Issue Archive
Table of Contents
EDITORIAL
Introduction to a review series on small-molecule targeted therapies for lymphoid malignancies
Targeted therapies have been central to improvements in the treatment of hematologic malignancies. We present a review series edited by Andrew Roberts and Freda Stevenson focusing on Bruton tyrosine kinase inhibitors, phosphoinositide 3-kinase inhibitors, and BH3 mimetics and their role in the treatment of chronic lymphocytic leukemia, non-Hodgkin lymphomas and acute myeloid leukemia.
BLOOD COMMENTARIES
REVIEW SERIES
MYELOID NEOPLASIA
CEBPA-bZip mutations are associated with favorable prognosis in de novo AML: a report from the Children’s Oncology Group
Clinical Trials & Observations
Patients with biallelic mutations in CEBPA have improved survival, and this genotype is classified as favorable in the European Leukemia Net and National Comprehensive Cancer Network guidelines. In a study of over 3000 patients in Children’s Oncology Group (COG) studies of acute myeloid leukemia (AML) combining clinical and genetic analysis, Tarlock et al identify monoallelic mutations in the C-terminal basic leucine zipper (bZip) of CEBPA to be prognostic. They report that single bZip and biallelic CEBPA mutations have identical prognoses, suggesting that in young patients with AML, these entities should be considered equally favorable.
Tumor suppressor function of Gata2 in acute promyelocytic leukemia
Katerndahl et al investigate genes dysregulated by PML-RARA in mouse and human cells and demonstrate that GATA2 is highly expressed in preleukemic cells expressing PML-RARA; furthermore, somatic GATA2 mutations occur during progression of acute promyelocytic leukemia (APL). They demonstrate that GATA2 knockout increases APL penetrance and decreases latency, while restoration of GATA2 expression suppresses penetrance and increases latency. These studies suggest a role for GATA2 as a tumor suppressor in AML development.
RED CELLS, IRON, AND ERYTHROPOIESIS
Type I interferon is induced by hemolysis and drives antibody-mediated erythrophagocytosis in sickle cell disease
Hemolytic disorders such as sickle cell disease (SCD) are associated with the release of free heme. Liu and colleagues demonstrate that in SCD, free heme drives increased levels of type I interferon (IFN-I) by monocyte/macrophages. Increased IFN-I recruits monocyte recruitment to the liver, where it increases antibody-mediated erythrophagocytosis. This may explain the increased risk for delayed hemolytic transfusion reactions and hyperhemolysis in patients with SCD.
Treatment of sickle cell disease by increasing oxygen affinity of hemoglobin
Clinical Trials & Observations
Voxelotor, a drug that increases the oxygen affinity of hemoglobin, reduces red cell sickling and increases hemoglobin levels in patients with SCD; however, it has not been shown to decrease SCD crises. In elegant studies using a novel in vitro sickling assay, Henry et al demonstrate that decreased sickling induced by voxelotor is balanced by a decrease in oxygen delivery that may offset any benefit of improved red cell survival.
THROMBOSIS AND HEMOSTASIS
A PSGL-1 glycomimetic reduces thrombus burden without affecting hemostasis
P-selectin expressed on the surface of activated platelets and endothelium binds PSGL-1 expressed on leukocytes. Wong et al describe a novel pegylated P-selectin inhibitor, P-G6, that blocks platelet-leukocyte and endothelium-leukocyte interactions. PG6 reduces thrombosis in a murine model of thrombosis without disrupting hemostasis, positioning it as a promising candidate for clinical studies for prevention of venous thrombosis.
LETTER TO BLOOD
Immune evasion in primary testicular and central nervous system lymphomas: HLA loss rather than 9p24.1/PD-L1/PD-L2 alterations
BLOOD WORK
-
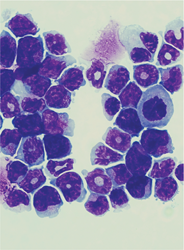
Cover Image
Cover Image
Leukemic bone marrow cells from a mouse expressing PML-RARA with Gata2 deficiency. Note early myeloid cells with azurophilic granules. Gata2 knockout cooperates with PML-RARA, accelerating cell growth and leukemia development, suggesting Gata2’s role as a tumor suppressor in APL. See the article by Katerndahl et al on page 1148.
- PDF Icon Front MatterFront Matter
- PDF Icon Table of ContentsTable of Contents
- PDF Icon Editorial BoardEditorial Board
Advertisement intended for health care professionals
Email alerts
Advertisement intended for health care professionals








CEBPA bZip mutations: just a single shot