Abstract
Homologous disruption of expression of signal transducer and activator of transcription 5a (STAT5a) and STAT5b (STAT5ab–/–) in mice results in hematopoietic stem cells (HSCs) that can engraft irradiated hosts alone but are noncompetitive against wild-type HSCs. To explore mechanisms for this phenotype, we crossed the STAT5 mutations onto an HW80 background congenic to the original C57BL/6 that differs in a small chromosome 7 genomic locus. We previously demonstrated that C57BL/6 or HW80 background STAT5ab–/– bone marrow (BM) cells showed equal repopulating function either competitively or noncompetitively in irradiated hosts. However, one intraperitoneal injection of wild-type green fluorescent protein (GFP) transgenic BM cells into unconditioned newborn STAT5ab–/– recipients of either background was sufficient for high-level donor engraftment. Furthermore, haploinsufficiency of STAT5 (STAT5ab+/–) allowed improved engraftment over wild-type recipients, indicating a dose-dependent requirement for STAT5 activation. In reciprocal experiments, STAT5ab–/– BM was transplanted into nonirradiated W/Wv hosts. In these mice, C57BL/6 STAT5ab–/– BM cells were 10-fold more defective in long-term engraftment than control wild-type BM cells and HW80 STAT5ab–/– BM cells were 5- to 10-fold more defective than C57BL/6 STAT5ab–/– BM cells. Therefore, we conclude that STAT5 plays a critical role during steady-state HSC engraftment and a chromosome 7 modifier locus regulates this activity.
Introduction
The bone marrow (BM) niche plays a direct role in supporting hematopoietic engraftment and long-term hematopoiesis. Myeloablative conditioning is required for high levels of hematopoietic chimerism following injection with BM cells, although this is dependent on cell dose. Repeated injections with cumulative doses of 2 × 108 cells in a wild-type Balb/c mouse model have been successful at obtaining significant chimerism in adult recipients,1 indicating that this dependence on irradiation can be overcome. Further studies in a nonablated newborn injection model showed that repeated intravenous injections with a cumulative dose of 3 × 107 adult BM cells could engraft mucopolysaccharidosis type VII (MPS VII) neonates long-term.2 The concept that engraftment of donor hematopoietic stem cells (HSCs) is based on competition,3 not space, is also supported by recent observations using either local irradiation4 or intrafemoral injection5 of donor BM cells. The reasons for enhanced engraftment following irradiation likely involve multiple factors including changes in adhesion receptor expression of the host, release of bioactive cytokines and proteases, or simply creating a noncompetitive host HSC pool that is easily replaced. Overcoming these obstacles to HSC engraftment is a central issue in the fields of cell and gene therapy for hematologic disorders.
Although myeloablative conditioning is generally required for donor engraftment of BM HSCs, some genetically altered mouse models are very receptive to donor engraftment without the need for myeloablative conditioning. Classic examples of this are mice with mutations at the W locus of which the WBB6F1 W/Wv mutant is viable but has major defects in melanocytes, male germ cells, and erythroid progenitors.6 Furthermore, the HSCs in these mice are noncompetitive with wild-type HSCs even in situations when they are already occupying the HSC niche and no irradiation is administered.7-9 The c-Kit receptor, which maps to the W locus, is known to be important for various aspects of HSC function. By activating overlapping and unique intracellular signaling pathways, c-Kit activation promotes interaction of HSCs with the extracellular matrix, promotes survival, and stimulates proliferation in collaboration with other cytokines.10 Mutant c-Kit receptor in W/Wv mice fails to adequately stimulate intracellular signals11 important for HSCs to remain in the BM microenvironment following wild-type BM challenge.
Our prior studies have identified signal transducer and activator of transcription 5 (STAT5) as a central figure in early acting cytokine signaling. Genomic studies by others have also identified a 10-cM region on chromosome 11 that is important for hematopoietic stem/progenitor cycling activity and repopulating function.12 This locus contains both the STAT5a and STAT5b genes, which are more highly expressed in the more rapidly dividing DBA/2 mouse strain compared with C57BL/6. Therefore, STAT5 may be a mediator of HSC proliferation and consequently regulate HSC interaction with the BM niche. STAT5ab–/– mice are severely defective in the long-term competitive repopulating activity,13,14 a phenotype that is associated with reduced sensitivity to the S phase-specific drug 5-fluorouracil.15 These earlier studies also demonstrated that by generation of BM chimeras following injection of STAT5ab–/– BM into lethally irradiated hosts, the cells were intrinsically capable of engraftment without a viable competitor. However, these cells were extremely defective in the ability to maintain hematopoiesis when a wild-type competitor was injected 16 weeks later, suggesting a specific role for STAT5 activation during steady-state hematopoiesis.15
Studies performed in parabiotic mice have shown the relevance of physiologic migration of HSCs.16,17 In our studies, we have examined the role of STAT5 on long-term engraftment during steady-state hematopoiesis. Two independent approaches were used to test the repopulating ability of STAT5ab–/– HSCs that already resided in the BM niche or STAT5ab–/– HSCs following transplantation into nonablated mouse models. These studies revealed a critical role for STAT5 in HSC engraftment during steady-state hematopoiesis and an unexpected contribution of a modifier locus to this ability.
Materials and methods
Mice
β-Actin promoter-driven green fluorescent protein (GFP) transgenic C57BL/6 mice, WBB6F1/J-KitW/KitWv (W/Wv) mice, and the congenic B6.SJL-PtprcaPep3b/BoyJ (Ly-5.1) and B6.C-H1b/By (HW80) mouse strains were purchased from the Jackson Laboratory (Bar Harbor, ME). W/Wv mice are an F1 of a W/+ and Wv/+ cross that can accept C57BL/6 grafts. C57BL/6 STAT5ab–/– mice were the same as previously described.13 To generate the HW80 congenic mouse strain, C57BL/6 STAT5ab+/– mice were crossed once with HW80 wild-type mice to generate F1 C57BL/6 × HW80 STAT5ab+/– mice. These F1 STAT5ab+/– mice were then intercrossed to generate STAT5ab+/– mice on the HW80 congenic background. HW80 background was easily determined visually by the change from black coat color to white coat color. All white mice also had the associated change in the hemoglobin polymorphism for hemoglobin single (Hbs) to hemoglobin diffuse (Hbd) indicating transfer of the Balb/c-derived chromosome 7 fragment.
Hematology and colony-forming unit assays
Peripheral blood was obtained from the retro-orbital sinus following puncture using a microcapillary tube. Peripheral blood smears were stained with a Hema-3 stain set (Biochemical Sciences, Swedesboro, NJ) and analyzed using a standard light microscope for the differential percentages of granulocytes, lymphocytes, and monocytes. Smaller microcapillary tubes were spun in a Stat-Spin microcentrifuge for reading of hematocrits manually. For white blood cell counts, cells were diluted in isotonic diluent and analyzed using a Coulter counter Z2 (Beckman Coulter, Fullerton, CA). BM was harvested from both hind limbs (tibias and femurs) of either STAT5ab–/– or littermate wild-type mice. BM cells were flushed into phosphate-buffered saline (PBS) containing 2% fetal bovine serum (FBS; HyClone, Logan UT) and counted using a hemacytometer. Colony-forming unit in culture (CFU-C) assays were performed by plating 1 × 105 BM cells into a 3-mL aliquot of methylcellulose medium containing growth factor combinations that included either 10 ng/mL recombinant murine granulocyte-macrophage colony-stimulating factor (GM-CSF) alone or a cocktail of 20 ng/mL recombinant murine interleukin 3 (IL-3), 50 ng/mL recombinant human IL-6, 50 ng/mL recombinant murine stem cell factor (SCF), and 3 U/mL recombinant human erythropoietin (EPO). On day 7 of culture, BM colonies of more than 50 cells were counted. All hematopoietic cytokines were from R&D Systems (Minneapolis, MN).
BM injections into nonablated mice
For injections into newborns, GFP transgenic BM cells were harvested and the red blood cells were lysed to reduce the total cellularity. The BM leukocytes were then resuspended at 5 × 108 cells/mL and a volume of 20 μL was injected per newborn recipient to give a total cell dose of 1 × 107 cells. Cell injections were done using a microsyringe (Hamilton, Reno, NV) and a 30-gauge needle via an intraperitoneal route into recipient mice without any host conditioning. For W/Wv injection experiments, male or female BM cells were harvested from wild-type or STAT5ab–/– mice and 0.2 donor equivalents were injected via lateral tail vein into each adult male W/Wv host.
BM injections into lethally irradiated mice
Donor BM cells (HW80, Ly-5.2) were collected from wild-type and STAT5ab–/– mice (n = 2) and injected into recipient Ly-5.1 mice that were irradiated with 1100 rad from a cesium 137 source. The level of long-term engraftment was determined in recipient mice 14 to 15 weeks following transplantation following bleeding from the retro-orbital sinus. Peripheral blood leukocytes were analyzed by flow cytometry for Ly-5.2+ cells on a BD LSR (BD Biosciences, San Jose, CA) as previously described.18 Packed red blood cells were analyzed by hemoglobin electrophoresis as described (see “Characterization of injected mice”).
Characterization of injected mice
For analysis of hemoglobin patterns, packed peripheral red blood cells were lysed and protein separated by electrophoresis on cellulose acetate gels.19 To calculate the relative proportions of single and diffuse donor hemoglobin in peripheral blood from reconstituted mice, the hemoglobin gels were digitized using a Epson 1680 scanner (Epson, Long Beach, CA). Data files were quantitated by densitometry using ImageQuant software (Molecular Dynamics, Sunnyvale, CA). For Southern blotting, gDNA was prepared as described previously.13 DNA (5 μg) was restricted overnight with EcoRI and separated on a 0.8% agarose gel by electrophoresis. Gels were blotted overnight onto Hybond N+ nylon membrane (Amersham, Arlington Heights, IL), UV cross-linked, and hybridized with a [32P]-labeled fragment of the mouse β-globin intervening sequence 2. Blots were washed at a final stringency of 0.5× saline sodium citrate (SSC)/0.5% sodium dodecyl sulfate (SDS) at 65°C and exposed overnight; autoradiographic images were obtained using a Molecular Dynamics Storm phosphorimager. [32P]-dCTP was obtained from Amersham. To calculate the relative proportion of Hbs and Hbd bands, densitometry of Southern blots as performed using ImageQuant software (Molecular Dynamics). Each sample was internally controlled because the ratio of Hbs to Hbd determines the engraftment level relative to noninjected W/Wv controls (50:50 Hbs/Hbd). Engraftment levels were calculated by subtracting 50% from the percent of donor type hemoglobin and then dividing by 50. For example, 80% donor type corresponds to 60% donor engraftment in this model.
Statistical analyses
P values were calculated by a paired t test using InStat for Windows version 1.5 (The University of Reading, United Kingdom). The χ2 analyses were also done using InStat and P values were calculated from 2 degrees of freedom.
Results
STAT5ab–/– HSCs on congenic backgrounds are functionally equivalent in irradiated hosts
STAT5ab–/– congenic mice were generated on C57BL/6 and HW80 backgrounds (Figure 1). These congenic lines differ from each other by the presence of a Balb/c-derived fragment of murine chromosome 7 that carries the albino coat color mutation20 and the Hbd polymorphism,21 spanning at least 16 Mb and including 246 genes (http://www.informatics.jax.org/). A larger region spanning 25 Mb and including 491 genes conservatively includes most of the genes from the locus that would be transferred. This region of chromosome 7 has been reported to be associated with hematopoietic progenitor proliferation phenotypes in the DBA/2 mouse strain.22 Initial characterization of wild-type and STAT5ab–/– HW80 mice found that the peripheral blood hematology was comparable with previous results for the wild-type and STAT5ab–/– C57BL/6 background13 (Table 1). HW80 STAT5ab–/– mice had the characteristic decrease in absolute lymphocyte count and had a mild anemia. BM cells were then collected from the mice and the number of CFU-Cs was determined as described previously on the C57BL/6 background. The results of these studies were similar to studies using C57BL/6 background mice,18 where STAT5ab–/– CFU-C frequency was not significantly different from wild-type CFU-C frequency (P > .4).
Balb/c-derived murine chromosome 7 fragment that defines C57BL/6 and HW80 congenic mice. The STAT5ab–/– C57BL/6 background mouse was crossed onto the HW80 congenic background. Although these mice are very similar, some genetic differences are obvious. C57BL/6 mice have the wild-type tyrosinase gene resulting in black coat color, whereas HW80 congenics have the tyrosinase (c) gene albino mutation that results in white coat color and pink eyes. Another difference between the 2 congenic strains is in the hemoglobin locus. The C57BL/6 mice express an Hbs variant and the HW80 mice express an Hbd variant. These differences are of no consequence for transplantation into lethally irradiated recipients and thus can serve as a useful marker for donor engraftment. However, the role of other genes within this chromosome 7 fragment has not been characterized in terms of HSC biology.
Balb/c-derived murine chromosome 7 fragment that defines C57BL/6 and HW80 congenic mice. The STAT5ab–/– C57BL/6 background mouse was crossed onto the HW80 congenic background. Although these mice are very similar, some genetic differences are obvious. C57BL/6 mice have the wild-type tyrosinase gene resulting in black coat color, whereas HW80 congenics have the tyrosinase (c) gene albino mutation that results in white coat color and pink eyes. Another difference between the 2 congenic strains is in the hemoglobin locus. The C57BL/6 mice express an Hbs variant and the HW80 mice express an Hbd variant. These differences are of no consequence for transplantation into lethally irradiated recipients and thus can serve as a useful marker for donor engraftment. However, the role of other genes within this chromosome 7 fragment has not been characterized in terms of HSC biology.
To further define the ability of C57BL/6 and HW80 STAT5ab–/– HSCs to engraft into lethally irradiated hosts, we transplanted BM from these mice into congenic Ly-5.1 recipients and measured Ly-5.2 engraftment (Table 2). Engraftment by STAT5ab–/– BM cells was determined for 2 separate experiments 15 and 14 weeks, respectively, following transplantation. Although engraftment was more variable, the average engraftment of the recipient mice from each transplant on either background was not significantly different. The transplantation results for these grafts into irradiated recipients were entirely consistent with prior studies in several respects. (1) T-cell chimerism resulting from STAT5ab–/– BM transplantation was observed.13 (2) STAT5ab–/– C57BL/6 and STAT5ab–/– HW80 BM grafts had equivalent HSC engraftment ability in head-to-head competitive repopulation experiments,18 indicating no difference in stem cell activity. (3) Serial transplantation of STAT5ab–/– HW80 BM gave the same lack of radioprotection in quaternary hosts as previously reported for C57BL/6 background,18 indicating a similar degree of HSC self-renewal deficiency under limiting dilution conditions (data not shown). Therefore, the functional number and differentiation potential of long-term reconstituting HSCs was not different between these 2 STAT5ab–/– congenic strains when assayed following injection into lethally irradiated hosts.
HSCs from newborn STAT5ab–/– mice are replaced by wild-type donor HSCs without prior irradiation
Although adult STAT5ab–/– mice are born at normal numbers, they have a very poor survival rate up to weaning age. Retrospective analysis over 1-year for genotyping results showed that from 464 weaned C57BL/6 heterozygote cross progeny 39% +/+, 55% +/–, and 6% –/– were obtained compared with 443 weaned HW80 heterozygote cross progeny that were 32% +/+, 58% +/–, and 10% –/–. The χ2 analysis showed that both backgrounds yielded significantly fewer STAT5ab–/– mice than the expected mendelian ratio of 25% (P < .001), but the HW80 background supported an improvement in perinatal survival relative to C57BL/6 (P = .02). Figure 2A shows a Western blot analysis on brain tissue that is rich in STAT5 expression. This blot demonstrates the reduction in STAT5 expression in heterozygote mice and the absence of STAT5 expression in the knockout. The same result was observed in splenocytes, but with lower overall STAT5 expression (data not shown).
Nonablated newborn mouse injection strategy and GFP expression analysis of STAT5ab–/– C57BL/6 recipient mice. (A) STAT5ab+/– mice were mated to yield STAT5ab–/– pups. Because STAT5ab–/– mice typically survive at much less than a 1:4 ratio, we injected a large number of newborn mice to ensure that STAT5ab–/– mice would be available for analysis. These newborn pups were injected at 2 to 3 days after birth with adult BM cells harvested from GFP transgenic donor mice. At the time of weaning, mice were genotyped and analyzed by fluorescence-activated cell sorting (FACS) for GFP expression. The bottom of panel A shows the results of representative Western blot for STAT5a expression in brain tissue of wild-type, heterozygote, and STAT5ab–/– mice. (B) GFP expression in peripheral blood leukocytes of mice of different genotypes is shown for mice analyzed 28 weeks following injection. The GFP expression level was inversely correlated with the expression level of STAT5a in these mice. The number of mice injected in each group is shown below because many circles are overlapping. The genotypes of each group are shown below the graph.
Nonablated newborn mouse injection strategy and GFP expression analysis of STAT5ab–/– C57BL/6 recipient mice. (A) STAT5ab+/– mice were mated to yield STAT5ab–/– pups. Because STAT5ab–/– mice typically survive at much less than a 1:4 ratio, we injected a large number of newborn mice to ensure that STAT5ab–/– mice would be available for analysis. These newborn pups were injected at 2 to 3 days after birth with adult BM cells harvested from GFP transgenic donor mice. At the time of weaning, mice were genotyped and analyzed by fluorescence-activated cell sorting (FACS) for GFP expression. The bottom of panel A shows the results of representative Western blot for STAT5a expression in brain tissue of wild-type, heterozygote, and STAT5ab–/– mice. (B) GFP expression in peripheral blood leukocytes of mice of different genotypes is shown for mice analyzed 28 weeks following injection. The GFP expression level was inversely correlated with the expression level of STAT5a in these mice. The number of mice injected in each group is shown below because many circles are overlapping. The genotypes of each group are shown below the graph.
Our previous studies showed that adult BM chimeras could be generated following lethal irradiation and transplantation with STAT5ab–/– BM cells. However, the engrafted BM cells in these mice could be gradually replaced by a single injection of congenic wild-type HW80 or Ly-5.1 BM cells even 16 weeks later and without any ablative conditioning.15 We injected GFP transgenic BM cells into chimeras to track donor engraftment and determine whether wild-type cells could correct hematopoietic function. When wild-type GFP+ BM cells were injected into STAT5ab–/– BM chimeras, the hematopoietic system of injected mice became GFP+ within 8 to 12 weeks (2 experiments; data not shown). This approach was chosen to further test the engraftment defects in STAT5ab–/– hosts. Two- to 3-day-old newborns were used because at this time the mothers could be confirmed to be taking care of the pups and overall yield of surviving pups was improved. GFP transgenic BM was injected into newborn STAT5ab–/– mice using an approach that we previously described in the context of a gene therapy model for JAK3-deficient severe combined immunodeficiency23 (Figure 2A).
Following injection of 2- to 3-day-old pups with adult BM cells, the pups were kept with their mothers until weaning age. At weaning, they were then analyzed for GFP expression by flow cytometry. As expected, the levels of GFP expression were extremely low to undetectable in total blood leukocytes of wild-type recipients. The highest levels of HSC engraftment of GFP+ donor cells were obtained in STAT5ab–/– mice analyzed 28 weeks following injection (77% ± 2% GFP+). Interestingly, significantly higher levels of long-term engraftment were also observed in heterozygote mice, indicating a dose-dependent requirement for STAT5 to promote HSC engraftment during steady-state hematopoiesis (Figure 2B). The levels of multilineage GFP expression averaged for 3 C57BL/6 STAT5ab–/– mice were analyzed at 16 weeks and found to be 35% ± 8% for Gr-1+, 63% ± 9% for CD4+, 48% ± 18% for B220+, and 44% ± 8% for Ter-119+ peripheral blood leukocytes. At this earlier time point, total engraftment of GFP+ peripheral blood leukocytes was 55% ± 11% (not included in Figure 2B), indicating that total engraftment levels increased from the 16-week multilineage to the 28-week total leukocyte analyses. For 3 of the HW80 background STAT5ab–/– mice (Figure 3) the levels of multilineage GFP expression were 53% ± 8% for Gr-1+, 66% ± 10% for CD4+, 56% ± 9% for B220+, and 54% ± 5% for Ter-119+ peripheral blood leukocytes, which were very similar to the C57BL/6 results at the 16-week time point. Some variability in percent GFP+ mice was observed when considering all 6 STAT5ab–/– recipients, with a range of 15% to 84% and an average of 59% ± 24%. All multilineage analyses were performed 12 to 16 weeks following injection and some mice were followed up to 28 weeks for analysis of total blood leukocytes only. Hemoglobin gels on some HW80 STAT5ab–/– recipients showed 53% ± 25% Hbs (n = 4) comparable with the overall 53% ± 8% GFP+ leukocytes obtained for Ter119+ engraftment, indicating strong correlation between engraftment and GFP expression level in the peripheral blood. Although multilineage GFP expression suggested HSC level engraftment, to definitively determine whether engraftment was at the HSC level, secondary BM transplants into lethally irradiated hosts were performed from 3 of the HW80 STAT5ab–/– primary hosts. The engraftment of irradiated secondary hosts was very similar to the primary hosts, with secondary recipients of newborn-injected STAT5ab–/– primary mice being 64% ± 11% GFP+ (n = 13). These results indicate true HSC engraftment in STAT5ab–/– hosts in the absence of myeloablative conditioning.
GFP expression analysis of STAT5ab–/– HW80 recipient mice injected as newborns with GFP transgenic donor cells. GFP expression in mice of different genotypes is shown for injected HW80 background mice. The percentage of GFP+ peripheral blood leukocytes of mice is shown for mice analyzed 16 weeks following injection. The number of mice injected in each group is shown below because many circles are overlapping. The genotypes of each group are shown below the graph.
GFP expression analysis of STAT5ab–/– HW80 recipient mice injected as newborns with GFP transgenic donor cells. GFP expression in mice of different genotypes is shown for injected HW80 background mice. The percentage of GFP+ peripheral blood leukocytes of mice is shown for mice analyzed 16 weeks following injection. The number of mice injected in each group is shown below because many circles are overlapping. The genotypes of each group are shown below the graph.
Although the percentage of C57BL/6 STAT5ab–/– mice obtained from newborn injections was 12% of the pups compared with only 6% in the colony of noninjected mice, this was not significant (P = .52) due to the relatively small numbers of injected mice. STAT5ab–/– mice did not survive better during the perinatal period following injection, but once engrafted with donor HSCs, the mice were very healthy and survived long-term. Improved survival has also been reported for STAT5ab–/– mice following injection of regulatory T cells.24 As a consequence of replacement of the hematopoietic system with wild-type cells, full correction of the STAT5ab–/– peripheral blood hematology defects was also observed in the primary hosts on either background (data not shown). As a general measure of health, corrected C57BL/6 STAT5ab–/– males were able to breed with females and produce multiple litters of pups. In our experience, C57BL/6 STAT5ab–/– mice that have not been injected with wild-type cells at birth have shown poor survival and we have not been able to use them as breeders because of their death occurring within a few weeks.
A STAT5 modifier locus revealed by defects in engraftment of STAT5ab–/– HSCs into nonirradiated W/Wv hosts
The levels of long-term engraftment were identical in experiments where newborn C57BL/6 and HW80 background mice were injected with wild-type BM cells, likely because the wild-type graft was very dominant. Because STAT5ab–/– mice were highly receptive to donor wild-type HSCs, the inverse relationship using nonablated recipients was tested. W/Wv mice are known to be receptive to donor BM cell injections, so STAT5ab–/– BM injected into W/Wv hosts would result in a competition with a well-characterized defective competitor that already resides within the BM niche. Based on the BM cellularity of STAT5ab–/– mice, the cell dose injected per W/Wv recipient ranged from 1.5 to 3 × 106 cells and this donor equivalent ratio was used for all of the W/Wv injections unless a cell dose is otherwise indicated. W/Wv hosts are characterized by a 50:50 ratio of Hbs and Hbd. Results from these experiments showed that STAT5ab–/– HSCs from the C57BL/6 background (Hbs) were capable of engraftment in W/Wv recipients when injected at a 1:5 donor-to-recipient ratio as measured by complete conversion of hemoglobin type (Figure 4 top panels) and also by Southern blot analysis of BM and spleen tissues (Figure 4 bottom panels) from mice that were killed 20 weeks after transplantation. The percentage of STAT5ab–/– Hbs in BM and spleen was 79% ± 6% and 65% ± 10%, respectively, because erythroid engraftment occurs earlier and more completely than other lineages. There was not a significant decline in the calculated engraftment level for wild-type versus STAT5ab–/– C57BL/6 background donor BM cells in the W/Wv BM compartment (wild-type 68% ± 14%, n = 3; STAT5ab–/– 57% ± 12%, n = 5; P = .28). To document that engraftment was at the HSC level, BM was harvested from primary W/Wv hosts and injected into lethally irradiated secondary Ly-5.1 recipients. High levels of donor Ly-5.2+ cells were detected for either wild-type (n = 7; 80% ± 13%) or STAT5ab–/– (n = 10; 79% ± 7%) donor cells 7 and 12 weeks later for 2 separate sets of secondary transplantations. As controls, recipients of BM cells from noninjected W/Wv mice failed to survive lethal irradiation.
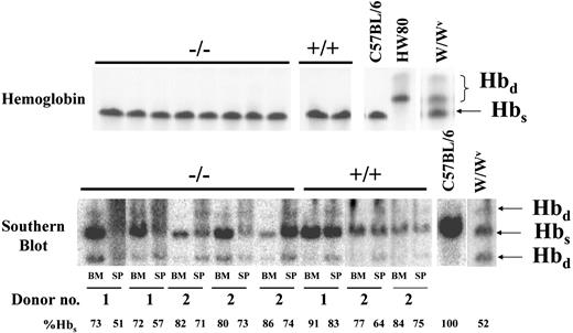
Engraftment of C57BL/6 background STAT5ab–/– BM cells following injection into nonirradiated W/Wv hosts. To determine whether STAT5ab–/– BM cells could engraft into W/Wv mice, we injected in 3 separate transplants donor STAT5ab–/– (n = 4) or wild-type (n = 3) BM cells into nonirradiated W/Wv recipients. The mice were analyzed 20 weeks after injection by hemoglobin electrophoresis for the relative level of donor cell engraftment (top panel). Shown on the right are Hbs, Hbd, and W/Wv controls. The engraftment level was also confirmed at the DNA level in BM and spleen (SP) tissues from 5 primary recipients of STAT5ab–/– BM and 3 primary recipients of wild-type BM derived from 2 different donors. Donor number below each set indicates which of the primary recipients were from the same donor mouse. The percentage of Hbs is also shown below each lane to indicate the level of donor C57BL/6 contribution. Analysis was done by Southern blot for the donor hemoglobin type (bottom panel). An Hbs control is shown on this blot. Although the loading of lanes was not equal, this did not preclude densitometry analysis of individual lanes for the percentage contribution of Hbs and Hbd.
Engraftment of C57BL/6 background STAT5ab–/– BM cells following injection into nonirradiated W/Wv hosts. To determine whether STAT5ab–/– BM cells could engraft into W/Wv mice, we injected in 3 separate transplants donor STAT5ab–/– (n = 4) or wild-type (n = 3) BM cells into nonirradiated W/Wv recipients. The mice were analyzed 20 weeks after injection by hemoglobin electrophoresis for the relative level of donor cell engraftment (top panel). Shown on the right are Hbs, Hbd, and W/Wv controls. The engraftment level was also confirmed at the DNA level in BM and spleen (SP) tissues from 5 primary recipients of STAT5ab–/– BM and 3 primary recipients of wild-type BM derived from 2 different donors. Donor number below each set indicates which of the primary recipients were from the same donor mouse. The percentage of Hbs is also shown below each lane to indicate the level of donor C57BL/6 contribution. Analysis was done by Southern blot for the donor hemoglobin type (bottom panel). An Hbs control is shown on this blot. Although the loading of lanes was not equal, this did not preclude densitometry analysis of individual lanes for the percentage contribution of Hbs and Hbd.
In contrast to the results obtained with C57BL/6 donor cells, when HW80 background STAT5ab–/– BM cells were injected into W/Wv hosts, low numbers of mice showing engraftment were obtained 17 weeks following transplantation (Figure 5). This lack of engraftment was also observed in both hemoglobin electrophoresis and Southern blot assays. Hbs levels in BM were 52% ± 8% for STAT5ab–/– donors and 90% ± 4% for wild-type donors (P = .0001). This corresponds with an approximately 1 log difference in calculated engraftment levels from 70% ± 8% for wild-type to 6% ± 10% for STAT5ab–/– (P = .0002) and contrasts with the results obtained for C57BL/6 background. The engraftment defect for the HW80 background was not observed in lethally irradiated hosts as shown in Table 2. Additional mice that received transplants are shown in Figure 6A, where the majority of HW80 STAT5ab–/– BM recipients failed to engraft but all wild-type HW80 BM cell recipients were engrafted 12 weeks later. In all experiments, only 4 of 19 W/Wv mice injected with HW80 STAT5ab–/– BM cells showed any engraftment (Figure 6B), whereas 26 of 27 W/Wv recipients of C57BL/6 STAT5ab–/– BM cells engrafted. Complete engraftment was seen in virtually all recipients of wild-type BM cells from either congenic background.
Engraftment of HW80 congenic STAT5ab–/– BM cells following injection into nonirradiated W/Wv hosts. To determine whether the congenic background would alter the HSC repopulating ability in W/Wv hosts, BM cells were isolated from HW80 STAT5ab–/– congenic mice (n = 4) or wild-type HW80 mice (n = 4) and injected in 3 separate transplants into W/Wv hosts. As a control, wild-type HW80 bone marrow cells were injected into W/Wv recipients. Engraftment levels were determined by hemoglobin electrophoresis 17 weeks following injection. At the right are Hbs, Hbd, and W/Wv controls. At the time of death, BM and spleen tissue was collected from transplanted mice injected on 2 separate occasions with either STAT5ab–/– (n = 3) or wild-type (n = 4) BM cells. Donor number below each set indicates which of the primary recipients were from the same donors. Mice were analyzed for the donor engraftment by Southern blot using a hemoglobin probe. The percentage of Hbd is also shown below each lane to indicate the level of donor HW80 contribution. Hbs, Hbd, and W/Wv controls are shown on this blot.
Engraftment of HW80 congenic STAT5ab–/– BM cells following injection into nonirradiated W/Wv hosts. To determine whether the congenic background would alter the HSC repopulating ability in W/Wv hosts, BM cells were isolated from HW80 STAT5ab–/– congenic mice (n = 4) or wild-type HW80 mice (n = 4) and injected in 3 separate transplants into W/Wv hosts. As a control, wild-type HW80 bone marrow cells were injected into W/Wv recipients. Engraftment levels were determined by hemoglobin electrophoresis 17 weeks following injection. At the right are Hbs, Hbd, and W/Wv controls. At the time of death, BM and spleen tissue was collected from transplanted mice injected on 2 separate occasions with either STAT5ab–/– (n = 3) or wild-type (n = 4) BM cells. Donor number below each set indicates which of the primary recipients were from the same donors. Mice were analyzed for the donor engraftment by Southern blot using a hemoglobin probe. The percentage of Hbd is also shown below each lane to indicate the level of donor HW80 contribution. Hbs, Hbd, and W/Wv controls are shown on this blot.
Comparison of engraftment with HW80 background BM cells following injection into either irradiated or nonirradiated hosts. (A) To determine engraftment levels of STAT5ab–/– or wild-type HW80 BM cells into irradiated hosts, mice were given transplants and peripheral red blood cells were analyzed by hemoglobin electrophoresis for the Hbd contribution 12 weeks following injection. This was compared with injection of the same donor BM cells into W/Wv hosts, in the absence of any myeloablative conditioning. Each lane on the hemoglobin gels represents a single mouse. (B) Summary of the engraftment efficiency for HW80 and C57BL/6 mice of either the wild-type or STAT5ab–/– genotype. ▪ represents the total number of injected W/Wv mice, and □ the number of those injected that actually showed engraftment by hemoglobin electrophoresis.
Comparison of engraftment with HW80 background BM cells following injection into either irradiated or nonirradiated hosts. (A) To determine engraftment levels of STAT5ab–/– or wild-type HW80 BM cells into irradiated hosts, mice were given transplants and peripheral red blood cells were analyzed by hemoglobin electrophoresis for the Hbd contribution 12 weeks following injection. This was compared with injection of the same donor BM cells into W/Wv hosts, in the absence of any myeloablative conditioning. Each lane on the hemoglobin gels represents a single mouse. (B) Summary of the engraftment efficiency for HW80 and C57BL/6 mice of either the wild-type or STAT5ab–/– genotype. ▪ represents the total number of injected W/Wv mice, and □ the number of those injected that actually showed engraftment by hemoglobin electrophoresis.
Because no obvious defect was observed for the C57BL/6 STAT5ab–/– donor BM engraftment at the same cell dose used for HW80 STAT5ab–/– injections (1 donor per 5 recipients), we performed limiting-dilution injections of C57BL/6 STAT5ab–/– or wild-type BM cells into W/Wv hosts and analyzed mice 13 weeks (HW80) and 16 weeks (C57BL/6) following transplantation (Figure 7). A defect in the ability of C57BL/6 STAT5ab–/– BM to engraft was observed when the cell doses were decreased below 5 × 105 cells. However, for wild-type C57BL/6 donor cells, much higher levels of engraftment were observed with 10-fold fewer starting donor BM cells. This engraftment defect of STAT5ab–/– BM cells could be overcome by increasing the cell dose. Accordingly, we found that HW80 STAT5ab–/– BM cells could be highly engrafted into W/Wv hosts, when the cell dose was increased to 1 × 107 cells (data not shown). Titration of HW80 cell doses was not required because failure to engraft at the 1:5 donor-to-recipient ratio revealed a striking STAT5ab–/– phenotype.
Cell dose response for engraftment of C57BL/6 background BM cells following injection into nonirradiated W/Wv hosts. (A) To determine the dose-response relationship for C57BL/6 wild-type mouse engraftment, BM cells were injected at doses of 5 × 104, 1 × 105, and 5 × 105 cells into W/Wv hosts. (B) The same doses were also injected for C57BL/6 STAT5ab–/– donor BM cells. For both C57BL/6 wild-type and STAT5ab–/– BM injections, engraftment was determined 16 weeks later by hemoglobin electrophoresis. Shown on the right of each panel are the Hbs and Hbd controls.
Cell dose response for engraftment of C57BL/6 background BM cells following injection into nonirradiated W/Wv hosts. (A) To determine the dose-response relationship for C57BL/6 wild-type mouse engraftment, BM cells were injected at doses of 5 × 104, 1 × 105, and 5 × 105 cells into W/Wv hosts. (B) The same doses were also injected for C57BL/6 STAT5ab–/– donor BM cells. For both C57BL/6 wild-type and STAT5ab–/– BM injections, engraftment was determined 16 weeks later by hemoglobin electrophoresis. Shown on the right of each panel are the Hbs and Hbd controls.
Discussion
These studies have specifically examined the ability of HSCs to engraft under conditions where a disadvantage for the host cells was not induced by radiation. This scenario occurs normally during physiologic migration of HSCs from the BM microenvironment to the circulation and return.16 How HSCs survive outside of the BM microenvironment, in tissues such as muscle or lung, is not currently known. However, the migration behavior of HSCs remains an important area of investigation for possible use of HSCs in cell-based therapies. Strategies to improve engraftment of HSCs based on targeting key signaling pathways may offer promise for clinical application in the transplantation setting.
The results presented here demonstrate that activation of STAT5 is an important component of the signals that regulate the process of HSC seeding in the BM niche during BM transplantation into nonablated hosts. STAT5-deficient phenotypes were obtained on 2 different genetic backgrounds that are congenic except for a small region of chromosome 7 that has been previously described as a quantitative trait locus. A graded scale of dysfunction was observed, with C57BL/6 STAT5ab–/– HSCs being at least 10-fold more defective than wild-type HSCs and the HW80 STAT5ab–/– HSCs being 5- to 10-fold more defective than the C57BL/6 STAT5ab–/– HSCs. However, this was only observed in the context of a very sensitive novel assay using W/Wv recipients to assay functional engraftment ability. Because W/Wv hosts are very poor competitors, we were able to distinguish differences in engraftment between other defective donors.
It is important to emphasize that the number of HSCs for Balb/c25 and C57BL/626-30 mice are the same. In our prior studies directly comparing wild-type or STAT5ab–/– HW80 versus C57BL/6 in competitive repopulation experiments showed no difference.18 Significant hematopoietic progenitor, but not stem cell, differences between wild-type DBA/2 and C57BL/6 have been reported as linked to a quantitative trait locus on chromosome 7.22 Additionally multiple chromosomal loci are linked to differences between DBA/2 and C57BL/6 HSC number during aging that have not been observed between Balb/c or HW80 relative to C57BL/6. In our W/Wv mice, wild-type HW80 BM (70% ± 8%) engrafted the same as C57BL/6 BM (68% ± 14%). Additional studies from other groups support equal competitive engraftment of C57BL/6 and HW80 HSCs in W/Wv hosts31 and irradiated hosts.32 Although our results implicate this quantitative trait locus (QTL) in hematopoietic development, they further provide the first evidence that this locus can act as a STAT5 modifier gene in the context of a congenic background that is thus far without an observed hematopoietic phenotype.
The ability of wild-type GFP transgenic BM cells to repopulate STAT5ab–/– hosts and chimeras in the absence of irradiation presents strong evidence for the dominance of a wild-type competitor. However, STAT5ab–/– hosts have defects in T-cell proliferation and an absence of natural killer cells33 ; this immune deficiency might alter the ability to mount an immunologic response to a GFP transgene. Although our studies cannot rule out immune suppression as a contributor to the newborn engraftment, this is not a likely explanation for our high levels of engraftment for the following reasons: (1) We find comparable levels of engraftment using HW80, Ly-5.1, or GFP transgenic donor BM into STAT5ab–/– BM chimeras.15 (2) In previous studies using JAK3–/– newborn recipients, engraftment was detected only in mice that received the JAK3 gene therapy and this was limited to the lymphoid lineage only.23 No evidence of HSC engraftment was obtained without myeloablative conditioning even when using JAK3–/– hosts. Therefore, immunodeficiency alone is not sufficient to obtain even low levels of HSC engraftment in the newborn injection model. (3) Despite the absence of an obvious decline in immune function, STAT5ab+/– mice show increased donor engraftment over wild-type mice. Altogether, these data indicate a dose-dependent requirement for STAT5 activation in HSCs to maintain their interaction with the BM microenvironment.
The levels of STAT5ab–/– engraftment obtained in our studies were higher than those reported for MPS VII newborn recipients (∼14%).2 This was observed despite the use of suboptimal injection conditions in these studies. A single intraperitoneal dose was used in our study, whereas studies in MPS VII mice used 3 intravenous injections with a cumulative injection of 3-fold more donor BM cells. The lack of a selective advantage for HSCs in the MPS VII mice is likely to account for this difference. Additionally, it is important to note that the β-actin/GFP transgene is not active in all donor BM cells, so our GFP+ levels may underestimate true engraftment levels. In contrast to the MPS VII mouse, the PU.1 mutant mouse has competitive repopulating defects at the HSC level and can also be rescued by neonatal BM transplantation.34,35 Engraftment levels in PU.1–/– spleen were 90% donor-derived up to 4 months after transplantation,35 indicating that when a selective advantage is present, high levels of HSC engraftment can be achieved in hematopoietic tissues. Unlike reported for PU.1–/– mice, we found that perinatal survival of STAT5ab–/– mice was not improved following BM injection. However, STAT5ab–/– mice that survived had complete restoration of normal hematology. This is consistent with demonstration that irradiated STAT5ab–/– mice have a normal stromal microenvironment that can support wild-type BM grafts.36
The previous finding that either congenic STAT5ab–/– BM could compete equally for engraftment into irradiated hosts,18 provides an interesting contrast that highlights a unique function for STAT5. The equal engraftment in irradiated hosts indicates that the functional HSC activity is not changed, yet the ability to compete with a defective host for engraftment during steady-state hematopoiesis was specifically and significantly affected in these studies. It is possible that the STAT5-deficient phenotype described in this study involves deficiency in adhesion, migration, or homing at the HSC level. Engraftment of HSCs varies according to transit through the cell cycle37 and a linkage between proliferation and adhesion was also recently described for Rac1/Rac2 mutant mice.38 It is known that DBA/2 mice age quickly and have high hematopoietic cell turnover. Interestingly, this is linked to a QTL for chromosome 11 where STAT5a and STAT5b expression is higher than in C57BL/6 mice.12 Also, fetal liver HSCs, which are actively cycling, express more STAT5 than adult HSCs.39-41 Therefore, the profound defects reported in this study may explain some of the HSC repopulating differences between mouse strains and during ontogeny.
Analysis of the chromosome 7 modifier locus revealed more than 200 genes. A survey of these genes for genes that have known roles in hematopoiesis results in only a small subset because most in this region were nonhematopoietic or olfactory genes. gab2, pak1, fes, and wnt11 are candidate genes in this region that might play a role in hematopoiesis given their direct involvement in cytokine and integrin signaling. Further genetic studies will be needed to identify the modifier gene within this locus and to determine the mechanism by which it affects STAT5 function. Although attempts to identify modifier genes have been notoriously difficult, in our model we expect that this could be achieved. C57BL/6 and HW80 mice differ in a relatively small region, with easily identifiable albino coat color/pink eye and hemoglobin markers. Thus there would be no need to start out from the entire Balb/c genome. The genetic dissection of signaling pathways regulating important biologic properties of HSCs offers considerable promise. Future studies using these models may elucidate molecular targets for novel approaches to enhance HSC homing and engraftment in the absence of myeloablation and may uncover cross-talk among signaling pathways that cooperate with STAT5 in this previously unrecognized function.
Prepublished online as Blood First Edition Paper, October 21, 2004; DOI 10.1182/blood-2004-06-2302.
Supported by National Institutes of Health grants NIHR01DK059380, NIHR21HL071171, NIHR01HL073738 (K.D.B.).
The publication costs of this article were defrayed in part by page charge payment. Therefore, and solely to indicate this fact, this article is hereby marked “advertisement” in accordance with 18 U.S.C. section 1734.
We thank Eleonora Haviernikova and Arjun Shah for technical and administrative assistance. We also acknowledge the American Red Cross Vivarium Manager, Randy Fiedler, and his support staff for providing top quality animal care during the duration of these studies.







