Abstract
Angiogenic sprouting requires that cell-cell contacts be maintained during migration of endothelial cells. Angiopoietin-1 (Ang-1) and vascular endothelial growth factor act oppositely on endothelial cell junctions. We found that Ang-1 promotes collective and directional migration and, in contrast to VEGF, induces the formation of a complex formed of atypical protein kinase C (PKC)-ζ and β-catenin at cell-cell junctions and at the leading edge of migrating endothelial cells. This complex brings Par3, Par6, and adherens junction proteins at the front of migrating cells to locally activate Rac1 in response to Ang-1. The colocalization of PKCζ and β-catenin at leading edge along with PKCζ-dependent stabilization of cell-cell contacts promotes directed and collective endothelial cell migration. Consistent with these results, down-regulation of PKCζ in endothelial cells alters Ang-1–induced sprouting in vitro and knockdown in developing zebrafish results in intersegmental vessel defects caused by a perturbed directionality of tip cells and by loss of cell contacts between tip and stalk cells. These results reveal that PKCζ and β-catenin function in a complex at adherens junctions and at the leading edge of migrating endothelial cells to modulate collective and directional migration during angiogenesis.
Introduction
Migration of endothelial cells during angiogenesis requires extensive remodeling of intercellular junctions.1,2 In vascular sprouting, endothelial cells differentiate into tip and stalk cells, and this is mainly regulated by the Notch-Delta pathway that dictates and maintains cell identity throughout vasculogenesis and angiogenesis.3,4 The highly motile tip cells extend filopodia and branch out in a directional manner from existing vessels in response to guidance cues. Stalk cells remain behind and maintain cell-cell contacts to preserve vessel integrity and form lumens for blood perfusion.5 Collective directional migration necessitates that cell-cell contacts are maintained and that leader cells at the migration front adopt a polarized morphology.6 Thus, endothelial sprouts must respond to guidance cues and to signaling at cell-cell contacts to dictate the migration process that ultimately leads to vessel formation.
Many angiogenic factors, such as angiopoietins and vascular endothelial growth factor (VEGF), contribute to the establishment and maintenance of a mature vasculature.2,7 The remodeling of endothelial cell-cell junctions plays a key role in vessel wall assembly and maturation. Failure of the barrier function of the endothelium results in increased vessel permeability and in altered vessel maturity such as in tumoral blood vessels.8,9 Angiopoietin-1 (Ang-1) and VEGF share many proangiogenic properties such as the induction of proliferation, survival, and migration of endothelial cells. However, it is well known that they induce opposite effects on adherens junctions and on endothelial cell permeability.10–12 VEGF promotes the dissociation of adherens junctions, whereas Ang-1 induces the stabilization of junctional complexes.12–14 Interestingly, signaling at cell-cell junctions can serve as polarity cues to organize cell movement and general organization of cell shape.15
In migrating mammalian cells, Par/atypical protein kinase C (PKC) polarity complexes are recruited to the leading edge and have been implicated in the initial polarization events necessary for directed cell migration of astrocytes and epithelial cells.16,17 This is thought to be mostly mediated by integrin engagement with the extracellular matrix and necessary to regulate polarized integrin-dependent Rac and Cdc42 activity.18,19 More recently, Par polarity complexes have been shown to modulate cell-cell contacts and promote collective cell migration.20,21 However, the molecular players regulating collective and directed endothelial cell migration during angiogenic sprouting have remained elusive.
Herein, we show that, to promote collective directional migration, Ang-1 induces the formation of a protein complex comprised of atypical PKCζ and β-catenin at cell-cell junctions and at the leading edge of migrating endothelial cells. This colocalization at the leading edge allows for the establishment of a multiprotein complex involving Par3, Par6, and adherens junction proteins, which are necessary for localized Rac1 activation. Consequently, PKCζ and β-catenin located at adherens junctions and at leading edge are necessary for collective migration and endothelial cell sprouting stimulated by Ang-1. Furthermore, during intersegmental vessel (ISV) sprouting in zebrafish, down-regulation of PKCζ results in loss of contact between tip cells, emerging from the dorsal aorta, and following stalk cells and in marks of aberrant polarity cues, such as increased filopodia and random cell extensions. Taken together, these results provides evidence that PKCζ and β-catenin promote the cooperation between adherens junction proteins and the Par polarity complex at the leading edge and cell junctions of migrating cells to regulate collective directional cell migration.
Methods
Cell culture and transfections
Bovine aortic endothelial cells (BAECs), obtained from VEC Technologies, were cultured in Dulbecco modified Eagle medium (DMEM) supplemented with 10% fetal bovine serum (HyClone Laboratories), 2.0mM l-glutamine, 100 U/mL penicillin, and 100 μg/mL streptomycin. COS-7 cells were cultured in DMEM supplemented with 10% fetal bovine serum (Invitrogen), 2.0mM l-glutamine, 100 U/mL penicillin, and 100 μg/mL streptomycin. BAECs were transfected with expression plasmids (Flag-WT-PKCζ, Flag-DN-PKCζ, Flag-CA-PKCζ, Raichu-Rac) or small interfering (si)RNAs (PKCζ-siRNA, β-catenin-siRNA or nonsilencing control siRNA) using Lipofectamine 2000 (Invitrogen) according to manufacturer's instructions. Forty-eight hours after transfections, cells were starved in serum-free media 6 hours before cell stimulation with Ang1 or VEGF.
Wound healing assay and time-lapse video microscopy
BAECs at ∼ 90% confluence were starved overnight in 6- or 12-well plates. The resulting confluent cell monolayers were scratched with a sterile 1 mL- or 200 μL-pipette tip before stimulation with Ang-1 or VEGF to induce cell migration. In some instances, cells were first transfected with correspondent cDNA constructs or with siRNA. Cells were left 48 hours to recover and to reach confluence. Fluorescent vital Hoechst dye was added to cells for 10 minutes. After removing the Hoechst dye, cells were washed 3 times with serum-free media and stimulated with Ang-1 or VEGF. Cell movements were recorded using a DM IRE2 microscope (Leica) equipped with an automated and heated stage using an Orca-ER Model C-4742 digital camera (Hamamatsu) controlled by Volocity software (PerkinElmer Life and Analytical Sciences) and programmed to capture a frame every 10 minutes of the migration period (6 hours). Temperature was maintained at 37°C and atmosphere within the chamber was kept at 5% CO2/95% air throughout the experiment. Cell movements recorded by time-lapse video microscopy were quantified using the Matlab software (The MathWorks) as described previously (for details see supplemental Methods, available on the Blood Web site; see the Supplemental Materials link at the top of the online article).6,22
Immunofluorescence confocal microscopy
BAECs were cultured on 0.1% gelatin-coated coverslips and transfected as indicated under “Wound healing assay and time-lapse video microscopy.” Cells were serum-starved overnight and stimulated for 30 minutes with Ang-1 or VEGF. Cells were washed briefly with cold PBS and fixed for 20 minutes in PBS containing 3.5% paraformaldehyde. Cells were rinsed with PBS and permeabilized with 0.3% Triton in PBS for 5 minutes. Fixed cells were blocked with 1% BSA and then incubated for 1 hour with primary antibodies in 0.1% BSA in PBS. Bound primary antibodies were visualized after 1 hour of incubation using Alexa Fluor 488–labeled goat anti–rabbit, Alexa Fluor 568–labeled goat anti–mouse, Alexa Fluor 568–labeled rabbit anti–mouse, Alexa Fluor 488–labeled donkey anti–goat, Alexa Fluor 568–labeled donkey anti–mouse or Alexa Fluor 680–labeled donkey anti–rabbit. Coverslips were mounted using Fluoromount (Sigma-Aldrich) and observed using an LSM 710 confocal laser-scanning microscope (Carl Zeiss). Samples were viewed with a ×63/1.4 NA oil objective. Images were assembled using Photoshop CS4 (Adobe Systems).
Tiam1 activation assay
The Active Rac-GEF Assay kit (Tiam1) from Cell Biolabs was used to monitor Tiam1 activation. In brief, BAECs were transfected with control (CT), PKCζ or β-catenin-siRNA, and active Tiam1 was pulled down from BAEC lysates (3 mg) using G15A-Rac1 agarose beads. The precipitated active Rac-GEF is detected by immunoblotting using an anti-Tiam1 antibody.
Microinjection of zebrafish embryos
Tg(fli1a:EGFP)y1 transgenic zebrafish were maintained under standard condition. The previously described PKCζ translation-inhibiting morpholino (PKCζ-MO1, 5′GATCCGTTACTGACAGGCATTATA3′) was injected into 1- to 2-cell–stage zebrafish embryos at 8 ng/embryo.23 Alternatively, we designed a splice-blocking morpholino targeting exon 2 of prkcz (PKCζ-MO2, 5′GTCCCTGCACACAAAACAACCGGAT3′) that was injected at 4 ng/embryo. All morpholinos were purchased from Gene Tools. Both uninjected control and morpholino-injected (PKCζ-MO) embryos were maintained at 28°C in standard E3 water until 15 hours postfertilization (hpf). Dechorionated embryos were anesthetized in 0.02% Tricaine (Sigma) and embedded in a low melting-point agarose, covered Petri dish with a no. 1.5 coverglass. The Petri dish was covered with E3 water supplemented with 0.02% Tricaine and mounted on a computer controlled stage of a Ti-E inverted microscope (Nikon Instruments; for details see supplemental Methods).
Spheroid-based in vitro angiogenesis assay
Twenty-four hours after transfection of siRNA, spheroids of 750 BAE cells were generated as described previously.24 Images of the spheroids were taken after 24 hours of sprouting using a Retiga EXi Fast camera (QImaging) mounted on an Axiovert S100 TV microscope (Carl Zeiss) with a ×10/0.25 NA objective. The extent of capillary sprouting was quantified by measuring average sprout length and number of sprouts growing out of each spheroid using the ImageJ Version 1.45s software (National Institutes of Health). At least 10 spheroids per conditions were analyzed, and 3 independent experiments were performed.
Statistical analysis
Values are reported as mean ± SEM. Statistical differences were evaluated using ANOVA followed by Bonferroni's multiple comparison posthoc test using the Prism Version 5 software (GraphPad). A P value less than .05 was considered as statistically significant.
Results
Ang-1 induces the collective and directional migration of endothelial cells
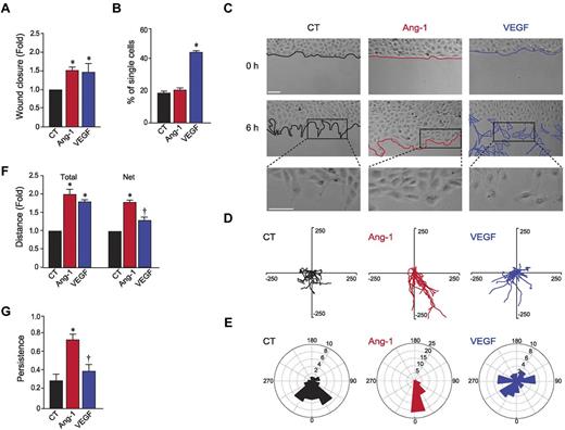
Because collective and directional cell migration implies that cell-cell contacts are maintained throughout the migratory process and that Ang-1 and VEGF act in an opposite manner on endothelial cell junctions, we examined the migratory response of endothelial cells exposed to VEGF or Ang-1. Cultured BAECs were subjected to in vitro wound healing assays in presence of VEGF or Ang-1. As shown previously, both VEGF and Ang-1 induce the migration of endothelial cells within the wounded area (Figure 1A).25,26 However, analysis of migrating endothelial cells by time-lapse imaging revealed that at the end of 6 hours of migration, BAECs exposed to VEGF had migrated within the wounded area significantly more as single cells (Figure 1B-C), whereas under Ang-1 stimulation cells at the edge of the wound maintained contact with neighboring cells positioned at the back (Figure 1B-C). Cell tracking of migrating endothelial cells shows that Ang-1–stimulated cells use mostly straight paths (Figure 1D); such paths are in majority perpendicular to the orientation of the scratch (Figure 1E). In contrast, migration tracks from cells stimulated with VEGF during wound closure are less linear and more tortuous compared with cells stimulated with Ang-1 (Figure 1D). Analysis of the tracks revealed that the average total distances covered by individual cells stimulated with Ang-1 or VEGF were similar (Figure 1F). However, the net distance covered by cells stimulated with Ang-1 from their point of origin was significantly longer than for cells stimulated with VEGF (Figure 1F). Consequently, the migration induced by Ang-1 was more persistent than migration stimulated by VEGF (Figure 1G). This increase in the persistence of cell migration is reflected in the linearity of tracks and the directionality of the moving cells (Figure 1D-E). Thus, in contrast to VEGF, Ang-1 induces a collective, more persistent and directional migration of endothelial cells.
Ang-1 induces collective directional endothelial cell migration. (A) Fold increase in migration of BAECs stimulated with Ang-1 (red) and VEGF (blue) compared with nonstimulated cells (CT; black). Wound closure was measured 6 hours after wounding. Results are from 5 independent experiments, and data are represented as mean ± SEM (*P < .05 compared with nonstimulated cells). (B) Percentage of cells single cells after 6 hours of migration. Cells were counted in 3 random fields in 3 different experiments for all treatments, and data are represented as mean ± SEM (*P < .05 compared with nonstimulated cells). (C) Representative images taken from the wound edge at the initiation of imaging (0 hours) and 6 hours after wounding of BAEC monolayers. The migration front was traced to delimit the displacement of cells, and cells that detached from the edge were outlined. Higher magnification view of the boxed region is shown. Scale bar represents 100 μm. (D) Representative vector diagrams (250 μm) of cell trajectories; each line represents the migration path of a single cell plotted from a common origin. (E) Directionality of migration was determined for CT, Ang-1, or VEGF-stimulated BAECs and displayed in rose plot diagrams that represent the frequency and directedness of cells; 0 indicates a migration perpendicular to orientation of the wound. (F) Quantification of the total and net distance of migration. Data are represented as mean ± SEM (*P < .05 compared with nonstimulated cells; †P < .05 compared with Ang-1 stimulation). (G) Persistence of migration was determined from the track of each cell recorded by time-lapse microscopy. For each condition, cells were selected in 3 different fields and tracked for 6 hours. Each column represents the average of at least 108 measurements from 3 independent experiments, and data are represented as mean ± SEM (*P < .05 compared with nonstimulated cells; †P < .05 compared with Ang-1 stimulation).
Ang-1 induces collective directional endothelial cell migration. (A) Fold increase in migration of BAECs stimulated with Ang-1 (red) and VEGF (blue) compared with nonstimulated cells (CT; black). Wound closure was measured 6 hours after wounding. Results are from 5 independent experiments, and data are represented as mean ± SEM (*P < .05 compared with nonstimulated cells). (B) Percentage of cells single cells after 6 hours of migration. Cells were counted in 3 random fields in 3 different experiments for all treatments, and data are represented as mean ± SEM (*P < .05 compared with nonstimulated cells). (C) Representative images taken from the wound edge at the initiation of imaging (0 hours) and 6 hours after wounding of BAEC monolayers. The migration front was traced to delimit the displacement of cells, and cells that detached from the edge were outlined. Higher magnification view of the boxed region is shown. Scale bar represents 100 μm. (D) Representative vector diagrams (250 μm) of cell trajectories; each line represents the migration path of a single cell plotted from a common origin. (E) Directionality of migration was determined for CT, Ang-1, or VEGF-stimulated BAECs and displayed in rose plot diagrams that represent the frequency and directedness of cells; 0 indicates a migration perpendicular to orientation of the wound. (F) Quantification of the total and net distance of migration. Data are represented as mean ± SEM (*P < .05 compared with nonstimulated cells; †P < .05 compared with Ang-1 stimulation). (G) Persistence of migration was determined from the track of each cell recorded by time-lapse microscopy. For each condition, cells were selected in 3 different fields and tracked for 6 hours. Each column represents the average of at least 108 measurements from 3 independent experiments, and data are represented as mean ± SEM (*P < .05 compared with nonstimulated cells; †P < .05 compared with Ang-1 stimulation).
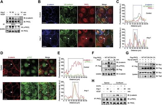
Association of PKCζ with β-catenin in endothelial cells
We reported previously that atypical PKCζ is a key player in Ang-1–mediated stabilization of cell-cell contacts and inhibition of endothelial permeability induced by VEGF.12 To identify molecular players linking PKCζ signaling events downstream of the Ang-1 receptor Tie2, we used immunoprecipitation coupled to mass spectrometry and identified β-catenin as a PKCζ interacting protein in lysates from Ang-1–stimulated endothelial cells (supplemental Table 1). We show that, simultaneous to the phosphorylation of PKCζ, Ang-1 stimulation induced the association of β-catenin with PKCζ (Figure 2A). In contrast, stimulation of BAECs with VEGF did not induce PKCζ phosphorylation or its association with β-catenin. Also, we demonstrate that Flag-tagged PKCζ can associate in vitro to recombinant GST-β-catenin using pull-down assays from cell lysates of transfected BAECs stimulated with Ang-1 (supplemental Figure 1A). It is well recognized that Ang-1 stimulation of endothelial cells strengthens cell-cell adhesions.27,28 On confluent endothelial cell monolayers, Ang-1 induces the relocalization of PKCζ to cell-cell contacts where it colocalizes with the adherens junction proteins: β-catenin and VE-cadherin (Figure 2B). Quantification of fluorescence intensity of β-catenin and VE-cadherin labeling revealed a tightening of adherens junctions in response to Ang-1. Under Ang-1–stimulated conditions, the fluorescence intensity signal is more prominent and restricted compared with control conditions (Figure 2C). In addition, on Ang-1 stimulation, fluorescence intensity of the PKCζ labeling increased at cell-cell junctions and overlapped with β-catenin and VE-cadherin (Figure 2C). Similarly, phosphorylated PKCζ colocalized with β-catenin after Ang-1 stimulation and the fluorescence intensity profile of phosphorylated-PKCζ labeling overlapped with β-catenin at cell-cell junctions (Figure 2D-E).
Ang-1 induces the association of PKCζ with β-catenin in endothelial cells. (A) Immunoprecipitation (IP) of PKCζ from BAEC lysates stimulated with Ang-1 or VEGF and immunoblotted (IB) using anti–β-catenin and anti-PKCζ antibodies. The precipitating antibodies were IgG and anti-PKCζ. Whole-cell lysates were probed for phosphorylated (p-PKCζ) and total PKCζ levels (bottom). (B) Representative confocal micrographs of immunofluorescence staining of BAECs stimulated or not with Ang-1 (30 minutes) using antibodies against endogenous PKCζ (red), β-catenin (blue), and VE-cadherin (green). The overlap (merge) of the 3 fluorophores is shown as white. White arrowheads point to staining at cell-cell junctions. Scale bar represents 20 μm. (C) Representative fluorescence intensity profiles of β-catenin (blue), VE-cadherin (green) and PKCζ (red) measured along the white line in panel B drawn across the cell-cell contact in control and Ang-1–stimulated conditions. Dashed lines delimit the β-catenin staining peak intensity. (D) Representative confocal micrographs of immunofluorescence staining of p-PKCζ (green) and β-catenin (red) in confluent BAECs stimulated with Ang-1 compared with control nonstimulated cells. White arrowheads point to staining at cell-cell junctions. Scale bar represents 20 μm. (E) Representative fluorescence intensity profiles of β-catenin (red) and p-PKCζ (green) measured along the line in panel D drawn across the cell-cell contact in control and Ang-1–stimulated conditions. Dashed lines delimit the β-catenin staining peak intensity. (F) Immunoprecipitation of Flag-tagged WT or DN PKCζ from lysates of transfected BAECs stimulated or not with Ang-1. The coimmunoprecipitated β-catenin was detected by Western blot analysis using anti–β-catenin antibody (top). p-PKCζ was detected in the anti-Flag immunoprecipitates from WT-Flag-PKCζ but not in DN-Flag-PKCζ–transfected cells in Ang-1–stimulated cells (middle). Anti-Flag and anti–β-catenin immunoblots showing equal expression and immunoprecipitation levels are shown (bottom). BAEC lysates (10% input) were immunoblotted with anti–β-catenin antibody. Representative immunoblots from 3 experiments. (G) Immunoprecipitation of Flag-tagged WT, DN, or CA PKCζ from transfected COS-7 cell lysates. Cells were cotransfected with Myc-tagged β-catenin constructs in absence or in presence of the Tie2 expression vector. Anti-Flag immunoprecipitates were immunoblotted with anti-Myc and anti-Flag antibodies to detect β-catenin and PKCζ levels (top and bottom, respectively). Whole-cell lysates were immunoblotted with anti-Myc and anti-Tie2 antibodies for input (10%). Representative immunoblots of 5 experiments. (H) Immunoprecipitation of PKCζ from sparse or confluent BAECs stimulated with Ang-1 or VEGF (left) or after pretreatment with EGTA (30 minutes) to disrupt adherent junctions in confluent cells (right). PKCζ immunoprecipitates were probed for β-catenin and p-PKCζ. Total PKCζ was immunoblotted to show equal immunoprecipitation levels. Representative immunoblots from 3 independent experiments.
Ang-1 induces the association of PKCζ with β-catenin in endothelial cells. (A) Immunoprecipitation (IP) of PKCζ from BAEC lysates stimulated with Ang-1 or VEGF and immunoblotted (IB) using anti–β-catenin and anti-PKCζ antibodies. The precipitating antibodies were IgG and anti-PKCζ. Whole-cell lysates were probed for phosphorylated (p-PKCζ) and total PKCζ levels (bottom). (B) Representative confocal micrographs of immunofluorescence staining of BAECs stimulated or not with Ang-1 (30 minutes) using antibodies against endogenous PKCζ (red), β-catenin (blue), and VE-cadherin (green). The overlap (merge) of the 3 fluorophores is shown as white. White arrowheads point to staining at cell-cell junctions. Scale bar represents 20 μm. (C) Representative fluorescence intensity profiles of β-catenin (blue), VE-cadherin (green) and PKCζ (red) measured along the white line in panel B drawn across the cell-cell contact in control and Ang-1–stimulated conditions. Dashed lines delimit the β-catenin staining peak intensity. (D) Representative confocal micrographs of immunofluorescence staining of p-PKCζ (green) and β-catenin (red) in confluent BAECs stimulated with Ang-1 compared with control nonstimulated cells. White arrowheads point to staining at cell-cell junctions. Scale bar represents 20 μm. (E) Representative fluorescence intensity profiles of β-catenin (red) and p-PKCζ (green) measured along the line in panel D drawn across the cell-cell contact in control and Ang-1–stimulated conditions. Dashed lines delimit the β-catenin staining peak intensity. (F) Immunoprecipitation of Flag-tagged WT or DN PKCζ from lysates of transfected BAECs stimulated or not with Ang-1. The coimmunoprecipitated β-catenin was detected by Western blot analysis using anti–β-catenin antibody (top). p-PKCζ was detected in the anti-Flag immunoprecipitates from WT-Flag-PKCζ but not in DN-Flag-PKCζ–transfected cells in Ang-1–stimulated cells (middle). Anti-Flag and anti–β-catenin immunoblots showing equal expression and immunoprecipitation levels are shown (bottom). BAEC lysates (10% input) were immunoblotted with anti–β-catenin antibody. Representative immunoblots from 3 experiments. (G) Immunoprecipitation of Flag-tagged WT, DN, or CA PKCζ from transfected COS-7 cell lysates. Cells were cotransfected with Myc-tagged β-catenin constructs in absence or in presence of the Tie2 expression vector. Anti-Flag immunoprecipitates were immunoblotted with anti-Myc and anti-Flag antibodies to detect β-catenin and PKCζ levels (top and bottom, respectively). Whole-cell lysates were immunoblotted with anti-Myc and anti-Tie2 antibodies for input (10%). Representative immunoblots of 5 experiments. (H) Immunoprecipitation of PKCζ from sparse or confluent BAECs stimulated with Ang-1 or VEGF (left) or after pretreatment with EGTA (30 minutes) to disrupt adherent junctions in confluent cells (right). PKCζ immunoprecipitates were probed for β-catenin and p-PKCζ. Total PKCζ was immunoblotted to show equal immunoprecipitation levels. Representative immunoblots from 3 independent experiments.
To determine whether PKCζ activity modulates its interaction with β-catenin, anti-Flag immunoprecipitations from lysates of endothelial cells that were transfected with Flag-tagged wild-type (WT) or dominant-negative (DN) PKCζ (K281R) were performed. Ang-1 stimulation induced phosphorylation of WT-PKCζ and its association with β-catenin; this association was not observable when Flag-DN-PKCζ was used (Figure 2F). Furthermore, to confirm that the activity status of PKCζ determines its association with β-catenin, COS-7 cells were transfected with Myc-tagged β-catenin, Flag-WT-PKCζ, DN-PKCζ, or the constitutive active (CA) PKCζ constructs in presence or absence of the Ang-1 receptor Tie2 (Figure 2G). Anti-Flag immunoprecipitates showed that expression of Tie2, which is activated independently of Ang-1 stimulation when transiently overexpressed,12,29 induced the association between Myc-β-catenin and Flag-WT-PKCζ. In contrast, Tie2 expression did not induce the association of DN-PKCζ to β-catenin. The constitutively active Flag-CA-PKCζ construct was found to associate with β-catenin even in the absence of Tie2 (Figure 2G). Identical results were obtained from the reciprocal immunoprecipitations of Myc-β-catenin (supplemental Figure 1B-C). To determine whether cell-cell contacts are required for the formation of the PKCζ/β-catenin complex, we examined whether Ang-1 could promote the association of PKCζ with β-catenin in sparse or confluent endothelial cell cultures. Immunoprecipitation of PKCζ revealed that in sparse cells Ang-1 stimulation did not induce the association of PKCζ to β-catenin (Figure 2H). Interestingly, Ang-1 stimulation induced the phosphorylation of PKCζ even in sparse endothelial cells, indicating that cell-cell contacts are not required for PKCζ activation. Furthermore, we used the calcium-chelating agent EGTA to disrupt homotypic VE-cadherin binding in confluent cells30 and confirmed that association of PKCζ with β-catenin in Ang-1–stimulated cells does not occur if engagement of cadherins at cell-cell junctions is disrupted. EGTA treatment also increased basal phosphorylation levels of PKCζ, perhaps because of the inhibition of calcium-sensitive phosphatases.
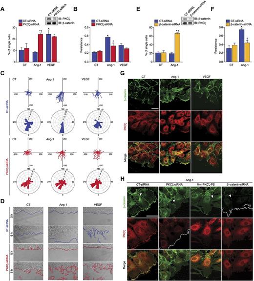
PKCζ and β-catenin are required for collective and persistent cell migration
PKCζ and the polarity complex have been implicated in the initial polarization events required for directed cell migration.15,31 Thus, we sought to determine whether association of PKCζ with β-catenin plays a role in migration of endothelial cells. We used RNA interference to transiently silence PKCζ or β-catenin in BAECs and investigated the consequence on cell motility during wound closure assays. Time-lapse images of cells exposed to either Ang-1 or VEGF during 6 hours of migration were recorded, and the migration tracks of individual cells were analyzed. Strikingly, we observed that down-regulation of PKCζ markedly affected the ability of Ang-1 to induce collective cell migration by causing a detachment of the leading cells from the migration front and migrate as single cells (Figure 3A-D). Notably, this mode of single cell migration resulting from the down-regulation of PKCζ phenocopies cell migration induced by VEGF in control conditions (Figure 3A). Down-regulation of PKCζ did not affect the total distance covered by migrating cells stimulated with VEGF or Ang-1 (supplemental Figure 2A). However, down-regulation of PKCζ in cells exposed to Ang-1 significantly reduced the net distance covered by cells (supplemental Figure 2B). Consequently, down-regulation of PKCζ led to a significant decrease in the persistency and in the directionality of migration, presented in rose plots (Figure 3B-C). Ang-1–induced cell migration was perturbed with a more random and multidirectional displacement of the cells rather than mostly perpendicular to the wound as in CT-siRNA–transfected cells stimulated with Ang-1 (Figure 3C). Importantly, silencing of β-catenin in endothelial cells also resulted in increased single cell migration, decreased persistency, and directionality in response to Ang-1–stimulated wound closure (Figure 3E-F and supplemental Figure 2C-F).
PKCζ and β-catenin are required for Ang-1–induced persistent cell migration and for leading edge formation. (A) Quantification of the percentage of single cells after 6 hours of migration in PKCζ down-regulated cells in response to Ang-1 or VEGF stimulation (6 hours). Data are represented as mean ± SEM (*P < .05 compared with nonstimulated cells; †P < .05 compared with CT-siRNA–transfected cells). (B) Quantification of the persistence of cell migration in PKCζ down-regulated cells in response to Ang-1 or VEGF stimulation (6 hours). Data are represented as mean ± SEM (*P < .05 compared with nonstimulated cells; †P < .05 compared with Ang-1–stimulated CT-siRNA–transfected cells). (C) Representative vector diagrams (250 μm) of cell trajectories (top) and directionality of migration displayed in rose plot diagrams (bottom) of CT-siRNA and PKCζ-siRNA–transfected cell in response to Ang-1 or VEGF stimulation (6 hours). (D) Representative images taken from the wound edge at the initiation of imaging (0 hours) and 6 hours after wounding of BAEC monolayers. The migration front was traced to delimit the displacement of cells, and cells that detached from the edge were outlined. (E) Quantification of the percentage of single cells after 6 hours of migration and (F) persistence of cell migration in β-catenin down-regulated cells in response to Ang-1 stimulation. Data are represented as mean ± SEM (*P < .05 compared with nonstimulated cells; †P < .05 compared with Ang-1–stimulated CT-siRNA–transfected cells). (G) Representative confocal micrographs of immunofluorescence staining of PKCζ (red) and β-catenin (green) in BAECs located at the leading edge of a wound during migration in presence of Ang-1 or VEGF (30 minutes). Note that in contrast to control and VEGF-stimulated cells, Ang-1 induces the colocalization of PKCζ and β-catenin (merged in yellow) at the leading front of cells. Scale bar represents 20 μm. (H) Immunofluorescence staining showing that transfection of BAECs with PKCζ-siRNA, β-catenin-siRNA or treatment with the pseudosubstrate inhibitors (Myr-PS-PKCζ) prevents the colocalization of PKCζ (red) or β-catenin (green) at the leading edge of migrating cells after Ang-1 stimulation (30 minutes). Arrowheads point to β-catenin staining at cell-cell junctions. The leading edge of cells transfected with PKCζ-siRNA or β-catenin-siRNA is outlined to delimit the migration front. Scale bar represents 20 μm.
PKCζ and β-catenin are required for Ang-1–induced persistent cell migration and for leading edge formation. (A) Quantification of the percentage of single cells after 6 hours of migration in PKCζ down-regulated cells in response to Ang-1 or VEGF stimulation (6 hours). Data are represented as mean ± SEM (*P < .05 compared with nonstimulated cells; †P < .05 compared with CT-siRNA–transfected cells). (B) Quantification of the persistence of cell migration in PKCζ down-regulated cells in response to Ang-1 or VEGF stimulation (6 hours). Data are represented as mean ± SEM (*P < .05 compared with nonstimulated cells; †P < .05 compared with Ang-1–stimulated CT-siRNA–transfected cells). (C) Representative vector diagrams (250 μm) of cell trajectories (top) and directionality of migration displayed in rose plot diagrams (bottom) of CT-siRNA and PKCζ-siRNA–transfected cell in response to Ang-1 or VEGF stimulation (6 hours). (D) Representative images taken from the wound edge at the initiation of imaging (0 hours) and 6 hours after wounding of BAEC monolayers. The migration front was traced to delimit the displacement of cells, and cells that detached from the edge were outlined. (E) Quantification of the percentage of single cells after 6 hours of migration and (F) persistence of cell migration in β-catenin down-regulated cells in response to Ang-1 stimulation. Data are represented as mean ± SEM (*P < .05 compared with nonstimulated cells; †P < .05 compared with Ang-1–stimulated CT-siRNA–transfected cells). (G) Representative confocal micrographs of immunofluorescence staining of PKCζ (red) and β-catenin (green) in BAECs located at the leading edge of a wound during migration in presence of Ang-1 or VEGF (30 minutes). Note that in contrast to control and VEGF-stimulated cells, Ang-1 induces the colocalization of PKCζ and β-catenin (merged in yellow) at the leading front of cells. Scale bar represents 20 μm. (H) Immunofluorescence staining showing that transfection of BAECs with PKCζ-siRNA, β-catenin-siRNA or treatment with the pseudosubstrate inhibitors (Myr-PS-PKCζ) prevents the colocalization of PKCζ (red) or β-catenin (green) at the leading edge of migrating cells after Ang-1 stimulation (30 minutes). Arrowheads point to β-catenin staining at cell-cell junctions. The leading edge of cells transfected with PKCζ-siRNA or β-catenin-siRNA is outlined to delimit the migration front. Scale bar represents 20 μm.
Our results indicate that Ang-1 stimulation of confluent endothelial cells induces the recruitment of PKCζ to cell-cell contacts where it colocalizes and associates with β-catenin (Figure 2B). PKCζ has been shown to be distributed at the leading edge of migrating epithelial cells and astrocytes and to regulate directional migration.32,33 Thus, we examined by confocal microscopy the cellular localization of PKCζ and β-catenin during directional endothelial cell migration. In Ang-1–stimulated cells that are located at the migration front during wound closure, PKCζ and β-catenin were colocalized at the leading edge of cells (Figure 3G). In contrast, in VEGF-stimulated cells, β-catenin and PKCζ were not localized at the leading edge (Figure 3G). Furthermore, a pool of activated PKCζ, as judged by phosphorylation on threonine 410 is localized at the leading edge of Ang-1–stimulated cell (supplemental Figure 2G). Silencing of PKCζ using siRNA or inhibition of PKCζ activity with a cell-permeable pseudosubstrate peptide prevented the redistribution of β-catenin and PKCζ at the leading edge of cells in response to Ang-1 (Figure 3H). Moreover, β-catenin staining revealed that inhibition of PKCζ in Ang-1–stimulated cells alters cell-cell junctions (Figure 3H). In addition, silencing of β-catenin prevented the redistribution of PKCζ at the leading edge of migrating cells in response to Ang-1 (Figure 3H). These results indicate that PKCζ expression and activity are required for maintained cell-cell contacts and formation of a PKCζ/β-catenin complex at the leading edge during Ang-1–induced collective and directional migration. To confirm the requirement of intercellular contacts for the polarized localization of PKCζ and β-catenin, we examined whether Ang-1 could promote the translocation of PKCζ and β-catenin at the front of sparsely plated endothelial cells. Caveolin-1 immunofluorescence staining was used to localize the rear of sparse cells,13 and it revealed that in absence of cell contacts Ang-1 stimulation did not induce the localization of PKCζ and β-catenin at the front of cells (supplemental Figure 3). This is in contrast to confluent endothelial cells located at the front during gap closure (Figure 3G and supplemental Figure 3). This result is in agreement with the incapacity of Ang-1 to induce the coimmunoprecipitation of PKCζ and β-catenin in sparsely cultured cells (Figure 2H).
Polarity and adherens junction proteins localize at the leading edge of migrating endothelial cells
Our results suggest an intriguing link between the PKCζ polarity complex and proteins involved in the formation of adherens junctions during collective and directional endothelial migration. To explore this in more detail, we monitored the cellular localization of components of the adherens junction and polarity complexes in migrating endothelial cells. Surprisingly, in addition to β-catenin and PKCζ, the adherens junction proteins VE-cadherin (Figure 4A) and α-catenin (supplemental Figure 4D) were relocated at the leading edge of Ang-1–stimulated cells. Quantification of the extent of colocalization of the labeling at the leading edge or at cell junctions revealed that Ang-1 induced a significant increase in the overlap between β-catenin or VE-cadherin and PKCζ staining at the leading edge and at cell-cell junctions (Figure 4B). However, the overlap coefficient of VE-cadherin and β-catenin colocalization was not significantly altered when quantified at cell-cell junctions (Figure 4B). Interestingly, Ang-1 induced the colocalization of Par3 with PKCζ and β-catenin at the front of migrating endothelial cells when stimulated with Ang-1 (Figure 4C-D). Another component of the polarity complex, Par6, also was found at the front of migrating cells (Figure 4C and supplemental Figure 4D). However, Ang-1 stimulation did not significantly increase the colocalization of Par6 with PKCζ at the leading edge of cells (Figure 4D). Furthermore, the colocalization of Par3 or Par6 with PKCζ at cell-cell junctions was not significantly enhanced by Ang-1 treatment. Next, we purified PKCζ by immunoprecipitation from BAEC lysates and determined which components of the adherens junction and polarity complexes are associated with PKCζ in response to Ang-1 stimulation. Our results indicate that in addition to β-catenin, VE-cadherin, α-catenin, and Par3 are actively recruited to PKCζ after Ang-1 stimulation (Figure 4E). Similarly, immunoprecipitation of β-catenin (supplemental Figure 4A) or VE-cadherin (supplemental Figure 4B) also revealed that PKCζ was recruited to the adherens junction protein complex after exposure of cells to Ang-1. Interestingly, Par6 seems to be basally associated with PKCζ in nonstimulated conditions,32,34 and this association remains in presence of Ang-1 (Figure 4E). This was confirmed in Par6 immunoprecipitates where PKCζ levels remained relatively unchanged in response to Ang-1 (supplemental Figure 4C). However, increased β-catenin association to the Par6 immunocomplex was observed, suggesting that Par6 and PKCζ are recruited simultaneously to adherens junction proteins following Ang-1 stimulation (supplemental Figure 4C). Similar experiments, shown in Figure 4F, indicate that in BAECs where β-catenin expression was down-regulated by siRNA, the increased coimmunoprecipitation of VE-cadherin, α-catenin, and Par3 with PKCζ induced by Ang-1 was abrogated. These results suggest that, in migrating endothelial cells, the polarity complex including PKCζ could associate with adherens junction proteins via β-catenin to participate in the establishment of a leading edge.
Ang-1 induces the colocalization of polarity and adherens junction proteins at the leading edge of migrating endothelial cells. (A) Representative immunofluorescence micrographs showing colocalization (merge; right) of β-catenin, VE-cadherin, and PKCζ at the leading edge of migrating BAEC subjected to Ang-1 stimulation (30 minutes). Scale bar represents 20 μm. Higher magnification views of the boxed region are shown. (B) Quantification of the overlap coefficient of colocalization for PKCζ/β-catenin, PKCζ/VE-cadherin or β-catenin/VE-cadherin in control (white) and Ang-1–stimulated cells (black) at the leading edge (LE) and at cell junctions (CJ). (C) Representative immunofluorescence microscopy images of BAECs stained using anti-PKCζ showing increased colocalization for PKCζ, Par3, and Par6 in Ang-1–stimulated cells (30 minutes). Higher magnification view of the boxed region is shown. Scale bar represents 20 μm. (D) Quantification of the overlap coefficient of colocalization for PKCζ/Par6, PKCζ/Par3 in control (white) and Ang-1–stimulated cells (black) at the LE and at CJ. Each column represents the average of at least 36 measurements, and data are represented as mean ± SEM (*P < .05 compared with nonstimulated cells). (E) Immunoprecipitation of endogenous PKCζ from BAECs stimulated or not with Ang-1. PKCζ immunoprecipitates and total cell lysates were subjected to Western blot analysis with anti–β-catenin, anti–VE-cadherin, anti–α-catenin, anti-Par6, anti-Par3, and anti-PKCζ antibodies. Ratios of the densitometric analyses of immunoblots are presented. (F) Immunoprecipitation of PKCz from BAECs, as in panel E, transfected with CT or β-catenin-siRNA.
Ang-1 induces the colocalization of polarity and adherens junction proteins at the leading edge of migrating endothelial cells. (A) Representative immunofluorescence micrographs showing colocalization (merge; right) of β-catenin, VE-cadherin, and PKCζ at the leading edge of migrating BAEC subjected to Ang-1 stimulation (30 minutes). Scale bar represents 20 μm. Higher magnification views of the boxed region are shown. (B) Quantification of the overlap coefficient of colocalization for PKCζ/β-catenin, PKCζ/VE-cadherin or β-catenin/VE-cadherin in control (white) and Ang-1–stimulated cells (black) at the leading edge (LE) and at cell junctions (CJ). (C) Representative immunofluorescence microscopy images of BAECs stained using anti-PKCζ showing increased colocalization for PKCζ, Par3, and Par6 in Ang-1–stimulated cells (30 minutes). Higher magnification view of the boxed region is shown. Scale bar represents 20 μm. (D) Quantification of the overlap coefficient of colocalization for PKCζ/Par6, PKCζ/Par3 in control (white) and Ang-1–stimulated cells (black) at the LE and at CJ. Each column represents the average of at least 36 measurements, and data are represented as mean ± SEM (*P < .05 compared with nonstimulated cells). (E) Immunoprecipitation of endogenous PKCζ from BAECs stimulated or not with Ang-1. PKCζ immunoprecipitates and total cell lysates were subjected to Western blot analysis with anti–β-catenin, anti–VE-cadherin, anti–α-catenin, anti-Par6, anti-Par3, and anti-PKCζ antibodies. Ratios of the densitometric analyses of immunoblots are presented. (F) Immunoprecipitation of PKCz from BAECs, as in panel E, transfected with CT or β-catenin-siRNA.
We also investigated the possibility that activated Tie2 could serve as a scaffold to promote localized PKCζ activation. However, we could not detect by immunoprecipitation an association between PKCζ and Tie2 in lysates from endothelial cells stimulated with Ang-1 (supplemental Figure 5A). Interestingly, we show that, after stimulation with Ang-1, Tie2 was distributed as clusters at cell-cell contacts in confluent cultures of endothelial cells but that it did not colocalize with β-catenin (supplemental Figure 5B). This is similar to the previously reported absence of colocalization between Tie2 and VE-cadherin at intercellular contacts.13 In BAECs located at migration front, Tie2 formed clusters following stimulation with Ang-1 at the leading edge of cells where it intermingled but did not colocalize with PKCζ (supplemental Figure 5C). Hence, on activation, Tie2 forms clusters at cell-cell contacts and at the leading edge to promote collective and directional migration, but it does not seem to interact with the PKCζ/β-catenin complex.
PKCζ and β-catenin are required for polarized Rac1 activation
The Rho-GTPases are orchestrators of cell migration and of polarity signaling.34–36 Notably, Rac GTPases are important regulators of leading edge establishment and directed cell motility. To determine whether PKCζ and β-catenin are involved in the spatiotemporal activation of Rac1 during Ang-1–stimulated endothelial cell migration, we used a Förster (or fluorescence) resonance energy transfer (FRET) approach with the Raichu-Rac1 biosensor (YFP-Rac-CFP) to monitor Rac activation in migrating cells37 (Figure 5A and supplemental Figure 6). BAECs were transfected with Raichu-Rac1 and with the siRNA directed against PKCζ or control siRNA. Time-lapse acquisitions of FRET signal from live transfected cells at the edge of the wound revealed that, on exposure to Ang-1, Rac1 activity increased at the leading edge of the cells after 5 minutes of stimulation and was sustained for 30 minutes (Figure 5A). On silencing of PKCζ in BAEC, Ang-1 stimulation did not increase the FRET signal at the leading edge (Figure 5A). To confirm this result, a global quantification of Rac activation was measured in fixed cells using a FRET after acceptor photobleaching based assay where cells were transfected with CT-siRNA, PKCζ-siRNA, or β-catenin–siRNA. In contrast to CT-siRNA transfected cells, where Ang-1 stimulation induces Rac activation at the leading edge, PKCζ-siRNA– and β-catenin siRNA–transfected cells displayed no increase in Rac activity (Figure 5B). This indicates that PKCζ and β-catenin are required for the localized activation of Rac in response to Ang-1. Quantification of FRET efficiency confirmed that Ang-1 stimulation increases Rac1 activity at the front of migrating endothelial cells and that depletion of either PKCζ or β-catenin abolished this effect induced by Ang-1 (Figure 5C).
PKCζ and β-catenin are required for polarized Rac1 activation at the migrating front of endothelial cells. (A) Rac1 activity ratio monitored by FRET/cyan fluorescent protein (CFP) time-lapse imaging using Raichu-Rac (YFP-Rac-CFP) at the indicated time points after Ang-1 stimulation of migrating BAECs transfected with CT-siRNA or PKCζ-siRΝΑ. Corresponding yellow fluorescent protein (YFP) fluorescence images are shown in supplemental Figure 4. Neighboring cells are outlined to show the position of Raichu-Rac–transfected cells at the front of migration. Scale bar represents 20 μm. (B) Representative images of corrected FRET after photobleaching for Rac1 activation of a wounded BAEC monolayer expressing the Raichu-Rac probe and transfected with CT-siRNA or PKCζ-siRΝΑ and stimulated or not with Ang-1 (30 minutes). The same cells are shown in fluorescent images of YFP as control for total Rac localization. Neighboring cells are outlined to show the position of Raichu-Rac–transfected cells at the front of migration. Scale bar represents 20 μm. (C) Histogram representing the quantification of Rac activity in fixed BAECs by mean FRET efficiency of the region of interest (leading edge) from all acquisitions from 5 experiments, and data are represented as mean ± SEM (*P < .05 compared with nonstimulated cells). (D) Active Rac-GEF assay showing active Tiam1 in BAEC lysates transfected with CT, PKCζ, or β-catenin-siRNAs. Whole-cell lysates were immunoblotted with anti-PKCζ and β-catenin to confirm down-regulation. Total levels of Tiam1 were used as loading control.
PKCζ and β-catenin are required for polarized Rac1 activation at the migrating front of endothelial cells. (A) Rac1 activity ratio monitored by FRET/cyan fluorescent protein (CFP) time-lapse imaging using Raichu-Rac (YFP-Rac-CFP) at the indicated time points after Ang-1 stimulation of migrating BAECs transfected with CT-siRNA or PKCζ-siRΝΑ. Corresponding yellow fluorescent protein (YFP) fluorescence images are shown in supplemental Figure 4. Neighboring cells are outlined to show the position of Raichu-Rac–transfected cells at the front of migration. Scale bar represents 20 μm. (B) Representative images of corrected FRET after photobleaching for Rac1 activation of a wounded BAEC monolayer expressing the Raichu-Rac probe and transfected with CT-siRNA or PKCζ-siRΝΑ and stimulated or not with Ang-1 (30 minutes). The same cells are shown in fluorescent images of YFP as control for total Rac localization. Neighboring cells are outlined to show the position of Raichu-Rac–transfected cells at the front of migration. Scale bar represents 20 μm. (C) Histogram representing the quantification of Rac activity in fixed BAECs by mean FRET efficiency of the region of interest (leading edge) from all acquisitions from 5 experiments, and data are represented as mean ± SEM (*P < .05 compared with nonstimulated cells). (D) Active Rac-GEF assay showing active Tiam1 in BAEC lysates transfected with CT, PKCζ, or β-catenin-siRNAs. Whole-cell lysates were immunoblotted with anti-PKCζ and β-catenin to confirm down-regulation. Total levels of Tiam1 were used as loading control.
The Rac-GEF Tiam1 was reported to play a role in directional cell migration via its association to Par3 in polarity complexes at the leading edge.38 Thus, we investigated whether stimulation of endothelial cells with Ang-1 induces Tiam1 activation. We performed, using G15A-Rac1 as bait, pull-down assays for active Rac-GEFs from lysates of BAECs transfected with CT-siRNA, PKCζ-siRNA, or β-catenin-siRNA. Ang-1 stimulation increased Tiam1 activity as revealed by its association to G15A-Rac1. Down-regulation of PKCζ or β-catenin markedly reduced Tiam1 activation after stimulation of BAEC with Ang-1 (Figure 5D). Overall, these results suggest that in response to Ang-1, PKCζ and β-catenin are required for Tiam1 activation and for localized Rac1 activity at the leading edge to promote directional migration of endothelial cells.
Knockdown of PKCζ in zebrafish embryos causes vascular sprouting defects
To gain insight into the role of PKCζ during vascular development in vivo, we designed ATG-targeting and splice-blocking morpholino antisense oligomers against the prkcz gene (PKCζ-MO1 and PKCζ-MO2, respectively) that were injected into Tg(fli1a:EGFP) zebrafish embryos. Importantly, no dysmorphogenesis of the embryo were observed for the PKCζ-MOs at the doses used (Figure 6A). At 30 hpf, both PKCζ morphants displayed a significant increase in ISV defects per embryos (Figure 6B-C). Notably, the splice blocking PKCζ-MO2 was more toxic and was injected at a lower dose, resulting in less ISV defects than for PKCζ-MO1 (Figure 6C). The position and the number of ISV sprouting from the dorsal aorta (DA) toward the dorsal longitudinal anastomosing vessel (DLAV) are not affected in PKCζ morphants. However, most of the ISV sprout defects occurred in the initial stages of sprout elongation; most before reaching the horizontal myoseptum (Figure 6B). We imaged segmental artery sprouting in control embryos and in PKCζ morphants and observed that tip cells, after the initial sprouting from the dorsal aorta, separate from the secondary connector stalk cells and seem to have lost polarity cues by extending filopodia in a more random manner, such that most of them do not eventually form the DLAV (Figure 6B-D and supplemental Videos 1-2). Thus, knockdown of PKCζ causes disorganized endothelial sprouting because of tip cell detachment from the stalk cell and a loss of the polarization of tip cells, resulting in altered angiogenic sprouting during zebrafish development.
PKCζ is required for developmental angiogenesis in zebrafish and for endothelial cell sprouting. (A) Images from whole mount Tg(fli1a:EGFP) fixed embryos at 30 hpf. Uninjected embryo (CT; left) or injected with a morpholino targeting prkcz (PKCζ-MO1; right) are presented. (B) Confocal images of the vasculature in the trunk of Tg(fli1a:EGFP) embryos. The uninjected control embryos (CT) showed complete ISVs sprouting from the dorsal aorta (DA) to DLAV at 30 hpf, whereas in PKCζ-MO1–injected embryos, ISV sprouting was disturbed mostly at the horizontal myoseptum with increased filopodia extensions from tip cells. (C) Percentage of defective ISVs in control and PKCζ-MO1 or PKCζ-MO2–injected embryos. Data are represented as mean ± SEM (*P < .05 compared with CT embryos). (D) Representative images from time-lapse in vivo imaging of Tg(fli1a:EGFP) embryos showing ISV sprouts from 18 to 28 hpf in CT (top) and PKCζ-MO (bottom)–injected embryos. The arrow indicates, in the PKCζ-ΜΟ–injected embryo, the detachment of tip cells from the DA. (E) Representative images from spheroid based angiogenesis assay generated from CT-, PKCζ-, or β-catenin-siRNA–transfected cells and stimulated with Ang-1, VEGF, or left untreated (CT). Pictures are taken 24 hours after embedding in collagen gel. Higher magnification views of the boxed region are shown. The arrow indicates, in the PKCζ or β-catenin-siRNAs, the detachment of tip cells from the sprouts. The arrowhead indicates bifurcation at end of the sprouts. One representative experiment of 3 performed is shown. (F) Quantification of capillary-like sprouting from spheroids was measured in every condition as displayed. Data are shown as mean of sprout length (*P < .05 vs nonstimulated control condition; †P < .05 compared with stimulated CT-siRNA). (G) Number of sprouts per spheroid. Results are displayed as mean values ± SEM of sprout lengths observed in at least 10 spheroids per experiment in 3 independent spheroid assays. Scale bar represents 100 μm.
PKCζ is required for developmental angiogenesis in zebrafish and for endothelial cell sprouting. (A) Images from whole mount Tg(fli1a:EGFP) fixed embryos at 30 hpf. Uninjected embryo (CT; left) or injected with a morpholino targeting prkcz (PKCζ-MO1; right) are presented. (B) Confocal images of the vasculature in the trunk of Tg(fli1a:EGFP) embryos. The uninjected control embryos (CT) showed complete ISVs sprouting from the dorsal aorta (DA) to DLAV at 30 hpf, whereas in PKCζ-MO1–injected embryos, ISV sprouting was disturbed mostly at the horizontal myoseptum with increased filopodia extensions from tip cells. (C) Percentage of defective ISVs in control and PKCζ-MO1 or PKCζ-MO2–injected embryos. Data are represented as mean ± SEM (*P < .05 compared with CT embryos). (D) Representative images from time-lapse in vivo imaging of Tg(fli1a:EGFP) embryos showing ISV sprouts from 18 to 28 hpf in CT (top) and PKCζ-MO (bottom)–injected embryos. The arrow indicates, in the PKCζ-ΜΟ–injected embryo, the detachment of tip cells from the DA. (E) Representative images from spheroid based angiogenesis assay generated from CT-, PKCζ-, or β-catenin-siRNA–transfected cells and stimulated with Ang-1, VEGF, or left untreated (CT). Pictures are taken 24 hours after embedding in collagen gel. Higher magnification views of the boxed region are shown. The arrow indicates, in the PKCζ or β-catenin-siRNAs, the detachment of tip cells from the sprouts. The arrowhead indicates bifurcation at end of the sprouts. One representative experiment of 3 performed is shown. (F) Quantification of capillary-like sprouting from spheroids was measured in every condition as displayed. Data are shown as mean of sprout length (*P < .05 vs nonstimulated control condition; †P < .05 compared with stimulated CT-siRNA). (G) Number of sprouts per spheroid. Results are displayed as mean values ± SEM of sprout lengths observed in at least 10 spheroids per experiment in 3 independent spheroid assays. Scale bar represents 100 μm.
PKCζ and β-catenin are required for in vitro angiogenic sprouting induced by Ang-1
To confirm the importance of PKCζ and β-catenin for Ang-1–stimulated endothelial cell sprouting, we established in vitro 3-dimentional spheroidal BAEC cultures and monitored sprouting of endothelial cells. We investigated whether down-regulation of PKCζ or of β-catenin influenced Ang-1–stimulated endothelial cell sprouting from spheroids. Ang-1 and VEGF induced endothelial cell sprouting from spheroids and, compared with VEGF, Ang-1–induced sprouts seemed wider with less bifurcations (Figure 6E). Cells transfected with PKCζ-siRNA and β-catenin-siRNA formed significantly shorter sprouts in response to Ang-1 than in CT-siRNA–transfected cells (Figure 6F). Interestingly, the number of sprouts per spheroid in response to Ang-1 was increased in spheroids formed with PKCζ down-regulated cells (Figure 6G). Moreover, tips of capillary sprouts formed by PKCζ or β-catenin down-regulated cells displayed multiple bifurcations and more formations of short secondary sprouts compared with CT-siRNA–transfected cells stimulated with Ang-1 (Figure 6E). In addition, ∼ 75% of spheroids formed with PKCζ or β-catenin-siRNA and stimulated with Ang-1 displayed cells that had detached from the spheroids during sprouting compare with 35% CT-siRNA–transfected cells (Figure 6E).
Discussion
Collective and directed cell migration is central for numerous physiologic processes, such as morphogenesis, wound repair, and cancer metastasis.39 Blood vessel elongation and branching necessitates a coordinated interplay between cell fate determinants to specify tip or stalk cells and migration modes that dictates cell polarization and cohesion.5 Here, we show that Ang-1, in contrast to VEGF, induces collective and persistent migration of endothelial cells. Our data support the paradigm that directional and persistent cell migration involves lateral polarity cues from cell-cell junctions that influence the migratory process.15,33 We discovered that Ang-1 induces the association and colocalization of atypical PKCζ and β-catenin at adherens junctions and at the leading edge of migrating endothelial cells. We show that PKCζ and β-catenin are required in endothelial cells for the formation of a complex comprised of polarity and adherens junction proteins at the migration front. Localization of the Par polarity complex at the leading edge has been shown to be important for directed cell migration and spatial activation of Rho GTPases.18,32 Furthermore, cadherin-mediated cell-cell attachment maintains collective migration behavior in many cell types.40–42 Indeed, down-regulation of β-catenin and disruption of endothelial cell junctions prevent Ang-1 from promoting collective migration. We now demonstrate that PKCζ activity not only stabilizes adherens junctions but also contributes to collective and directional cell migration. We also provide evidence that polarity and adherens junction proteins cooperate at the cell front of leader cells during directional migration. Interestingly, our data suggest that the localization of this complex at the leading edge is required for polarized Rac1 activation during Ang-1–promoted endothelial cell migration. During vascular morphogenesis, Rho GTPases regulate diverse cellular functions such as endothelial cell invasion and lumen formation.43 Our results suggest that Rac1 is an effector of PKCζ signaling downstream of Ang-1/Tie2. However, our results also indicate that migration of endothelial cells as single cells does not require polarized Rac1 activity because Ang-1 stimulation induces single cell migration in PKCζ or β-catenin down-regulated cells (Figure 3). This suggests that activation of Rho GTPases other than Rac1 may be involved in single cell endothelial migration. Also, the colocalization of adherens junctions proteins with Par3 at the leading edge of Ang-1–stimulated cells indicated that a Rac-GEF, such as Tiam1, also may be recruited to activate Rac1 and promote directional cell migration.38 Indeed, we observed that Tiam1 is activated on Ang-1 stimulation and that down-regulation of PKCζ or of β-catenin prevented its activation by Ang-1 (Figure 5D).
Our results indicate that the formation of a PKCζ/β-catenin complex has a dual role in the induction of collective and directional cell migration. First, the localization of β-catenin and PKCζ at adherens junction contributes to the tightening of cell-cell adhesions that maintains cell contacts during migration. Second, colocalization at cell front after Ang-1 stimulation promotes the establishment of a leading edge containing adherens junction and polarity proteins that allows the polarized distribution of Rac activity possibly through the action of Tiam1. It is well known that activation of Tie2 by Ang-1 in endothelial cells leads to stabilization of cell junctions and inhibition of endothelial cell permeability.10,12,13 We show that inhibition of PKCζ activity or down-regulation of β-catenin results in loss of cell contacts at the rear of migrating endothelial cells and that cell-cell contacts are necessary for Ang-1–induced association of PKCζ with β-catenin (Figure 2). Interestingly, it has been shown previously that after activation, Tie2 forms clusters at cell-cell contacts in confluent cells where it regulates endothelial cell permeability and also has been shown to localize at the trailing edge of migrating cells.13,44 We now show that during collective migration, Tie2 clusters form at the leading edge of leader cells but do not colocalize with adherens junction proteins or PKCζ, similar to what has been observed at cell junctions.13 This suggests that distinct signaling events must emerge from Tie2 to promote the formation of β-catenin/PKCζ complexes at cell junctions and for the localization of polarity and adherens junction proteins at the leading edge. Nonetheless, our results reveal a central role for PKCζ in the coordination of the molecular events for directed cell migration and uncover it as a determinant for linking the polarity complexes to adherens junctions.
Importantly, our results show that knockdown of PKCζ in developing zebrafish embryos results in deficient sprouting of ISV and that PKCζ and β-catenin are determinants of Ang-1–stimulated endothelial cell sprouting in vitro. Similarly to Ang-1–stimulated endothelial cells at the migration front, tip cells emerging from the dorsal aorta lose contact with stalk cells when PKCζ is down-regulated. In addition, in PKCζ morphants, tip cells from ISV displayed marks of aberrant polarity cues such as increased filopodia, random extensions and tip cell enlargement, suggesting that PKCζ is a regulator of planar polarity signaling in tip cells and coordinates the remodeling of cell-cell contacts during vascular sprouting. Notably, the previously reported ISV defects in VE-cadherin morphants are mostly associated with defects in lumen formation and in vascular stability rather than severe sprouting defects of tip cells as we observed after knockdown of PKCζ.45,46 This suggests that down-regulation of PKCζ results in tip cell defects that are not solely associated with disruption of cell adhesions. However, it remains to be determined whether endothelial tip cells in PKCζ morphants also have lost certain cell fate determinants of the Notch/Delta/VEGF signaling axis that could contribute to the generation of defective ISV sprouts.47,48 Also, in zebrafish vascular development, Tie2 has been mostly ascribed to the maintenance of vascular stability rather than to the induction of vascularization.49 Thus, it is not clear whether PKCζ acts downstream of Tie2 or of specific VEGF receptor subtypes to coordinate sprouting of ISV. Nonetheless, our in vitro angiogenic assays demonstrate that Ang-1 promotes endothelial sprouting and that this process is coordinated by PKCζ and β-catenin. Down-regulation of PKCζ not only results in reduced sprout length but also in increased number of sprouts in response to Ang-1, highlighting the importance of PKCζ in the establishment of polarity cues during endothelial sprouting downstream of Tie2 activation.
Overall, this study provides evidence that, through the association of activated PKCζ and β-catenin, the Par polarity complex cooperates with proteins involved in adherens junctions located at the leading edge to regulate endothelial cell migration. In epithelial and endothelial cells, the Par-PKCζ complex localizes at cell-cell junctions where it participates in the establishment of apical-basal polarity and epithelial integrity.35,50 Our findings show that following activation, PKCζ can localize to adherens junctions where it associates with β-catenin in endothelial cells. Interestingly, Ang-1 promotes cellular polarization through the colocalization of the Par complex and adherens junction proteins at the leading edge of cells that are situated at the migration front. This suggests that VE-cadherins at the leading edge can function as a scaffold for the polarity complex independently of homomeric engagement. The nature of the forces that allow for maintained VE-cadherins at the leading edge in absence of homomeric trans-interactions remains to be defined but certainly involves signals emerging from engaged adherens junctions at cell-cell contacts to promote their localization at the leading edge. The formation of this complex at the front of migrating cells along with maintained intercellular contacts is necessary for collective and directional migration of endothelial cells. Our results provide evidence for a role of adherens junctions in the establishment of endothelial cell polarity during angiogenic sprouting where guided, directional and collective cell migration are essential for vascular development.
The online version of the article contains a data supplement.
The publication costs of this article were defrayed in part by page charge payment. Therefore, and solely to indicate this fact, this article is hereby marked “advertisement” in accordance with 18 USC section 1734.
Acknowledgments
The authors are grateful to Dr Denis Faubert (IRCM) for liquid chromatography/tandem mass spectrometry analysis, and thank Chantal Delisle (IRCM) for expert technical support.
This work was supported by grants from the Canadian Institutes of Health Research to J.-P.G. (MOP-86464 and MOP-111031); Canadian Cancer Society Research Institute to J.-F.C. (CCSRI-019104); American Heart Association postdoctoral fellowship to M.I.L.; Fonds de la Recherche en Santé du Québec postdoctoral fellowship to Y.M.; and the National Institutes of Health to L.I.Z. (5PO1HL32262-29 and 5R01HL048801-18). J.-F.C. holds a FRSQ Junior 2 career award. J.-P.G. holds a Tier 2 Canada Research Chair in Endothelial Cell Signaling and Angiogenesis.
National Institutes of Health
Authorship
Contribution: M.O. designed and performed the experiments, analyzed the data, prepared the figures, and wrote the manuscript; M.I.L. and Y.M. performed the experiments, analyzed the data, and prepared the figures; D.F. and E.N.P. performed and analyzed the experiments; L.I.Z. and J.-F.C. provided critical reagents and participated in designing the experiments and writing the manuscript; and J.-P.G. designed and supervised the experiments, analyzed the data, prepared the figures, and wrote the manuscript.
Conflict-of-interest disclosure: L.I.Z. is a founder and stockholder of Fate Inc, and a scientific advisor for Stemgent. The remaining authors declare no competing financial interests.
Correspondence: Dr Jean-Philippe Gratton, Institut de Recherches Cliniques de Montréal (IRCM), 110, des Pins Avenue West, Montreal, QC, H2W1R7, Canada; e-mail: jean-philippe.gratton@ircm.qc.ca.











