Abstract
A unique transient leukemia (TL) has been described in newborns with Down syndrome (DS; or trisomy 21 mosaics). This leukemia has a high incidence of spontaneous remission; however, early death and subsequent development of acute megakaryoblastic leukemia (AMKL) have been reported. We prospectively evaluated 48 infants with DS and TL to determine the natural history and biologic characteristics of this disease, identify the clinical characteristics associated with early death or subsequent leukemia, and assess the incidence of subsequent leukemia. Blast cells associated with TL in DS infants exhibited FAB M7 morphology and phenotype. Most infants (74%) had trisomy 21 (or mosaicism) as the only cytogenetic abnormality in the blast cells. Most children were able to spontaneously clear peripheral blasts (89%), normalize blood counts (74%), and maintain a complete remission (64%). Early death occurred in 17% of infants and was significantly correlated with higher white blood cell count at diagnosis (P < .001), increased bilirubin and liver enzymes (P < .005), and a failure to normalize the blood count (P = .001). Recurrence of leukemia occurred in 19% of infants at a mean of 20 months. Development of leukemia was significantly correlated with karyotypic abnormalities in addition to trisomy 21 (P = .037). Ongoing collaborative clinical studies are needed to determine the optimal role of chemotherapy for infants at risk for increased mortality or disease recurrence and to further the knowledge of the unique biologic features of this TL.
Introduction
Children with Down syndrome (DS) have a 10- to 20-fold increased risk of developing leukemia.1-3 In the first 4 years of life, most leukemia in children with DS is acute megakaryocytic leukemia (AMKL). The incidence of AMKL is up to 500 times higher in DS than in non-DS children.4,5 After the age of 5 years, the ratio of acute myeloid leukemia (AML) to acute lymphoblastic leukemia (ALL) reverts to that of the general pediatric population; however, the incidence of leukemia still remains about 10 times higher in children with DS than in children without DS.
A unique syndrome occurs only in newborn infants with DS (or trisomy 21 mosaicism) and is frequently referred to as transient myeloproliferative disorder, transient abnormal myelopoiesis, or transient leukemia (TL). The first case was reported by Schunk and Lehman in 1954.6 TL is unique and historically associated with a high incidence of spontaneous remission. Many infants may be clinically well at presentation with an incidental finding of circulating blasts in the blood. In some cases, however, the disease is severe and potentially lethal, manifesting as hydrops fetalis, multiple effusions, and liver or multiorgan system failure.7-17
Most of the natural history and biology of TL has been gleaned from sporadic case reports or retrospective reviews of medical or pathologic records.4,5,15,17 Frequently TL disappears during the first 3 months of life, but after a period of normal marrow morphology and peripheral blood count recovery a significant percentage of patients develop acute leukemia (most commonly AMKL) within the first 4 years of life. Unlike TL, if left untreated, the subsequent leukemia does not spontaneously regress.4,5,15,17-19
In 1996, the Pediatric Oncology Group (POG) initiated the first prospective study (POG 9481) to look at the clinical features, biology, and natural history of TL in children with DS (or trisomy 21 mosaicism), and to identify DS infants at risk for early death or development of subsequent leukemia.
Patients, materials, and methods
Study population
Neonates with trisomy 21 or trisomy 21 mosaicism up to the age of 3 months who had the presence of circulating blasts in the peripheral blood or pathologically documented presence of blast cells in effusions or organ infiltrates were eligible for registration in POG 9481. Exclusion criteria were leukocytosis or hepatosplenomegaly that was clearly related to major blood group incompatibility (Rh disease), overt sepsis, or severe congenital infection (ie, toxoplasmosis, rubella, cytomegalovirus, and herpes simplex [TORCH]; syphilis; or parvovirus). From January 1996 through August 15, 1999, 48 eligible patients were enrolled from POG institutions in the United States, Canada, and abroad after written informed consent from parents or guardians was obtained.
Clinical data
The following information was obtained on the patients: sex, race, estimated gestational age, birth weight, time of symptom onset, time of diagnosis, symptoms at presentation, presence of other congenital anomalies, and presence of organomegaly and lymphadenopathy.
Laboratory data
The following studies were obtained: complete blood counts with indices and review of peripheral smear, total and direct bilirubin, alanine aminotransferase (ALT), and aspartate aminotransferase (AST). A bone marrow aspirate and biopsy were encouraged but not required for study entry. Cytochemical, flow cytometry, and cytogenetic data were obtained from institutional pathology reports.
Pathology review
Peripheral and bone marrow smears were centrally reviewed by Dr Alvin Zipursky at the Hospital for Sick Children (Toronto, ON, Canada). Dr Zipursky's laboratory served as the reference laboratory for specimens on study registrants.
Clonality studies
DNA was extracted from mononuclear cells isolated from peripheral blood or bone marrow samples with Qiagen (Valencia, CA) Q1A DNA extraction kit according to the manufacturer's recommendations. DNA concentration and purity were determined by spectrophotometry. DNA (0.5 μg) was restriction digested with Hha 1 from Promega (Madison, WI) overnight at 37°C. Then, 0.1 μg of both restriction-digested and undigested DNA was amplified using a previously published protocol,20 with the modification that the forward primer was labeled with Cy-5 fluorescent dye at the 5′ end, in a total volume of 20 μL. Polymerase chain reaction (PCR) products were analyzed on ABI (Foster City, CA) 3100 genetic analyzer by capillary electrophoresis. A change in ratio of more than 3 in the peak areas of the 2 alleles in the informative cases was scored as positive for monoclonality.
Follow-up of patients
Physical examination and complete blood counts and liver enzymes were followed at least monthly until the peripheral blasts cleared and the hemogram returned to normal. After resolution of TL, physical examination and peripheral blood counts were to be obtained every 3 to 6 months for 5 years. Duration of follow-up has been 4 to 7 years, with a median duration of 3.5 years.
Therapy
POG 9481 was not a therapeutic study and no therapeutic interventions were suggested. Supportive care measures and chemotherapy were left to the discretion of the principal investigator but recorded in the follow-up of the patient. For patients who eventually developed AMKL, therapy on POG 9421 (frontline AML clinical trial) was encouraged. Investigators were advised not to treat the infants who were asymptomatic.
Statistical analysis
The distributions of overall survival and time from registration to the development of leukemia were estimated by the Kaplan-Meier method21 with standard errors of Peto et al.22 The correlation between covariates and outcome was evaluated by the univariate proportional hazards model23 or by the Fisher exact test. Due to the small sample size and the nature of multiple testing, the correlation analyses were exploratory and results are tentative. All reported P values are 2-sided.
Results
Patient characteristics
Of the 48 evaluable patients 29 (60%) were boys and 19 (40%) were girls. Ethnic background revealed 26 (54%) to be white, 14 (29%) Hispanic, 3 (6%) African American, 2 (4%) Asian, and 3 other. Birth weight was reported in 30 patients. The median birth weight was 3.07 kg (range, 1.70-4.21 kg; mean, 3.04 kg). Estimated gestational age was reported in 26 patients. The median gestational age was 37 weeks (range, 32-41 weeks; mean, 37 weeks).
Symptom onset and physical findings
The median age at diagnosis of TL was 7 days (range, 1-65 days; mean, 13 days). The median delay from onset of signs and symptoms to diagnosis was 3 days (range, 0-32 days; mean, 6 days). The physical findings and signs/symptoms at presentation are shown in Tables 1 and 2. Hepatosplenomegaly, effusions, bleeding, and petechiae were the most common findings in symptomatic infants.
Laboratory and pathologic data
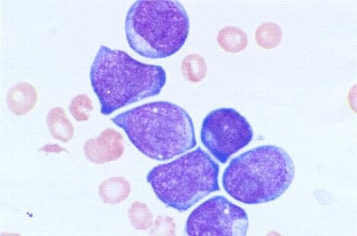
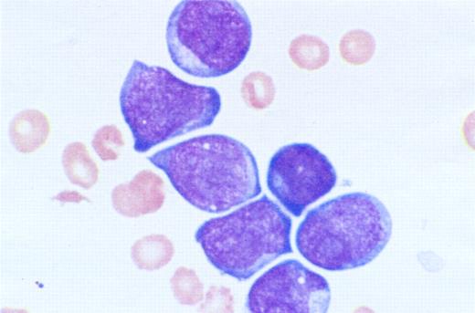
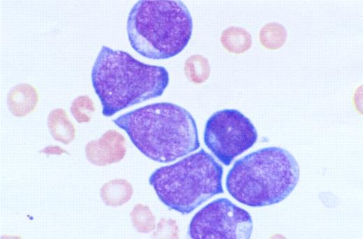
Laboratory data at the time of diagnosis of the 48 evaluable patients are presented in Table 3. In all the patients, the blast cells were described as large cells with amorphous nuclei, prominent nucleoli, and basophilic cytoplasm. Foci of cytoplasmic azurophilic granules were identified as well as cytoplasmic blebs (Figure 1). Findings on bone marrow aspirates (n = 25) were more variable. Specimens ranged from hypocellular to hypercellular. In 75% of the specimens examined, abnormal megakaryocyte maturation was identified with the presence of micromegakaryocytes and dysplastic megakaryocytes. Dyserythropoiesis was seen in 25% of the specimens reviewed.
Besides bone marrow aspirates, 5 patients had other diagnostic biopsies. Four patients had liver biopsies and one patient had a skin biopsy. All 4 liver biopsies showed similar results and revealed significant fibrosis, cholestasis, extramedullary hematopoiesis, and sinusoidal infiltration with megakaryoblasts. The one skin biopsy revealed a leukemic cell infiltrate compatible with megakaryoblasts.
Cytochemistry
The cytochemical staining pattern was variable. Periodic acid-Schiff (PAS) was the only stain that was consistently negative. Sudan black and myeloperoxidase stains were usually negative (Table 4).
Immunofluoroscopy studies
Immunofluorescent markers on the blast cell population that were commonly expressed markers included CD7, CD33, CD45, and CD34 as well as glycophorin (Table 5). Of note is that although cell surface expression of CD41, CD42b, and CD61 was variable, electron microscopy with immunogold labeling of CD61 was usually positive.24 Although not routinely tested, a few samples (n = 3) were examined for the presence of c-kit and all were positive.
Cytogenetics
Cytogenetics at diagnosis of peripheral or bone marrow hematopoietic cells were successfully obtained in 42 patients and are presented in Table 6. Most patients (n = 31 or 74%) exhibited trisomy 21 as their only cytogenetic abnormality. Of the 5 mosaics, 4 were girls. No girls exhibited additional clonal cytogenetic abnormalities at diagnosis compared to 7 (27%) of the boys. Of these 7 boys, 4 went on to develop subsequent leukemia, 2 experienced early death, and only 1 remains in continuous remission. Cytogenetics were again obtained at recurrence of leukemia. Clonal evolution of additional abnormalities was apparent in 7 of the 9 children and is shown in Table 7.
Photomicrograph of a blood smear of a child with DS and TL. The nucleated cells are megakaryoblasts showing small amounts of basophilic cytoplasm, distinct nucleoli, and cytoplasmic blebbing. May-Grünwald-Giemsa stain; original magnification × 1000. Photograph taken with a Zeiss photomicroscope; courtesy of A.Z.
Photomicrograph of a blood smear of a child with DS and TL. The nucleated cells are megakaryoblasts showing small amounts of basophilic cytoplasm, distinct nucleoli, and cytoplasmic blebbing. May-Grünwald-Giemsa stain; original magnification × 1000. Photograph taken with a Zeiss photomicroscope; courtesy of A.Z.
Clonality
Blast cells in 10 of 19 female patients underwent analysis of methylation patterns of hypoxanthine phosphoribosyltransferase (HPRT) genes located on the X chromosome. Of these 10 patients, 5 of 10 (50%) were monoclonal and 2 (20%) were polyclonal. One of these patients with a polyclonal pattern was a trisomy 21 mosaic. Three specimens were indeterminate.
Outcomes
Outcome data were available on 47 patients, of whom 42 (89%) had disappearance of their peripheral blasts in a mean of 58 days (range, 2-194 days). Two of these 42 patients (5%) had a transient reappearance of blasts without any other symptoms. Thirty-five of the 42 children who cleared peripheral blasts (88%) completely normalized their blood counts (normal hemoglobin, white blood cell count, and platelets for age) at a mean of 84 days (range, 2-201 days). The other 7 children went on to early death (n = 3) or developed subsequent leukemia (n = 4).
Early death (< 9 months of age) occurred in 8 of 47 patients (17%) at a mean of 90 days. Three of these children (38%) did clear peripheral blasts before death, but none normalized their blood counts. Nine of 47 patients (19%) subsequently developed leukemia at a mean of 20 months of age (range, 9-38 months). Thirty of the total 47 (64%) evaluable patients and 30 of the 42 (71%) who cleared peripheral blasts remain in a continuous first “remission” (normal blood counts) 274 to 1909+ days from diagnosis. Figure 2 demonstrates the overall and event-free survival for these 47 patients. The probabilities of not developing leukemia were 94.7% at year 1, 83.5% at year 2, and 76.3% at year 3 (95% CIs of 87.4%-100%, 70.8%-95.8%, and 51.4%-93.3%, respectively).
All 8 children (17%) who died early had liver failure and disseminated intravascular coagulation as terminal events. Multiple effusions (ascitic, pericardial, and pleural) were also frequent complicating features in the infants with early death. Liver biopsies were done in 2 of these children and pathologically demonstrated hepatic fibrosis with extramedullary hematopoiesis and leukemic infiltrate with megakaryocytic differentiation. A postmortem examination on one child failed to show any residual leukemia at time of death. Two of the children were treated shortly before death with low doses of cytosine arabinoside (10 mg/m2/dose twice a day) for 1 to 2 days without any clinical improvement. Covariates that significantly correlated with early death (univariate proportional hazards model) included higher white blood cell counts at diagnosis (P < .001), higher ALT and AST levels during course of illness (P < .001 and .005, respectively), and failure to clear peripheral blasts (P = .001).
Of the 9 children (19%) who developed subsequent leukemia, 8 (89%) developed FAB M7 AMKL and 1 developed early B-lineage ALL. All 8 children with AMKL received chemotherapy. Six were treated with intensive AML induction (including cytarabine and daunomycin) and consolidation chemotherapy (5 of 6) or stem cell transplantation (1 of 6). All achieved a complete remission and continue to do well. One child was treated with low-dose cytarabine for 2 years and also remains in complete remission. In only 1 of these 8 children did multiple induction attempts fail and the child died. The child with B-lineage ALL achieved a complete response with standard ALL induction therapy. The only covariate that significantly correlated with development of leukemia (Fisher exact test) was abnormal cytogenetics in addition to trisomy 21 at initial diagnosis (P = .037). The ratio of the hazard of developing acute leukemia for patients with cytogenetic abnormalities in addition to trisomy 21 to that for patients without additional cytogenetic abnormalities was 6.77 (95% CI, 1.78-25.60). Due to the small sample size, the results from the correlation analyses are tentative.
Thirty infants remain clinically well with normal blood counts and no development of leukemia. Three of these children (10%) received chemotherapy shortly after diagnosis at the discretion of the principal investigator. One was treated with standard AML induction and 2 were treated with 7 days of low-dose cytosine arabinoside (10 mg/m2/dose twice a day). One of the latter children had biopsy-proven megakaryoblastic infiltration of the liver, and the other had biopsy-proven megakaryoblasts in skin lesions.
Supportive care measures included exchange transfusions in 2 infants, one of whom died. Packed red blood cells were administered to 23 patients (all 8 [100%] of the children who died, 3 [33%] of the children who developed true acute leukemia, and 12 [40%] of the children who remain in a continuous remission). Platelets were given to 19 patients (all 8 [100%] of the children who died, 3 [33%] of the children who developed true acute leukemia, and 8 [27%] of the children who remain in a continuous remission). Sixteen children received no transfusions. Intravenous γ-globulin was given to 2 patients with no immediate improvement in their platelet counts.
Five infants with trisomy 21 mosaicism (4 girls, 1 boy) were identified in the study. One was lost to follow-up. One boy developed subsequent AMKL and had an additional chromosomal anomaly at the time of diagnosis of his TL. He was treated for AMKL and achieved a complete remission. Three of the 4 girls remain in continuous remission; however, 2 received chemotherapy in the newborn period.
Tables 8 and 9 summarize the clinical and laboratory findings of children with TL as compared to their outcomes. The results indicate that infants with progressive organomegaly, visceral effusions, and laboratory evidence of progressive liver dysfunction are at particularly high risk for early mortality. In contrast, children who develop subsequent leukemia are often asymptomatic at birth, but do exhibit abnormal blood counts and often abnormal cytogenetics in addition to trisomy 21.
Discussion
POG 9481 is the first prospective, multi-institutional study to examine the natural history of transient leukemia in newborns with DS or trisomy 21 mosaicism. Early reports of this enigmatic myeloproliferative disorder first appeared in 19546 when the overall mortality for children with acute leukemia approached 100%. Perhaps the lack of efficacious therapy in those years led to the fortuitous observation that children with DS and what appeared to be neonatal leukemia spontaneously went into remission.
Subsequently, various case reports, small series of patients, and retrospective reviews have shown that these blasts cells are frequently of megakaryocytic origin, with varying degrees of differentiation,24-29 and that they are clonal in nature.30,31 Despite the initial implication that this disorder was “benign,” case reports in the late 1980s and 1990s described infants with hydrops fetalis who were moribund at birth as well as infants who exhibited rapid progression of disease with organ infiltration (primarily hepatic), end-organ failure, and death.16,32-36 Finally, retrospective reviews also indicated that some patients developed subsequent acute leukemia, usually preceded by a period of myelodysplasia and usually developing in the first 3 years of life.15,17 This subsequent leukemia did not regress spontaneously but was highly sensitive to chemotherapy.37-39
The incidence of TL in infants with DS may approach 10%40 ; however, no large population-based study among patients with DS has yet been carried out to verify this. Although all infants with DS are screened for congenital heart disease, no current recommendations exist for “screening” blood counts in these infants. POG 9481 included all patients who had circulating blasts or organ infiltrates with blasts (or both), but it is very likely that a significant number of patients were not referred or registered because of failure to diagnose TL in the newborn period. Thus, the conclusions reached in our study are influenced by a reporting bias in that only patients with symptoms or blood counts drawn for unrelated reasons were included. Prospective studies are still needed to establish the true incidence of this disorder.
Our study confirmed previous findings that the blast cells in these patients all expressed megakaryocytic features.24-29 However, cell surface markers such as CD41, CD42b, and CD61 were not uniformly expressed and the megakaryocytic lineage of these cells was confirmed by the presence of CD61 on electron microscopic studies.24 The variable but frequent appearance of other markers such as CD7, CD33, CD45, CD34, CD56, and glycophorin suggest the possibility of a pluripotent stem cell defect with preferential megakaryocytic differentiation. Although rare, rearrangements of the T-cell receptor β gene and lineage conversion have also been described.41,42 This could explain why subsequent acute leukemia is usually megakaryocytic, but may be lymphoblastic as well in a minority of cases. Furthermore, the presence of c-kit expression on the few samples studied warrants future investigation and could potentially prove to be of therapeutic benefit as well.
Kaplan-Meier curves show the time to development of leukemia and overall survival. Time to leukemia represents the probability of remaining free of leukemia. OS indicates overall survival.
Kaplan-Meier curves show the time to development of leukemia and overall survival. Time to leukemia represents the probability of remaining free of leukemia. OS indicates overall survival.
Because TL appears to be restricted to patients with DS or trisomy 21 mosaicism, the origin of TL must be related to a cytogenetic abnormality in chromosome 21.43 Whether this is simply a result of increased gene dosage or a result of disomic homozygosity remains to be determined.44-46 Candidate genes for leukemogenic potential that are expressed on chromosome 21 include the FPDMM gene (cause of the autosomal dominant familial platelet disorder),47 AML1 gene (associated with FAB M2 AML),48 IFN-α/β receptor (IFNAR), CRF2-4 (cytokine family 2-4), and phosphoribosylglycinamide formyltransferase.43 However, most newborns with DS never develop TL. Of those who do, our study indicates that about 60% will experience a spontaneous and continuous remission, about 20% will experience early death (predominantly due to liver failure), and about 20% will develop subsequent leukemia (predominantly FAB M7). These findings imply that trisomy 21 may be the “first hit,” but that subsequent genetic, biologic, or environmental factors must exist to explain disease course and outcome.
For example, early death was significantly correlated with abnormal levels of liver enzymes and hepatic dysfunction. These infants were also universally symptomatic from birth. In most cases the regression of TL coincided with normal spontaneous regression of liver hematopoiesis. In this subset of children who exhibited liver failure, hepatic fibrosis appeared to be the primary pathogenic abnormality. One could speculate that this may somehow involve the AML1 gene which (along with its association with FAB M2 AML) has also been shown to be essential for normal fetal liver hematopoiesis in the mouse model.48 Alternatively, the presence of megakaryoblastic infiltration may lead to release of cytokines (platelet-derived growth factor and transforming growth factor β), which are known to induce fibrosis.49,50
In contrast, infants who subsequently developed acute leukemia were commonly asymptomatic at birth. Progression to leukemia was significantly associated with additional karyotypic abnormalities in addition to trisomy 21 at time of diagnosis of TL. The fact that the subsequent leukemic clone may have the same cytogenetic abnormality as the TL points to the possibility of a 2- or even 3-step hypothesis in the evolution of TL (the first step being the presence of trisomy 21, the second step being a mutation associated with TL, and the third being a mutation associated with the development of acute leukemia). In contrast to previous retrospective data, trisomy 21 mosaics may also develop subsequent leukemia, although the numbers of patients in our study were too small for statistical analysis.15 The risk of developing subsequent leukemia diminishes after 3 years. Further long-term prospective studies and data collection are needed to see if leukemia developing in older children with DS is biologically or molecularly related to known characteristics of TL.
Of interest is also the finding that boys had an overall poorer survival (although the P = .09 did not reach the level of statistical significance). Six of the 8 patients with early death were boys, as were 7 of the 9 who developed acute leukemia. The one mosaic patient who went on to develop acute leukemia was also a boy. Furthermore, none of the female patients had evidence of additional chromosomal anomalies at the time of diagnosis of their TL, whereas 27% of the boys had an additional clonal abnormality. However, the TL cells of girls were still of presumed monoclonal origin as demonstrated by the HRPT clonality studies.
Several reports have now implicated the mutagenesis of the hematopoietic transcription factor gene GATA1 as an initiating event in DS leukemogenesis. The GATA1 gene, located on the X chromosome, encodes a zinc-finger transcription factor that is essential for normal erythroid and megakaryocytic differentiation.51,52 Somatic mutations in exon 2 of GATA1 have been detected exclusively in trisomy 21–associated TL as well as AMKL, but not in any non-DS–related AMKL.53-55 The role of GATA1 in erythroid as well as megakaryocytic differentiation may help explain the multilineage features of TL blast cells. GATA1 mutations are likely early events that occur prenatally and may be considered the second “hit” or mutation in the development of TL.56 Furthermore, the presence of somatic mutations of GATA1 on the X chromosome may contribute to the trend toward a higher incidence of potentially lethal disease or acute leukemia in boys (single GATA1 mutation) as compared to girls (one GATA1 mutation and a possibly “protective” normal gene). The possibility of more than one type of GATA1 mutation in the female patient may also explain why the clonality studies revealed some specimens to be polyclonal or indeterminate.
Finally, the blast cells in both TL and subsequent AMKL appear to be highly sensitive to cytosine arabinoside. This is thought to be due in part to increased expression of the chromosome 21 localized genes CBS (cystathionine β-synthetase) and SOD (superoxide dismutase), the latter being associated with increased apoptosis.57,58 Clinically, because of this increased chemosensitivity, the use of low-dose cytosine arabinoside may be an attractive therapeutic option in neonates exhibiting liver involvement. The low toxicity and efficacy of this therapy have been previously described and may lead to decreased mortality if instituted early in the disease course.16 Our data would support the recommendation of early chemotherapeutic intervention with cytosine arabinoside in infants with progressive organomegaly and evidence of liver dysfunction. The use of low-dose cytarabine as a preventive measure for subsequent development of leukemia in these children also merits further clinical trials. Preliminary data indicate that boys with cytogenetic abnormalities in addition to trisomy 21 at time of diagnosis of TL may be at higher risk for adverse outcomes and thus may potentially benefit from “prophylactic” chemotherapy.
In conclusion, AMKL associated with DS is a unique clinical entity. It has the potential for spontaneous regression, is associated with a specific molecular alteration, and is exquisitely sensitive to chemotherapy. The further study of these unique biologic features of TL and trisomy 21 is likely to contribute to our understanding of the complex mechanisms of hematopoiesis, leukemogenesis, and pharmacokinetics in leukemia therapy. Ongoing collaborative clinical studies are needed to determine the optimal role of chemotherapy in infants at risk for early death from TL and to better characterize the subgroup at risk for future acute leukemia.
Appendix
Participating Institutions, Children's Oncology Group Study POG-9481: Advocate Hope Children's Hospital, Sharad Salvi, Oak Lawn, IL; All Children's Hospital, Jerry Barbosa, St. Petersburg, FL; Boston Floating Hospital for Infants & Children, Cynthia Kretschmar, Boston, MA; Cancer Research Center of Hawaii, Robert Wilkinson, Honolulu, HI; Cardinal Glennon Children's Hospital, William Ferguson, St. Louis, MO; Carilion Medical Center for Children at Roanoke Community Hospital, Joan Fisher, Roanoke, VA; Carolinas Medical Center, Daniel McMahon, Charlotte, NC; Centre Hospitalier Universitaire de Quebec, Yvan Samson, Ste-Foy, QC, Canada; Children's Healthcare of Atlanta, Emory University, Howard Katzenstein, Atlanta, GA; Children's Hospital of Michigan, Yaddanapudi Ravindranath, Detroit, MI; Children's Hospital of the Greenville Hospital System, Cary Stroud, Greenville, SC; Children's Memorial Medical Center at Chicago, Susan Cohn, Chicago, IL; Children's of New Orleans/LSUMC CCOP, Lolie Yu, New Orleans, LA; Cook Children's Medical Center, Timothy Griffin, Fort Worth, TX; Dana-Farber Cancer Institute and Children's Hosp, Holcombe Grier, Boston, MA; Driscoll Children's Hospital, Judith Mullins, Corpus Christi, TX; Duke University Medical Center, Susan Kreissman, Durham, NC; Emanuel Hospital-Health Center, Janice Olson, Portland, OR; Florida Hospital Cancer Institute, Clifford Selsky, Orlando, FL; Hackensack University Medical Center, Michael Harris, Hackensack, NJ; Hopital Sainte-Justine, Albert Moghrabi, Montreal, QC, Canada; Hospital for Sick Children, Alberto Pappo, Toronto, ON, Canada; Hurley Medical Center, Susumu Inoue, Flint, MI; Inova Fairfax Hospital, Jay Greenberg, Fairfax, VA; Joe DiMaggio Children's Hospital at Memorial, Iftikhar Hanif, Hollywood, FL; Kaiser Permanente Medical Group, Inc., Northern CA, Vincent Kiley, Sacramento, CA; McGill Univ Health Ctr—Montreal Children's Hosp, Sharon Abish, Montreal, QC, Canada; McMaster University, Carol Portwine, Hamilton, ON, Canada; Medical University of South Carolina, Julio Barredo, Charleston, SC; Miami Children's Hospital, Enrique Escalon, Miami, FL; Midwest Children's Cancer Center, Bruce Camitta, Milwaukee, WI; Mission Hospitals, Orren Beaty III, Asheville, NC; Nemours Children's Clinic-Orlando, Judith Wall, Orlando, FL; North Texas Hosp for Children at Med City Dallas, Carl Lenarsky, Dallas, TX; Ochsner Clinic, Patricia Shearer, New Orleans, LA; Roswell Park Cancer Institute, Martin Brecher, Buffalo, NY; Sacred Heart Hospital, John Kelleher, Pensacola, FL; Scott & White Memorial Hospital, Dick Suh, Temple, TX; Southern California Permanente Medical Group, Robert Cooper, Downey, CA; St. Christopher's Hospital for Children, Gregory Halligan, Philadelphia, PA; St. Mary's Hospital, Narayana Gowda, West Palm Beach, FL; Stanford University Medical Center, Neyssa Marina, Palo Alto, CA; State University of New York at Stony Brook, Robert Parker, Stony Brook, NY; SUNY Upstate Medical University, Ronald Dubowy, Syracuse, NY; Sutter Medical Center, Sacramento, Yisheng Lee, Sacramento, CA; Swiss Pediatric Oncology Group Bern, Roland Ammann, Bern, CH, Switzerland; Swiss Pediatric Oncology Group Geneva, Hulya Ozsahin, Geneva, CH, Switzerland; Swiss Pediatric Oncology Group Lausanne, Maja Beck Popovic, Lausanne, CH, Switzerland; Tampa Children's Hospital, Cameron Tebbi, Tampa, FL; Texas Children's Cancer Center at Baylor College of Medicine, C. Steuber, Houston, TX; The Children's Hospital of Southwest Florida Lee Memorial Health Sy, Emad Salman, Ft. Myers, FL; University of Alabama, Alyssa Reddy, Birmingham, AL; University of Arkansas, David Becton, Little Rock, AR; University of California, Davis, Theodore Zwerdling, Sacramento, CA; University of Kansas Medical Center, Robert Trueworthy, Kansas City, KS; University of Maryland at Baltimore, Neil Grossman, Baltimore, MD; University of Miami School of Medicine, Stuart Toledano, Miami, FL; University of Mississippi Medical Center Children's Hospital, Gail Megason, Jackson, MS; University of New Mexico School of Medicine, Jami Frost, Albuquerque, NM; University of Oklahoma Health Sciences Center, Rene McNall-Knapp, Oklahoma City, OK; University of Rochester Medical Center, Barbara Asselin, Rochester, NY; University of South Alabama, Felicia Wilson, Mobile, AL; University of Texas Health Science Center at San Antonio, Paul Thomas, San Antonio, TX; University of Texas Medical Branch, Frederick Huang, Galveston, TX; University of Virginia Health Sciences Center, Kimberly Dunsmore, Charlottesville, VA; UT Southwestern Medical Center, Naomi Winick, Dallas, TX; Via Christi Regional Medical Center, David Rosen, Wichita, KS; Virginia Commonwealth Univ Health System—MCV, Kamar Godder, Richmond, VA; Warren Clinic, Inc., Martina Hum, Tulsa, OK; Washington University Medical Center, Robert Hayashi, St. Louis, MO; Wesley Medical Center, David Rosen, Wichita, KS; West Virginia University HSC-Charleston, Elizabeth Kurczynski, Charleston, WV; West Virginia University HSC-Morgantown, Linda Cook, Morgantown, WV; Yale University School of Medicine, Jack van Hoff, New Haven, CT
Prepublished online as Blood First Edition Paper, February 9, 2006; DOI 10.1182/blood-2005-06-2448.
A complete list of the members of the Children's Oncology Group appears in “Appendix.”
A complete listing of grant support for research conducted by Children's Cancer Group (CCG) and Pediatric Oncology Group (POG) before initiation of the Children's Oncology Group (COG) grant in 2003 is available online at http://www.childrensoncologygroup.org/admin/grantinfo.htm.
G.V.M., A.Z., M.N.C., J.J.D., J.W.T., Y.R., G.D., and H.J.W. were members of the Myeloid Committee of POG from which the design of the protocol originated. G.V.M. was the study coordinator; A.Z. was head of the reference laboratory that was involved in the biology studies; M.N.C. performed the statistical analyses; and S.N. performed the clonality studies.
An Inside Blood analysis of this article appears at the front of this issue.
The publication costs of this article were defrayed in part by page charge payment. Therefore, and solely to indicate this fact, this article is hereby marked “advertisement” in accordance with 18 U.S.C. section 1734.
All authors are indebted to the many Pediatric Oncology Group clinical centers that provided data for this study.



