigen selection of the IGH sequences was assessed by the multinomial model51 as well as by the ratio of replacement (R) to silent (S) mutations in the complementarity determining regions (CDRs) and the framework regions (FRs). Sequences were evaluated as antigen-selected when R/S CDR was greater than 2.5 and R/S FR was less than 1.5.
GeneScan analysis
GeneScan analysis (ABI 310; Applied Biosystems) was performed to demonstrate the presence of clonal variable diversity joining (VDJ) rearrangements and to determine their size. For this purpose, reamplification was carried out with a fluorescence-labeled primer specific for the heavy-chain joining segments (JH). Labeled PCR products were separated on a sequencing gel and evaluated by the GeneScan software 672.
Amplification and cloning of the complete tumor immunoglobulin genes
Tumor rearrangement–specific amplifications were conducted with primers (20 pM each) located at the outmost 5′ and 3′ ends of the IGH and IGL genes. Amplification (0.2 mM each dNTP [Amersham Bioscience, Arlington Heights, IL]; 2 mM MgSO4; 2.5 U PfuTurbo Polymerase [Stratagene, La Jolla, CA]) was done in a PTC-200 Cycler (MJ Research,) at 96°C for 2 minutes, 5 × (96°C for 30 seconds, 62°C for 30 seconds, and 72°C for 30 seconds), 35 × (96°C for 30 seconds and 72°C for 1 minute), and 72°C for 10 minutes (Table 1).
PCR products were used for cloning of the respective immunoglobulin genes as scFv's. For this purpose the IGH and IGL genes of each tumor case and of the Ber-H2 hybridoma cell line (control scFv) were cloned into the vector pIT2 (from Dr Ian Tomlinson, Medical Research Council Laboratory of Molecular Biology, Cambridge, United Kingdom) that contains the coding sequence for the (G4S)3 peptide linker for joining of the heavy and light chains. For expression in Drosophila S2 cells, each of these scFv modules was subsequently cloned into the vector pMT-BiP/V5-HisC (Invitrogen). This vector contains the coding sequences for a His-tag and a V5-epitope.
Amplification and cloning of the Ber-H2 hybridoma immunoglobulin genes (control scFv)
To amplify the complete mouse IGH and IGL genes of the Ber-H2 hybridoma cell line, a nested PCR was performed (0.2 mM each dNTP [Amersham Bioscience]; 1.0 mM MgCl2, primary amplification; 1.5 mM MgCl2, reamplification; AmpliTaq buffer II and 2 U AmpliTaq, all from Applied Biosystems). Cycling conditions were 96°C for 2 minutes, 35 × (96°C for 15 seconds, 60°C for 30 seconds, and 72°C for 30 seconds); 72°C for 7 minutes for the first amplification and 96°C for 2 minutes, 5 × (96°C for 15 seconds, 55°C for 30 seconds, and 72°C for 30 seconds); 30 × (96°C for 15 seconds, 72°C for 60 seconds); and 72°C for 7 minutes for reamplification (Table 2).
The resulting PCR products were used for cloning of the respective immunoglobulin genes as scFv antibodies as described for the tumor immunoglobulin genes.
Expression and purification of scFv's
Stable transfectants of Drosophila S2 cells expressing the respective tumor immunoglobulin genes or the immunoglobulin genes of the Ber-H2 hybridoma as scFv's were created according to the manufacturer's instructions (Drosophila expression system; Invitrogen). Secretory recombinant protein expression was induced and after 5 days the scFv-containing culture supernatant was separated from the cells by centrifugation and filtered.
ScFv's were purified from the supernatants by immobilized metal ion affinity chromatography (BioLogic FPLC system; Bio-Rad) using nickel-charged chelating sepharose Fast Flow (Amersham Bioscience, United Kingdom).
Biotinylation of scFv's
Purified scFv molecules were biotinylated using the EZ-Link Sulfo-NHS-LC Biotinylation Kit (Perbio, Rockford, IL) according to the manufacturer's instructions. The biotin incorporation was determined by the HABAmethod (Perbio).
Fluorescence-activated cell-sorter analysis
Karpas 299 (CD30-positive anaplastic large-cell lymphoma [ALCL] cell line) and DG75 cells (CD30-negative mantle cell lymphoma cell line) were incubated with biotinylated anti-CD30 Ber-H2 scFv and biotinylated monoclonal Ber-H2 IgG1 antibody, respectively. As controls, each cell line was also incubated with biotinylated IgG1 and a biotinylated scFv not binding to CD30. The cells were then incubated with phycoerythrin-conjugated streptavidin and analyzed in a FACSort (Becton Dickinson, Franklin Lakes, NJ).
Preparation of H pylori cell lysates
H pylori colonies were taken up with a sterile cotton swab and resuspended in lysis buffer (50 mM Tris-buffer [pH 7.8], 150 mM NaCl, 1% Nonidet P40, and 1 × Complete Protease Inhibitor [Roche Diagnostics, Basel, Switzerland]). After 3 freeze-thaw cycles the insoluble matter was removed by centrifugation and the soluble protein fraction was used for Western blotting.
Quantity and quality assessment of proteins
Protein quantity was determined by Bradford assay (Bio-Rad). The quality was evaluated on a Bioanalyzer 2100 using the Protein 50 Assay (Agilent Technologies, Palo Alto, CA).
Immunohistochemical staining
Paraffin sections were deparaffinized and antigenicity was retrieved by cooking in citrate buffer (100 mM, 2 minutes). Frozen sections were treated with acetone prior to staining. Endogenous peroxidase was blocked with 3% H2O2 (paraffin sections) or glucose oxidase buffer (frozen sections; 20 mM β-D-glucose, 2 mM sodium azide, and 800 U glucose oxidase in phosphate-buffered saline [PBS]). Endogenous biotin was blocked with an avidin-biotin blocking system (DakoCytomation, Copenhagen, Denmark) and the slides were then incubated with the respective scFv's (1 μg/mL). Signals were amplified with the Catalyzed Signal Amplification System (CSA; DakoCytomation) and detected by a chromogenic horseradish peroxidase (HRP) substrate (SIGMA FAST 3,3′-diaminobenzidin tablets; Sigma-Aldrich, Seelze, Germany). For double stainings, paraffin sections were cooked again after the first development and incubated with antibodies against IgA (1:20 000), IgD (1:200), IgE (1:400), IgG (1:1000), and IgM (1:400; all from DakoCytomation) or IRF4 (1:20; Santa Cruz Biotechnology, Santa Cruz, CA). Antibody binding was visualized with the APAAP Mouse ChemMate Detection Kit (DakoCytomation), producing a red precipitate that could be distinguished from the brown precipitate of the first staining.
Western blot
Proteins were separated on a discontinuous SDS-PAGE as well as under native conditions on 4% to 20% Novex Tris-Glycine gels (Invitrogen) and transferred to Hybond-P membrane (Amersham Bioscience). Primary antibodies (1 μg/mL biotinylated scFv's or 1:1000 rabbit polyclonal anti–H pylori antibody; DakoCytomation) were applied followed by incubation with secondary antibodies (streptavidin-conjugated HRP [PerkinElmer] or 1:1000 anti–rabbit HRP conjugate [Amersham Bioscience, UK]). Binding of antibody was detected by a chemiluminescence detection system (ECL; Amersham Bioscience, UK).
Staining of protein filters
High-density protein arrays consisting of 27 648 proteins derived from a human fetal brain expression library52 were purchased from the RZPD (Deutsches Ressourcenzentrum für Genomforschung, Berlin, Germany). The filters were incubated with the respective scFv's (0.5 μg/mL) followed by application of mouse anti-V5 antibody (1:5000; Invitrogen) and anti–mouse HRP conjugate (1:2000; Amersham Bioscience, UK). Bound scFv's were made visible by a chemiluminescence detection system. The resulting signals were assigned to the respective cDNA clones by comparison with a matrix. Positive clones were sequenced and compared to the nonredundant sequence database of the National Center for Biotechnology Information. The translated sequence of the cDNA clones was also compared to the protein families database of alignments and hidden Markov models.52
Synthesis and staining of peptide arrays
A sequence library of 5520 different 15-mer peptides was generated randomly.28 The peptides were then synthesized on cellulose-amino-hydroxypropyl-ether (CAPE) membranes29 by the SPOT synthesis technique30 using a semiautomated SPOT synthesizer (Abimed, Langenfeld, Germany). The membranes were initially incubated with the secondary antibody (Penta-His-HRP, 1:2000; Qiagen,) to identify nonspecific signals. After application of HRP substrate (SuperSignal West Dura Substrate; Perbio, Hilden, Germany) the resulting chemiluminescence was visualized on a Lumi Imager (Roche Diagnostics). The membranes were then incubated with scFv (10 μg/mL) followed by incubation with the anti-His antibody and signal detection as described for the identification of unspecific signals. Interpretation of the signals and mapping to the corresponding peptide sequences was carried out with the Genespotter software (MicroDiscovery, Berlin, Germany). The sequences of the peptides identified as binding partners were submitted to databases (see above).
Results
Analysis of the MALT lymphoma immunoglobulin genes
Germ-line segments with highest homology to the tumor immunoglobulin gene sequences were identified (Table 3). Rearranged IGH and IGL genes of all cases, except for the light chain of patient 2, displayed somatic mutations. To determine selection by antigen, 2 different methods were used (ratio of replacement to silent mutations and multinomial model). These calculations led to deviating results. Only 1 patient was found to be antigen selected after calculation of the ratio of replacement to silent mutations, whereas the multinomial model led to the identification of 4 patients with signs of antigen selection (Table 3). Sequencing of the cloned IGH and IGL amplification products revealed intraclonal variations in patients 3, 4, 5, and 7. Most of these variations had no consequence for the amino acid sequence. However, in each patient one predominant gene rearrangement with a stable mutation pattern was clearly identified and used for the generation of the scFv's.
The rearranged Ig gene sequences of each patient amplified from the whole-tissue DNA extracts were identical to those obtained by RT-PCR, thus verifying expression of these rearrangements by the MALT lymphoma tumor cells.
Cloning and expression of the tumor immunoglobulin genes as scFvs
The complete variable IGH and IGL genes of the 7 MALT lymphomas were amplified, cloned, expressed as scFv in Drosophila S2 cells, and purified by affinity chromatography via the His-tag. Gel analysis revealed scFv sizes from 30 to 38 kDa, corresponding to the different lengths of the respective tumor immunoglobulin gene rearrangements.
Establishing the Ber-H2 control scFv
In addition to the tumor immunoglobulins the hybridoma antibody Ber-H2 (anti-CD30) was synthesized as a control scFv. The Ber-H2 antibody recognizes the CD30 antigen, overexpressed on the tumor cells of classical Hodgkin lymphoma and ALCL and also, to a much lesser extent, expressed on activated normal lymphoid cells.23,31
The antigen-binding capacity of the biotinylated Ber-H2 scFv to Karpas299 cells (CD30-positive) and DG 75 cells (CD30-negative) was compared by fluorescence-activated cell-sorter (FACS) measurements to that of the Ber-H2 monoclonal antibody and controls. A selective binding of the Ber-H2 scFv to CD30-positive cells but not to CD30-negative cells could be demonstrated. The avidity of the Ber-H2 scFv was only a little lower than that of the monoclonal Ber-H2 antibody.
Immunohistochemical staining of normal human tissue
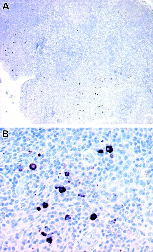
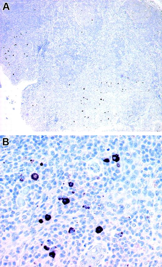
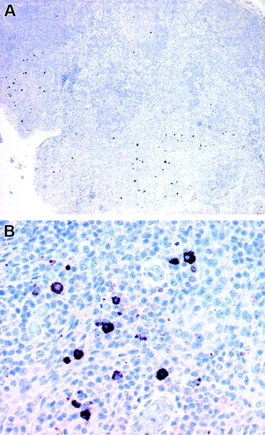
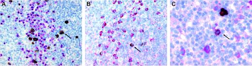
To identify self-antigens potentially involved in MALT lymphoma pathogenesis, sections from 21 different formalin-fixed and paraffin-embedded normal human tissues and sections from 14 different frozen normal human tissues were screened for reactivity to the 7 MALT lymphoma–derived scFv's (Table 4). All tissues were also incubated without antibody and with the anti-CD30 Ber-H2 control scFv. The Ber-H2 scFv stained, as expected, CD30-positive cells in tissues with activated lymphoid cells (tonsil, small intestine). With most of the tumor-derived scFv's merely nonspecific staining of various cell types (eg, granulocytes or glandular or muscle cells), also present in the “no antibody” and Ber-H2 scFv controls, could be observed (Table 4). A specific staining was only visible with the tumor scFv derived from patient 1 (Figure 1). This scFv recognized cells with plasmacellular morphology in formalin-fixed and paraffin-embedded tonsillar sections not detected by the Ber-H2 control scFv or by the other tumor scFv's. To further characterize the labeled cells, double immunohistochemical stainings were conducted using the scFv derived from patient 1 and an antibody against the plasma cell–specific antigen IRF4 (interferon regulating factor 4; Figure 2A).All cells positive for the scFv of patient 1 were also positive for IRF4, identifying the cells recognized by the patient-1 scFv as plasma cells. To determine whether the staining of the patient-1 scFv was restricted to a certain plasma cell isotype, additional double immunohistochemical stainings with the scFv derived from patient 1 and antibodies specific for these distinct subtypes (IgA, -D, -E, -G, and -M) were performed. As can be seen from Figure 2B and C, the patient-1 scFv clearly stained IgG- as well as IgA-positive plasma cells. Double immunohistochemical staining of IgD-, IgE-, and IgM-positive cells together with the patient-1 scFv could not be identified. These results show that the scFv derived from patient 1 recognizes a subpopulation of plasma cells that does not belong to a certain isotype.
Immunohistochemical staining of MALT lymphoma tissues
Tissue sections of 4 of the 7 MALT lymphomas used to generate the scFv's of this study were used to identify potential antigens specifically present in the tumor. Formalin-fixed and paraffin-embedded sections as well as frozen sections were stained using all 7 tumor scFv's, the Ber-H2 control scFv, and a “no antibody” control. The anti-CD30 Ber-H2 control scFv as expected visualized CD30-positive lymphoid cells. In contrast, none of the tumor scFv's produced specific signals. Again, in most sections a nonspecific staining of single cells (eg, granulocytes or glandular or muscle cells) was seen.
Reactivity against H pylori and superantigenic structures
Reactivity of the MALT lymphoma–derived scFv's against H pylori or potential superantigenic structures represented by the bacteria was assessed by Western blot analysis of native and denatured protein extracts of H pylori and by immunohistochemical stainings of formalin-fixed and paraffin-embedded sections of 5 different H pylori–positive gastric biopsies. With an anti–H pylori antibody, the presence of the bacterium could be demonstrated in all samples examined. Neither the Ber-H2 control scFv nor any tumor scFv showed any reactivity with H pylori–derived antigens in these experiments.
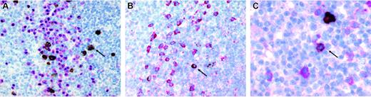
Immunohistochemical staining of human tonsil with the patient-1 scFv. Overview (A) and detail (B) of the distribution pattern and morphology of the cells stained by the patient-1 scFv (CSA amplification system; Dakocytomation). Images were obtained with an Olympus AX70 microscope (Olympus, Tokyo, Japan) equipped with a JVC KY-F70U camera (JVC, Kyoto, Japan) using Diskus v4.28 software (Hilgers, Königswinter, Germany). Images were captured with (A) a 4 ×/0.16 NA objective (total magnification, × 6.4) and (B) a 20 ×/0.7 NA objective (total magnification, × 140).
Immunohistochemical staining of human tonsil with the patient-1 scFv. Overview (A) and detail (B) of the distribution pattern and morphology of the cells stained by the patient-1 scFv (CSA amplification system; Dakocytomation). Images were obtained with an Olympus AX70 microscope (Olympus, Tokyo, Japan) equipped with a JVC KY-F70U camera (JVC, Kyoto, Japan) using Diskus v4.28 software (Hilgers, Königswinter, Germany). Images were captured with (A) a 4 ×/0.16 NA objective (total magnification, × 6.4) and (B) a 20 ×/0.7 NA objective (total magnification, × 140).
Screening of protein filters
The protein filters screened in this study comprised 2 PVDF membranes containing 27 648 proteins from human fetal brains.27 The low degree of differentiation of this tissue results in the expression of a wide range of proteins and makes the filters an ideal tool to identify potential cellular binding partners of the tumor scFv's. The filters were exemplarily incubated with the scFv's of patients 1, 5, and 6. These scFv's were chosen because the MALT lymphomas they descend from originate from distinct organs (stomach, lung, and thyroid) and to further examine the reactivity of the patient-1 scFv observed by immunohistochemistry. Compared with the control incubations (anti-V5 antibody and anti–mouse HRP antibody alone), only the scFv of patient 1 showed specific binding to 2 proteins. Sequencing of the corresponding cDNA clones revealed that both clones harbored identical sequences, strongly arguing for the specificity of the binding of the patient-1 scFv. Comparison of the consensus sequence with nucleotide and protein databases discovered 100% homology to the gene coding for the Ufm1-conjugating enzyme (UFC1).32
Immunohistochemical double stainings of human tonsil with the patient-1 scFv. Double stainings with the patient-1 scFv (brown) and antibodies against (A) the plasma cell–specific transcription factor IRF4 (red), (B) the immunoglobulin subclass G (red), and (C) the immunoglobulin subclass A (red). Arrows denote double-stained cells. Images were obtained with an Olympus AX70 microscope equipped with a JVC KY-F70U camera using Diskus v4.28 software. Objectives used were as follows: panels A and B, 20 ×/0.7 NA (total magnification, × 140); panel C, 40 ×/0.95 NA (total magnification, × 380).
Immunohistochemical double stainings of human tonsil with the patient-1 scFv. Double stainings with the patient-1 scFv (brown) and antibodies against (A) the plasma cell–specific transcription factor IRF4 (red), (B) the immunoglobulin subclass G (red), and (C) the immunoglobulin subclass A (red). Arrows denote double-stained cells. Images were obtained with an Olympus AX70 microscope equipped with a JVC KY-F70U camera using Diskus v4.28 software. Objectives used were as follows: panels A and B, 20 ×/0.7 NA (total magnification, × 140); panel C, 40 ×/0.95 NA (total magnification, × 380).
Screening of a peptide array
The peptide array consists of 5520 15-mer peptides of random sequence, yet the actual number of potential epitopes is much higher, since an epitope on average comprises 6 to 8 amino acids and each peptide therefore represents several overlapping epitopes. The randomly generated peptide sequences of this assay also allowed for screening of an extremely broad range of epitopes, including antigens other than autoantigens. Two identical arrays were synthesized and exemplarily incubated with the scFv of patient 4. Signals present in both experiments, but not detectable in the control incubations (anti-His HRP antibody alone) were evaluated as specific and mapped to the respective peptide sequences. Nine peptides were thereby identified as specific binding partners of the patient-4 scFv (Table 5). With the exception that 8 of the 9 peptides share tyrosine as their first amino acid, no sequence homologies could be detected among them. Also, no similarity to the translated sequence of the cDNA clone from the protein filter experiments was found. Submission of the peptide sequences to databases yielded no conclusive results.
Discussion
Several findings regarding clinical1-7 and cellular biological14,15,33 aspects of MALT lymphomas led to the concept that an antigenic stimulus marks the beginning of MALT lymphomagenesis, and that its sustained presence is necessary for maintenance of the tumor, at least in the early phase of tumor development.
From previous reports19,20,34-36 it was concluded that the tumor immunoglobulins bind to autoantigens (eg, rheumatoid factor, follicular dendritic cells, epithelial cells, and connective tissue) and that this self-reactivity marks the beginning of the events that lead to MALT lymphoma formation. In most of these studies the immunoglobulins of the tumor cells were produced as monoclonal antibodies by heterohybridoma technology and used in immunohistochemical stainings of various normal human tissues. A drawback of these studies was that the identity of the hybridoma antibodies with the original tumor immunoglobulins was not demonstrated by comparison of the characteristic Ig gene rearrangements of the monoclonal antibodies and the tumor cells.
In order to examine the reactivity of the tumor immunoglobulins with (auto)antigens and the role of these interactions for tumor genesis, we synthesized the MALT lymphoma immunoglobulins as recombinant scFv's. This approach ensured that the specificity of the antibodies used in our study corresponds to that of the MALT lymphoma tumor cells. Furthermore, scFv's are an established tool for immunologic and immunotherapeutic studies. Their application to several laboratory methods37,38 showed an identical affinity and a lower avidity (due to their monovalency) when compared with monoclonal antibodies. We could verify this observation with our anti-CD30 control scFv (Ber-H2 scFv), which showed specific but weaker binding to the CD30 antigen by FACS analysis and in immunohistochemical stainings of tonsils compared with the monoclonal Ber-H2 antibody. To compensate for the lower avidity in the immunohistochemical stainings we established a very sensitive amplification system. With this method the sensitivity was substantially increased and thus enabled demonstration of the CD30 antigen by the Ber-H2 scFv that equaled that of the Ber-H2 monoclonal antibody. In this way a sensitive and specific detection of the unknown antigens of the tumor scFv's by the immunohistochemical stainings was assured. The other assays employed (protein filter, peptide arrays) are inherently very sensitive due to their high antigen density, and an enhancement of the detection was not necessary. Recently, scFv's generated from the immunoglobulin genes of clonally expanded B cells from cerebrospinal fluid of patients with multiple sclerosis have been used successfully in immunohistochemical stainings to identify the former unknown specificity of these B cells.39 This further argues for the suitability of our scFv-based approach for the detection of antigens potentially involved in MALT lymphomagenesis.
For expression of the cloned immunoglobulin genes as scFv antibodies Drosophila S2 cells were chosen. Insect cell-expression systems have been shown to produce functional recombinant antibodies,40-44 and they are able to perform a wide range of posttranslational modifications.45
The analysis of the rearranged Ig gene sequences of the 7 MALT lymphomas (Table 3) revealed that the VH segments used in 6 of the 7 rearrangements (VH1-02, VH1-69, VH3-07, and VH3-23) are frequently used by autoantibodies.46-49 This indicates that the tumor immunoglobulins might indeed be directed against self-antigens. The Ig genes of all patients displayed somatic mutations consistent with the derivation of the tumor cells from memory B cells. To examine the antigen selection of the Ig sequences, 2 widely accepted methods were used. Both calculations yielded differing results (one patient vs 4 patients). This discrepancy demonstrates that the determination of antigen selection by mathematical models does not cover all aspects of a complex biological process such as somatic hypermutation, and has only limited significance. Thus, we could not clearly assign a selection by antigen to our sequences as done in other studies.12,14,15 In 4 of the 7 patients (patients 3, 4, 5, and 7) intraclonal variations, resulting from ongoing somatic mutations and/or from receptor revision,16 were present in the immunoglobulin genes. These immunoglobulin gene modifications are physiologically introduced during the germinal center reaction and lead, after antigen selection, to high-affinity memory B cells. However, MALT lymphomas do not display features of germinal center–derived lymphomas, and antigen-presenting cells are usually missing. We therefore suggest that the ongoing mutational process in MALT lymphomas is presumably the result of an erroneous activation of the immunoglobulin mutation machinery. This notion is well in line with our observation that different methods for the mathematical estimation of antigen selection demonstrate discrepant results.
One approach to study the specificity of the tumor scFv's was the immunohistochemical staining of a broad range of normal and pathologic human tissues. This method was chosen to detect protein and nonprotein (auto)antigens. The analysis revealed no specific binding of the tumor scFv's to structures in normal human tissues, a finding in contrast to previous reports.20,21,34-36 Only background signals, also present in the negative control or with the Ber-H2 control scFv, were observed in some tissues. An exception was the staining of cells with plasma cell morphology in tonsillar sections by the scFv of patient 1. Double immunohistochemical stainings with this scFv and an antibody against the transcription factor IRF450 confirmed the plasma cell identity of the cells marked by the scFv of patient 1. However, only a fraction of plasma cells was labeled, leaving the majority unstained by the scFv of patient 1. The labeled plasma cells belong to different immunoglobulin subclasses as shown in further double immunohistochemical stainings (Figure 2). Reactivity of a tumor immunoglobulin against a subclass independent antigen on plasma cells has also been reported by Greiner at al.21 In the tissue sections of 4 MALT lymphomas (patients 1-4), no reactivity of any of the 7 tumor scFv's could be found, arguing against a potential antigenic stimulus in the tumor vicinity. Screening of sections of H pylori–positive gastric biopsies and of native and denatured H pylori lysates by Western blot also revealed no reactivity of the tumor scFv's. Thus, H pylori does not appear to be a direct antigenic stimulus for the tumor cells. This is in agreement with previous observations.21 The screening of our scFv's against H pylori also aimed at the identification of superantigenic structures that might be shared by several antigens. Such a common epitope could help to provide a link between the development of gastric and nongastric MALT lymphomas. In summary, of the 7 tumor scFv's only the scFv of patient 1 showed binding to antigen in the immunohistochemical stainings of a wide range of formalin-fixed and frozen tissues.
Another approach to determine potential binding partners of the tumor scFv's was the screening of the protein filter set. As in the immunohistochemical stainings, specific signals were only detected by the scFv of patient 1. The corresponding cDNA was identified as coding for the Ufm1-conjugating enzyme (Ufc1).32 Its mRNA is reported to be ubiquitously expressed in human tissues; however, a significantly higher expression level has been observed in plasma cell lines (D.L. and M.H., unpublished data, October 2003). This is in agreement with the binding of the scFv of patient 1 to plasma cell antigens as shown by immunohistochemistry. That no binding of this scFv to Ufc1 protein was found in immunohistochemical stainings of human tissues, despite the ubiquitous expression pattern of Ufc1 mRNA, might be ascribed to a cellular protein concentration too low for immunohistochemical detection.
Further experiments were conducted with a peptide array. Nine potential binding partners (Table 5) were identified but no significant homologies between them or to other proteins were observed. This might be due to the fact that the peptide array used in this study is designed for detection of linear antigen epitopes, encoded by the primary sequence of a protein. In such epitopes not all amino acids are equally involved in antibody binding. For the peptides bound by the patient-4 scFv this means only some amino acids are essential for binding to the scFv, whereas others could be exchanged by amino acids with similar physicochemical properties in the native epitope. This could be an explanation for the lack of homology of the 9 peptides with database entries. In summary, the peptide array provided no conclusion in regards to a potential binding partner of the scFv.
Although numerous evidences point at an interaction of the immunoglobulins of MALT lymphoma tumor cells with antigens, this hypothesis was not confirmed by the results presented here. Only 2 of the 7 scFv's examined showed binding to potential antigens, and a role of these proteins for MALT lymphoma development could not be determined. In contrast, previous studies detected binding partners for the tumor immunoglobulins in almost all patients examined.20,21,35,36 The discrepant results might be explained by the use of hybridoma antibodies in these studies that did not unequivocally represent the tumor immunoglobulins and thus led to an overestimation of the reactivity of the MALT lymphoma immunoglobulins with (auto)antigens. In a recent study the immunoglobulins of some gastric and salivary gland MALT lymphomas were shown to bind to a hitherto undescribed target, the Fc portion of IgG (rheumatoid factor).19 However, such reactivity was not found in our scFv's despite the application of highly sensitive techniques.
The fact that, in our study, the majority of the tumor cell immunoglobulins displayed no binding to antigen suggests that the tumor Ig's do not play a significant role in stimulation and proliferation of the MALT lymphoma tumor cells. Instead, activation of the tumor B cells might be mediated by other receptors participating in antigen-induced signaling. This is in line with the in vitro finding that tumor-infiltrating T cells are important for proliferation of MALT lymphoma tumor cells in the presence of H pylori.17,18
Prepublished online as Blood First Edition Paper, October 4, 2005; DOI 10.1182/blood-2005-04-1722.
Supported by the Deutsche Krebshilfe.
D.L. performed research, designed research, analyzed data, and wrote the paper; E.B. performed research; R.V.-E. and A.A.W. contributed analytical tools and analyzed data; I.A., A.G., and C.K.-W. contributed vital new reagents or analytical tools; H.S. designed research and made significant contributions to discussion; and M.H. designed research, analyzed data, and made significant contributions to discussion.
The publication costs of this article were defrayed in part by page charge payment. Therefore, and solely to indicate this fact, this article is hereby marked “advertisement” in accordance with 18 U.S.C. section 1734.



