Skip Nav Destination
Impact of spliceosome mutations on RNA splicing in myelodysplasia: dysregulated genes/pathways and clinical associations
High sensitivity and specificity of an automated IgG-specific chemiluminescence immunoassay for diagnosis of HIT
Issue Archive
September 20 2018
In this Issue
Table of Contents
BLOOD COMMENTARIES
PLENARY PAPER
Impact of spliceosome mutations on RNA splicing in myelodysplasia: dysregulated genes/pathways and clinical associations
CME
Andrea Pellagatti,Richard N. Armstrong,Violetta Steeples,Eshita Sharma,Emmanouela Repapi,Shalini Singh,Andrea Sanchi,Aleksandar Radujkovic,Patrick Horn,Hamid Dolatshad,Swagata Roy,John Broxholme,Helen Lockstone,Stephen Taylor,Aristoteles Giagounidis,Paresh Vyas,Anna Schuh,Angela Hamblin,Elli Papaemmanuil,Sally Killick,Luca Malcovati,Marco L. Hennrich,Anne-Claude Gavin,Anthony D. Ho,Thomas Luft,Eva Hellström-Lindberg,Mario Cazzola,Christopher W. J. Smith,Stephen Smith,Jacqueline Boultwood
BLOOD SPOTLIGHT
REVIEW ARTICLE
HEMATOPOIESIS AND STEM CELLS
Genetic and epigenetic evolution as a contributor to WT1-mutant leukemogenesis
Elodie Pronier,Robert L. Bowman,Jihae Ahn,Jacob Glass,Cyriac Kandoth,Tiffany R. Merlinsky,Justin T. Whitfield,Benjamin H. Durham,Antoine Gruet,Amritha Varshini Hanasoge Somasundara,Raajit Rampal,Ari Melnick,Richard P. Koche,Barry S. Taylor,Ross L. Levine
IMMUNOBIOLOGY AND IMMUNOTHERAPY
Stage-specific roles for Zmiz1 in Notch-dependent steps of early T-cell development
Qing Wang,Ran Yan,Nancy Pinnell,Anna C. McCarter,Yeonjoo Oh,Yiran Liu,Cher Sha,Noah F. Garber,Yitong Chen,Qingqing Wu,Chia-Jui Ku,Ivy Tran,Amparo Serna Alarcon,Rork Kuick,James Douglas Engel,Ivan Maillard,Tomasz Cierpicki,Mark Y. Chiang
LYMPHOID NEOPLASIA
Aberrant hyperediting of the myeloma transcriptome by ADAR1 confers oncogenicity and is a marker of poor prognosis
Phaik Ju Teoh,Omer An,Tae-Hoon Chung,Jing Yuan Chooi,Sabrina H. M. Toh,Shuangyi Fan,Wilson Wang,Bryan T. H. Koh,Melissa J. Fullwood,Melissa G. Ooi,Sanjay de Mel,Cinnie Y. Soekojo,Leilei Chen,Siok Bian Ng,Henry Yang,Wee Joo Chng
PHAGOCYTES, GRANULOCYTES, AND MYELOPOIESIS
Mutations in the SRP54 gene cause severe congenital neutropenia as well as Shwachman-Diamond–like syndrome
Christine Bellanné-Chantelot,Barbara Schmaltz-Panneau,Caroline Marty,Odile Fenneteau,Isabelle Callebaut,Séverine Clauin,Aurélie Docet,Gandhi-Laurent Damaj,Thierry Leblanc,Isabelle Pellier,Cécile Stoven,Sylvie Souquere,Iléana Antony-Debré,Blandine Beaupain,Nathalie Aladjidi,Vincent Barlogis,Frédéric Bauduer,Philippe Bensaid,Odile Boespflug-Tanguy,Claire Berger,Yves Bertrand,Liana Carausu,Claire Fieschi,Claire Galambrun,Aline Schmidt,Hubert Journel,Françoise Mazingue,Brigitte Nelken,Thuan Chong Quah,Eric Oksenhendler,Marie Ouachée,Marlène Pasquet,Véronique Saada,Felipe Suarez,Gérard Pierron,William Vainchenker,Isabelle Plo,Jean Donadieu
PLATELETS AND THROMBOPOIESIS
Platelets kill circulating parasites of all major Plasmodium species in human malaria
Steven Kho,Bridget E. Barber,Edison Johar,Benediktus Andries,Jeanne R. Poespoprodjo,Enny Kenangalem,Kim A. Piera,Anna Ehmann,Ric N. Price,Timothy William,Tonia Woodberry,Simon Foote,Gabriela Minigo,Tsin W. Yeo,Matthew J. Grigg,Nicholas M. Anstey,Brendan J. McMorran
LETTERS TO BLOOD
High sensitivity and specificity of an automated IgG-specific chemiluminescence immunoassay for diagnosis of HIT
Clinical Trials & Observations
Homozygous OB-fold variants in telomere protein TPP1 are associated with dyskeratosis congenita–like phenotypes
Hemanth Tummala,Laura C. Collopy,Amanda J. Walne,Alicia Ellison,Shirleny Cardoso,Tekin Aksu,Nese Yarali,Deniz Aslan,Rüştü Fikret Akata,Juliana Teo,Zhou Songyang,Nikolas Pontikos,Jude Fitzgibbon,Kazunori Tomita,Tom Vulliamy,Inderjeet Dokal
BLOOD WORK
ERRATUM
CONTINUING MEDICAL EDUCATION (CME) QUESTIONS
-
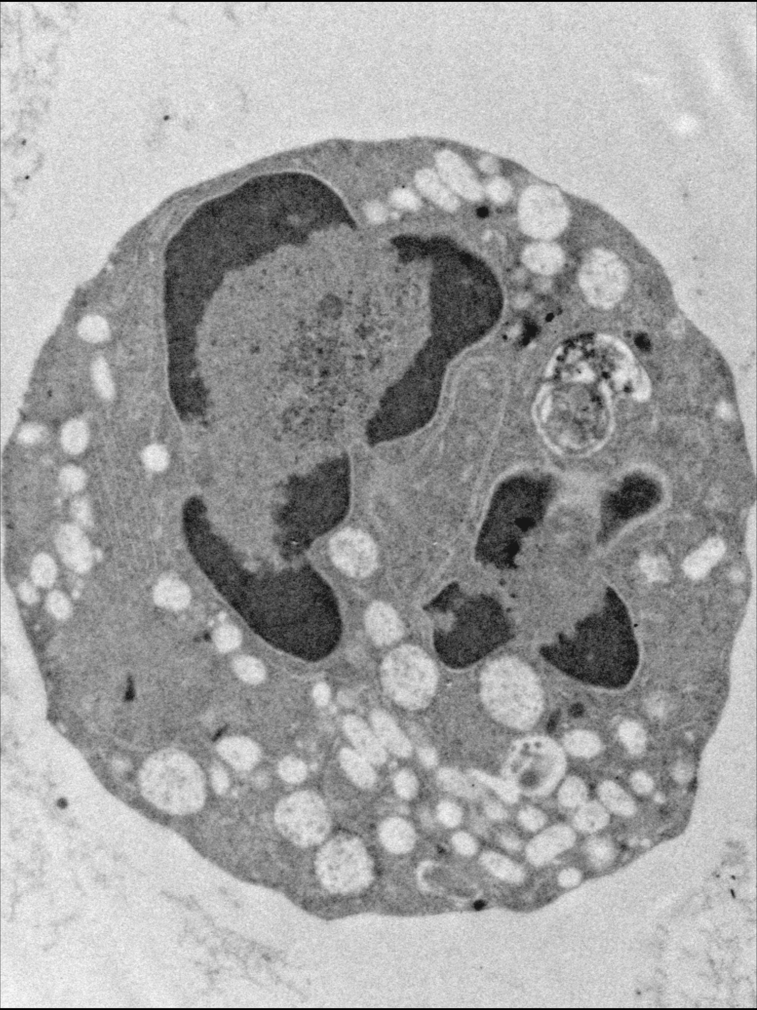
Cover Image
Cover Image
Analysis by transmission electron microscopy of the ultrastructural aspect of bone marrow cells in a patient with a heterozygous mutation in the SRP54 gene, which encodes the signal recognition particle 54 (SRP54) GTPase protein. Notice the preapoptotic neutrophil granulocytes with abnormal clumped chromatin and large cytoplasmic vacuoles. See the article by Bellanné-Chantelot et al on page 1318.
- PDF Icon Front MatterFront Matter
- PDF Icon Table of ContentsTable of Contents
- PDF Icon Back MatterBack Matter
- PDF Icon Editorial BoardEditorial Board
Advertisement intended for health care professionals
Email alerts
Advertisement intended for health care professionals







