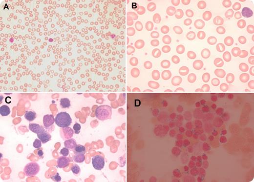
A 75-year-old woman who was previously healthy was investigated for chronic anemia. Her hemoglobin was 94 g/L with a mean corpuscular volume of 108 fL, white cell counts were normal, and platelet count was high (480 × 109/L). Blood film showed marked red cell anisocytosis with dimorphic pattern, stomatocytes, no neutrophil dysplasia, and no blasts (panel A-B). Bone marrow aspirate smear demonstrated marked hypercellularity, increased erythroid precursors with features of marked dyserythropoiesis such as megaloblastoid changes, multilobation, and nuclear budding (panel C). There was an increase in large monolobated megakaryocytes, no granulocytic dysplasia, and the blast count was 1%. Iron-stained marrow smear revealed numerous ring sideroblasts comprising 70% of erythroid precursors (panel D). The diagnosis was refractory anemia with ring sideroblasts associated with thrombocytosis (RARS-T), which is an entity of myelodysplastic/myeloproliferative neoplasm, unclassifiable according to World Health Organization classification. Bone marrow cytogenetics showed a normal karyotype and molecular test results for JAK2-V617F, JAK2-exon12, MPL-W515, and BCR-ABL mutations were negative. Ring sideroblasts are erythroid precursors that have ≥5 or more iron granules encircling one-third or more of their nuclei. RARS-T is a rare condition characterized by erythroid dysplasias, ring sideroblasts constituting 15% or more of all erythroid precursors, thrombocytosis, and atypical large megakaryocytes. Approximately 60% of patients with RARS-T demonstrate the JAK2-V617F mutation, and mutations in SF3B1 (splicing factor 3b, subunit 1) are associated with nearly 90% of cases of RARS-T.
A 75-year-old woman who was previously healthy was investigated for chronic anemia. Her hemoglobin was 94 g/L with a mean corpuscular volume of 108 fL, white cell counts were normal, and platelet count was high (480 × 109/L). Blood film showed marked red cell anisocytosis with dimorphic pattern, stomatocytes, no neutrophil dysplasia, and no blasts (panel A-B). Bone marrow aspirate smear demonstrated marked hypercellularity, increased erythroid precursors with features of marked dyserythropoiesis such as megaloblastoid changes, multilobation, and nuclear budding (panel C). There was an increase in large monolobated megakaryocytes, no granulocytic dysplasia, and the blast count was 1%. Iron-stained marrow smear revealed numerous ring sideroblasts comprising 70% of erythroid precursors (panel D). The diagnosis was refractory anemia with ring sideroblasts associated with thrombocytosis (RARS-T), which is an entity of myelodysplastic/myeloproliferative neoplasm, unclassifiable according to World Health Organization classification. Bone marrow cytogenetics showed a normal karyotype and molecular test results for JAK2-V617F, JAK2-exon12, MPL-W515, and BCR-ABL mutations were negative. Ring sideroblasts are erythroid precursors that have ≥5 or more iron granules encircling one-third or more of their nuclei. RARS-T is a rare condition characterized by erythroid dysplasias, ring sideroblasts constituting 15% or more of all erythroid precursors, thrombocytosis, and atypical large megakaryocytes. Approximately 60% of patients with RARS-T demonstrate the JAK2-V617F mutation, and mutations in SF3B1 (splicing factor 3b, subunit 1) are associated with nearly 90% of cases of RARS-T.
For additional images, visit the ASH IMAGE BANK, a reference and teaching tool that is continually updated with new atlas and case study images. For more information visit http://imagebank.hematology.org.
This feature is available to Subscribers Only
Sign In or Create an Account Close Modal