Abstract
Poor T lymphocyte reconstitution limits the use of haploidentical stem cell transplantation (SCT) because it results in a high mortality from viral infections. One approach to overcome this problem is to infuse donor T cells from which alloreactive lymphocytes have been selectively depleted, but the immunologic benefit of this approach is unknown. We have used an anti-CD25 immunotoxin to deplete alloreactive lymphocytes and have compared immune reconstitution after allodepleted donor T cells were infused at 2 dose levels into recipients of T-cell–depleted haploidentical SCT. Eight patients were treated at 104 cells/kg/dose, and 8 patients received 105 cells/kg/dose. Patients receiving 105 cells/kg/dose showed significantly improved T-cell recovery at 3, 4, and 5 months after SCT compared with those receiving 104 cells/kg/dose (P < .05). Accelerated T-cell recovery occurred as a result of expansion of the effector memory (CD45RA–CCR-7-) population (P < .05), suggesting that protective T-cell responses are likely to be long lived. T-cell–receptor signal joint excision circles (TRECs) were not detected in reconstituting T cells in dose-level 2 patients, indicating they are likely to be derived from the infused allodepleted cells. Spectratyping of the T cells at 4 months demonstrated a polyclonal Vβ repertoire. Using tetramer and enzyme-linked immunospot (ELISPOT) assays, we have observed cytomegalovirus (CMV)– and Epstein-Barr virus (EBV)–specific responses in 4 of 6 evaluable patients at dose level 2 as early as 2 to 4 months after transplantation, whereas such responses were not observed until 6 to 12 months in dose-level 1 patients. The incidence of significant acute (2 of 16) and chronic graft-versus-host disease (GVHD; 2 of 15) was low. These data demonstrate that allodepleted donor T cells can be safely used to improve T-cell recovery after haploidentical SCT and may broaden the applicability of this approach.
Introduction
The lack of fully human leukocyte antigen [(HLA)–matched donors is a major limitation to the applicability of hematopoietic stem cell transplantation (SCT). However, almost all patients have potential donors who are HLA haploidentical. Recent advances in our ability to mobilize and select hematopoietic stem cells (HSCs) have made SCT from haploidentical donors feasible, both in terms of reliable engraftment and acceptable rates of graft-versus-host disease (GVHD).1,2
T-cell reconstitution is a key determinant of outcome after SCT. The rigorous T-cell depletion necessary to prevent GVHD in the haploidentical setting results in profound posttransplantation immunodeficiency.3,4 This is the major barrier to the broader application of haploidentical SCT, because it results in high morbidity and mortality from viral infections due to the loss of antiviral immunity and high relapse rates due to the reduction in the graft-versus-leukemia (GVL) response.1,2,5 In the Perugia series, 27 of 101 patients who underwent haploidentical SCT for acute leukemia died from infection.5 Simple T-cell addback is unlikely to be effective in preventing these problems without causing GVHD, because the frequency of alloreactive T cells in peripheral blood is higher than that of either antiviral or antileukemic T cells. A number of approaches have evolved to circumvent this, including induction of anergy in donor alloreactive T cells,6,7 addback of regulatory T cells (Tregs),8 and transduction of donor lymphocytes with suicide genes.9,10 However, anergized cells and Tregs may have an inhibitory effect on desirable bystander T-cell responses, and current protocols for efficient transduction of T cells may lead to loss of antiviral responses.11 An alternative approach is to deplete the graft specifically of the alloreactive T cells responsible for GVHD by deleting T cells that are activated in response to recipient antigen-presenting cells. This approach has the advantage that alloreactive T cells are permanently removed and cannot influence the function of the remaining T cells. Alloreactive cells may be targeted by their expression of surface activation markers, proliferation in a mixed leukocyte reaction (MLR) or the preferential retention of photoactive dyes. Alloreactive cells can be eliminated using immunotoxins,12,13 immunomagnetic separation,14-16 chemotherapeutic agents,17,18 flow cytometric sorting,19,20 or photodynamic purging.21,22 Montagna et al12 have demonstrated reduced in vitro alloreactivity after targeting activated T cells expressing the activation marker CD25 (the interleukin-2 [IL-2] receptor α chain), using an immunotoxin (RFT5-SMPT-dgA) consisting of a murine antibody moiety recognizing the IL-2 receptor p55 chain conjugated to deglycosylated ricin A. Using a similar approach, we have shown that T-cell responses against viral and potential myeloid tumor antigens are preserved following allodepletion.23
Based on their preclinical data, the Necker group have used CD25-immunotoxin (IT) based ex vivo allodepletion in a phase 1/2 clinical study in 15 patients undergoing haploidentical/unrelated donor SCT.24,25 Solomon et al26 have used a similar approach in 16 elderly patients undergoing HLA-matched related donor transplantation. While these studies demonstrated that adoptive immunotherapy with allodepleted donor T cells is feasible and results in a low incidence of GVHD, neither study addressed the critical issue of whether the infused allodepleted cells improved cell-mediated immunity. In the former study, 4 patients achieved CD3 counts of more than 500/μL by 6 months after SCT, but follow-up was short and data on immune reconstitution were limited, with no formal assessment of antiviral responses. Additionally, it is unclear how many allodepleted donor T cells must be infused to restore clinically relevant antiviral responses. Data from donor lymphocyte infusions in the HLA-matched setting suggest that doses as low as 106/kg may be sufficient to clear viral reactivations with EBV27 and adenovirus.28 It is therefore critical to determine whether the level of allodepletion achieved with anti-CD25 IT is sufficient to allow addback of enough T cells to restore useful immune responses without causing GVHD. To address this issue, we have compared immune reconstitution after addback of 2 different doses of allodepleted donor T cells in the haploidentical setting.
Patients, materials, and methods
Study objectives
The primary endpoint of the study was to compare immune reconstitution and viral-specific immune responses after addback of 2 different doses of allodepleted donor T cells. Secondary endpoints included comparison of the incidence of acute and chronic GVHD and the outcome of viral infections/reactivations at each dose level.
Study population
The protocol was open to all patients who were candidates for haploidentical SCT at Baylor College of Medicine and its affiliated Methodist and Texas Childrens' Hospitals (Houston, TX) and Great Ormond Street Children's Hospital (London, United Kingdom). Failure of engraftment and the presence of greater than grade I GVHD was a contraindication to infusion of allodepleted donor T cells.
Sixteen patients have been treated, 8 at each dose level. Patient characteristics and conditioning are outlined in Table 1. The median age was 9 years (range, 2-58 years) and most (12 of 16) received transplants for high-risk hematologic malignancies. Six patients were not in remission at the time of transplantation, 2 had relapsed on therapy, and 5 had relapsed after previous autologous/allogeneic SCT.
Patient and graft characteristics
. | . | . | . | . | . | . | CPM, no. . | . | . | . | . | |
|---|---|---|---|---|---|---|---|---|---|---|---|---|
| Patient no. (age, y) . | Diagnosis . | Conditioning . | Dose level, per kg . | No. CD34/kg . | No. CD3/kg . | % CD3+/CD25+ . | No IT . | IT . | % residual proliferation . | Alemtuzumab level at first infusion, ng/mL . | No. infusions . | |
| P1 (8) | Rel ALL in second CR | Cy/TBI/Ara-C/alemtuzumab | 104 | 1.4 × 107 | 1.8 × 104 | 0.15 | 4 014 | 765 | 0 | 1180 | 3 | |
| P2 (14) | Ref AML | Cy/TBI/Ara-C/alemtuzumab | 104 | 1.2 × 107 | 0.7 × 104 | 0.27 | 21 033 | 1006 | 0.46 | Undetectable | 1 (GVH) | |
| P3 (3) | Rel ALL on Rx in second CR | Cy/TBI/Ara-C/alemtuzumab | 104 | 1.1 × 107 | 3.4 × 104 | 0.03 | 1 770 | 510 | 0 | Undetectable | 3 | |
| P4 (3) | AML first CR | Cy/TBI/Ara-C/alemtuzumab | 104 | 6.3 × 106 | 1 × 105 | 0.1 | 41 980 | 578 | 0.71 | Undetectable | 3 | |
| P5 (12) | Ref AML | Cy/TBI/Ara-C/alemtuzumab | 104 | 7.5 × 106 | 3.4 × 104 | 0.02 | 20 633 | 1071 | 1.00 | NE | 3 | |
| P6 (28) | Hodgkins in relapse after ABMT | TBI/FDR/alemtuzumab | 104 | 6.9 × 106 | 2.2 × 104 | 0.01 | 28 256 | 866 | 0.33 | 350 | 3 | |
| P7 (3) | HLH | Cy/TBI/Ara-C/alemtuzumab | 104 | 2.0 × 107 | 4.4 × 104 | 0.07 | 14 068 | 601 | 3.12 | NE | 3 | |
| P8 (58) | CML LBC in 2nd CP | TBI/FDR/alemtuzumab | 104 | 1.3 × 107 | 2.6 × 104 | 0.11 | 4 160 | 367 | 0 | 303 | 1 (autologous reconstitution) | |
| P9 (2) | Rel AML after MMUD BMT in relapse | TBI/FDR/alemtuzumab | 105 | 1.2 × 107 | 1.3 × 104 | 0.11 | 2 569 | 513 | 0 | Undetectable | 1 (CD3 > 1000) | |
| P10 (2) | Ref AML | Cy/TBI/Ara-C/alemtuzumab | 105 | 1.8 × 107 | 1.8 × 105 | 0.19 | 22 252 | 1423 | 0.04 | Undetectable | 2 (CD3 > 1000) | |
| P11 (8) | HLH | Cy/TBI/Ara-C/alemtuzumab | 105 | 1.4 × 107 | 2.4 × 104 | 0.13 | 72 204 | 1366 | 1.18 | 426 | 3 | |
| P12 (12) | SAA | FDR/Cy/TBI/alemtuzumab | 105 | 5.9 × 106 | 0.9 × 104 | 0.05 | 2 103 | 1369 | 0 | NE | 2 (GVH) | |
| P13 (14) | MDS | FDR/Cy/TBI/ATG | 105 | 7.5 × 106 | 2.7 × 104 | 0.01 | 4 695 | 340 | 2.80 | — | 4 | |
| P14 (6) | JMML/AML after haplo-SCT in third CR | FLAG | 105 | 1.1 × 107 | 2.1 × 104 | 0.03 | 21 719 | 1346 | 0.57 | — | 4 | |
| P15 (10) | Fanconi, rejected first haplo-SCT | FDR/Cy/TBI/ATG | 105 | 2 × 107 | 1 × 105 | 0.25 | 6 879 | 717 | 0 | — | 3 | |
| P16 (14) | Rel AML after syngeneic BMT in relapse | TBI/FDR/alemtuzumab | 105 | 1.1 × 107 | 6.4 × 104 | 0.12 | 39 801 | 604 | 0 | Undetectable | 3 | |
. | . | . | . | . | . | . | CPM, no. . | . | . | . | . | |
|---|---|---|---|---|---|---|---|---|---|---|---|---|
| Patient no. (age, y) . | Diagnosis . | Conditioning . | Dose level, per kg . | No. CD34/kg . | No. CD3/kg . | % CD3+/CD25+ . | No IT . | IT . | % residual proliferation . | Alemtuzumab level at first infusion, ng/mL . | No. infusions . | |
| P1 (8) | Rel ALL in second CR | Cy/TBI/Ara-C/alemtuzumab | 104 | 1.4 × 107 | 1.8 × 104 | 0.15 | 4 014 | 765 | 0 | 1180 | 3 | |
| P2 (14) | Ref AML | Cy/TBI/Ara-C/alemtuzumab | 104 | 1.2 × 107 | 0.7 × 104 | 0.27 | 21 033 | 1006 | 0.46 | Undetectable | 1 (GVH) | |
| P3 (3) | Rel ALL on Rx in second CR | Cy/TBI/Ara-C/alemtuzumab | 104 | 1.1 × 107 | 3.4 × 104 | 0.03 | 1 770 | 510 | 0 | Undetectable | 3 | |
| P4 (3) | AML first CR | Cy/TBI/Ara-C/alemtuzumab | 104 | 6.3 × 106 | 1 × 105 | 0.1 | 41 980 | 578 | 0.71 | Undetectable | 3 | |
| P5 (12) | Ref AML | Cy/TBI/Ara-C/alemtuzumab | 104 | 7.5 × 106 | 3.4 × 104 | 0.02 | 20 633 | 1071 | 1.00 | NE | 3 | |
| P6 (28) | Hodgkins in relapse after ABMT | TBI/FDR/alemtuzumab | 104 | 6.9 × 106 | 2.2 × 104 | 0.01 | 28 256 | 866 | 0.33 | 350 | 3 | |
| P7 (3) | HLH | Cy/TBI/Ara-C/alemtuzumab | 104 | 2.0 × 107 | 4.4 × 104 | 0.07 | 14 068 | 601 | 3.12 | NE | 3 | |
| P8 (58) | CML LBC in 2nd CP | TBI/FDR/alemtuzumab | 104 | 1.3 × 107 | 2.6 × 104 | 0.11 | 4 160 | 367 | 0 | 303 | 1 (autologous reconstitution) | |
| P9 (2) | Rel AML after MMUD BMT in relapse | TBI/FDR/alemtuzumab | 105 | 1.2 × 107 | 1.3 × 104 | 0.11 | 2 569 | 513 | 0 | Undetectable | 1 (CD3 > 1000) | |
| P10 (2) | Ref AML | Cy/TBI/Ara-C/alemtuzumab | 105 | 1.8 × 107 | 1.8 × 105 | 0.19 | 22 252 | 1423 | 0.04 | Undetectable | 2 (CD3 > 1000) | |
| P11 (8) | HLH | Cy/TBI/Ara-C/alemtuzumab | 105 | 1.4 × 107 | 2.4 × 104 | 0.13 | 72 204 | 1366 | 1.18 | 426 | 3 | |
| P12 (12) | SAA | FDR/Cy/TBI/alemtuzumab | 105 | 5.9 × 106 | 0.9 × 104 | 0.05 | 2 103 | 1369 | 0 | NE | 2 (GVH) | |
| P13 (14) | MDS | FDR/Cy/TBI/ATG | 105 | 7.5 × 106 | 2.7 × 104 | 0.01 | 4 695 | 340 | 2.80 | — | 4 | |
| P14 (6) | JMML/AML after haplo-SCT in third CR | FLAG | 105 | 1.1 × 107 | 2.1 × 104 | 0.03 | 21 719 | 1346 | 0.57 | — | 4 | |
| P15 (10) | Fanconi, rejected first haplo-SCT | FDR/Cy/TBI/ATG | 105 | 2 × 107 | 1 × 105 | 0.25 | 6 879 | 717 | 0 | — | 3 | |
| P16 (14) | Rel AML after syngeneic BMT in relapse | TBI/FDR/alemtuzumab | 105 | 1.1 × 107 | 6.4 × 104 | 0.12 | 39 801 | 604 | 0 | Undetectable | 3 | |
Rel indicates relapsed; ref, refractory; CR, complete remission; HLH, hemophagocytic lymphohistiocytosis; LBC, lymphoid blast crisis; MMUD, mismatched unrelated donor; SAA, severe aplastic anemia; MDS, myelodysplasia; Cy, cyclophosphamide; TBI, total body irradiation; Ara-C, cytarabine; ATG, rabbit antithymocyte globulin; FLAG, fludarabine/cytarabine/G-CSF; CPM, counts per minute in primary mixed lymphocyte reaction of day-4 donor PBMCs + host LCLs with and without immunotoxin (IT); % Resid prol, shows residual proliferation calculated as outlined in “Patients, materials, and methods'; NE, not evaluated; and —, not given alemtuzumab.
Study design
The study compared the outcomes in the previous section between 2 dose levels. Each patient was scheduled to receive 3 infusions of allodepleted donor T cells at the same dose at days 30, 60, and 90 after transplantation, provided that there was no evidence of grade II or higher GVHD, or until total T-cell numbers were greater than 1000/μL. Patients could receive a fourth dose at day 120 if clinically indicated and the circulating T-cell count was less than 1000/μL. Dose level 1 (104 cells/kg/dose) was chosen because this dose of T cells is known not to cause GVHD in haploidentical recipients, even when the T cells were not allodepleted. Comparison was made with a log-higher dose (105 cells/kg/dose). Patients were initially enrolled at dose level 1, with escalation to dose level 2 when the observed incidence of significant acute GVHD (aGVHD) at level 1 was shown to be lower than 25%. All eligible patients receiving haploidentical SCT were enrolled consecutively, but no specific methodology for ensuring equivalent patient distribution prospectively was used. The study was approved by both institutional review boards (IRBs) and by the US Food and Drug Administration (FDA) (Baylor College of Medicine [BCM]) and the Medicines and Healthcare products Regulatory Agency (MHRA) (Great Ormond Street Hospital [GOSH]). Informed consent was obtained from all patients and/or their parents.
Transplantation and engraftment
Patients underwent haploidentical SCT using routine institutional conditioning and supportive care protocols. Conditioning is outlined in Table 1. Eleven patients received myeloablative preparative regimens, which in most consisted of 90 mg/kg cyclophosphamide, 12 g/m2 cytarabine, 1400 cGy total body irradiation in 8 fractions, and serotherapy with 12 to 40 mg total alemtuzumab (Campath 1H). Five patients received nonmyeloablative conditioning with total body irradiation at 450 cGy in a single fraction, 120 mg/m2 fludarabine, and serotherapy with 40 mg alemtuzumab (n = 4) or 150 mg/m2 fludarabine/10 g/m2 cytarabine and granulocyte colony-stimulating factor (G-CSF) (n = 1). CD34+ peripheral blood stem cells from G-CSF–mobilized donors were selected using the Isolex 3000 (Baxter Healthcare, Deerfield, MA) or CliniMACs (Miltenyi Biotec, Bisley, United Kingdom) immunomagnetic systems. The median dose of CD34+ cells infused at transplantation was 11.5 × 106/kg (range, 5.9-20 × 106/kg), and a median of 2.6 × 104/kg T cells were infused with the graft (range, 0.73-18 × 104/kg). There was no significant difference in the number of infused T cells between the 2 dose levels. FK506/cyclosporin was either not administered (n = 9) or was withdrawn prior to the first infusion of allodepleted donor T cells (n = 7). More patients at dose level 2 (5 of 8) received post-SCT immunosuppression than at dose level 1 (2 of 8). GVHD was graded using the Seattle criteria.29
Engraftment was assayed on mononuclear and granulocyte fractions using XY fluorescence in situ hybridization (FISH) or DNA polymerase chain reaction (PCR) of short tandem repeats. All patients had primary engraftment at a median of 13 days. At 1 month, 15 of 16 were full donor chimeras, by 6 months 3 of 13 evaluable had mixed chimerism, and one had autologous reconstitution. Two of these patients have relapsed, and the other 2 have undergone successful second transplantations from alternate donors. One patient converted from a mixed chimeric state to full donor chimerism 1 month after infusion of his first dose of allodepleted donor T cells. Data on the extent of chimerism at 6 months are shown in Table 2.
Chimerism, GVHD, infection, and clinical outcome
Dose level and patient no. . | % donor at 6 mo . | aGVHD . | cGVHD . | Viral reactivations . | Fungal infection . | Autoimmunity . | Off study, mo after SCT . | Current status* . |
|---|---|---|---|---|---|---|---|---|
| Dose level 1 | ||||||||
| P1 | 100 | None | None | CMV/VZV | None | None | — | Alive in CR |
| P2 | 100 | Grade 4 skin | Ext (skin/liver) | CMV/Adeno | Aspergillus (B/C) | None | 8, death from liver failure | Death from liver failure (adeno/GVH) |
| P3 | 57 MNCs, 56 grans | None | None | CMV | None | None | 8, 2nd SCT for mixed chimerism | Alive in CR after 2nd SCT |
| P4 | 97 | None | None | None | None | None | 6, relapse | Death from disease/infection/hemorrhage |
| P5 | Relapsed | None | None | None | None | None | 5, relapse | Death from disease |
| P6 | 100 | None | None | CMV/VZV/EBV | None | None | 9, relapse | Death from disease/infection |
| P7 | 74 MNCs, 66 grans | None | None | CMV/EBV | None | None | 5, autologous reconstitution/relapse | Death from disease/infection |
| P8 | 0 MNCs, 0 grans | None | Not evaluable | CMV | None | None | 3, autologous reconstitution | Alive in CR after 2nd SCT |
| Dose level 2 | ||||||||
| P9 | 100 | Grade 1 skin | None | EBV | None | None | 8, relapse | Alive in relapse |
| P10 | Relapsed | None | None | CMV | None | None | 5, death from respiratory failure | Death from interstitial pneumonitis |
| P11 | 100 | Grade 1 gut | None | EBV | None | None | — | Alive in CR |
| P12 | 100 | Grade 2 skin | Ext (skin/mouth) | EBV | None | None | — | Alive in CR |
| P13 | 100 | None | None | CMV/EBV/JC | Pulmonary | AIHA | 30, death from multiorgan failure | Death from sepsis + multiorgan failure |
| P14 | 100 | None | None | None | None | None | 7, relapse | Death from disease |
| P15 | 100 | None | None | CMV/Adeno | Pulmonary | None | 7, death from encephalopathy | Death from postinfective encephalopathy |
| P16 | 100 | None | None | None | None | None | 8, relapse | Alive in relapse |
Dose level and patient no. . | % donor at 6 mo . | aGVHD . | cGVHD . | Viral reactivations . | Fungal infection . | Autoimmunity . | Off study, mo after SCT . | Current status* . |
|---|---|---|---|---|---|---|---|---|
| Dose level 1 | ||||||||
| P1 | 100 | None | None | CMV/VZV | None | None | — | Alive in CR |
| P2 | 100 | Grade 4 skin | Ext (skin/liver) | CMV/Adeno | Aspergillus (B/C) | None | 8, death from liver failure | Death from liver failure (adeno/GVH) |
| P3 | 57 MNCs, 56 grans | None | None | CMV | None | None | 8, 2nd SCT for mixed chimerism | Alive in CR after 2nd SCT |
| P4 | 97 | None | None | None | None | None | 6, relapse | Death from disease/infection/hemorrhage |
| P5 | Relapsed | None | None | None | None | None | 5, relapse | Death from disease |
| P6 | 100 | None | None | CMV/VZV/EBV | None | None | 9, relapse | Death from disease/infection |
| P7 | 74 MNCs, 66 grans | None | None | CMV/EBV | None | None | 5, autologous reconstitution/relapse | Death from disease/infection |
| P8 | 0 MNCs, 0 grans | None | Not evaluable | CMV | None | None | 3, autologous reconstitution | Alive in CR after 2nd SCT |
| Dose level 2 | ||||||||
| P9 | 100 | Grade 1 skin | None | EBV | None | None | 8, relapse | Alive in relapse |
| P10 | Relapsed | None | None | CMV | None | None | 5, death from respiratory failure | Death from interstitial pneumonitis |
| P11 | 100 | Grade 1 gut | None | EBV | None | None | — | Alive in CR |
| P12 | 100 | Grade 2 skin | Ext (skin/mouth) | EBV | None | None | — | Alive in CR |
| P13 | 100 | None | None | CMV/EBV/JC | Pulmonary | AIHA | 30, death from multiorgan failure | Death from sepsis + multiorgan failure |
| P14 | 100 | None | None | None | None | None | 7, relapse | Death from disease |
| P15 | 100 | None | None | CMV/Adeno | Pulmonary | None | 7, death from encephalopathy | Death from postinfective encephalopathy |
| P16 | 100 | None | None | None | None | None | 8, relapse | Alive in relapse |
MNCs indicates mononuclear cells; grans, granulocytes; B/C, blood cultures; and —, completed study.
As of June 2006.
Immunotoxin
RFT5-SMPT-dgA immunotoxin was generated by linking a murine anti-CD25 monoclonal antibody (MoAb) to a deglycosylated ricin α chain (dgA) as described.30 Clinical grade IT was prepared in the Good Manufacturing Practice (GMP) laboratory at the University of Texas Southwestern Medical School.
Generation and infusion of allodepleted donor T cells
Generation of allodepleted donor T cells was performed under GMP conditions at the Center for Cell and Gene Therapy, Baylor College of Medicine, Houston, using FDA-approved standard operating procedures. Six weeks prior to transplantation, 30 mL of blood was collected from the patient for generation of recipient EBV-transformed lymphoblastoid cell lines (LCLs). Immediately prior to mobilization, peripheral blood mononuclear cells (PBMCs) from 160 mL of donor blood were cocultured with irradiated (70 Gy) recipient LCLs in serum-free medium as described.23 Control cultures were also set up to assess residual proliferation. After 72 hours, cocultures were allodepleted by overnight treatment with IT as described.23 Cocultures were washed twice and sampled for bacterial/fungal/Mycoplasma sterility and endotoxin, confirmatory tissue-typing, fluorescence-activated cell-sorting (FACS) analysis of the percentage of residual CD3+CD25+ cells, and residual proliferation against host cells compared with control cultures. Residual proliferation in primary MLRs was calculated according to the following formula: counts per minute (cpm) (donor PBMCs ± host LCLs ± IT) – cpm (donor PBMCs alone ± IT] / cpm (donor PBMCs + host LCLs no IT) – cpm (donor PBMCs alone, no IT).
The remaining allodepleted donor T-cells were cryopreserved using 10% DMSO/10% human albumin in multiple aliquots determined by patient weight and dose level. Release criteria include less than 1% CD3+/CD25+ cells and less than 10% residual proliferation against host cells. If the patient engrafted successfully and the quality assurance/control (QA/QC) results were appropriate, the cryopreserved, allodepleted T cells were thawed and infused at days 30, 60 and 90 after transplantation.
Most (13 of 16) patients completed their scheduled infusions: the remainder did not because of GVHD (n = 2) or autologous reconstitution (n = 1). Two patients at dose level 2 required only one (patient 9) or 2 (P10) infusions to achieve a CD3 count higher than 1000/μL. The residual percentage of CD3+/CD25+ cells in the infused cells ranged from 0.01% to 0.27% (median, 0.08%), and the residual proliferation against host cells in the primary MLR ranged from 0% to 3.1% (median, 0.02%).
Measurement of alemtuzumab levels, HAMA, and HARA antibody responses
Plasma alemtuzumab (Schering Health Care, Burgess Hill, United Kingdom) levels were measured in 10 patients at the time of the first infusion of allodepleted donor T cells. Serial dilutions of patient/control plasma or standard dilutions of alemtuzumab were incubated with 6.25 × 105 normal donor phytohemagglutinin (PHA) blasts in 96-well plates on ice for 30 minutes, washed, and then secondary-stained with FITC anti-human IgG (BD Pharmingen, San Diego, CA). CD52 expression was analyzed flow cytometrically and compared with the standard curve. Values of less than 150 ng/mL are equivalent to the background for this assay. Alemtuzumab was undetectable in 6 patients and was detected at low levels in the remaining 4 patients (P1, 6, 8 and 11).
Antibody responses against mouse IgG1 and dgA were assayed in the patients prior to each infusion and at 6 months and 1 year after SCT. Triplicate wells of 96-well plates were coated with either mouse RFB4 or with dgA, washed with phosphate-buffered saline (PBS), blocked with 10% fetal calf serum (FCS), and dilutions of the test serum or a known standard added. The plates were incubated for 6 hours at room temperature and washed, and radiolabeled goat anti–human Ig was added. Plates were incubated for 4 to 6 hours at 4°C and washed. Individual wells were cut out and counted on a gamma counter. Standard curves were plotted and human anti–mouse Ig (HAMA) and human antiricin (HARA) levels in the experimental sera were calculated from the curves.
Monitoring viral reactivation and immune reconstitution
Blood samples from the patients were screened weekly for CMV antigenemia (BCM) or by DNA PCR (GOSH), and patients with significant viremia were treated with ganciclovir. All patients were also screened weekly for EBV viremia using the real-time PCR method of Wagner et al.31 Screening for adenoviremia was performed when clinically indicated and adenoviremia was treated with intravenous cidofovir.
Immune reconstitution was studied monthly for 9 months and then at a year after SCT by flow cytometric analysis of PBMCs using FITC/PE/PercP-labeled antibodies against CD3, CD4, CD8, CD16, CD19, CD56, CD45RA/RO, and CCR-7 antibodies (Becton Dickinson, San Jose, CA). Proliferative/ATP responses to mitogenic stimulation with PHA were measured using 3H-thymidine uptake and luciferase (Cylex, Columbia, MD) assays.
Antiviral responses were assayed using tetramer and ELISPOT assays. Tetramer analysis was performed on cells from 10 patients with HLA-A2–, HLA-A24–, HLA-B7– or HLA-B8–positive donors. PBMCs (106) from the patient after SCT were costained with CD8 FITC, CD3 PerCP, and either isotype PE control antibody or PE-conjugated tetramers (obtained from M.C. or Proimmune [Oxford, United Kingdom]), previously titrated for optimal specific staining. Donor PBMCs and PBMCs from donors with known positive populations served as positive controls, and PBMCs from healthy donors negative for the restricting HLA type were used as additional negative controls. The following tetramers were used: CMV (HLA-A2 NLVPMVATV [pp65], HLA-B7 TPRVTGGGAM [pp65], HLA-B7 RPHERNGFTVL [pp65], and HLA-B8 QIKVRVDMV [IE1]; and EBV (HLA-A2 CLGGLLTMV [LMP2], HLA-A2 GLCTLVAML [BMLF-1], HLA-B7 RPPIFIRRL [EBNA3a], and HLA-B8 RAKFKQLL [BZLF-1]). A total of 200 000 events in the lymphocyte gate were analyzed where possible and the percentage of tetramer-positive cells in the CD3+/CD8+ lymphocyte gate was expressed as a proportion of the CD8+ cells with the isotype control subtracted. For a population to be labeled as positive, at least 50 CD3+CD8+ tetramer-positive cells with the staining characteristics of the positive control population had to be acquired.
ELISPOT assays were used to determine the frequency of CMV- and EBV-specific T cells in patient PBMCs producing interferon gamma (IFN-γ) in response to stimulation with autologous donor PBMCs transduced with adenoviral vectors carrying the green fluorescent protein (GFP; Ad5f35GFP) or GFP and CMV pp65 transgenes (Ad5f35pp65GFP) or autologous LCLs, as reported previously.23 Thawed PBMCs (2 × 105) from the patient at varying time-points after SCT were plated in the presence of 2 × 105 stimulator cells in triplicate wells for 18 to 24 hours at 37°C on MAHA S45 plates (Millipore, Billerica, MA) coated with anti–IFN-γ capture antibody 1 DIK (Mabtech, Mariemont, OH). Controls consisted of 2 × 105 responder cells alone, 2 × 105 stimulator cells alone, and 2 × 105 unirradiated donor PBMCs plus 2 × 105 stimulator cells. Plates were developed and counted as described.23 The mean number of specific spot-forming cells (SFCs) was calculated by subtracting the mean number of spots from responder cells alone and stimulator cells alone from the mean number of spots in test wells. Responses against CMV pp65 were calculated by subtracting the mean number of spots after stimulation with PBMCs transduced with Ad5f35-GFP (always < 100 SFC/106 cells) from the mean number of spots after stimulation with PBMCs transduced with Ad5f35-pp65-GFP.
T-cell receptor signal joint excision circle (TREC) levels were analyzed by real-time quantitative PCR (qPCR) assay. PBMCs were lysed using proteinase K solution and 5 μL duplicate samples were used as a template for qPCR using primers and probes previously described32 on an ABI PRISM 7000 Sequence Detection (PE Applied Biosystems, Warrington, United Kingdom). For each run, a standard curve was generated from duplicate samples of 5-fold serially diluted known copies of plasmid DNA containing a human TREC fragment. A threshold cycle (Ct) value for each duplicate was calculated by determining the point at which the fluorescence exceeded the threshold limit. We used the mean Ct value of the 2 duplicates plotted against the standard curve to calculate the TREC number in the sample. To normalize for cell equivalents, the β-actin gene was quantified by qPCR. Results were expressed as TREC copies/106 cells. T-cell receptor (TCR) spectratypes were analyzed as previously described.32 Briefly, RNA was extracted and cDNA prepared from frozen PBMCs. A number of variable region (Vβ)–specific primers (24) were used with a fluorescent-labeled constant region (Cβ)–specific primer to reverse transcriptase (RT)–PCR amplify the CDR3 region of the TCR β chain. Products were run on a megaBACE 500 genetic analyser (Amersham Biosciences, Buckingham, United Kingdom) and analyzed using Genetic Profiler software (Amersham Biosciences). Each Vβ family was scored for the number of detectable bands and size distribution to assess the TCR repertoire. A normal spectratype has been shown to consist of 5 to 8 bands per family with a Gaussian size distribution.33
Statistical analysis
The proportion of patients achieving normal T- and B-cell numbers at each dose level at given time points was compared using the Fisher exact test. Univariate comparisons of immune reconstitution between the 2 dose levels were performed at each month of follow-up using the Wilcoxon rank-sum nonparametric test. To summarize the overall kinetics of immune reconstitution, the area under the curve (AUC) for each lymphocyte subset was calculated using the trapezoidal rule, and the mean AUC at 4 months and 6 months was compared between dose levels 1 and 2 using the 2 sample t test. Multivariate analysis was designed primarily to determine if differences in immune reconstitution observed between dose levels were significant after adjustment for other factors, rather than to determine the significance of these other factors.
Results
GVHD and toxicity
Infusion of allodepleted T cells was associated with a low incidence of toxicity. Two of 16 patients developed significant acute GVHD. P2 developed grade IV skin GVHD after a single infusion of allodepleted donor T cells at dose level 1, and P12 developed grade II skin GVHD after 2 infusions at dose level 2. Both subsequently evolved to extensive chronic GVHD (1 affecting the liver, the other affecting skin and mouth). The patient with chronic GVHD of the liver died of liver failure secondary to adenovirus. Chronic GVHD in the other patient fully resolved, and this patient has been off immunosuppression for 26 months as of June 2006. No other severe adverse effects attributable to the infused allodepleted donor T cells were observed during the study. No patients developed HAMA, and one of 16 (P8) developed a transient HARA.
Immune reconstitution
Thirteen patients with more than 3 months of follow-up at June 2005 were evaluable for immune reconstitution. P8 was excluded because of autologous reconstitution after a single dose of allodepleted donor T cells. Figure 1 shows the kinetics of T-, B-, and natural killer (NK)–cell recovery after SCT in the evaluable patients. T-cell reconstitution was slow in dose-level 1 patients, comparable to that reported in published series without T-cell infusions.4 In contrast, our data show that T-cell reconstitution in both in the CD4 and CD8 compartments was significantly accelerated in patients receiving allodepleted donor T cells at dose level 2 (Figure 1A-C). Univariate comparison of CD3 levels between dose levels 1 and 2 (Table 3) showed significantly improved T-cell numbers in dose-level 2 patients at 3, 4 and 5 months after SCT (P = .016, .017, and .04, respectively). There was a trend toward higher CD4 and CD8 levels in patients at dose level 2 compared with those at dose level 1 (Table 3) at 3, 4, and 5 months after SCT, but the difference only reached significance at 4 months (P = .017 and .03, respectively). B- and NK-cell reconstitution was not statistically different between patients at the 2 dose levels (Figure 1D-E). To evaluate the kinetics of T-cell reconstitution over the entire first 4 or 6 months after SCT, AUC analyses were performed. In patients with at least 4 months of follow-up, there was a significantly higher AUC in patients at dose level 2 for CD3+ (P = .048), CD4+ (P = .032), and CD8+ (P = .046) cells than for patients at dose level 1. A significantly higher mean AUC was also observed for CD3 (P = .034) and CD4 (P = .037) at 6 months after SCT. At 4 months after transplantation, 0 of 6 evaluable patients at dose level 1 had achieved normal T-cell, CD4, or CD8 numbers, whereas the respective figures for dose level 2 were 3 of 6, 2 of 6, and 5 of 6 (Figure 2A). By 6 months after SCT, only one of 5 evaluable patients at dose level 1 had normal T-cell counts, and none had normal CD4 counts. By contrast, all 5 evaluable patients at dose level 2 had normal T-cell and CD8 counts, and 3 of 5 had normal CD4 counts (Figure 2B). The proportion of patients achieving normal CD8 counts at 4 months and normal CD3 counts at 6 months was significantly greater in patients treated at the higher dose level (P < .05).
Comparison of CD3+, CD4+, CD8+, and CD3+CD45RA–CCR-7– T-cell recovery between dose levels by month after SCT
. | CD3+ . | . | . | . | . | CD4+ . | . | . | . | . | CD8+ . | . | . | . | . | Effector memory cells . | . | . | . | . | ||||||||||||||||
|---|---|---|---|---|---|---|---|---|---|---|---|---|---|---|---|---|---|---|---|---|---|---|---|---|---|---|---|---|---|---|---|---|---|---|---|---|
| . | Dose level 1 . | . | Dose level 2 . | . | . | Dose level 1 . | . | Dose level 2 . | . | . | Dose level 1 . | . | Dose level 2 . | . | . | Dose level 1 . | . | Dose level 2 . | . | . | ||||||||||||||||
| Mo . | No. pts . | Median, cells/μL . | No. pts . | Median, cells/μL . | P . | No. pts . | Median, cells/μL . | No. pts . | Median, cells/μL . | P . | No. pts . | Median, cells/μL . | No. pts . | Median, cells/μL . | P . | No. pts . | Median, cells/μL . | No. pts . | Median, cells/μL . | P . | ||||||||||||||||
| 1 | 7 | 0 | 6 | 4 | .215 | 7 | 0 | 6 | 3.5 | .086 | 7 | 0 | 6 | 6 | .113 | 7 | 0 | 5 | 0 | .807 | ||||||||||||||||
| 2 | 7 | 2 | 6 | 19.5 | .216 | 7 | 0 | 6 | 5 | .276 | 7 | 1 | 6 | 5.5 | .519 | 7 | 0 | 6 | 0 | .402 | ||||||||||||||||
| 3 | 7 | 2 | 6 | 615.5 | .016* | 7 | 1 | 6 | 177 | .059 | 7 | 1 | 6 | 533 | .065 | 7 | 0 | 6 | 438 | .025* | ||||||||||||||||
| 4 | 6 | 111.5 | 6 | 747 | .017* | 6 | 47 | 6 | 303.5 | .017* | 6 | 26 | 6 | 494.5 | .031* | 6 | 0 | 6 | 622.5 | .016* | ||||||||||||||||
| 5 | 6 | 175 | 6 | 900 | .040* | 6 | 92 | 6 | 206.5 | .093 | 6 | 52.5 | 6 | 460.5 | .054 | 6 | 26.5 | 6 | 610 | .022* | ||||||||||||||||
| 6 | 5 | 488 | 5 | 1421 | .129 | 5 | 226 | 5 | 244 | .425 | 5 | 195 | 5 | 850 | .178 | 5 | 68 | 5 | 897 | .066 | ||||||||||||||||
| 7 | 4 | 284.5 | 4 | 479 | .678 | 4 | 110 | 4 | 259.5 | .346 | 4 | 144 | 4 | 319.5 | .494 | 4 | 155.5 | 4 | 353 | .156 | ||||||||||||||||
| 8 | 4 | 410.5 | 2 | 1342.5 | .299 | 4 | 158 | 2 | 572.5 | .299 | 4 | 213.5 | 2 | 761.5 | .518 | 3 | 287 | 2 | 915 | .435 | ||||||||||||||||
| 9 | 3 | 1047 | 2 | 1450 | .787 | 3 | 399 | 2 | 410 | .787 | 3 | 462 | 2 | 1030 | >.999 | 3 | 10 | 2 | 1094.5 | .435 | ||||||||||||||||
. | CD3+ . | . | . | . | . | CD4+ . | . | . | . | . | CD8+ . | . | . | . | . | Effector memory cells . | . | . | . | . | ||||||||||||||||
|---|---|---|---|---|---|---|---|---|---|---|---|---|---|---|---|---|---|---|---|---|---|---|---|---|---|---|---|---|---|---|---|---|---|---|---|---|
| . | Dose level 1 . | . | Dose level 2 . | . | . | Dose level 1 . | . | Dose level 2 . | . | . | Dose level 1 . | . | Dose level 2 . | . | . | Dose level 1 . | . | Dose level 2 . | . | . | ||||||||||||||||
| Mo . | No. pts . | Median, cells/μL . | No. pts . | Median, cells/μL . | P . | No. pts . | Median, cells/μL . | No. pts . | Median, cells/μL . | P . | No. pts . | Median, cells/μL . | No. pts . | Median, cells/μL . | P . | No. pts . | Median, cells/μL . | No. pts . | Median, cells/μL . | P . | ||||||||||||||||
| 1 | 7 | 0 | 6 | 4 | .215 | 7 | 0 | 6 | 3.5 | .086 | 7 | 0 | 6 | 6 | .113 | 7 | 0 | 5 | 0 | .807 | ||||||||||||||||
| 2 | 7 | 2 | 6 | 19.5 | .216 | 7 | 0 | 6 | 5 | .276 | 7 | 1 | 6 | 5.5 | .519 | 7 | 0 | 6 | 0 | .402 | ||||||||||||||||
| 3 | 7 | 2 | 6 | 615.5 | .016* | 7 | 1 | 6 | 177 | .059 | 7 | 1 | 6 | 533 | .065 | 7 | 0 | 6 | 438 | .025* | ||||||||||||||||
| 4 | 6 | 111.5 | 6 | 747 | .017* | 6 | 47 | 6 | 303.5 | .017* | 6 | 26 | 6 | 494.5 | .031* | 6 | 0 | 6 | 622.5 | .016* | ||||||||||||||||
| 5 | 6 | 175 | 6 | 900 | .040* | 6 | 92 | 6 | 206.5 | .093 | 6 | 52.5 | 6 | 460.5 | .054 | 6 | 26.5 | 6 | 610 | .022* | ||||||||||||||||
| 6 | 5 | 488 | 5 | 1421 | .129 | 5 | 226 | 5 | 244 | .425 | 5 | 195 | 5 | 850 | .178 | 5 | 68 | 5 | 897 | .066 | ||||||||||||||||
| 7 | 4 | 284.5 | 4 | 479 | .678 | 4 | 110 | 4 | 259.5 | .346 | 4 | 144 | 4 | 319.5 | .494 | 4 | 155.5 | 4 | 353 | .156 | ||||||||||||||||
| 8 | 4 | 410.5 | 2 | 1342.5 | .299 | 4 | 158 | 2 | 572.5 | .299 | 4 | 213.5 | 2 | 761.5 | .518 | 3 | 287 | 2 | 915 | .435 | ||||||||||||||||
| 9 | 3 | 1047 | 2 | 1450 | .787 | 3 | 399 | 2 | 410 | .787 | 3 | 462 | 2 | 1030 | >.999 | 3 | 10 | 2 | 1094.5 | .435 | ||||||||||||||||
Pts indicates patients.
Statistically significant increases in dose level 2 compared with dose level 1.
Kinetics of recovery of CD3+, CD4+, and CD8+ T, B, and NK cells after transplantation. Panel A shows CD3+ cells; panel B, CD4+ cells; panel C, CD8+ cells; panel D, B cells; and panel E, NK cells. Median circulating cell counts at each time point are compared between patients treated at dose levels 1 and 2. Time points at which level 2 patients had statistically significant increased counts are indicated by an asterisk.
Kinetics of recovery of CD3+, CD4+, and CD8+ T, B, and NK cells after transplantation. Panel A shows CD3+ cells; panel B, CD4+ cells; panel C, CD8+ cells; panel D, B cells; and panel E, NK cells. Median circulating cell counts at each time point are compared between patients treated at dose levels 1 and 2. Time points at which level 2 patients had statistically significant increased counts are indicated by an asterisk.
To assess T-cell function, we assayed responses to PHA. As shown in Figure 2, at 6 months after SCT, 0 of 5 evaluable patients at dose level 1 had achieved normal PHA responses, whereas 2 of 5 patients at dose level 2 had normal responses.
There was no significant difference in recovery of CD3, CD4, or CD8 cells between patients who received nonmyeloablative or conventional intensity conditioning, and patients with detectable alemtuzumab levels at the time of first infusion did not have slower immune reconstitution. Multivariate analysis (Table 4) showed that the accelerated reconstitution of CD3+, CD4+, and CD8+ cells (as assessed by AUC at 4 and 6 months) seen in dose-level 2 patients was independent of whether patients had a malignant or nonmalignant disease, conditioning regimen, or treatment with post-SCT immunosuppression.
Multivariate analysis of factors influencing AUC for T-cell recovery at 4 and 6 months
. | P values . | . | . | . | . | . | |||||
|---|---|---|---|---|---|---|---|---|---|---|---|
| . | CD3 . | . | CD8 . | . | CD4 . | . | |||||
. | AUC to 4 mo . | AUC to 6 mo . | AUC to 4 mo . | AUC to 6 mo . | AUC to 4 mo . | AUC to 6 mo . | |||||
| Dose level 1 vs 2 | .002* | .043* | .005* | .036* | .012* | .136 | |||||
| Malignant vs nonmalignant | .311 | .569 | .185 | .249 | .771 | .821 | |||||
| Conventional-intensity vs nonmyeloablative conditioning | .734 | .742 | .597 | .695 | .769 | .6 | |||||
| Post-SCT immunosuppression vs none | .497 | .528 | .509 | .409 | .821 | .774 | |||||
. | P values . | . | . | . | . | . | |||||
|---|---|---|---|---|---|---|---|---|---|---|---|
| . | CD3 . | . | CD8 . | . | CD4 . | . | |||||
. | AUC to 4 mo . | AUC to 6 mo . | AUC to 4 mo . | AUC to 6 mo . | AUC to 4 mo . | AUC to 6 mo . | |||||
| Dose level 1 vs 2 | .002* | .043* | .005* | .036* | .012* | .136 | |||||
| Malignant vs nonmalignant | .311 | .569 | .185 | .249 | .771 | .821 | |||||
| Conventional-intensity vs nonmyeloablative conditioning | .734 | .742 | .597 | .695 | .769 | .6 | |||||
| Post-SCT immunosuppression vs none | .497 | .528 | .509 | .409 | .821 | .774 | |||||
Statistically significant.
Memory phenotype
As shown in Figure 3, most of the T cells recovering in patients at dose level 1 had a naive CD45RA+CCR-7+ phenotype. By contrast, the increase in T-cell reconstitution observed in patients at dose level 2 primarily reflects an expansion in T cells with an effector memory (CD45RA–CCR-7–) phenotype (Figure 3C). Univariate comparisons between dose levels 1 and 2 showed a significant (P < .05) increase in the levels of effector memory (but not central memory or naive) cells in patients at dose level 2 at 3, 4, and 5 months after SCT (Table 3). Similarly, AUC analyses demonstrated a significantly higher mean AUC for effector memory cells in patients treated at dose level 2 at both 4 and 6 months (P = .022 and P = .048, respectively).
TRECs and spectratyping
TRECs were assayed in 9 patients (5 treated at dose level 1, 4 at dose level 2) at 4 and 6 months after SCT. Six of 9 patients showed undetectable TREC levels at both time points. TRECs were detectable at low levels in P1 (6962 TRECs/106 PBMCs at 4 months, 5387 TRECs/106 PBMCs at 6 months), P4 (8447 TRECs/106 PBMCs at 6 months), and P6 (1472 TRECs/106 PBMCs at 6 months), all of whom were treated at dose level 1. The normal range for TRECs in healthy donors is 1200 to 155 000 TRECs/106 PBMCs.34
Spectratyping of TCR Vβ genes was performed on PBMCs from 9 patients (5 treated at dose level 1, 4 treated at dose level 2). As shown in Figure 4A, the distribution of TCR Vβ receptors at 4 months after SCT in patients at both dose levels was polyclonal with a median of 6.8 peaks (range, 5.3-7.8 peaks), with a shift to a more oligoclonal Vβ repertoire by 6 months (median, 4.2 peaks; range, 3.5-5.9 peaks), and normalization of TCR diversity by 12 months after SCT. The median number of peaks was similar between the 2 dose levels at either 4 or 6 months after SCT. Representative plots from a patient at dose level 2 are shown in Figure 4B.
Percentage of patients achieving normal CD3, CD8, CD4, and CD19 counts, and responses to PHA stimulation. Data at 4 months are shown in panel A and 6 months in panel B.
Percentage of patients achieving normal CD3, CD8, CD4, and CD19 counts, and responses to PHA stimulation. Data at 4 months are shown in panel A and 6 months in panel B.
Viral-specific immunity
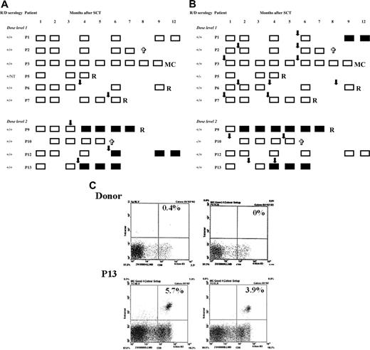
In order to study the recovery of viral-specific immunity, we used flow cytometric analysis of CD3+CD8+ cells from 10 evaluable patients with HLA-A2–, HLA-A24–, HLA-B7–, or HLA-B8–positive donors, at varying time points after SCT, after staining with HLA peptide tetramers. Peripheral blood from the donor premobilization was used as a control. As shown in Figure 5A, none of the 6 evaluable patients at dose level 1 had significant tetramer-positive populations recognizing EBV epitopes up to 9 to 12 months after SCT, despite the fact that 2 had viral reactivation. Tetramer-positive cells were detected in 3 of 4 evaluable patients at dose level 2 at 4 to 6 months after SCT, in each case shortly after viral reactivation. Tetramer-positive cells were directed predominantly against epitopes from lytic (eg, BMLF-1), but also in some case latent (eg, EBNA3a) antigens. Similarly, for CMV (Figure 5B), none of the 6 evaluable patients at dose level 1 had tetramer-positive populations detectable before 9 months after SCT, despite the fact that 5 of these patients had viral reactivations. In contrast, tetramer-positive cells were detected in 2 of 4 evaluable patients at dose level 2 as early as 2 and 4 months after SCT. In P13, this correlated with CMV reactivation, while in P9 no reactivation was apparent. Taking the data from CMV and EBV together, in all but 2 cases, the tetramer-positive cells detected in the patient recognized the same epitopes as those detected in the donor, but there was often significant expansion of the tetramer-positive population in the patient compared with the donor, particularly after viral reactivation. In 2 cases, tetramer-positive cells were observed in the patient that were not detected in the donor. Figure 5C shows an example of both the expansion of preexisting tetramer-positive cells (A2-NLV) and an apparent de novo tetramer-positive population (B8-ELR) directed against CMV antigens in P13, a patient at dose level 2, after CMV reactivation.
To determine whether the antiviral responses we observed were functional, we performed IFN-γ ELISPOT analyses on PBMCs isolated from patients at varying time points after SCT. All 13 patients with more than 3 months follow-up were evaluable. As shown in Figure 6A, 2 of 7 patients at dose level 1 (P6 and P7), both of whom had prior EBV reactivations, showed significant (> 200 cells/106 PBMCs) IFN-γ responses at 4 and 6 months after SCT. IFN-γ responses were detected in 4 of 6 patients at dose level 2 and occurred earlier (2-4 months) and were of greater magnitude than those seen in patients at dose level 1. In general, these responses correlated with viral reactivation, but one patient (P12) showed no IFN-γ response despite viral reactivation.
For CMV (Figure 6B), only one of 7 evaluable patients at dose level 1 showed significant IFN-γ secretion in response to CMV pp65 from 6 months after SCT, despite the fact that 5 of these patients had CMV reactivations. In contrast, 3 of 6 evaluable patients at dose level 2 had significant responses that were detectable as early as 2 months after SCT. The correlation between viral reactivation and responses was less consistent than with EBV. One patient at dose level 2 (P10) who had CMV reactivation did not have detectable ELISPOT responses.
Data from tetramer and ELISPOT analyses were largely concordant, although in 3 cases (P3 for CMV, P6 and P7 for EBV) IFN-γ responses were detectable when no tetramer-positive cells were detected, presumably reflecting secretion from either CD4+ cells or CD8+ cells recognizing epitopes other than those on the tetramers.
Infections and outcome
These are summarized in Table 2. Nine patients (of 16 at risk) had CMV reactivation detectable in the peripheral blood. All 9 patients were treated with ganciclovir with or without foscarnet, and none developed CMV-related disease. Six patients have had EBV reactivations, of whom 1 had a viral load greater than 4000 copies/μg PBMC DNA, which has previously been shown to be predictive of lymphoproliferative disease (LPD).31 None of these patients were treated preemptively with rituximab, and none developed LPD. Three patients developed proven/probable fungal infections and all resolved on liposomal amphotericin B with or without caspofungin therapy. Two patients developed adenoviremia. In P2 (dose level 1), this progressed to fatal acute liver failure in association with chronic GVHD affecting the liver. P15 had persistent adenoviremia with fever from 2 weeks after SCT, despite multiple courses of cidofovir and ribavirin and 3 doses of allodepleted donor T cells at dose level 2. She was treated off-study with a single dose of 2.5 × 106/kg allodepleted donor T cells on a compassionate basis, with clearance of viremia, but died subsequently from encephalopathy. P13 developed severe progressive multifocal leucoencephalopathy, which progressed despite cidofovir and intravenous immunoglobulin therapy at 2 months after transplantation, at a time when he was profoundly lymphopenic. This patient made a remarkable clinical and radiologic recovery following infusion of allodepleted donor T cells at dose level 2, with full recovery of motor function and continence and marked improvement in cognitive skills, associated with T-cell recovery. He later died from presumed sepsis with multiorgan failure while on immunosuppression for autoimmune hemolysis.
Kinetics of naive, central memory, and effector memory reconstitution after transplantation. Naive cells (CD45RA+CCR-7+) are shown in panel A; central memory (CD45RA–CCR-7-ve) in panel B; and effector memory (CD45RA–CCR-7–) in panel C. Dose-level 1 patients (left column) are compared with dose-level 2 patients (right column).
Kinetics of naive, central memory, and effector memory reconstitution after transplantation. Naive cells (CD45RA+CCR-7+) are shown in panel A; central memory (CD45RA–CCR-7-ve) in panel B; and effector memory (CD45RA–CCR-7–) in panel C. Dose-level 1 patients (left column) are compared with dose-level 2 patients (right column).
Outcome is shown in Table 2. Overall, at a median follow-up of 33 months, 7 patients have relapsed and 5 are alive and disease free at the time of writing (June 2006).
Discussion
We have demonstrated that adoptive immunotherapy with allodepleted donor T cells improves T-cell reconstitution after haploidentical SCT. T-cell reconstitution in the patients at dose level 1 was slow, comparable with that observed without allodepleted T-cell addback,4 where normal T-cell numbers were not observed until 9 to 12 months after haploidentical SCT. This was predictable, since the dose of allodepleted cells infused is similar to the numbers of T cells infused with the graft, and thus, these patients form an in-study control cohort for assessing the impact of infusing higher doses of allodepleted cells. In contrast, patients at dose level 2 exhibited significantly more rapid recovery of T cells, particularly at 3 to 5 months after SCT, which is frequently the time period at which patients succumb to infection after haploidentical SCT. CMV, EBV, and pneumocystis rarely cause disease in SCT recipients when the CD4 count is greater than 300/μL, and some groups use this as a threshold to stop cotrimoxazole prophylaxis and monitoring of viremia. The median time to reach this threshold was 4 months in patients at dose level 2, compared with more than 6 months in patients at dose level 1 and 8 months in the series of Eyrich et al4 without allodepleted T-cell addback. Further, most T cells that did recover in patients at dose level 2 exhibited an effector memory phenotype, implying that protective T-cell responses are likely to be long lived. While it is possible that naive T cells may also have shifted to an effector memory phenotype, our finding that none of the 4 dose-level 2 patients tested had detectable circulating TRECs at the time of T-cell recovery argues that naive T cells derived from the stem cell graft are unlikely to have contributed to the improved immune reconstitution seen in these patients. These data strongly suggest that the accelerated T-cell recovery seen in dose-level 2 patients is due to the infused allodepleted donor T cells.
T-cell receptor spectratyping. (A) Boxplot of number of bands per Vβ family (1-24) at 4 and 6 months after SCT for evaluable dose levels 1 and 2 patients. Line indicates mean; box indicates 25th to 75th centile; and error bars indicate 90th and 10th percentile. (B) Representative plots of TCR Vβ repertoire in P11 (dose level 2) at 4, 6, and 12 months after SCT.
T-cell receptor spectratyping. (A) Boxplot of number of bands per Vβ family (1-24) at 4 and 6 months after SCT for evaluable dose levels 1 and 2 patients. Line indicates mean; box indicates 25th to 75th centile; and error bars indicate 90th and 10th percentile. (B) Representative plots of TCR Vβ repertoire in P11 (dose level 2) at 4, 6, and 12 months after SCT.
Multivariate analysis demonstrated that the improved T-cell reconstitution in dose-level 2 patients was independent of intensity of conditioning, malignant diagnosis, and post-SCT immunosuppression. Since most of our patients were children, our findings are primarily relevant to pediatric patients and further studies will be needed to determine the effect of recipient age. In view of progressive thymic involution with age, it is critical that strategies to improve T-cell immunity in the early post-SCT period are independent of thymic maturation. Our data on the absence of TRECs in dose-level 2 patients with accelerated T-cell recovery support such a thymus-independent mechanism for immune reconstitution, but this will be an important issue to confirm in adults.
Previous studies have shown 2 pathways that contribute to reconstitution of the T-cell compartment. In the initial months after SCT, the T-cell repertoire depends on peripheral expansion of mature T cells in the graft, due to thymic damage associated with conditioning.35 Because of the rigorous T-cell depletion of the graft in haploidentical SCT, the T-cell repertoire is very restricted, with severe skewing of T-cell–receptor complexity for the first 6 to 9 months after SCT.4 Subsequently, de novo maturation of naive T cells derived from bone marrow emigrants passaged through the thymus has been shown to occur later than 6 months after SCT and may play a part in normalization of the T-cell repertoire.36 Our TREC data demonstrate that new thymic emigrants play a limited role in T-cell reconstitution for the first 6 months after SCT in most of our patients and are consistent with published data on heavily pretreated patients.34 Our spectratyping data show a significantly more polyclonal distribution of Vβ receptor gene usage at 4 months after SCT in patients at both dose levels than has been reported in published series of pediatric haploidentical SCT without allodepleted T-cell addback. In the study by Eyrich et al4 in a similar pediatric patient cohort, all patients had a markedly skewed repertoire with a median of 3 to 4 bands per Vβ family for the first 6 months after SCT, whereas our patients had a median of 7 bands per Vβ family at 4 months. This may reflect the polyclonal pattern of Vβ usage in the infused T cells. The absence of viral-specific responses in dose-level 1 patients despite polyclonal Vβ usage may be due to the higher sensitivity of the PCR-based spectratyping assay compared with tetramer/ELISPOT analyses. In most patients, the spectratyping pattern became more oligoclonal at 6 months, and this may reflect preferential expansion of T-cell clones that have been stimulated by their cognate antigens, with subsequent normalization of TCR diversity by 12 months after SCT.
Similarly, published data on pathogen-specific responses (eg, against fungal antigens) suggest these are generally absent until 9 months after SCT.37 Our data on T-cell responses to CMV and EBV in patients at dose level 1 are in line with these findings. In contrast, we have observed accelerated recovery of CMV- and EBV-specific immunity in patients treated at the higher dose level, using both flow cytometric and functional assays. We have previously shown23 that EBV-specific responses are partially retained in the allodepleted donor T-cell product, despite using LCLs as stimulators, through recognition of EBV epitopes presented on the non-shared HLA haplotype. Antiviral responses were observed as early as 2 to 4 months after SCT in these patients (ie, after a single infusion in some cases), particularly after viral reactivation. This coincides with the period during which patients are at maximum risk of viral infections after haploidentical SCT and is remarkable because such responses are not seen until 6 to 12 months after SCT even after the less rigorous T-cell depletion used in nonmyeloablative unrelated donor SCT.38
Recovery of CD8 responses to viruses. (A) Recovery of CD8 responses against EBV. ▪ represents time points at which a significant (> 0.1% above isotype) tetramer-positive population was identified in the peripheral blood of recipients; □, time points at which no tetramer-positive cells were observed. The arrows indicate EBV viremia. Time points at which patient went off study for relapse (R) or mixed chimerism (MC) are shown. Crosses indicate time points at which patients died. (B) CD8 responses against CMV. Schema as in panel A. (C) Flow cytometric analysis of peripheral blood from patient P13 at 6 months after transplantation (bottom 2 panels) and his donor (top 2 panels) using CD8-FITC/tetramer-PE staining. The left panels show samples stained with the HLA-A2-NLV tetramer (pp65), and the right panels show samples stained with the HLA-B8-ELR tetramer (IE1). The percentage of CD3+8+ T cells that were tetramer positive is shown.
Recovery of CD8 responses to viruses. (A) Recovery of CD8 responses against EBV. ▪ represents time points at which a significant (> 0.1% above isotype) tetramer-positive population was identified in the peripheral blood of recipients; □, time points at which no tetramer-positive cells were observed. The arrows indicate EBV viremia. Time points at which patient went off study for relapse (R) or mixed chimerism (MC) are shown. Crosses indicate time points at which patients died. (B) CD8 responses against CMV. Schema as in panel A. (C) Flow cytometric analysis of peripheral blood from patient P13 at 6 months after transplantation (bottom 2 panels) and his donor (top 2 panels) using CD8-FITC/tetramer-PE staining. The left panels show samples stained with the HLA-A2-NLV tetramer (pp65), and the right panels show samples stained with the HLA-B8-ELR tetramer (IE1). The percentage of CD3+8+ T cells that were tetramer positive is shown.
Our study was not designed with sufficient power to demonstrate clinical efficacy. While infections and viral reactivations were frequent, the overall incidence of directly infectious deaths was low (2 of 16). In conjunction with our data on viral-specific immune responses, this suggests that while the number of cells infused may be insufficient to prevent such reactivations, they may have played a role in preventing progression to disease/death. Taken together, our data suggest that adoptive immunotherapy with allodepleted donor T cells at doses of 1 to 3 × 105/kg is sufficient to improve T-cell reconstitution and antiviral immunity after haploidentical SCT. This approach may potentially reduce infection-associated mortality and thereby substantially broaden the applicability of haploidentical SCT. Clearly, however, larger studies will be needed to demonstrate if such an approach confers a real therapeutic benefit.
Comparison of the numbers of circulating T cells in patients treated at the higher dose level and the number of cells infused implies that allodepleted donor T cells are able to expand significantly in vivo, particularly in the face of viral reactivation. This is similar to what has been observed after adoptive transfer of EBV- and CMV-specific cytotoxic T cells in patients undergoing T-cell–depleted SCT,39,40 and may relate to the profound lymphopenia after haploidentical SCT. There is growing evidence for lymphoid homeostatic mechanisms,41,42 which in the lymphopenic environment favors rapid repopulation of the peripheral T-cell compartment through expansion of relatively small numbers of infused memory T cells. In both murine models and a human study, lymphodepletion may have a marked effect on the efficacy of adoptive T-cell transfer.43,44 Such homeostatic mechanisms may explain why the infusion of allodepleted donor T cells at doses as low as 3 × 105/kg may be sufficient to confer significant viral-specific immunity in the context of the profoundly lymphodepleted host after haploidentical SCT.
Our study confirms the safety of adoptive immunotherapy with allodepleted donor T cells in haploidentical stem cell transplant recipients. We have observed a low incidence of GVHD at both dose levels, comparable to that seen without the addback of allodepleted donor T cells.1,5 In the case of P12, the dose of allodepleted donor T cells was substantially higher than the T-cell dose infused with the graft, so it is likely the former contributed to GVHD, but in P2, cell doses were similar, so it is not clear whether the allodepleted donor T cells were responsible for GVHD in this patient. Previous studies have observed a high incidence of acute GVHD after infusion of unmanipulated donor lymphocyte infusions at 105/kg within the first 3 months of SCT, even in the HLA-matched setting.4,36 The low incidence of acute and chronic GVHD observed in our patients treated at dose level 2 demonstrates that our strategy effectively depletes clinically relevant alloreactive cells. Further, the depletion of CD4+CD25+ regulatory T cells from the infused cells does not appear to enhance the potential for GVHD, presumably reflecting the absence of significant numbers of alloreactive effector cells. Similarly, we have not observed an excess of post-SCT autoimmune phenomena.
Recovery of functional antiviral responses. (A) Functional response to EBV. The number of cells secreting interferon-γ in response to stimulation with donor EBV-LCL in ELISPOT assays are shown at varying time points after SCT. Dose-level 1 patients are shown in the top panel and level 2 patients in the bottom panel. (B) Functional response to CMV. The number of cells secreting interferon-γ in response to stimulation with donor PBMCs expressing a pp65 transgene in ELISPOT assays are shown at varying time points after SCT. Patients at dose-level 1 are shown in panel i and dose-level 2 patients in panel ii. Viral reactivations are indicated by the arrows.
Recovery of functional antiviral responses. (A) Functional response to EBV. The number of cells secreting interferon-γ in response to stimulation with donor EBV-LCL in ELISPOT assays are shown at varying time points after SCT. Dose-level 1 patients are shown in the top panel and level 2 patients in the bottom panel. (B) Functional response to CMV. The number of cells secreting interferon-γ in response to stimulation with donor PBMCs expressing a pp65 transgene in ELISPOT assays are shown at varying time points after SCT. Patients at dose-level 1 are shown in panel i and dose-level 2 patients in panel ii. Viral reactivations are indicated by the arrows.
In the study by Andre-Schmutz et al,25 the 4 patients who developed acute GVHD were those with high residual proliferative responses to host cells. Our preclinical data have demonstrated the importance of strong activation of alloreactive cells for this strategy to work reproducibly, and we believe the choice of host antigen-presenting cell is critical in this regard.23 We have demonstrated that allodepletion with this IT following stimulation with HLA-mismatched LCLs may be more consistently effective at removing alloreactive cells than following stimulation with PBMCs,23 so we used recipient LCL as stimulators in our clinical study. Using our approach, we did not observe a correlation between residual proliferation in the primary MLR or residual CD3+/CD25+ cells in the infused product and the development of GVHD.
While, as noted, our study was not designed to demonstrate clinical efficacy, given the accelerated T-cell recovery in dose-level 2 patients, disease-free survival was disappointing (only 5 of 16 patients), with relapse being the major cause of treatment failure. Although preclinical data from our group and others12,23 suggest that antileukemic responses may be preserved after allodepletion, relapse clearly remains a major problem in our cohort (7 of 16 patients). It is thus evident that in patients with high-risk malignancies, the benefits of this approach in improved immune responses to infection may be offset by leukemic relapse in survivors. Extension of this approach to demonstrate antileukemic responses will require larger, randomized studies, and is likely to need larger doses of allodepleted donor T cells than are required for reconstitution of antiviral responses.27,28,45
Prepublished online as Blood First Edition Paper, June 1, 2006; DOI 10.1182/blood-2006-02-001909.
Supported by the National Institutes of Health–National Cancer Institute (NIH-NCI) grant CA93069.
An Inside Blood analysis of this article appears at the front of this issue.
The publication costs of this article were defrayed in part by page charge payment. Therefore, and solely to indicate this fact, this article is hereby marked “advertisement” in accordance with 18 U.S.C. section 1734.
We gratefully acknowledge Tatiana Gotsolva for technical help with flow cytometry and Dr Jessie Wu for statistical advice.






This feature is available to Subscribers Only
Sign In or Create an Account Close Modal