Abstract
In type 2B von Willebrand disease, there is spontaneous binding of mutated von Willebrand factor (VWF) multimers to platelets. Here we report a family in which severe thrombocytopenia may also be linked to abnormal megakaryocytopoiesis. A heterozygous mutation in the VWF A1 domain gave a R1308P substitution in an interactive site for glycoprotein Ibα (GPIbα). Electron microscopy showed clusters of platelets in close contact. Binding of antibodies to the GPIbα N-terminal domain was decreased, whereas GPIX and GPV were normally detected. In Western blotting (WB), GPIbα, αIIb, and β3 were normally present. Proteins involved in Ca2+ homeostasis were analyzed by quantitating platelet mRNA or by WB. Plasma membrane Ca2+ ATPase (PMCA)-4b and type III inositol trisphosphate receptor (InsP3-R3) were selectively increased. The presence of degradation products of polyadenosine diphosphate (ADP)-ribose polymerase protein (PARP) suggested ongoing caspase-3 activity. These were findings typical of immature normal megakaryocytes cultured from peripheral blood CD34+ cells with TPO. Significantly, megakaryocytes from the patients in culture produced self-associated and interwoven proplatelets. Immunolocalization showed VWF not only associated with platelets, but already on the megakaryocyte surface and within internal channels. In this family, type 2B VWD is clearly associated with abnormal platelet production.
Introduction
Von Willebrand disease (VWD) is the most common inherited disorder of the platelet-vessel wall interaction and involves both quantitative and qualitative defects of von Willebrand factor (VWF), a crucial mediator of platelet function and carrier of the FVIII protein. In type 1 and type 3 VWD, deficiencies or absence of VWF protein are responsible for the bleeding syndrome, but in type 2 disease a functionally abnormal protein or the specific lack of large multimers account for the VWD phenotype.1,2 In hemostasis, glycoprotein Ibα (GPIbα) mediates platelet attachment to exposed subendothelium by binding through its N-terminus to the A1 domain of VWF exposed within the subendothelial matrix.3,4 In healthy subjects, soluble VWF multimers in plasma fail to gain access to their binding site on GPIbα, accessibility being controlled by a disulfide-linked double-loop region just below the leucine-rich repeats of GPIbα.5 In type 2B VWD, mutations giving rise to a selective number of amino acid substitutions in the A1 domain provide gain of function to the VWF multimers which then spontaneously bind to platelets in suspension through a direct interaction with GPIbα.6-8 This often results in the loss of the largest multimers from plasma, although these may be at least partially preserved in some cases.9 Bleeding results from platelets having blocked GPIb function despite a heightened ristocetin-induced platelet agglutination in platelet function testing, and perhaps through the relative hemostatic inefficiency of the remaining small multimers. The thrombocytopenia that accompanies this disorder in some, although not all, patients may also be a factor in defining bleeding severity.
The gain-of-function mutations that give rise to type 2B VWD are clustered within exon 28 (see the International Society on Thrombosis and Haemostasis Scientific and Standardization Committee [ISTH SSC] database10 ) of the VWF gene. Among the most affected codons is arginine (R)1308, which is commonly substituted by a cysteine (C), and in isolated cases by histidine (H), proline (P), or leucine (L) residues.2,11-16 Although the basic phenotype of type 2B VWD can be accounted for by the ability of the mutated protein to spontaneously bind to platelets, some reports highlight platelet abnormalities that are difficult to explain by this interaction alone. For example, the degree of reported thrombocytopenia is highly variable, with sometimes giant and morphologically abnormal platelets being observed.17,18 We ourselves have previously reported giant platelets in 3 unrelated patients with type 2B VWD.19 Here, we describe a previously unreported family with an autosomal dominant trait and where severe thrombocytopenia is associated with the presence of agglutinates of morphologically abnormal platelets. Analysis of the VWF gene using DNA from both affected members of the family identified a heterozygous R1308P substitution in VWF. Other studies on platelets of both patients concentrated on 2 Ca2+ pump families, the plasma membrane Ca2+ ATPases (PMCAs) and the sarco/endoplasmic reticulum Ca2+ ATPases (SERCAs), and in particular SERCA3, of which several isoforms exist in platelets.20 We noted an increased presence of PMCA4b and inositol trisphosphate receptor 3 (InsP3-R3). As we also showed changes in Ca2+ ATPase and InsP3-R3 distribution during proplatelet production by normal megakaryocytes (MKs) in culture, we considered that abnormal megakaryocytopoiesis might be part of the phenotype in this family. Significantly, culture of peripheral blood CD34+ cells of both patients resulted in MKs showing self-associated proplatelets, with VWF already bound to the MK surface. In this family, type 2B VWD and familial thrombocytopenia due to an altered megakaryocytopoiesis are clearly related.
Patients, materials, and methods
Case reports
The patients are a brother (patient 1) and sister (patient 2), 58 and 57 years old, respectively. Relevant hemostatic parameters are summarized in Table 1. Both have a lifelong bleeding diathesis and a history of severe thrombocytopenia, with circulating platelet agglutinates a constant feature (Figure 1). Single platelet counts for each patient were always less than 25 × 109/L when performed with an Advia 120 counter (Bayer, Puteaux, France), values that were confirmed by manual counting using a light microscope. For the brother, bleeding was frequent during childhood, with epistaxis several times a week. The sister additionally had excessive bleeding at the time of menarche, and she experienced severe and prolonged bleeding during surgery (appendectomy). The hemorrhagic tendency has decreased with age for both patients and is now less frequently spontaneous. Arterial hypertension was first noted for both patients at around 20 years old, and they are treated with β-blockers. Although both have received platelet transfusions, tests for antiplatelet antibodies are negative. Their now-deceased father had the same bleeding profile, with severe thrombocytopenia and agglutinated platelets. There is no evidence of a bleeding syndrome in other family members although the paternal grandfather died when very young. Patient 1 has 1 son in apparent good health but who was unavailable for study. Controls were from hospital staff. All donors gave informed consent according to the Declaration of Helsinki, and studies were performed in line with local ethical protocols.
Hemostatic tests and molecular diagnosis of type 2B VWD
Hemostatic tests were normal in routine testing unless stated otherwise. Prothrombin consumption evaluated by measuring residual prothrombin with the Neoplastine CI plus kit (Diagnostica Stago, Asnières, France) was abnormal, typical results being 22% for patient 1 and 38% for patient 2 (normal range, 2%-10%). Ristocetin cofactor activity (VWF:RCo) and VWF:Ag were evaluated as described.19 Typical values are given in Table 1. FVIII:C was measured using a 1-stage assay with FVIII:C-deficient plasma as the substrate (Behring Diagnostica, Rueil Malmaison, France). It should be noted that results for the 2 patients varied with blood group. Ristocetin-induced platelet agglutination (RIPA) was hampered for the patient by the spontaneous agglutination; plasma from both patients caused a weak agglutination of washed control platelets, and this response was increased by low doses of ristocetin (data not shown).
Ultrastructure of platelets in PRP from patient 1 as shown by standard transmission electron microscopy. Note the presence of platelet agglutinates and platelets of different size and shape that include round forms. Granules are randomly distributed and the platelets show no signs of activation (A). Platelets are often attached through discrete areas of surface contact; arrows highlight how protein bridges can be seen clearly at some interfaces (B), while at other interfaces the membrane surfaces appear to be in direct contact (C). Scale bar in panel A equals 0.5 μm; scale bars in panels B and C equal 200 nm.
Ultrastructure of platelets in PRP from patient 1 as shown by standard transmission electron microscopy. Note the presence of platelet agglutinates and platelets of different size and shape that include round forms. Granules are randomly distributed and the platelets show no signs of activation (A). Platelets are often attached through discrete areas of surface contact; arrows highlight how protein bridges can be seen clearly at some interfaces (B), while at other interfaces the membrane surfaces appear to be in direct contact (C). Scale bar in panel A equals 0.5 μm; scale bars in panels B and C equal 200 nm.
The INSERM network on molecular abnormalities in VWD14 performed specialized diagnosis. An absence of high-molecular-weight VWF multimers was shown by sodium dodecyl sulfate-polyacrylamide gel electrophoresis (SDS-PAGE). ADAMTS 13 activity in the plasma was normal. Genomic DNA was extracted from EDTA-anticoagulated whole blood using standard methods and a heterozygous 3923 G → C transition was identified following polymerase chain reaction (PCR) amplification of the 5′ portion of exon 28 of the VWF gene and direct sequencing. This gave rise to a heterozygous R1308P substitution in the VWF protein for both patients. Sequencing of the GPIbα gene according to Hillmann et al21 revealed no mutations (data not shown).
The VWF:RCo/VWF:Ag ratios were always more than 0.7 for both patients, near normal values seen for about 20% of type 2B patients in the French VWD network.14 The A blood group of patient 1 with higher VWF:Ag and VWF:RCo was not associated with a more severe thrombocytopenia or a clinically more severe form of the disease.
Platelet glycoprotein analysis
Unless stated otherwise, blood was withdrawn on 3.8% sodium citrate (9:1 vol/vol). Platelet-rich plasma (PRP) was prepared by centrifugation at 120g for 10 minutes.
Flow cytometry. PRP was incubated with monoclonal antibodies (MoAbs) specific for αIIbβ3 (AP-2; provided by Dr T. Kunicki, Scripps Research Institute, La Jolla, CA), GPIbα (Bx-1, prepared by the Unité Mixte de Recherche 5533 du Centre National de Recherche Scientifique, Bordeaux, France; AP-1, from Dr Kunicki; Alma-12, from Dr F. Lanza, EFS-Alsace, Strasbourg, France; SZ1, from Beckman Coulter, Marseille, France; and WM23, from Dr M Berndt, Melbourne, Australia), GPIX (FMC25; Chemicon, Paris, France) and α2β1 (Gi9; Beckman Coulter) according to our standard procedures.22 In some experiments, PRP prepared from ACD-A-anticoagulated blood was supplemented with apyrase (Sigma, St Louis, MO) and ACD-A as described,22 and the platelets sedimented prior to resuspension in phosphate-buffered saline (PBS) buffer (pH 7.2). These platelets were incubated with the following antibodies: rabbit anti-VWF (Dako, Trappes, France), or murine anti-ligand-induced binding site (LIBS) MoAb, AP-6 (IgM, from T. Kunicki); anti-receptor-induced binding site (RIBS), F26 (IgG, originally given by Dr H. Gralnick, National Institutes of Health [NIH], Bethesda, MD), VH10 (IgG, anti-P-selectin, prepared by the Bordeaux Laboratory). Platelets were sequentially incubated with primary antibody followed by fluorescein isothiocyanate (FITC)-labeled F(ab′)2 fragments of goat antibodies to mouse or rabbit immunoglobulins (Dako).22 For the detection of AP-6, dichlorotriazinylaminofluorescein (DTAF)-conjugated affinity-purified F(ab′)2 fragments of donkey anti-mouse IgM (Jackson ImmunoResearch, West Grove, PA) were used. All antibodies were at predetermined primary concentrations. Platelets were analyzed in a Cytomics F 500 (Beckman Coulter, Villepinte, France) or a FACSCalibur (Becton Dickinson, San Jose, CA) flow cytometer. Gating to select platelets was based on preliminary determinations of forward and wide-angle light scatter; agglutinates were excluded. Mean fluorescence intensity (MFI) was measured after passage through a 530-nm long-pass interference filter. Histograms were generated from measurements of 10 000 cells, and data were analyzed using RXP software (Beckman Coulter) or the Cell Quest software (Becton Dickinson).
Western blotting. Washed platelets were prepared as described22 and lysed in buffer containing 10 mM Tris-HCl (pH 7.0), 3 mM EDTA (ethylenediaminetetraacetic acid), 5 mM N-ethylmaleimide, and 2% SDS.21 When performed, disulfide reduction was with dithiothreitol. Then, 10 μg or 20 μg protein was separated by SDS-PAGE on minigels and transferred electrophoretically onto nitrocellulose membrane using Trans-Blot Transfer Medium (Amersham Life Science, Bucks, United Kingdom). Nonspecific binding of protein was blocked by incubating the membrane for 1 hour in a solution of 5% fat-free milk in 20 mM Tris-HCl (pH 8.2) containing 0.05% (vol/vol) Tween 20 (TB-T). Individual membrane strips were then incubated with MoAbs to GPIbα (Bx-1; 1 μg/mL), αIIb (SZ22, 0.5 μg/mL; Beckman Coulter), or β3 (Y2/51, 0.5 μg/mL; Dakopatts, Glostrup, Denmark) for 12 hours at room temperature. After washing, the membrane was further incubated with a 1:10 000 dilution of horseradish peroxidase-conjugated anti-mouse or anti-rabbit IgG (Jackson ImmunoResearch), and bound antibody was detected using a chemiluminescence procedure (Amersham Life Science).21
Studies on calcium-binding proteins and caspase activities in platelets
Total RNA and protein lysates were simultaneously prepared from EDTA-anticoagulated blood using TRIZOL solution as recommended by the manufacturer (Invitrogen, Cergy-Pointoise, France).
Western blotting. Electrophoresis of proteins and Western blotting (WB) analysis was performed as previously described.23,24 Individual nitrocellulose membrane strips were incubated with MoAbs to total PMCA (5F10; Affinity BioReagents, Neshanic Station, NJ), PMCA4b (JA3; Labvision, Fremont, CA), total SERCA3 (PL/IM430; originally obtained from Dr N. Crawford, London, United Kingdom), total SERCA2 (IID8, Affinity BioReagents; platelets only express SERCA2b), caspase-9 (Upstate, Lake Placid, NY), caspase-12 (Sigma), InsP3-R3 (Transduction Laboratories, Lexington, KY), μ-calpain (Calbiochem, San Diego, CA) and PARP (Calbiochem). Also used were rabbit antibodies to SERCA3a and SERCA3b (Kovàcs et al25 ), β3 (a gift from Dr D. Pidard, Paris, France), calreticulin (Novus Biological, Littleton, CO), InsP3-R1 (Affinity BioReagents), and InsP3-R2 (Santa Cruz Biotechnology, Santa Cruz, CA). Antimouse and antirabbit peroxidase-conjugated antibodies were from Jackson ImmunoResearch.
RT-PCR-based analyses. These were essentially performed according to published procedures.23,24 The primers used to amplify mRNA for PMCA1b, PMCA4b, SERCA2b, SERCA3a- to 3c, and InsP3-R1 to -R3 were detailed previously by us.23,26,27 PCR was performed acording to Martin et al23 where a touchdown-PCR was performed using 10 cycles with annealing temperature decrements from 65°C to 55°C. PCR was conducted for different cycles, each of them consisting of successive periods of denaturation at 95°C for 1 minute, annealing at 58°C for 1 minute, and extension at 72°C for 1 minute. GAPDH amplifications were used as controls of the amounts of RNA. Other controls included amplifying SERCA2b in the absence of reverse transcriptase (RT). PCR products were visualized on ethidium bromide-stained gels. The gels were scanned using Adobe Photoshop (Adobe Systems, San Jose, CA) and quantified by Molecular Analyst, version NIH Image 1.62b7 (Research Service Branch, National Institute of Medical Health, Bethesda, MD).
In vitro liquid cultures of megakaryocytes from CD34+ cells
CD34+ cells were obtained from umbilical cord blood, from healthy adult donors undergoing leukapheresis, or from the peripheral blood of the patients. Precursor cells were separated over a Ficoll-metrizoate gradient (Lymphoprep; Nycomed Pharma, Oslo, Norway) to obtain an enriched fraction of mononuclear cells. CD34+ cells were purified using an immunomagnetic cell-sorting system according to the manufacturer's protocol (AutoMacs; Miltenyi Biotec, Bergisch Gladbach, Germany) and cultivated in serum-free medium prepared as previously reported and containing TPO (10 ng/mL; Kirin Brewery, Tokyo, Japan).28 Samples were taken between days 8 and 17 (as described in “Results”). Total RNA and protein lysate were simultaneously prepared and treated for RT-PCR or WB analysis for Ca2+ ATPases or calcium-binding proteins as described for platelets.
Analysis of proplatelet formation and immunofluorescence studies
Cultured megakaryocytes derived from CD34+ cells from the patients were plated on poly-l-lysine-coated slides (Menzel-Glaser, Braunschweig, Germany) at day 12 of culture for 1 hour in a cell incubator (37°C, 5% CO2 in air, 100% humidity). Cells were then fixed with 2% paraformaldehyde for 5 minutes, permeabilized with 0.1% Triton X-100 for 5 minutes, and incubated with a mouse anti-P-selectin (VH10; “Platelet glycoprotein analysis”) and rabbit anti-VWF (Dako) antibodies at predetermined saturating amounts for 1 hour at room temperature. After 3 subsequent washes, cells were incubated with the appropriate secondary antibodies conjugated with FITC or TRITC.28 When performed, counterstaining for nuclei was with DAPI. The images were acquired using a Zeiss laser scanning microscope (LSM 510; Zeiss, Jena, Germany) by using a 63×/1.0 NA oil objective or an inverted Leica DM IFBE microscope (Leica Microsystems, Rueil Malmaison, France) again with a 63×/1.0 NA oil objective.
Electron microscopy
PRP was prepared from citrated blood by centrifugation for 10 minutes at 80g, incubated for 20 minutes at 37°C, and fixed in 1.25% glutaraldehyde (Fluka, Buchs, Switzerland) for 1 hour at room temperature. Samples were processed for standard electron microscopy (EM) as previously described.19 Cultured megakaryocytes from the patients or control donors were fixed under the same conditions for 1 hour, washed, and transported to Bordeaux overnight in 0.5% glutaraldehyde. For immunogold labeling, sucrose-loaded megakaryocytes were frozen in propane and then in liquid nitrogen using a Reichert KF 80 freezing system (Leica, Vienna, Austria).29 Ultrathin sections were cut at -120°C with an Ultracut E ultramicrotome (Reichert, Villepinte, France) equipped with an FC 4E cryokit attachment (Reichert) and placed on collodion-coated nickel grids.29 After washing, sections were floated on buffer containing anti-VWF (10 μg/mL; Dako). Bound antibody was detected using goat anti-rabbit IgG conjugated to 10 nm gold particles (Amersham, Orsay, France). The sections were stained with uranyl acetate and osmium according to our standard procedures.29 Sections were embedded in a thin film of methylcellulose and observed with a Jeol JEM-1010 transmission electron microscope (Jeol, Croissy-sur-Seine, France) at 80 kV. Controls included the absence of primary antibody or its substitution with an irrelevant IgG of the same species and at the same concentration.
Statistics
Data are presented as mean ± SD. Statistical significance was determined in multiple comparisons among independent groups of data in which analysis of variance (ANOVA) indicated the presence of significant differences. P values less than .01 were considered significant.
Results
Platelet ultrastructure
For the 2 patients, platelet agglutinates were observed on smears of whole blood. Results were similar with blood anticoagulated with EDTA, ACD-A, or citrate, thus ruling out EDTA-dependent pseudothrombocytopenia. Electron microscopy showed that platelets in PRP were often round and somewhat enlarged, but not giant (Figure 1). Interestingly, platelets were often joined together by well-defined areas of contact. Sometimes, protein bridges could be seen between the adjacent platelets (Figure 1B), but in others the contact was tight and fuzzy at high power, as if fusion had occurred (Figure 1C). Although platelet agglutinates were present, there were no signs of platelet activation; the α-granules were not centralized and pseudopodia were rare. Platelet aggregation with physiologic agonists could not be tested, not only because of the very low platelet count in PRP, but also because of continued spontaneous platelet agglutination under stirring.
Studies on platelet glycoproteins by flow cytometry and WB
As shown in Figure 2A, platelets from both patients normally expressed α2β1 (Gi9) and αIIbβ3 (AP2) integrins by flow cytometry while both the αIIb (not shown) and β3 subunits were normally seen by WB (Figure 2B). A panel of MoAbs directed against different epitopes of the GPIb-IX-V complex were tested in flow cytometry. Whereas MoAbs directed against GPIbα (AP-1, Alma-12, Bx-1, and WM23) showed decreased binding, that of MoAbs directed against GPIX (FMC25) or an epitope depending on the presence of the complex (SZ1) were normal or increased. By testing platelets sedimented and resuspended in buffer, we found an increased presence of VWF for both patients but more for patient 2. The use of anti-RIBS and anti-LIBS MoAbs showed that αIIbβ3 showed little signs of activation (Figure 2C). Expression of P-selectin at the platelet surface was also minimal, thereby confirming the absence of spontaneous secretion. WB showed no evidence of platelet GPIbα deficiency (Figure 2B), suggesting that the lower expression of GPIbα in flow cytometry was a question of MoAb accessibility, perhaps linked to the presence of VWF.
Studies on proplatelet production and VWF expression by megakaryocytes cultured in vitro from CD34+ cells isolated from peripheral blood of the patients
CD34+ cells were isolated from the blood of both patients and cultured in the presence of TPO. As seen by phase-contrast microscopy, control cultures contained megakaryocytes with the typical long processes of mature cells (Figure 3A). Megakaryocyte cultures were obtained for the patients were clearly capable of producing proplatelets. Both short extensions and long processes were seen. But to our surprise, and unlike those seen for control cultures, the latter were interwoven with touching membranes (Figure 3B). The distribution of VWF in the megakaryocytes was next examined by fluorescence microscopy and compared to that of P-selectin. Normally VWF, which is synthesized in the megakaryocytes, is trafficked from the trans-Golgi apparatus to the α-granules. This leads to a punctated and largely intracellular distribution in confocal microscopy (illustrated in Wilcox et al30 ). For the megakaryocytes of both patients, we unusually detected VWF on the cell surface including on the proplatelets (Figure 3C-K). In most cells an accompanying intracellular distribution was also observed. In contrast, P-selectin had a normal intracellular localization (Figure 3G, J). After double labeling, VWF was clearly not always colocalized with P-selectin as an α-granule marker, the VWF surface pool being clearly distinguishable (Figure 3H, K). Immunogold labeling and electron microscopy confirmed the presence of VWF on the surface of megakaryocytes (including on protrusions), within the channels of the surface-connected system as well as in α-granules (Figure 4).
Platelet glycoprotein analysis by flow cytometry and WB. (A) PRP from patients 1 and 2 or a control donor were incubated with a battery of MoAbs recognizing αIIbβ3 (AP2), α2β1 (Gi9), GPIbα (AP1, Alma12, Bx1, WM23), GPIX (FMC25), or the GPIb-IX complex (SZ1). Antibody binding was assessed by flow cytometry. (B) Lysates of platelets from patients 1 (P1) and 2 (P2) and a control donor were analyzed by SDS-PAGE and immunoblotted with MoAbs to β3 and GPIbα. (C) Platelets from patients 1 and 2 or a control donor were sedimented and resuspended in washing buffer prior to incubation with a polyclonal antibody to VWF, a MoAb to P-selectin (VH10), and anti-LIBS and anti-RIBS MoAbs, respectively. Flow cytometric histograms are shown.
Platelet glycoprotein analysis by flow cytometry and WB. (A) PRP from patients 1 and 2 or a control donor were incubated with a battery of MoAbs recognizing αIIbβ3 (AP2), α2β1 (Gi9), GPIbα (AP1, Alma12, Bx1, WM23), GPIX (FMC25), or the GPIb-IX complex (SZ1). Antibody binding was assessed by flow cytometry. (B) Lysates of platelets from patients 1 (P1) and 2 (P2) and a control donor were analyzed by SDS-PAGE and immunoblotted with MoAbs to β3 and GPIbα. (C) Platelets from patients 1 and 2 or a control donor were sedimented and resuspended in washing buffer prior to incubation with a polyclonal antibody to VWF, a MoAb to P-selectin (VH10), and anti-LIBS and anti-RIBS MoAbs, respectively. Flow cytometric histograms are shown.
Studies of proteins involved in Ca2+ signaling in the patients' platelets
A common feature of the binding of various ligands to their receptors is a modulation of Ca2+ homeostasis. Ca2+ signaling is controlled by many Ca2+ ATPases and InsP3 receptors, some of them being involved in cell differentiation and apoptosis.31,32 This led us to compare the expression of SERCA- and PMCA-type Ca2+ ATPases as well as InsP3 receptors in platelet samples isolated from both patients and healthy donors. Figure 5A compares the expression of SERCA-type Ca2+ ATPases (2b, total 3 [lane 6], 3a [lane 7], 3b), total PMCA (1b + 4b), PMCA4b, and InsP3-R1 to -R3 proteins by WB. Calreticulin and β3 were chosen as control proteins. Quantitative comparisons of the expressions of the different proteins are shown in Figure 5B. Expression of InsP3-R3 and PMCA4b was 149% ± 8% and 308% ± 25% greater in platelets isolated from patient 1, and 192% ± 18% and 368% ± 14% greater in platelets isolated from patient 2. RT-PCR was used to study mRNAs for these proteins in the platelets from the controls and the patients. SERCA-type Ca2+ ATPases, InsP3-R1, InsP3-R2, and PMCA1b showed only slight variations between the controls and the patients. In line with the altered protein expression, platelets from both patients showed an increased content of InsP3-R3 and PMCA4b mRNA (Figure 5C-D). Here, increases amounted to 175% ± 36% and 211% ± 23% in platelets isolated from patient 1 and 221% ± 28% and 228% ± 29% in platelets isolated from patient 2. Specific increases were also seen for mRNAs of some SERCAs, with SERCA3a increased by 177% ± 22% for patient 1 and 186% ± 26% for patient 2. In the context of our earlier work, these results suggested an abnormal megakaryocytopoiesis.27,32
Phase-contrast and immunofluorescence analysis of megakaryocytes cultured in vitro from CD34+ peripheral blood samples from patient 1. (A) Phase-contrast microscopy shows that megakaryocytes from a control donor at day 12 of culture have typical long and discrete proplatelets (arrows). (B) In contrast, megakaryocytes from patient 1 give rise to proplatelets that are intertwined (arrowheads). (C-E) Fixed and permeabilized cells from the patient were subjected to immunofluorescence labeling for VWF (green). Results show that at day 12 for the patient, VWF has both intracellular and surface staining (white arrows). Nuclei are shown in blue by DAPI. (F-K) Confocal microscopy shows the distribution of VWF and P-selectin in cultured megakaryocytes from patient 1. Cells taken at day 12 were fixed and permeabilized prior to being labeled for VWF (green fluorescence) (F,I) and P-selectin (red fluorescence) (G,J). When the colors were merged (H,K), much of the VWF has a different localization to the α-granule marker, P-selectin, with the labeling for VWF clearly extending to the surface of the cell. Images were acquired using a 63 ×/1.4 NA oil objective.
Phase-contrast and immunofluorescence analysis of megakaryocytes cultured in vitro from CD34+ peripheral blood samples from patient 1. (A) Phase-contrast microscopy shows that megakaryocytes from a control donor at day 12 of culture have typical long and discrete proplatelets (arrows). (B) In contrast, megakaryocytes from patient 1 give rise to proplatelets that are intertwined (arrowheads). (C-E) Fixed and permeabilized cells from the patient were subjected to immunofluorescence labeling for VWF (green). Results show that at day 12 for the patient, VWF has both intracellular and surface staining (white arrows). Nuclei are shown in blue by DAPI. (F-K) Confocal microscopy shows the distribution of VWF and P-selectin in cultured megakaryocytes from patient 1. Cells taken at day 12 were fixed and permeabilized prior to being labeled for VWF (green fluorescence) (F,I) and P-selectin (red fluorescence) (G,J). When the colors were merged (H,K), much of the VWF has a different localization to the α-granule marker, P-selectin, with the labeling for VWF clearly extending to the surface of the cell. Images were acquired using a 63 ×/1.4 NA oil objective.
Studies of proteins involved in Ca2+ homeostasis in normal megakaryocytes
Next, CD34+ cells isolated from cord blood or after leukapheresis were cultured in vivo. Samples taken between days 8 and 17 were analyzed by WB or by RT-PCR for mRNA content. Typical Western blots for protein expression in the megakaryocytes are shown in Figure 6A and compared with the expression of β3 and calreticulin. A quantitative evaluation of the data is given in Figure S1, available on the Blood website (see the Supplemental Figures link at the top of the online article). Whereas calreticulin levels remained stable, levels of β3 increased with megakaryocyte maturation. A specific increase in SERCA3a protein expression was accompanied by a net decrease in PMCA4b expression during proplatelet formation (days 11-17). The kinetics of this are shown in Figure 6B and compared with β3 expression. The source of the CD34+CD41+ cells had little influence on the results. InsP3 receptors were not studied here. Results for platelets are shown for comparison. In terms of mRNA levels, while those of PMCA1b and InsP3-R1 to -R2 showed modest regulations in the megakaryocytes, significantly, SERCA3-type Ca2+ ATPases are transitionally up-regulated upon proplatelet formation and both PMCA4b and InsP3-R3 showed a net decrease from day 11 onwards (Figure S2).
Caspase activity in platelets of the patients and in normal megakaryocytes in culture
Since platelet production is associated with caspase-3 activation and since PMCA4b is a caspase-3 substrate,30,31 we looked at possible variations in caspase-3 activation during proplatelet formation and platelet release. We first looked for evidence of caspase-3 activity in normal megakaryocytes by testing for cleavage of the caspase-3 substrate PARP. As shown, in Figure 6A, the native form of PARP (116 kDa) was cleaved from day 11 onwards and in parallel with the loss of PMCA4b, including its caspase-3-mediated proteolysis (typical 120-kDa fragment) and the formation of proplatelets.
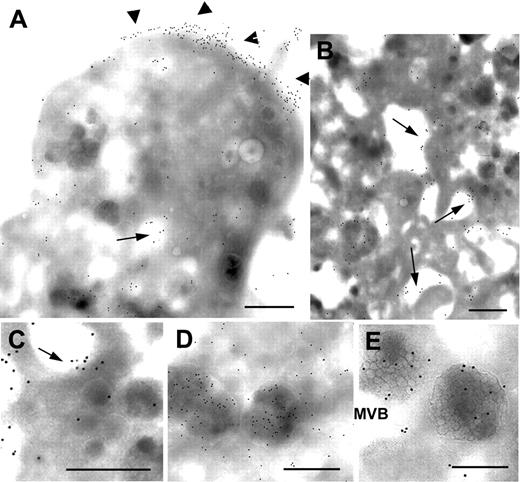
Immunogold labeling of VWF on cultured cells. Megakaryocytes at day 12 from cultures of CD34+ cells isolated from the peripheral blood of patient 1 were fixed, and frozen thin sections were stained sequentially using a polyclonal anti-VWF antibody and a secondary antibody to rabbit IgG adsorbed onto 10-nm gold beads. Transmission electron microscopy revealed that VWF was present on the cell surface (arrowheads, panel A) as well as in intracellular canals (arrows, panels A-C) and in well-developed α-granules (D-E). Multivesicular bodies (MVB) are seen in panel E. Scale bars equal 500 nm.
Immunogold labeling of VWF on cultured cells. Megakaryocytes at day 12 from cultures of CD34+ cells isolated from the peripheral blood of patient 1 were fixed, and frozen thin sections were stained sequentially using a polyclonal anti-VWF antibody and a secondary antibody to rabbit IgG adsorbed onto 10-nm gold beads. Transmission electron microscopy revealed that VWF was present on the cell surface (arrowheads, panel A) as well as in intracellular canals (arrows, panels A-C) and in well-developed α-granules (D-E). Multivesicular bodies (MVB) are seen in panel E. Scale bars equal 500 nm.
Abnormal expression of proteins involved in Ca2+ signaling in the patients. Platelets isolated from 3 healthy donors (C1-C3) and the 2 patients P1 and P2 were treated for simultaneous isolation of total lysate proteins and RNA. (A) Proteins were subjected to SDS-PAGE and WB using the isoform-specific antibodies indicated to detect PMCA, InsP3-R, and SERCA-type proteins as well as β3 and calreticulin (internal controls). In this figure and Figures 6, 7, the size of proteins is given in kilodaltons. (B) The intensity of the bands was quantified by densitometry and the mean values obtained for the 3 healthy donors were arbitrarily taken as 100%. The mean ± SD values (n = 8) of relative intensity (normalized to calreticulin) are shown in arbitrary units. *P < .01 compared with values from healthy donors. (C) Total RNA was subjected to specific RT-PCR to detect PMCA-, InsP3-R- and SERCA-RNA species, as well as GAPDH (internal control). Numbers indicate the sizes of PCR products in base pairs (bp). (D) The intensity of the bands was quantified as in panel B, except that the mean values (n = 6-10) of relative intensity were normalized to GAPDH. *P < .01 compared with values from healthy donors.
Abnormal expression of proteins involved in Ca2+ signaling in the patients. Platelets isolated from 3 healthy donors (C1-C3) and the 2 patients P1 and P2 were treated for simultaneous isolation of total lysate proteins and RNA. (A) Proteins were subjected to SDS-PAGE and WB using the isoform-specific antibodies indicated to detect PMCA, InsP3-R, and SERCA-type proteins as well as β3 and calreticulin (internal controls). In this figure and Figures 6, 7, the size of proteins is given in kilodaltons. (B) The intensity of the bands was quantified by densitometry and the mean values obtained for the 3 healthy donors were arbitrarily taken as 100%. The mean ± SD values (n = 8) of relative intensity (normalized to calreticulin) are shown in arbitrary units. *P < .01 compared with values from healthy donors. (C) Total RNA was subjected to specific RT-PCR to detect PMCA-, InsP3-R- and SERCA-RNA species, as well as GAPDH (internal control). Numbers indicate the sizes of PCR products in base pairs (bp). (D) The intensity of the bands was quantified as in panel B, except that the mean values (n = 6-10) of relative intensity were normalized to GAPDH. *P < .01 compared with values from healthy donors.
As sufficient cultured megakaryocytes were unavailable for WB, we re-examined platelets from the patients and looked for an abnormal caspase-3 activity. Using the same protein samples as those in Figure 5, we detected full-length PARP in platelets of healthy donors and in the 2 patients (Figure 7). In addition, a cleaved 85-kDa PARP degradation product was specifically observed in the platelets of the 2 patients (Figure 7). In contrast, no trace of cleaved PARP was detected in normal platelets. Because caspase-9 and caspase-12 are activated in parallel to caspase-3 during megakaryocytopoiesis,33,34 we looked for their presence in the platelets of patient 2. However, only procaspase-9 and pseudoprocaspase-12 were detected and without any degradation (Figure 7). Finally, because μ-calpain may promote apoptosis-like events during platelet activation and may degrade PMCA4b (although proplatelet formation is not a calpain-dependent process),32,33 we studied calpain expression in the platelets of the same donors and patients. Again, no trace of autoproteolysis could be detected under our experimental conditions (Figure 7).
Thus, the 2 patients studied here had an abnormal caspase-3 activity in their platelets, and higher PMCA4b and InsP3-R3 expression. Comparison with the relative expression and/or activity of the same proteins during megakaryocytopoiesis suggests that the platelets may be produced from immature cells in an apoptotic phase of proplatelet formation.
Discussion
Our family was characterized by the presence of a heterozygous R1308P substitution in the VWF A1 domain, spontaneous binding of VWF to platelets, and autosomal dominant inheritance that typifies type 2B VWD. Less typical was the constant presence of circulating platelet agglutinates and a severe thrombocytopenia. Strikingly, the agglutinates were seen in the presence of all anticoagulants and continued to be seen when blood was taken directly into anticoagulant containing saturating amounts of blocking antibodies for αIIbβ3 (abciximab) and GPIbα (alma-12) (data not shown). When characterized by electron microscopy, the agglutinates were mostly composed of heterogeneously sized and often rounded platelets with distinct zones of contact. It is probable that spontaneous binding of the mutated VWF is causing the agglutination. Previous results from our laboratory have visualized VWF bridges cross-linking platelets following RIPA or shear-induced platelet aggregation.35,36 The finding that MoAbs to GPIbα bound less well to the patients' platelets than MoAbs to GPIX or to a complex-dependent determinant on GPIb-IX, are also compatible with a masking effect of surface-bound VWF.
Despite these results, such a severe thrombocytopenia and the presence of platelet agglutinates is rare in patients with type 2B VWD.1,2,14 One possibility is that the nature of the mutation in this disease can influence phenotype, and studies with recombinant proteins mutated at different residues within the A1 domain (amino acid [aa] 1260-1479) have confirmed that they bind with different affinities to GPIbα.37,38 While the presence of agglutinates and severe thrombocytopenia is one variable in type 2B VWD, the presence of giant platelets is another.17-19 Yet, 3 patients with thrombocytopenia and giant platelets possessed different mutations in the VWF gene (1304insMet, V1316M, P1337L), showing that such morphologic changes are not linked to a recurrent mutation.19 Although thrombocytopenia can be greater during pregnancy or after DDAVP infusion in type 2B VWD, when plasma levels of VWF are increased,1,39 in our family the severe thrombocytopenia was constant. Important questions therefore arise as to why such platelet variability is seen in type 2B VWD, and what factors control the “platelet” phenotype.
It has previously been demonstrated that spontaneous binding of mutated type 2B VWF induces a cytoplasmic Ca2+ rise in platelets.40 Thus we tested platelets of both patients for their expression of a series of Ca2+ ATPases or Ca2+-binding proteins. Significantly, PMCA4b and InsP3-R3 were increased for both protein and mRNA expression, while for SERCA3a only mRNA was increased. PMCA4b is a substrate for caspase-3, an enzyme involved in platelet production by megakaryocytes.32,33,41 So, we studied its expression compared with SERCAs during normal megakaryocytopoiesis. To do this, CD34+CD41+ cells from umbilical cord blood or following leukapheresis were cultured with stem cell factor (SCF) and TPO and examined between days 8 and 17. A specific increase in SERCA3 protein expression in mature megakaryocytes paralleled a striking down-regulation of PMCA4b in cells derived from each source. Thus, a greater presence of PMCA4b in the patients' platelets suggested that they were being produced from more immature megakaryocytes. This was supported when the patients' platelets were unusually shown to contain an 85-kDa degradation product of another caspase-3 substrate, PARP. Procaspase-3 but not caspase-3 has been previously seen in control platelets.42 Comparison of the kinetics of PMCA4b and PARP degradation in normal megakaryocytes suggested that both were linked with proplatelet formation. As degradation of PMCA4b is associated with apoptosis in other cells in vitro,41 and as InsP3-R3 has recently been shown to preferentially transmit apoptotic signals into mitochondria,43 our results support the hypothesis that the defects in our family extend to the apoptotic phase of megakaryocyte maturation. These were specific changes, for no evidence of caspase-9 or caspase-12 activities were seen in platelets of patient 2. Both caspase-933 and caspase-1234 are active during normal megakaryocytopoiesis.
The proteins involved in Ca2+ signaling in the patients exhibit similarities with immature megakaryocytes. (A) CD34+CD41+ cells isolated from both umbilical cord blood (left) and leukapheresis (right) samples were purified by fluorescence-activated cell sorting at day 8 of culture. Three different sorted cell samples were cultured for either up to 14 or to 16 to 17 days, and cells were examined at times shown in the figure. Proteins were treated for WB to detect the same SERCA and PMCA-type Ca2+ ATPases and control proteins as in Figure 5, as well as PARP (n = 5). The intensity of the bands was quantified by densitometry and the mean values obtained at days 8 or 9 were arbitrarily taken as 100% (Figure S1). (B) The summary of densitometric measurements was used to draw the schematic representation of the relative expressions of PMCA4b, SERCA3a, and β3 during megakaryocytopoiesis (left), and in platelets of the patients (right).
The proteins involved in Ca2+ signaling in the patients exhibit similarities with immature megakaryocytes. (A) CD34+CD41+ cells isolated from both umbilical cord blood (left) and leukapheresis (right) samples were purified by fluorescence-activated cell sorting at day 8 of culture. Three different sorted cell samples were cultured for either up to 14 or to 16 to 17 days, and cells were examined at times shown in the figure. Proteins were treated for WB to detect the same SERCA and PMCA-type Ca2+ ATPases and control proteins as in Figure 5, as well as PARP (n = 5). The intensity of the bands was quantified by densitometry and the mean values obtained at days 8 or 9 were arbitrarily taken as 100% (Figure S1). (B) The summary of densitometric measurements was used to draw the schematic representation of the relative expressions of PMCA4b, SERCA3a, and β3 during megakaryocytopoiesis (left), and in platelets of the patients (right).
CD34+CD41+ cells from the peripheral blood of both patients normally gave rise to megakaryocyte colonies. As cells matured they normally formed stunted processes possibly resembling immature proplatelets,44 but a major surprise was that the long proplatelet-like structures were intertwined and incompletely separated. Whereas we had previously shown that cultured human and murine megakaryocytes gave a punctate pattern on immunofluorescence analysis for VWF,30 for the patients there was an additional surface staining for VWF. Confocal microscopy and dual staining with anti-P-selectin antibody confirmed the normal formation of α-granules within the central megakaryocyte body, the presence of an intracellular VWF pool and confirmed that P-selectin did not follow the VWF to the surface. Immunogold staining for VWF confirmed that VWF was on the surface of the megakaryocytes. One possibility is that it is being excluded from the megakaryocytes and then rebinds. An intriguing alternative is that the mutated protein is spontaneously binding to GPIbα during its passage through the Golgi apparatus and is carried to the surface by the GPIb-IX-V complex.
The R1308P mutation (R545P in terms of an older nomenclature) has been located previously in a family with type 2B VWD, the principal reported propositus had a platelet count of 100 × 109/L,15 with plasma lacking high-molecular-weight multimers. In this same study, recombinant mutated VWF with P1308 and C1308 substitutions bound spontaneously to platelets and had greater reactivity with GPIb compared with substitutions at positions 1306 or 1341.15 In fact, evidence obtained from the crystal structure of the A1 domain suggests that R1308 is involved in salt bridge formation or intramolecular packing and the P1308 substitution changes A1 domain conformation allowing facilitated access of a closely localized sequence directly involved in binding to GPIbα.45 As much evidence suggests that GPIbα (or the GPIb-IX-V complex) is a signaling molecule through the association of GPIbα or GPIbβ cytoplasmic domains with proteins such as 14-3-3ζ, calmodulin (a regulator protein of PMCA4b), or FcRγ, one possibility is that GPIbα-regulated signaling is involved in abnormal platelet production.46-48 Yet, in our study, platelets from both patients showed few signs of activation in that secretion had not occurred and αIIbβ3 integrin was not in an active conformation. Notwithstanding, αIIbβ3-independent shear induced platelet aggregation has been observed with recombinant VWF mutated for another type 2B VWD mutation, V1316M, which led to pp125FAK phosphorylation.49
Platelets of the patients exhibit abnormal caspase-3 processing.Proteins from the same samples as those used inFigure 5were subjected to WB using the antibodies indicated to detect the expression of proteins involved in the apoptotic pathways. Data are typical of 3 independent experiments.
Platelets of the patients exhibit abnormal caspase-3 processing.Proteins from the same samples as those used inFigure 5were subjected to WB using the antibodies indicated to detect the expression of proteins involved in the apoptotic pathways. Data are typical of 3 independent experiments.
The degree of thrombocytopenia in our family is severe, and while this is undoubtedly in part due to the clearance of circulating agglutinates, we have presented evidence for changes in the production of proplatelets during megakaryocytopoiesis. Perhaps the nearest report in the literature to our family is the description of type 2B Tampa.50,51 Here, chronic thrombocytopenia (9-46 000/μL for 3 patients) associated with in vivo platelet aggregate formation and spontaneous platelet aggregation in vitro. Also of interest is type 2B Hiroshima, where chronic thrombocytopenia was associated with normal plasma levels of multimers.52 A platelet imbalance between PMCA and SERCA-type ATPases as shown by us is a new marker of an abnormal megakaryocytopoiesis. This could in our family result in the release of morphologically abnormal platelets, or even platelets that are incompletely separated and which circulate as clusters. Abnormal processing of the mutated VWF in the megakaryocytes could be a cause of this abnormality, although the fact that closely related mutations do not result in such a severe thrombocytopenia suggests that other contributory factors are involved. Perhaps nonidentified modifier genes linked or not to the Ca2+-binding protein imbalance contribute to the phenotypic variability in type 2B VWD. Whatever the cause, our results unambiguously show that this family with type 2B VWD may also be considered as having familial thrombocytopenia.
Prepublished online as Blood First Edition Paper, May 23, 2006; DOI 10.1182/blood-2006-03-009449.
Supported by the French network on “Rare Diseases of Platelet Function and Production,” financed by the Groupement d'Intérêt Scientifique (GIS)-Institut des Maladies Rares and INSERM.
The online version of this article contains a data supplement.
An Inside Blood analysis of this article appears at the front of this issue.
The publication costs of this article were defrayed in part by page charge payment. Therefore, and solely to indicate this fact, this article is hereby marked “advertisement” in accordance with 18 U.S.C. section 1734.
We thank Jalil Abdelali, IFR54, Institut Gustave Roussy, for confocal analysis.













